IgG/IgA-pemphigus — extremely rare blistering autoimmune diseases
- Authors: Karamova A.E.1, Znamenskaya L.F.1, Chikin V.V.1, Mihina V.A.1, Nefedova M.A.1
-
Affiliations:
- State Research Center of Dermatovenereology and Cosmetology, Ministry of Health of the Russian Federation
- Issue: Vol 96, No 1 (2020)
- Pages: 45-51
- Section: CLINICAL CASE REPORTS
- Submitted: 30.03.2020
- Published: 30.03.2020
- URL: https://vestnikdv.ru/jour/article/view/1110
- DOI: https://doi.org/10.25208/vdv554-2020-96-1-45-51
- ID: 1110
Cite item
Full Text
Abstract
Purpose. To present a clinical case of IgG/IgA pemphigus in a 32-year-old woman.
Material and methods. Clinical and laboratory examinations were performed to diagnose the disease: cytological examination of an impression smear from the bottom of the erosion, histological examination of a skin biopsy sample from the lesion, immunofluorescent examination of a biopsy sample of visually accessible unaffected skin.
Results. Clinical manifestations of the disease were similar to Duhring's dermatitis herpetiformis, morphological ones — to pemphigus vulgaris, but immunofluorescent examination of the skin biopsy sample in equal measure revealed deposits of both IgG and IgA in the epidermis, which allowed to determine a diagnosis of IgG/IgA pemphigus. Dapsone therapy at a dose of 100 mg per day led to a significant improvement in the patient's condition.
Conclusion. Diagnosis of bullous dermatoses requires immunofluorescent examination of a biopsy sample of visually accessible unaffected skin. Dapsone was an effective medication for the patient with IgG/IgA pemphigus.
Keywords
Full Text
IgG/IgA-пузырчатка описана в 1994 г. T. Chorzelski и соавт. и представляет собой редкий дерматоз, который характеризуется примерно одинаковым отложением IgG и IgA на клеточной поверхности кератиноцитов [1—7]. Антигенами кератиноцитов, к которым продуцируются патогенные IgG- и IgA-аутоантитела у больных IgG/IgA пузырчаткой, являются главным образом десмоглеины 1-го и 3-го типов (Dsg1/Dsg3) и/или десмоколлины 1, 2 и 3 (Dsc1—Dsc3), однако не всегда отмечается продукция IgG- и IgA-антител одновременно ко всем аутоантигенам [6, 8—15]. Патогенные свойства этих IgG- и IgA-аутоантител связывают с их способностью вызывать развитие акантолиза [4—7].
В литературе описано сочетание IgG/IgA-пузырчатки с другими аутоиммунными заболеваниями — синдромом Шегрена, язвенным колитом, миастенией [12, 16, 17]. У больных IgG/IgA-пузырчаткой выявляли также различные новообразования: рак поджелудочной железы, яичников, эндометрия, желчного пузыря и легкого, лимфопролиферативные заболевания, IgA-гаммапатии [3, 16, 18—22]. Тем не менее из-за малого числа наблюдений оценить клиническое значение этих ассоциаций в настоящее время не представляется возможным.
Распределение больных IgG/IgA-пузырчаткой по полу примерно равное, начало болезни отмечалось в среднем в возрасте 48,5 года [22].
Приводим собственное наблюдение в связи с редкостью данного дерматоза
Пациентка Д., 32 лет, жительница г. Ухта (Республика Коми), поступила в отделение клинической дерматологии ФГБУ «ГНЦДК» Минздрава России с жалобами на высыпания на коже туловища, верхних и нижних конечностей, сопровождавшиеся зудом.
Считает себя больной с июля 2016 г., когда впервые отметила появление на коже в плече-лопаточной области «пузырьков с плотной покрышкой со светло-желтым содержимым». Постепенно высыпания распространились на кожу волосистой части головы, туловища, верхних и нижних конечностей, в связи с чем пациентка обратилась к врачу-дерматологу по месту жительства, где был поставлен диагноз «Стрептодермия» и проведена антибактериальная терапия без эффекта. В сентябре 2016 г. по месту жительства выполнена диагностическая биопсия кожи с последующим морфологическим исследованием, по результатам которого был выставлен диагноз «Дерматит Дюринга?» и проведена десенсибилизирующая, антибактериальная и наружная терапия без эффекта. В ноябре 2016 г. в связи с сохраняющимися высыпаниями пациентка госпитализирована в стационар ФГБУ «ГНЦДК» Минздрава России.
При поступлении патологический кожный процесс носил распространенный воспалительный характер. На коже туловища на эритематозно-отечном фоне наблюдались сгруппированно расположенные пузырьки до 0,3 см в диаметре с плотной покрышкой и светло-желтым содержимым, имелись множественные эрозии ярко-красного цвета размером от 0,5 до 3 см с венчиком гиперемии. Отмечались единичные эрозии в стадии эпителизации, покрытые геморрагическими корками, множественные гиперпигментированные пятна от светло-коричневого до темно-коричневого цвета (рис. 1 а—в). Слизистые оболочки не были поражены.
Рис. 1. IgG/IgA-пузырчатка. На отечном гиперемированном фоне сгруппированные мелкие пузыри на коже спины (а) и живота (б, в). Значительное улучшение через 2 недели терапии дапсоном — регресс высыпаний на груди, животе (г) и на спине (д)
Fig. 1. IgG/IgA pemphigus. Small blisters on the skin of the back are grouped (a) and abdomen on a swollen hyperemic area (б, в). Substantial improvement in 2 weeks of dapsone therapy — regression of rashes on the chest, abdomen (г) and on the back (д)
При цитологическом исследовании мазка-отпечатка со дна эрозии обнаружены акантолитические клетки. Исследование содержимого пузыря выявило 14% эозинофилов (при норме 2—4%). В общем и биохимическом анализах крови, общем анализе мочи все показатели были в пределах референсных значений.
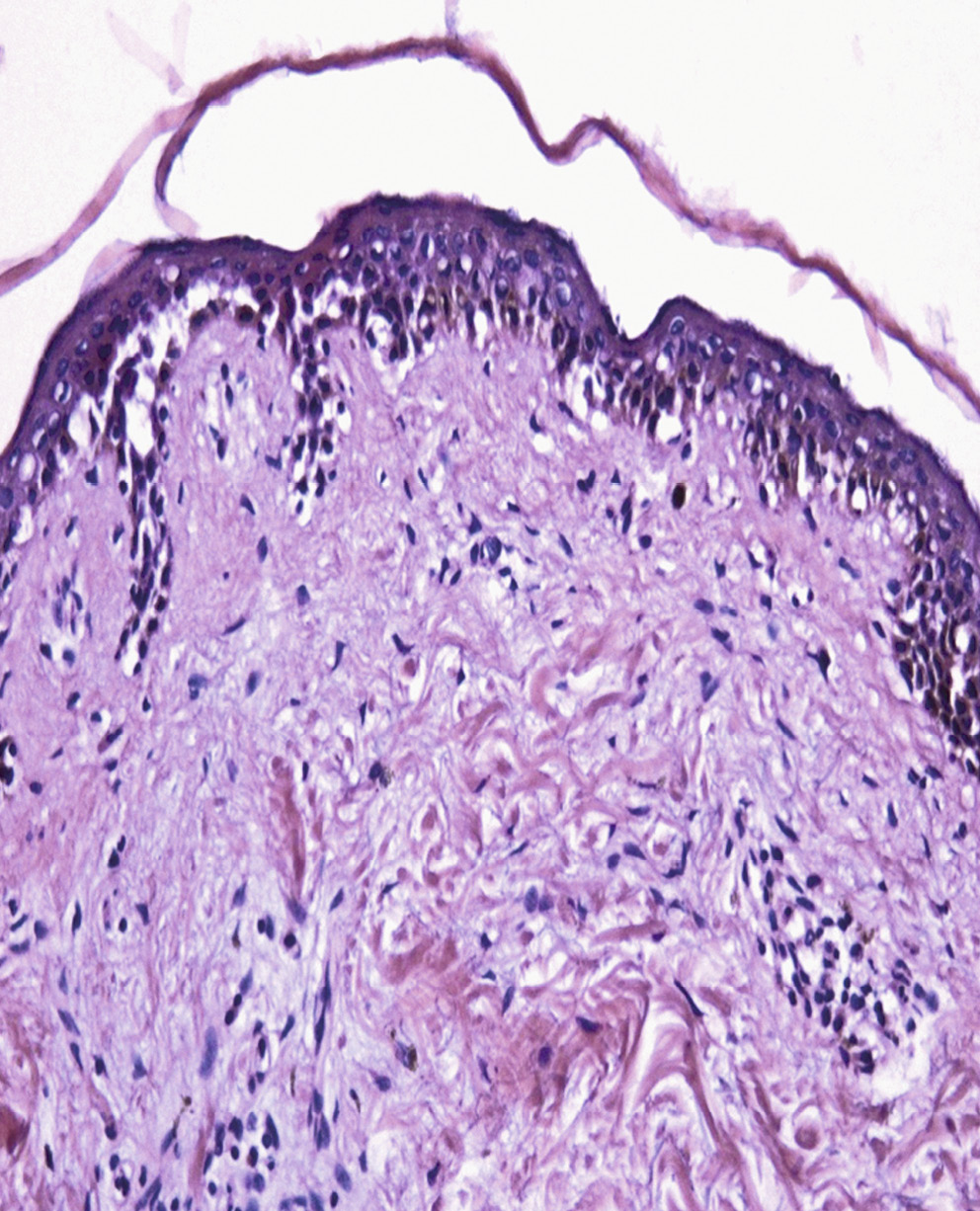
Проведено морфологическое исследование биоптата кожи, полученного в области свежего пузырного элемента. На всем протяжении эпидермиса отмечено очаговое формирование супрабазальных полостей или крупных щелей, в просветах которых — акантолитические клетки, фибрин, лейкоциты. Дерма отечна, периваскулярно — лимфоцитарные инфильтраты с примесью эозинофилов. Выявленные изменения характерны для вульгарной пузырчатки (рис. 2).
Рис. 2. IgG/IgA-пузырчатка. Морфологическое исследование биоптата кожи из очага поражения. Изменения, характерные для вульгарной пузырчатки. Выраженный надбазальный акантолиз с формированием крупных супрабазальных щелей; акантолитические клетки; лимфоцитарные инфильтраты в дерме. Окраска гематоксилином и эозином, × 100
Fig. 2. IgG / IgA pemphigus. Morphological study of skin biopsy from the lesion. Changes are featuring pemphigus vulgaris. Hyper supra-basal acantholysis with the formation of large suprabasal fissures; acantholytic cells; lymphocytic infiltrates in the dermis. Hematoxylin and eosin stain, × 100
В результате исследования биоптата видимо непораженной кожи, полученного рядом с очагом поражения, методом непрямой иммунофлюоресценции с антителами IgA, IgG, IgM выявлена отчетливая фиксация IgG, а также равнозначная по выраженности отчетливая фиксация IgA в межклеточных промежутках всех слоев эпидермиса. Значимой фиксации IgM в структурах кожи не обнаружено. Выявленная иммунофлюоресцентная картина соответствовала IgG/IgA-пузырчатке (рис. 3).
Рис. 3. IgG/IgA-пузырчатка. Отчетливая фиксация депозитов как IgG (а), так и IgA (б) в межклеточных промежутках всех слоев эпидермиса. Реакция иммунофлюоресценции, × 600
Fig. 3. IgG / IgA pemphigus. Determined fixation of deposits for either IgG (a) and IgA (б) in the intercellular spaces of all epidermis layers. Immunofluorescence Reaction, × 600
На основании данных анамнеза, клинической картины и результатов лабораторных исследований был установлен диагноз: IgG/IgA-пузырчатка.
Проведено лечение: дапсон 100 мг в сутки пятидневными циклами; антигистаминные и антибактериальные препараты. Наружно на очаги поражения наносили мазь фуцидин Г, раствор фукорцина. В результате проведенной в течение 14 дней терапии была отмечена выраженная положительная динамика со стороны патологического кожного процесса. Прекратили появляться новые высыпания, эпителизировались все эрозии (рис. 1 г, д). Зуда не отмечалось. Больной было рекомендовано продолжить прием дапсона в дозе 100 мг в сутки пятидневными циклами под наблюдением врача-дерматовенеролога по месту жительства.
Обсуждение и заключение
Клинические проявления IgG/IgA-пузырчатки могут характеризоваться поражением как кожных покровов, так и слизистых оболочек. По данным S. Toosi и соавт. (2016), поражение кожи наблюдалось у 77% больных IgG/IgA-пузырчаткой, у всех больных отмечались эрозии, лишь у 23% больных были выявлены пузыри [22]. Поражение слизистых оболочек наблюдалось у 62% больных [22]. Поражение слизистой оболочки полости рта у больных IgG/IgA-пузырчаткой может быть тяжелым и проявляться обширными эрозиями [12]. У находившейся под нашим наблюдением пациентки слизистые оболочки не были поражены. IgG/IgA-пузырчатка отличается разнообразными клиническими проявлениями. По данным S. Toosi и соавт. (2016), обследовавших 13 больных IgG/IgA-пузырчаткой, в большинстве (69%) случаев высыпания соответствовали вульгарной пузырчатке [22]. Однако они могут напоминать также листовидную, герпетиформную, вегетирующую пузырчатку типа Аллопо, а также IgA-пузырчатку [10, 11, 15, 18, 23].
В случаях когда клиническая картина IgG/IgA-пузырчатки близка проявлениям IgA-пузырчатки, у больных обнаруживались пустулы [16, 18, 20, 24, 25]. Возможна кольцевидная конфигурация очагов поражения, представленных эритематозными бляшками с дряблыми пузырями и пустулами по периферии и желтыми корками в центре, поражение складок кожи [9, 12, 16, 20, 22, 26, 27].
В случаях, когда клинические проявления IgG/IgA-пузырчатки были нетипичны для вульгарной (IgG) или IgA-пузырчатки, они характеризовались эритемой, везикулами, пустулами на туловище и конечностях [3, 14, 23, 25, 26, 28, 29].
Симптом Никольского у больных IgG/IgA-пузырчаткой может быть отрицательным [6, 27].
Половина больных IgG/IgA-пузырчаткой отмечают зуд [30].
S. Toosi и соавт. (2016) указывают, что IgG/IgA-пузырчатка по своему течению не отличается от вульгарной пузырчатки [22]. Тем не менее описаны случаи более доброкачественного течения IgG/IgA-пузырчатки по сравнению с вульгарной пузырчаткой [15, 27].
У находившейся под нашим наблюдением больной клинические проявления поражения кожи соответствовали герпетиформному дерматиту Дюринга. Обнаружение при цитологическом исследовании акантолитических клеток свидетельствовало в пользу пузырчатки.
При морфологическом исследовании биоптата кожи из очага поражения у больных IgG/IgA-пузырчаткой в большинстве случаев выявляются признаки акантолиза [6, 22]. У нашей пациентки были выявлены морфологические признаки пузырчатки в виде супрабазальных полостей и крупных щелей, в просвете которых находились акантолитические клетки. При исследовании биоптата кожи из очага эритемы признаки акантолиза могут быть крайне незначительны или отсутствовать, могут обнаруживаться нейтрофильные микроабсцессы в сосочках дермы, а у больных с пустулезными высыпаниями — пустулы в роговом слое и субкорнеальной локализации [6, 12, 29]. Характерен выраженный клеточный инфильтрат, содержащий большое количество нейтрофилов в эпидермисе и подлежащей дерме. Нейтрофилы в эпидермисе обнаруживались у 73% больных IgG/IgA-пузырчаткой [22]. Преимущественно нейтрофильный характер инфильтрата в коже больных IgG/IgA-пузырчаткой обусловлен наличием на моноцитах и гранулоцитах специфических связывающих участков для IgA-Fc-рецептора [31]. В ряде случаев в очагах поражения кожи у больных IgG/IgA-пузырчаткой в составе инфильтрата преобладали лимфоциты [32]. Отмечалось также присутствие в инфильтрате эозинофилов [15, 17]. Описан больной, у которого в эпидермисе обнаруживались клетки с признаками дискератоза [29]. У нашей пациентки при морфологическом исследовании биоптата кожи был выявлен лимфоцитарный инфильтрат с примесью эозинофилов.
При исследовании биоптатов кожи больных IgG/IgA-пузырчаткой с помощью реакции иммунофлюоресценции обнаруживается отложение как IgG, так и IgA на поверхности кератиноцитов [12]. Выявление отчетливо выраженных депозитов как IgG, так и IgA в эпидермисе нашей пациентки позволило установить диагноз IgG/IgA-пузырчатки. S. Toosi и соавт. (2016) у 100% обследованных больных IgG/IgA-пузырчаткой в эпидермисе выявили межклеточные депозиты C3-компонента комплемента [22]. Предполагается, что комплемент может участвовать в развитии супрабазального акантолиза у больных пузырчаткой [19].
Разнообразие клинических проявлений и морфологической картины, наблюдаемое при IgG/IgA-пузырчатке, объясняют тем, что у больных могут быть различны антигены, к которым продуцируются аутоантитела [15].
В настоящее время существуют различные точки зрения на IgG/IgA-пузырчатку. Некоторые авторы рассматривают ее как самостоятельное заболевание, другие — как вариант вульгарной пузырчатки или IgA-пузырчатки [22]. Возможность того, что IgG/IgA-пузырчатка является вариантом вульгарной или IgA-пузырчатки, аргументируется обнаружением в крови больных IgA-пузырчаткой IgG-аутоантител, а также выявлением циркулирующих IgA-аутоантител в сыворотке крови у значительного числа больных вульгарной (IgG) пузырчаткой [14, 33, 34]. Циркулирующие IgA-антитела к десмоглеину 1-го типа обнаружены у 23,9% больных вульгарной и листовидной IgG-пузырчаткой, циркулирующие IgA-антитела к десмоглеину 3-го типа — у 40,2% больных вульгарной и листовидной IgG-пузырчаткой [34]. L. Mentink и соавт. на основании этих данных предположили, что IgG/IgA-пузырчатка представляет собой промежуточное состояние между вульгарной IgG-пузырчаткой и IgA-пузырчаткой [34].
С другой стороны, клиническая и морфологическая картина IgG/IgA-пузырчатки может отличаться от вульгарной и IgA-пузырчатки, что связывается с одновременным существованием у больных IgA- и IgG-антител к десмоглеинам и десмоколлинам [8, 9, 11, 23]. В связи с этим предполагается, что IgG/IgA-пузырчатка является самостоятельным заболеванием, хотя необходимы дальнейшие исследования, чтобы установить действительный вклад IgA-аутоантител в формирование пузыря [12].
Для лечения больных IgG/IgA-пузырчаткой используются дапсон, системные и наружные глюкокортикостероиды. Терапию предлагается начинать с дапсона [9, 14, 18, 20, 24, 27—29]. Отмечено, что после назначения дапсона в дозе 100 мг в сутки регресс высыпаний достигается в течение 2 недель терапии [27]. У находившейся под нашим наблюдением больной прекращение появления новых и регресс ранее имевшихся высыпаний наблюдались на фоне терапии дапсоном в дозе 100 мг в сутки пятидневными циклами.
При недостаточном эффекте терапии дапсоном либо повышают его дозу, либо дополнительно назначают преднизолон. K. Nakajima и соавт. (2007) наблюдали полный регресс высыпаний через 1 месяц лечения дапсоном в дозе 50 мг в сутки, однако после снижения дозы препарата до 25 мг в сутки высыпания снова появлялись, что требовало повысить его дозу до 50 мг в сутки, и в течение 9 лет последующего наблюдения на фоне приема дапсона высыпания отсутствовали [29]. Отмечался полный регресс высыпаний после терапии дапсоном в дозе 50—150 мг в сутки в сочетании с преднизолоном в дозе 20—40 мг в сутки [9, 18].
Показана эффективность преднизолона, назначавшегося перорально в дозе 20—60 мг/сутки [14, 23]. В случаях когда клиническая картина IgG/IgA-пузырчатки напоминала проявления вульгарной пузырчатки, больным проводили системную терапию преднизолоном в более высокой дозе, достигавшей 1—1,25 мг/кг массы тела в сутки, до разрешения высыпаний с последующим постепенным снижением дозы [6, 12, 22].
Описан случай, при котором высокую эффективность показала топическая терапия больных IgG/IgA-пузырчаткой клобетазолом [15, 16]. Однако у больного, у которого через 2 месяца топической терапии мазью клобетазола полностью регрессировали высыпания, патогенные IgG- и IgA-антитела к десмоглеину-3 и десмоколлину-3 в крови были выявлены в низких титрах, с чем и было связано отсутствие необходимости в системной терапии [15].
Таким образом, описанный нами случай IgG/IgA-пузырчатки демонстрирует, что клинические признаки этого буллезного дерматоза могут напоминать герпетиформный дерматит Дюринга, а морфологические — вульгарную пузырчатку. Установить диагноз IgG/IgA-пузырчатки позволило иммунофлюоресцентное исследование биоптата видимо непораженной кожи, показавшее равнозначное по выраженности отложение IgG и IgA в эпидермисе.
В связи с этим диагностика IgG/IgA-пузырчатки наряду с рутинным морфологическим исследованием требует проведения иммунофлюоресцентного исследования биоптата кожи. Терапия больных этим заболеванием может проводиться дапсоном или преднизолоном в дозе, меньшей, чем это необходимо для лечения больных вульгарной пузырчаткой. В тяжелых случаях может потребоваться системная терапия глюкокортикостероидными препаратами из расчета 1 мг/кг массы тела в сутки. У находившейся под нашим наблюдением больной было отмечено значительное улучшение состояния после курса терапии дапсоном.
About the authors
Arfenya E. Karamova
State Research Center of Dermatovenereology and Cosmetology, Ministry of Health of the Russian Federation
Author for correspondence.
Email: karamova@cnikvi.ru
Cand. Sci. (Med)., Head of the Department of Dermatology
Россия, Korolenko str., 3, bldg 6, Moscow, 107076Lyudmila F. Znamenskaya
State Research Center of Dermatovenereology and Cosmetology, Ministry of Health of the Russian Federation
Email: karamova@cnikvi.ru
Dr. Sci. (Med.), Leading Researcher, Department of Dermatology
Россия, Korolenko str., 3, bldg 6, Moscow, 107076Vadim V. Chikin
State Research Center of Dermatovenereology and Cosmetology, Ministry of Health of the Russian Federation
Email: karamova@cnikvi.ru
Dr. Sci. (Med.), Senior Researcher, Department of Dermatology
Россия, Korolenko str., 3, bldg 6, Moscow, 107076Viktoria A. Mihina
State Research Center of Dermatovenereology and Cosmetology, Ministry of Health of the Russian Federation
Email: karamova@cnikvi.ru
Dermatovenerologist, Department of clinical dermatology
Россия, Korolenko str., 3, bldg 6, Moscow, 107076Maria A. Nefedova
State Research Center of Dermatovenereology and Cosmetology, Ministry of Health of the Russian Federation
Email: karamova@cnikvi.ru
Junior Researcher, Dermatology Department
Россия, Korolenko str., 3, bldg 6, Moscow, 107076References
- Hashimoto T. Immunopathology of IgA pemphigus. Clin Dermatol 2001; 19: 683—689.
- Hashimoto T. Recent advances in the study of the pathophysiology of pemphigus. Arch Dermatol Res 2003; 295 (Suppl 1): S2—11.
- Chorzelski T. P., Hashimoto T., Nishikawa T. et al. Unusual acantholytic bullous dermatosis associated with neoplasia and IgG and IgA antibodies against bovine desmocollins I and II. J Am Acad Dermatol 1994; 31: 351—355.
- Di Zenzo G., Amber K. T., Sayar B. S. et al. Immune response in pemphigus and beyond: progresses and emerging concepts. Semin Immunopathol 2016; 38: 57—74.
- Lo A. S., Mao X., Mukherjee E. M. et al. Pathogenicity and epitope characteristics do not differ in IgG subclass-switched anti-desmoglein 3 IgG1 and IgG4 autoantibodies in pemphigus vulgaris. PLoS One 2016; 11 (6): e0156800.
- Zaraa I., Kerkeni N., Sellami M. et al. IgG/IgA pemphigus with IgG and IgA antidesmoglein 3 antibodies and IgA antidesmoglein 1 antibodies detected by enzyme-linked immunosorbent assay: a case report and review of the literature. Int J Dermatol 2010; 49: 298—302.
- Supapannachart N., Mutasim D. F. The distribution of IgA pemphigus antigen in human skin and the role of IgA anti-cell surface antibodies in the induction of intraepidermal acantholysis. Arch Dermatol 1993; 129: 605—608.
- Heng A., Nwaneshiudu A., Hashimoto T. et al. Intraepidermal neutrophilic IgA/IgG antidesmocollin 1 pemphigus. Br J Dermatol 2006; 154: 1018—1020.
- Hosoda S., Suzuki M., Komine M. et al. A case of IgG/IgA pemphigus presenting malar rash-like erythema. Acta Derm Venereol 2012; 92: 164—166.
- Kozlowska A., Hashimoto T., Jarzabek-Chorzelska M. et al. Pemphigus herpetiformis with IgA and IgG antibodies to desmoglein 1 and IgG antibodies to desmocollin 3. J Am Acad Dermatol 2003; 48: 117—122.
- Oiso N., Yamashita C., Yoshioka K. et al. IgG/IgA pemphigus with IgG and IgA antidesmoglein 1 antibodies detected by enzyme-linked immunosorbent assay. Br J Dermatol 2002; 147: 1012—1017.
- Furuya A., Takahashi E., Ishii N. et al. IgG/IgA pemphigus recognizing desmogleins 1 and 3 in a patient with Sjogren’s syndrome. Eur J Dermatol. 2014; 24 (4): 512—513.
- Watkins C., West C., Kosari P. et al. IgG/IgA Pemphigus: report of a rare variant of atypical pemphigus and a review of the literature. J Dermatolog Clin Res 2014; 2: 1011—1015.
- Bruckner A. L., Fitzpatrick J. E., Hashimoto T. et al. Atypical IgA/IgG pemphigus involving the skin, oral mucosa, and colon in a child: a novel variant of IgA pemphigus? Pediatr Dermatol 2005; 22: 321—327.
- Inoue-Nishimoto T., Hanafusa T., Hirohata A. et al. IgG/IgA pemphigus representing pemphigus vegetans caused by low titres of IgG and IgA antibodies to desmoglein 3 and IgA antibodies to desmocollin 3. J Eur Acad Dermatol Venereol 2016; 30: 1229—1231.
- Santiago-et-Sanchez-Mateos D., Juarez Martin A., Gonzalez De Arriba A. et al. IgG/IgA pemphigus with IgA and IgG antidesmoglein 1 antibodies detected by enzyme-linked immunosorbent assay: presentation of two cases. J Eur Acad Dermatol Venereol. 2011; 25: 110—112.
- Uchiyama R., Ishii N., Arakura F. et al. IgA/IgG pemphigus with infiltration of neutrophils and eosinophils in an ulcerative colitis patient. Acta Derm Venereol 2014; 94: 737—738.
- Kowalewski C., Hashimoto T., Amagai M. et al. IgG⁄IgA pemphigus: A new atypical subset of pemphigus? Acta Dermatol Venereol 2006; 86: 357—358.
- Lane N., Parekh P. IgG/IgA pemphigus. Am J Dermatopathol 2014; 36: 1002—1004.
- Maruyama H., Kawachi Y., Fujisawa Y. et al. IgA/IgG pemphigus positive for anti-desmoglein 1 autoantibody. Eur J Dermatol. 2007; 17: 94—95.
- Hashimoto T., Ogawa M. M., Konohana A., Nishikawa T. Detection of pemphigus vulgaris and pemphigus foliaceus antigens by immunoblot analysis using different antigen sources. J Invest Dermatol 1990; 94: 327—331.
- Toosi S., Collins J. W., Lohse C. M. et al. Clinicopathologic features of IgG/IgA pemphigus in comparison with classic (IgG) and IgA pemphigus. Int J Dermatol 2016; 55 (4): e184—e190.
- Hashimoto T., Ebihara T., Nishikawa T. Studies of autoantigens recognized by IgA anti-keratinocyte cell surface antibodies. J Dermatol Sci 1996; 12: 10—17.
- Feng S. Y., Zhi L., Jin P. Y. et al. A case of IgA/IgG pustular pemphigus. Int J Dermatol 2012; 51: 321—324.
- Inui S., Amagai M., Tsutsui S. et al. Atypical pemphigus involving the esophagus with IgG antibodies to desmoglein 3 and IgA antibodies to desmoglein 1. J Am Acad Dermatol 2006; 55: 354—355.
- Gooptu C., Mendelsohn S., Amagai M. et al. Unique immunobullous disease in a child with a predominantly IgA response to three desmosomal proteins. Br J Dermatol 1999; 141: 882—886.
- Kanwar A. J., Vinay K., Saikia U. N. et al. IgG/IgA pemphigus reactive with desmoglein 1 with additional undetermined reactivity with epidermal basement membrane zone. Indian J Dermatol Venereol Leprol 2014; 80: 46—50.
- Miyagawa S., Hashimoto T., Ohno H. et al. Atypical pemphigus associated with monoclonal IgA gammopathy. J Am Acad Dermatol 1995; 32: 352—357.
- Nakajima K., Hashimoto T., Nakajima H. et al. IgG/IgA pemphigus with dyskeratotic acantholysis and intraepidermal neutrophilic microabscesses. J Dermatol. 2007; 34: 757—760.
- Porro A. M., Caetano L. V., Maehara L. S. et al. Non-classical forms of pemphigus: pemphigus herpetiformis, IgA pemphigus, paraneoplastic pemphigus and IgG/IgA pemphigus. An Bras Dermatol 2014; 89: 96—106.
- Carayannopoulos L., Hexham J. M., Capra J. D. Localization of the binding site for the monocyte immunoglobulin (Ig) A-Fc receptor (CD89) to the domain boundary between Ca2 and Ca3 in human IgA1. J Exp Med 1996; 183: 1579—1586.
- Hosoda S., Adachi A., Suzuki M. et al. Case of pemphigus with immunoglobulin G and A antibodies, binding to both the intercellular spaces and basement membrane zone. J Dermatol 2015; 42: 1—3.
- Amagai M. Adhesion molecules. I: Keratinocyte-keratinocyte interactions; cadherins and pemphigus. J Invest Dermatol 1995; 104: 146—152.
- Mentink L. F., de Jong M. C., Kloosterhuis G. J. et al. Coexistence of IgA antibodies to desmogleins 1 and 3 in pemphigus vulgaris, pemphigus foliaceus and paraneoplastic pemphigus. Br J Dermatol 2007; 156: 635—641.
Supplementary files







