Exceptional case of a granuloma faciale with extrafacial involvement
- Authors: Shpiliyuk R.G.1, Antonova O.V.1, Belousova I.E.1, Samtsov A.V.1
-
Affiliations:
- Military Medical Academy named after S.M. Kirov Ministry of Defense of the Russian Federation
- Issue: Vol 96, No 6 (2020)
- Pages: 36-41
- Section: CLINICAL CASE REPORTS
- Submitted: 01.11.2020
- Accepted: 24.12.2020
- Published: 15.12.2020
- URL: https://vestnikdv.ru/jour/article/view/1187
- DOI: https://doi.org/10.25208/vdv1187
- ID: 1187
Cite item
Full Text
Abstract
The description of obsevation of rare dermatosis granuloma faciale is presented. Modern view about etiology, clinical picture, pathogenesis of GF is mentioned. Modern ways of treatment are considered.
Keywords
Full Text
Гранулема лица (эозинофильная гранулема лица, гранулема лица с эозинофилией) (ГЛ) — это редкий дерматоз неизвестной этиологии, нозологическая принадлежность которого до сих пор не определена. Заболевание встречается у пациентов обоих полов, различного возраста и расовой принадлежности, но преимущественно поражает мужчин среднего возраста. В 1945 г. Wigley описал случай саркоидоза Бека, который некоторыми авторами расценивается как первое упоминание ГЛ в литературе [1]. В 1952 г. Пинкус впервые ввел термин ГЛ [2].
Клиническая картина заболевания представлена папулами и бляшками красно-коричневого цвета, с гладкой поверхностью, сохраненным фолликулярным рисунком и телеангиэктазиями в очагах поражения, как правило, не сопровождающимися субъективными ощущениями. Иногда пациентов беспокоят жжение и зуд. Высыпания локализуются на коже лица, преимущественно в области носа, щек, ушных раковин [3]. В литературе описаны единичные случаи экстрафациальной локализации ГЛ с вовлечением кожи спины, верхних и нижних конечностей, слизистой полости рта и верхних дыхательных путей [4—6].
В связи с малочисленными публикациями в зарубежной литературе, посвященными экстрафациальной локализации ГЛ, приводим свое собственное наблюдение.
В марте 2013 г. в клинику кожных и венерических болезней ВМедА имени С. М. Кирова обратился пациент К. с жалобами на распространенные высыпания на коже лица, верхних конечностей, спины, сопровождающиеся периодическим незначительным зудом. Из анамнеза известно, что первые высыпания на коже спины появились в 2011 г. Самостоятельно не лечился. В декабре 2012 г., по рекомендации онколога, с предварительным диагнозом саркома Капоши, пациенту была произведена диагностическая биопсия кожи, на основании которой были выставлены следующие предварительные диагнозы: гистиоцитоз? мастоцитоз? лимфопролиферативное заболевание кожи? токсикодермия? и рекомендовано дообследование у специалистов (дерматолог, гематолог, ревматолог). В декабре 2013 г. пациент обратился к гематологу, который исключил заболевания крови. При проведении комплексного обследования (УЗИ, МРТ органов грудной клетки и брюшной полости), рекомендованного ревматологом, патологии внутренних органов не было выявлено. В этот же период пациент отмечает появление новых, аналогичных высыпаний на коже спины, верхних конечностей, лице.
При осмотре на коже лица, верхних конечностей, спины обнаруживались множественные папулы от 0,5 до 1,0 см в диаметре, бляшки до 4,0 см в диаметре, красно-коричневого цвета, с гладкой, блестящей поверхностью. На поверхности некоторых папул и бляшек отмечались телеангиэктазии (рис. 1—3).
Рис. 1. На коже спины папулы от 0,5 до 1,0 см в диаметре, бляшки до 4,0 см в диаметре, красно-коричневого цвета, с гладкой, блестящей поверхностью
Fig. 1. On the skin of the back there are red-brown papules which are from 0,5 to 1,0 cm in diameter and plaques which are under 4 cm in diameter with a smooth and shiny surface
Рис. 2. На коже лица папулы от 0,5 до 1,0 см в диаметре, красно-коричневого цвета
Fig. 2. On the skin of the face there are red-brown papules which are from 0,5 to 1,0 cm in diameter
Рис. 3. Папулы до 1,0 см в диаметре, бляшки до 4,0 см в диаметре, красно-коричневого цвета, с гладкой, блестящей поверхностью. На поверхности некоторых папул и бляшек отмечаются телеангиэктазии
Fig. 3. Red-brown papules under 1,0 сm in diameter and plaques under 4,0 сm in diameter with a smooth and shiny surface. On the surface of some papules and plaques telangiectasia can be seen
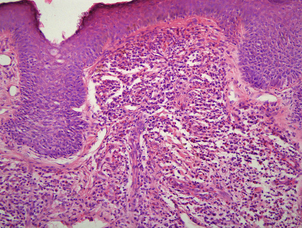
Пациенту была выполнена диагностическая биопсия кожи. При гистологическом исследовании в дерме и верхних отделах подкожной жировой клетчатки были обнаружены перифолликулярные и периваскулярные очаговые инфильтраты, состоящие из лимфоцитов, гистиоцитов и значительного количества нейтрофильных и эозинофильных лейкоцитов. Эндотелий сосудов был отечен, имелись сосуды с фибриноидным набуханием стенок (рис. 4).
На основании жалоб, анамнеза, объективного
осмотра и гистологического исследования был установлен окончательный диагноз: ГЛ c экстрафациальной локализацией. Пациенту была назначена общая терапия препаратом дапсон 100 мг, 2 раза в сутки, курсами по 5 дней, с 2—3-дневными перерывами под контролем клинического анализа крови и функции печени и почек (всего 5 курсов).
При осмотре пациента через месяц наблюдалось значительное улучшение: бляшки побледнели и уменьшились в размерах.
Обсуждение
В настоящее время нет единой точки зрения на этиологию и патогенез ГЛ. Многие авторы считают, что ГЛ — это результат длительно существующего лейкоцитокластического васкулита [7]. Другие высказывают точку зрения о единой природе возвышающейся стойкой эритемы и ГЛ, так как гистологическая картина этих двух дерматозов имеет сходства [8, 9]. Поскольку при ГЛ поражаются преимущественно открытые участки кожи, существует мнение, что инсоляция может быть пусковым механизмом в патогенезе заболевания [10].
Гистологическая картина заболевания варьирует в зависимости от его стадии. На ранних этапах преобладает поражение сосудов и воспалительный инфильтрат. Эозинофильные лейкоциты не являются обязательным компонентом воспалительного инфильтрата. В некоторых случаях отмечается диапедез эритроцитов и отложения гемосидерина, что также свидетельствует о нарушении проницаемости эндотелия сосудов [11]. На поздних этапах развивается фиброз. Время развития фиброза составляет от нескольких месяцев до нескольких лет у разных пациентов [11, 12]. Следует отметить гистологические изменения, сходные с таковыми при ГЛ, развившиеся при рубромикозе [13]. Описан случай атипичной ГЛ, имитировавшей ринофиму [14].
Для ГЛ характерно поражение преимущественно открытых для солнечного света участков кожи, которое представлено одиночными или множественными папулами и бляшками красно-коричневого цвета с четкими границами, мягкими при пальпации, с гладкой поверхностью, сохраненным фолликулярным рисунком, размерами от нескольких миллиметров до сантиметров. Первичные морфологические элементы кожной сыпи в клинической картине практически никогда не эволюционируют без лечения. Высыпания на коже лица чаще всего локализуются на лбу (38%), щеках (30%), носу (27,5%) или веках (10,5%), могут быть одиночными или множественными [11].
Рис. 4. В эпидермисе умеренный акантоз, вакуольная дистрофия клеток мальпигиевого слоя. Верхнюю половину дермы занимает полосовидный инфильтрат, мелкие очаговые инфильтраты также обнаруживаются в нижней части дермы и подкожной жировой клетчатки вокруг волосяных фолликулов и периваскулярно. Инфильтрат состоит из значительного количества нейтрофильных и эозинофильных лейкоцитов. Нейтрофильные лейкоциты локализуются вокруг сосудов с очаговой умеренной лейкоцитоклазией. Эндотелий сосудов отечен, имеются сосуды с фибриноидным набуханием стенок
Fig. 4. In in the epidermis there is acanthosis and vacuolar dystrophy of the malpighiaceae layer. The top half of the dermis is filled with a line-like infiltrate, small focal infiltrate can also be seen in the lower part of the dermis and in the subcutaneous fat around hair follicles and blood vessels. Infiltrate consists of a significant number of neutrophilic and eosinophilic leukocytes. Neutrophilic leukocytes appear around blood vessels with focal mild leukocytoclasis. Vascular endothelial is swallen, there are vessels with fibrinoid swelling of the walls
Анализ литературы показал, что экстрафациальный вариант ГЛ встречается редко и представляет определенные трудности в диагностике. В зарубежных источниках приведено 16 случаев диссеминированной ГЛ [1, 15]. Впервые экстрафациальный вариант ГЛ был описан J. Sears и соавт. в 1991 г. [16]. Экстрафациальные очаги чаще всего локализуются на коже туловища и проксимальных отделах конечностей, реже на коже нижних конечностей и волосистой части головы [11, 12, 15]. В большинстве случаев у пациентов с экстрафациальными очагами обнаруживаются аналогичные очаги на коже лица, и только в единичных случаях экстрафациальные очаги являются единственным симптомом заболевания [11].
По данным литературы, клинический диагноз ГЛ устанавливается лишь в 10% случаев [11]. Дифференциальная диагностика ГЛ представлена относительно широким спектром заболеваний: кожные формы красной волчанки, полиморфный фотодерматоз, фиксированная токсикодермия, лимфомы кожи, саркоидоз, кольцевидная гранулема, ювенильная ксантогранулема, мастоцитома, возвышающаяся эритема, розацеа, гистиоцитоз Х, базально-клеточная карцинома, микоз, лимфоцитарная инфильтрация Джесснера — Канофа [1, 17, 18].
В литературных источниках описаны терапевтические, хирургические и физиотерапевтические методы лечения ГЛ. Системную терапию проводили колхицином, изониазидом, кортикостероидами, тестостероном, противомалярийными препаратами, дапсоном, клофазимином [1, 19]. Препаратами выбора являются системные кортикостероиды, дапсон [1, 20]. Препараты для наружной терапии представлены кортикостероидами, ингибиторами кальциневрина [1]. Описаны случаи эффективного применения диодного, аргонового, карбонового лазеров, криотерапии, ПУВА-терапии, хирургического иссечения, внутриочагового введения триамцинолона [1, 21]. Некоторые авторы описывают положительный эффект при применении топического дапсона в форме 5%-го геля.
ГЛ является хроническим дерматозом, который протекает с периодами обострений и ремиссий и плохо поддается терапии. В нашем наблюдении пациент получал системную терапию дапсоном в дозировке 200 мг в сутки, курсами по 5 дней, с 2—3-дневными перерывами (всего 5 курсов) с хорошим положительным эффектом.
В заключение необходимо отметить, что наличие диссеминированных или солитарных экстрафациальных очагов не исключает диагноза ГЛ, даже при отсутствии высыпаний на лице. Описанный нами случай наглядно показывает, что экстрафациальный вариант ГЛ является крайне сложным для диагностики из-за нетипичной локализации высыпаний и требует проведения обязательного гистологического исследования.
About the authors
Rada G. Shpiliyuk
Military Medical Academy named after S.M. Kirov Ministry of Defense of the Russian Federation
Author for correspondence.
Email: Shrdd91@yandex.ru
dermatovenerologist
Россия, Akademika Lebedeva str., 2, St. Petersburg, 194044, RussiaOlga V. Antonova
Military Medical Academy named after S.M. Kirov Ministry of Defense of the Russian Federation
Email: lecja@bk.ru
assistant lecturer
Россия, Akademika Lebedeva str., 2, St. Petersburg, 194044, RussiaIrena E. Belousova
Military Medical Academy named after S.M. Kirov Ministry of Defense of the Russian Federation
Email: irena.belousova@mail.ru
MD, Dr. Sci. (Med.), Professor
Россия, Akademika Lebedeva str., 2, St. Petersburg, 194044, RussiaAleksey V. Samtsov
Military Medical Academy named after S.M. Kirov Ministry of Defense of the Russian Federation
Email: avsamtsov@mail.ru
MD, Dr. Sci. (Med.), Professor
Россия, Akademika Lebedeva str., 2, St. Petersburg, 194044, RussiaReferences
- Daniel AR, Darius RM. Granuloma faciale: distribution of the lesions and review of the literature. Cutis 2003;72:213–219.
- Pinkus H. Granuloma faciale. Dermatologica. 1952;105:85–99.
- Black CI. Granuloma faciale. Cutis. 1977;20:66–68.
- Castellano-Howard L, Fairbee SI, Hogan DJ, et al. Extrafacial granulo-ma faciale: report of a case and response to treatment. Cutis. 2001;67:413–415.
- Koplon BS, Wood MG. Granuloma faciale: first reported case in a Negro. Arch Dermatol. 1967;96:188–192.
- Richie EB, Alfaro PJ. Multiple papular facial granulomas with eosinophilia [letter]. Arch Dermatol. 1966;94:387.
- Nieboer C, Kalsbeek GL. Immunofluorescence studies in granuloma eosinophilicumfaciale. J Cutan Pathol. 1978;5:68–75.
- Ackerman AB, Chongchitnant N, Sanchez J. Histologic diagnosis of Inflammatory skin diseases: an algorithmic method based on pattern analysis. 2nd ed. Baltimore: Williams and Wilkins; 1997.
- Yiannias J, El-Azhary RA, Gibson LE. Erythema elevatumdiutinum: a clinical and histopathologic study of 13 patients. J Am Acad Dermatol. 1992;26:38–44.
- Johnson WC, Higdon RS, Helwig EB. Granuloma faciale. Arch Dermatol. 1959;79:42–52.
- Ortonne N, Wechsler J, Bagot M, et al. Granuloma faciale: a clini-copthologic study of 66 patients. J Am Acad Dermatol 2005;(6):1002–1009.
- Marcoval J, Moreno A, Peyri J. Granuloma faciale: a clinico-pathologcal study of 11 cases. J Am Acad Dermatol 2004;(2):269–273.
- Frankel DH, Soltani K, Medencia MM, et al. Tinea of the face caused by Trichophyton rubrum with histologic changes of granuloma fa-ciale. J Am Acad Dermatol. 1988;18:403–406.
- Gomezde la Fuente E, del Rio R, Rodriquez M, et al. Granuloma faciale mimicking rhinophyma: response to clofazimine. Acta Derm Vene-reol. 2000;80:144–159.
- Vassalo C, Derlino F, Croci GA, Brazzelli V, Borroni G. Chronic localized leukocytoclastic vasculitis: clinicopathological spectrum of granlomafaciale with and without extrafacial and mucosal involvement. G Ital Dermatol Venereol 2015;(1):87–94.
- Sears JK, Gitter DG, Stones MS. Extrafacial granuloma faciale. Arch Dermatol 1991;(127):742–743.
- Horn T. Long-standing erythematous facial plaques. Granuloma faciale. Arch Dermatol 1985;121:1553–1554,1556–1557.
- Phillips DK, Hymes SR. Recurrent facial plaques following full thickness grafting. Granuloma faciale. Arch Dermatol. 1994;130:1433–1434, 1436–1437.
- Jacyk WK. Facial granuloma in a patient treated with cloazimine. Arch Dermatol 1981;117:597–598.
- Van de Kerkhof PC. On the efficacy of dapsone in granuloma fa-ciale. Acta Dermatol Venereol 1994;74:61–62.
- Graham GF, Stewart R. Cryosurgery for unusual cutaneous neo-plasms. J Dermatol Surg Oncol 1977;3:437–442.
Supplementary files








