Синдром Россолимо–Мелькерссона–Розенталя как проявление саркоидоза губ
- Авторы: Перламутров Ю.Н.1, Дробышев А.Ю.1, Ольховская К.Б.1, Митерев А.А.1, Плеханова Е.Н.1
 - 
							Учреждения: 
							
- Московский государственный медико-стоматологический университет им. А.И. Евдокимова
 
 - Выпуск: Том 98, № 4 (2022)
 - Страницы: 58-66
 - Раздел: В ПОМОЩЬ ПРАКТИЧЕСКОМУ ВРАЧУ
 - Дата подачи: 16.09.2021
 - Дата принятия к публикации: 04.08.2022
 - Дата публикации: 19.09.2022
 - URL: https://vestnikdv.ru/jour/article/view/1278
 - DOI: https://doi.org/10.25208/vdv1278
 - ID: 1278
 
Цитировать
Полный текст
Аннотация
Пациентка 38 лет обратилась с жалобами на увеличение губ. С предварительным диагнозом синдром Россолимо–Мелькерссона–Розенталя (моносимптомная форма), хроническая трещина нижней губы больная была направлена на обследование с целью исключения опухолевой патологии и сосудистой мальформации. По результатам всестороннего клинико-лабораторного обследования установлено, что увеличение губ обусловлено формированием гранулем. Дополнительное наблюдение у пульмонолога подтвердило наличие саркоидоза легких с поражением лимфатических узлов средостения. Комплексное обследование позволило верифицировать диагноз мультисистемного саркоидоза у пациентки с макрохейлитом. В результате комплексной терапии с использованием хирургических методов и системных глюкокортикостероидов наблюдалась быстрая динамика клинических симптомов и была достигнута ремиссия. Данный клинический случай демонстрирует сочетание саркоидного поражения тканей лимфатических узлов средостения, паренхимы легких и губ. Именно наличие макрохейлита было основной причиной обращения к врачу-дерматовенерологу и послужило поводом для выбора последующей тактики обследования и лечения. В результате комплексной терапии с использованием хирургических методов лечения и системных глюкокортикостероидов, проведенной полностью в рамках программы государственных гарантий бесплатного оказания гражданам медицинской помощи, была достигнута стойкая ремиссия заболевания.
Полный текст
Актуальность
Саркоидоз (болезнь Бенье–Бёка–Шаумана) — достаточно редкое заболевание, проявляющееся гранулематозом различных органов и тканей (приблизительно в 90% случаев поражаются легкие) [1].
Имеется большое количество публикаций об особенностях распространенности, расовой предрасположенности, семейной, географической, климатической и профессиональной систематизации различных видов саркоидоза [2]. Однако разнородный характер клинических свидетельств вкупе с широким спектром клинических проявлений болезни не позволяет выделить на сегодняшний день основные этиологические признаки и патофизиологические механизмы его развития.
В настоящее время саркоидоз является наиболее частой причиной интерстициального заболевания легких во многих западных странах. За последние полвека было проведено несколько крупных исследований на эту тему, где были установлены основные эпидемиологические тенденции [3].
Наиболее часто заболевание регистрируется в скандинавских странах с преобладанием заболеваемости среди женщин в возрасте от 20 до 40 лет. По остальным данным закономерностей не выявлено [4].
Поражение кожи наблюдается у каждого третьего больного саркоидозом легких и лимфатических узлов.
В России частота поражения кожи у больных легочным и системным саркоидозом составляет 22,5% случаев, а согласно статистическому анализу диагнозов, поставленных дерматологами, — 63,4%. Поражение кожи может быть поводом для обследования пациента с целью верификации саркоидоза внутренних органов [5].
На современном этапе саркоидоз рассматривают как мультисистемный гранулематоз неизвестной этиологии, характеризующийся скоплением активированных Т-лимфоцитов СD4 и мононуклеарных фагоцитов с образованием несекретирующих эпителиоидноклеточных неказеифицирующихся гранулем в различных органах и тканях [6].
Причины развития заболевания до настоящего времени окончательно не изучены. Наиболее вероятной считается реакция на инфекционные агенты при наличии генетической предрасположенности [7].
В свою очередь, сообщалось о развитии системного саркоидоза и его проявлений на коже в ответ на применение лекарственных препаратов, например, индукторов интерферона или возникновение гранулем после введения в кожу инъекционных косметологических препаратов (гиалуроновая кислота) [8, 9].
Регистрируемое в последние годы увеличение заболеваемости саркоидозом связывают с антропогенным загрязнением окружающей среды и контактом пациентов с поллютантами, чаще всего связанным с профессиональной деятельностью [10].
Клинические проявления саркоидоза напрямую зависят от пораженного органа. В подавляющем большинстве случаев саркоидоз легких и лимфатических узлов протекает длительно, торпидно и бессимптомно. Общие конституциональные симптомы встречаются довольно часто, но они неспецифичны: усталость, недомогание, потеря веса и лихорадка с ночным потоотделением. Почти у половины пациентов наблюдаются одышка и сухой кашель. В 95% случаев регистрируются рентгенологические признаки заболевания. На ранних стадиях заболевания наблюдается двусторонняя внутригрудная лимфаденопатия без поражения легких (стадия 1). Одностороннее увеличение лимфатических узлов встречается гораздо реже и требует обследования на туберкулез, лимфому или пневмонию грибковой этиологии. Может развиться паренхиматозное поражение (стадия 2), а лимфаденопатия исчезает (стадия 3). Терминальная стадия поражения легких включает фиброз легких (стадия 4) [11].
Саркоидоз кожи и подкожно-жировой клетчатки относится к частым, но второстепенным поражениям после органов грудной клетки и регистрируется примерно у 25% пациентов с саркоидозом. Истинный (гранулематозный) кожный саркоидоз чрезвычайно разнообразен по внешнему виду. Lupus pernio (ознобленная волчанка Бенье–Теннессона) проявляется формированием болезненных, плотных, фиолетово-красного цвета, холодных на ощупь узлов и бляшек с гладкой напряженной подушкообразной поверхностью на коже век, щек, носа, ушных раковин, реже кистей и стоп.
Также саркоидоз кожи может проявляться папулами, пятнисто-папулезными поражениями, гипер- или гипопигментированными бляшками и даже некротическим кожным васкулитом. Могут поражаться кожа вокруг глаз и конъюнктива [5, 12].
Глюкокортикостероиды являются наиболее надежным и эффективным лекарственным средством, которое быстро подавляет гранулематозное воспаление. Однако в настоящее время очевидно, что они должны использоваться только для купирования острого течения заболевания и преимущественно при поражении органов грудной клетки.
При саркоидозе кожи препаратами первой линии являются противомалярийные средства, вместе с тем они неэффективны при поражении легких и лимфатических узлов.
Обсуждается вопрос эффективности моноклональных антител в отношении фактора некроза опухоли альфа и использования лазерных технологий в комплексном лечении саркоидоза [13].
Описание клинического случая
Больная М., 38 лет на момент первого осмотра, жительница г. Белгорода. Сфера деятельности больной — индивидуальное предпринимательство, работа связана с лакокрасочным производством.
Со слов больной, в 2012 г. прикусила нижнюю губу, после чего появилось образование, которое медленно увеличивалось в размерах, а через год пациентка начала отмечать отек и верхней губы.
В период 2012–2017 гг. лечение не проводилось.
В марте 2017 г. обратилась за консультацией к врачу-дерматовенерологу по месту жительства, диагноз не был поставлен. Была направлена на кафедру кожных и венерических болезней МГМСУ им А. И. Евдокимова, где в ходе осмотра был поставлен предварительный диагноз синдром Россолимо–Мелькерссона–Розенталя (моносимптомная форма), хроническая трещина нижней губы.
Для дальнейшего инструментального исследования с целью исключения опухолевой патологии и сосудистой мальформации больная была направлена в клинический центр челюстно-лицевой хирургии, пластической хирургии и стоматологии МГМСУ им. А. И. Евдокимова.
Результаты физикального, лабораторного и инструментального исследований
В апреле 2017 г. больная была консультирована челюстно-лицевым хирургом. Были назначены дообследование в объеме МРТ головы и шеи (установлены признаки сосудистого образования верхней и нижней губы, лимфангиома (под вопросом), исследование показателей периферической крови (по результатам общего и биохимического анализа патологических изменений не выявлено), мультиспиральная компьютерная томография головы (патологических изменений костной ткани не выявлено), флюорография (патологии не обнаружено).
При визуальном осмотре больной отмечалось увеличение верхней губы, увеличение нижней губы, хроническая трещина нижней губы, проявления хейлита нижней и верхней губы (рис. 1).
Рис. 1. Больная М. 03.07.2017 / Fig. 1. Patient M. 03.07.2017
Учитывая данные объективного обследования и рентгенографии, в апреле 2017 г. было принято решение о проведении вмешательства в объеме склерозирования верхней губы.
Кроме того, в мае 2017 г. больная была консультирована врачом — аллергологом-иммунологом, по результатам консультации был установлен предварительный диагноз: капиллярная лимфангиома верхней и нижней губ.
После выполнения общей анестезии под ультразвуковым контролем с использованием оснащенного опцией доплеровского анализа кровотока линейного датчика с частотой исследования 5–10 МГц было выполнено пунктирование введением пункционной иглы и продвижением ее до момента появления капли крови в пункционной игле. Затем, не меняя положение иглы, присоединили к ней шприц с предварительно подготовленной склерообразующей микропенной композицией и при выведении иглы заполняли пространство указанным составом. Склерообразующую микропенную композицию с воздухом [углекислым газом или смесью воздуха с углекислым газом] смешивали в соотношении от 1:3,5 до 1:4,5, в качестве склерозирующего препарата использовался 3% раствор «Лауромакрогол 400».
После проведенного вмешательства была назначена антибактериальная и противовоспалительная терапия, местно — депротеинизированный диализат из крови молочных телят дентальный для ускорения заживления хронической трещины нижней губы.
При наблюдении за больной через 1, 3, 8 недель отмечалась положительная динамика в виде уменьшения объема верхней губы (рис. 2).
Рис. 2. Больная М. 09.10.2017 / Fig. 2. Patient M. 09.10.2017
Следующим этапом в июле 2017 г. было принято решение о проведении вмешательства в объеме склерозирования нижней губы в композиции микропены объемом 2 мл «Лауромакрогол 400».
После проведенного вмешательства была назначена антибактериальная и противовоспалительная терапия. При наблюдении за пациенткой через 1, 3, 8 недель отмечена положительная динамика в виде уменьшения объема нижней губы.
В октябре 2017 г. больной было проведено повторное склерозирование верхней и нижней губы в композиции микропены в объеме 4 мл «Лауромакрогол 400».
Пациентке после вмешательства была проведена только противовоспалительная терапия. При наблюдении за пациенткой через 1, 3 и 5 месяцев отмечалась положительная динамика в виде уменьшения объема верхней и нижней губы.
В мае 2018 г. больной было вновь проведено склерозирование верхней и нижней губы (рис. 3).
Рис. 3. Больная М. 07.05.2018 / Fig. 3. Patient M. 07.05.2018
Через 1, 3, 4 месяца наблюдений отмечалась положительная динамика в виде уменьшения объема верхней и нижней губы (рис. 4).
Рис. 4. Больная М. 08.10.2018 / Fig. 4. Patient M. 08.10.2018
Также в октябре 2018 г. было принято решение о пластическом устранении деформации верхней и нижней губы по типу labium duplex. Иссеченные фрагменты были отправлены на гистологическое исследование, по результатам которого был диагностирован саркоидоз (рис. 7).
Рис. 7. Больная М. 09.10.2018. Нижняя губа (произведено иссечение слизистой по типу labium duplex) / Fig. 7. Patient M. 09.10.2018. Lower lip (excision of the mucosa was performed according to the labium duplex type)
Гистологическое заключение от 19.10.2018: множественные четко очерченные эпителиоидно-клеточные гранулемы саркоидного типа без центральных очагов некроза, окруженные лимфоцитами, с примесью плазматических клеток и обилием многоядерных гигантских клеток (рис. 9 а, б, в).
Рис. 9 (а, б, в). Гистологическое исследование биоптата нижней губы, окраска гематоксилином и эозином / Fig. 9 (a, b, с). Histological examination of the biopsy of the lower lip, stained with hematoxylin and eosin
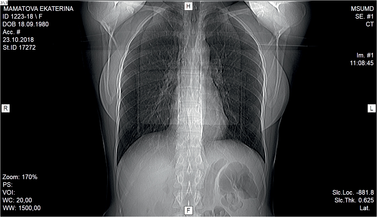
Дополнительно в октябре 2018 г. больной была проведена мультиспиральная компьютерная томография органов грудной клетки, по результатам которой были выявлены признаки интерстициальных изменений легких, измененные лимфатические узлы паратрахеальной, бифуркационной и бронхопульмональных групп (может соответствовать лимфопролиферативному процессу, саркоидозу — клинико-лабораторное сопоставление) (рис. 8).
Рис. 8. Больная М. 23.10.2018. МСКТ грудной клетки / Fig. 8. Patient M. 23.10.2018. MSCT of the chest
В связи с выявленными изменениями больной была назначена консультация и, при необходимости, наблюдение у врача-пульмонолога. В этой связи в ноябре 2018 г. больная находилась на стационарном лечении в пульмонологическом отделении ФНКЦ ФМБА. Больной была проведена пульс-терапия системными глюкокортикостероидами (метилпреднизолон 500–250–250 мг с переходом на преднизолон 25 мг/сутки с последующим снижением до 20 мг/сутки) (см. рис. 5).
Рис. 5. Больная М. 24.10.2018 / Fig. 5. Patient M. 24.10.2018
В январе 2019 г. по результатам контрольного осмотра врача-пульмонолога больной была проведена компьютерная томография легких, по результатам которой КТ-данных о наличии патологических изменений в паренхиме легких, средостении (в том числе данных об увеличении внутригрудных лимфатических узлов) не получено.
Одновременно врачом-пульмонологом было рекомендовано продолжить проводимое лечение системными глюкокортикостероидами, включая в том числе: 1) табл. преднизолон по 20 мг в сутки в теч. 4 месяцев; 2) табл. омепразол по 20 мг 2 раза в день на весь период приема таблеток преднизолона; 3) табл. магния аспарагинат по 1 табл. 3 раза в день в теч. 10 дней каждого месяца) (см. рис. 6).
Рис. 6. Больная М. 11.02.2019 / Fig. 6. Patient M. 11.02.2019
В мае 2019 г. проведена контрольная компьютерная томография легких, по результатам которой патологических изменений, как и прежде, не было обнаружено. В этой связи врачом-пульмонологом было рекомендовано постепенное снижение дозы системного глюкокортикостероида (табл. преднизолон 20 мг в сутки в теч. 1 месяца с постепенным снижением дозы препарата по ¼ табл. 1 раз в 2 недели до 2,5 табл. (12,5 мг/сутки) 1 раз в день утром (после завтрака)).
Лечение было полностью завершено в августе 2020 г. с формированием стойкой ремиссии саркоидоза губ и органов грудной клетки.
Обсуждение
Синдром Россолимо–Мелькерссона–Розенталя — редкое кожно-нервное заболевание неизвестной этиологии.
Начало заболевания варьирует от раннего детства до позднего возраста, и диагноз базируется в основном на клиническом обнаружении триады симптомов, таких как отек губ, рецидивирующий паралич лицевого нерва и скротальный язык [14].
Тем не менее олигосимптоматические или моносимптомные формы этого синдрома встречаются чаще, чем классическая триада.
Рецидивирующий отек губ, также называемый синдромом Мишера или гранулематозный хейлит Мишера, является наиболее частым моносимптомным проявлением, а гистологические характеристики включают лимфомоноцитарную инфильтрацию, неказеозные эпителиоидно-клеточные гранулемы, многоядерные гигантские клетки типа Лангерганса и фиброз [15].
Гистопатологические признаки макрохейлита при синдроме Россолимо–Мелькерссона–Розенталя соответствуют другим гранулематозным заболеваниям: болезнь Крона, саркоидоз, болезнь Вегенера и орофациальный гранулематоз. Некоторые авторы считают, что синдром Россолимо–Мелькерссона–Розенталя может быть начальным проявлением болезни Крона или саркоидоза [16].
Данный клинический случай демонстрирует сочетание саркоидного поражения тканей лимфатических узлов средостения, паренхимы легких и губ. Именно наличие макрохейлита было основной причиной обращения к врачу-дерматовенерологу и послужило поводом для выбора последующей тактики обследования и лечения.
Заключение
Комплексное обследование больной с участием заинтересованных специалистов позволило верифицировать диагноз мультисистемного саркоидоза у пациентки с макрохейлитом. В результате комплексной терапии с использованием хирургических методов лечения и системных глюкокортикостероидов, проведенной полностью в рамках программы государственных гарантий бесплатного оказания гражданам медицинской помощи, была достигнута стойкая ремиссия заболевания.
Об авторах
Юрий Николаевич Перламутров
Московский государственный медико-стоматологический университет им. А.И. Евдокимова
														Email: y.perlamutrov@mail.ru
				                	ORCID iD: 0000-0002-4837-8489
				                	SPIN-код: 2330-2758
																		                								
д.м.н., профессор
Россия, 127473, Москва, ул. Делегатская, д. 20, стр. 1Алексей Юрьевич Дробышев
Московский государственный медико-стоматологический университет им. А.И. Евдокимова
														Email: dr.drobyshev@gmail.com
				                	ORCID iD: 0000-0002-1710-6923
				                	SPIN-код: 6683-8226
																		                								
д.м.н., профессор
Россия, 127473, Москва, ул. Делегатская, д. 20, стр. 1Кира Брониславовна Ольховская
Московский государственный медико-стоматологический университет им. А.И. Евдокимова
							Автор, ответственный за переписку.
							Email: olhovskaya_kira@mail.ru
				                	ORCID iD: 0000-0003-4920-5288
				                	SPIN-код: 9455-9482
																		                								
к.м.н., доцент
Россия, 127473, Москва, ул. Делегатская, д. 20, стр. 1Андрей Александрович Митерев
Московский государственный медико-стоматологический университет им. А.И. Евдокимова
														Email: dr.miterev@mail.ru
				                	ORCID iD: 0000-0003-3735-7022
				                	SPIN-код: 3308-1606
																		                								
к.м.н.
Россия, 127473, Москва, ул. Делегатская, д. 20, стр. 1Елена Николаевна Плеханова
Московский государственный медико-стоматологический университет им. А.И. Евдокимова
														Email: etsmokalyk@mail.ru
				                	ORCID iD: 0000-0002-8667-9960
				                																			                												                	Россия, 							127473, Москва, ул. Делегатская, д. 20, стр. 1						
Список литературы
- Grunewald J, Grutters JC, Arkema EV, Saketkoo LA, Moller DR, Müller-Quernheim J. Sarcoidosis. Nat Rev Dis Primers. 2019;5(1):45. doi: 10.1038/s41572-019-0096-x
 - Ungprasert P, Carmona EM, Utz JP, Ryu JH, Crowson CS, Matteson EL. Epidemiology of Sarcoidosis 1946–2013. Mayo Clin Proc. 2016;91(2):183–188. doi: 10.1016/j.mayocp.2015.10.024
 - Arkema EV, Cozier YC. Epidemiology of sarcoidosis: current findings and future directions. Ther Adv Chronic Dis. 2018;9(11):227–240. doi: 10.1177/ 2040622318790197
 - Dumas O, Abramovitz L, Wiley AS, et al. Epidemiology of sarcoidosis in a prospective cohort study of U.S. women. Ann Am Thorac Soc. 2016;13(1):67–71. doi: 10.1513/annalsats.201508-568bc
 - Кирдаков Д.Ф., Фомин В.В., Потекаев Н.Н. Саркоидоз кожи: клинические варианты и прогностическое значение. Фарматека. 2011;231(18):28–33 [Kirdakov DF, Fomin VV, Potekaev NN. Skin Sarcoidosis: Clinical Variants And Prognostic Significance. Farmateka. 2011;231(18):28–33. (In Russ.)]
 - Chen ES, Moller DR. Etiologies of Sarcoidosis. Clin. Rev. Allergy Immunol. 2015;49(1):6–18. doi: 10.1007/s12016-015-8481-z
 - Интерстициальные болезни легких. Под ред. Н.А. Мухина. М.: Литтерра. 2007; с. 120–144. [Intersticial'nye bolezni legkih. (Interstitial lung diseases.) Ed. by N.A. Muhin. Moscow: Litterra. 2007; 120–144. (In Russ.)]
 - Goldberg HJ, Fiedler D, Webb A, Jagirdar J, Hoyumpa AM, Peters J. Sarcoidosis after treatment with interferon-alpha: a case series and review of the literature. Respir Med. 2006;100(11):2063–2068. doi: 10.1016/j.rmed.2006.03.004
 - Sacco D Dal, Cozzani E, Parodi A, Rebora A. Scar sarcoidosis after hyaluronic acid injection. Int J Dermatol. 2005;44(5):411–412. doi: 10.1111/j.1365-4632.2005.01930.x
 - Chen ES, Moller DR. Etiology of Sarcoidosis. Clin. Chest Med. 2008;29(3):365–377. doi: 10.1016/j.ccm.2008.03.011
 - Mihailovic-Vucinic V, Jovanivic D. Pulmonary sarcoidosis. Clin Chest Med. 2008;29(3):459–473. doi: 10.1016/j.ccm.2008.03.002
 - Нефедьева Ю.В., Шамгунова М.В., Иванова В.О., Кокшарова И.С. Клинический случай саркоидоза кожи. Трудный пациент. 2018;16(5):38–40. [Nefed'eva JuV, Shamgunova MV, Ivanova VO, Koksharova IS. Clinical case of skin sarcoidosis. Trudnyj pacient. 2018;16(5):38–40. (In Russ.)]
 - James WE, Baughman R. Treatment of sarcoidosis: grading the evidence. Expert Rev Clin Pharmacol. 2018;11(7):677–687. doi: 10.1080/17512433.2018.1486706.
 - Elias MK, Mateen FJ, Weiler CR. The Melkersson–Rosenthal syndrome: a retrospective study of biopsied cases. J Neurol. 2013;260(1):138–143. doi: 10.1007/s00415-012-6603-6
 - Critchlow WA, Chang D. Cheilitis Granulomatosa: A Review. Head Neck Pathol. 2014;8(2):209–213. doi: 0.1007/3-540-29668-9_547
 - Ozgursoy OB, Karatayli Ozgursoy S, Tulunay O, Kemal O, Akyol A, et al. Melkersson–Rosenthal syndrome revisited as a misdiagnosed disease. Am J Otolaryngol. 2009;30(1):33–37. doi: 10.1016/j.amjoto.2008.02.004
 
Дополнительные файлы
				
			
						
					
									












