A rare case of follicular sarcoidosis
- Authors: Gritskova I.A.1, Gorbunov Y.G.1, Alferov K.I.2, Belousova I.E.1
-
Affiliations:
- S.M. Kirov Military Medical Academy
- LLC “Clinic SMT”
- Issue: Vol 98, No 1 (2022)
- Pages: 58-63
- Section: GUIDELINES FOR PRACTITIONERS
- Submitted: 26.11.2021
- Accepted: 10.02.2022
- Published: 15.01.2022
- URL: https://vestnikdv.ru/jour/article/view/1295
- DOI: https://doi.org/10.25208/vdv1295
- ID: 1295
Cite item
Full Text
Abstract
The article is devoted to a rare variant of skin sarcoidosis — the so-called follicular sarcoidosis. According to the literature, the follicular form of sarcoidosis is extremely rare, several isolated cases are described in foreign literature, there are no publications in the russian literature. A 30-year-old female patient came to the clinic of the Military Medical Academy with a skin rash of the upper extremities, trunk and neck that lasted for one year. Anamnesis: repeated use of topical corticosteroids for the treatment with a temporary positive effect. The skin process was represented by common follicular papules; a histological examination of one of the elements revealed granulomas of the sarcoid type, which were located perifolliculary, mainly around the infundibular sections of the hair follicles. The rash resolved after a course of external corticosteroid therapy. The clinical case described by us illustrates the need for histological examination to verify the diagnosis.
Full Text
Актуальность
Анализ литературы показывает, что фолликулярная форма саркоидоза встречается крайне редко (менее 2% от всех случаев поражения кожи при саркоидозе) и представляет значительные трудности в диагностике. В зарубежной литературе приведено описание всего 13 случаев фолликулярного саркоидоза [1–5].
В связи с малочисленными публикациями о фолликулярной форме саркоидоза кожи в зарубежной литературе и отсутствием публикаций в отечественной, приводим обзор клинического случая данной формы.
Описание случая
В апреле 2021 г. в клинику кожных и венерических болезней Военно-медицинской академии имени С.М. Кирова обратилась пациентка З. 30 лет с жалобами на распространенные высыпания на верхних конечностях, туловище и шее, сопровождающиеся умеренным периодическим зудом. Из анамнеза известно, что первые высыпания появились на коже верхних конечностей в 2020 г. Неоднократно обращалась за медицинской помощью; ей ставились различные диагнозы, назначалась наружная противовоспалительная терапия в виде топических кортикостероидов с временным положительным эффектом. В дальнейшем высыпания распространились на кожу шеи и туловища. В январе 2021 г. имелся эпизод повышения температуры тела до 38 °С. Одновременно с этим пациентка отмечала появление болей в левом подреберье, которые купировались самостоятельно. В клиническом анализе крови в феврале 2021 г.: тромбоцитоз 1280 × 109/л, тромбокрит 1,29%, гемоглобин 143 г/дл, лейкоцитоз 11,5 × 109/л; по заключению компьютерной томографии органов брюшной полости — спленомегалия (143 × 83 мм). Была консультирована гематологом, который рекомендовал выполнение трепанобиопсии костного мозга, по результатам которой была выявлена морфологическая картина хронического миелопролиферативного заболевания, более вероятно, эссенциальной тромбоцитемии. На основании полученных данных гематологом был поставлен диагноз эссенциальной тромбоцитемии и назначено лечение в виде антиагрегантной и интерферонотерапии.
Результаты физикального, лабораторного и инструментального исследования
При осмотре: на коже туловища, шеи и верхних конечностей определялись множественные фолликулярные папулы размером от 0,1 до 0,3 см в диаметре, розово-красного цвета, покрытые среднепластинчатыми белыми чешуйками по всей поверхности (рис. 1а, б, в). При диаскопии элементов сыпи определялось желтовато-коричневое окрашивание.
Рис. 1. Множественные фолликулярные папулы розово-красного цвета, покрытые среднепластинчатыми белыми чешуйками по всей поверхности
Для уточнения диагноза в клинике кожных и венерических болезней пациентке была произведена диагностическая биопсия.
При гистологическом исследовании обнаружены гранулемы саркоидного типа, которые состояли из эпителиоидных и гигантских клеток и располагались перифолликулярно преимущественно вокруг инфундибулярных отделов волосяных фолликулов.
На основании анамнеза, клинической картины и гистологического исследования был установлен окончательный диагноз: саркоидоз кожи, фолликулярная форма.
Лечение. Проводилась наружная терапия топическими стероидами высокой степени активности. При повторном осмотре через 2 недели отмечался слабый положительный эффект, в результате чего было рекомендовано продолжить применение топических стероидов.
Исход и результаты последующего наблюдения. В дальнейшем, по информации, предоставленной лечащим врачом, кожный процесс полностью разрешился через 5 месяцев.
Обсуждение
Саркоидоз — хронический воспалительный дерматоз неясной этиологии, в основе которого лежит формирование эпителиоидноклеточных неказеозных гранулем в различных органах и тканях, за исключением надпочечников [6]. В патогенезе заболевания основная роль отводится морфофункциональным изменениям системы фагоцитирующих мононуклеаров. Гранулема при саркоидозе представлена скоплением гигантских клеток и эпителиоидных макрофагов, окруженных различной степенью выраженности ободком CD4+ Т-клеток. Кожа поражается в 20–35% случаев.
В настоящее время существует несколько клинических форм саркоидоза кожи: локализующийся в собственно коже (мелкоузелковый, крупноузелковый, диффузно-инфильтративный), в подкожно-жировой клетчатке (узловатый), а также редкие формы саркоидоза, такие как пятнистый; лихеноидный; аннулярный; верруциформный; псориазиформный; ознобленная волчанка; саркоидоз, развившийся в пределах рубцовой ткани; саркоидоз волосистой части головы, приводящий к формированию рубцовой или нерубцовой алопеции; ониходистрофии, обусловленные развитием гранулем в ногтевом ложе или вовлечением дистальной фаланги в патологический процесс; саркоидоз слизистых оболочек; подкожные саркоиды Дарье — Русси, фолликулярный саркоидоз [7, 8].
Единой точки зрения об этиологии саркоидоза нет. Предполагается, что саркоидоз является результатом гранулематозного воспаления в ответ на воздействие неизвестного антигена у генетически предрасположенных лиц [9]. На роль генетических факторов в развитии саркоидоза указывают расовые особенности течения заболевания (более тяжелое течение, меньшее количество случаев бессимптомного течения у афроамериканцев, чем у европейцев), а также семейные случаи заболевания. Результаты одного из последних исследований о наследовании саркоидоза подтвердили роль генетической предрасположенности: наличие саркоидоза у родственников повышает риск его развития в семье до четырех раз [10]. В описанном нами примере у прямых родственников пациентки случаев саркоидоза не было.
Среди факторов экологического риска развития саркоидоза выделяют инфекционные агенты, такие как Propionibacterium acnes [11], микобактерии, грибы, Atopobium, Fusobacterium [12], но также и неинфекционные агенты: горючие продукты [13], дефицит витамина D [14], минеральная пыль [15]. Патогенез заболевания сложен, и основная роль в нем отводится морфофункциональным изменениям системы фагоцитирующих мононуклеаров.
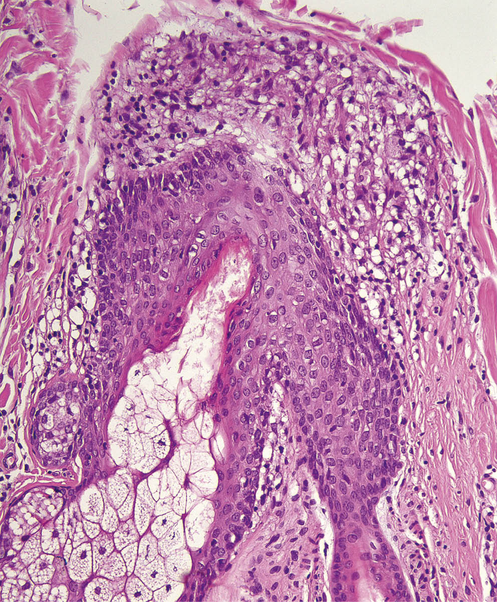
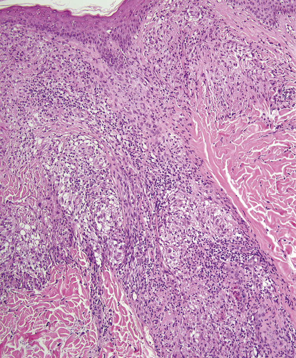
При гистологическом исследовании высыпаний при саркоидозе обычно обнаруживаются эпителиоидноклеточные гранулемы в дерме или подкожной жировой клетчатке, содержащие эпителиоидные клетки, гистиоциты и гигантские клетки, по периферии гранулем могут располагаться лимфоциты в небольшом количестве; в 20% случаев в центре гранулемы отмечается фибриноидный некроз [16]. У нашей пациентки при гистологическом исследовании определялись саркоидные гранулемы, расположенные в дерме вокруг инфундибулярной части волосяных фолликулов, состоящие из эпителиоидных и гигантских клеток (рис. 2–4).
Рис. 2. Волосяной фолликул практически на всем протяжении окружен сливающимися гранулемами саркоидного типа
Рис. 3. Саркоидные гранулемы состоят преимущественно из эпителиоидных клеток
Рис. 4. Саркоидная гранулема прилежит к фолликулярному эпителию у места впадения протока сальной железы в фолликул
P. Sinha и соавт. описали случай фолликулярного саркоидоза кожи у 45-летнего мужчины, кожные проявления которого были схожи с проявлениями заболевания у нашей пациентки. Пациент получал лечение системными кортикостероидами, гидроксихлорохином и топическими кортикостероидами с положительным эффектом в виде регресса высыпаний почти на 50%, в то время как у нашей пациентки полный регресс был достигнут применением только топических кортикостероидов [2].
В 2019 г. M. Torquato и соавт. описали 72 пациентов с саркоидозом кожи, из них только у 1 пациента наблюдалась фолликулярная форма, но с вовлечением других органов (печени, поджелудочной железы, желудочно-кишечного тракта, селезенки). Пациенту была назначена терапия талидомидом и инфликсимабом, однако оценить эффективность данной терапии не удалось [3].
Анализ опубликованных случаев показал, что фолликулярная форма встречается крайне редко. Мужчины болеют чаще, чем женщины: 61,5 и 38,5% соответственно. Было выявлено, что в большинстве случаев поражались люди молодого возраста (30,7%); на долю детского возраста приходилось 14,4% случаев, среднего и пожилого возраста в равных долях — по 23,1%; старческого — 7,7%. Анализ локализации высыпаний дал следующие результаты: кожа нижних конечностей вовлекалась в процесс в большинстве случаев, что составило 76,9%; туловища и верхних конечностей в равных долях — 53,8%; кожа лица — в 23,1% случаев. Возникновение зуда пациенты отмечали в 46,1% случаев. Высыпания были представлены фолликулярными папулами, склонными к группировке, размером с булавочную головку, различных оттенков, в большинстве случаев сопровождались шелушением. У нашей пациентки высыпания были аналогичны анализируемым случаям и представляли собой фолликулярные папулы, которые были покрыты по всей поверхности среднепластинчатыми чешуйками. Кожные проявления заболевания у нашей пациентки сопровождались зудом и были склонны к группировке.
Системность патологического процесса с вовлечением других органов наблюдалась в 15,4% описанных случаев.
В зарубежных источниках описано применение терапевтических и хирургических методов лечения фолликулярного саркоидоза кожи. Системная терапия включала в себя применение глюкокортикостероидов, противомалярийных препаратов, метотрексата, азатиоприна, талидомида, изотретиноина, циклофосфамида, производных тетрациклина, антагонистов ФНО. В качестве наружной терапии эффективными оказались препараты на основе такролимуса и топических стероидов высокой степени активности [8], применение последних у нашей пациентки дало положительный эффект.
Полный регресс высыпаний был достигнут в половине анализируемых случаев (50%), рецидив высыпаний наблюдался в 25%, частичный регресс — в 25% случаев.
Заключение
Описанный нами случай фолликулярного саркоидоза кожи показывает, что диагностика данной формы является крайне сложной и требует обязательного проведения гистологического исследования.
About the authors
Inna A. Gritskova
S.M. Kirov Military Medical Academy
Author for correspondence.
Email: innaannushkina@gmail.com
ORCID iD: 0000-0002-0549-4009
SPIN-code: 6004-6546
Россия, Akademika Lebedeva str., 6–8, 194044, Saint Petersburg
Yuri G. Gorbunov
S.M. Kirov Military Medical Academy
Email: urikgor@rambler.ru
ORCID iD: 0000-0002-1375-056X
SPIN-code: 3393-3256
MD, Cand. Sci. (Med.), associate professor
Россия, Akademika Lebedeva str., 6–8, 194044, Saint PetersburgKonstantin I. Alferov
LLC “Clinic SMT”
Email: Alferov-spb@yandex.ru
ORCID iD: 0000-0002-5652-6605
SPIN-code: 3978-2049
Россия, Moskovskiy avenue, 22, 190013, Saint Petersburg
Irena E. Belousova
S.M. Kirov Military Medical Academy
Email: irena.belousova@mail.ru
ORCID iD: 0000-0002-4374-4435
SPIN-code: 6386-1117
Dr. Sci. (Med.), Professor
Россия, Akademika Lebedeva str., 6–8, 194044, Saint PetersburgReferences
- Seo KS, Yeum JS, Suh JC, Na GY. Lichenoid sarcoidosis in a 3-year-old girl. Pediatr Dermatol. 2001;18(5):384–387. doi: 10.1046/j.1525-1470.2001.01958.x
- Sinha P, Bhattacharjee S, Raman DK, Sood A. A rare case of lichenoid sarcoidosis mimicking popular amyloidosis. Indian J Dermatol. 2020;65(1):50–52. doi: 10.4103/ijd.IJD_501_18
- Torquato MF, Souza da Costa MK, Nico MMS. Cutaneous sarcoidosis: clinical and epidemiological profile of 72 patients in a specialized hospital in Sаo Paulo. An Bras Dermatol. 2020;95(1):57–62. doi: 10.1016/j.abd.2019.06.004
- Demongeot C, Moulonguet I, Georges P, Bagot M, Flageul B. Gastric sarcoidosis revealed by cutaneous follicular sarcoidosis. Ann Dermatol Venereol. 2011;138(2):116–119. doi: 10.1016/j.annder.2010.10.022
- Sakai H, Nomura W, Sugawara M. Certolizumab Pegol-induced folliculitis-like lichenoid sarcoidosis in a patient with rheumatoid arthritis. Case Rep Dermatol. 2017;9(3):158–163. doi: 10.1159/000477957
- Polverino F, Balestro E, Spagnolo P. Clinical presentations, pathogenesis, and therapy of sarcoidosis: state of the art. J Clin Med. 2020;9(8):2363. doi: 10.3390/jcm9082363.
- Wilson NJ, King CM. Cutaneous sarcoidosis. Postgrad Med J. 1998;74(877):649–652. doi: 10.1136/pgmj.74.877.649.
- Marchell RM, Thiers B, Judson MA. Sarcoidosis. In: Goldsmith LA, Katz SI, Gilchrest BA, Paller AS, Leffell DJ, Wolff K. Fitzpatrick’s Dermatology in General Medicine. 2nd ed. Vol. 2. Moscow: Panfilov Publishing House, 2016. P. 2060–2072.
- Arkema EV, Cozier YC. Epidemiology of sarcoidosis: current findings and future directions. TherAdv Chronic Dis. 2018;9(11):227–240. doi: 10.1177/2040622318790197
- Rossides M, Grunewald J, Eklund A, Kullberg S, Di Giuseppe D, Askling J, et al. Familial aggregation and heritability of sarcoidosis: a Swedish nested case-control study. EurRespir J. 2018;52(2):1800385. doi: 10.1183/13993003.00385-2018
- Abe C, Iwai K, Mikami R, Hosoda Y. Frequent isolation of Propionibacterium acnes from sarcoidosis lymph nodes. Zentralbl Bakteriol Mikrobiol Hyg A. 1984;256(4):541–547. doi: 10.1016/s0174-3031(84)80032-3
- Zimmermann A, Knecht H, Häsler R, Zissel G, Gaede KI, Hofmann S, et al. Atopobium and Fusobacterium as novel candidates for sarcoidosis-associated microbiota. EurRespir J. 2017;50(6):1600746. doi: 10.1183/13993003.00746-2016
- Prezant DJ, Dhala A, Goldstein A, Janus D, Ortiz F, Aldrich TK, et al. The incidence, prevalence, and severity of sarcoidosis in New York City firefighters. Chest. 1999;116(5):1183–1193. doi: 10.1378/chest.116.5.1183
- Sawahata M, Sugiyama Y. An epidemiological perspective of the pathology and etiology of sarcoidosis. Sarcoidosis Vasc Diffuse Lung Dis. 2016;33(2):112–116.
- Gorham ED, Garland CF, Garland FC, Kaiser K, Travis WD, Centeno JA. Trends and occupational associations in incidence of hospitalized pulmonary sarcoidosis and other lung diseases in Navy personnel: a 27-year historical prospective study, 1975–2001. Chest. 2004;126(5):1431–1438. doi: 10.1378/chest.126.5.1431
- Torres PR. Pathological anatomy and ultrastructure. In: Peláez RP, Torres PR, Prieto VAH, Giraldo LFA. Sarcoidosis. Havana. MedicalPublishingCompany. 2010. P. 19–21.
Supplementary files








