Lichen planus-lupus erythematosus overlap syndrome
- Authors: Nikolaeva M.Y.1, Monakhov K.N.1, Sokolovskiy E.V.1
-
Affiliations:
- First Pavlov State Medical University of Saint Petersburg
- Issue: Vol 98, No 2 (2022)
- Pages: 63-72
- Section: GUIDELINES FOR PRACTITIONERS
- Submitted: 16.11.2021
- Accepted: 10.04.2022
- Published: 25.05.2022
- URL: https://vestnikdv.ru/jour/article/view/1296
- DOI: https://doi.org/10.25208/vdv1296
- ID: 1296
Cite item
Abstract
The combination of lichen planus and lupus erythematosus is rare: the number of overlap syndrome cases described in the world literature does not exceed 50. The clinical picture of the overlap syndrome is variable: patients have discoid lesions of lupus erythematosus and typical flat-topped polygonal papules of lichen planus, as well as joint manifestations in the form of livid-red plaques with central atrophy and superficial desquamation. Laboratory testing reveals positive antinuclear antibody. The histopathological picture is characterized by a combination of histological signs of lichen planus and lupus erythematosus. In some cases, clinical and immunological signs of systemic lupus erythematosus are found in patients with the overlap syndrome. We describe two cases of lichen planus–systemic lupus erythematosus overlap syndrome.
Keywords
Full Text
Relevance
The combination of lichen planus and lupus erythematosus is rare: no more than fifty cases of the overlap syndrome have been described by the beginning of the 21st century [1]. There are no accurate epidemiological data on the incidence of this combination.
The overlap syndrome is difficult to diagnose due to the rarity of dermatosis, non-specific clinical picture, and a unique pathomorphological structure of lesions: the histological picture can combine manifestations of both lichen planus and lupus erythematosus [2, 3]. The immunological study, which is based on detection of HEp-2 antinuclear antibody, anti-DNA antibodies, and antibodies to other nuclear antigens, as well as direct immunofluorescence (DIF) assay in biopsy samples of injured and intact skin (lupus band test), facilitate the diagnosis [3, 4]. A score-based algorithm of diagnosis was proposed by V. Mahler et al. in 1998. The algorithm is based on the clinical picture of the disease, histological data, and immunological parameters. The provisional diagnosis of Lichen planus–lupus erythematosus overlap syndrome is considered in case if the score is > 6 [5].
The main goal of this study is to draw attention to the rare clinical form of lichen planus–lupus erythematosus overlap syndrome. Two clinical cases of lichen planus–lupus erythematosus overlap syndrome receiving inpatient treatment at the Department of Dermatovenereology of the First Pavlov State Medical University of Saint Petersburg in 2021 are presented.
Case report
Case 1
A female patient K., aged 50, was admitted to the Department of Dermatovenereology of the First Pavlov State Medical University of Saint Petersburg in April 2021 with complaints of widespread rash and local hair loss.
Disease history
The patient considers herself to be diseased since 2015, after the occurrence of a red spot on the left cheek after a series of chemical peel treatments followed by solar exposure. According to the patient, the spot gradually thickened and increased in size. After a stress situation in winter of 2019, the patient noted deterioration of skin condition: new lesions occurred on the skin of the scalp and back. In March 2020, dense plaques with severe hyperkeratosis formed on the lateral surface of hands. There were no complaints of fever, shiver, and fatigue. The patient consulted a dermatologist at the place of residence; discoid lupus erythematosus was suspected. In order to verify the diagnosis and determine the treatment strategy, the patient was referred for hospitalization at the Dermatovenereology Department of the First Pavlov State Medical University of Saint Petersburg.
Medical history
The patient denies any systemic diseases of connective tissue in close relatives. Our attention was drawn to a long history of smoking: the patient had been smoking one cigarette pack a day for 30 years. She is actively engaged in rock climbing and spends holidays in the mountains several times a year. Irregular use of sunscreen was noted.
Status specialis
Widespread skin lesions are observed. A moderately infiltrated red plaque with clear boundaries, mild central atrophy, and insignificant superficial desquamation is located on the skin of the left cheek. The plaque diameter is about 4 cm (fig. 1). Scalp examination revealed two cicatricial alopecic lesions with clear boundaries, soft erythema, and moderate superficial desquamation. Insignificant skin retraction is noted in the area of lesions. No "loose hair" zone is observed at the periphery of lesions (fig. 2). Pink plaques of 2.5 cm in diameter with clear boundaries are located symmetrically on the lateral surface of hands. Severe hyperkeratosis is observed on the surface of lesions (fig. 3). Moderately infiltrated livid-red plaques are found on the skin of the back. Plaque boundaries are clear, with moderate atrophy and hyperpigmentation at the center and mild desquamation at the periphery. The plaque diameter is about 4 cm (fig. 4). The mucous membrane of the oral cavity is unchanged.
Fig. 1. Patient K. Moderately infiltrated red plaque with clear boundaries, slight atrophy in the center and slight superficial scaling on the skin of the left cheek
Fig. 2. Patient K. A lesion of cicatricial alopecia on the scalp
Fig. 3. Patient K. Plaques on the skin of the lateral surface of the hands: on examination, pronounced hyperkeratosis is revealed, the boundaries are clear, on palpation — moderate infiltration
Fig. 4. Patient K. On the skin of the back: a plaque of stagnant red color with a livid tint, clear boundaries, central atrophy and hypopigmentation, slight desquamation
The results of physical, laboratory, and instrumental examination
A laboratory analysis revealed the following changes. An increase in erythrocyte sedimentation rate (ESR) to 19 mm/hr. The estimated glomerular filtration rate (GFR, calculated using the CKD-EPI equation) decreased to 84.9 ml/min/1.73 m2; protein content in urine was 0.087 g/l according to the general urinalysis. An immunological examination revealed an increase in antinuclear antibody (ANA) titer in HEp-2 cells to 1:2,560, cytoplasmic fluorescence, and the presence of IgG anti-dsDNA antibodies and IgG/IgM antibodies to cardiolipin. A pathological and anatomical analysis of a skin biopsy sample using immunofluorescence methods (lupus band test) revealed fine granular deposits of IgG (1+), IgM (1+), and IgA (1+) at the basal membrane of the epidermis and individual intercellular contacts of the epidermis.
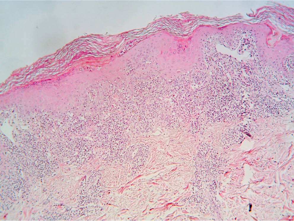
For histological study, biopsy samples of several lesions of the scalp, face, back, and hand areas were obtained. Hyperkeratosis, local parakeratosis, areas of hypergranulosis, band-like lymphocytic–histiocytic infiltrate in the upper dermis, and focal lymphocytic–histiocytic infiltrates around vessels and skin appendages in the middle and lower dermis were observed in the ares of lesions (fig. 5, 6). The pathologist's report is as follows: the described changes better correspond to lichen planus; changes found in the back skin lesion may indicate both lichen planus and lichenoid lupus erythematosus.
Fig. 5. Patient K. Histological study of skin sample from lesion, located on the back. Нematoxylin-eosin. Magnification 10x. Orthokeratosis. The epidermis is uneven: with areas of hypergranulosis and areas of acanthosis. Vacuolar degeneration of keratinocytes. In the upper part of the dermis, close to the epidermis, there is a band-like lymphocytic-histiocytic infiltrate. Focal perivascular, perifollicular infiltrates in the middle part of the dermis
Fig. 6. Patient K. Histological study of skin sample from lesion, located on the skin of the face. Нematoxylin-eosin. Magnification 10x. Orthokeratosis. Epidermis with a tendency to atrophy. Vacuolar degeneration of keratinocytes. The infundibula of the hair follicles are enlarged, filled with horny masses. In the upper part of the dermis, there is a band-like lymphocytic-histiocytic infiltrate, close to the epidermis. The vessels are dilated, there is basophilic degeneration of dermal collagen
Treatment
At the follow-up examination, topical therapy with 0.05% beta-methasone dipropionate cream was prescribed for the patient two times a day for 14 days. A slight improvement of erythema was achieved. After withdrawal of the topical corticosteroid, 0.1% tacrolimus ointment was administered twice daily for one month. Positive changes in the form of reduction of erythema and infiltration were noted 10 days after the beginning of therapy. No complete resolution of lesions was noted during hospital stay.
The outcome and follow-up results
After examination data were collected, the patient was discharged for outpatient care. Given the high ANA titer, the presence of antibodies to dsDNA and cardiolipin, as well as fine granular deposits of IgG (1+), IgM (1+), and IgA (1+) at the basal membrane and individual intercellular contacts of the epidermis in the sample of apparently intact skin in combination with proteinuria and decreased GFR, further examination by a rheumatologist was advised to rule out systemic lupus erythematosus. The patient was educated on the need to quit smoking, wear skin-covering clothing, and use SPF50+ sunscreen. Topical anti-inflammatory therapy with calcineurin inhibitors was prescribed.
Case 2
A female patient R., aged 50, was admitted to the Department of Dermatovenereology of the First Pavlov State Medical University of Saint Petersburg in September 2021 with complaints of widespread rash and local hair loss.
Disease history
The patient considers herself diseased since February 2020, after the occurrence of itchy rash on the upper back skin. In spring 2020, new multiple lesions occurred, and skin itching increased. The patient consulted a dermatologist at the place of residence; topical therapy with a combination of betamethasone dipropionate ointment and salicylic acid was prescribed. A slight positive effect was achieved. In September 2020, skin biopsy was performed on an outpatient basis; lichen planus was diagnosed based on the study results. Systemic therapy with 4 and 200 mg of methylprednisolone and hydroxychloroquine, respectively, was prescribed for daily use. A positive effect was achieved. In February 2021, the patient voluntarily ceased the drug use, which led to occurrence of new lesions in the breast, back, and shoulder skin areas. The first cicatricial alopecic lesion occurred in the parietal area of the skin. The patient was hospitalized to the inpatient Department of Dermatovenereology of the First Pavlov State Medical University of Saint Petersburg in July 2021.
Status specialis
Widespread skin lesions are observed. Lesions are found on the breast, back, and shoulder skin and presented by multiple irregularly shaped pink-red papules and plaques with mild infiltration, mild desquamation, and clear boundaries (fig. 7). A cicatricial alopecic lesion of pink color with relatively clear boundaries, superficial desquamation, and mild skin atrophy is found on the scalp skin. The lesion diameter is about 3 cm (fig. 8). Examination of the mucous membrane of the oral cavity along the dental line revealed whitish papules forming a "fern leaf" pattern.
Fig. 7. Patient R. On the skin of the breast there are weakly infiltrated pink papules, with clear boundaries, some eruptions are excoriated
Fig. 8. Patient R. A lesion of cicatricial alopecia on the scalp. A suture was placed at the biopsy site
The results of physical, laboratory, and instrumental examination
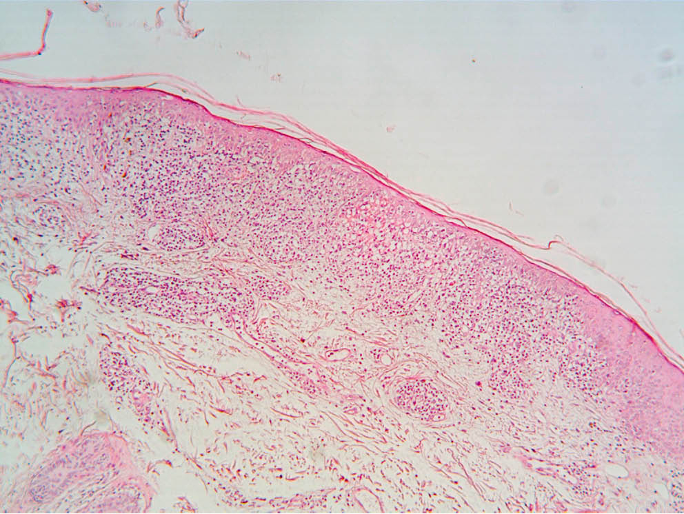
A laboratory analysis revealed the following changes: a decrease in the platelet count to 102–109/l, an increase in the ANA titer in HEp-2 cells to 1:1,280, a fine granular fluorescence of the nucleus, and the presence of IgG and IgM antibodies to cardiolipin. A pathological and anatomical analysis of a skin biopsy sample using immunofluorescence methods revealed linear deposits of IgG (1+), IgA (1+), and component complement C3 (1+) at the basal membrane of the epidermis of intact skin. Since clinical manifestations of a newly formed cicatricial alopecic lesion did not fully correspond to the signs of lichen planus, a decision was made to collect a biopsy sample from the injured skin area of the scalp. The results of the pathological and anatomical study are as follows: hyperkeratosis, vacuolization of epidermal cells, areas of mild intercellular edema in the epidermis, and irregular spinous layer with acanthosis and severe atrophy areas are diagnosed on the scalp skin. Focal perivascular and perifollicular band-like lymphocytic–histiocytic infiltrate is found in the dermis at the epidermis–dermis boundary (fig. 9). The pathologist's report is as follows: a combination of changes is identified in the analyzed sample; some of these changes are more characteristic of lichen planus, while others are typical of lupus erythematosus.
Fig. 9. Patient R. Histological study of skin sample from lesion, located on scalp. Нematoxylin-eosin. Magnification 10x. Orthokeratosis. Vacuolization of epidermal cells, areas of mild intercellular edema in the epidermis. The granular layer consists of one or two layers of cells. The stratum spinosum is uneven: with areas of acanthosis and severe atrophy. There is band-like lymphocytic-histiocytic infiltrate, located on the border of the epidermis and dermis and focal perivascular lymphocytic-histiocytic infiltrate
Treatment
After biopsy sample collection and immunological analysis, systemic therapy was resumed: 200 mg of hydroxychloroquine and 4 mg of methylprednisolone were prescribed. Topical therapy was also applied: 0.05% betamethasone dipropionate cream was administered two times a day for seven days. The patient refused to continue therapy with topical corticosteroids. Because of that, the drug was replaced with 0.1% tacrolimus ointment two times a day for up to a month. An improvement of skin lesions in the form of reduced erythema and infiltration was noted after therapy. After two weeks, individual lesions were resolved with formation of secondary hyperpigmentation.
The outcome and follow-up results
After examination data were collected, the patient was referred to a rheumatologist at the place of residence to rule out systemic lupus erythematosus and adjust the therapeutic strategy.
Discussion
Lichen planus–lupus erythematosus overlap syndrome is a combination of two dermatitis. The disease is currently considered as a separate nosology [6].
There have been no epidemiological studies on the incidence of the overlap syndrome. According to the literature data, around 50 cases of lichen planus–lupus erythematosus overlap syndrome have been reported by the beginning of the 21st century [1]. There were isolated cases of moderate lupus erythematosus: fatigue, fever, Raynaud's phenomenon, photosensitivity, and arthralgia [7].
Various authors proposed the diagnostic criteria for the overlap syndrome. However, it was impossible to evaluate their sensitivity and specificity due to the small number of cases. For instance, V. Mahler et al. proposed a score-based algorithm for diagnosing overlap syndrome in 1998. In 2021, K. I. Jicha et al. classified the overlap syndrome into "classic" and "possible" disease forms based on the combination of clinical, histological, and immunological data [5, 11].
A unique feature of the cases described by us is the combination of clinical, histological, and immunological characteristics of lichen planus and lupus erythematosus. Patient K. had symptoms of lichen planus in the form of moderately infiltrated red plaques with severe hyperkeratosis on the lateral surface of hands; the histological structure of lesions included focal hypergranulosis and a band-like infiltrate in the upper dermis that blurred the epidermis–dermis boundary. Manifestations indicative of lupus erythematosus included facial skin rash after solar exposure, pink cicatricial alopecic lesions with relatively clear boundaries, central atrophy, desquamation and red plaques with clear boundaries, central atrophy, and mild desquamation on the skin of the back. The following histological signs of lupus erythematosus were noted: vacuolar degeneration of keratinocytes, focal lymphohistiocytic infiltrates around vessels and skin appendages, epidermal atrophy, and basophilic degeneration of collagen. The immunological examination revealed the following: an increase in the ANA titer in HEp-2 cells to 1:2,560, the presence of anti-dsDNA antibodies, and IgG/IgM antibodies to cardiolipin. A DIF assay of an intact skin (shoulder) biopsy sample detected fine granular deposits of IgG (1+), IgM (1+), and IgA (1+) at the basal membrane of the epidermis and individual intercellular contacts of the epidermis. Possible manifestations of lupus nephritis included reduced GFR and proteinuria in the general urinalysis.
Patient R. was also diagnosed with a combination of lupus erythematosus and lichen planus signs. The diagnosed signs of lichen planus included irregularly shaped pink-red papules and plaques with mild desquamation and clear boundaries on smooth skin, as well as rash on the mucous membrane of the oral cavity in the form of grouped whitish papules along the dental line. Histological signs of lichen planus included a band-like lymphohistiocytic infiltrate in the upper dermis. The following clinical manifestations characteristic of lupus erythematosus were observed: pink cicatricial alopecia with superficial desquamation and mild skin atrophy. Histological signs of lupus erythematosus included atrophy, vacuolar degeneration of epidermal cells, epidermal regions with mild intercellular edema, and focal perivascular and perifollicular lymphohistiocytic infiltrates in the dermis.
Laboratory analysis results are as follows: an increase in the ANA titer in HEp-2 cells to 1:1,280, the presence of IgG and IgM antibodies to cardiolipin, and positive result of DIF in an intact skin biopsy sample (linear deposits of IgG (1+), IgA (1+), and component complement C3 (1+) at the basal membrane of the epidermis). In addition, a general blood test revealed a decreased platelet count.
The immunological analysis results, a positive DIF assay result in an intact skin biopsy sample, a decrease in GFR, proteinuria, and thrombocytopenia allowed us to diagnose lupus erythematosus in the patients. After laboratory examination, patients were referred to a rheumatologist at the place of residence to confirm the diagnosis.
Immunological testing plays an important role in the diagnosis of lichen planus–lupus erythematosus overlap syndrome. K. I. Jicha et al. outline this statement in their paper: a positive ANA testing result, the presence of antibodies to the nuclear antigen, anit-dsDNA antibodies, and anti-phospholipid antibodies confirm the "classic" form of the overlap syndrome. According to the score-based algorithm proposed by V. Mahler et al., the result of a DIF assay in the biopsy sample of injured skin is an important diagnostic criterion [5, 11].
According to the classification proposed by K. I. Jicha et al., manifestations diagnosed in our patients should be classified as the "classic" form of the disease: a combination of clinical and immunological signs of the overlap syndrome was found. Clinical and immunological signs in the first patient were estimated as 6 points according to the V. Mahler score:2 points for pale red plaques with flat center and desquamation, 2 points for common histological signs for lichen planus and lupus erythematosus in the biopsy sample, and 2 points for fine granular deposits of immunoglobulins at the basal membrane of the epidermis and individual intercellular contacts of the epidermis according to the DIF assay of the biopsy sample.The same signs were estimated as 7 Mahler points in the second patient: 2 points for pink-red papules and plaques with mild desquamation, 1 point for whitish mesh-like rash in the oral cavity, 2 points for common histological signs for lichen planus and lupus erythematosus in the biopsy sample, and 2 points for linear deposits of immunoglobulins and complement system components at the basal membrane revealed by the DIF assay of the biopsy sample.
According to the literature data, the effectiveness and safety of systemic and topical therapy of the overlap syndrome was conducted based on individual clinical observations, while full-scale randomized controlled trials are impossible [11]. Systemic drugs with a positive effect on skin lesions include antimalarial agents and systemic retinoids and glucocorticoids (GCs); while the use of topical anti-inflammatory therapy can enhance treatment effectiveness [8–11]. Taking into account the possible side effects of topical GCs, topical calcineurin inhibitor may become the preferred drug for the use on facial skin and intertriginous areas in case of long-term use for maintenance therapy. The effectiveness of topical tacrolimus for the treatment of lichen planus and lupus erythematosus has been confirmed by a series of studies. Topical tacrolimus and GCs are considered the first-line therapy for lichen planus in a comprehensive review on disease therapy effectiveness [12]. A comparison of tacrolimus and clobetasol effectiveness demonstrated an improvement of skin lesions in all patients, while fewer side effects were observed in the group receiving topical calcineurin inhibitor [13]. A comparative study of halobetasol and topical tacrolimus revealed a similar drug effectiveness in reducing erythema and infiltration of discoid lesions of lupus erythematosus, while hypertrophic lesions turned out to be more resistant to therapy with topical calcineurin inhibitors compared to the use of topical corticosteroids [14]. A statistically significant decrease in erythema was observed after topical therapy with calcineurin inhibitors in patients with cutaneous lupus erythematosus in the study by G. Avgerinou et al. [15]. The literature describes a clinical case of lichen planus–lupus erythematosus overlap syndrome with an acceptable (according to the authors) skin improvement rate in response to topical therapy with calcineurin inhibitors [16].
During hospital stay, the first and the second patient received topical monotherapy and combination therapy, respectively: hydroxychloroquine in combination with prednisolone and topical betamethasone with a crossover to 0.1% tacrolimus ointment. The effectiveness was lower in the case of topical treatment than in combination therapy: improvement of erythema and rash infiltration was observed in the first case,while a partial reduction in rash severity with development of secondary hyperpigmentation was noted in the second case.
Conclusion
Lichen planus–lupus erythematosus overlap syndrome is a rare combination of two dermatitis. The overlap syndrome is difficult to diagnose due to the non-specific clinical and pathomorphological picture of the disease and a thorough immunological examination required, which is not always available in routine outpatient care facilities. There are no unified recommendations for diagnosis and treatment of the overlap syndrome; according to a series of individual clinical reports, antimalarial agents and systemic retinoids and glucocorticoids in combination with topical anti-inflammatory therapy can be used to treat this disease [8–10]. Detection of clinical and immunological signs of systemic lupus erythematosus requires examination by a rheumatologist.
About the authors
Marina Yu. Nikolaeva
First Pavlov State Medical University of Saint Petersburg
Author for correspondence.
Email: lavrukhina.mary@yandex.ru
ORCID iD: 0000-0002-8677-4167
SPIN-code: 8072-7935
assistant lecturer
Россия, Lev Tolstoy str., 6-8, 197022, Saint PetersburgKonstantin N. Monakhov
First Pavlov State Medical University of Saint Petersburg
Email: knmonakhov@mail.ru
ORCID iD: 0000-0002-8211-1665
SPIN-code: 1837-2098
MD, Dr. Sci. (Med.), Professor
Россия, Lev Tolstoy str., 6-8, 197022, Saint PetersburgEvgeny V. Sokolovskiy
First Pavlov State Medical University of Saint Petersburg
Email: s40@mail.ru
ORCID iD: 0000-0001-7610-6061
SPIN-code: 6807-7137
MD, Dr. Sci. (Med.), Professor
Россия, Lev Tolstoy str., 6-8, 197022, Saint PetersburgReferences
- Tursen U, Oz O, Ikizoglu G, Kaya TI, Dusmez D. A case of lichen planus-lupus erythematosus overlap syndrome with eyelid involvement. Eur J Ophthalmol. 2002;12(3):244–246. doi: 10.1177/112067210201200314
- Van der Horst JC, Cirkel PK, Nieboer C. Mixed lichen planus-lupus erythematosus disease: a distinct entity? Clinical, histopathological and immunopathological studies in six patients. Clin Exp Dermatol. 1983;8(6):631–640. doi: 10.1111/j.1365-2230.1983.tb01833.x
- Bolognia JL, Jorizzo JJ, Schaffer JV, Callen JP, Cerroni L, Heymann WR et al. Dermatology, 3rd edition. London: Elsevier, 2012.
- Молочкова Ю.В. Красный плоский лишай и лихеноидные дерматозы. М.: ГЭОТАР-Медиа, 2016. 200 с. [Molochkova Ju V. Lichen planus and lichenoid dermatoses. Мoscow: GEOTAR-Media, 2016. 200. (In Russ.)]
- Mahler V, Hornstein OP, Meyer S, Albrecht HP, Kiesewetter F. Lupus-erythematodes-/Lichen-ruber-planus-Overlap-Syndrom. 5 Fälle im Patientengut der Dermatologischen Universitätsklinik Erlangen (1984–1995) [Lupus erythematosus/lichen ruber planus overlap syndrome. 5 cases in a patient sample of the Erlangen University Dermatology Clinic (1894–1995)]. Hautarzt. 1998;49(4):295–302. (In German). doi: 10.1007/s001050050744
- Griffiths C, Barker J, Bleiker T, Chalmers R, Creamer D, Rook's Textbook of Dermatology, 9th edn. Publisher: Wiley Blackwell, 2016; p. 4696.
- Piamphongsant T, Sawannapreecha S, Arangson PG, Sawchome Y, Kullavanijaya P. Mixed lichen planus-lupus erythematosus disease. J Cutan Pathol. 1978;5(4):209–215. doi: 10.1111/j.1600-0560.1978.tb00958.x
- De Jong EM, Van De Kerkhof PC. Coexistence of palmoplantar lichen planus and lupus erythematosus with response to treatment using acitretin. Br J Dermatol. 1996;134(3):538–541.
- Camisa C, Neff JC, Olsen RG. Use of indirect immunofluorescence in the lupus erythematosus/lichen planus overlap syndrome: an additional diagnostic clue. J Am Acad Dermatol. 1984;11(6):1050–1059. doi: 10.1016/s0190-9622(84)70258-1
- Schmitz S, Vatanchi M, Alapati U. Seven-year itch: a perplexing case of lichen planus-lupus erythematosus overlap syndrome. Dermatol Online J. 2018;24(9):13030/qt40g268t4
- Jicha KI, Wang DM, Miedema JR, Diaz LA. Cutaneous lupus erythematosus/lichen planus overlap syndrome. JAAD Case Rep. 2021;17:130–151. doi: 10.1016/j.jdcr.2021.09.031
- Husein-ElAhmed H, Gieler U, Steinhoff M. Lichen planus: a comprehensive evidence-based analysis of medical treatment. J Eur Acad Dermatol Venereol. 2019;33(10):1847–1862. doi: 10.1111/jdv.15771
- Özkur E, Aksu EK, Gürel MS, Savaş S. Comparison of topical clobetasol propionate 0.05% and topical tacrolimus 0.1% in the treatment of cutaneous lichen planus. Postepy Dermatol Alergol. 2019;36(6):722–726. doi: 10.5114/ada.2019.91423
- Barua DP, Chowdhury MIH, Mowla MR, Reich A, Murrell D, Ruzicka T. Comparison of effectiveness of topical tacrolimus 0.1% vs topical halobetasol propionate 0.05% as an add-on to oral hydroxychloroquine in discoid lupus erythematosus. Dermatol Ther. 2021;34(1):e14675. doi: 10.1111/dth.14675
- Avgerinou G, Papafragkaki DK, Nasiopoulou A, Arapaki A, Katsambas A, Stavropoulos PG. Effectiveness of topical calcineurin inhibitors as monotherapy or in combination with hydroxychloroquine in cutaneous lupus erythematosus. J Eur Acad Dermatol Venereol. 2012;26(6):762–767. doi: 10.1111/j.1468-3083.2011.04161.x
- Nagao K, Chen KR. A case of lupus erythematosus/lichen planus overlap syndrome. J Dermatol. 2006;33(3):187–190. doi: 10.1111/j.1346-8138.2006.00043.x
Supplementary files













