The role of proteins implicated in skin steroidogenesis in acne vulgaris development
- Authors: Kirichenko A.K.1, Bardetskaya Y.V.1, Fefelova Y.A.1, Kotova K.V.1, Tokmakova V.O.2, Ruksha T.G.1
-
Affiliations:
- Krasnoyarsk State Medical University named after Professor V.F. Voyno-Yasenetsky
- Research Institute of Problems of North Federal Research Center “Krasnoyarsk Science Center” of the Siberian Branch of the Russian Academy of Sciences
- Issue: Vol 98, No 6 (2022)
- Pages: 65-72
- Section: ORIGINAL STUDIES
- Submitted: 03.05.2022
- Accepted: 25.11.2022
- Published: 27.01.2023
- URL: https://vestnikdv.ru/jour/article/view/1327
- DOI: https://doi.org/10.25208/vdv1327
- ID: 1327
Cite item
Full Text
Abstract
Background. Acne vulgaris belongs to androgen-dependent diseases where androgens cause sebaceous gland hypertrophy with a subsequent enlargement of sebum production.
Aims. Determination of the expression profile of steroidogenesis-related proteins in normal skin and skin of patients with acne.
Material and methods. Immunohistochemical assay was carried out to characterize TSPO, StAR, CYP11A1, and 3â-hydroxysteroid dehydrogenase expression in skin of patients with acne vulgaris and in normal skin.
Results. Expression levels of a protein TSPO which is involved in a steroidogenesis-limited step was increased in mature sebocytes of acne vulgaris patients. StAR, CYP11A1, and 3â-hydroxysteroid dehydrogenase immunovisualization was found both in normal skin and in the skin of acne patients.
Conclusions. The revealed alterations in expression of steroidogenesis-related protein in acne skin may indicate not only the conversion of steroids produced by external steroidogenesis organs but elevated steroids local production as well. The fact may account both for sebaceous gland hyperplasia and inflammation sustenance in skin.
Keywords
Full Text
Обоснование
Акне является одним из наиболее распространенных хронических рецидивирующих заболеваний кожи, основными этиологическими факторами этого заболевания считаются характер секреции сальных желез и гиперандрогения [1]. Локальный синтез стероидных гормонов осуществляется в целом ряде органов, основные функции которых не относятся к эндокринной регуляции. Хорошо известно, что кожа выполняет важную нейроэндокринную функцию [2]. Синтез стероидов начинается с транспорта холестерина с внешней митохондриальной мембраны к внутренней, где он подвергается ферментативному превращению в прегненолон, предшественника всех стероидных гормонов [3]. Это ключевой этап стероидогенеза, катализируемый цитохромом P450scc (CYP450scc, CYP11A1). Экспрессия данного фермента была обнаружена у людей в различных органах: в плаценте, почках, поджелудочной железе и коже. Присутствие CYP11A1 предполагает возможность синтеза стероидов de novo в отличие от метаболизма стероидов, продуцируемых в других органах, что наблюдается во многих типах клеток [4]. Помимо цитохрома CYP11A1 в начальном процессе стероидогенеза принимают участие несколько белков. Транспорт холестерина через наружную и внутреннюю митохондриальные мембраны представляет собой лимитирующий этап стероидогенеза. Митохондрии являются клеточными органеллами со сравнительно невысоким содержанием холестерина. В митохондриях стероидпродуцирующих клеток холестерин взаимодействует с так называемым холестерин-связывающим доменом белка TSPO. Именно в этом участке холестерин продвигается к матриксной стороне внутренней митохондриальной мембраны, где под воздействием фермента CYP11A1 превращается в прегненолон — предшественника всех стероидных гормонов. Предполагается, что в транспорте холестерина через митохондриальную мембрану также участвует белок StAR, локализующийся на наружной митохондриальной мембране и взаимодействующий с TSPO [5].
Ранее нами показано, что действительно, как нормальные, так и опухолевые клетки кожи экспрессируют белки, участвующие в синтезе стероидных гормонов. В опухолевых клетках определялся пониженный уровень CYP11A1 и белков TSPO, DBI, также участвующих в стероидогенезе [6]. Однако механизмы и причины этого, в равной степени как и роль локального синтеза стероидных гормонов в развитии злокачественных новообразований кожи, остаются малоизученными. Далее нами выполнены исследования в отношении определения содержания белков, участвующих в синтезе стероидных гормонов, при акне. Было показано, что в эпидермисе и в себоцитах экспрессируется фермент 21-гидроксилаза, который принимает участие в синтезе кортизола и альдостерона. Согласно выполненному нами исследованию, уровни 21-гидроксилазы повышались в десять раз в эпидермисе больных акне вне зависимости от тяжести течения заболевания по сравнению с контролем [7]. Ранее мы показали, что уровень цитохрома Р450scc в кератиноцитах повышался при тяжелой форме акне [8].
Акне вульгарные — это заболевание, характеризующееся обструкцией и воспалительным поражением сальных желез [1]. Его характерные особенности включают гиперплазию сальных желез с повышенной скоростью продукции кожного сала, чрезмерную колонизацию Propionibacterium acne и развитие перифолликулярного воспаления [9]. Формирование гиперплазии сальных желез рассматривается как результат действия андрогенов с последующим увеличением выработки кожного сала [10]. Структура и функционирование сальных желез находятся под строгим контролем биологически активных андрогенов: дегидроэпиандростерон (ДГЭА), андростендион и тестостерон стимулируют секрецию кожного сала [11]. Синтез андростендиона и тестостерона, прогестерона из прегненолона катализируется 3β-гидроксистероиддегидрогеназой (3βHSD) (рис. 1). Выделяют два типа данного фермента. Активность 3βHSD типа I была обнаружена в плаценте, молочных железах, печени, головном мозге, коже и некоторых других органах, тогда как 3βHSD типа II присутствует только в надпочечниках и гонадах [12]. Дальнейшее превращение тестостерона, катализируемое 17-β-гидроксистероиддегидрогеназой (17βHSD), приводит к образованию наиболее активного андрогена — дигидротестостерона. Воздействие андрогенов на себоциты приводит к дифференцировке последних с дальнейшим синтезом кожного сала [13].
Рис. 1. Схема стероидогенеза. DHEA — дегидроэпиандростерон, CYP11A1 — цитохром P450scc, 3βHSD — 3β-гидроксистероид дегидрогеназа, CYP21 — 21-гидроксилаза
Таблица. Иммунореактивность TSPO, StAR у пациентов с акне и в контрольной группе
Table. TSPO, StAR immunoreactivity in patients with acne vulgaris and in control group
Контрольная группа | Группа пациентов с акне | |
TSPO, кератиноциты, ИГХ-индекс | 91,3 ± 6,2 | 214 ± 47,8* |
% положительно окрашенных себоцитов | 85,1 ± 10,9 | 95,4 ± 5,5* |
StAR, кератиноциты, ИГХ-индекс | 57,3 ± 18,2 | 80,0 ± 13,3 |
% положительно окрашенных себоцитов | 80,2 ± 11,4 | 67,7 ± 9,1 |
* — значимо (тест Манна–Уитни) по сравнению с контрольной группой (p ≤ 0,05) (* — significant (Mann-Whitney U test) as compared to control group (p ≤ 0.05).
Источниками андрогенов в сальных железах являются циркулирующие андрогены, синтезируемые гонадами и надпочечниками, но себоциты также могут вырабатывать стероиды [14]. В целом ряде исследований показано нарушение способности вырабатывать гормоны в коже пациентов с акне. Тенденция к повышению 17βHSD и 5-альфа-редуктазы обнаружена в коже больных с акне [15]. Повышение уровня компонентов системы кортиколиберина — белка, связывающего КРГ, рецепторов КРГ, определялось у больных акне, особенно в клетках кожи и сальных желез [16]. Повышенный уровень 11-β-гидроксистероиддегидрогеназы I типа (HSD11β1) (фермента, с помощью которого кортизол превращается в кортизон) обнаружен в пораженной коже пациентов с акне, а ингибирование данного фермента снижало синтез липидов в себоцитах, влияя также на интенсивность воспаления [17]. Хотя до сих пор нет полного представления о функционировании кожи как органа стероидогенеза при нормальных и патологических состояниях, многие исследователи указывают на возможное влияние нарушений в экспрессии и активности компонентов локального стероидогенеза на некоторые дерматологические заболевания, в частности акне [11, 15].
В этой связи целью данного исследования стал анализ распределения и экспрессии белков, участвующих в стероидогенезе, в коже здоровых лиц и пациентов с акне.
Методы
25 пациентов с акне (5 мужчин и 20 женщин; средний возраст 23,3 ± 4,9; диапазон от 13 до 35 лет) были включены в это исследование после получения письменного информированного согласия. Пациенты не принимали никаких местных или пероральных препаратов в течение как минимум 1 месяца до начала исследования. Исследование было одобрено этическим комитетом Красноярского государственного медицинского университета и проведено с соблюдением этических принципов Хельсинкской декларации.
Клиническая оценка
Степень тяжести акне оценивалась по 4-балльной шкале: 1 — только комедоны; 2 — комедоны и умеренные папулопустулезные элементы; 3 — пустулы и комедоны / папулы; единичные узлы; 4 — выраженные папулы и кисты, конглобатные угри [18]. 9 пациентов (36%) имели акне 3-й степени, 16 пациентов (64%) — 4-й степени.
Иммуногистохимический анализ
Образцы кожи пациентов с акне и здоровых людей из контрольной группы (n = 38), полученные из области грудной клетки, для дальнейшего иммуногистохимического анализа фиксировали в 10% нейтральном забуференном формалине, подвергали дегидратации в серии спиртов и заливали парафином. Срезы толщиной 3–4 мкм предварительно инкубировали с блокатором эндогенной пероксидазы (набор IHC для определения HRP/AEC для мыши и кролика, Abcam®, Великобритания) в течение 15 мин и блокатором неспецифического связывания белков в течение 2 ч с целью снижения неспецифического фонового окрашивания. Затем срезы инкубировали в течение 18 ч при 4 °C с антителами против CYP11A1 (предоставлены профессором W.L. Miller), 3βHSD (Abcam®, Великобритания), TSPO (CiteAb, UK), StAR (ThermoFisher, USA). Промывки проводили в 1х фосфатно-солевом буфере (PBS) (Биолот, Российская Федерация). В дальнейшем срезы инкубировали с биотинилированными антителами в течение 1 ч (Abcam®) и с раствором AEC (Abcam®). Срезы контрастировали гематоксилином и помещали в монтирующую жидкость (Bio-Optica s.p.a., Италия).
Препараты анализировали с помощью микроскопа Olympus BX-41 при увеличении x600. Количество положительно иммуноокрашенных клеток определяли на 100 эпидермальных кератиноцитов или себоцитов. В положительных образцах окрашивание дополнительно классифицировалось как сильное (+++), умеренное (++) или слабое (+) с использованием иммуногистохимического (ИГХ) индекса, рассчитанного как процент (+++) клеток • 3 + (++) клеток • 2 + (+) клеток • 1 [19]. Оценка осуществлялась двумя специалистами на основе анализа полученных цифровых изображений. Цифровые изображения были получены с помощью камеры Infinity (Lumenera Corporation, Канада) и проанализированы с использованием коммерческого программного обеспечения Infinity Capture, Infinity Analyze (V.4.6.0).
Этическая экспертиза
Исследование разрешено Локальным этическим комитетом КрасГМУ от 08.11.2010.
Статистический анализ
Статистический анализ проводился с помощью непарного t-критерия Стьюдента, U-критерия Манна–Уитни. Средние значения ИГХ индекса были представлены со стандартным отклонением. Значения p ниже 0,05 считались статистически значимыми.
Результаты
В коже пациентов с акне наблюдались гистологические изменения, характерные для данного заболевания, — гиперкератоз, обструкция сальных желез, наличие воспалительного инфильтрата.
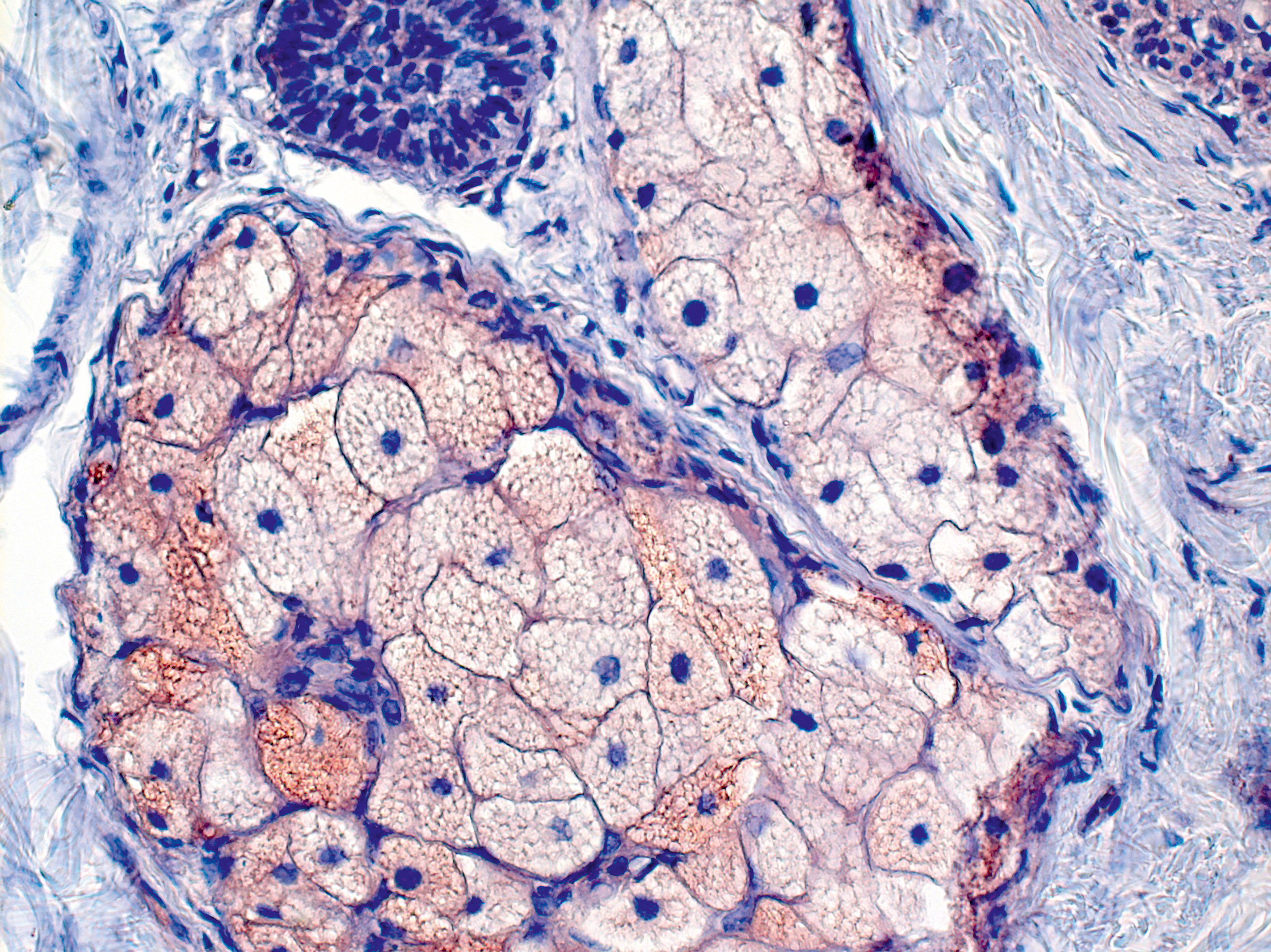
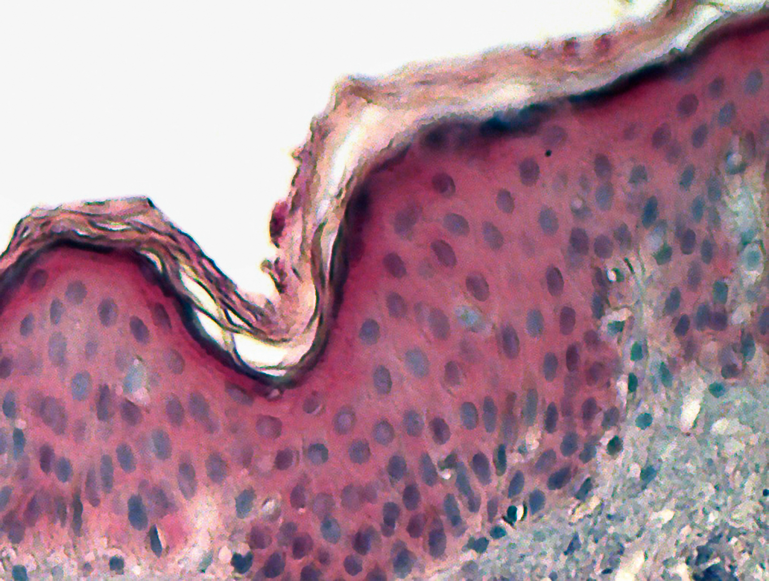
Белок-транслокатор (TSPO) определялся гомогенно в эпидермисе, а также в сальных железах — в созревающих секреторных себоцитах, разрушающихся себоцитах, но не базальных. Определялась ядерная, цитоплазматическая локализация белка (рис. 2). Стероидогенный острый регуляторный белок (StAR) отчетливо локализовался перинуклеарно. В эпидермисе белок экспрессировался в клетках базального слоя, шиповатого и зернистого. В сальных железах определялась иммуновизуализация StAR в созревающих секреторных себоцитах и разрушающихся себоцитах (рис. 3). Уровень TSPO был повышен в эпидермисе, сальных железах пациентов с акне, уровень StAR оставался без изменений у пациентов с акне по сравнению с показателями контрольной группы.
Рис. 2. Экспрессия TSPO в нормальном эпидермисе, ×100
Рис. 3. Иммуновизуализация StAR в себоцитах пациентов с акне, ×400
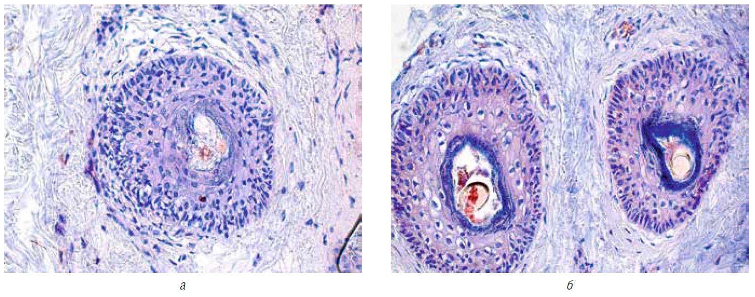
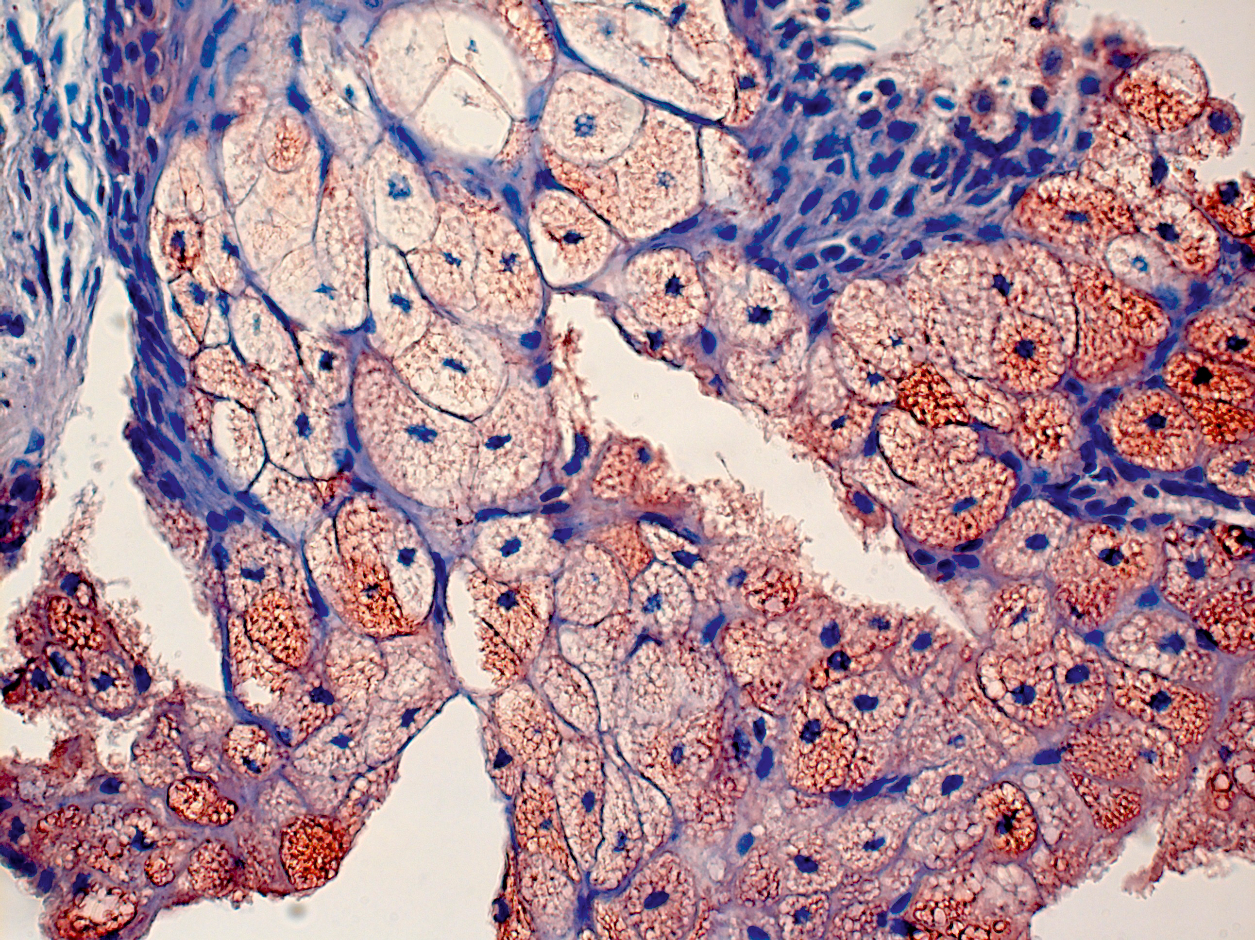
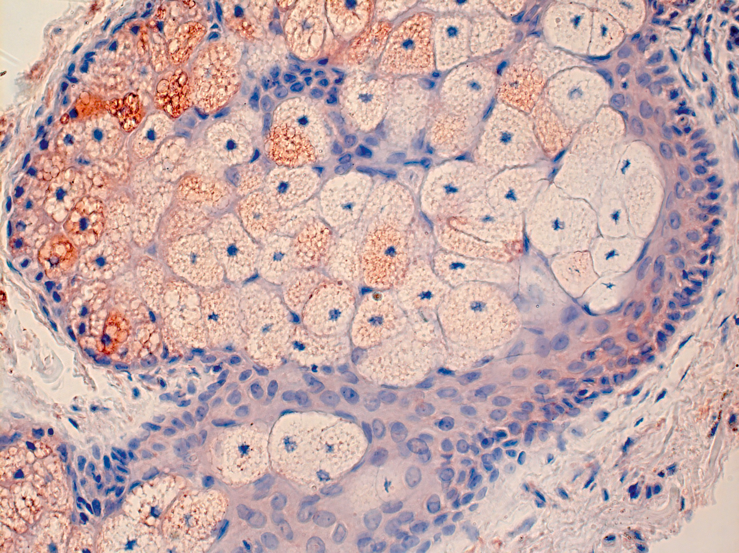
В связи с участием CYP11A1 в метаболизме холестерина в прегненолон далее нами в клетках кожи определялось распределение CYP11A1 и фермента 3βHSD [7]. В эпидермисе клетки CYP11A1+ визуализировались в цитоплазме кератиноцитов всех слоев (рис. 4). Положительно иммуноокрашенные клетки также присутствовали в эпителиальных клетках волосяных фолликулов. Клетки сальных желез продемонстрировали положительное окрашивание на CYP11A1 более чем в 80% случаев в контрольной группе и группе пациентов с акне с локализацией в зрелых себоцитах (рис. 5, 6). Напротив, наличие 3βHSD в коже определялось преимущественно в сальных железах. В некоторых случаях наблюдалось слабое окрашивание кератиноцитов во всех слоях эпидермиса как в контроле, так и в коже пациентов с акне. Положительно окрашенные клетки в основном состояли из зрелых супрабазальных себоцитов (рис. 7).
Рис. 4. Визуализация клеток цитохрома CYP11A1+ в эпидермисе человека из контрольной группы: однородная картина окрашивания через слои эпидермиса, ×200
Рис. 5. Слабое окрашивание на цитохром CYP11A1 в сальной железе образца кожи контрольной группы, ×400
Рис. 6. Сальная железа пациента acne vulgaris: наличие клеток цитохрома CYP11A1+ в зрелых себоцитах, ×400
Рис. 7. Экспрессия 3β-гидроксистероиддегидрогеназы в нормальной коже, ×100 (а) и в сальных железах пациента с акне, ×400 (б)
Обсуждение
Роль эндокринных нарушений в продукции стероидных гормонов в патогенезе акне хорошо описана. Данные пациенты имеют повышенные уровни андрогенов в крови и коже: дегидроэпиандростерон сульфат, андростендион, тестостерон и дигидротестостерон были повышены у женщин с акне [20]. Уровни андростендиона и дегидроэпиандростерона коррелировали с тяжестью акне у мужчин [21]. Хотя акне считается андрогензависимым заболеванием, большинство исследований было сосредоточено на стероидах, вырабатываемых в надпочечниках и метаболизируемых сальными железами, тогда как стероидные гормоны, вырабатываемые кожей [22], также могут влиять на развитие акне.
В данном исследовании определялся уровень экспрессии стероидогенез-ассоциированных белков TSPO, StAR, а также ферментов 3βHSD, CYP11A1 в нормальной коже и коже пациентов с акне. Уровни TSPO повышались в эпидермисе пациентов с акне по сравнению с контрольной группой. В сальных железах TSPO также повышенно экспрессировался при акне. Наличие однотипной локализации трех белков, осуществляющих единый процесс лимитирующего этапа синтеза стероидных гормонов — транспорта холестерина через митохондриальную мембрану с последующим образованием прегненолона, указывает на возможность подобных процессов в коже, а также на сочетанное функционирование вышеуказанных трех белков. Уровень 3βHSD повышался в дифференцированных себоцитах в коже пациентов с акне [23]. Этот факт согласуется с наблюдаемой взаимосвязью между уровнями тестостерона, андростендиона и выраженности изменений на коже у больных акне [24], поскольку это может быть результатом повышенного метаболизма этих гормонов предшественниками 3βHSD.
Проведенное исследование показывает, что в коже пациентов с акне уровни вырабатываемых стероидов повышаются по мере прогрессии заболевания. Превращение прегненолона в прогестерон, а также синтез андростендиона и тестостерона катализируются 3βHSD. Данный фермент в коже определялся в основном в сальных железах. С другой стороны, экспрессия 3βHSD одновременно с экспрессией CYP11A1 в себоцитах может свидетельствовать о синтезе стероидов в коже de novo себоцитами/кератиноцитами и определять интенсивность продукции кожного сала. Этот факт может быть подтвержден другим наблюдением повышенного уровня холестерина в коже пациентов с акне [25].
Нарушения синтеза стероидных гормонов могут влиять не только на продукцию кожного сала, но и на выраженность воспаления/повреждения клеток кожи у пациентов с акне. Патогены могут способствовать синтезу КРГ с последующим повышением уровня провоспалительного интерлейкина-1β, фактора некроза опухоли-á и повышением синтеза адренокортикотропного гормона [26], что может вызвать дальнейшую активацию местного стероидогенеза в коже и поддерживать хроническое воспаление.
Заключение
Повышение уровня TSPO в коже больных акне наряду с другими ферментами, метаболизирующими стероиды, — 3βHSD, CYP11A1, может свидетельствовать об интенсификации синтеза стероидов в коже при данной патологии, а также об их вкладе в развитие хронического воспаления при акне.
About the authors
Andrey K. Kirichenko
Krasnoyarsk State Medical University named after Professor V.F. Voyno-Yasenetsky
Email: krasak07@mail.ru
ORCID iD: 0000-0002-3014-4457
SPIN-code: 4662-0833
Scopus Author ID: 57224609252
MD, Dr. Sci. (Med.), Professor
Россия, Partizanа Zheleznyakа str., 1, 660022, KrasnoyarskYaroslavna V. Bardetskaya
Krasnoyarsk State Medical University named after Professor V.F. Voyno-Yasenetsky
Email: byvkgpu@yandex.ru
ORCID iD: 0000-0002-5795-1371
SPIN-code: 5669-2537
Scopus Author ID: 57210701173
MD, Cand. Sci. (Med.), Assistant Professor
Россия, Partizanа Zheleznyakа str., 1, 660022, KrasnoyarskYuliya A. Fefelova
Krasnoyarsk State Medical University named after Professor V.F. Voyno-Yasenetsky
Email: fefelovaja@mail.ru
ORCID iD: 0000-0002-2089-6022
SPIN-code: 9210-6780
Scopus Author ID: 6505574312
Dr. Sci. (Biol.), Assistant Professor
Россия, Partizanа Zheleznyakа str., 1, 660022, KrasnoyarskKseniya V. Kotova
Krasnoyarsk State Medical University named after Professor V.F. Voyno-Yasenetsky
Email: ksuhry@mail.ru
ORCID iD: 0000-0001-9868-5017
Assistant Lecturer
Россия, Partizanа Zheleznyakа str., 1, 660022, KrasnoyarskVictoriya O. Tokmakova
Research Institute of Problems of North Federal Research Center “Krasnoyarsk Science Center” of the Siberian Branch of the Russian Academy of Sciences
Email: viktoriatok@mail.ru
ORCID iD: 0000-0002-5054-4781
Resident
Россия, Partizanа Zheleznyakа str., 3G, 660022, KrasnoyarskTatyana G. Ruksha
Krasnoyarsk State Medical University named after Professor V.F. Voyno-Yasenetsky
Author for correspondence.
Email: tatyana_ruksha@mail.ru
ORCID iD: 0000-0001-8142-4283
SPIN-code: 5412-2148
Scopus Author ID: 23009925600
MD, Dr. Sci. (Med.), Professor
Россия, Partizanа Zheleznyakа str., 1, 660022, KrasnoyarskReferences
- Кубанов А.А., Сысоева Т.А., Бишарова А.С., Мерцалова И.Б. Аспекты патогенеза и современной терапии акне. Лечащий врач. 2016;(11):30–38 [Kubanov AA, Sysoeva TA, Bisharova AS, Metrsalova IB. Aspects of pathogenesis and up-to-date therapy of acne. Lechashiy Vrach 2016;(11):30–38. (In Russ.)]
- Wolterink RGJK, Wu GS, Chiu IM, Veiga-Fernandes H. Neuroimmune interactions in peripheral organs. Annu Rev Neurosci. 2022;45:339–360. doi: 10.1146/annurev-neuro-111020-105359
- Papadopoulos V, Miller WL. Role of mitochondria in steroidogenesis. Best Pract Res Clin Endocrinol Metab. 2012;26(6):771–790. doi: 10.1016/j.beem.2012.05.002
- Monica Shih MC, Huang CCJ, Chu HP, Hsu NC, Chung BC. Embryonic steroids control developmental programming of energy balance. Endocrinology. 2021;162(12):bqab196. doi: 10.1210/endocr/bqab196
- Galano M, Li Y, Li L, Sottas C, Papadopoulos V. Role of Constitutive STAR in Leydig Cells. Int J Mol Sci. 2021;22(4):2021. doi: 10.3390/ijms22042021
- Ruksha TG. Peculiarities of expression of proteins associated with steroidogenesis in skin cell. Cell and Tissue Biology. 2009;3(4):330–334. doi: 10.1134/S1990519X0904004X
- Багрец А.Н., Кузнецов В.А., Рукша Т.Г. Изменение уровня 21-гидроксилазы в клетках кожи больных акне. Сибирский медицинский журнал. 2013;(7):51–53 [Bagreс AN, Kuznetsov VA, Ruksha TG. Change in level of enzyme 21-hydroxylase in skin cells of patients with acne. Sibirskij medicinskij zhurnal. 2013;(7):51–53. (In Russ.)]
- Багрец А.Н., Кузнецов В.А., Рукша Т.Г. Антиоксидантный статус и экспрессия цитохрома P50scc. Сибирский медицинский журнал. 2013;(1):63–65 [Bagreс AN, Kuznetsov VA, Ruksha TG. Antioxidant status and expression of cytochrome P450scc in epidermal keratinocytes of patients with acne. Sibirskij medicinskij zhurnal. 2013;(1):63–65. (In Russ.)]
- Eichenfield DZ, Sprague J, Eichenfield LF. Management of acne vulgaris: a review. JAMA. 2021;326(20):2055–2067. doi: 10.1001/jama.2021.17633
- Kurokawa I, Layton AM, Ogawa R. Updated treatment for acne: targeted therapy based on pathogenesis. Dermatol Ther (Heidelb). 2021;11(4):1129–1139. doi: 10.1007/s13555-021-00552-6
- Fritsch M, Orfanos CE, Zouboulis CC. Sebocytes are the key regulators of androgen homeostasis in human skin. J Invest Dermatol. 2001;116(5):793–800. doi: 10.1046/j.1523-1747.2001.01312.x
- Mannervik B, Ismail A, Lindström H, Sjödin B, Ing NH. Glutathione transferases as afficient ketosteroid isomerases. Front Mol Biosci. 2021;8:765970. doi: 10.3389/fmolb.2021.765970
- Williams HC, Dellavalle RP, Garner S. Acne vulgaris. Lancet. 2012;379(9813):361–372. doi: 10.1016/S0140-6736(11)60321-8
- Smith KR, Thiboutot DM. Thematic review series: skin lipids. Sebaceous gland lipids: friend or foe? J Lipid Res. 2008;49(2):271–281. doi: 10.1194/jlr.R700015-JLR200
- Poirier D. 17beta-Hydroxysteroid dehydrogenase inhibitors: a patent review. Expert Opin Ther Pat. 2010;20(9):1123-1145. doi: 10.1517/13543776.2010.505604
- Cong TX, Hao D, Wen X, Li XH, He G, Jiang X. From pathogenesis of acne vulgaris to anti-acne agents. Arch Dermatol Res. 2019;311(5):337–349. doi: 10.1007/s00403-019-01908-x
- Lee SE, Kim JM, Jeong MK, Zouboulis CC, Lee SH. 11-hydroxysteroid dehydrogenase type 1 is expressed in human sebaceous glands and regulates glucocorticoid-induced lipid synthesis and toll-like receptor 2 expression in SZ95 sebocytes. Br J Dermatol. 2013;168(1):47–55. doi: 10.1111/bjd.12009
- Nast A, Rosumeck S, Erdmann R, Alsharif U, Dressler C, Werner RN. Methods report on the development of the European evidence-based (S3) guideline for the treatment of acne — update 2016. J Eur Acad Dermatol Venereol. 2016;30(8):e1–e28. doi: 10.1111/jdv.13783
- Ruksha T, Aksenenko M, Papadopoulos V. Role of translocator protein in melanoma growth and progression. Arch Dermatol Res. 2012;304(10):839–845. doi: 10.1007/s00403-012-1294-5
- Rao A, Douglas SC, Hall JM. Endocrine disrupting chemicals, hormone receptors, and acne vulgaris: a connecting hypothesis. Cells. 2021;10(6):1439. doi: 10.3390/cells10061439
- Cappel M, Mauger D, Thiboutot D. Correlation between serum levels of insulin-like growth factor 1, dehydroepiandrosterone sulfate, and dihydrotestosterone and acne lesion counts in adult women. Arch Dermatol. 2005;141(3):333–338. doi: 10.1001/archderm.141.3.333
- Zhang C, Chinnappan M, Prestwood CA, Edwards M, Artami M, Thompson BM, et al. Interleukins 4 and 13 drive lipid abnormalities in skin cells through regulation of sex steroid hormone synthesis. Proc Natl Acad Sci U S A. 2021;118(38):e2100749118. doi: 10.1073/pnas.2100749118
- Багрец А.Н., Кузнецов В.А., Рукша Т.Г. Повышение концентрации 3-гидроксистероиддегидрогеназы в клетках кожи больных вульгарными угрями. Российский журнал кожных и венерических болезней. 2013;(5):62–64 [Bagrec AN, Kuznetsov VA, Ruksha TG. Rossijskij zhurnal kozhnyh i venericheskih boleznej. 2013;(5):62–64. (In Russ.)]
- Arora MK, Seth S, Dayal S. The relationship of lipid profile and menstrual cycle with acne vulgaris. Clin Biochem. 2010;43(18):1415–1420. doi: 10.1016/j.clinbiochem.2010.09.010
- Cho SH, Choi MH, Sim WY, Lee WY, Chung BC. Metabolic alterations of DHEA and cholesterol sulphates in the hair of patients with acne measured by liquid chromatography-mass spectrometry. Exp Dermatol. 2010;19(7):694–696. doi: 10.1111/j.1600-0625.2010.01094.x
- Arriba M, Ezquieta B. Molecular Diagnosis of Steroid 21-Hydroxylase Deficiency: A Practical Approach. Front Endocrinol (Lausanne). 2022;29:13:834549. doi: 10.3389/fendo.2022.834549
Supplementary files











