Poikilodermic form of mycosis fungoides in a young patient with a good clinical response to UV therapy
- Authors: Burtseva N.Y.1, Melnikova T.V.1, Monakhov .N.1, Sokolovskiy E.V.1
-
Affiliations:
- First Pavlov State Medical University of Saint Petersburg
- Issue: Vol 99, No 6 (2023)
- Pages: 53-60
- Section: GUIDELINES FOR PRACTITIONERS
- Submitted: 27.06.2023
- Accepted: 14.11.2023
- Published: 31.01.2024
- URL: https://vestnikdv.ru/jour/article/view/13277
- DOI: https://doi.org/10.25208/vdv13277
- ID: 13277
Cite item
Full Text
Abstract
The article presents a description of the poikilodermic form of mycosis fungoides in a young patient. At the time of presentation, the skin lesion had existed for about 4 years and was slowly progressing. A skin biopsy was performed with histological examination, based on the results of which a diagnosis of lichen sclerosus was established. Subsequently, the skin process progressed, and rashes appeared that were not typical for lichen sclerosus. There was an assumption that the patient had a poikilodermic form of mycosis fungoides. The diagnosis was confirmed after performing histological and immunohistochemical studies of a skin biopsy. General narrow-band mid-wave ultraviolet therapy was performed with good clinical results.
Full Text
АКТУАЛЬНОСТЬ
В обзоре литературы в 1890 г. Унна впервые использовал термин «пестрый паракератоз» (parakeratosis variegata, PV) для обозначения лихеноидных сливающихся папул, образующих ретиформный паттерн, связанный с эпидермальной атрофией [1]. Пойкилодермия атрофическая сосудистая (рoikiloderma vasculare atrophicans, PVA) была позже описана Якоби в 1906 г.
Наличие у пациента поражения кожи в виде пойкилодермии может выступать проявлением отдельных генодерматозов, поражением кожи при болезнях соединительной ткани и вариантом грибовидного микоза [2, 3].
Большинством авторов в настоящее время пойкилодермия сосудистая атрофическая признается вариантом пойкилодермической формы грибовидного микоза [3–6]. В некоторых публикациях это заболевание классифицируют как один из вариантов бляшечного парапсориаза [7]. Пойкилодермический грибовидный микоз (пойкилодермия сосудистая атрофическая, пестрый парапсориаз, poikiloderma vasculare atrophicans, parapsoriasis variegata) представляет собой особую форму грибовидного микоза и вызывает поражение кожи в виде сочетания сетчатой пигментации, атрофии и телеангиэктазий. Грибовидный микоз — это наиболее часто встречающаяся первичная Т-клеточная лимфома, характеризующаяся медленным, постепенным прогрессированием пятен, бляшек и узлов и эпидермотропным (аднексотропным) инфильтратом из лимфоидных клеток преимущественно малых и средних размеров с круглыми или церебриформными ядрами и фенотипом эффекторных клеток памяти [8]. Течение пойкилодермической формы грибовидного микоза длительное, доброкачественное, с медленным прогрессированием, чаще всего без трансформации в опухолевую стадию [9]. В литературе приведены данные наблюдений за пациентами в течение более 20 лет [3, 4, 10, 11], отдельные больные не получали терапию [3]. Описан случай CD30+ трансформации через 33 года от начала заболевания [12].
В представленных в публикациях случаях установление диагноза вызывало сложности [6].
Всем пациентам выполнялась биопсия кожи с гистологическим исследованием, иногда неоднократно. При гистологическом исследовании определялся полосовидный эпидермотропный инфильтрат. Выявлялись разные иммунофенотипы клеток инфильтратов: CD8+ [2, 3, 13], CD4+ [4, 10]. В отдельных источниках указывалось на более доброкачественное течение грибовидного микоза при CD8+ типе клеток инфильтрата [14]. Исследование на наличие перестройки гена Т-клеточного рецептора (TCR) фрагмента кожи выполнялось с использованием метода полимеразной цепной реакции (ПЦР). В некоторых наблюдениях определялась моноклональная перестройка [4, 6], а в ряде случаев выявлялась поликлональность Т-клеток инфильтрата [3, 11]. Моноклональная перестройка гена Т-клеточного рецептора при грибовидном микозе наблюдается не во всех случаях, в то же время данная перестройка может определяться при хронических дерматозах (псориазе, красном плоском лишае, склероатрофическом лихене и др.) [15, 16]. Таким образом, определение перестройки гена Т-клеточного рецептора не всегда информативно и имеет ограниченную доступность в обычных клинических условиях.
Основным методом диагностики остается оценка клинических проявлений и сопоставление их с гистологическими изменениями.
Описание случая
Пациентка Б. 34 лет в октябре 2021 г. обратилась на амбулаторный прием в клинику дерматовенерологии ПСПбГМУ им. акад. И.П. Павлова с жалобами на наличие высыпаний на коже туловища, существующих в течение 4 лет, которые субъективно ее не беспокоили. Первые элементы появились в области молочных желез, постепенно стали появляться очаги на коже живота.
Пациентка неоднократно обращалась к дерматологам, диагноз не был установлен, в качестве рекомендаций назначались средства базового ухода за кожей.
На момент осмотра в 2021 г. поражение кожи носило распространенный характер в виде участков атрофии, гиперпигментации, телеангиэктазий, формирующих сетчатый рисунок. Высыпания располагались на коже молочных желез, на боковых и передней поверхности живота (рис. 1, 2). Проводился дифференциальный диагноз со склероатрофическим лихеном и пигментно-атрофической формой красного плоского лишая.
Рис. 1. Поражение кожи туловища в виде эритемы, телеангиоэктазий, пигментации, атрофии, формирующих сетчатый рисунок
Fig 1. Damage to the skin of the trunk in the form of erythema, telangiectasia, pigmentation, atrophy, forming a mesh pattern
Рис 2. Высыпания на коже левой молочной железы
Fig 2. Lesions on the skin of left breast
Кроме того, у пациентки были проявления акне средней степени тяжести на коже лица, груди, спины в виде комедонов, папуло-пустулезных элементов. Видимые слизистые оболочки, придатки кожи не поражены.
Из сопутствующей патологии обращала на себя внимание хроническая ревматическая болезнь сердца с поражением митрального и аортального клапанов. Больная наблюдается у ревматолога и кардиохирурга, получает курсы бициллинотерапии.
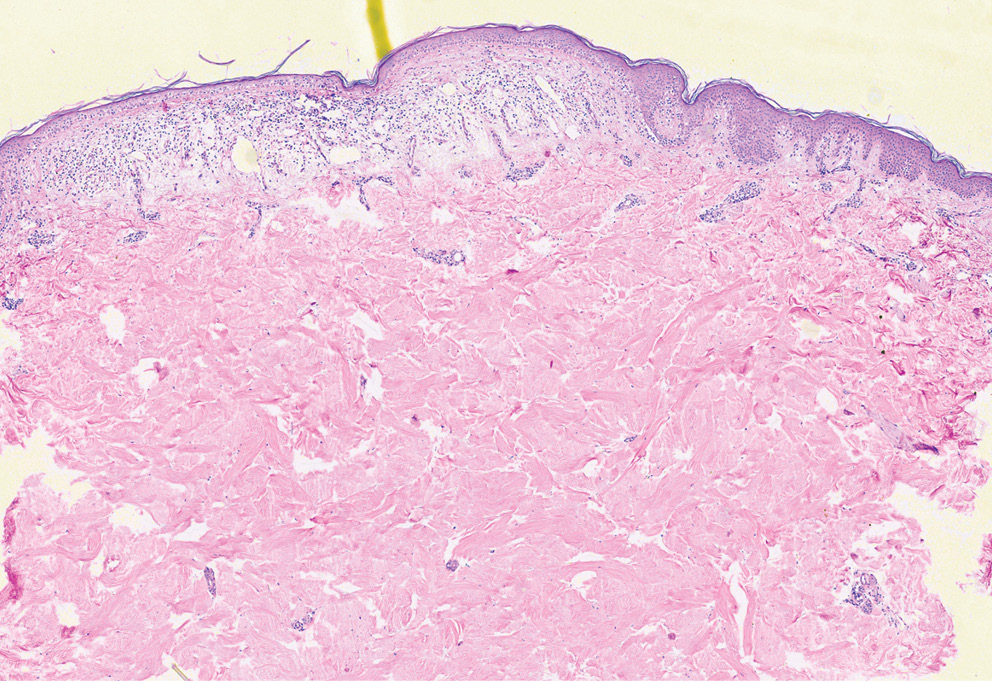
В октябре 2021 г. выполнена биопсия кожи. По результатам гистологического исследования от 02.11.2021 заключение: гиперкератоз, эпидермис со склонностью к атрофии, отек верхней части дермы, сосуды расширены, в верхней части дермы диффузно-очаговый лимфоцитарно-гистиоцитарный инфильтрат, отдельные клетки инфильтрата проникают в эпидермис (рис. 3).
Рис. 3. Гистологическое исследование от 02.11.2021 (окраска гематоксилином и эозином; ×40). Гиперкератоз, эпидермис со склонностью к атрофии, отек верхней части дермы, сосуды расширены, в верхней части дермы диффузно-очаговый лимфоцитарно-гистиоцитарный инфильтрат, отдельные клетки инфильтрата проникают в эпидермис
Fig. 3. Histological examination dated 02.11.2021 (stained with hematoxylin and eosin; ×40). Hyperkeratosis, epidermis with a tendency to atrophy, edema of the upper dermis, dilated vessels, diffuse focal lymphocytic-histiocytic infiltrate in the upper dermis, individual cells of the infiltrate penetrate the epidermis
Учитывая клинические проявления, данные гистологического исследования, был поставлен диагноз «склероатрофический лихен». В апреле 2022 г. назначен гидроксихлорохин в дозировке 200 мг по 1 таблетке 1 раз в день в течение месяца, наружная терапия — ингибитор кальциневрина (0,1% мазь такролимус 2 раза в день 4 недели). На фоне лечения существенной положительной динамики получено не было.
Пациентка находилась под динамическим наблюдением. В октябре 2022 г. при очередном осмотре на коже передней и боковой поверхности туловища выявлены свежие элементы в виде плоских папул синюшно-красного цвета без четких границ, без шелушения, диаметром 5–7 мм (рис. 4).
Рис. 4. Свежие элементы — папулы синюшно-красного цвета без четких границ, без шелушения
Fig 4. New elements — bluish-red papules without clear boundaries, without peeling
На коже молочных желез, на боковых и передней поверхности живота сохранялись сетчатые очаги пойкилодермии. Заподозрен диагноз «грибовидный микоз» (пойкилодермическая форма) и рекомендована повторная биопсия кожи с гистологическим исследованием.
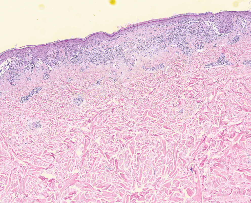
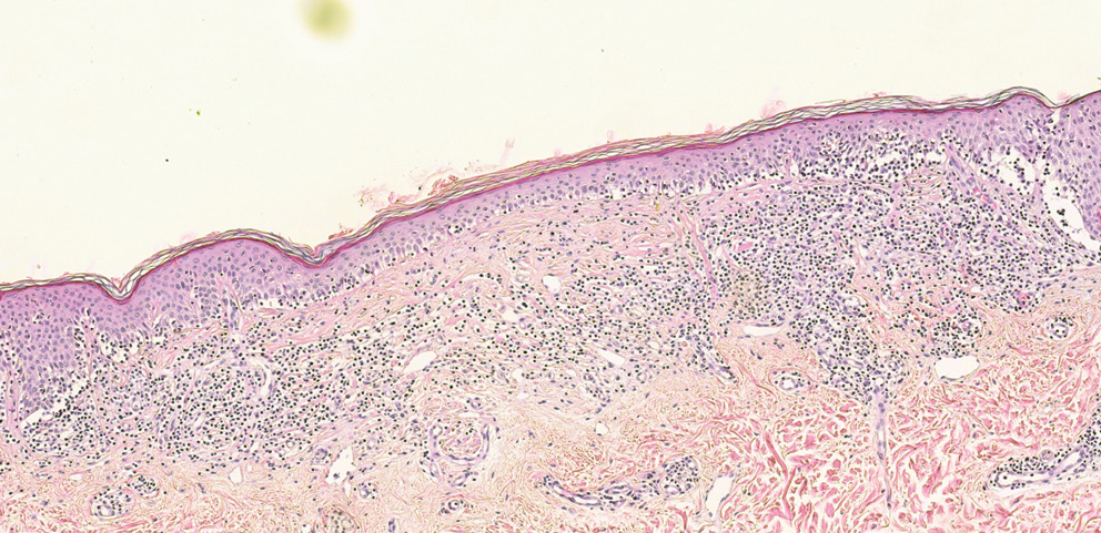
По результатам гистологического исследования от 24.11.2022 заключение: эпидермис неравномерный, с участками атрофии, в верхней части дермы диффузно-очаговый лимфоцитарно-гистиоцитарный инфильтрат со склонностью к полосовидности, клетки инфильтрата проникают в эпидермис, формируя цепочки и скопления, определяются мелкие субэпидермальные щели. Обнаруженные изменения могут соответствовать лимфопролиферативному заболеванию, с учетом клинических проявлений — пойкилодермической форме грибовидного микоза (рис. 5, 6).
Рис. 5. Гистологическое исследование от 24.11.2022 (окраска гематоксилином и эозином; ×100). Эпидермис неравномерный, с участками атрофии, в верхней части дермы диффузно-очаговый лимфоцитарно-гистиоцитарный инфильтрат со склонностью к полосовидности, клетки инфильтрата проникают в эпидермис, формируя цепочки и скопления, определяются мелкие субэпидермальные щели
Fig. 5. Histological study dated 24.11.2022 (stained with hematoxylin and eosin; ×100). The epidermis is uneven with areas of atrophy, in the upper part of the dermis there is a diffuse-focal lymphocytic-histiocytic infiltrate with a tendency to banding, the cells of the infiltrate penetrate the epidermis, forming chains and clusters, and small subepidermal fissures are determined
Рис. 6. Гистологическое исследование от 24.11.2022 (окраска гематоксилином и эозином; ×400). Клетки инфильтрата (атипичные лифоциты) проникают в эпидермис, формируя цепочки и скопления
Fig. 6. Histological examination dated 24.11.2022 (stained with hematoxylin and eosin; ×400). Infiltrate cells (atypical lymphocytes) penetrate the epidermis, forming chains and clusters
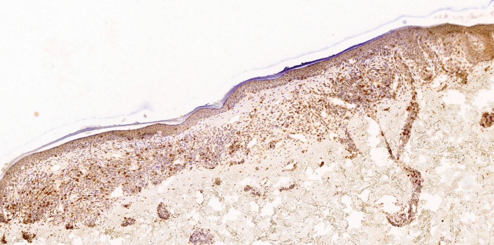
Выполнено иммуногистохимическое исследование. По результатам ИГХ-исследования от 23.12.2022: иммунофенотип клеток инфильтрата соответствует грибовидному микозу (подавляющее большинство клеток инфильтрата имеют фенотип CD5+CD4+CD8–CD30–) (рис. 7, 8). Индекс пролиферативной активности клеток инфильтрата (по Ki67) — около 5%.
Установлен диагноз «грибовидный микоз, пойкилодермическая форма, стадия Ia».
Рис. 7. Иммуногистохимическое исследование CD4
Fig. 7. CD4 immunohistochemistry
Рис. 8. Иммуногистохимическое исследование CD8
Fig. 8. CD8 immunohistochemistry
Больная госпитализирована в стационарное отделение клиники дерматовенерологии ПСПбГМУ им. акад. И.П. Павлова. Проведены дополнительные лабораторные и инструментальные исследования: по данным лабораторных исследований отклонений от нормы не выявлено, компьютерная томография органов грудной клетки, брюшной полости, малого таза патологии не выявила.
Пациентка обсуждена на заседании № 1057 Санкт-Петербургского научного общества дерматовенерологов им. В.М. Тарновского 31 января 2023 г.
Проведена общая узкополосная средневолновая ультрафиолетовая терапия (15 сеансов). Терапию перенесла хорошо, побочных эффектов не отмечалось. На фоне проведенного лечения получена значительная положительная динамика с регрессом папулезных элементов и большей части телеангиоэктазий (рис. 9).
Рис. 9. Регресс высыпаний спустя 4 месяца после проведенной терапии, фото от июня 2023 г.
Fig. 9. Regression of rashes 4 months after the therapy, photo from June 2023
Обсуждение
Название «пойкилодермия сосудистая атрофическая» имеет историческое значение и подразумевает высыпания в виде сочетания сетчатой пигментации, атрофии и телеангиэктазий и в настоящее время большинством авторов считается одним из проявлений пойкилодермической формы грибовидного микоза.
Приобретенная пойкилодермия может наблюдаться при различных дерматозах. A. Nofal и соавт. [17] представили алгоритмы дифференциальной диагностики и привели описание особенностей клинической картины. Очаги в виде сочетания атрофии, телеангиэктазий, пигментации описаны при боррелиозе, атопическом дерматите, хронической болезни «трансплантат против хозяина», красном плоском лишае, амилоидозе, заболеваниях соединительной ткани — красной волчанке (системной и кожных форм), дерматомиозите, системной склеродермии. При длительном воздействии УФО-облучения развивается пойкилодермия Сиватта. Ятрогенными факторами, приводящими к появлению приобретенных пойкилодермий, являются использование глюкокортикостероидных препаратов, гидроксимочевины, а также рентгенотерапия, вызывающая развитие хронического лучевого дерматита. В отдельную группу авторами выделены пойкилодермическая форма грибовидного микоза, пойкилодермия сосудистая атрофическая, пойкилодермический парапсориаз. По нашему мнению, последние две нозологии являются разными формами или стадиями пойкилодермической формы грибовидного микоза. В дифференциальной диагностике большое значение уделяется локализации высыпаний. Поражение кожи молочных желез, туловища характерно для пойкилодермической формы грибовидного микоза. В нашем случае мы проводили дифференциальную диагностику с красным плоским лишаем (пигментно-атрофической формой) и склероатрофическим лихеном.
Учитывая клинические проявления и результат гистологического исследования от 02.11.2021, пациентке поставлен диагноз «склероатрофический лихен». Особенностью случая явилось сочетание в клинической картине основного поражения кожи в виде сетчатых очагов пойкилодермии с отдельными папулезными элементами.
При повторной биопсии кожи с гистологическим и иммуногистохимическим исследованиями выявлены характерные для грибовидного микоза изменения и установлен диагноз «грибовидный микоз, пойкилодермическая форма».
В отечественной литературе приведены описания отдельных клинических случаев пойкилодермической формы грибовидного микоза [18, 19].
В 2020 г. R. Vasconcelos Berg и соавт. [20] представили ретроспективное исследование, включающее 53 пациента с пойкилодермической формой грибовидного микоза, из них 14 случаев с распространенным поражением кожи, 22 случая локализованной формы и 17 пациентов, имевших сочетанное поражение в виде проявлений пойкилодермической и классической форм грибовидного микоза. Во всех группах преобладали женщины, средний возраст в группе с локализованным поражением кожи — 51 год. У наблюдаемой пациентки заболевание возникло в 30 лет, в значительно более молодом возрасте, чем средний возраст в приведенном наблюдении.
Из 22 пациентов у 5 определялась стадия Iа заболевания, у 16 — Iв, у 1 — IIв. У нашей пациентки также отмечается ранняя (Iа) стадия заболевания.
Большинство пациентов получали наружные глюкортикостероидные препараты, фототерапию. Нашей больной была проведена общая узкополосная средневолновая ультрафиолетовая терапия с хорошим клиническим ответом.
В статье E. Rohmer и соавт. [21] описано 12 пациентов с пойкилодермическим поражением кожи и установленным диагнозом грибовидного микоза. 10 пациентам после пересмотра гистологических препаратов подтвержден диагноз пойкилодермической формы грибовидного микоза по критериям ISCL (≥ 4 баллов). В этом исследовании среди пациентов тоже преобладали женщины, средний возраст на момент установления диагноза — 50,8 года (26–77 лет). Среднее время от появления симптомов до установления диагноза — 20,5 года (от нескольких месяцев до 47 лет). В описанном случае диагноз установлен относительно быстро: через 5 лет от начала заболевания и через 1 год от момента обращения в клинику. По клиническим проявлениям пациенты были разделены на три группы:
- 1) с ограниченными пятнистыми очагами пойкилодермии;
- 2) с сочетанием таких очагов и классических проявлений грибовидного микоза;
- 3) с сетчатым поражением кожи, у которых отмечалось наличие папулезных элементов (4 человека), как у больной в описанном случае.
Отмечается высокая частота поражения зоны молочных желез у пациенток женского пола (71,4%). Наиболее эффективным методом лечения оказалась фототерапия. В заключение авторами высказывается предположение о клинической гетерогенности пойкилодермической формы грибовидного микоза. Предлагается выделить отдельную нозологическую форму — parapsoriasis variegata, которая имеет особые клинические проявления и более доброкачественное течение, чем пойкилодермическия форма грибовидного микоза с крупноочаговыми зонами пойкилодермии. Это предложение, по нашему мнению, имеет под собой определенное основание.
R.A. Abbott и соавт. [22] в свое ретроспективное исследование включили 49 пациентов с пойкилодермической формой грибовидного микоза без сочетания с классическими проявлениями грибовидного микоза. Возраст пациентов на момент установления диагноза — от 15 до 81 года (средний возраст — 44 года). В этом исследовании, в отличие от приведенных ранее, преобладали мужчины (1,6:1). Диагноз устанавливался в среднем через 10 лет от момента появления высыпаний, что еще раз подтверждает сложность диагностики данной формы грибовидного микоза. При этом у большинства (88%) больных на момент установления диагноза определялась ранняя стадия заболевания, что свидетельствует о медленном, относительно доброкачественном в большинстве случаев течении заболевания. У 18% пациентов определялась ассоциация с лимфоматоидным папулезом. Гистологическая характеристика поражений кожи включала в себя эпидермотропный инфильтрат в сосочковом слое дермы с атипичными Т-клетками. По данным иммуногистохимического исследования в большинстве случаев определялся CD4+ инфильтрат, в 15 случаях из 40 клетки инфильтрата экспрессировали CD8, в 5 случаях из 40 инфильтрат был дважды негативным (CD4–CD8–). Проведенная терапия практически не отличалась от описанных ранее наблюдений: местные глюкокортикостероидные препараты, фототерапия (УФБ-терапия, узкополосная УФ-терапия, ПУВА-терапия). Положительный ответ на фототерапию отмечен в большинстве случаев (80%). Таким образом, высокоэффективным оказался метод фототерапии, что послужило причиной выбора нами данного метода лечения.
ЗАКЛЮЧЕНИЕ
Представлен клинический случай пойкилодермической формы грибовидного микоза, вызвавший сложности в диагностике. Установление диагноза стало возможным благодаря динамическому наблюдению и проведению повторной биопсии кожи с гистологическим и иммуногистохимическим исследованиями. Проведена общая узкополосная средневолновая ультрафиолетовая терапия с хорошим клиническим эффектом. Положительный эффект сохраняется в течение нескольких месяцев, пациентка продолжает находиться под наблюдением дерматолога амбулаторного отделения клиники дерматовенерологии ПСПбГМУ им. акад. И.П. Павлова.
***
Участие авторов: все авторы несут ответственность за содержание и целостность всей статьи. Поисково-аналитическая работа, обоснование рукописи, дизайн статьи, написание статьи, направление рукописи на публикацию — Н.Ю. Бурцева, Т.В. Мельникова; анализ литературных данных, прочтение, одобрение рукописи — К.Н. Монахов; обоснование рукописи, анализ литературных данных и их интерпретация, одобрение рукописи и направление рукописи на публикацию — Е.В. Соколовский.
Конфликт интересов: авторы декларируют отсутствие явных и потенциальных конфликтов интересов, связанных с публикацией настоящей статьи.
Источник финансирования: рукопись подготовлена и опубликована за счет финансирования по месту работы авторов.
Согласие пациента: пациентка добровольно подписала информированное согласие на публикацию персональной медицинской информации.
Authors’ participation: аll authors are responsible for the content and integrity of the entire article. Search and analytical work, substantiation of the manuscript, design of the article, writing of the article, submission of the manuscript for publication — Natalia Yu. Burtseva, Tatiana V. Melnikova; analysis of literature data, reading, approval of the manuscript — Konstantin N. Monakhov; substantiation of the manuscript, analysis of literature data and their interpretation, approval of the manuscript and submission of the manuscript for publication — Evgeny V. Sokolovskiy.
Conflict of interest: the authors declare the absence of obvious and potential conflicts of interest related to the publication of this article.
Source of funding: through funding at the place of work of the authors.
Patient consent: the patient voluntarily signed an informed consent to the publication of personal medical information.
About the authors
Natalia Yu. Burtseva
First Pavlov State Medical University of Saint Petersburg
Author for correspondence.
Email: burtsevaderm@mail.ru
ORCID iD: 0000-0003-1800-1610
Dermatovenereologist
Россия, 6–8 Lev Tolstoy street, 197022 Saint PetersburgTatiana V. Melnikova
First Pavlov State Medical University of Saint Petersburg
Email: tatmel2007@yandex.ru
ORCID iD: 0000-0001-9983-0327
Dermatovenereologist
Россия, 6–8 Lev Tolstoy street, 197022 Saint PetersburgKonstantin N. Monakhov
First Pavlov State Medical University of Saint Petersburg
Email: knmonakhov@mail.ru
ORCID iD: 0000-0002-8211-1665
MD, Dr. Sci. (Med.), Professor
Россия, 6–8 Lev Tolstoy street, 197022 Saint PetersburgEvgeny V. Sokolovskiy
First Pavlov State Medical University of Saint Petersburg
Email: s40@mail.ru
ORCID iD: 0000-0001-7610-6061
SPIN-code: 6807-7137
MD, Dr. Sci. (Med.), Professor
Россия, 6–8 Lev Tolstoy street, 197022 Saint PetersburgReferences
- Unna PGSF, Pollitzer D. Über die Parakeratosen im allgemeinen und eine neue Form derselben (Parakeratosis variegata). Monatschr Prakt Dermatol. 1890;10:404–412.
- Mahajan VK, Chauhan PS, Mehta KS, Sharma AL. Poikiloderma vasculare atrophicans: a distinct clinical entity? Indian J Dermatol. 2015;60(2):216. doi: 10.4103/0019-5154.152566
- Choi MS, Lee JB, Kim SJ, Lee SC, Won YH, Yun SJ. A case of poikiloderma vasculare atrophicans. Ann Dermatol. 2011;23(Suppl1):S48–52. doi: 10.5021/ad.2011.23.S1.S48
- Liu C, Tan C. 34 years’ duration of poikilodermatous lesion. Postepy Dermatol Alergol. 2020;37(3):438–440. doi: 10.5114/ada.2020.95966
- Kazakov DV, Burg G, Kempf W. Clinicopathological spectrum of mycosis fungoides. J Eur Acad Dermatol Venereol. 2004;18(4):397–415. doi: 10.1111/j.1468-3083.2004.00937.x
- Singh GK, Arora S, Das P, Singh V, Sharma V, Gupta A. A long journey of poikilodermatous erythroderma to poikilodermatous mycosis fungoides: a case report. Indian Dermatol Online J. 2022;13(5):663–666. doi: 10.4103/idoj.IDOJ_646_21
- Chairatchaneeboon M, Thanomkitti K, Kim EJ. Parapsoriasis-A diagnosis with an identity crisis: a narrative review. Dermatol Ther (Heidelb). 2022;12(5):1091–1102. doi: 10.1007/s13555-022-00716-y
- Белоусова И., Казаков Д., Самцов А. Лимфопролиферативные заболевания кожи. Клиника и диагностика. M.: ГЭОТАР-Медиа; 2022. C. 16. [Belousova I, Kazakov D, Samtsov A. Lymphoproliferative diseases of the skin. Clinic and diagnostics. Moscow: GEOTAR-Media; 2022. P. 16. (In Russ.)]
- Assaf C, Sterry W. Cutaneous lymphoma // Wolff K, Goldsmith LA, Katz SI, Gilchrest BA, Paller AS, Leffell DJ, eds. Fitzpatrick’s dermatology in general medicine. 7th ed. N.Y.: McGraw-Hill; 2008. P. 2154–2157.
- Kikuchi A, Naka W, Nishikawa T. Cutaneous T-cell lymphoma arising from parakeratosis variegata: long-term observation with monitoring of T-cell receptor gene rearrangements. Dermatology. 1995;190:124–127. doi: 10.1159/000246660
- Kreuter A, Hoffmamm K, Altmeyer P. A case of poikiloderma vasculare atrophicans, a rare variant of cutaneous T-cell lymphoma, responding to extracorporeal photopheresis. J Am Acad Dermatol. 2005;52:706–708. doi: 10.1016/j.jaad.2004.10.877
- Popadic S, Lekic B, Tanasilovic S, Bosic M, Nikolic M. Poikilodermatous mycosis fungoides with CD30-positive large cell transformation successfully treated by brentuximab vedotin. Dermatol Ther. 2020;33(1):e13152. doi: 10.1111/dth.13152
- Jeon J, Kim JH, Ahn JW, Song HJ. Poikiloderma vasculare atrophicans showing features of ashy dermatosis in the beginning. Ann Dermatol. 2015;27(2):197–200. doi: 10.5021/ad.2015.27.2.197
- Nikolaou VA, Papadavid E, Katsambas A, Stratigos AJ, Marinos L, Anagnostou D, et al. Clinical characteristics and course of CD8+ cytotoxic variant of mycosis fungoides: a case series of seven patients. Br J Dermatol. 2009;161(4):826–830. doi: 10.1111/j.1365-2133.2009.09301.x
- Citarella L, Massone C, Kerl H, Cerroni L. Lichen sclerosus with histopathologic features simulating early mycosis fungoides. Am J Dermatopathol. 2003;25(6):463–465. doi: 10.1097/00000372-200312000-00002
- Schiller PI, Flaig MJ, Puchta U, Kind P, Sander CA. Detection of clonal T cells in lichen planus. Arch Dermatol Res. 2000;292(11):568–569. doi: 10.1007/s004030000178
- Nofal A, Salah E. Acquired poikiloderma: proposed classification and diagnostic approach. J Am Acad Dermatol. 2013;69(3):e129–140. doi: 10.1016/j.jaad.2012.06.015
- Белоусова И.Э. Одновременное выявление Т- и В-клеточной клональности при пойкилодермической форме грибовидного микоза. Гематология и трансфузиология. 2007;52(5):45–46. [Belousova IE. Simultaneous detection of T- and B-cell clonality in the poikilodermic form of mycosis fungoides. Hematology and transfusiology. 2007;52(5):45–46. (In Russ.)].
- Голоусенко И.Ю., Глебова Л.И., Путинцев А.Ю. Пойкилодермический тип Т-лимфомы (грибовидного микоза). Дерматология (Прил. к журн. Consilium Medicum). 2017;4:55–57. [Golousenko IYu, Glebova LI, Putintsev AYu. Poikilodermia type of cutaneous T-cell lymphoma (mycosis fungoides). Dermatology (Suppl. Consilium Medicum). 2017;4:55–57. (In Russ.)]
- Vasconcelos Berg R, Valente NYS, Fanelli C, Wu I, Pereira J, Zatz R, et al. Poikilodermatous mycosis fungoides: comparative study of clinical, histopathological and immunohistochemical features. Dermatology. 2020;236(2):117–122. doi: 10.1159/000502027
- Rohmer E, Mitcov M, Cribier B, Lipsker D, Lenormand C. Hétérogénéité clinique du mycosis fongoïde poïkilodermique: étude rétrospective de 12 cas. [Clinical heterogeneity of poikilodermatous mycosis fungoides: A retrospective study of 12 cases]. Ann Dermatol Venereol. 2020;147(6–7):418–428. [Article in French.] doi: 10.1016/j.annder.2020.02.007
- Abbott RA, Sahni D, Robson A, Agar N, Whittaker S, Scarisbrick JJ. Poikilodermato mycosis fungoides: a study of its clinicopathological, immunophenotypic, and prognostic features. J Am Acad Dermatol. 2011;65(2):313–319. doi: 10.1016/j.jaad.2010.05.041
Supplementary files













