Pityriasis rubra pilaris (Devergie's disease) in a COVID-19 patient
- Authors: Okladnikova E.V.1, Kotova K.V.1, Khorzhevskii V.1,2, Ruksha T.G.1
-
Affiliations:
- Krasnoyarsk State Medical University
- Krasnoyarsk Pathological Bureau
- Issue: Vol 98, No 3 (2022)
- Pages: 89-95
- Section: CLINICAL CASE REPORTS
- Submitted: 25.05.2022
- Accepted: 28.06.2022
- Published: 21.07.2022
- URL: https://vestnikdv.ru/jour/article/view/1333
- DOI: https://doi.org/10.25208/vdv1333
- ID: 1333
Cite item
Full Text
Abstract
Pityriasis rubra pilaris (Devergie's disease) is an idiopathic, papulosquamous inflammatory dermatosis characterized by progressive erythrodermia. The etiology of the disease is unknown, and most cases occur sporadically. Viral infections, impaired vitamin A metabolism, medications, autoimmune reactions, and malignancies are most common triggering factors. The diagnosis of Devergie's disease is based on the clinical manifestations of the disease and the results of a skin histological examination. The present paper discusses a clinical case of pityriasis rubra pilaris that occurred in a COVID-19, 40-year-old woman. For the purpose of differential diagnosis of pitiriasis with atopic dermatitis, erythrodermic form of psoriasis, generalized form of urticaria, it is necessary to perform immunohistochemical studies to identify the proliferation of immunocompetent cells. Based on the described clinical case, it seems possible to recommend testing for SARS-CoV-2 if a patient has Devergie's disease against the background of fever and intoxication syndrome.
Keywords
Full Text
Актуальность
Последние 3 года ознаменовались пандемией, вызванной вирусом SARS-CoV-2. При этом данный инфекционный агент не только имел свои специфические проявления на коже, но и в значительной степени оказывал влияние на течение хронических заболеваний, в том числе дерматозов [1].
Наиболее частыми симптомами инфекции, вызванной COVID-19, являются гипертермия, респираторные нарушения в виде сухого кашля, заложенности носа и преходящей аносмии, а также выраженная слабость. К частым внереспираторным проявлениям инфекции относят поражения кожи, такие как эритематозная сыпь, крапивница, высыпания, напоминающие ветряную оспу. Согласно литературным данным, везикулярные высыпания могут появляться рано, в самом начале болезни, тогда как акральные везикуло-пустулезные элементы возникают сравнительно поздно. Остальные кожные проявления данной инфекции могут развиваться на протяжении всего заболевания [2, 3].
Питириаз красный волосяной отрубевидный (болезнь Девержи) является идиопатическим, папулосквамозным воспалительным дерматозом, который характеризуется прогрессирующей эритродермией. Подавляющее большинство случаев лишая Девержи является спорадическим, не имеет семейного анамнеза, в равной степени поражает мужчин и женщин всех рас и имеет неизвестную этиологию. В качестве инициирующих факторов выделяют вирусные инфекции, нарушение метаболизма витамина А, аутоиммунные реакции, прием лекарственных препаратов и злокачественные новообразования. Диагноз лишая Девержи основывается на клинических проявлениях заболевания и результатах гистологического исследования биоптата пораженной кожи больного. Гистологическими признаками заболевания являются акантоз с ортокератозом и паракератозом при сохраненном зернистом слое, в подлежащей дерме часто присутствует поверхностный периваскулярный и перифолликулярный инфильтрат. Современная классификация красного волосяного лихена включает:
- классический взрослый и классический ювенильный типы (отличаются только возрастом пациента);
- ограниченный ювенильный тип (иная этиология);
- тип, связанный с ВИЧ-инфекцией [4].
Описание случая
Пациентка С., 1982 г. рождения, поступила в КГБУЗ «Краевая клиническая больница» г. Красноярска 05.03.2022 с жалобами на высыпания на коже туловища, лица, конечностей, которые сопровождались зудом, повышением температуры тела до 38–39 °С, многократную рвоту, частый жидкий стул, боли в животе, слабость, одышку.
Из анамнеза установлено, что заболела остро, 10.02.2022, появились слабость, повышение температуры до 39–38,5 °С, ломота и боли в суставах. Самостоятельно принимала нестероидные противовоспалительные средства, без видимого эффекта. Через 5 дней от начала заболевания у пациентки появились мелкоточечные элементы на коже верхних и нижних конечностей, затем на туловище, на лице. После обращения к терапевту, с 22.02.2022 по 03.03.2022, получала преднизолон, инфузионную терапию, цефтриаксон, энтеросгель, аципол, хлоропирамин, лоперамид. Несмотря на проведенную терапию, состояние пациентки оставалось без положительной динамики, и 03.03.2022 она была госпитализирована с диагнозом «острая аллергическая реакция по тину генерализованной крапивницы». При обследовании в стационаре 03.03.2022 получен положительный результат мазка на COVID-19. Данные лабораторных исследований выявили повышение числа лейкоцитов до 18,9 × 10*9/л, эозинофилы 13%; повышение уровня С-реактивного белка и аминотрансфераз — АСТ 108,3 ЕД/л и АЛТ 581,1 ЕД/л. Учитывая данные о сопутствующих заболеваниях и консультации аллерголога и ревматолога, был поставлен диагноз «коронавирусная инфекция, вызванная COVID-19, лабораторно подтвержденная». Сопутствующие: Токсикодермия распространенная в стадии эритродермии, ассоциированная с инфекцией COVID-19. Ревматоидный артрит: серопозитивный, развернутая стадия, неэрозивный, рентгенологическая стадия 1–2 с поражением мелких и крупных суставов. Остеопения на фоне ранней менопаузы. Недостаточность витамина Д. Узловой зоб 1-й степени, эутиреоз. Пациентке проводилось введение глюкокортикостероидов, антигистаминных препаратов, гепатопротекторов. Несмотря на проведенную в течение 10 дней терапию, на коже туловища, конечностей и лица сохранялась пятнисто-папулезная сыпь с геморрагическим компонентом и обильным шелушением (рис. 1). В связи с этим было принято решение о проведении биопсии пораженных участков кожи.
Рис. 1. Пятнисто-папулезная сыпь в области верхней конечности
Результаты физикального, лабораторного и инструментального исследований
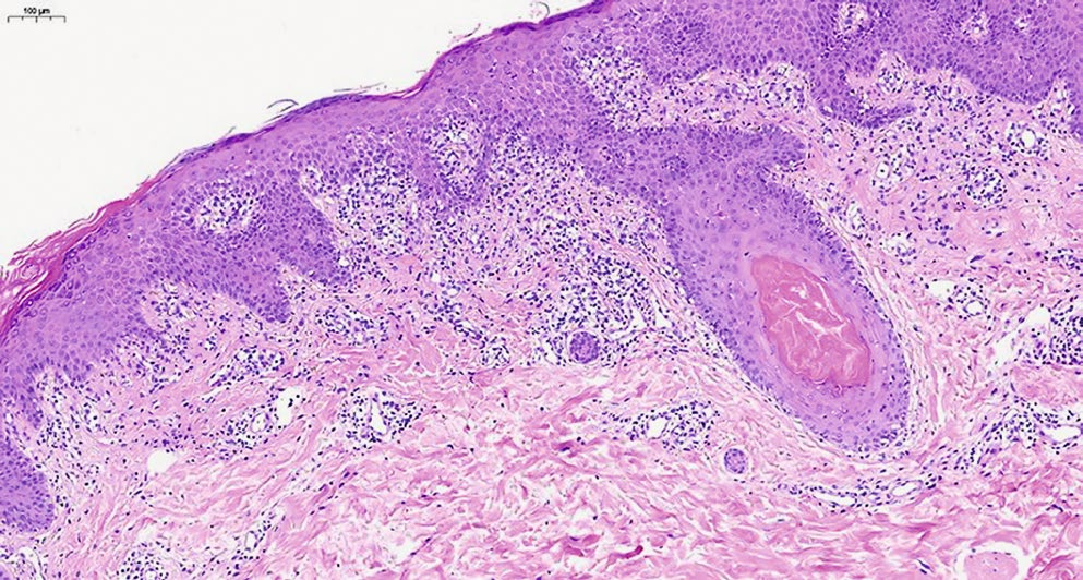
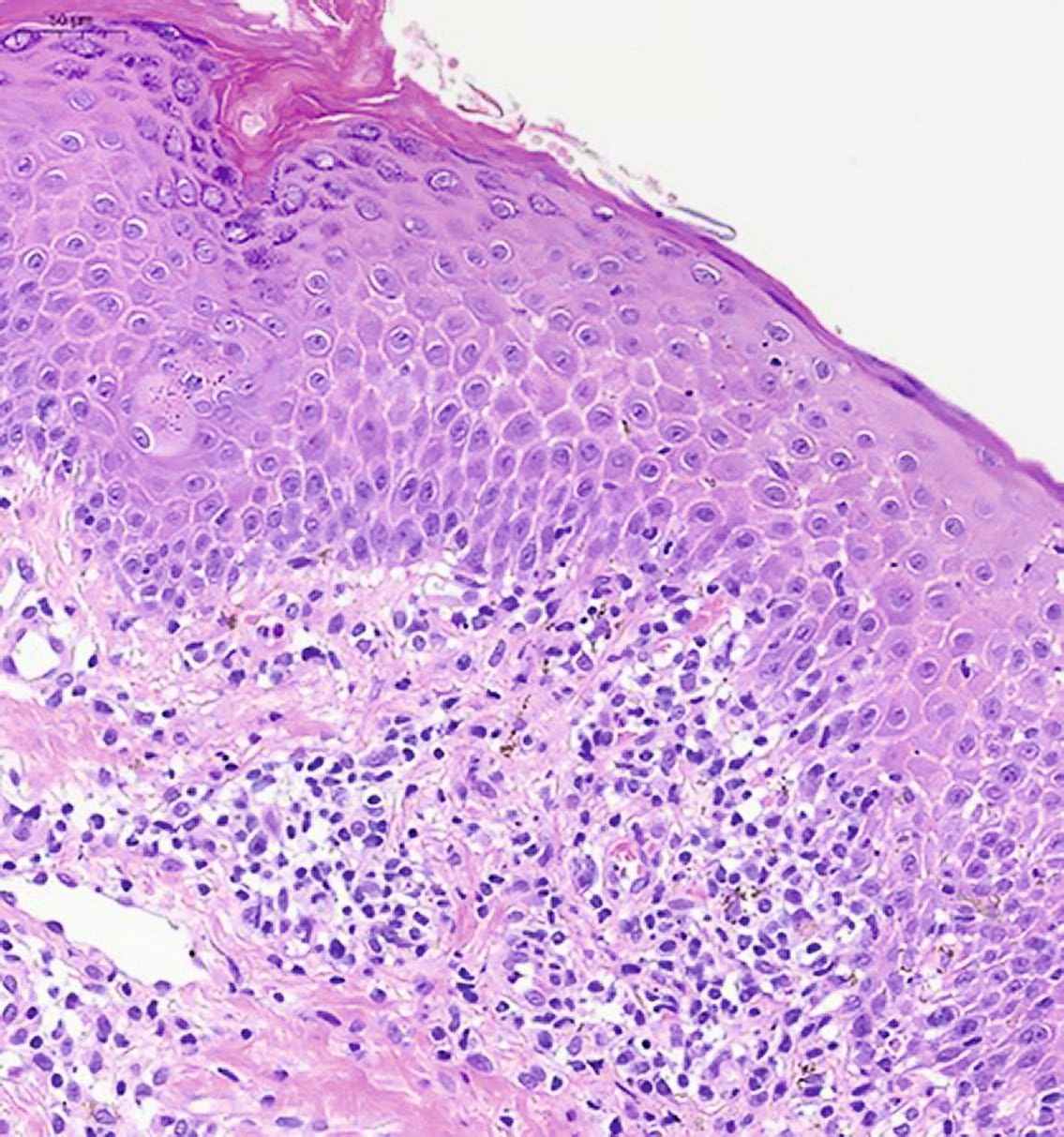
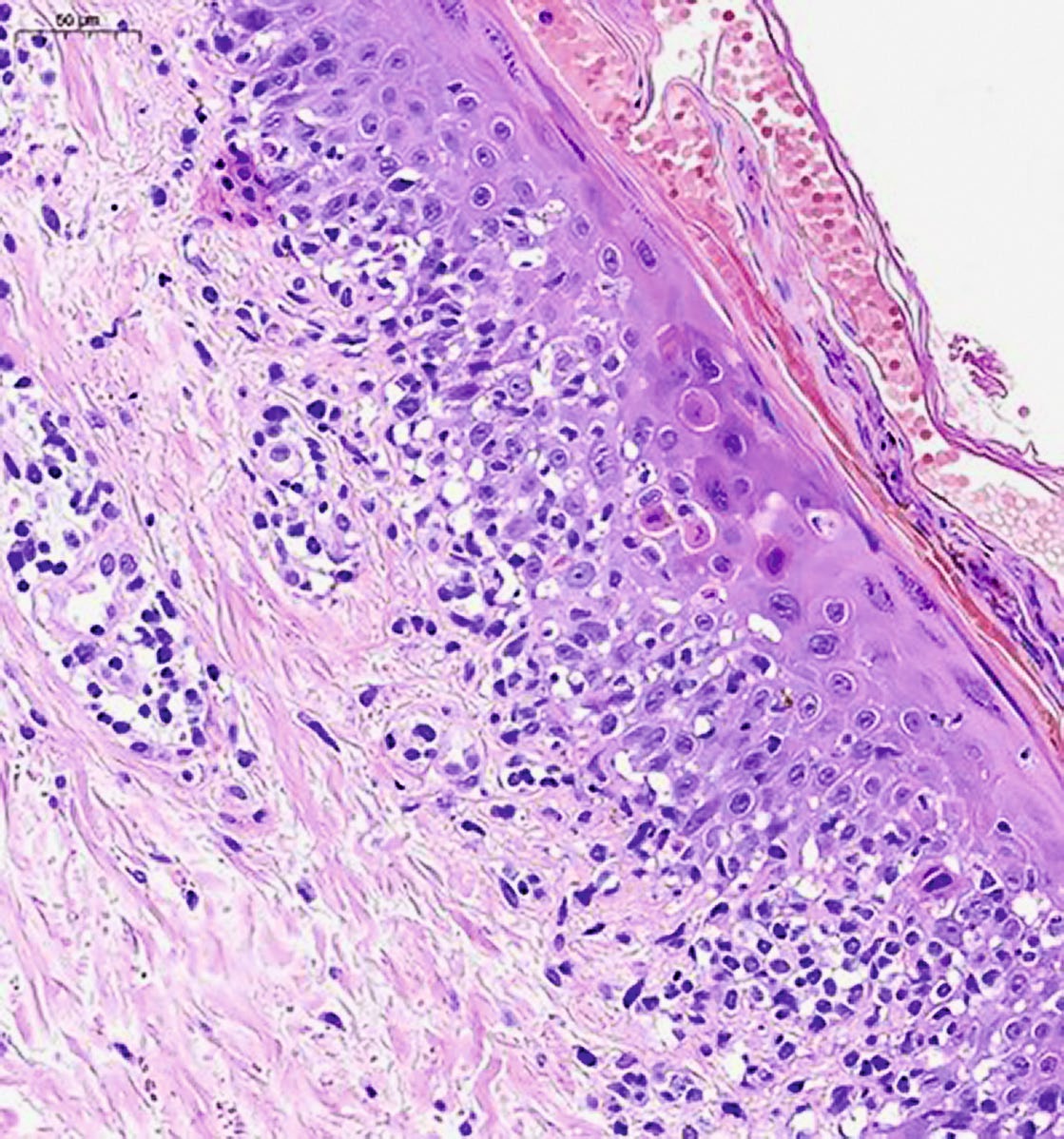
При гистологическом исследовании фрагмента кожи с окраской гематоксилином и эозином выявлен эпидермис с нерегулярным слабо выраженным акантозом, признаками чередования участков пара- и ортокератоза, перифолликулярными участками паракератоза, корками на поверхности, фолликулярными кератиновыми пробками (рис. 2). В верхних слоях дермы обнаруживается периваскулярный лимфогистиоцитарный инфильтрат с участками выраженного эпидермотропизма, в проекции которых эпидермис демонстрирует выраженный спонгиоз (рис. 3), признаки вакуольной дистрофии, содержит многочисленные тельца Сиватта (рис. 4). Среди клеток инфильтрата видны мелкие фрагменты коллагеновых волокон. Кровеносные сосуды сосочкового слоя дермы расширены, придатки кожи сохранены.
Рис. 2. Изменения в эпидермисе — акантоз, чередование участков пара- и ортокератоза, перифолликулярный паракератоз, окраска гематоксилином и эозином, ×100
Рис. 3. Периваскулярный лимфогистиоцитарный инфильтрат дермы, окраска гематоксилином и эозином, ×200
Рис. 4. Тельца Сиватта в эпидермисе, окраска гематоксилином и эозином, ×200
Несмотря на введение высоких доз стероидных противовоспалительных средств (преднизолон 180 мг в сутки), кожные проявления не регрессировали, что позволило исключить их связь с атопическим дерматитом, эритродермической формой псориаза, генерализованной формой крапивницы. С целью дифференциальной диагностики с лимфомой кожи было проведено иммуногистохимическое исследование.
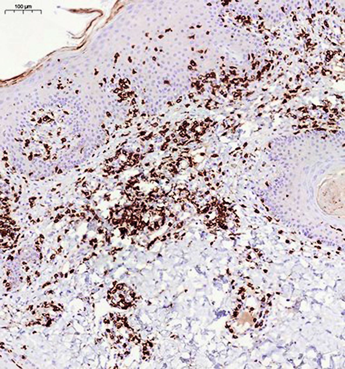
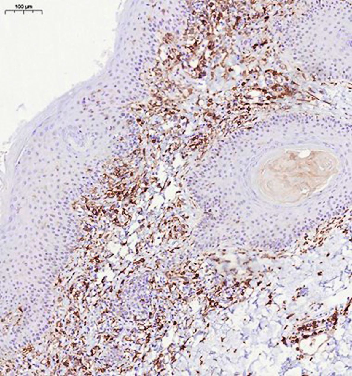
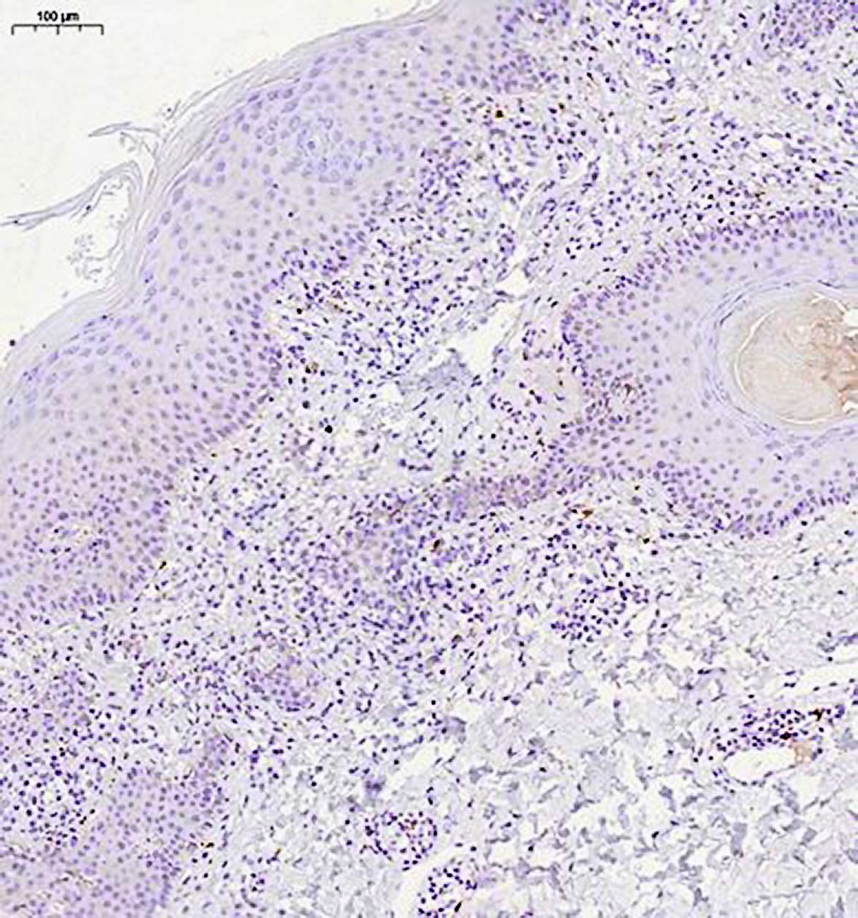
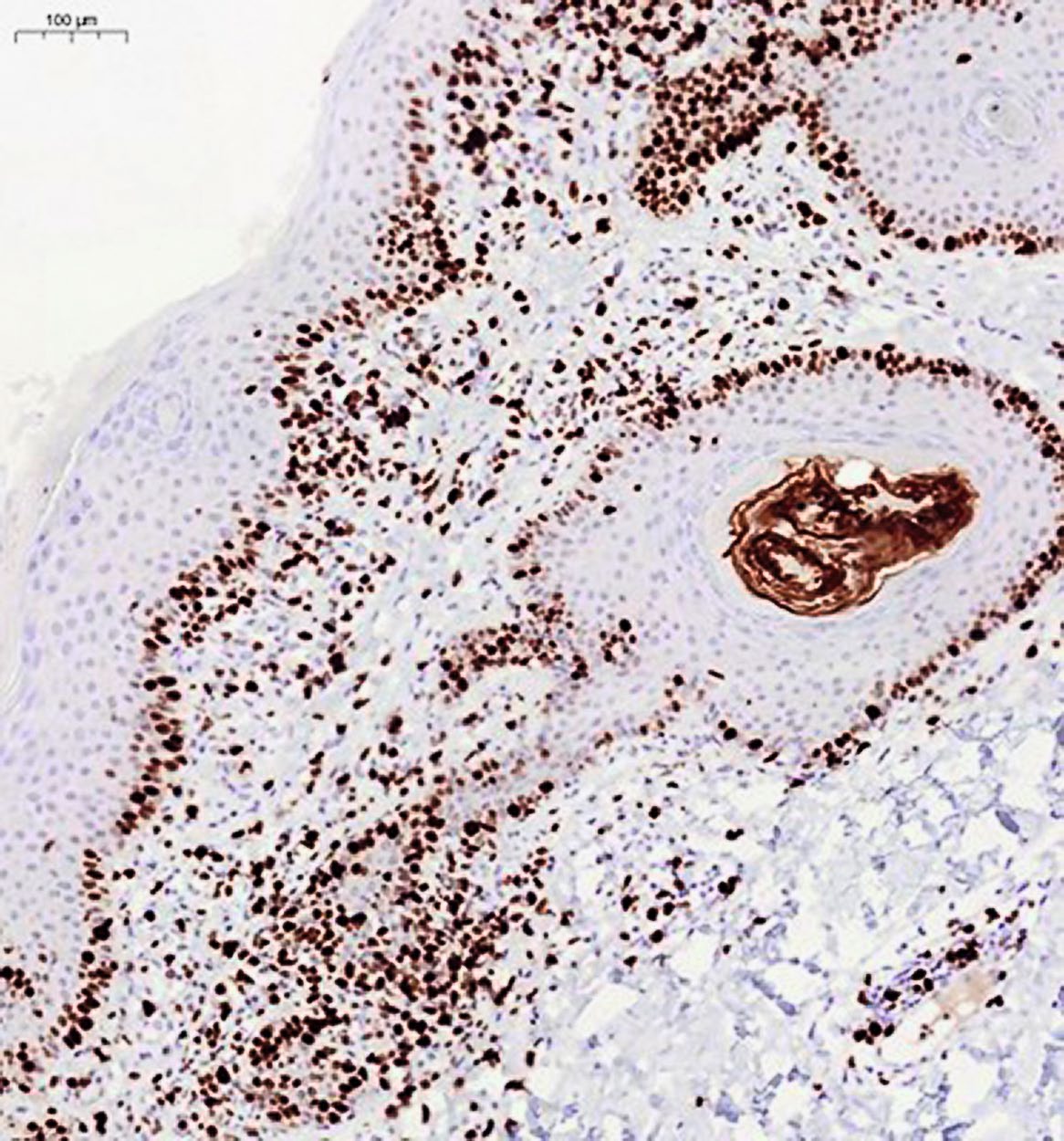
При иммуногистохимическом исследовании антиген пролиферативной активности Ki-67 экспрессирован в ядрах примерно 30% клеток воспалительного инфильтрата, в эпидермисе экспрессия Ki-67 не ограничена клетками базального слоя, а видна в более высоких слоях (рис. 5). Лимфоидные клетки инфильтрата экспрессируют CD3, CD5, соотношения CD4 и CD8 позитивных клеток соответствуют примерно 1:1 (рис. 6, 7). Единичные клетки экспрессируют CD20 (рис. 8). Заключение: клиническая картина заболевания, обнаруженные морфологические изменения в коже и результаты иммуногистохимического исследования в наибольшей степени соответствуют атипичной форме красного волосяного лишая Девержи.
Рис. 5. Иммуногистохимическое исследование с антителами к Ki-67, ×100
Рис. 6. Иммуногистохимическое исследование с антителами к клеткам CD4+, ×100
Рис. 7. Иммуногистохимическое исследование с антителами к клеткам CD8+, ×100
Рис. 8. Иммуногистохимическое исследование с антителами к CD20, ×100
Обсуждение
Известно, что вирусы, такие как вирус герпеса и ВИЧ, могут стать причиной развития красного волосяного отрубевидного лишая Девержи. Однако описания случаев развития этого заболевания в связи с инфекцией SARS-CoV-2 в доступной нам литературе мало [5, 6]. В связи с разнообразием кожных проявлений, сопровождающих течение коронавирусной инфекции, рекомендуется проводить дифференциальную диагностику заболеваний кожи при помощи иммуногистохимических исследований на выявление пролиферации иммунокомпетентных клеток.
Заключение
При выявлении у пациента болезни Девержи на фоне лихорадки и интоксикационного синдрома представляется обоснованным рекомендовать обследование на SARS-CoV-2.
Участие авторов: все авторы несут ответственность за содержание и целостность всей статьи. Концепция и дизайн исследования — Т.Г. Рукша, В.А. Хоржевский; сбор и обработка материала — Е.В. Окладникова, К.В. Котова, В.А. Хоржевский; написание текста — Е.В. Окладникова; редактирование — Т.Г. Рукша.
Authors' participation: all authors approved the final version of the article and responsible for the integrity of all parts of the article. Concept and design of the study — Tatiana G. Ruksha, Vladimir A. Khorzevsky; collection and processing of material — Evgeniya V. Okladnikova, Kseniya V. Kotova, Vladimir A. Khorzevsky; text writing — Evgeniya V. Okladnikova; editing — Tatiana G. Ruksha.
About the authors
Evgenia V. Okladnikova
Krasnoyarsk State Medical University
Email: farmasis@yandex.ru
ORCID iD: 0000-0002-1909-222X
SPIN-code: 1220-9302
MD, Cand. Sci. (Med.), associated professor
Россия, Partizanа Zheleznyakа str., 1, 660022, KrasnoyarskKseniya V. Kotova
Krasnoyarsk State Medical University
Email: ksuhry@mail.ru
ORCID iD: 0000-0001-9868-5017
MD, assistant lecturer
Россия, Partizanа Zheleznyakа str., 1, 660022, KrasnoyarskVladimir Khorzhevskii
Krasnoyarsk State Medical University; Krasnoyarsk Pathological Bureau
Email: vladpatholog@yandex.ru
ORCID iD: 0000-0002-9196-7246
MD, Cand Sci. (Med.)
Россия, Partizanа Zheleznyakа str., 1, 660022, Krasnoyarsk; Partizanа Zheleznyakа str., 3D, 660022, KrasnoyarskTatiana G. Ruksha
Krasnoyarsk State Medical University
Author for correspondence.
Email: tatyana_ruksha@mail.ru
ORCID iD: 0000-0001-8142-4283
SPIN-code: 5412-2148
Scopus Author ID: 23009925600
MD, Dr. Sci. (Med), Professor
Россия, Partizanа Zheleznyakа str., 1, 660022, KrasnoyarskReferences
- Мартынов А.А., Власова А.В. Клинический случай течения буллезного пемфигоида на фоне вакцинации против коронавирусной инфекции (COVID-19). Вестник дерматологии и венерологии. 2021;97(4):107–112. [Martynov AA, Vlasova AV. A case of bullous pemphigoid following COVID-19 vaccination. Vestn. Dermatol. Venereol. 2021;97(4):107–112 (In Russ.)]. doi: https://doi.org/10.25208/vdv1244
- Recalcati S. Cutaneous manifestations in COVID-19: a first perspective. J Eur Acad Dermatol Venereol. 2020;34(5):212–213. doi: 10.1111/jdv.16387
- Tan SW, Tam YC, Oh CC. Skin manifestations of COVID-19: A worldwide review. JAAD Int. 2021;2:119–133. doi: 10.1016/j.jdin.2020.12.003
- Wang D, Chong VC, Chong WS, Oon HH. A Review on Pityriasis Rubra Pilaris. Am J Clin Dermatol. 2018;19(3):377–390. doi: 10.1007/s40257-017-0338-1
- Aguilar-Gamboa FR, Cubas-Alarcon D, Villegas-Chiroque M, Failoc-Rojas VE. Pityriasis rubra pilaris post-infection due COVID-19: case report. Colomb Med (Cali). 2021;52(1):7014577. doi: 10.25100/cm.v52i1.4577
- Kadylak D, Barańska-Rybak W. Acute postinfectious pityriasis rubra pilaris as a cutaneous manifestation in COVID-19: a case report and its dermoscopic features. J Eur Acad Dermatol Venereol. 2021;35(10):622–624. doi: 10.1111/jdv.17424
Supplementary files












