A clinical case of the debut of pemphigus foliaceus against the background of vaccination against coronavirus infection (COVID-19)
- Authors: Martynov A.A.1, Vlasova A.V.2, Svishchenko S..1
-
Affiliations:
- State Research Center of Dermatovenereology and Cosmetology
- I.M. Sechenov First Moscow State Medical University (Sechenov University)
- Issue: Vol 98, No 5 (2022)
- Pages: 107-116
- Section: CLINICAL CASE REPORTS
- Submitted: 16.06.2022
- Accepted: 12.10.2022
- Published: 23.11.2022
- URL: https://vestnikdv.ru/jour/article/view/1336
- DOI: https://doi.org/10.25208/vdv1336
- ID: 1336
Cite item
Full Text
Abstract
The article describes the onset of pemphigus foliaceus against the background of vaccination with the combined vector vaccine "Gam-COVID-Vac" ("Sputnik V"). A feature of this clinical case is the duration of the period from the moment of development of the first symptoms of the disease to clinical and immunohistochemical confirmation of the diagnosis, which, in fact, indicates a low availability of specialized medical care for rare dermatoses. In particular, the waiting period for taking material for histological examination lasted for several months, which, in fact, is not an isolated case. At the same time, against the background of an increase in clinical symptoms, this became an additional factor in the patient's self-referral to a specialized federal state medical institution, where, within two weeks, the diagnosis was confirmed by immunohistochemical analysis methods and inpatient treatment was carried out with a pronounced positive effect. In addition, the analysis of the medical care provided to the patient showed insufficient alertness and the level of training of dermatovenereologists in diagnosing rare dermatoses accompanied by blistering rashes. In particular, the patient initially underwent several courses of antifungal therapy in combination with intravenous infusion of systemic glucocorticosteroids. The article also presents an analysis of the frequency of occurrence of this disease in different countries for more than 100 years.
Full Text
Актуальность
Успеху борьбы с пандемией коронавирусной инфекции (COVID-19) во многом способствовало оперативное создание и внедрение профилактических вакцин. Вместе с тем как сама инфекция, так и широкомасштабная специфическая вакцинопрофилактика способствовали не только появлению атипичных форм различных заболеваний, но и увеличению частоты встречаемости редких заболеваний, в основе патогенеза которых лежат не до конца изученные иммунные механизмы, в частности — болезней кожи.
Многие пациенты при обращении за медицинской помощью в постковидный период обращают внимание врачей на связь очередных обострений с ранее перенесенным заболеванием или проведенной вакцинацией от COVID-19 [1].
Описание случая
Больной А., 1955 г. рождения, житель Московской области, обратился в Государственный научный центр дерматовенерологии и косметологии Минздрава России (далее — ГНЦДК) в ноябре 2021 г. с жалобами на распространенные симметричные высыпания на коже туловища и конечностей, периодический слабовыраженный зуд, преимущественно в вечернее время.
Со слов больного, заболел остро в июне 2021 г. Дебют заболевания связывает с проведенной в предшествующий месяц вакцинацией комбинированной векторной вакциной «Гам-КОВИД-Вак» («Спутник V»).
Сразу же после появления первых признаков заболевания — единичных красных пятен на туловище, сопровождающихся умеренным зудом, — обращался к врачу-дерматовенерологу по месту жительства. Спустя несколько дней стали беспокоить пузырьковые элементы в аксиллярных впадинах. Клинически был поставлен диагноз «Микроспория гладкой кожи с поражением пушковых волос». В условиях дневного стационара по месту жительства (без оформления листка временной нетрудоспособности) проводилось курсовое лечение системными противогрибковыми средствами (противогрибковым антибиотиком «Гризеофульвин»), наружно: раствором йода; серно-салициловой мазью; препаратом для лечения заболеваний кожи, обладающим акарицидной и фунгицидной активностью (мазь «Ям»); наружным противогрибковым препаратом (крем тербинафин).
Ремиссия после выписки из дневного стационара составила двое суток, после чего вновь отмечено появление высыпаний в виде полостных элементов с мутным содержимым. Больной для купирования симптомов заболевания самостоятельно использовал в течение длительного периода наружный кортикостероид с переменным успехом.
В сентябре 2021 г. больной повторно обратился к врачу-дерматовенерологу по месту жительства. Был поставлен диагноз «Монетовидная экзема»; проводилась терапия в условиях дневного стационара по месту жительства (без оформления листка временной нетрудоспособности), включая:
- дезинтоксикационную (раствор, влияющий на водно-электролитный баланс, — меглюмина натрия сукцинат);
- гипосенсибилизирующую (комплексообразующее средство «Тиосульфат натрия»);
- антигистаминную (стабилизатор мембран тучных клеток, противоаллергический препарат «Кетотифен»);
- системную глюкокортикостероидную (лекарственный препарат «Кеналог») терапию.
Наружно лечение проводилось комбинированным кортикостероидом, в составе которого имеются противогрибковый и антибактериальные компоненты (мазь бетаметазон + клотримазол + гентамицин).
После выписки из дневного стационара пациент самостоятельно продолжил использовать наружно упомянутый комбинированный кортикостероид (1–2 раза в сутки в течение нескольких недель).
Вместе с тем состояние больного ухудшалось, продолжали появляться новые очаги поражения. Больному планировалось проведение диагностической биопсии кожи в стационарных условиях. Однако из-за перегруженности профильного регионального отделения в госпитализации ему было отказано (при этом было предложено вернуться к вопросу о госпитализации через 3–4 месяца).
В этой связи в начале ноября 2021 г. больной самостоятельно обратился в ГНЦДК.
История жизни — без особенностей. Наличие профессиональных вредностей больной отрицал, вместе с тем отмечал, что в течение длительного периода работает слесарем-сборщиком на крупном химическом производстве, при этом непосредственного контакта с агрессивными компонентами не имеет. Также больной отрицал использование ранее таких лекарственных препаратов, как пеницилламин, нифедипин или каптоприл.
Локальный статус при поступлении (рис. 1–4): кожный патологический процесс носил распространенный характер, локализовался на коже туловища, верхних и нижних конечностей, был представлен множественными округлыми, местами отечными эритематозно-сквамозными очагами розового и светло-розового цвета и пятнами гиперпигментации коричневого цвета. На поверхности отдельных очагов поражения, преимущественно в поясничной области, имелись как сгруппированные пузырьки с серозным содержимым на гиперемированном фоне, так и единичные пузыри до 2 см в диаметре с плотной покрышкой и серозным содержимым. На коже боковых поверхностей туловища, ягодиц и верхней трети плеч определялись овальные и круглые, сливающиеся между собой эрозии до 1 см в диаметре. Также имелись корочки и чешуйки на поверхности пораженных участков кожи. Феномен Никольского был положительным.
Рис. 1. Больной А. при поступлении. Общий вид пораженных участков кожи
Fig. 1. Patient A. at admission. General view of the affected areas of the skin
Рис. 2. Больной А. при поступлении. Пораженные участки кожи в области груди и аксиллярной впадины слева
Fig. 2. Patient A. at admission. Affected areas of the skin in the chest and axillary cavity on the left
Рис. 3. Больной А. при поступлении. Пораженные участки кожи в области спины
Fig. 3. Patient A. at admission. Affected areas of the skin in the back
Рис. 4. Больной А. при поступлении. Пораженные участки кожи в области нижней части живота слева
Fig. 4. Patient A. at admission. Affected areas of the skin in the lower abdomen on the left
Придатки кожи и слизистые оболочки не были изменены.
Клинический диагноз при поступлении, основное заболевание:
Экзема? Пузырчатка обыкновенная? Пузырчатка листовидная? Герпетиформный дерматит Дюринга?
В связи с тем, что какое-либо лечение (системное и наружное) больной до момента обращения в ГНЦДК не проводил на протяжении более 14 дней, в ходе первичной консультации ему была проведена диагностическая биопсия с кожи спины с последующим гистологическим исследованием.
Дополнительно больному было рекомендовано провести исследование на наличие чесоточного клеща (результат был отрицательным).
С учетом тяжести состояния, распространенности патологического процесса на коже, а также до получения результатов гистологического исследования больному был рекомендован короткий курс системного глюкокортикостероида (табл. преднизолон в течение 14 дней по схеме: в первые сутки приема — 70 мг с последующим ежедневным уменьшением суточной дозы препарата на 5 мг до 15 мг в сутки).
В ходе повторной консультации (спустя 2 недели после первичной консультации) установлено, что состояние больного улучшилось, проводимое лечение переносил хорошо. Однако новые высыпания продолжали появляться.
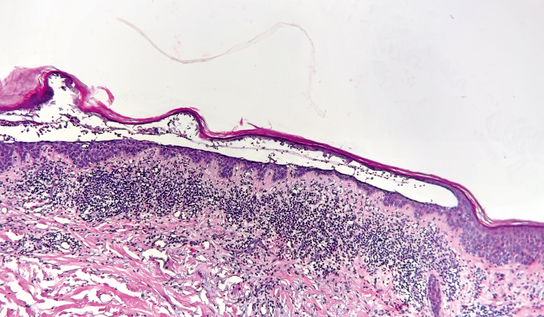
По результатам гистологического исследования были выявлены изменения, которые не позволили полностью исключить наличие листовидной или себорейной пузырчатки: «эпидермис неравномерной толщины с умеренно выраженным гиперкератозом, спонгиозом, на протяжении всего биоптата клетки зернистого слоя диссоциированы между собой с тенденцией к образованию пузыря (рис. 8). Дерма отечна, в сосочковом слое воспалительные изменения представлены диффузными лимфоцитарными инфильтратами с примесью эозинофилов. Для уточнения диагноза было рекомендовано проведение РИФ».
Учитывая изложенное, а также в связи с распространенностью и тяжестью течения кожного патологического процесса больной был госпитализирован в круглосуточный стационар ГНЦДК. На момент госпитализации в стационар больной продолжал прием преднизолона по 15 мг в сутки.
Результаты физикального, лабораторного и инструментального исследований
По результатам комплексного клинико-лабораторного обследования у больного был выявлен ряд отклонений, включая в том числе:
- положительный мазок-отпечаток на акантолитические клетки;
- в периферической крови:
- лейкоцитоз (выявленный уровень лейкоцитов составил 11,6*109/л; референсные значения: 4–9*109/л;
- лимфопения (выявленный уровень лимфоцитов составил 1,19 тыс/мкл; референсные значения: 1,32–3,57 тыс/мкл);
- повышен уровень аланинаминотрансферазы (выявленный уровень АЛТ составил 63 Ед/л; референсное значение: < 41 Ед/л);
- по результатам консультации врача-терапевта были диагностированы: дислипидемия; ятрогенное поражение печени;
- по результатам проведения нРИФ с антителами к IgG, IgA, IgM в биоптате видимо непораженной кожи наблюдалась умеренная фиксация IgG в межклеточных промежутках эпидермиса (с понижением градиента фиксации от уровня зернистого и рогового слоев к базальному слою), с тенденцией к формированию «сетки» (рис. 9–11). Значимой фиксации IgA и IgG в структурах кожи не обнаружено. Выявленная иммунофлуоресцентная картина соответствовала клиническому и морфологическому диагнозу листовидной пузырчатки.
Результаты лечения
В условиях стационара ГНЦДК больному было проведено следующее лечение:
- системные глюкокортикостероиды (таблетированный преднизолон из расчета 1 мг на кг массы тела в дозе 60 мг в сутки в течение всего периода стационарного лечения);
- гепатопротекторы (эссенциальные фосфолипиды по 5 мл в/в струйно, № 4);
- препарат калия и магния («Панангин» по 1 табл. 3 раза в сутки в течение всего периода стационарного лечения);
- регулятор кальциево-фосфорного обмена («Кальций Д3» по 1 табл. 3 раза в сутки);
- ингибитор протонного насоса (омепразол по 1 капс. 20 мг 2 раза в сутки в течение всего периода стационарного лечения);
- наружная терапия: глюкокортикостероид для местного применения (мометазон фуроат, мазь), раствор метиленового синего; крем Унны.
На фоне терапии отмечалась выраженная положительная динамика в виде регресса большинства высыпаний с формированием пятен гиперпигментации. На коже туловища, верхних и нижних конечностей отмечались единичные, плотно прилегающие, сухие корки, а также пятна гиперпигментации коричневого цвета.
По результатам проведенного лечения больной был выписан с улучшением, полным восстановлением трудоспособности (рис. 5–7).
Рис. 5. Больной А. по результатам проведенного стационарного лечения: общий вид
Fig. 5. Patient A. after inpatient treatment: general view
Рис. 6. Больной А. по результатам проведенного стационарного лечения: кожа груди и живота
Fig. 6. Patient A. after inpatient treatment: skin of the chest and abdomen
Рис. 7. Больной А. по результатам проведенного стационарного лечения: кожа спины
Fig. 7. Patient A. after inpatient treatment: back skin
Рис. 8. Результаты гистологического исследования
Fig. 8. Histological examination results
Рис. 9. Результаты проведения нРИФ с антителами к IgG (описание в тексте)
Fig. 9. The results of indirect immunofluorescence reaction with antibodies to IgG (description in the text)
Рис. 10. Результаты проведения нРИФ с антителами к IgA (описание в тексте)
Fig. 10. The results of indirect immunofluorescence reaction with antibodies to IgА (description in the text)
Рис. 11. Результаты проведения нРИФ с антителами к IgM (описание в тексте)
Fig. 11. The results of indirect immunofluorescence reaction with antibodies to IgМ (description in the text)
При выписке больному были даны рекомендации продолжить прием системного глюкокортикостероида (преднизолон в дозе 60 мг в сутки) с последующим решением вопроса о снижении суточной дозы принимаемого препарата с учетом клинико-лабораторных данных под наблюдением врача-дерматовенеролога по месту жительства.
Также был рекомендован прием гепатопротекторов, ингибиторов протонного насоса, препаратов калия и магния, регулятора кальциево-фосфорного обмена.
Кроме того, были даны рекомендации по проведению наружной терапии с использованием метиленового синего на сохраняющиеся корки, увлажняющих и смягчающих кожу средств.
По результатам последующего наблюдения больного в условиях клинико-диагностического центра ГНЦДК отмечалась стойкая клиническая ремиссия заболевания: новые высыпания не появлялись; на коже туловища, аксиллярных впадин сохранялись гиперпигментированные пятна. Спустя два месяца после стационарного лечения суточная доза системного глюкокортикостероида была уменьшена с 60 до 50 мг в сутки.
Обсуждение
Листовидная пузырчатка (pemphigus foliaceus) относится к редко встречающимся заболеваниям кожи из группы аутоиммунных буллезных дерматозов.
В качестве самостоятельного типа листовидная пузырчатка была выделена в 1844 г. P.L.A. Cazenave; первое клиническое описание данного заболевания дано в 1773 г. De la Mott под названием “maladie singulicre de l’epiderme”. Значительный вклад в ее изучение внес П.В. Никольский, именем которого назван признак легкого отслоения рогового слоя кожи, который он считал патогномоничным именно для листовидной пузырчатки [2].
Как и 100 лет назад, пузырчатка наблюдается нечасто. В 1885 г. Л.А. Дюринг отмечал, что по статистике американского общества дерматологов отмечалось всего 14 случаев пузырчатки на 16 863 случая всех болезней кожи. В наше время пузырчатка встречается также достаточно редко. При этом в Нью-Йорке, Лос-Анджелесе и Хорватии соотношение случаев вульгарной и листовидной пузырчатки в настоящее время составляет примерно 5:1, в Иране — 12:1; в Сингапуре — 2:1, в Финляндии 0,5:1 [3].
Сведения о распространенности данного заболевания в Российской Федерации достаточно обрывочны. С одной стороны, это обусловлено тем, что централизованного статистического учета больных данным заболеванием не проводится, с другой — неустоявшимися научными взглядами на подходы к классификации пузырных дерматозов в целом.
При этом несовершенство международной классификации болезней и клинических состояний (МКБ-10) упирается в невозможность оперативной актуализации самой классификации с учетом уровня развития медицинской науки.
Кроме того, согласно оценкам российских экспертов, при неспособности МКБ-10 к отражению всего клинического многообразия, в особенности в дерматовенерологии, использование клинических классификаций наряду с МКБ-10 для описания особенностей заболеваний является оправданным [4].
Вместе с тем следует принять во внимание то, что статистический учет заболеваний в масштабе всей популяции невозможно обеспечить на основе клинической классификации, поскольку разные эксперты и организации проводят произвольную группировку заболеваний и (или) состояний.
В Российской Федерации за 2012–2014 гг. распространенность истинной пузырчатки среди взрослого населения не превышала 5 больных на 100 тыс. населения (заболеваемость — 2 больных на 100 тыс. населения) [5, 6], что в целом соотносится с данными о заболеваемости истинной пузырчаткой в Иерусалиме (1,6 больного на 100 тыс. населения).
Непосредственные данные о заболеваемости листовидной пузырчаткой можно получить, в частности, по результатам проведенного анализа установленных диагнозов в клинических подразделениях ГНЦДК. За период 2008–2021 гг. диагноз пузырчатки (код МКБ-10 — L10) всего был впервые установлен 480 больным (около 0,3% от общего числа болезней кожи и подкожной клетчатки), из них:
- пузырчатка обыкновенная (L10.0) — 312 чел. (65%);
- пузырчатка вегетирующая (L10.1) — 6 чел. (1,25%);
- пузырчатка листовидная (L10.2) — 20 чел. (4,1%);
- пузырчатка эндемичная (пузырчатка бразильская) (L10.3) — нет;
- пузырчатка эритематозная (L10.4) — 38 чел. (8%);
- пузырчатка, вызванная лекарственными средствами (L10.5), — 1 чел. (0,21%);
- другие виды пузырчатки (L10.8) — 40 чел. (8,3%);
- пузырчатка неуточненная (L10.9) — 63 чел. (13,1%).
Соответственно, если исходить из подходов, предложенных рабочей группой Комитета Российского общества дерматовенерологов и косметологов по классификациям в дерматовенерологии (2021 г.), доля листовидной пузырчатки не превышает 12% в структуре впервые выявленной пузырчатки (на первом месте — обыкновенная пузырчатка — 66%). При этом соотношение обыкновенной и листовидной пузырчатки составляет 5,5:1.
Все указанные больные относились к возрастной категории 18 лет и старше. Среди женщин пузырчатка в целом встречалась в 1,7 раза чаще, чем среди мужчин (в основном за счет заболеваемости обыкновенной пузырчаткой, которая среди женщин диагностировалась в 2,3 раза чаще). Листовидная пузырчатка почти в 5 раз чаще встречалась среди мужчин.
Таким образом, имеющиеся данные о заболеваемости листовидной пузырчаткой подтверждают статус редкого дерматоза, чаще встречающегося среди взрослых лиц мужского пола.
В целом, полученные данные о заболеваемости отдельными видами пузырчатки сопоставимы с данными ведущих отечественных и зарубежных исследователей, которые кратко заключаются в следующем:
1) удельный вес пузырчатки среди всех дерматозов не превышает 1%;
2) несколько чаще обыкновенной пузырчаткой болеют женщины, листовидной — мужчины;
3) пузырчатка чаще диагностируется у взрослых лиц; дети, как правило, пузырчаткой не болеют;
4) значительно чаще других форм встречается обыкновенная пузырчатка;
5) наиболее редко встречаются вегетирующая и листовидная пузырчатки, чаще — обыкновенная пузырчатка.
Учитывая изложенное, становится понятным, что в повседневной практике врача-дерматовенеролога данное заболевание встречается крайне редко.
Также необходимо учитывать особенности клинической симптоматики данного заболевания, заключающиеся прежде всего в том, что начальные проявления листовидной пузырчатки могут как иметь свои характерные черты, так и напоминать экзему, герпетиформный дерматит, вульгарную пузырчатку.
Особенностью листовидной пузырчатки является то, что пузыри плоские и тонкостенные. У некоторых больных, в том числе в представленном клиническом случае, заметить пузырные высыпания было крайне затруднительным. В клинической картине данного вида пузырчатки, как правило, преобладают эритематозно-сквамозные высыпания и множественные слоистые корки, возникающие за счет ссыхания экссудата, что в ряде случаев не позволяет врачу-дерматологу заподозрить пузырный дерматоз.
Особенностью пузырей при листовидной пузырчатке, по мнению Л.А. Дюринга, является то, что они «ни напряжены, ни тверды, а напротив, дряблы, морщинисты и не вполне наполнены жидкостью; вместо того, чтобы поднять кожицу в виде круглых и растянутых пузырей они только морщат и коробят ее. Это неполное напряжение пузырей есть главный, характерный признак, описываемой формы; они лопаются раньше, чем разовьются в настоящие пузыри, или же кожица поднимается с такой быстротой, что образует мягкие мешки неправильной формы и слишком просторные для содержащейся в них влаги, вследствие чего они скоро спадаются и лопаются» [7].
При этом, как отмечал П.В. Никольский, «начало болезни большей частью мало обращает внимание больного и врача. Так, в одних случаях дело начинается с появления одиночных маленьких пузырьков и ссадин на каком-нибудь участке кожи (груди, спине, конечностях), при легком ощущении зуда или жжения, что в течение недель считается больным, нередко и врачом, за экзему, и лишь распространение сыпи на значительное пространство заставляет предполагать какое-то иное страдание» [2]. Кроме того, распространение сыпи на всю кожу происходит редко в несколько дней (острое течение болезни), чаще — в несколько недель или в несколько месяцев.
Но, как и прежде, при обнаружении на коже больного двух первичных морфологических элементов — пузырьков и пузырей — следует проводить дифференциальную диагностику с пузырчаткой.
Возможно, при первичном обращении к врачу-дерматовенерологу по месту жительства на коже представленного больного экссудативные элементы были выражены крайне слабо либо отсутствовали. А при повторном обращении по месту жительства врачом-дерматовенерологом были обнаружены лишь очень маленькие пузырьки и не были обнаружены пузыри, что послужило причиной ошибочной диагностики экзематозного процесса (как отмечал Ж. Дарье — пузырчатой экземы [8]).
Вместе с тем именно на этом этапе, с учетом особенностей анамнеза заболевания и не вполне типичного течения заболевания, следовало провести диагностическую биопсию, которая в значительной степени сократила бы период до установления окончательного диагноза.
Что касается подходов к терапии пузырчатки, то до момента широкого внедрения системных глюкокортикостероидов большинство ее типов приводили относительно быстро к летальному исходу. Продолжительность болезни была различной: от нескольких месяцев до 5–7 лет. Касательно листовидной пузырчатки — в начале прошлого века она могла тянуться без особой терапии многие годы, с периодами улучшения до кажущегося выздоровления; лишь в единичных случаях отмечалось выздоровление.
Среди различных ранее использовавшихся методов терапии этого тяжелого недуга, пожалуй, выделяется применение рекомендованных Ф. Гебра и поддержанных Л.А. Дюрингом непрерывных ванн, принимаемых в водяной постели. По сути, это был род купальни: в ванну клали матрац из конского волоса с подушкой, чтобы больной мог лежать в ней спокойно. В таких условиях больной мог оставаться по целым дням, неделям и даже месяцам [7].
В настоящее время в отношении листовидной пузырчатки подходы мало чем отличаются от случаев лечения обыкновенной пузырчатки, в особенности при распространенных формах.
В данном случае использование преднизолона в суточной дозе 60 мг в сутки позволило добиться стойкой клинической ремиссии.
Заключение
Таким образом, разбор данного клинического случая выявил ряд проблем в организации оказания профильной медицинской помощи, среди которых наибольшее значение имеют следующие:
1) сохраняется низкий уровень настороженности врачей-дерматовенерологов региональных медицинских организаций по диагностике редко встречающихся дерматозов, в том числе сопровождающихся пузырными высыпаниями. В целях исправления складывающейся ситуации необходимо постоянно совершенствовать знания указанных специалистов, внедряя современные образовательные программы;
2) необходимо пересмотреть отдельные подходы к организации контроля качества медицинской помощи (в частности, нарушение сроков и содержания финансовой отчетности об оказании медицинской помощи в рамках ОМС в настоящее время может приводить к большим финансовым потерям организаций, нежели нарушение порядка и условий оказания медицинской помощи, а также несоблюдение сроков ее оказания) [9];
3) требуется определить четкие критерии необходимости проведения гистологических исследований при оказании медицинской помощи больным дерматовенерологического профиля и установить нормативные сроки их выполнения (описанный случай ожидания больным проведения биопсии в мегаполисе с необходимостью стационарного ее проведения просто недопустим);
4) требуется совершенствование методических подходов к классификации заболеваний и состояний не только при пузырчатке, но и при других заболеваниях, встречающихся в дерматологической практике (в рамках проводимой поэтапной работы по адаптации новой версии МКБ предлагается выработать четкие методические критерии отнесения тех или иных заболеваний и (или) состояний к конкретным кодам (формулировкам), приведенным в самой классификации).
Участие авторов: все авторы несут ответственность за содержание и целостность всей статьи. Концепция и дизайн исследования, сбор и обработка материала, написание текста, редактирование — А.А. Мартынов, А.В. Власова, С.И. Свищенко.
Authors' participation: all authors: approval of the final version of the article, responsibility for the integrity of all parts of the article. Contribution: concept and design of the study, collection and processing of material, text writing, editing — Andrey A. Martynov, Anna V. Vlasova, Svetlana I. Svishchenko.
About the authors
Andrey A. Martynov
State Research Center of Dermatovenereology and Cosmetology
Email: aamart@mail.ru
ORCID iD: 0000-0002-5756-2747
SPIN-code: 2613-8597
MD, Dr. Sci. (Med.), Professor
Россия, Korolenko str., 3, bldg 6, 107076, MoscowAnna V. Vlasova
I.M. Sechenov First Moscow State Medical University (Sechenov University)
Author for correspondence.
Email: avvla@mail.ru
ORCID iD: 0000-0002-7677-1544
SPIN-code: 8802-7325
MD, Cand. Sci. (Med.)
Россия, Trubetskaya str., 8, bldg 2, 119991, MoscowSvetlana I. Svishchenko
State Research Center of Dermatovenereology and Cosmetology
Email: svischenko@cnikvi.ru
ORCID iD: 0000-0002-8821-7903
SPIN-code: 5240-0869
MD, Cand. Sci. (Med.)
Россия, Korolenko str., 3, bldg 6, 107076, MoscowReferences
- Окладникова Е.В., Котова К.В., Хоржевский В.А., Рукша Т.Г. Питириаз красный волосяной отрубевидный (болезнь Девержи) на фоне COVID-19. Вестник дерматологии и венерологии. 2022;98(3):89–95 [Okladnikova EV, Kotova KV, Horzhevskij VA, Ruksha TG. Pityriasis rubra pilaris (Devergie's disease) in a COVID-19 patient. Vestnik dermatologii i venerologii. 2022;98(3):89–95 (In Russ.)] doi: 10.25208/vdv1333
- Никольский П.В. Болезни кожи. Руководство для врачей и студентов. М.–Ленинград: Государственное издательство; 1930. С. 169–183 [Nicolskiy PV. Bolezni kozhi. Rukovodstvo dlya vrachej i studentov (Skin diseases. Guide for doctors and students). Moscow–Leningrad: State publishing house; 1930. P. 169–183. (In Russ.)]
- Вольф К., Голдсмит Л., Кац С. Дерматология Фитцпатрика в клинической практике. М.: Бином; 2012. T. 1. С. 501–518 [Volf K, Goldsmit L, Kac S. Dermatologiya Fitczpatrika v klinicheskoj praktike (Fitzpatrick dermatology in clinical practice). Moscow: Binom; 2012. Vol. 1. P. 501–518. (In Russ.)]. ISBN 978-5-9963-1113-2
- Самцов А.В., Соколовский Е.В., Теплюк Н.П., Белоусова И.Э., Кохан М.М., Матушевская Е.В. К вопросу о классификации пузырчатки. Вестник дерматологии и венерологии. 2021;97(2):9–15 [Samtsov AV, Sokolovskiy EV, Teplyuk NP, Belousova IE, Kohan MM, Matushevskaya EV. Revisiting the question of pemphigus classification. Vestnik dermatologii i venerologii. 2021;97(2):9–15 (In Russ.)] doi: 10.25208/vdv1216
- Ресурсы и деятельность медицинских организаций дерматовенерологического профиля. Заболеваемость инфекциями, передаваемыми половым путем, заразными кожными болезнями и болезнями кожи за 2012–2013 годы. (Статистические материалы). М.: Минздрав России; 2014. С. 229–237 [Resursy` i deyatel`nost` medicinskih organizacij dermatovenerologicheskogo profilya. Zabolevaemost` infekciyami, peredavaemy`mi polovy`m putem, zarazny`mi kozhny`mi boleznyami i boleznyami kozhi za 2012–2013 gody`. (Statisticheskie materialy`) (Resources and activities of medical organizations of a dermato-venereal profile. The incidence of sexually transmitted infections, infectious skin diseases and skin diseases in 2012–2013. (Statistical materials)). Moscow: Ministry of Health of Russia; 2014; P. 229–237. (In Russ.)]
- Ресурсы и деятельность медицинских организаций дерматовенерологического профиля. Заболеваемость инфекциями, передаваемыми половым путем, заразными кожными болезнями и болезнями кожи за 2013–2014 годы. (Статистические материалы). М.: Минздрав России; 2015. С. 205–212 [Resursy` i deyatel`nost` medicinskih organizacij dermatovenerologicheskogo profilya. Zabolevaemost` infekciyami, peredavaemy`mi polovy`m putem, zarazny`mi kozhny`mi boleznyami i boleznyami kozhi za 2013–2014 gody`. (Statisticheskie materialy`) (Resources and activities of medical organizations of a dermato-venereal profile. The incidence of sexually transmitted infections, infectious skin diseases and skin diseases in 2013–2014. (Statistical materials)). Moscow: Ministry of Health of Russia; 2015; P. 205–212. (In Russ.)]
- Дюринг Л.А. Болезни кожи (с предисловием проф. Фурнье и примечаниями французских переводчиков). СПб.: Издание журнала «Медицинская библиотека»; 1885. С. 198–208 [During LA. Bolezni kozhi (s predisloviem prof. Furn`e i primechaniyami franczuzskih perevodchikov) (Diseases of the skin (with a foreword by Prof. Fournier and notes by French translators)). Sankt Petersburg: Publication of the journal “Medical Library”; 1885. P. 198–208. (In Russ.)]
- Дарье Ж. Основы дерматологии. М.-Ленинград: Государственное издательство; 1930. С. 229–235 [Darye G. Osnovy` dermatologii (Fundamentals of Dermatology). Moscow-Leningrad: State publishing hous; 1930. P. 229–235. (In Russ.)]
- Письмо Минздрава России от 04.02.2022 № 11-7/И/2-1631 «О методических рекомендациях по способам оплаты медицинской помощи за счет средств обязательного медицинского страхования» [Pis`mo Minzdrava Rossii ot 04.02.2022 № 11-7/I/2-1631 “O metodicheskih rekomendaciyah po sposobam oplaty` medicinskoj pomoshhi za schet sredstv obyazatel`nogo medicinskogo straxovaniya” (Letter of the Ministry of Health of Russia dated 04.02.2022 No. 11-7/I/2-1631 “On methodological recommendations on methods of paying for medical care at the expense of compulsory medical insurance”). (In Russ.)]
Supplementary files















