Annular elastolytic giant cell granuloma in a patient with Ehlers–Danlos syndrome
- Authors: Gaydina T.A.1,2, Patsap O.I.2, Tairova R.T.1,2
-
Affiliations:
- Pirogov Russian Scientific Research Medical University
- Federal Center of Brain Research and Neurotechnologies of FMBA of Russia
- Issue: Vol 98, No 4 (2022)
- Pages: 85-94
- Section: CLINICAL CASE REPORTS
- Submitted: 20.06.2022
- Accepted: 04.08.2022
- Published: 19.09.2022
- URL: https://vestnikdv.ru/jour/article/view/1338
- DOI: https://doi.org/10.25208/vdv1338
- ID: 1338
Cite item
Full Text
Abstract
The article presents a clinical case of annular elastolytic giant cell granuloma (AEGCG) in a young patient with a vascular type of Ehlers–Danlos syndrome. The first clinical manifestations of AEGCG appeared on the skin in the right subclavian area about two years ago. Subsequently, new rashes appeared on the skin of the upper and lower extremities up to four new foci per year. The patient underwent ambulatory therapy as a solution of calcium gluconate 10% 5.0 ml No 10 i/v in every other day; a solution of chloropyramine hydrochloride 1.0 ml No 10 i/m every other day; betamethasone + salicylic acid ointment applied to the affected areas of the skin 2 times a day for 2 weeks. The treatment was ineffective, the rashes did not regress. External therapy with tacrolimus was carried out next, 0.1% ointment 2 times a day in the form of applications for 24 weeks but also without effect. The patient by herself started to take a dietary supplement containing 400 mg of collagen in 1 tablet; 3 types of amino acids 20 mg; vitamins B2 1.1 mg; B6 1.5 mg; calcium pantothenate 5 mg 2 tablets a day during meals. A month after the start of the application, she noticed a slight paling of the rashes. At the moment, the patient is under follow up.
Full Text
Figure 1. Thin skin with translucent blood network, acrogeria. The patient's hands pressed the biopsy sites with gauze swabs.
Figure 2. Thin skin with a translucent blood network in the décolleté area.
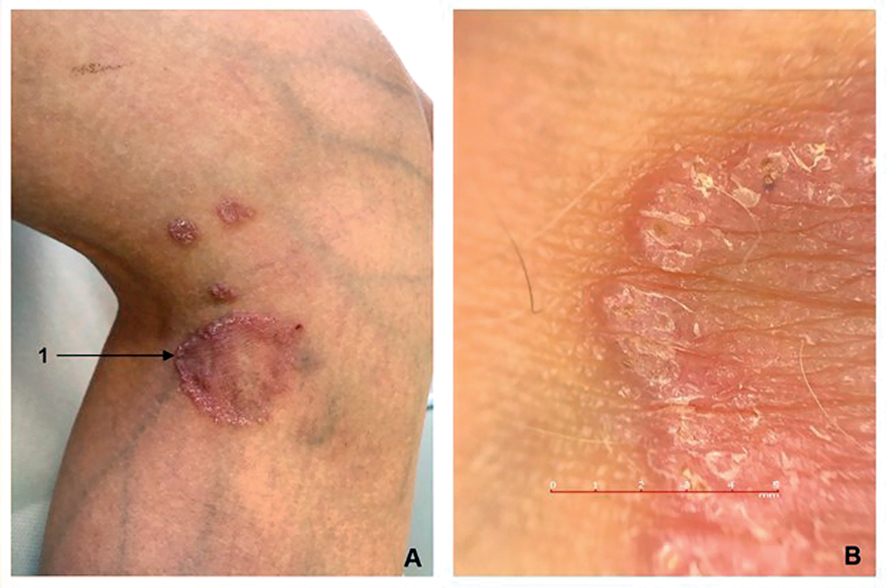
Figure 3. The photo was taken on 04.09.2021. There are ring-shaped rashes on the skin in right area under the buttocks, formed by small, contiguous, dense, hemispherical, slightly flattened shiny red dermal papules.
Figure 4. The photo was taken on 04.01.2022. Ring-shaped rashes formed by small, contiguous, dense, hemispherical, slightly flattened dermal papules of red color have been preserved on the skin in right area under the buttocks. There is peeling on the surface of the papules. Positive dynamics compared to 04.09.2021: the color of the rash is paler; the resolution of the process is in the center of the focus.
Figure 5.
A - an annular focus on the right shin measuring 3 cm in diameter, arrow 1 indicates the location of the biopsy.
B - dermatoscopic picture of rashes on the border with healthy skin.
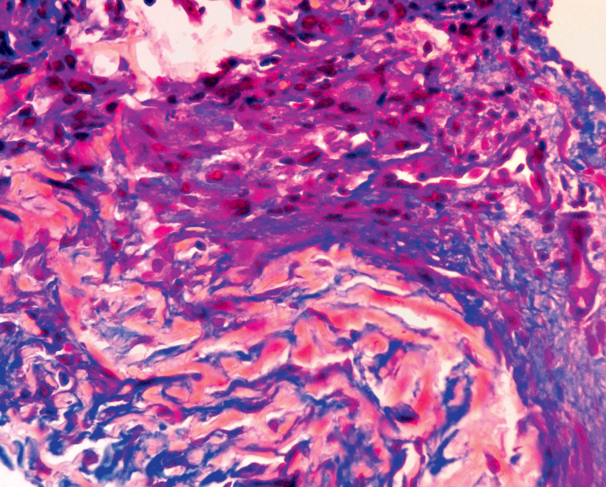
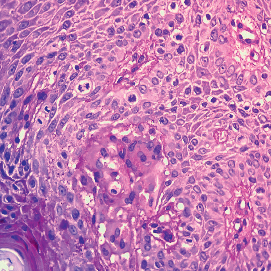
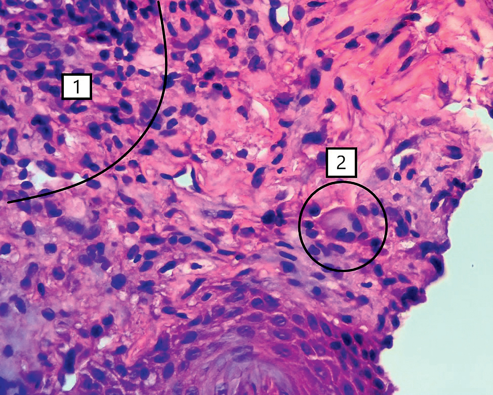
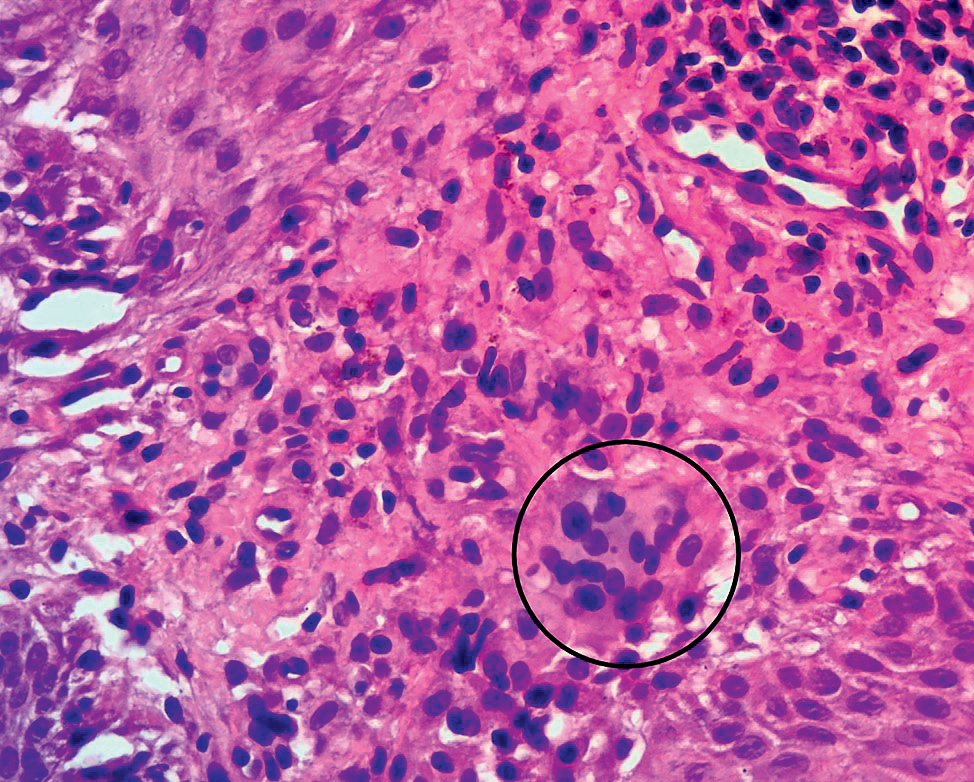
C - histological microphotograph of skin lesion: arrows 2 indicate giant multinuclear cells, arrow 3 shows the inflammatory infiltration in subepidermal zone. Hematoxylin and eosin, x200
D - histological microphotograph of skin lesion: arrows 4 indicate giant multinuclear cells; arrow 5 shows keratin cyst with keratin layers inside. Hematoxylin and eosin, x200
Figure 6.
A - four ring-shaped foci on the left shin, the maximum focus is 2.5 cm in diameter, arrow 1 indicates the location of the biopsy.
B - dermatoscopic picture of rashes on the border with healthy skin.
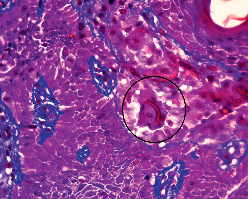
C - histological microphotograph of skin lesion: arrow 2 indicates keratin cyst with basophilic substance inside. Hematoxylin and eosin, x200
D - histological microphotograph of skin lesion: arrows 3 indicate giant multinuclear cells among the inflammatory infiltration. Hematoxylin and eosin, x200
About the authors
Tatiana A. Gaydina
Pirogov Russian Scientific Research Medical University; Federal Center of Brain Research and Neurotechnologies of FMBA of Russia
Author for correspondence.
Email: doc429@yandex.ru
ORCID iD: 0000-0001-8485-3294
SPIN-code: 5216-2059
MD, Cand. Sci. (Med.), assistant professor
Россия, 1, Ostrovityanova str., Moscow, 117997; 1, Ostrovityanova str., bldg 10, Moscow, 117513Olga I. Patsap
Federal Center of Brain Research and Neurotechnologies of FMBA of Russia
Email: cleosnake@yandex.ru
ORCID iD: 0000-0003-4620-3922
SPIN-code: 6460-1758
MD, Cand. Sci. (Med.)
Россия, 1, Ostrovityanova str., bldg 10, Moscow, 117513Raisa T. Tairova
Pirogov Russian Scientific Research Medical University; Federal Center of Brain Research and Neurotechnologies of FMBA of Russia
Email: info@fccps.ru
ORCID iD: 0000-0002-4174-7114
MD, Cand. Sci. (Med.)
Россия, 1, Ostrovityanova str., Moscow, 117997; 1, Ostrovityanova str., bldg 10, Moscow, 117513References
- Патрушев А.В., Хайрутдинов В.Р., Белоусова И.Э., Самцов А.В. Клинико-морфологические особенности эластолитических гранулем. Вестник дерматологии и венерологии. 2014;90(4):58–67. [Patrushev AV, Khairutdinov VR, Belousova IE, Samtsov AV. Clinical and morphological features of elastolytic granulomas. Vestnik dermatologii i venerologii. 2014;90(4):58–67. (In Russ.)] doi: 10.25208/0042-4609-2014-90-4-58-67
- Kiken DA, Shupack JL, Soter NA, Cohen DE. A provocative case: phototesting does not reproduce the lesions of actinic granuloma. Photodermatol Photoimmunol Photomed. 2002;18(6):315–316. doi: 10.1034/j.1600-0781.2002.02773.x
- Mistry AM, Patel R, Mistry M, Menon V. Annular Elastolytic Giant Cell Granuloma. Cureus. 2020;12(11):e11456. doi: 10.7759/cureus.11456
- Харчилава М.Г., Хайрутдинов В.Р., Белоусова И.Э., Самцов А.В. Клинико-патоморфологические изменения кожи при кольцевидной гранулеме. Вестник дерматологии и венерологии. 2019;95(2):8–14. [Kharchilava MG, Khayrutdinov VR, Belousova IE, Samtsov AV. Kliniko-patomorfologicheskie izmeneniya kozhi pri kol'tsevidnoy granuleme. Vestnik dermatologii i venerologii. 2019;95(2):8–14. (In Russ.)] doi: 10.25208/0042-4609-2019-95-2-8-14
- The Ehlers–Danlos Society. 2022. Available from: https://www.ehlers-danlos.com
- Miller E, Grosel JM. A review of Ehlers–Danlos syndrome. Journal of the American Academy of Physician Assistants. 2020;33(4):23–28. doi: 10.1097/01.JAA.0000657160.48246.91
- Kuivaniemi H, Tromp G. Type III collagen (COL3A1): Gene and protein structure, tissue distribution, and associated diseases. Gene. 2019;707:151–171. doi: 10.1016/j.gene.2019.05.003
- O'Brien J.P. Actinic granuloma. An annular connective tissue disorder affecting sun- and heat-damaged (elastotic) skin. Arch Dermatol. 1975;111(4):460–466. doi: 10.1001/archderm.111.4.460
- Muramatsu T, Shirai T, Yamashina Y, Sakamoto K. Annular elastolytic giant cell granuloma: an unusual case with lesions arising in non-sun-exposed areas. J Dermatol. 1987;14(1):54–58. doi: 10.1111/j.1346-8138.1987.tb02996.x
- Ishibashi A, Yokoyama A, Hirano K. Annular elastolytic giant cell granuloma occurring in covered areas. Dermatologica. 1987;174(6):293–297. doi: 10.1159/000249202
- O'Brien J.P. Actinic granuloma: the expanding significance. An analysis of its origin in elastotic (“aging”) skin and a definition of necrobiotic (vascular), histiocytic, and sarcoid variants. Int J Dermatol. 1985;24(8):473–490. doi: 10.1111/j.1365-4362.1985.tb05826.x
- Chiarelli N, Ritelli M, Zoppi N, Colombi M. Cellular and Molecular Mechanisms in the Pathogenesis of Classical, Vascular, and Hypermobile Ehlers‒Danlos Syndromes. Genes. 2019;10(8):609. doi: 10.3390/genes10080609
- Wolff K, Johnson RA. Fitzpatrick`s color atlas and synopsis of clinical dermatology. 6th ed. McGraw-Hill; 2009
- Patrizi A, Gurioli C, Neri I. Childhood granuloma annulare: A review. Giornale italiano di dermatologia e venereologia: organo ufficiale, Societa italiana di dermatologia e sifilografia. 2014;149:663–674.
- Burlando M, Herzum A, Cozzani E, Paudice M, Parodi A. Can Methotrexate be a successful treatment for unresponsive generalized annular elastolytic giant cell granuloma? Case report and review of the literature. Dermatol Ther. 2021;34(1):e14705. doi: 10.1111/dth.14705
- Карамова А.Э., Знаменская Л.Ф., Свищенко С.И., Жилова М.Б., Нефедова М.А., Пугнер А.С. Комбинированная терапия диссеминированной формы кольцевидной гранулемы. Вестник дерматологии и венерологии. 2020;96(1):34–44. [Karamova AE, Znamenskaya LF, Svishchenko SI, Zhilova MB, Nefedova MA, Pugner AS. Kombinirovannaya terapiya disseminirovannoy formy kol'tsevidnoy granulemy. Vestnik dermatologii i venerologii. 2020;96(1):34–44. (In Russ.)] doi: 10.25208/vdv549-2020-96-1-34-44
- Cortini F, Villa C. Ehlers–Danlos syndromes and epilepsy: An updated review. Seizure. 2018;57:1–4. doi: 10.1016/j.seizure.2018.02.013
Supplementary files













