Lentigo melanoma associated with Leser–Trélat syndrome
- Authors: Smolyannikova V.A.1,2, Alexandrova A.K.3, Filatov A.V.1
-
Affiliations:
- I.M. Sechenov First Moscow State Medical University (Sechenov University)
- State Scientific Center of Dermatovenereology and Cosmetology
- Corporation "Moscow Institute of Heat Engineering"
- Issue: Vol 98, No 5 (2022)
- Pages: 117-123
- Section: CLINICAL CASE REPORTS
- Submitted: 23.06.2022
- Accepted: 30.09.2022
- Published: 23.11.2022
- URL: https://vestnikdv.ru/jour/article/view/1339
- DOI: https://doi.org/10.25208/vdv1339
- ID: 1339
Cite item
Full Text
Abstract
Leser–Trélat syndrome is characterized by the sudden appearance of a large amount of elements of seborrheic keratosis. The syndrome is associated with the development of malignant tumors of internal organs. The reason for the development of the syndrome is probably the production of cytokines by cells of malignant tumors of internal organs (transforming growth factor alpha (TGF-á), epidermal growth factor (EGF), etc.) — endogenous mediators that affect the proliferation of keratinocytes and cause rapid growth of seborrheic keratosis. Currently, the question of the paraneoplastic nature of multiple seborrheic keratosis remains open. The article presents the observation of an 82-year-old patient with lentigo-melanoma, who developed multiple elements of seborrheic keratosis within a short time, discusses the question of how in this case it is possible to consider this as a paraneoplastic process. This case is interesting for the atypical clinical picture of seborrheic keratosis and the association with lentigo-melanoma.
Full Text
Введение
Синдром Лезера–Трела считается довольно редким паранеопластическим кожным маркером злокачественных опухолей внутренних органов, отличительной чертой которого является резкое высыпание множественных себорейных кератом. На сегодняшний день не существует стандартизированных или количественных диагностических критериев, определяющих синдром Лезера–Трела [1]. Причиной развития данного синдрома предположительно считают выработку клетками злокачественных опухолей внутренних органов цитокинов (трансформирующего фактора роста-альфа (TGF-á), эпидермального фактора роста (EGF) и др.) — эндогенных медиаторов, влияющих на пролиферацию кератиноцитов и вызывающих быстрый рост себорейного кератоза. В настоящее время остается открытым вопрос о паранеопластической природе множественного себорейного кератоза (СК). Известно, что в большинстве случаев опухоли развиваются у лиц пожилого и старческого возраста, то есть в группе лиц, наиболее подверженных развитию онкологических заболеваний в популяции [2]. Ряд авторов выделяет «симптом Лезера–Трела», когда внезапное появление элементов СК сочетается с черным акантозом, а также с или без скрытой злокачественной опухоли и «синдром Лезера–Трела» — уже при установленной висцеральной опухоли [3]. Большую часть злокачественных новообразований, описанных при симптоме Лезера–Трела, составляют аденокарциномы, из них 47,7% поражают желудочно-кишечный тракт. Вторыми по частоте являются лимфопролиферативные заболевания (лимфомы, лейкемии) [4]. Встречаются также единичные сообщения о множественном СК при злокачественных поражениях легких, молочной железы, почек и метастазирующей меланоме [5, 6]. Часто при наличии злокачественных опухолей внутренних органов множественный СК ассоциирован с черным акантозом, который может быть паранеопластическим дерматозом [7, 8]. Паранеопластическую природу множественного себорейного кератоза подтверждают и описания регресса высыпаний у пациентов после удаления злокачественной опухоли [6, 8]. Случаи описания меланоцитарных злокачественных новообразований и множественного СК в литературе крайне редки [9]. Gori N. и соавт. (2020) приводят 5 случаев меланомы, ассоциированных с синдромом Лезера–Трела, в период с 1987 по 2020 г. [10].
Учитывая все вышеизложенное, нам представляется интересным представить следующее клиническое наблюдение.
Пациент К. 82 лет обратился в октябре 2017 г. с жалобами на появление множественных опухолевидных образований на коже левой боковой поверхности туловища. Из анамнеза известно, что новообразования появились в течение последнего месяца. Семейный анамнез множественного себорейного кератоза отрицает.
При осмотре на коже левой боковой поверхности туловища локализовались множественные СК, преимущественно 0,5–0,8 см в диаметре, умеренно пигментированные. На коже спины имелись единичные плоские СК в виде «капель дождя» вдоль позвоночного столба. На коже живота и правой боковой поверхности туловища высыпания отсутствовали (рис. 1).
Рис. 1. Пациент К., 82 года. Множественные себорейные кератомы на левой половине туловища
Fig. 1. Patient K., 82 years old. Multiple seborrheic keratomas on the right half of the trunk
Из сопутствующих новообразований кожи были выявлены фиброэпителиальные полипы на коже шеи и единичные вишневые ангиомы, расположенные диффузно на туловище. Наше внимание привлекло крупное (3,5 см на 3 см) в диаметре пятно неравномерной пигментации на коже правой щеки. Со слов пациента, пятно появилось несколько лет назад, постепенно увеличивалось в размерах. Субъективно не беспокоило. Учитывая неравномерность пигментации, пациент был направлен к онкологу для дальнейшего лечения с предварительным диагнозом: лентиго-меланома? Однако пациент от лечения отказался. В мае 2019 г. в связи с увеличением образования в размерах и усилением цвета пациент вновь обратился на консультацию.
Сопутствующие заболевания: ИБС, атеросклеротический кардиосклероз, НК 0-1; ЦВБ: хроническая ишемия мозга. Неспецифический язвенный колит, ст. ремиссии. Аллергоанамнез не отягощен.
При обследовании: клинический анализ крови — без патологии. Глюкоза крови — 5,3 ммоль/л. Общий анализ мочи — без патологических изменений.
При осмотре на коже правой щеки имеется одиночный очаг с гладкой бархатистой поверхностью, диаметром 3,5 см на 4 см, с неровными очертаниями, неравномерной светло-коричневой окраски с темными вкраплениями, которые местами возвышаются до 3 мм над кожным покровом (рис. 2а). По сравнению с 2017 г. образование увеличилось в размерах, стало менее равномерным как по толщине, так и по распределению пигмента.
При дерматоскопии новообразования отмечена обширная атипичная пигментная сеть с периферическими асимметричными глобулами неправильной формы и бело-голубой вуалью в нижней части образования (рис. 2б).
Рис. 2. Пациент К., 82 года. Лентиго-меланома на коже правой щеки. Клиническая картина (а). Дерматоскопия, атипичная пигментная сеть (б)
Fig. 2. Patient K., 82 years old. Lentigo melanoma on the skin of the right cheek. Clinical picture (а). Dermatoscopy, atypical pigment network (б)
При осмотре кожи туловища на коже левой боковой поверхности множественные СК, светло- и темно-коричневого цвета в виде бляшек. На коже спины СК более светлой окраски, располагаются вдоль позвоночного столба по типу «капель дождя» и полос. На коже живота, правой боковой поверхности туловища высыпаний СК нет. По сравнению с 2017 г. количество СК, их локализация и интенсивность пигментации не изменились.
Пациенту было проведено широкое иссечение опухоли с реконструктивно-пластическим компонентом.
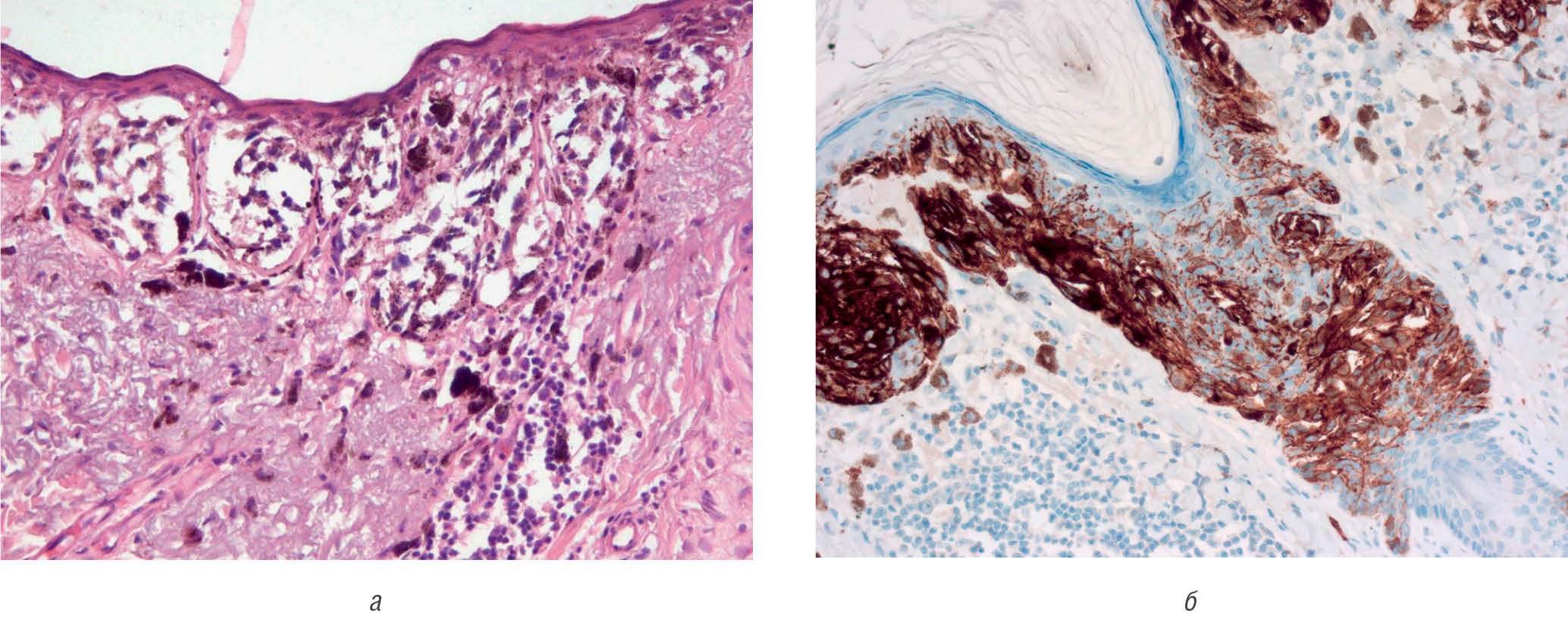
При гистологическом исследовании опухоль состояла из меланоцитов, локализующихся преимущественно в эпидермисе, с выраженной лентигинозной пролиферацией с формированием асимметрично расположенных гнезд, сливающихся друг с другом, с распространением в вышележащие слои эпидермиса и вдоль эпителия волосяных фолликулов, фрагменты которых выявлялись в средних и глубоких отделах дермы. Единичные меланоциты и небольшие опухолевые комплексы проникали в сосочковый слой дермы на фоне выраженного солнечного эластоза. Меланоциты были преимущественно веретенообразной формы с выраженными признаками полиморфизма, митозы в дермальном компоненте отсутствовали. Размеры опухоли в наибольшем измерении соответствовали длине фрагмента кожи (края резекции проходили по ткани образования) — 18 мм, глубина инвазии — 0,2 мм. Периваскулярно и диффузно вдоль нижней границы опухолевых комплексов выявлялась густая воспалительная инфильтрация преимущественно лимфоцитарного характера с примесью единичных плазматических клеток. Признаков изъязвления, лимфоваскулярной и периневральной инвазии выявлено не было. При иммуногистохимическом исследовании с моноклональными антителами COX10 отмечалась выраженная положительная экспрессия антител в клетках опухоли, которые захватывали все слои эпидермиса и распространялись по эпителию волосяных фолликулов, при оценке уровня пролиферативной активности клеток опухоли использовали антитела к Ki67, уровень которых не превышал 5% опухолевых клеток. Столь низкая пролиферативная активность, вероятно, была связана с преклонным возрастом пациента и обуславливала длительность течения заболевания. По результатам гистологического исследования было сделано следующее заключение: лентиго-меланома, рТ1а, II уровень инвазии по Кларку (рис. 3а, б).
Рис. 3. Лентиго-меланома. Окраска гематоксилином и эозином, ×200 (а). Экспрессия COХ 10 опухолевыми клетками с замещением ими эпителия волосяного фолликула, ×200 (б)
Fig. 3. Lentigo melanoma. Staining with hematoxylin and eosin, ×200 (а). Expression of COX 10 by tumor cells with their replacement of the epithelium of the hair follicle, ×200 (б)
Заключительный диагноз: злокачественная лентиго-меланома Т1а N0M0. Рана зажила первичным натяжением, осложнений в послеоперационном периоде не было.
Пациент обратился в следующий раз для осмотра через год после операции, данных за прогрессирование процесса выявлено не было. Однако количество СК, их локализация и интенсивность пигментации не изменились.
Обсуждение
Можно ли в данном случае рассматривать синдром Лезера–Трела в качестве истинного паранеопластического процесса? Безусловно, нет. В первую очередь потому, что причиной возникновения множественных СК при злокачественных опухолях внутренних органов, как было уже сказано выше, является выработка последними цитокинов — эндогенных медиаторов (трансформирующего фактора роста-альфа (TGF-á), эпидермального фактора роста (EGF) и др.), влияющих на пролиферацию кератиноцитов и вызывающих быстрый рост себорейного кератоза. Рецептор эпидермального фактора роста (EGFR) является членом семейства рецепторных тирозинкиназ (RTK), которые редко мутируют при меланоме кожи. Экспрессия и активация нескольких членов семейства RTK связаны с проинвазивным фенотипом меланом и резистентностью к терапии. EGFR экспрессируется только в подгруппе меланом с плохим прогнозом [10, 11]. В нашем наблюдении течение заболевания было достаточно медленным, за 2 года опухоль приобрела инвазивный компонент, однако глубина инвазии не превышала 0,2 мм. Еще одним доказательством отсутствия мутаций RTK и усиленной продукции EGFR клетками опухоли в нашем наблюдении является сохранение опухолью экспрессии SOX10. Усиление продукции EGFR приводит к повышению экспрессии трансформирующего фактора роста-альфа (TGF-á) как одного из его лигандов. Это сопровождается подавлением SOX10 и приводит к повышению трансформирующего фактора роста-бета (TGF-â), что вызывает усиленную продукцию EGFR. Эти данные указывают на обратную корреляцию между дифференцировкой и EGFR при меланоме, поскольку SOX10 является фактором транскрипции нервного гребня, который имеет решающее значение для судьбы меланоцитов [12]. Отсутствие регресса СК после проведения операции является еще одним доводом в пользу того, что в данном случае синдром Лезера–Трела не является истинным паранеопластическим процессом. Однако необходимо отметить, что в работе Gori N. и соавт., которые рассматривают синдром Лезера–Трела как истинную паранеоплазию после удаления меланомы, также не отмечалось регресса СК [10].
Вместе с тем, учитывая короткий период появления СК, совпадающий с периодом трансформации старческого лентиго в лентиго-меланому, нельзя исключить между ними связи. Еще одним поводом для подобного утверждения служит необычная локализация опухолей — только на левой стороне туловища. В большинстве случаев множественные СК расположены по линиям натяжения кожи (линиям Лангера) в области спины, живота и на боковых поверхностях туловища [13]. В литературе мы встретили только единичное описание случая необычной локализации СК, и оно было связано с сопутствующей онкологической патологией [14]. В связи с этим возникает вопрос: какова же связь между лентиго-меланомой и множественным себорейным кератозом в нашем наблюдении? В соответствии с последней классификацией опухолей кожи меланома по типу злокачественного лентиго (8742/3) относится к группе меланоцитарных опухолей, возникающих на коже, подвергаемой хронической инсоляции [15]. С нашей точки зрения, под воздействием ультрафиолетового облучения в участке старческого лентиго произошли мутации, которые привели к злокачественной трансформации в лентиго-меланому, что в свою очередь вызвало реакцию со стороны иммунной системы и микроокружения опухоли и, вероятно, сопровождалось продукцией значительного количества EGF и TGF-á, что в свою очередь привело к одномоментному (в течение месяца) возникновению большого количества себорейных кератом [16]. На начальных этапах развития меланомы кератиноциты подавляют пролиферацию и миграцию меланоцитов посредством межклеточных контактов и паракринной регуляции передачи сигналов RTK [17], что, возможно, могло замедлить дальнейшее развитие заболевания. Нельзя исключить и то, что при инициации опухоли произошел выброс большого количества цитокинов, в том числе и факторов роста мутированными клетками. В дальнейшем прогрессирование заболевания протекало крайне медленно и не сопровождалось увеличением количества себорейных кератом.
Заключение
Хотя в данном случае синдром Лезера–Трела нельзя рассматривать как истинный паранеопластический процесс, появление большого количества себорейных кератом за короткий период времени и их необычная локализация позволили выявить у пациента наличие злокачественной лентиго-меланомы. Необходимо отметить, что именно обильное высыпание СК в данном случае было поводом для обращения к дерматологу.
Таким образом, появление большого количества себорейных кератом за короткий период времени, их необычная локализация: асимметричность, появление опухолей на нехарактерных для них участках (конечности, ладони, подошвы, слизистые), являются поводом для более тщательного обследования пациента, проведения у него онкопоиска и дальнейшего динамического наблюдения.
Участие авторов: все авторы несут ответственность за содержание и целостность всей статьи. Разработка концепции (формирование идеи, проведение исследования, в частности сбор и анализ полученных данных), подготовка и редактирование текста (составление черновика рукописи, участие в научном дизайне, утверждение окончательного варианта статьи), принятие ответственности за все аспекты работы и ее окончательный вариант — А.К. Александрова; разработка концепции (развитие ключевых целей и задач, анализ и интерпретация полученных данных), подготовка и редактирование текста (критический пересмотр черновика рукописи с внесением ценного замечания интеллектуального содержания, утверждение окончательного варианта статьи), принятие ответственности за все аспекты работы и ее окончательный вариант — В.А. Смольянникова; подготовка и редактирование текста (составление черновика рукописи, участие в научном дизайне) — А.В. Филатов.
Authors' participation: All authors: approval of the final version of the article, responsibility for the integrity of all parts of the article.
Conceptualisation — concept statement, conducting research — data collection and analysis, text preparation and editing — drafting of the manuscript, contribution to the scientific layout, approval of the final manuscript — acceptance of responsibility for all aspects of the work, integrity of all parts of the article and its final version — Alexandra K. Alexandrova; conceptualisation — development of key goals and objectives, conducting research — data analysis and interpretation, text preparation and editing — critical revision of the manuscript with a valuable intellectual investment; approval of the final manuscript — acceptance of responsibility for all aspects of the work and its final version — Vera A. Smolyannikova; text preparation and editing — drafting of the manuscript, contribution to the scientific layout — Andrey V. Filatov.
About the authors
Vera A. Smolyannikova
I.M. Sechenov First Moscow State Medical University (Sechenov University); State Scientific Center of Dermatovenereology and Cosmetology
Author for correspondence.
Email: smva@bk.ru
ORCID iD: 0000-0002-7759-5378
MD, Dr. Sci. (Med), Assistant Professor
Россия, Trubetskaya str., 8/2, 119991, Moscow; Korolenko str., 3, bldg 6, 107076, MoscowAlexandra K. Alexandrova
Corporation "Moscow Institute of Heat Engineering"
Email: veter278@rambler.ru
ORCID iD: 0000-0001-9166-9807
SPIN-code: 8736-0698
MD, Dr. Sci (Med), Dermatovenereologist
Россия, Berezovaya alleya, 12, 127273, MoscowAndrey V. Filatov
I.M. Sechenov First Moscow State Medical University (Sechenov University)
Email: dr@fylat0v.ru
ORCID iD: 0000-0002-7190-1389
MD, Cand. Sci. (Med.), Pathologist
Россия, Trubetskaya str., 8/2, 119991, MoscowReferences
- Bernett CN, Schmieder GJ. Leser Trelat Sign. Trasure Island (FL): StatPearls Publishing. 2022. Available from: https://www.ncbi.nlm.nih.gov/books/NBK470554 (Accessed: 03.09.2022)
- Roh NK, Hahn HJ, Lee YW, Choe YB, Anh KJ. Clinical and Histopathologocal Investigation of Seborrheic Keratosis. Ann Dermatol. 2016;28(2):152–158. doi: 10.5021/ad.2016.28.2.152
- Heaphy MR Jr, Millns JL, Schroeter AL. The sign of Leser-Trélat in a case of adenocarcinoma of the lung. J Am Acad Dermatol. 2000;43(2 Pt 2):386–390. doi: 10.1067/mjd.2000.104967
- Narala S, Cohen PR. Cutaneous T-cell lymphoma-associated Leser-Trélat sign: report and world literature review. Dermatol Online J. 2017:23(1):15–23. doi: 10.5070/D3231033672
- Sardon C, Dempsey T. The Leser-Trélat sign. Cleve Clin J Med. 2017;84(12):918–920. doi: 10.3949 /ccjm.84a.17021
- Asri H, Soualhi M. The sign of Leser-Trélat: think in the adenocarcinoma of the lung. Pan. Afr. Med. J. 2018;30:270. doi: 10.11604/pamj.2018.30.270.16337
- Onajin O, Comfere NI. Co-occurrence of malignant acanthosis nigricans and the Leser-Trélat sign in a patient with hepatocellular carcinoma. Int J Dermatol. 2015;54(5):146–148. doi: 10.1111/ijd.12096
- Zhang N, Qian Y, Feng YQ. Acanthosis nigricans, tripe palms, and sign of Leser-Trélat in a patient with gastric adenocarcinoma: case report and literature review in China. Int J Dermatol. 2015;54(3):338–342. doi: 10.1111/ijd.12034
- Siedek V, Schuh T, Wollenberg A. Leser-Trelat sign in metastasized malignant melanoma. Eur Arch Otorhinolaryngol. 2009;266(2):297–299. doi: 10.1007/s00405-008-0636-6
- Gori N, Esposito I, Del Regno L, D'Amore A, Peris K, Di Stefani A. Leser-Trélat sign as a rare manifestation of cutaneous melanoma. Dermatol Reports. 2020;12(1):8665. doi: 10.4081/dr.2020.8665
- Boone B, Jacobs K, Ferdinande L, Taildeman J, Lambert J, Peeters M, et al. EGFR in melanoma: clinical significance and potential therapeutic target. Cutan Pathol. 2011;38(6):492–502. doi: 10.1111/j.1600-0560.2011.01673.x
- Kreß JKC, Jessen C, Marquardt A, Hufnagel A, Meierjohann S. NRF2 Enables EGFR Signaling in Melanoma Cells. Int J Mol Sci. 2021;22(8):3803. doi: 10.3390/ijms 22083803
- Zhang R-Z, Zhu W-Y. Seborrheic keratoses in five elderly patients: an appearance of raindrops and streams. Indian J. Dermatol. 2011;56(4):432–434. doi: 10.4103/0019-5154.84754
- Shamsadini S, Wadji MB, Shamsadini A. Surrounding ipsilateral eruptive seborrheic keratosis as a warning sign of intraductal breast carcinoma and Paget's disease (Leser Trelat sign). Dermatol Online J. 2006;12(6):27.
- WHO Classification of Skin Tumours. Ed. by Elder DE, Massi D, Scolyer RA, Willemze R. 4th ed. Vol. 11. Lyon: IARC Press; 2018. P. 102.
- Golan T, Parikh R, Jacob E, Vaknine H, Zemser-Werner V, Hershkovitz D, et al. Adipocytes sensitize melanoma cells to environmental TGF- cues by repressing the expression of miR-211. Sci Signal. 2019;12(591). doi: 10.1126/scisignal.aav6847
- Wang JX, Fukunaga-Kalabis M, Herlyn M. Crosstalk in skin: melanocytes, keratinocytes, stem cells, and melanoma. J Cell Commun Signal. 2016;10(3):191–196. doi: 10.1007/s12079-016-0349-3
Supplementary files







