Rare case of cutaneous collagenous vasculopathy in a patient with chronic HCV infection 1b subtype
- Authors: Belousova I.E.1,2, Sulima D.L.3, Shpiluyk R.G.1, Sulejmanova S.S.3, Gorbunov Y.G.1, Blum N.M.2
 - 
							Affiliations: 
							
- Military Medical Academy S.M. Kirov
 - LLC “Interregional Laboratory Center”
 - LLC “TADC Exclusive” (EXCLUSIVE medical clinic)
 
 - Issue: Vol 98, No 5 (2022)
 - Pages: 98-106
 - Section: GUIDELINES FOR PRACTITIONERS
 - Submitted: 03.07.2022
 - Accepted: 30.09.2022
 - Published: 23.11.2022
 - URL: https://vestnikdv.ru/jour/article/view/1343
 - DOI: https://doi.org/10.25208/vdv1343
 - ID: 1343
 
Cite item
Full Text
Abstract
The article is devoted to a rare disease of cutaneous collagenous vasculopathy (CCV), which is characterized by common leather telangiectasias and specific histological signs: extended capillaries in the surface layers of the dermis, the walls of which are thickened due to hyaline deposits containing type IV collagen. According to literature, there are no publications about CCV in Russian sources. In foreign literature, only 60 cases are described, the first of which is mentioned in 2000. The patient turned to the EXCLUSIVE medical clinic to resolve the issue of the tactics of treatment of chronic HCV-infection 1b subtype and complaints of common telangiectasia on the skin and mucous membrane of both sclera, without subjective sensations. The first rashes appeared in 2008 and gradually progressed. When performing histological examination, expanded capillaries were found in the surface layers of the dermis, the walls of which are thickened due to protein deposits containing type IV collagen. The described case of CCV is the first in Russian literature and shows the need for histological and immunohistologycal studies to establish a final diagnosis.
Full Text
Актуальность
Кожная коллагенозная васкулопатия (ККВ) — это редко встречающаяся в практике врача-дерматовенеролога идиопатическая кожная микроангиопатия с характерными клинико-морфологическими особенностями, которая впервые в качестве самостоятельной нозологической единицы была описана в 2000 г. [1]. В доступных зарубежных источниках авторам удалось найти описание всего 60 случаев ККВ [2]. Истинная распространенность данного заболевания остается неизвестной. Клиническая картина ККВ во многом схожа с другими кожными заболеваниями, которые проявляются множественными приобретенными телеангиэктазиями и пальпируемой пурпурой, в первую очередь с генерализованной эссенциальной телеангиэктазией. Патогенез ККВ, которую диагностируют преимущественно у лиц старше 50 лет, окончательно не установлен. Для данного заболевания характерны медленно прогрессирующие распространенные кожные телеангиэктазии.
Авторы приводят описание данного клинического случая в связи с отсутствием публикаций о кожной коллагенозной васкулопатии в отечественной литературе, малочисленными публикациями в зарубежных источниках и трудностями в диагностике.
Краткое описание случая
Пациент 49 лет самостоятельно обратился в специализированное отделение инновационной гепатологии многопрофильной медицинской клиники ЭКСКЛЮЗИВ (Санкт-Петербург) в ноябре 2021 г. для прохождения обследования и решения вопроса о проведении курса полностью безинтерфероновой противовирусной терапии хронической HCV-инфекции 1b субтипа. При обращении в клинику предъявлял жалобы на наличие распространенных высыпаний на коже тыльной поверхности обеих стоп, обеих голеней и заднемедиальных поверхностей обоих бедер в сочетании с расширением сосудов склер обоих глаз без каких-либо неприятных субъективных ощущений. Со стороны других органов и систем жалоб активно не предъявлял.
Из анамнеза известно, что anti-HCV (антитела к вирусу гепатита С) впервые у пациента были обнаружены в 2005 г., однако никакого дальнейшего обследования он не проходил и от противовирусной терапии на основе препаратов интерферона отказался. Тремя годами позже (в 2008 г.) пациент впервые заметил появление кожных высыпаний на тыльных поверхностях обеих стоп и медиальных поверхностях обеих голеней, которые не сопровождались никакими субъективными ощущениями. К врачу пациент не обращался и самостоятельно никак не лечился. В дальнейшем площадь поражения кожи постепенно увеличивалась, высыпания распространились на медиальную поверхность обоих бедер и обеих ягодиц. В 2009 г. пациент впервые заметил появление расширенных и извитых сосудов склер обоих глаз.
Начиная с 2011 г. пациент дважды предпринимал попытки проведения противовирусной терапии хронической HCV-инфекции на основе препаратов интерферона. Так, в 2011 г. получил курс стандартного IFN-alfa-2а (п/к) в сочетании с рибавирином (per os), в 2014 г. — курс PegIFN-alfa-2b (п/к) в сочетании с рибавирином (per os). Второй курс интерферонотерапии на основе пегилированного интерферона также оказался неэффективным, и достичь у пациента состояния устойчивого вирусологического ответа не удалось.
В 2018 г. пациенту была выполнена плановая кардиохирургическая операция радиочастотной абляции с целью радикального лечения многолетней пароксизмальной формы наджелудочковой тахиаритмии.
С учетом инфицирования 1b субтипом вируса гепатита С, наличия в анамнезе двух неудачных попыток противовирусной терапии в режимах IFN-alfa-2а+RBV и PegIFN-alfa-2b+RBV, а также наличия компенсированного HCV-ассоциированного цирроза печени класса Child-А пациенту после получения результатов обследования и ввиду отсутствия абсолютных противопоказаний был назначен курс первичной полностью безинтерфероновой терапии двумя оригинальными ингибиторами GLE (Glecaprevir, NS3/4A PI) и PIB (Pibrentasvir, NS5Ai) в фиксированной суточной дозе 300 мг/120 мг продолжительностью 12 недель. Курс первичной полностью безинтерфероновой терапии был закончен в начале марта 2022 г. Через 12 недель после окончания курса противовирусной терапии (май 2022 г.) на основании полученных отрицательных результатов PCR-test на наличие RNA HCV в плазме крови, а также иммунокомпетентных клетках PBMCs (Peripheral Blood Mononuclear Cells; мононуклеарные лейкоциты периферической крови) и WBCtf (White Blood Cells total fraction; тотальная фракция лейкоцитов периферической крови) у пациента был констатирован целевой результат лечения хронической HCV-инфекции — состояние полного плазменно-клеточного устойчивого вирусологического ответа, что свидетельствовало о достигнутой эрадикации (искоренении) вируса HCV.
Результаты специальных исследований
При физикальном обследовании пациента было установлено: на коже обеих нижних конечностей и живота определялись древовидные и линейные, слегка приподнятые над поверхностью кожи телеангиэктазии в сочетании с множественными петехиями (рис. 1–3). На отдельных участках кожи телеангиэктазии носили сливной характер. В дополнение к кожным изменениям обращали на себя внимание расширенные и извитые сосуды склер обоих глаз (рис. 4).
Рис. 1, 2. На коже нижних конечностей определялись древовидные и линейные, слегка приподнятые телеангиэктазии, множественные петехии. На отдельных участках кожи телеангиэктазии сливались между собой
Fig. 1, 2. On the skin of the lower extremities, tree-like and linear, slightly elevated telangiectasias, multiple petechiae were determined. In separate areas of the skin, telangiectasias merged with each other
Рис. 3. Очаг поражения на коже бедра (крупный план)
Fig. 3. The lesion on the skin of the thigh (close-up)
Рис. 4. Инъекции сосудов склер
Fig. 4. Injection of vessels of the sclera
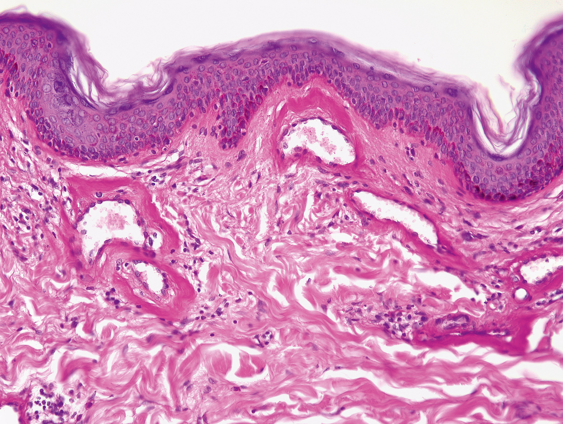
С диагностической целью для уточнения характера поражения кожи пациенту в плановом порядке была выполнена эксцизионная биопсия кожи с последующими гистологическим и иммуногистохимическим исследованиями. При гистологическом исследовании в верхних слоях дермы были выявлены расширенные сосуды капиллярного типа с утолщенными стенками (рис. 5а). Стенки сосудов были утолщены за счет отложения эозинофильных гиалиновых масс (рис. 5б), которые окрашивались при ШИК-реакции (рис. 6) и интенсивно экспрессировали коллаген IV типа (рис. 7). Белковые массы не окрашивались конго красным. Там же, в верхних слоях дермы определялись единичные мелкие экстравазаты эритроцитов. С учетом наличия в анамнезе у пациента хронической HCV-инфекции было принято решение о целесообразности дополнительного иммуногистохимического исследования биоптата кожи с антителом NS3-HCV. Экспрессии белка NS3 вируса гепатита С в стенках кровеносных сосудов поверхностной сети обнаружено не было (рис. 8). На основании выявленных характерных клинических, гистологических и иммуногистохимических признаков пациенту был поставлен диагноз кожной коллагенозной васкулопатии.
Рис. 5. Расширенные сосуды капиллярного типа с утолщенными стенками в верхней части дермы (а), содержащими эозинофильные гиалиновые массы (б, стрелки)
Fig. 5. Dilated capillary-type vessels with thickened walls in the upper part of the dermis (a) containing eosinophilic hyaline masses (b, arrows)
Рис. 6. Периваскулярные белковые массы окрашивались при ШИК-реакции
Fig. 6. Perivascular protein masses were stained with the PAS reaction
Рис. 7. Периваскулярные белковые массы расслаивались и экспрессировали коллаген IV типа
Fig. 7. Perivascular protein masses stratified and expressed type IV collagen
Рис. 8. Отсутствие экспрессии белка NS3 вируса гепатита С в стенках сосудов поверхностной сети
Fig. 8. Lack of expression of the NS3 protein of the hepatitis C virus in the walls of the vessels of the superficial network
Обсуждение
С позиции современных знаний кожная коллагенозная васкулопатия — это идиопатическая микроангиопатия с избирательным поражением кровеносных сосудов кожи, характеризующаяся телеангиэктазиями и специфическими гистологическими признаками в виде расширенных капилляров в поверхностных слоях дермы, стенки которых утолщены за счет гиалиновых отложений, содержащих коллаген IV типа.
Анализ доступной литературы показал, что ККВ регистрируют преимущественно у женщин, на долю которых приходится не менее 65% всех диагностированных случаев данного заболевания. ККВ чаще диагностируют у лиц старшего и пожилого возраста в интервале от 50 до 70 лет. Авторам удалось найти описание всего 2 случаев ККВ у подростков 16 и 17 лет. Все пациенты с ККВ, информацию о которых удалось найти в литературе, являлись лицами европеоидной расы, за исключением двух этнических японцев [2].
Этиопатогенез ККВ, к сожалению, неизвестен. В современной литературе высказаны предположения, что характерные микроскопические сосудистые изменения при ККВ могут быть вызваны многократным и/или длительным воздействием повреждающего фактора на сосудистый эндотелий, что закономерно приводит к эндотелиальной дисфункции, гиперплазии эндотелиальных клеток, утолщению эндотелия, микротромбозу, активации процессов репарации и формированию периваскулярного фиброза, сопровождающегося отложением гиалина в толще стенок мелких кровеносных сосудов. В качестве провоцирующих факторов могут выступать различные генетические, инфекционные, метаболические, гормональные, химические, экологические и прочие триггеры [7]. У большей части пациентов с ККВ есть упоминания о длительном приеме ограниченного круга лекарственных препаратов в связи с наличием различных сопутствующих заболеваний, в первую очередь гипертонической болезни, сахарного диабета, ишемической болезни сердца. Высказано предположение о том, что некоторые лекарственные препараты, в первую очередь комбинированные антигипертензивные средства, могут способствовать развитию телеангиэктазий в силу присущего этим препаратам стойкого сосудорасширяющего эффекта. Были описаны единичные случаи развития ККВ после применения селективного ингибитора тирозинкиназы Axitinib у больного раком почки [13] и цитостатика-антиметаболита Gemcitabine из группы антагонистов пиримидинов у больной раком молочной железы [9], а также один случай после аортокоронарного шунтирования [14] и 2 случая у больных неврологическими заболеваниями [16].
Для кожной коллагенозной васкулопатии характерно прогрессирующее развитие телеангиэктазий, которые сначала появляются на коже нижних конечностей (тыльная поверхность стоп, голени, область лодыжек, область коленных суставов) и распространяются симметрично вверх на бедра, туловище (живот, спина, грудь) и верхние конечности. Как правило, кожная коллагенозная васкулопатия не поражает ногтевые пластинки, слизистые оболочки, кожу головы и шеи. Лишь у двух пациентов было описано поражение кожи в области лица — подбородок, глабеллярная и ретроаурикулярная области [4, 11]. В одном случае первые телеангиэктазии появились на коже груди [8], в другом — на коже верхних конечностей [17]. В некоторых случаях телеангиэктазии присутствовали только на коже одной ноги [5], или руки [15], или поражали только оба предплечья [5].
Телеангиэктазии обычно не выступают над поверхностью кожи и имеют интенсивную ярко-красную окраску, со временем могут слегка приподниматься над поверхностью кожи и приобретать насыщенный фиолетовый оттенок [10]. Заболевание протекает без сезонных обострений, но становится более заметным в летний период [4, 5]. Поражение кожи, как правило, протекает без каких-либо неприятных субъективных ощущений, очень редко может сопровождаться кожным зудом [4, 18]. В одном случае высыпания появились после длительного охлаждения кожи в условиях низкой температуры окружающего воздуха [8]. При дерматоскопии свежие телеангиэктазии бывают представлены точечными, клубочковыми, древовидными, линейными элементами, а также в форме запятой [12, 15]. Длительно существующие телеангиэктазии имеют извилистую, змеевидную форму [12]. У наблюдавшегося нами пациента высыпания в виде телеангиэктазий и пурпурозных пятен впервые появились на коже тыльных поверхностей стоп и голеней и в последующем постепенно распространились на кожу бедер и ягодиц. Уникальность представляемого клинического случая состоит в том, что кожные телеангиэктазии у пациента сочетались с расширением и извитостью сосудов склер обоих глаз.
При гистологическом исследовании кожи больных ККВ в верхних слоях дермы находят расширенные кровеносные сосуды, стенки которых утолщены за счет отложения аморфного гиалинового вещества, которое дает положительную реакцию ШИК [3, 4, 12, 13] и не окрашивается конго красным [3, 6, 19].
При иммуногистохимическом исследовании в утолщенных стенках кровеносных сосудов выявляют коллаген IV типа [1, 3, 4, 11, 13]. Эндотелиальные клетки пораженных кровеносных сосудов активно экспрессируют антигены CD31, CD34 [1, 3, 6] и негативны по отношению к D2-40/podoplanin [6]. Характерные признаки лейкоцитокластического васкулита отсутствуют [3, 8], иногда отмечается экстравазация эритроцитов, что может приводить к появлению на коже пурпурозных высыпаний разной степени выраженности [2]. В одном случае пораженные кровеносные сосуды содержали фибриновые тромбы [6]. При иммуногистохимическом исследовании антител к HHV-8 не выявляли [3, 6]. В 4 случаях при проведении электронной микроскопии в стенках вовлеченных в патологический процесс кровеносных сосудов были обнаружены так называемые Luse's bodies, иными словами, «зебровидные тельца», которые представляют собой агрегаты неплотно «упакованных» нитей диаметром не более 4–6 нм, их обнаруживают в соединительной ткани ряда органов, чаще патологически измененных, а также в культуре фибробластов [7, 11]. У нашего пациента при гистологическом и ИГХ-исследовании была обнаружена характерная морфологическая картина с утолщением стенок кровеносных капилляров, которые интенсивно окрашивались при ШИК-реакции и активно экспрессировали коллаген IV типа.
Учитывая наличие у пациента хронической HCV-инфекции, дополнительно было проведено иммуногистохимическое исследование биоптата кожи с антителом NS3-HCV с целью выявления белка NS3 вируса гепатита С в периваскулярных гиалиновых массах. Результаты ИГХ-исследования не выявили экспрессию белка NS3 вируса гепатита С в толще стенок измененных кровеносных сосудов поверхностной сети.
Согласно опубликованным данным абсолютное большинство пациентов с кожной коллагенозной васкулопатией в течение длительного времени страдали какими-либо сопутствующими заболеваниями. Наиболее распространенными среди них были артериальная гипертензия [5, 8, 11, 12, 20], сахарный диабет II типа [5–7], гиперхолестеринемия/дислипидемия [5, 17], депрессия [1, 5, 17], ишемическая болезнь сердца [3, 8, 14, 19], апноэ во сне [5, 11, 17], псориаз [4], системная красная волчанка [2], розацеа [2], а также различные злокачественные новообразования, в том числе миелодиспластический синдром [6], карцинома молочной железы [9, 11, 15], карцинома легких [8], карцинома яичников [10], карцинома почек [13], базально-клеточная карцинома [4, 19]. Один пациент страдал тромбофилией [18], некоторые пациенты не имели никаких сопутствующих заболеваний [7].
Анализ доступной литературы показал, что у больных ККВ не выявляли каких-либо заболеваний крови, ревматологический скрининг был отрицательным, функциональные пробы печени у абсолютного большинства больных были нормальными. У нашего пациента ККВ сочеталась с хронической виремией RNA HCV, длительно протекавшим некровоспалительным процессом в печени, инсулинорезистентностью и пароксизмальной формой наджелудочковой тахиаритмии.
У некоторых больных с телеангиэктазиями в процессе постановки диагноза ККВ проводят генетическое тестирование для исключения семейной наследственной телеангиэктазии Рандю–Ослера–Вебера, которая передается по аутосомно-доминантному типу и клинически проявляется рецидивирующими носовыми кровотечениями, телеангиэктазиями и висцеральными артериовенозными мальформациями, вызванными мутацией генов рецептора активина 1-альфа и эндоглина [20]. Сообщалось об уникальном случае сочетания у одного пациента кожной коллагенозной васкулопатии и тромбофилии в результате гетерозиготной мутации протромбина G20210A [18].
Дифференциальную диагностику кожной коллагенозной васкулопатии следует проводить с целым рядом других заболеваний кожи, которые клинически манифестируют приобретенными прогрессирующими телеангиэктазиями. В числе таких заболеваний генерализованная эссенциальная телеангиэктазия (ГЭТ), телеангиэктатический мастоцитоз (TMEP), односторонняя невоидная телеангиэктазия, серпигинозная ангиома и лекарственно-индуцированные телеангиэктазии, связанные с приемом блокаторов кальциевых каналов. Генерализованной эссенциальной телеангиэктазией, как и ККВ, чаще болеют женщины, но она манифестирует в более раннем возрасте, преимущественно до 40 лет [2]. Лекарственно-индуцированные телеангиэктазии, связанные с приемом широко применяемых в клинической практике блокаторов кальциевых каналов, в числе которых нифедипин, амлодипин и фелодипин, являются результатом феномена фотосенсибилизации и локализуются преимущественно на коже лица и шеи. При телеангиэктатическом мастоцитозе высыпания преобладают на коже туловища и выявляется положительный симптом Дарье. Редко встречающиеся случаи ККВ с ограниченным и избирательным распространением на коже какой-либо одной конечности следует дифференцировать с унилатеральной невоидной телеангиэктазией [2]. Редкую папулезную форму ККВ дифференцируют с сенильным вишневым ангиоматозом Дюпре [2]. Наследственные заболевания, которые проявляются распространенными телеангиэктазиями (например, наследственная геморрагическая телеангиэктазия, наследственная доброкачественная телеангиэктазия, атаксия-телеангиэктазия), могут быть исключены на основании тщательно собранного анамнеза (семейный характер, ассоциация с системными неврологическими или гематологическими проявлениями). В трудных диагностических случаях постановке окончательного диагноза помогут результаты гистологического исследования препарата кожи, так как ККВ имеет четкие клинико-морфологические особенности в виде эозинофильных, ШИК-позитивных, гиалиновых отложений в толще стенок кровеносных сосудов, содержащих коллаген IV типа [1, 3, 4, 11, 12, 20].
На сегодняшний день в качестве относительно эффективного патогенетического метода лечения ККВ рассматривают лазеротерапию. На данный момент в литературе описаны всего 5 случаев лечения ККВ с помощью лазера. В одном случае терапия КТР-лазером была прекращена из-за плохой переносимости и неэффективности [11]. В 4 остальных случаях пациентам проводили лечение с использованием PDL-лазера, которое показало хорошие результаты с почти полным исчезновением телеангиэктазий [10]. В одном случае провели контрольное гистологическое исследование биоптата кожи после окончания курса лазеротерапевтического лечения. Результаты контрольного гистологического исследования показали явную положительную динамику. Лечение ККВ кортикостероидами оказалось неэффективным. В одном случае в лечении были использованы компрессионные чулки, но результаты компрессионной терапии представлены не были [2].
Кожная коллагенозная васкулопатия — это длительно текущее хроническое заболевание кожи с доброкачественным характером течения, которое вызывает в основном эстетический дискомфорт и не доставляет каких-либо неприятных субъективных ощущений. До момента постановки окончательного диагноза у большинства пациентов ККВ медленно прогрессирует в течение нескольких лет.
Заключение
Описанный нами клинический случай и обзор доступной литературы показали, что кожная коллагенозная васкулопатия трудно поддается диагностике, так как редко встречается в клинической практике. Тщательный сбор анамнеза в совокупности с клинической картиной и результатами патоморфологического и иммуногистохимического исследований позволяет провести точную дифференциальную диагностику ККВ с другими микроангиопатиями, которые проявляются множественными приобретенными телеангиэктазиями и пурпурой, что имеет принципиально важное значение для постановки правильного диагноза и выбора тактики лечения заболевания.
Участие авторов: концепция и дизайн исследования — Ю.Г. Горбунов; сбор и обработка материала — Н.М. Блюм, С.С. Сулейманова; написание текста — Р.Г. Шпилюк, редактирование — И.Э. Белоусова, Д.Л. Сулима.
Authors' participation: concept and design of the study — Yuri G. Gorbunov; collection and processing of material — Natalia M. Blum, Safura S. Sulejmanova; writing the text — Rada G. Shpiluyk, editing — Irena E. Belousova, Dmitrii L. Sulima.
About the authors
Irena E. Belousova
Military Medical Academy S.M. Kirov; LLC “Interregional Laboratory Center”
														Email: irena.belousova@mail.ru
				                	ORCID iD: 0000-0002-4374-4435
				                	SPIN-code: 6386-1117
																		                								
MD, Dr. Sci. (Med.), Professor
Россия, Academika Lebedeva str., 6, 194044, Saint Petersburg; Oleko Dundicha str., 8, bldg 2A, 192283, Saint PetersburgDmitrii L. Sulima
LLC “TADC Exclusive” (EXCLUSIVE medical clinic)
														Email: uncledimamed@mail.ru
				                	ORCID iD: 0000-0002-3735-5783
				                	SPIN-code: 1934-1788
																		                								
MD, Dr. Sci. (Med.), Professor
Россия, Korablestroiteley str., 33, bldg 6, 199397, Saint PetersburgRada G. Shpiluyk
Military Medical Academy S.M. Kirov
							Author for correspondence.
							Email: Shrdd91@yandex.ru
				                	ORCID iD: 0000-0002-9137-9129
				                	SPIN-code: 5952-8810
																		                								
Dermatovenereologist
Россия, Academika Lebedeva str., 6, 194044, Saint PetersburgSafura S. Sulejmanova
LLC “TADC Exclusive” (EXCLUSIVE medical clinic)
														Email: safuraalieva@gmail.com
				                	ORCID iD: 0000-0002-2822-8686
				                																			                												                	Россия, 							Korablestroiteley str., 33, bldg 6, 199397, Saint Petersburg						
Yuri G. Gorbunov
Military Medical Academy S.M. Kirov
														Email: urikgor@rambler.ru
				                	ORCID iD: 0000-0002-1375-056X
				                	SPIN-code: 3393-3256
																		                								
MD, Cand. Sci. (Med.), Associate Professor
Россия, Academika Lebedeva str., 6, 194044, Saint PetersburgNatalia M. Blum
LLC “Interregional Laboratory Center”
														Email: blumn@mail.ru
				                	ORCID iD: 0000-0003-1445-6714
				                	SPIN-code: 4492-6190
																		                												                	Россия, 							Oleko Dundicha str., 8, bldg 2A, 192283, Saint Petersburg						
References
- Salama S, Rosenthal D. Cutaneous collagenous vasculopathy with generalized telangiectasia: an immunohistochemical and ultrastructural study. J Cutan Pathol. 2000;27(1):40–48. doi: 10.1034/j.1600-0560.2000.027001040.x
 - Kostopolus-Kanitakis KA, Kanitaksis A. Cutaneous collagenous vasculopathy. In: Rongioletti F, Smoller BR, editors. New and emerging entities in dermatology and dermatopathology. Cham: Springer; 2021. P. 187–196.
 - Kanitakis J, Faisant M, Wagschal D, Haftek M, Claudy A. Cutaneous collagenous vasculopathy: ultrastructural and immunohistochemical study of a new case. Am J Clin Dermatol. 2010;11(1):63–66. doi: 10.2165/11311030-000000000-00000
 - Perez A, Wain ME, Robson A, Groves RW, Stefanato CM. Cutaneous collagenous vasculopathy with generalized telangiectasia in two female patients. J Am Acad Dermatol. 2010;63(5):882–885. doi: 10.1016/j.jaad.2009.06.045
 - Burdick LM, Lohser S, Somach SС, Billings SD. Cutaneous collagenous vasculopathy: a rare cutaneous microangiopathy. J Cutan Pathol. 2012;39(8):741–746. doi: 10.1111/j.1600-0560.2012.01936.x
 - Salama S, Chorneyko K, Belovic B. Cutaneous collagenous vasculopathy associated with intravascular occlusive fibrin thrombi. J Cutan Pathol. 2014;41(4):386–393. doi: 10.1111/cup.12285
 - Salama SS. Cutaneous collagenous vasculopathy: a new case series with clinicopathologic and ultrastructural correlation, literature review, and insight into the pathogenesis. Am J Dermatopathol. 2015;37(5):368–375. doi: 10.1097/DAD.0000000000000194
 - Borroni RG, Derlino F, Agozzino M, Concardi M, Arbustini E, Brazzelli V. Hypothermic cutaneous collagenous vasculopathy with centrifugal spreading. J Eur Acad Dermatol Venereol. 2015;29(5):1444–1446. doi: 10.1111/jdv.12498
 - Leone JP. Gemcitabine induced cutaneous collagenous vasculopathy in a breast cancer patient. Breast J. 2016;22(5):580. doi: 10.1111/tbj.12638
 - Basso D, Ribero S, Blazek C, Dietrich N, Beltraminelli H, Ramelet AA, et al. Cutaneous collagenous vasculopathy: a rare form of microangiopathy successfully treated with a combination of multiplex laser and optimized pulsed light with a review of the literature. Dermatology. 2016;232(1):107–111. doi: 10.1159/000439126
 - Bondier L, Tardieu M, Leveque P, Challende I, Pinel N, Leccia MT. Cutaneous collagenous vasculopathy: report of two cases presenting as disseminated telangiectasias and review of the literature. Am J Dermatopathol. 2017;39(9):682–688. doi: 10.1097/DAD.0000000000000613
 - Knöpfel N, Martín-Santiago A, Saus C, Escudero-Góngora MM, Del Pozo LJ, Gómez C. Extensive acquired telangiectasias: comparison of generalized essential telangiectasia and cutaneous collagenous vasculopathy. Actas Dermosifiliogr. 2017;108(3):e21–e26. doi: 10.1016/j.ad.2016.02.020
 - Matsuzaki Y, Takahashi M, Minakawa S, Jin K, Nakano H, Sawamura D. Cutaneous collagenous vasculopathy induced by the vascular endothelial growth factor receptor inhibitor axitinib. Int J Dermatol. 2018;57(12):e167–e169. doi: 10.1111/ijd.14243
 - Rahnama-Moghadam S, Burgin C, Gilbert J, Warren S. Cutaneous collagenous vasculopathy: development after coronary artery bypass surgery. Dermatol Online J. 2018;24(5):13030/qt0k8258qw.
 - Sartori DS, Almeida Jr HL de, Dorn TV, Ruas CP. Cutaneous collagenous vasculopathy: light and transmission electron microscopy. An Bras Dermatol. 2019;94(2):211–213. doi: 10.1590/abd1806-4841.20198166
 - Castillo B, Nelson G, Rodriguez-Waitkus P, Shenefelt P, Seminario-Vidal L. Two cases of cutaneous collagenous vasculopathy of neurologically induced etiology. J Am Acad Dermatol. 2017;76(Suppl. 1):AB271. doi: 10.1016/j.jaad.2017.04.1054
 - Lobo Y, Blake T, Herat A. Asymptomatic disseminated telangiectasias: a rare case of cutaneous collagenous vasculopathy. Dermatol Online J. 2020;26(10):13030/qt0s39g4tt. doi: 10.5070/D32610050464
 - Eldik H, Leisenring NH, Al-Rohil RN, Marano AL. Cutaneous collagenous vasculopathy in a middleaged woman with a history of prothrombin G20210A thrombophilia. J Cutan Pathol. 2022;49(8):679–682. doi: 10.1111/cup.13895
 - Nelson G, Cameron MC, Rodriguez-Waitkus PM, Fenske NA. Cutaneous collagenous vasculopathy. Cutis. 2020;105(2):E23–E24.
 - Kim BG, Jung JH, Kim MJ, Moon EH, Oh JH, Park JW, et al. Genetic variants and clinical phenotypes in Korean patients with hereditary hemorrhagic telangiectasia. Clin Exp Otorhinolaryngol. 2021;14(4):339–406. doi: 10.21053/ceo.2020.02124
 
Supplementary files
				
			
					
						










