A new atypical form of lipoid necrobiosis not associated with diabetes mellitus. Clinical case and a brief review of the literature
- Authors: Cheboksarov D.I.1, Molodykh K.J.1, Monakhov K.N.1, Sokolovskiy E.V.1
-
Affiliations:
- Pavlov First Saint Petersburg State Medical University
- Issue: Vol 99, No 1 (2023)
- Pages: 71-80
- Section: CLINICAL CASE REPORTS
- Submitted: 14.09.2022
- Accepted: 20.12.2022
- Published: 26.02.2023
- URL: https://vestnikdv.ru/jour/article/view/1369
- DOI: https://doi.org/10.25208/vdv1369
- ID: 1369
Cite item
Full Text
Abstract
The article presents a description of a clinical case of necrobiosis lipoidica complicated by ulcera-tion in a 55-year-old woman and a brief review of the literature on the topic of modern ideas about necrobiosis lipoidica. The disease manifested itself in 2005 after traumatization of the upper third of both shins as a result of a fall. The patient did visit a dermatologist office for medical help, there was a slow progression of the disease. In 2017, as a result of visiting a dermatologist office at her place of residence, she was diagnosed with necrobiosis lipoidica. The ongoing therapy with vasodi-lators and topical steroids did not lead to significant improvement. In 2021, against the background of vaccination against COVID-19 (22.07.20201 and 12.08.2021 Gam-COVID-Vac — Sputnik V) the patient notes a sharp deterioration of the process after the injection of the second component of the vaccine there were an increased in the area of lesion, ulceration. No data for diabetes mellitus were obtained during the examination. There is a history of a multi-nodular non-toxic goiter, for which a complete resection of the left lobe of the thyroid gland was performed in 1995 and a partial resection of the right lobe of the thyroid gland in 2003. The patient has been receiving L-Thyroxine replacement therapy since 2003. A biopsy of the affected skin was per-formed. The final diagnosis: necrobiosis lipoidica erythematous-ulcerative variant was established according to the pathoanatom-ic examination of the biopsy and atypical clinical picture. As a result of the therapy, the patient was discharged from the clinic with improvement.
Keywords
Full Text
Актуальность
Липоидный некробиоз (ЛН) — редкий хронический дерматоз сосудисто-обменного характера. Представляет собой локализованное поражение кожи, характеризующееся гранулематозным воспалением с отложением липоидов в тех участках дермы, где имеются дегенерация и/или некробиоз коллагена. В настоящее время заболевание относят к группе локализованных липоидозов кожи. Также известен как кожный дислипидоз, липоидный диабетический некробиоз Урбаха, болезнь Оппенгейма–Урбаха, атрофический пятнистый липоидный диабетический дерматит Оппенгейма, псевдосклеродермиформный симметричный хронический гранулематоз Готтрона [1–3].
Первое упоминание о ЛН принадлежит M. Oppenheim (1929 г.), было предложено название “dermatitis atrophicans lipoidica diabetica” [4]. В 1932 г. E. Urbach сообщил о втором случае заболевания и предложил название “necrobiosis lipoidica diabeticorum” [5]. В 1935 г. Goldsmith впервые сообщил о случае ЛН у пациента, не страдавшего сахарным диабетом (СД) [6]. В 1948 г. G. Miescher и M. Leder также описали ряд случаев necrobiosis lipoidica diabeticorum у пациентов, не страдавших СД. В 1960 г. [7] T.G. Rollins и R.K. Winkelmann сообщили об аналогичных случаях и выдвинули предложение исключить из названия “necrobiosis lipoidica diabeticorum” слово diabeticorum [8]. В настоящее время общепризнанным является термин «некробиоз липоидный», наиболее точно отображающий сущность морфологических изменений в очагах поражения [9].
Чаще болеют женщины (до 77%). Возраст дебюта заболевания варьирует, по данным различных авторов, от 20 до 60 лет. Однако также описаны и случаи ЛН у лиц старше 70 лет и у новорожденных. В детском возрасте ЛН встречается редко. H.S. Berman и соавт. было описано 54 случая ЛН, из них 48–89% с сопутствующим СД, 36–67% с СД 1-го типа. Указано также, что 38–70% являлись девочками [10].
У женщин начало заболевания раньше, чем у мужчин. Сочетание с СД регистрируется у 26–67% больных [10, 11].
По данным различных исследований, ЛН встречается у пациентов с СД в 0,1–3% случаев. У 18–20% больных кожные изменения проявляются задолго (1–10 лет) до развития СД. У 25–32% они развиваются одновременно с ним, у 55–62% больных СД предшествует поражению кожи [2, 10].
Этиология и патогенез ЛН недостаточно изучены на сегодняшний день. Существует множество гипотез возникновения заболевания.
Большинство авторов предполагает, что в основе заболевания лежат нарушения, связанные с отложением иммунных комплексов или диабетической микроангиопатией, ведущие к дегенерации коллагена. Предложены также теории, связанные с нарушениями синтеза коллагена и аномалиями миграции нейтрофилов. Описаны редкие случаи семейного ЛН как сопровождающегося СД, так и без него, однако роль генетического фактора в патогенезе данного заболевания остается невыясненной [12]. Имеются данные об участии фактора некроза опухоли альфа (TNF-á) в патогенезе ЛН: повышение его уровня выявляется в крови и коже пациентов, страдающих этим заболеванием [13].
Есть предположение, что важную роль в патогенезе ЛН играют гормоны щитовидной железы: отмечается прямая корреляция между уровнем тиреоидных гормонов в крови и скоростью мобилизации жирового депо. Снижение содержания трийодтиронина приводит к гиперхолестеринемии и избыточному отложению липидов в тканях. У 24–31% больных ЛН обнаруживаются патологии щитовидной железы, особенно узловой зоб и гипотиреоз [1].
Клиническая картина у подавляющего большинства больных представлена множественными очагами поражения с локализацией на переднебоковых поверхностях голеней и голеностопных суставов. В случае прогрессирования патологического процесса высыпания могут распространиться на другие участки кожи, приобретая у части больных диссеминированный характер. Ряд авторов указывает на присутствие феномена Кёбнера при липоидном некробиозе, что может также способствовать диссеминации процесса [13, 15, 16].
Большинство авторов выделяют следующие клинические варианты болезни: склеродермоподобный, типа кольцевидной гранулемы и поверхностно-бляшечный. Однако в литературе есть упоминания о редких атипичных вариантах: сходный с папулезом Дегоса, мелкоузелковый, ксантомоподобный, типа системной красной волчанки, папуло-некротический, саркоидоподобного типа возвышающейся стойкой узловатой или индуративной эритемы, типа бугорковоязвенного сифилида. Клинические формы могут трансформироваться одна в другую. Большинство авторов считают их стадиями одного процесса [1].
Наиболее часто встречается склеродермоподобная форма ЛН, для которой характерно формирование единичных (реже множественных) бляшек, локализующихся преимущественно на голенях. Для этой формы ЛН принято выделять 3 стадии развития [2].
I стадия характеризуется появлением розовато-красных узелков полусферической формы, реже конусовидной. Поверхность высыпаний гладкая с перламутровым блеском.
Во II стадии наблюдается образование бляшек буровато-красного цвета, их границы резко очерчены. Бляшки инфильтрированы, размеры их варьируют в среднем от 1 до 10 см. Очаг поражения возвышается над уровнем окружающей кожи. Узелки, расположенные по периферии, приобретают фиолетовые оттенки и возвышаются над уровнем центральной части очага.
III стадия развивается после достаточно длительного существования болезни (от нескольких месяцев до 2–3 лет). Характерно образование округлых бляшек, неправильных очертаний, с блестящей поверхностью, с запавшим желтовато-буроватым центром и возвышенным краем фиолетово-красного цвета. Волосяные фолликулы в очаге поражения отсутствуют. Пальпаторно в центральной части определяется склеродермоподобное уплотнение. Исходом процесса является образование участков рубцовой атрофии на месте бляшек.
ЛН типа кольцевидной гранулемы характеризуется наличием высыпаний на различных участках кожного покрова. Чаще поражаются дистальные отделы верхних конечностей, область кистей, лучезапястных суставов, реже — область лица, шеи, туловища. Очаги поражений имеют округлые очертания, диаметр 2–5 см и более. Высыпания имеют кольцевидную
(или полукольцевидную) форму и состоят из отдельных папулезных элементов, возвышающихся над поверхностью кожи. В центре очага кожа может быть атрофична или не изменена [1–3].
Поверхностно-бляшечная разновидность ЛН характеризуется образованием очагов поражения округлых или неправильных фестончатых очертаний диаметром 1–7 см и более. Локализация преимущественно на предплечьях и плечах, тыле кистей, животе, груди, спине. Цвет очагов поражения варьирует, в зависимости от давности, от синюшно-розового до синюшно-красного с желтоватым оттенком. Очаги поражения окаймлены фиолетово-красноватым или сиреневато-розовым ободком шириной до 5–10 мм. Края бляшек резко очерчены, поверхность их гладкая, в центральной части — небольшое западение. Уплотнение в основании бляшек отсутствует [1, 2].
Осложнения. Ряд авторов сообщает о способности липоидного некробиоза к трансформации в плоскоклеточную карциному [9].
Наиболее частым (до 30% случаев ЛН) осложнением липоидного некробиоза является образование глубоких, долго незаживающих язв, обычно вследствие травматизации очагов поражения ЛН [16, 17].
Патогистология. Выделяют два патогистологических типа изменений в дерме — некробиотический и гранулематозный.
Некробиотический тип изменений: в глубоких отделах дермы определяются нерезко ограниченные очаги некробиоза коллагеновых волокон. В пределах очагов поражения коллаген гомогенен, отечен и частично базофилен. Определяются множественные разрывы коллагеновых пучков. Пучки располагаются бессистемно. По периферии очагов некробиоза, в толще всей дермы и подкожной жировой клетчатке расположены периваскулярные и очаговые инфильтраты, состоящие из лимфоидных клеток, гистиоцитов, фибробластов, гигантских многоядерных клеток, эпителиоидных клеток. Изменения сосудов представлены пролиферацией эндотелия, утолщением стенок, облитерацией просвета.
Гранулематозный тип изменений: кроме характерных изменений некробиотического типа присутствуют гранулемы, состоящие из гистиоцитов, эпителиоидных и гигантских клеток.
Исследование свежезамороженных срезов, окрашенных Суданом III или IV, позволяет установить наличие липоидных отложений в форме зерен или скоплений ржаво-коричневого цвета, расположенных внеклеточно в очагах дегенерации коллагена [3, 12].
Диагноз ЛН устанавливают на основании данных анамнеза (длительное течение дерматоза, особенно на фоне наличия сопутствующей патологии эндокринной системы), клинической картины поражения кожи, результатов клинического обследования. Диагноз должен быть подтвержден посредством гистологического исследования биоптата кожи. Так как ЛН может быть предиктором сахарного диабета, рекомендуем информировать таких пациентов о необходимости проходить скрининг по поводу сахарного диабета один раз в год (если он не был обнаружен ранее) в следующем объеме: определение уровня гликемии крови натощак, определение уровня гликированного гемоглобина. Мы рекомендуем также производить контроль состояния вен и артерий нижних конечностей один раз в год.
Дифференциальный диагноз проводят со следующими заболеваниями [9].
С кольцевидной гранулемой: гигантские клетки не выявляются. Характерно отложение в очагах дистрофии коллагена и гликозаминогликанов. При окраске толуидиновым синим выявляется метахроматическое окрашивание, что не характерно для ЛН. При кольцевидной гранулеме не поражается эпидермис и отсутствует микроангиопатический компонент.
С бляшечной склеродермией: в очагах поражения бляшечной склеродермии коллагеновые пучки не разрываются, некробиотические очаги, липоидные зерна и/или их скопления не определяются. В свежих очагах склеродермии наблюдаются отечность и гомогенность пучков коллагена. В старых очагах — гипертрофия и склерозирование компактно расположенных коллагеновых пучков. Значительно утолщена дерма, отсутствует воспалительный инфильтрат.
С некробиотической ксантогранулемой: высыпания обычно локализуются параорбитально, ассоциированы с парапротеинемией. Характерно большое число эпителиоидных клеток и гистиоцитов с «пенистой» цитоплазмой. В центре очага поражения определяется массивный некроз клеток воспалительного инфильтрата и адипоцитов, определяется большое количество внеклеточных липидов.
Лечение. На сегодняшний день нет общепринятой схемы лечения. Используют как местную, так и системную терапию, физиотерапевтические методики лечения. Нет исследований, оценивающих эффективность существующих методов терапии с позиций доказательной медицины. Адекватный контроль за СД не улучшает клиническую картину заболевания, но обеспечивает лучший прогноз и уменьшает риск осложнений [13].
Для местной терапии показано использование высокоактивных топических глюкокортикостероидов: бетаметазона дипропионат, клобетазола пропионат. Их эффект может быть усилен использованием окклюзивных повязок. Применяются инъекции триамцинолона в очаги поражений. Хорошо себя зарекомендовали топические ингибиторы кальциневрина: такролимус, пимекролимус, но стоит отметить, что их эффективность несколько ниже, чем у глюкокортикостероидов [17, 18].
Есть сообщение об успешном применении гранулоцитарно-макрофагального колониестимулирующего фактора (GM-CSF) для лечения язвенных дефектов кожи в пределах очагов поражений липоидного некробиоза: препарат «Лейкомакс» использовался местно в виде аппликаций на очаги поражений [19].
Для системной терапии липоидного некробиоза, согласно данным различных авторов, могут быть использованны следующие препараты: ацетилсалициловая кислота, пентоксифиллин, доксициклин, преднизолон, метилпреднизолон, метотрексат, циклоспорин А, хлорохин, гидроксихлорохин, талидомид, третиноин. Сообщается об успешном использовании ингибиторов фактора некроза опухоли-альфа (ФНО-á): инфликсимаб, этанрецепт, адалимумаб; ингибиторов янус-киназ: тофацитниб, барицитиниб, руксолитиниб [20–23].
Наиболее эффективные физиотерапевтические методики представлены гипербарической оксигенацией, лазерной терапией, фототерапией [20, 24].
Описание случая
Пациентка 55 лет. Считает себя больной с 2005 г., когда в результате падения при подъеме по лестнице в области обеих голеней появились ссадины, на месте которых после заживления отмечались очаги поражения, которые пациентка описывает как бляшки красно-желтого цвета с глянцевой поверхностью, дискомфорта не доставляли. Бляшки медленно увеличивались в размерах. Пациентка за медицинской помощью не обращалась. В 2017 г. пациентка впервые обратилась за медицинской помощью в КВД по месту жительства в связи с ухудшением состояния кожи. Проводились консультации у дерматолога, эндокринолога, сосудистого хирурга. Был клинически поставлен диагноз: липоидный некробиоз. Получала наружную терапию: мометазона фуроат, гидрокортизон, парентерально: пентоксифиллин в/в капельно, актовегин в/в капельно. Клинического улучшения кожного процесса не отмечено. В 2019 г. после повторной травматизации левой голени процесс осложнился ульцерацией диаметром 0,5 см. Обратилась к дерматологу, было назначено лечение: наружно левомиколь. Язва разрешилась в течение 1 месяца. В 2020 г. в результате травматизации кожи правой голени пациентка отмечает появление язвы, аналогичной таковой на левой голени, диаметром 0,5 см. Получала местную терапию — аргосульфан, метилпреднизолона ацепонат, такролимус, паста Шнырева (вазелин 50%, окись цинка 25%, крахмал 25%, висмут 10%, ихтиол 5%), цинковая паста (оксид цинка, вазелин и картофельный крахмал). Язва разрешилась в течение 1 месяца. В сентябре 2021 г. после вакцинации от COVID-19 (вакцина «ГАМ-КОВИД-Вак» — «Спутник V»; компонент 1 введен 22.07.2021, компонент 2 введен 12.08.2021) пациентка отмечает резкое обострение, характеризующееся появлением четырех новых язвенных дефектов размерами от 1 до 5 см, локализованных в пределах ранее существовавшего очага на коже передней поверхности правой голени, пациентка отрицает какие-либо травмы в этой области. К дерматологу не обращалась, лечилась самостоятельно местными средствами (дермазин, диосмин) без положительной динамики, в связи с чем обратилась в КВД по месту жительства. Было назначено лечение наружно — бетаметазона дипропионат, левофлоксацин, бацитрацин + неомицин и крем Сульфадиазин серебра; парентерально — пентоксифиллин (100 мг/5 мл) по 1 мл + натрия хлорида 0,9% раствор 250 мл x 1 раз в день в/в капельно. В связи с непрерывным течением заболевания, наличием ульцераций было принято решение направить пациентку в клинику дерматовенерологии ПСПбГМУ им. акад. И.П. Павлова для дообследования и лечения. В анамнезе многоузловой нетоксический зоб, по поводу чего в 1995 и в 2003 гг. выполнялась резекция долей щитовидной железы. Заместительную терапию получает L-Тироксином с 2003 г.
Результаты физикального, лабораторного и инструментального исследований
Status localis: высыпные элементы локализованы на передних поверхностях обеих голеней. На коже передней поверхности левой голени неравномерно окрашенная бляшка красновато-желтого и сиреневого цвета с фестончатыми краями размерами 20 × 7 см. В основании очага определяется инфильтрация, ощущающаяся при пальпации как уплотнение тканей кожи. Боль, зуд отсутствуют (рис. 1). На коже передней поверхности правой голени определяется аналогичный очаг поражения в виде неравномерно окрашенной бляшки красновато-желтого и сиреневого цвета с фестончатыми краями размерами 21 × 9 см, на поверхности которого 4 язвенных дефекта размерами от 1 до 5 см с четкими границами, с полициклическими очертаниями и фестончатыми краями. Дно язв покрыто фибрином, грануляции вялые, отделяемое умеренное грязно-желтого цвета, имеются геморрагические корки. В области язв отмечаются болевые ощущения, которые усиливаются в ночное время и при длительной ходьбе (рис. 2). Стоит отметить, что на обеих голенях от нижних границ очагов распространение процесса происходило полосовидно, по переднему краю большеберцовой кости. Это может быть обусловлено повышенным трением этих участков об одежду. Вероятно, имеет место феномен Кёбнера (рис. 3, 4).
Рис. 1. Состояние процесса при поступлении в клинику ПСПбГМУ им. И.П. Павлова на 2021 г. Левая голень. Определяется бляшка красновато-желтого и сиреневого цвета с фестончатыми краями размерами 20 × 7 см. По краям бляшки проходит отчетливо выраженная воспалительная кайма
Fig. 1. The state of the process when entering the Pavlov First Saint Petersburg State Medical University in 2021. Left shin. A plaque of reddish-yellow and lilac color with scalloped edges measuring 20 × 7 cm is determined. A distinctly pronounced inflammatory rim runs along the edges of the spot
Рис. 2. Состояние процесса при поступлении в клинику ПСПбГМУ им. И. П. Павлова на 2021 г. Правая голень. Очаг поражения представлен бляшкой красновато-желтого и сиреневого цвета с фестончатыми краями размерами 21 × 9 см, на поверхности которой 4 язвенных дефекта размерами от 1 до 5 см с четкими границами, с полициклическими очертаниями и фестончатыми краями. Дно язв покрыто фибрином, грануляции вялые, отделяемое умеренное грязно-желтого цвета, имеются геморрагические корки. Воспалительная кайма выражена значительно слабее, чем на левой голени
Fig. 2. The state of the process upon admission to the Pavlov First Saint Petersburg State Medical University in 2021. Right shin. The lesion is represented by a plaque of reddish-yellow and lilac color with scalloped edges measuring 21 × 9 cm, on the surface of which there are 4 ulcerative defects ranging in size from 1 to 5 cm with clear boundaries, with polycyclic outlines and festooned edges. The bottom of the ulcer is covered with fibrin, the granulations are sluggish, the discharge is moderate dirty yellow, there are hemorrhagic crusts. The inflammatory border is much less pronounced than on the left shin
Рис. 3. Состояние процесса на 2015 г. Очаги поражения представлены эритематозными бляшками с нечеткими краями. Отчетливо видны телеангиоэктазии. Бляшки имеют тенденцию к периферическому росту, вместе с тем отмечается линейное распространение процесса от нижнего края обеих бляшек
Fig. 3. The status of the process for 2015. The lesions are represented by erythematous plaques with indistinct edges. Telangiectasia is clearly visible. Plaques tend to grow peripherally, however, there is a linear spread of the process from the lower edge of both plaques
Рис. 4. Состояние процесса на 2017 г. Площадь очагов поражения значительно возросла. Поверхность приобрела глянцевый блеск, волосы в пределах очагов поражения отсутствуют. Цвет очагов розово-фиолетовый. По краям имеется воспалительная кайма, не возвышающаяся над поверхностью здоровой кожи. Определяются множественные эрозии, которые особенно заметны на левой голени
Fig. 4. The status of the process for 2017. The area of lesions has increased significantly. The surface has acquired a glossy sheen, there is no hair within the lesions. The color of the foci is pink-purple. At the edges there is an inflammatory border that does not rise above the surface of healthy skin. Multiple erosions are determined, which are especially noticeable on the left shin
Данные лабораторных исследований (в скобках приведены показатели нормы):
Клинический анализ крови от 14.01.2022: эритроциты 4,8*10^12/л (3,7–4,7), средний объем эритроцита 84,9 фл (85,0–105,0), средний объем тромбоцита 6,8 фл (7,4–10,4), скорость оседания эритроцитов 33 мм/ч (2–15).
Биохимический анализ крови от 14.01.2022: С-реактивный белок 8,32 мг/л (0,10–8,20), калий 5,2 ммоль/л (3,5–5,1), холестерин общий 6,66 ммоль/л (3,10–5,20), скорость клубочковой фильтрации по формуле CKD-EPI 74,0 мл/мин / 1,73 м2 (> 90,0).
Показатели общего анализа мочи от 14.01.2022 в норме.
Липидограмма от 17.01.2022: холестерин общий 5,80 ммоль/л (3,10–5,20), липопротеины высокой плотности 1,17 ммоль/л (> 1,55), липопротеины очень низкой плотности 0,56 ммоль/л, липопротеины низкой плотности 4,07 ммоль/л, триглицериды 1,22 ммоль/л (0,60–1,10), коэффициент атерогенности 4,0 (< 3,0).
Бактериологическое исследование от 17.01.2022:
Исследуемый образец: отделяемое ран, язв, свищей, пустул.
- Staphylococcus haemolyticus: обильный рост.
- Staphylococcus epidermidis: умеренный рост.
Коагулограмма от 18.01.2022: протромбин по Квику 89,0% (75,0–130,0), D-димер 510 мкг/л (FEU) (< 500).
Результаты патологоанатомического исследования биоптата от 25.01.2022:
Фрагмент кожи. Эпидермис тонкий с мелкими эпидермальными выпячиваниями, во всех отделах дермы определяются очаги некробиоза коллагеновых волокон, по периферии которых располагаются очаговые и периваскулярные лимфогистиоцитарные инфильтраты с эпителиодными клетками, в некоторых из этих инфильтратов обнаруживаются гигантские многоядерные клетки, в подкожной жировой клетчатке встречаются фиброзные прослойки с гранулемами.
Морфология соответствует признакам некробиоза липоидного, гранулематозный вариант.
Консультация эндокринолога от 18.01.2022:
Заключение: пациентка 55 лет с липоидным некробиозом обеих голеней. Убедительных данных за СД не получено. Гликированный гемоглобин 5,5%, глюкоза «по точкам» в норме. Наследственность по СД не отягощена. В анамнезе многоузловой нетоксический зоб, по поводу чего в 1995 и 2003 гг. выполнялась резекция обеих долей щитовидной железы (со слов, медицинская документация не предоставлена). Рекомендован контроль УЗИ щитовидной железы. Получает 50 мкг Левотироксина, не всегда соблюдает правила приема (разъяснены). ТТГ 0,947, коррекции дозы препарата в настоящий момент не требуется.
Клинический диагноз: некробиоз липоидный.
Диагноз подтвержден: клинически, на основании данных прижизненного патологоанатомического исследования.
Больной было назначено лечение:
Пентоксифиллин (100 мг/5 мл) по 20 мл + натрия хлорида 0,9% раствор 250 мл × 2 раза в сутки в/в капельно. Препарат был назначен с целью улучшения реологических свойств крови, ее микроциркуляции. Реополиглюкин (10%) по 200 мл × 1 раз в день, в/в, медленно, 9 дней. Препарат был назначен с целью улучшения микроциркуляции крови и дезинтоксикации. Сульфаргин (1% мазь 180 г) по 1 мг × 2 раза в день на пораженную область ежедневно 10 дней. Цинковая 25% паста нар. 15 г × 2 раза в день по периферии язвенных дефектов ежедневно 10 дней. Хлоргексидина биглюконат — протирание пораженной области 2 раза в день перед нанесением сульфаргина и цинковой пасты ежедневно 10 дней. Вышеописанные наружные лекарственные формы были назначены в рамках комплексной терапии по поводу присоединения вторичной бактериальной инфекции, выявленной на основании результатов бактериологического исследования.
При повторном осмотре через 2 недели наблюдалась положительная динамика: отмечалось уменьшение количества отделяемого из язв, краевая эпителизация и эпителизация дна язв, образование грануляций, уменьшение язв в размерах. В связи с регистрацией случая COVID-19 на отделении у ряда других пациентов пациентка была выписана из стационара по эпидемическим показаниям. Планируется повторная госпитализация в сентябре 2022 г. для продолжения терапии.
Обсуждение
На сегодняшний день о ЛН известно недостаточно. Эпидемиологические данные у разных авторов существенно расходятся, нет понимания патогенеза заболевания [10, 11]. По нашему мнению, наиболее рационально рассматривать это заболевание как полиэтиологическое, ведущая роль в патогенезе которого может принадлежать сосудистому и иммунному компонентам, при этом нельзя исключать и генетическую составляющую [1, 12]. На сегодняшний день этот вопрос остается открытым. Единой тактики лечения дерматоза не разработано. На основании данных немногочисленных исследований можно констатировать, что в большинстве случаев оказываются эффективными иммуносупрессивная терапия, введение пентоксифиллина, применение ингибиторов ФНО-á и ингибиторов янус-киназ [17–22]. Методы физиотерапии также могут быть полезны в некоторых случаях, но только в составе комплексной терапии [13]. Считаем важным аспектом лечения работу с пациентами и повышение комплаентности, исключение травматизации как очагов поражения, так и неповрежденной кожи. Наиболее часто в литературе описывают склеродермоподобную, по типу кольцевидной гранулемы, и бляшечную формы заболевания [2]. Представленный нами случай не укладывается в клиническую картину ни одной из этих классических форм. Очаги поражений на момент 2015 г. согласно фотографии, предоставленной пациенткой, были в виде красновато-желтых бляшек с глянцевой поверхностью, в пределах бляшек определялось большое количество телеангиэктазий. Стоит отметить, что распространение процесса
происходило не только за счет периферического роста бляшек, но и линейно от нижнего края очагов поражения на обеих ногах (см. рис. 3). На момент первого обращения пациентки за медицинской помощью очаги поражения представляли собой гигантские бляшки. Волосы в пределах очагов поражения отсутствуют. Цвет очагов красно-фиолетовый. Поверхность бляшек имеет глянцевый блеск. По краям бляшек имеется прерывистая воспалительная кайма, не возвышающаяся над поверхностью здоровой кожи. Определяются множественные эрозии, которые особенно заметны на левой голени (см. рис. 4). На сегодняшний день очаги поражений представлены в виде неравномерно окрашенных бляшек красновато-желтого и сиреневого цвета 20 × 7 см и 21 × 9 см на левой и правой голени соответственно (см. рис. 1, 2). Столь обширные очаги поражений не характерны для типичного течения ЛН. В отличие от склеродермоподобной формы ЛН не наблюдается характерный валик из узелков по периферии бляшек, центр бляшек не западает, цвет бляшек красновато-желтый. В отличие от поверхностно-бляшечной формы ЛН в приведенном случае присутствует прерывистая воспалительная кайма, которая не возвышается над уровнем бляшек, имеется уплотнение кожи в пределах очагов поражения. ЛН часто сопутствует СД или является его предиктором, однако в данном случае данных за СД не получено. Пациентка после резекции щитовидной железы получает заместительную терапию L-Тироксином в полном объеме, показатели тиреоидных гормонов в норме, с высокой долей вероятности процесс не связан с резекцией щитовидной железы. Гистологически определяется выраженный гранулематозный компонент (рис. 5). Процесс осложнен изъязвлением. Исходя из вышеописанных особенностей течения заболевания представленный нами клинический случай атипичного течения липоидного некробиоза, по нашему мнению, может рассматриваться как ранее не описанная форма заболевания. Считаем, что выделение новой формы заболевания поможет повысить настороженность практикующих врачей и позволит значительно ускорить диагностику при обнаружении аналогичной клинической картины заболевания.
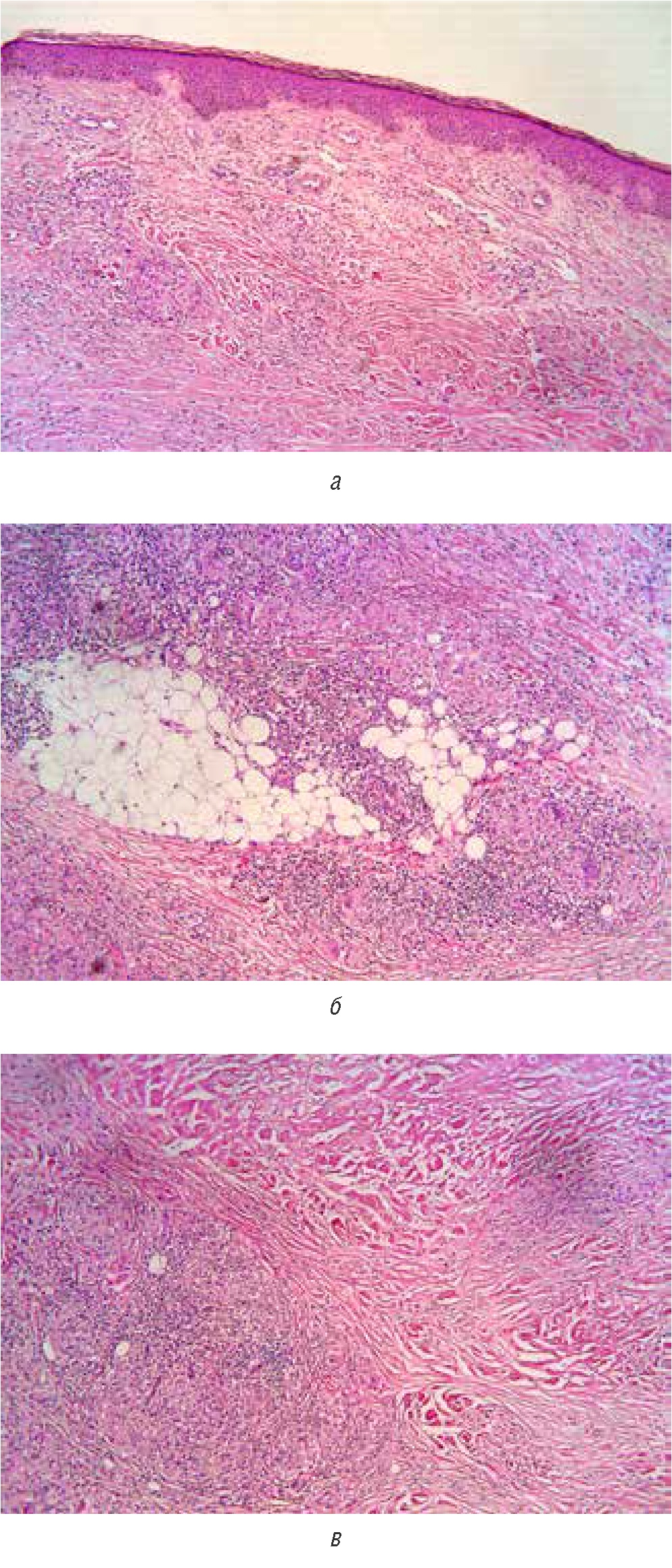
Рис. 5. Липоидный некробиоз, микропрепарат: а — ×20 увеличение, окрашивание: гематоксилин-эозин; б, в — ×40 увеличение, окрашивание: гематоксилин-эозин. Эпидермис тонкий с мелкими эпидермальными выпячиваниями, во всех отделах дермы определяются очаги некробиоза коллагеновых волокон, по периферии которых располагаются очаговые и периваскулярные лимфогистиоцитарные инфильтраты с эпителиодными клетками, в отдельных из них обнаруживаются гигантские многоядерные клетки. В подкожной жировой клетчатке отмечаются фиброзные прослойки с гранулемами
Fig. 5. Necrobioisis lipoidica, pathohistology. а — ×20 increase, hematoxylin-eosin; б, в — ×40 increase, hematoxylin-eosin. The epidermis is thin with small epidermal protrusions, foci of necrobiosis of collagen fibers are found in all parts of the dermis, along the periphery of which focal and perivascular lymphohistiocytic infiltrates with epithelial cells are located, giant multinucleated cells are found in some of them. Fibrous layers with granulomas are noted in subcutaneous adipose tissue
Заключение
Липоидный некробиоз — это полиэтиологическое заболевание, эффективной для всех пациентов схемы лечения которого на сегодняшний день не разработано. По нашему мнению, первая линия должна включать высокоактивные топические глюкокортикостероиды или топические ингибиторы кальциневрина в комбинации с пентоксифиллином и физиотерапевтическими методиками. Вторая линия терапии — системная иммуносупрессия, противомалярийные препараты. Третья линия терапии может включать в себя ингибиторы ФНО-α. Недопустимо ставить окончательный диагноз только на основании данных анамнеза и клинической картины заболевания. Диагноз ЛН должен обязательно быть подтвержден посредством гистологического исследования биоптата кожи. Исходя из данных анамнеза, атипичной клинической картины заболевания, данных патоморфологического исследования у пациентки впервые диагностирована ранее не описанная эритематозно-язвенная форма атипичного течения липоидного некробиоза.
Конфликт интересов: авторы данной статьи подтвердили отсутствие конфликта интересов, о котором необходимо сообщить.
Conflict of interest: The preparation of the manuscript was carried out by the means of the author's team.
Источник финансирования: Работа выполнена и опубликована за счет финансирования по месту работы авторов.
Source of funding: The authors of this article have confirmed that there is no conflict of interest to declare.
Согласие пациента: пациент добровольно подписал информированное согласие о публикации информации в обезличенной форме в журнале «Вестник дерматологии и венерологии».
Patient consent: the patient voluntarily signed an informed consent to the publication of personal medical information in an impersonal form in the journal “Vestnik Dermatologii i Venerologii”.
Участие авторов: анализ литературных данных и их интерпретация, написание статьи — Д.И. Чебоксаров; поисково-аналитическая работа, написание статьи — К.Ю. Молодых; обоснование рукописи, коррекция и одобрение статьи — К.Н. Монахов; проверка критически важного интеллектуального содержания, окончательное утверждение на представление рукописи — Е.В. Соколовский.
Authors' participation: literature analysis and interpretation, writing an article — Daniil I. Cheboksarov; search and analytical work, writing an article — Kristina J. Molodykh; justification of the manuscript, correction and approval of the article — Konstantin N. Monakhov; checking critically for important intellectual content, final approval of the submission of the manuscript — Evgeny V. Sokolovskiy.
About the authors
Daniil I. Cheboksarov
Pavlov First Saint Petersburg State Medical University
Author for correspondence.
Email: tcheboksarov.d@yandex.ru
ORCID iD: 0000-0002-7356-7994
Student
Россия, Saint PetersburgKristina J. Molodykh
Pavlov First Saint Petersburg State Medical University
Email: molodyhkristina@mail.ru
ORCID iD: 0000-0001-5479-5652
SPIN-code: 9472-9640
Assistant Professor
Россия, Saint PetersburgKonstantin N. Monakhov
Pavlov First Saint Petersburg State Medical University
Email: knmonakhov@mail.ru
ORCID iD: 0000-0002-8211-1665
SPIN-code: 1837-2098
MD, Dr. Sci. (Med.), Professor
Россия, Saint PetersburgEvgeny V. Sokolovskiy
Pavlov First Saint Petersburg State Medical University
Email: s40@mail.ru
ORCID iD: 0000-0001-7610-6061
SPIN-code: 6807-7137
MD, Dr. Sci. (Med.), Professor
Россия, Saint PetersburgReferences
- Смирнова Л.М., Семенчак Ю.А., Панченко Л.А. Липоидный некробиоз: обзорная статья. Российский журнал кожных и венерических болезней. 2018;21(1):40–44 [Smirnova LM, Semenchak JuA, Panchenko LA. Lipoid necrobiosis: a review. Rossijskij zhurnal kozhnyh i venericheskih boleznej. 2018;21(1):40–44. (In Russ.)] doi: 10.18821/1560-9588-2018-21-1-40-44
- Платонова А.Н., Бакулев А.Л., Слесаренко Н.А., Моррисон А.В., Шабогина А.А., Давыдова А.В. Липоидный некробиоз (болезнь Оппенгейма — Урбаха). Вестник дерматологии и венерологии. 2012;88(6):70–73 [Platonova AN, Bakulev AL, Slesarenko NA, Morrison AV, Shabogina AA, Davydova AV. Necrobiosis lipoidica (Oppenheim — Urbach disease). Vestnik dermatologii i venerologii. 2012;88(6):70–73. (In Russ.)] doi: 10.25208/vdv758
- Горбунцов В.В., Романенко К.В., Колесникова И.А., Дюдюн А.Д. Клинический случай липоидного некробиоза. Дерматовенерология. Косметология. Сексопатология. 2017;(1-4):216–221 [Gorbuncov VV, Romanenko KV, Kolesnikova IA, Djudjun AD. A clinical case of the necrobiosis lipoidica. Dermatovenerologija. Kosmetologija. Seksopatologija. 2017;(1–4):216–221. (In Russ.)]
- Oppenheim M. Eigentümlich disseminierte Degeneration des Bindegewebes der Haut beieinem Diabetiker. Z Hautkr. 1929; 32:179.
- Urbach E. Eine neue diabetische Stoffwechsel dermatose: Nekrobiosis lipoidica diabeticorum. Arch Dermatol Syphilol. 1932;166:273.
- Goldsmith WN. Necrobiosis Lipoidica. Proc R Soc Med 1935;28(4):363–364.
- Miescher G, Leder M. Granulomatosis disciformis chronica et progressive. Dermatologica. 1948;97(1–3):25–34.
- Rollins TG, Winkelmann RK. Necrobiosis lipoidica granulomatosis. Necrobiosis lipoidica diabeticorum in the nondiabetic. Arch Dermatol. 1960;82:537–543. doi: 10.1001/archderm.1960.01580040055010
- Lepe K, Riley CA, Salazar FJ. Necrobiosis Lipoidica. Treasure Island: StatPearls Publishing; 2022. https://www.statpearls.com/ArticleLibrary/viewarticle/25619 (Accessed: 20 November 2022).
- Berman HS, Shabihkhani M, Hogeling M. Pediatric necrobiosis lipoidica: case report and review of the literature. Dermatol Online J. 2021;27(7). doi: 10.5070/D327754363
- Думченко В.В., Шашкова А.А., Тарасенко Э.М. Случай липоидного некробиоза у ребенка. Вестник дерматологии и венерологии. 2017;93(1):51–54 [Dumchenko VV, Shashkova AA, Tarasenko JeM. The case of necrobiosis lipoidica in a child. Vestnik dermatologii i venerologii. 2017;93(1):51–54 (In Russ.)] doi: 10.25208/0042-4609-2017-93-1-51-54
- Sibbald C, Reid S, Alavi A. Necrobiosis Lipoidica. Dermatol Clin. 2015;33(3):343–360. doi: 10.1016/j.det.2015.03.003
- Absil G, Collins P, El Hayderi L, Nikkels AF. Necrobiosis Lipoidica following Breast Reduction. Plast Reconstr Surg Glob Open. 2021;9(9):e3788. doi: 10.1097/GOX.0000000000003788
- Miller RA. Koebner phenomenon in a diabetic with necrobiosis lipoidica diabeticorum. Int J Dermatol. 1990;29(1):52–53. doi: 10.1111/j.1365-4362.1990.tb03757.x
- Ghate JV, Williford PM, Sane DC, Hitchcock MG. Necrobiosis lipoidica associated with Köbner's phenomenon in a patient with diabetes. Cutis. 2001;67(2):158–160.
- Grillo E, Rodriguez-Muñoz D, González-Garcia A, Jaén P. Necrobiosis lipoidica. Aust Fam Physician. 2014;43(3):129–130.
- Erfurt-Berge C, Dissemond J, Schwede K, Seitz AT, Al Ghazal P, Wollina U, et al. Updated results of 100 patients on clinical features and therapeutic options in necrobiosis lipoidica in a retrospective multicentre study. Eur J Dermatol. 2015;25(6):595–601. doi: 10.1684/ejd.2015.2636
- Feily A, Mehraban S. Treatment Modalities of Necrobiosis Lipoidica: A Concise Systematic Review. Dermatol Reports. 2015;7(2):5749. doi: 10.4081/dr.2015.5749
- Remes K, Rönnemaa T. Healing of chronic leg ulcers in diabetic necrobiosis lipoidica with local granulocyte-macrophage colony stimulating factor treatment. J Diabetes Complications. 1999;13(2):115–118. doi: 10.1016/s1056-8727(98)00025-7
- Peckruhn M, Tittelbach J, Elsner P. Update: Treatment of necrobiosis lipoidica. J Dtsch Dermatol Ges. 2017;15(2):151–157. doi: 10.1111/ddg.13186
- Burns E, Ukoha U, Chan A. Necrobiosis lipoidica with rapid response to doxycycline. Pediatr Dermatol. 2020;37(5):981–982. doi: 10.1111/pde.14295
- Erfurt-Berge C, Sticherling M. Successful treatment of ulcerative necrobiosis lipoidica with janus kinase inhibitor. J Eur Acad Dermatol Venereol. 2020;34(7):e331–e333. doi: 10.1111/jdv.16297
- Barbet-Massin MA, Rigalleau V, Blanco P, Mohammedi K, Poupon P, Belin E, et al. Remission of necrobiosis lipoidica diabeticorum with a JAK1/2 inhibitor: A case report. Diabetes Metab. 2021;47(4):101143. doi: 10.1016/j.diabet.2020.01.001
- Rajabi-Estarabadi A, Aickara DJ, Hirsch M, Williams NM, Maranda EL, Van Badiavas E. Laser and light therapies for the treatment of necrobiosis lipoidica. Lasers Med Sci. 2021;36(3):497–506. doi: 10.1007/s10103-020-03147-3
Supplementary files









