The effectiveness of using a combination of laser radiation with wavelengths of 585 and 1064 nm in the treatment of patients with basal cell skin cancer
- Authors: Saytburkhanov R.R.1, Plakhova X.I.1, Kondrakhina I.N.1, Kubanov А.A.1
-
Affiliations:
- State Research Center of Dermatovenereology and Cosmetology
- Issue: Vol 99, No 6 (2023)
- Pages: 37-44
- Section: ORIGINAL STUDIES
- Submitted: 01.10.2023
- Accepted: 20.12.2023
- Published: 31.01.2024
- URL: https://vestnikdv.ru/jour/article/view/16047
- DOI: https://doi.org/10.25208/vdv16047
- ID: 16047
Cite item
Abstract
Background. Basal cell skin cancer is the most common skin malignancy, and its incidence has been rapidly increasing throughout the world in recent decades.
Aims. To study the effectiveness of using laser radiation with a wavelength of 585 nm and 1064 nm in a sequential (sequential) combined mode for the treatment of patients with superficial and nodular forms of basal cell skin cancer using dermoscopic and confocal microscopic in vivo examination.
Materials and methods. The study included 30 patients with histologically confirmed basal cell skin cancer, who received treatment in the conditions of the Consultative and Diagnostic Center of the State Research Center of Dermatovenereology and Cosmetology of Russian Ministry of Health in the period from 2020 to 2021, using a pulsed dye laser (wavelength 585 nm) and long-pulse neodymium laser (wavelength 1064 nm).
Results. In the subgroup of patients with the nodular form of basal cell carcinoma (n = 15): in 11 patients the duration of treatment was 1 procedure, in 3 patients – 2 procedures, in 1 patient — 3 procedures. In the subgroup of patients with superficial basal cell carcinoma (n = 15 ): in 2 patients the course of treatment was 2 procedures, in 13 patients — 1 procedure. Patients have now completed treatment and are being followed up with visits every 6 months for 3 years. According to dermoscopic and confocal microscopic studies, there is no evidence of continued growth and relapse in all patients. No side effects or adverse events were recorded.
Conclusions. The combined sequential use of 585 nm and 1064 nm laser radiation may be an effective treatment for patients with low-risk basal cell skin cancer of recurrence. The results of our study indicate that clinical tumor removal without scarring can be achieved and may be an alternative treatment option for those who do not wish to use traditional surgical approaches.
Full Text
Background
Basal cell skin cancer (BCSC) is the most common skin malignancy in the United States, Australia, and Central Europe. Its annual incidence worldwide has been increasing consistently by 3–10% [1], which poses a major challenge for public healthcare systems.
In 2022, the percentage of nonmelanoma skin tumors (including BCSC) in the structure of oncological diseases in Russian Federation was 10.8% at 298.9 cases per 100 thousand inhabitants [2].
Compared to two other common clinical and histological types (nodular and sclerodermiform BCSC), superficial BCSC may occur at earlier ages, and it currently accounts for 31% of BCSC cases, with the percentage almost doubled in recent 20 years [3].
Surgical excision of the tumor followed by a pathology study and an excision radicality control is still considered the standard of care for BCSC.
However faster, safer, and more effective therapeutic options ensuring acceptable aesthetic outcomes are increasingly sought for, especially with the younger population being affected.
The list of nonsurgical options includes locally destructive techniques not requiring histological control (e.g., cryotherapy, laser vaporization, and photodynamic therapy), as well as local pharmacological treatment with imiquimod or 5-fluorouracil [4]. The disadvantages of both approaches are well known: destructive methods are often characterized with complicated wound healing and questionable aesthetic outcomes compared to surgical excision (especially in cases of multiple lesions), while local pharmacological treatment relies heavily on the patient’s ability to follow the prescribed regimen.
Vascular-specific selective laser destruction that employs radiation wavelengths of 578, 585-595, 1064 nm, and their combinations appears to be a viable alternative for the techniques above. The use of this approach in BCSC cases may be justified by the presence of the supporting vascular network macroscopically visible at the tumor surface. In addition to macroscopic vessels, tumor-feeding vessels are an integral part of the microvascular architecture of a tumor [5]. Microscopic studies in vivo confirmed that blood vessels in BCSC foci were significantly larger, than in those healthy skin [6].
The potential advantage of vascular-specific photothermal treatment compared to conventional destruction or excision techniques is preservation of the healthy tissue surrounding the tumor.
The technique is based around the concept of selective photothermolysis [7]. Selective heat damage inside the target lesion can be achieved, if we can ensure wavelength-selective absorption, sufficient power, and pulse duration shorter than the target’s cooling time.
Vascular-specific selective lasers may selectively affect oxyhemoglobin and deoxyhemoglobin at various penetration depths depending on laser wavelength.
Pulsed dye laser (PDL) generating laser radiation with wavelengths of 585–595 nm, which is well absorbed by oxyhemoglobin in blood vessels with partial transformation into methemoglobin, is limited in its penetration depth to papillary dermis and used to treat port-wine stains, hemangiomas, and facial telangiectasia.
Long-pulse neodymium laser (Nd:YAG laser) generating laser radiation of 1064 nm well absorbed by deoxyhemoglobin and methemoglobin in blood vessels has a penetration depth of up to 8 mm below the skin surface and is used for coagulation treatment of venules, phlebectasia, and venous malformations.
There is a number of papers studying the use of 585/595-nm laser radiation for treatment of various BCSC types that show the complete regression of 71-92% BCSC focal lesions after 4 laser therapy sessions at 2-week intervals. Treatment effectiveness depends on histological subtype of a tumor, and the best results are observed in superficial BCSC and for a treatment mode with stacked pulse setting [8–10].
Confocal microscopic in vivo study in our previous paper [11] showed the persistent vascular circulation in reticular dermis both in unchanged skin and around nodular BCSC lesions following 585-nm laser treatment, which is why this technique was only used in superficial BCSC cases.
A study of 1064-nm Nd:YAG continuous wave laser therapy in 36 BCSC cases showed the cure rate of 97.3% after 2–4 sessions with a single relapse observed in 5 years post-treatment [12]. Moskalik et al. (2010) analyzed the outcomes of neodymium laser treatment in 2915 facial BCSC lesions and reported the relapse rate of 3.1% for primary basaliomas and 4.1% for recurrent basaliomas in over five years of follow-up [13], while the respective relapse rates in Markowitz et al. (2021) were 2% and 11.8% in 12 months of follow-up [14].
With these results, an assumption can be made that combined treatment with sequential PDL (585 nm) and Nd:YAG (1064 nm) laser pulses makes it possible to increase the effectiveness of tumor removal, while maintaining selectivity and minimizing the side-effects. In addition to higher penetration depth ensured by this approach, the transformation of oxyhemoglobin into methemoglobin after PDL pulses creates the second target chromophore for Nd:YAG laser. 1064-nm laser radiation is well absorbed by methemoglobin and penetrates deeper-seated vessels. This technique makes it possible attack the anomalous vascular network of BCSC lesions at two levels.
In this respect, the objective of the present study was to investigate the therapeutic effectiveness of combined sequential laser radiation (585 and 1064 nm) in patients with superficial and nodular types of BCSC, using dermoscopy and confocal microscopy in vivo.
To investigate the therapeutic effectiveness of the laser treatment in focal BCSC lesions, 30 patients with 15 superficial and 15 nodular basaliomas were treated, and pathophysiological changes observed during treatment and post-treatment were assessed, using real-time dermoscopy and confocal laser scanning microscopy (CLSM).
Methods
The study included 30 patients with 30 histologically confirmed focal BCSC lesions, who received combined pulsed dye laser and long-pulse neodymium laser treatment at the facilities of Consultati and Diagnostic Center of the State Research Center of Dermatovenerology and Cosmetology from 2021 to 2022.
Dermoscopic examination, CLSM examination in vivo, and skin biopsy with subsequent pathological analysis were performed in patients with suspected BCSC. Skin biopsy samples were taken from the most pronounced focal lesions, including from the edges and the center of neoplasms.
With the diagnosis confirmed, the patients were informed about the proposed therapy, and their informed consent was requested.
Inclusion criteria:
- Age of 18 or above;
- Availability of an informed consent form documenting that the patient was properly informed about all significant aspects of the study signed by the patient in person and citing the signature date;
- The patient’s willingness and ability to comply with scheduled visits, treatment plans, laboratory tests, and other procedures relevant to the research;
- Confirmed diagnosis of superficial or nodular BCSC with lesions not exceeding 20 mm in diameter for torso and extremities (excluding hands, feet, and periungual areas) and 10 mm for neck, scalp, forehead, and cheek.
Noninvasive verification of neoplasms using confocal microscopy was performed before skin biopsy, right after laser treatment sessions, 4 weeks after treatment completion under condition of complete re-epithelialization of the laser treatment site, 6 months post-treatment, and later, if prescribed due to clinical and dermoscopic signs of relapse during the 3-year follow-up.
Exclusion criteria: focal lesions exceeding 2 cm in diameter, infiltrative growth pattern of the tumor, and recurrent lesions.
Treatment technique in patients with basal cell skin cancer
The patients were divided into two groups based on the histological BCSC subtype (superficial or nodular).
The intended treatment for the patients included in the study was sequential high-intensity selective laser (585 and 1064 nm) coagulation.
Sequential selective laser coagulation technique is based on simultaneous sequential use of radiation with short interpulse delay. The effect of 585-nm laser radiation on oxyhemoglobin is 60% coagulation and 40% methemoglobin transformation. Methemoglobin is 3–5 times as effective in absorbing the energy of 1064-nm laser radiation, which allows reducing pulse energy density to make the procedure safer for the patient. Higher absorption and penetration depth improve the therapeutic effect.
The regimen included one to three sessions at 3-week intervals depending on the therapeutic effectiveness. The parameters were as follows: pulse energy density at 585 nm was 8 J/cm2; pulse duration 3 ms; pulse energy density at 1064 nm was 60 J/cm2; pulse duration 10 ms; interpulse delay 250 ms; laser beam diameter 7 mm; pulse overlap rate 10%; dynamic cooling level 4; number of passes 2.
Effectiveness criteria for the parameters selected were as follows: visible purpura, darkening or grey pigmentation at the laser treatment site including at least 5 mm of healthy tissue around the tumor.
Laser treatment sessions were followed by repeated CLSM examinations in vivo of the focal lesions to check circulation persistence in tumor vessels. Additional session was performed if such blood circulation was observed.
Characteristics of patients included in the study
The studied sample included 30 patients with histologically confirmed BCSC, who received laser treatment at the Consultative and Diagnostic Center from 2020 to 2022.
The study was approved by the Local Ethics Committee, certificate of approval no. 1 dated January 31, 2022.
The patients were under supervision for 12 to 24 months (mean 20.2 months on average). Age and sex stratification was as follows: 9 males (30%) aged 53 to 88 (mean 66) and 21 females (70%) aged 38 to 76 (mean 63.8). The largest subgroups in the superficial BCSC group were the patients aged 60–70 and over 71 (7 (46%) patients to comprise 92% of the studied cohort). The largest subgroup in the nodular BCSC group included the patients aged 50–60 (7 (46%) patients). Skin phototype stratification was as follows: phototype I was 10 (30%); phototype II was 14 (46%); phototype III was 6 (24%).
Based on clinical, dermoscopic, and pathomorphological descriptions of focal lesions, the following distribution by clinical BCSC types was obtained: 15 (50%) superficial lesions (the most common type) and 15 (50%) nodular lesions. Lesions varied from 5 to 20 mm in diameter (the average of 8 mm), with the ones under 10 mm observed in 12 (40%) cases being the most common and the ones over 15 mm or under 5 mm observed in 4 (15%) cases each were the rarest.
The most common locations of focal lesions were back and chest in 12 (40%) and 7 (23%) cases respectively, the other areas affected were facial skin in 1 (3%) case, abdominal area in 3 (10%) cases, upper limb in 3 (10%) cases, and lower limb in 4 (14%) cases (Table 1).
Table 1. Characteristics of lesions of examined patients (n = 30, abs.)
Таблица 1. Характеристика патологических очагов обследованных пациентов (n = 30, абс.)
Parameter | Value | ||
abs | % | ||
Location | Face | 1 | 3 |
Chest | 7 | 23 | |
Abdomen | 3 | 10 | |
Back | 12 | 40 | |
Upper limb | 3 | 10 | |
Lower limb | 4 | 14 | |
Size, mm | Under 5 | 4 | 15 |
Under 10 | 12 | 40 | |
Under 15 | 10 | 30 | |
>15 | 4 | 15 | |
Histological type | Nodular | 15 | 50 |
Superficial | 15 | 50 | |
Results
The total of 30 BCSC patients were included in the study. Age and sex stratification was as follows: 9 males (30%) aged 53 to 88 (mean 66) and 21 females (70%) aged 38 to 76 (mean 63.8).
Skin phototype stratification was as follows: phototype I was 10 (30%); phototype II was 14 (46%); phototype III was 6(24%).
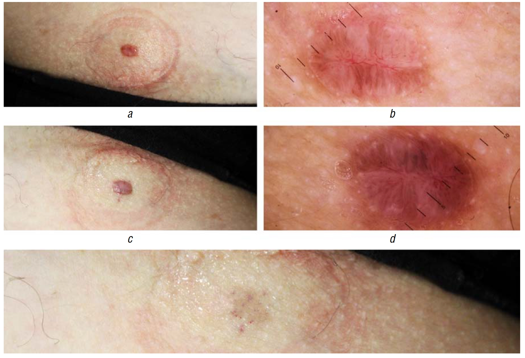
The stratification in the nodular BCSC group (n = 15) was as follows: 6 males (40%) with the average age of 65 and 9 females (60%) with the average age of 56. The regimen included one session in 11 patients, two in 3 patients, and three in 1 patient. All patients have completed their treatment and attend routine visits every 6 months during the 5-year follow-up. According to dermoscopy and confocal microscopy findings, no evidence of continued growth or relapse was found in the patients. No side-effects and adverse events were observed as well (Fig.1).
Fig. 1. Dynamics of the clinical and dermoscopic picture during the treatment of the nodular form of basal cell carcinoma during treatment: a, b – before treatment; c, d – immediately after the procedure; e – 1 month after treatment
Рис. 1. Динамика клинической и дерматоскопической картины при лечении нодулярной формы базальноклеточной карциномы в процессе лечения: a, b — до лечения; c, d — сразу после процедуры; e — через 1 месяц после лечения
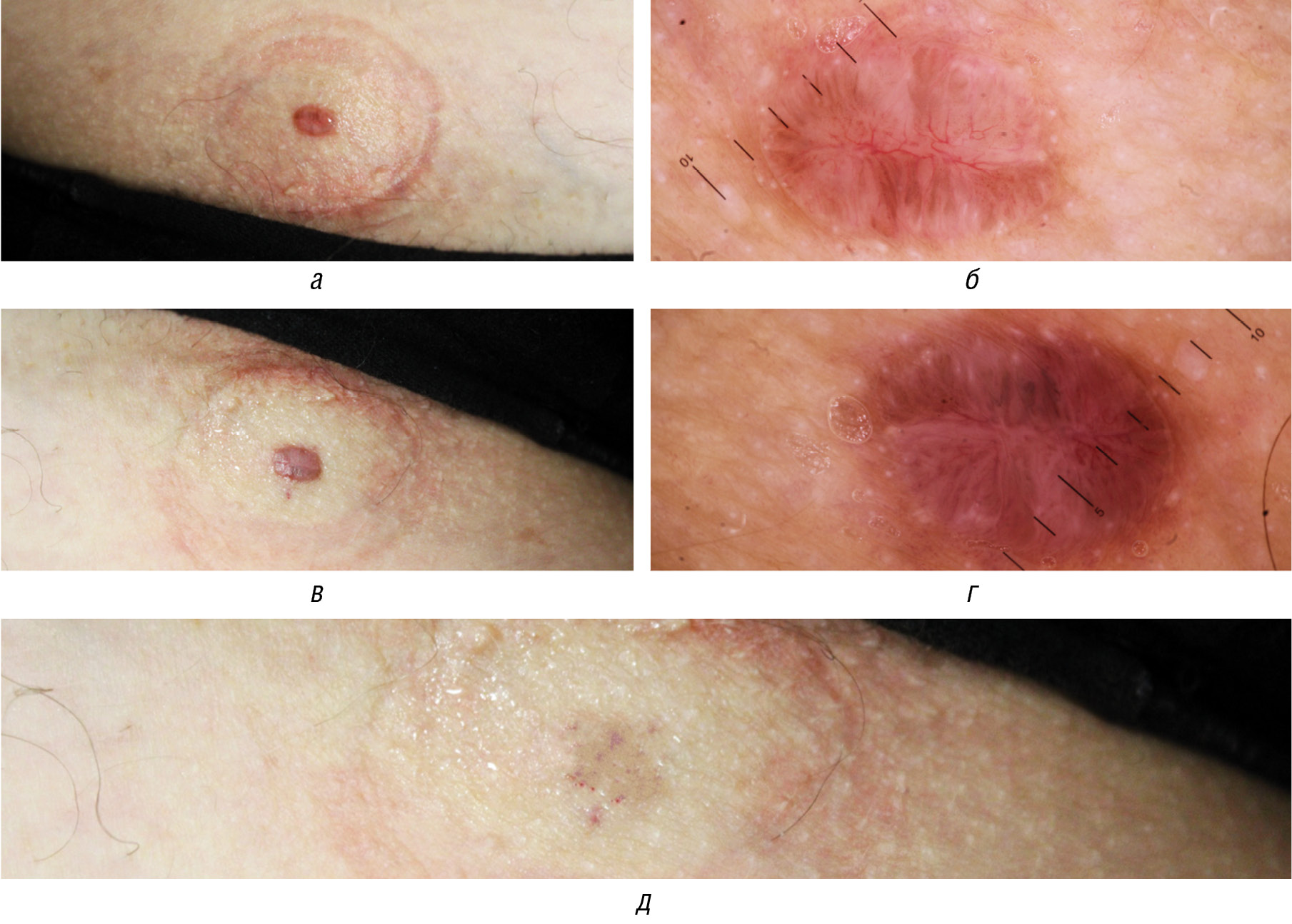
The stratification in the superficial BCSC group (n = 15) was as follows: 12 females (80%) their mean age 69.6 and 3 males (20%) their mean 67. The regimen included two sessions in 2 patients and one session in 13 patients. According to dermoscopy and confocal microscopy findings, no evidence of continued growth or relapse was found in the patients. No side-effects and adverse events were observed as well (Fig. 2).
Fig. 2. Confocal microscopy of the lesion before treatment (top row), 1 month after treatment (bottom photo)
Рис. 2. Конфокальная микроскопия очага поражения до лечения (верхний ряд), через 1 месяц после лечения (нижнее фото)
Laser treatment turned out to have only temporary side-effects. The immediate effect in the form of purpura was indicative of effectively selected laser radiation parameters and was observed in all sessions. Gradual reduction of the emerging erythema and purpura was observed, when the regimen included more than one session. The patients, who received the regimens of more than one session, developed temporary hyperpigmentation.
Discussion
The use of 585 and 1064-nm laser radiation shows promise as a BCSC therapy due to its ability to affect tumor arteries. To date, most papers on therapeutic options for BCSC based on selective laser coagulation have focused on 585-nm PDL.
According to various authors, PDL therapy resulted in complete regression of 71 to 92% BCSC focal lesions after four sessions at 2-week intervals. Treatment effectiveness depended on histological subtype of the tumor, with higher effectiveness observed in superficial BCSC cases and in those treated with stacked pulse setting [8–11]. 585-nm laser radiation is well absorbed by hemoglobin and oxyhemoglobin, but the penetration depth is limited to reticular dermis, which makes it possible to effectively use this approach to attack superficial BCSC focal lesions.
1064-nm laser radiation is characterized by higher penetration depth (up to 8 mm), which makes it possible to use it in nodular BCSC focal lesions. The relapse rate in post-treatment BCSC patients during the 5-year follow-up was 3.1% for primary basaliomas and 4.1% for recurrent basaliomas [13], and the respective values in Markowitz (2021) were 2% and 11.8% during the 12-month follow-up [14].
The use of combined sequential (585 and 1064 nm) laser radiation as a BCSC therapy was described by Jalian et al. (2013). The total of 10 patients with 13 BCSC focal lesions received up to 4 laser treatment sessions at 2–4- week intervals. Almost half of all focal lesions showed full response to 4 sessions (n = 7/12; 58%). Given the size, 75% of all tumors under 1 cm in diameter (n = 6/8) were fully responsive [15].
The present study showed the effectiveness of 100% primarily due to post-treatment confocal microscopy examinations in vivo making it possible to monitor the effectiveness of tumor vessel destruction and perform additional laser therapy sessions, if persistent capillary circulation is observed in the focal lesion. The present paper only cites the preliminary results of the study, because only 24 months of the follow-up period have passed.
Conclusions
The combined sequential laser radiation is an effective treatment option for patients with clinical types of basal cell skin cancer characterized by low risk of recurrence. The results obtained show that the described alternative option can be used for clinical tumor removal without scarring, when the use of conventional surgical techniques is complicated.
Research limitations
Since the effectiveness of laser therapy was only studied in superficial and nodular BCSC subtypes, the effectiveness of the technique cannot be extrapolated to the aggressive (infiltrative and morpheaform) subtypes based on the results obtained.
In addition, BCSC focal lesions were restricted to small tumors only, which limits our potential for generalization, while the effectiveness of laser treatment in a wider diversity of tumors appears to be of great interest.
Finally, the follow-up period of at least 5 years is defined by the design of the study, and final conclusions on recurrence probability can only be made when it passes.
About the authors
Rifat R. Saytburkhanov
State Research Center of Dermatovenereology and Cosmetology
Author for correspondence.
Email: rifat03@yandex.ru
ORCID iD: 0000-0001-6132-5632
SPIN-code: 1149-2097
dermatovenereologist
Россия, 3 bldg 6 Korolenko street, 107076 MoscowXenia I. Plakhova
State Research Center of Dermatovenereology and Cosmetology
Email: plahova@cnikvi.ru
ORCID iD: 0000-0003-4169-4128
SPIN-code: 7634-5521
MD, Dr. Sci. (Med.)
Россия, 3 bldg 6 Korolenko street, 107076 MoscowIrina N. Kondrakhina
State Research Center of Dermatovenereology and Cosmetology
Email: kondrakhina77@gmail.com
ORCID iD: 0000-0003-3662-9954
SPIN-code: 8721-9424
MD, Dr. Sci. (Med.)
Россия, 3 bldg 6 Korolenko street, 107076 MoscowАlexey A. Kubanov
State Research Center of Dermatovenereology and Cosmetology
Email: alex@cnikvi.ru
ORCID iD: 0000-0002-7625-0503
SPIN-code: 8771-4990
MD, Dr. Sci. (Med.), Professor, Academician of the Russian Academy of Sciences
Россия, 3 bldg 6 Korolenko street, 107076 MoscowReferences
- Flohil SC, Seubring I, van Rossum MM, Coebergh JW, de Vries E, Nijsten T. Trends in Basal cell carcinoma incidence rates: a 37-year Dutch observational study. J Invest Dermatol. 2013;133(4);913–918. doi: 10.1038/jid.2012.431
- Кубанов А.А., Кондрахина И.Н., Плахова К.И., Сайтбурханов Р.Р. Современное представление о патогенезе базальноклеточного рака кожи. Вестник дерматологии и венерологии. 2021;97(5):38–51. [Kubanov AA, Kondrakhina IN, Plakhova KI, Saitburkhanov RR. Modern understanding of the pathogenesis of basal cell skin cancer. Vestnik Dermatologii i Venerologii. 2021;97(5):38–51. (In Russ.)]. doi: 10.25208/vdv1277
- Arits AH, Schlangen MH, Nelemans PJ, Kelleners-Smeets NW. Trends in the incidence of basal cell carcinoma by histopathological subtype. J Eur Acad Dermatol Venereol. 2011;25(5):565–569. doi: 10.1111/j.1468-3083.2010.03839.x
- Кубанов А.А., Сайтбурханов Р.Р., Плахова К.И., Кондрахина И.Н. Возможности нехирургических методов лечения базальноклеточного рака кожи. Вестник дерматологии и венерологии. 2021;97(6):20–32. [Kubanov AA, Saytburkhanov RR, Plakhova XI, Kondrakhina IN. Non-surgical treatments for basal cell skin cancer. Vestnik dermatologii i venerologii. 2021;97(6):20–32. (In Russ.)] doi: 10.25208/vdv1294
- Bungărdean RM, Stoia MA, Pop B, Crişan M. Morphological aspects of basal cell carcinoma vascularization. Rom J Morphol Embryol. 2023;64(1):15–23. doi: 10.47162/RJME.64.1.02
- González S, Tannous Z. Real-time, in vivo confocal reflectance microscopy of basal cell carcinoma. J Am Acad Dermatol. 2002;47(6):869–874. doi: 10.1067/mjd.2002.124690
- Anderson RR, Parrish JA. Selective photothermolysis: precise microsurgery by selective absorption of pulsed radiation. Science. 1983;220(4596):524–527. doi: 10.1126/science.6836297
- Shah SM, Konnikov N, Duncan LM, Tannous ZS. The effect of 595 nm pulsed dye laser on superficial and nodular basal cell carcinomas. Lasers Surg Med. 2009;41(6):417–422. doi: 10.1002/lsm.20787
- Konnikov N, Avram M, Jarell A, Tannous Z. Pulsed dye laser as a novel non-surgical treatment for basal cell carcinomas: response and follow up 12–21 months after treatment. Lasers Surg Med. 2011;43(2):72–78. doi: 10.1002/lsm.21035
- Tran HT, Lee RA, Oganesyan G, Jiang SB. Single treatment of non-melanoma skin cancers using a pulsed-dye laser with stacked pulses. Lasers Surg Med. 2012;44(6):459–467. doi: 10.1002/lsm.22032
- Сайтбурханов Р.Р., Кондрахина И.Н., Плахова К.И., Кубанов А.А. Использование лазерного излучения с длиной волны 585 и 1064 нм для лечения базальноклеточного рака кожи. Вестник дерматологии и венерологии. 2022;98(6):89–100. [Saytburkhanov RR, Kondrakhina IN, Plakhova XI, Kubanov AA. The use of 585 and 1064 nm laser for the treatment of basal cell skin cancer. Vestnik Dermatologii i Venerologii. 2022;98(6):89–100. (In Russ.)] doi: 10.25208/vdv1390
- El-Tonsy MH, El-Domyati MM, El-Sawy AE, El-Din WH, Anbar Tel-D, Raouf HA. Continuous-wave Nd:Yag laser hyperthermia: a successful modality in treatment of basal cell carcinoma. Dermatol Online J. 2004;10(2):3.
- Moskalik K, Kozlow A, Demin E, Boiko E. Powerful neodymium laser radiation for the treatment of facial carcinoma: 5 year follow-up data. Eur J Dermatol. 2010;20(6):738–742. doi: 10.1684/ejd.2010.1055
- Markowitz O, Bressler MY. Combining Nd:YAG laser with optical coherence tomography for nonsurgical treatment of basal cell carcinoma. Lasers Surg Med. 2022;54(1):105–112. doi: 10.1002/lsm.23455
- Jalian HR, Avram MM, Stankiewicz KJ, Shofner JD, Tannous Z. Combined 585 nm pulsed-dye and 1,064 nm Nd:YAG lasers for the treatment of basal cell carcinoma. Lasers Surg Med. 2013;46(1):1–7. doi: 10.1002/lsm.22201
Supplementary files







