Possibilities of elastography for assessing the stiffness of post-traumatic scars in the process of complex treatment
- Authors: Iurchenko K.S.1, Shanina N.A.1,2, Patrushev A.V.2,3, Kovlen D.V.2,4, Samtsov A.V.2
-
Affiliations:
- Military Hospital No. 442
- Kirov Military Medical Academy
- Almazov National Medical Research Center
- Albrecht Federal Scientific and Educational Center for Medical and Social Expertise and Rehabilitation
- Issue: Vol 101, No 2 (2025)
- Pages: 66-74
- Section: ORIGINAL STUDIES
- Submitted: 19.11.2024
- Accepted: 03.04.2025
- Published: 10.06.2025
- URL: https://vestnikdv.ru/jour/article/view/16853
- DOI: https://doi.org/10.25208/vdv16853
- ID: 16853
Cite item
Full Text
Abstract
Background. Elastography is a modern variant of ultrasound imaging, which allows to study the mechanical properties of tissue. Given the urgency of the problem of treatment of posttraumatic scars, the study of their objective characteristics is of scientific and practical interest.
Aims. To investigate the use of shear wave elastography as a tool for quantitative assessment and visualization of stiffness of posttraumatic scars in the process of complex treatment.
Methods. A prospective open clinical study was conducted between December 2023 and May 2024. The state of posttraumatic scars was studied using ultrasound in shear wave elastography mode in the process of complex treatment with laser technology and carboxytherapy. Clinically unchanged contralateral skin areas served as a control. Clinical indices of scar lesions severity and dermatologic quality of life index were calculated in parallel with elastography indices.
Results. 45 people diagnosed with post-traumatic scars were included in the study. In comparison with normal skin, significant differences in tissue stiffness were obtained according to shear wave elastography, which persisted throughout the study. An increasing decrease in the stiffness of scar tissues in the process of complex treatment was registered, and significant differences in comparison with the initial level were obtained already after 1 month (p < 0,001). Elastography values correlate with the clinical index of POSAS scar assessment performed by the doctor (before treatment rs = 0.36; p = 0.016; after treatment rs = 0.35; p = 0.017), partially (only after treatment) with the Stony Brook scale (rs = –0.36; p = 0.015). No correlations were obtained with the Vancouver scale and POSAS in patient performance.
Conclusion. Ultrasound in the mode of shear wave elastography is reasonable to use for objective assessment of scar condition in the course of treatment.
Full Text
Обоснование
Эластография (эластографическая ультрасонография) — современный вариант ультразвуковой визуализации, который позволяет исследовать механические свойства ткани с заключением в виде эластограммы (изображения с цветовой кодировкой) и расчетом количественного показателя жесткости в килопаскалях [1]. Эластография предоставляет информацию о напряжении или жесткости ткани, которая не зависит от акустического сопротивления и перфузии крови. Таким образом, результаты эластографического исследования дополняют данные, полученные при обычном ультразвуковом исследовании в В-режиме и допплерографии [2].
Важно понимать, что показатель жесткости не является постоянным, он зависит от действия множества факторов. На жесткость кожи влияют тургор, состояние внеклеточного матрикса, локализация, возраст, пол, тип кожи по Фитцпатрику, а также индекс массы тела, сопутствующие патологии со стороны эндокринной системы, наличие семейного анамнеза (келоидные рубцы) и терапия, которую получает пациент на момент исследования [3–5].
Рубцы вызывают физический и эмоциональный дискомфорт, а также контрактуры и деформации, что существо влияет на качество жизни пациента [6, 7]. При этом субъективные показатели (шкалы) не могут заменить количественную оценку, необходимую для мониторинга изменений качества рубцов с течением времени. Поэтому эластография является уникальным неинвазивным объективным методом, позволяющим определять тяжесть рубцовых поражений.
Цель исследования — изучить использование эластографии сдвиговой волны в качестве инструмента для количественной оценки и визуализации жесткости посттравматических рубцов в процессе комплексного лечения.
Методы
Дизайн исследования
Работа выполнена в формате проспективного открытого исследования с декабря 2023 по май 2024 г. Основная клиническая база — кафедра кожных и венерических болезней Военно-медицинской академии Министерства обороны РФ. Включались пациенты, поступившие в клинику для проведения реабилитации по поводу наличия посттравматических рубцов.
Коррекция рубцовых поражений проводилась по разработанной авторами методике, которая заключалась в последовательном применении двух вариантов высокоэнергетического лазерного излучения (1-й этап — Nd:YAG лазер с длиной волны 1064 нм полным лучом в 5 проходов, 5 процедур с интервалом в 14 дней; 2-й этап — Nd:YAG Q-Switched лазер с длиной волны 1064 нм фракционным лучом в 1–2 прохода, 3 процедуры с интервалом 14 дней) и курса инъекционной карбокситерапии в течение 2,5 месяца параллельно с началом лазерной терапии (патент РФ № 2800323). Методика проведения карбокситерапии: 99,9% углекислый газ вводился по периферии очага поражения в случае раннего рубца и непосредственно в центр поражения при зрелом рубце в объеме 5–30 мл. Эластография выполнялась с интервалами 25–30 дней после проведения процедуры карбокситерапии.
Состояние рубцов исследовалось с помощью УЗИ в режиме эластографии сдвиговой волны. Контролем служили клинически не измененные контралатеральные участки кожи.
Параллельно с показателями эластографии проводился расчет клинических индексов тяжести рубцовых поражений (Stony Brook, Ванкуверская шкала, POSAS) и дерматологического индекса качества жизни (DLQI). Оценка выполнялась в следующих контрольных точках: до начала лечения (0-я неделя), через 1, 2 и 3 месяца.
Критерии соответствия
Критерии включения: наличие посттравматических рубцов кожи; отсутствие противопоказаний к использованию методик высокоинтенсивного лазерного воздействия; подписанное информированное согласие.
Критерии невключения: острые и хронические (в стадии обострения и декомпенсации) заболевания; онкологические заболевания; беременность или грудное вскармливание.
Критерии исключения: отзыв информированного согласия; несоблюдение пациентом графика визитов; развитие серьезных нежелательных явлений или медицинских состояний/заболеваний, при которых, по мнению исследователя, продолжение изучаемого лечения невозможно, или опасно для пациента, или не отвечает интересам максимального благополучия и безопасности пациента.
Исходы исследования
Основной исход исследования: изменение жесткости кожи при УЗИ в режиме эластографии сдвиговой волны в процессе лечения.
Дополнительные исходы исследования: установление корреляций между клиническими индексами тяжести рубцов, дерматологическим индексом качества жизни и показателем жесткости ткани, рассчитанным в ходе проведения эластографии.
Методы регистрации исходов
На каждого пациента оформлялась индивидуальная регистрационная карта. Проводился физикальный осмотр с оценкой локального статуса, учитывался анамнез болезни и следующие признаки: возраст, пол, фенотип кожи, давность патологии (до или больше 6 месяцев), тип рубца (атрофический, нормотрофический, гипертрофический, келоидный или комбинированный), причина возникновения рубца (после ожога, после травмы и операции, эстетические операции, пост-эруптивные), наличие у пациента или родственников келоидных рубцов, индекс массы тела, применение системных кортикостероидов, антикоагулянтной терапии. Выполнялась фотофиксация интересующих рубцов. В ходе работы различные типы рубцов были объединены в одну группу в связи с тем, что посттравматические рубцы зачастую являются комбинированными.
Перед проведением объективной оценки пациент заполнял два вопросника (DLQI; POSAS) и производилась оценка по шкалам Stony Brook, POSAS и Ванкуверской шкале. После этого пациент располагался на кушетке в удобном положение, принимая наиболее физиологичную позу в зависимости от локализации рубца, и проводилась оценка УЗИ в режиме эластографии рубца и здорового участка. Так как минимальные различия жесткости тканей были продемонстрированы между двумя сторонами тела у здоровых пациентов, то контралатеральный участок (рис. 1, 2) будет являться контрольной точкой состояния жесткости кожи.
Рис. 1. Посттравматические рубцы левой голени; контралатеральный участок правой голени без повреждений
Fig. 1. Post-traumatic scars of left lower leg; contralateral area of the right lower leg without damage
Рис. 2. Рубец после минно-взрывной травмы: а — левая часть лица; б — контралатеральный участок, без повреждений
Fig. 2. Scar after a mine blast injury: a — left side of the face; б — Right side of the face, contralateral area without damage
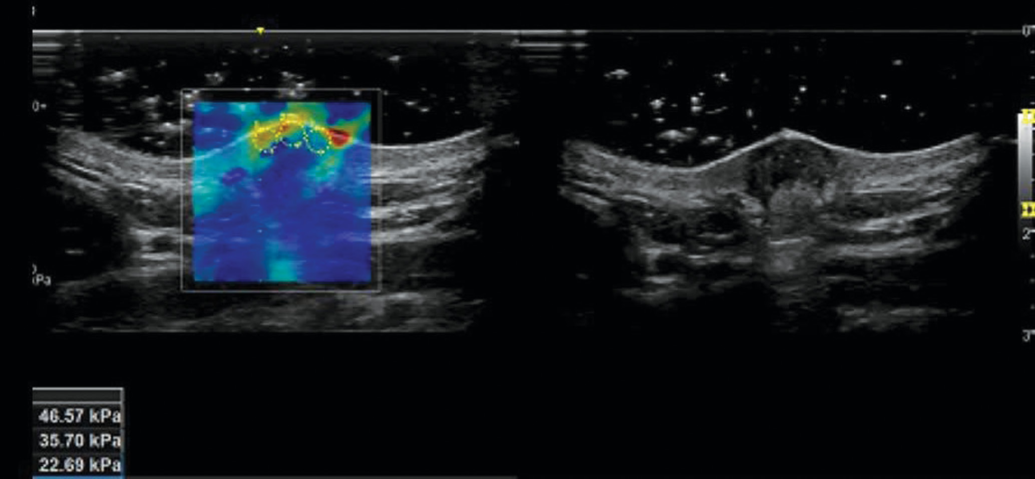
Эластографию сдвиговой волны проводили на ультразвуковом аппарате Logic 9 с линейным датчиком L3–L12 в режиме эластографии. Полученная эластограмма представляет собой цветовую кодировку, которая накладывается на изображение в В-режиме. Красный цвет представляет собой более жесткие области, а синие — более мягкие. Цветовой шкале соответствует количественный показатель, измеряемый в килопаскалях. Выполнялось 4–5 снимков в зависимости от наличия артефактов на эластограмме. Далее оператор выбирал снимок и производил три замера жесткости по ходу рубца с вычислением среднеарифметического итогового показателя (рис. 3). Аналогично проводилась оценка на участке здоровой ткани. В ходе работы была разработана гелевая подушка, которая минимизировала давление на ткани, создавая акустическое окно между исследуемым участком и датчиком (рационализаторское предложение № 15461/8 от 19 октября 2023 г., принято к использованию Военно-медицинской академией) (рис. 4).
Рис. 3. Эластография гипетрофического рубца кожи голени у женщины 19 лет: слева —эластограмма; справа — этот же рубец в В-режиме
Fig. 3. Elastography of a hypetrophic scar of the skin of the tibia in a 19-year-old woman: on the left — the elastogram; on the right — the same scar in B-mode
Рис. 4. Линейный датчик, расположенный на гель-подушке, заполненной гелем с целью эластографии
Fig. 4. A linear transducer placed on a gel pad filled with gel for the purpose of elastography
Стоуни-Брукская шкала оценки рубцов (Stony Brook Scar Evalution Scale) представляет собой шкалу, в которой учитывается шесть показателей: ширина, высота, цвет, следы от швов, общий вид и общий балл. К каждому показателю предложена краткая характеристика с двоичным ответом (1 или 0). Максимальный общий балл — 5, минимальный — 0. Шкала Стоуни–Брук относительно недавно введена в долгосрочные исследования, так как изначально была разработана в 2007 г. A.J. Singer и соавт. с целью оценки краткосрочных результатов [8].
Шкала для оценки рубцов POSAS выполняется в двух вариантах: Patient Scar Assessment Scale (patient scale — шкала пациента) и Observer Scar Assessment Scale (observer scale — шкала исследователя). Шкала пациента оценивает цвет, эластичность, толщину, рельеф, зуд и боль, шкала исследователя — васкуляризацию, пигментацию, эластичность, толщину и рельеф [9].
Ванкуверская шкала оценки рубцов (Vancouver Scar Scale, VSS), впервые предложенная Т. Sullivan и соавт. в 1990 г., оценивает четыре клинические характеристики — васкуляризацию, пигментацию, податливость и высоту [10].
Дерматологический индекс качества жизни (Dermatology Life Quality Index, DLQI) состоит из 10 пунк-тов и включает оценочные показатели от 0 до 3 баллов с максимальной суммой 30 баллов (качество жизни пациента обратно пропорционально сумме баллов) [11]. DLQI определяли на 0-й неделе и в конце исследования (через 3 месяца).
Этическая экспертиза
Проведение исследования одобрено независимым этическим комитетом Военно-медицинской академии имени С.М. Кирова (протокол № 286 от 19 декабря 2023 г.).
Статистический анализ
Предварительный расчет объемов выборок не проводился. Статистическую обработку результатов исследования осуществляли с использованием лицензионного пакета программ Statistica v. 10.0 (StatSoft, USA). Количественные данные представлялись в формате медианы (Me) и интерквартильного размаха (Q1; Q3). Сравнение двух независимых выборок выполняли при помощи непараметрического критерия Манна–Уитни (U-тест), двух зависимых выборок — с применением непараметрического критерия Вилкоксона. Различия принимались как статистически значимые при p < 0,05. Корреляционный анализ проводили с использованием непараметрического коэффициента корреляции Спирмена (rs). Вывод о наличии слабой связи между признаками делался при значении |rs| ≤ 0,3; умеренной — при 0,3 < |rs| < 0,7; сильной связи — при |rs| ≥ 0,7.
Результаты
Объекты (участники) исследования
В исследование включено 45 человек (34 мужчины и 11 женщин) в возрасте от 19 до 54 лет (31,0 (26; 37)), 2-го и 3-го фототипов. У 16 (35,6%) человек давность рубцов составила менее 6 месяцев, у 29 (64,4%) — более 6 месяцев. По морфологическим характеристикам рубцы распределились следующим образом: нормотрофический — 22,2% (10 человек); атрофический — 11,1% (5); гипертрофический — 11,1% (5); келоидный — 8,9% (4); комбинированный — 46,7% (21 человек). Причинами образования рубцов были: ожоги — 6 человек (13,3%); минно-взрывные и огнестрельные ранения — 36 (80,0%); последствия операций — 3 человека (6,7%). Локализация рубцов: лицо — 73% (33 пациента); туловище — 13% (6); верхние конечности — 8% (4); нижние конечности — 6% (2 пациента).
Основные результаты исследования
На рис. 5 показано изменение жесткости рубцов по ходу комплексного лечения в сравнении со здоровой кожей. Отмечается планомерное уменьшение жесткости рубцов (через месяц — на 8,0%, через 2 месяца — на 15,8%, через 3 месяца — на 32,4%), что свидетельствует об эффективности терапии. При этом на контрольных участках (здоровая кожа) показатель сохранялся на прежнем уровне. Данный факт подтверждает надежность (воспроизводимость) методики эластографии.
Рис. 5. Динамика жесткости рубцов и здоровой кожи (контроль) в процессе комплексного лечения
Fig. 5. Dynamics of stiffness of scars and healthy skin (control) in the process of complex treatment
Статистический анализ в несвязанных выборках («посттравматический рубец» и «здоровая кожа») показал наличие значимых различий во всех контрольных точках исследования. Таким образом, несмотря на положительную динамику, даже через 3 месяца не удалось добиться жесткости в области рубцов, сопоставимой с нормальной кожей (Meрубец = 22,7 против Meконтроль = 12,7 при p < 0,001) (табл. 1).
Таблица 1. Изменение жесткости кожи в области рубцов и на контрольном (здоровом) участке в процессе лечения, кПа (Me (Q1; Q3))
Table 1. Change in skin stiffness in the area of scars and in the control (healthy) area during treatment, kPa (Me (Q1; Q3))
Изменение жесткости в процессе лечения | 0-я неделя | 1-й месяц | 2-й месяц | 3-й месяц |
Рубец | 33,6 (20,9; 49,8) | 30,9 (18,2; 46,5) | 28,3 (13,6; 42,2) | 22,7 (13,5; 35,6) |
Контроль | 12,4 (11,5; 15,2) | 12,4 (11,6; 15,2) | 12,4 (11,4; 15,3) | 12,4 (11,4; 15,5) |
p | < 1 × 10–6 | < 1 × 10–6 | < 1 × 10–6 | 3,0 × 10–6 |
Статистический анализ в связанных выборках «посттравматический рубец на этапах лечения» показал наличие значимых различий в равнении с исходным показателем уже после первого месяца терапии (Me0нед = 33,6 против Me1мес = 30,9 при p < 0,001). Однако значимых различий в связанных выборках «здоровая кожа в контрольных точках исследования» получено не было (p > 0,05).
Дополнительные результаты исследования
Анализ динамики показателей по субъективным шкалам показал следующие результаты. Наиболее чувствительными клиническими индексами по оценке тяжести рубцов, зафиксировавшими изменения уже через 1 месяц лечения, оказались Ванкуверская шкала и POSAS в исполнении как врача, так и пациента. Шкала Stony Brook показала наличие значимых изменений только через 3 месяца лечения. Также необходимо отметить значимое улучшение качества жизни в процессе лечения пациентов (Me0нед = 8,0; Me3мес = 3,0 при p < 0,001) (табл. 2).
Таблица 2. Динамика клинических шкал тяжести рубцов и качества жизни в процессе комплексного лечения, баллы (Me (Q1; Q3))
Table 2. Dynamics of clinical scales of scar severity and quality of life in the course of complextreatment, scores (Me (Q1; Q3))
Клинические шкалы тяжести рубцов | 0-я неделя | 1-й месяц | 2-й месяц | 3-й месяц |
Stony Brook | 3,0 (2,0; 3,0) | 3,0 (2,0; 3,0) | 3,0 (2,0; 3,0) | 4,0 (3,0; 4,0) |
p | 0,89 | 0,47 | 3,5×10–4 | |
Ванкуверская шкала | 4,0 (4,0; 6,0) | 4,0 (3,0; 6,0) | 3,0 (2,0; 4,0) | 2,0 (1,0; 4,0) |
p | 0,006 | < 1 × 10–6 | < 1 × 10–6 | |
POSAS (врач) | 20,0 (16,0; 26,0) | 20,0 (12,0; 24,0) | 14,0 (10,0; 23,0) | 12,0 (8,0; 17,0) |
p | 4,0 × 10–6 | < 1 × 10–6 | < 1 × 10–6 | |
POSAS (пациент) | 36,0 (25,0; 52,0) | 34,0 (24,0; 47,0) | 30,0 (24,0; 40,0) | 27,0 (18,0; 34,0) |
p | < 1 × 10–6 | < 1 × 10–6 | < 1 × 10–6 | |
DLQI | 8,0 (5,0; 12,0) | — | — | 3,0 (3,0; 7,0) |
p | < 1 × 10–6 |
Важная задача — оценка соответствия данных клинических индексов (субъективные показатели) такому объективному показателю, как жесткость рубцов по данным эластографии. Корреляционный анализ показал наличие прямой умеренной взаимосвязи между жесткостью рубца и шкалой POSAS в исполнении врача до и после лечения. Также было выявлено наличие обратной умеренной взаимосвязи между жесткостью рубца и шкалой Stony Brook, но только после лечения. Взаимосвязей с Ванкуверской шкалой и шкалой POSAS в исполнении пациента выявлено не было (p > 0,05). Индекс качества жизни показал наличие прямой умеренной взаимосвязи между признаками до и после лечения (табл. 3).
Таблица 3. Результаты корреляционного анализа между показателем жесткости рубцов по данным эластографии и клиническими индексами тяжести рубцов, а также качеством жизни до начала лечения и через 3 месяца (rs — коэффициент корреляции Спирмена, значение р)
Table 3. Results of correlation analysis between scar stiffness according to elastography and clinical indices of scar severity, as well as quality of life before treatment and after 3 months (rs — Spearman correlation coefficient, p-value)
Жесткость рубцов по данным эластографии | Stony Brook | Ванкуверская шкала | POSAS (врач) | POSAS (пациент) | DLQI |
| 0-я неделя | |||||
Жесткость рубцов по данным эластографии | –9,0 × 10–4 p = 0,998 | 0,009 p = 0,953 | 0,357 p = 0,016 | 0,253 p = 0,093 | 0,602 p = 1,2×10–5 |
3-й месяц | |||||
Жесткость рубцов по данным эластографии | –0,361 p = 0,015 | 0,183 p = 0,229 | 0,354 p = 0,017 | 0,170 p = 0,265 | 0,314 p = 0,035 |
Примечание. Жирным шрифтом выделены варианты с наличием умеренной, статистически значимой связи между признаками.
Note. Variants with a moderate, statistically significant relationship between traits are highlighted in bold font.
Нежелательные явления
Нежелательных явлений в ходе проведения исследования зарегистрировано не было.
Обсуждение
Эластография кожи — относительно новая технология, внедренная в клиническую практику в начале XXI в. [2]. В настоящее время в дерматологии данный метод исследования находится на этапе разработки и изучения. Предыдущие работы касались в основном опухолей кожи [12–18], склеродермии [19–23] и псориаза [24]. Большинство этих исследований подтвердило, что эластография является точным методом выявления и количественной оценки пролиферативных и фиброзных процессов, происходящих в коже. При этом отсутствуют публикации по оценке посттравматических рубцов с помощью эластографической ультрасонографии, а также нет опубликованных эталонных значений напряжения здоровой кожи.
Имеющиеся объективные методы оценки рубцов немногочисленны и ориентированы на измерение конкретного физического свойства: плотности (дюрометрия), эластичности (кутометрия), цвета (хромаметрия), перфузии (допплеровская флуометрия). Существенным недостатком указанных технологий является отсутствие сертифицированных приборов в штатном оснащении медицинских учреждений. В то же время аппараты УЗИ широко распространены в клинической практике и при наличии соответствующего датчика и программного обеспечения могут использоваться в варианте эластографии.
В нашем исследовании применение эластографии продемонстрировало в целом существенно большую жесткость рубцов на всех участках по сравнению со здоровой кожей. Также мы констатировали разницу в жесткости рубцовых тканей уже через 1 месяц лечения, что свидетельствует как об эффективности терапии, так и о высокой чувствительности метода эластографии сдвиговой волны. Важным результатом следует считать наличие взаимосвязи между показателем жесткости и качеством жизни пациента (чем выше жесткость рубца, тем хуже качество жизни). Данный факт показывает клиническую значимость методики эластографии.
Наиболее важным ограничением применения эластографической ультрасонографии при поражениях кожи является минимальное расстояние между датчиком и оцениваемой тканью, что может привести к искажениям в измерениях. В ходе нашего исследования была разработана акустическая гель-подушка, применение которой нивелирует данную ситуацию и улучшает визуализацию кожи.
В практической и научной деятельности широкое распространение получили субъективные методы оценки рубцов на основании заключения врача или пациента. Выбрать подходящую шкалу довольно сложно из-за схожести определяемых параметров, показателей надежности и согласованности. По нашим данным, только шкала POSAS в исполнении врача коррелирована с данными эластографии на протяжении всего исследования.
Ограничения исследования
Включение пациентов с одной нозологической формой, что не позволяет сделать окончательный вывод о необходимости внедрения эластографии в клиническую дерматологическую практику. Также целесообразно проведение отдельного исследования по определению жесткости нормальной кожи в различных локализациях и возрастных группах.
Заключение
Ультразвуковая эластография может рассматриваться как альтернативный метод количественной оценки тяжести поражения кожи у пациентов с посттравматическими рубцами.
Конфликт интересов: авторы данной статьи подтвердили отсутствие конфликта интересов, о котором необходимо сообщить.
Conflict of interest: the authors of these articles have demonstrated that they have no conflicting interests to disclose.
About the authors
Kristina S. Iurchenko
Military Hospital No. 442
Email: kristina23237@gmail.com
ORCID iD: 0009-0006-9909-356X
SPIN-code: 1724-6729
MD
Россия, Saint PetersburgNatalia A. Shanina
Military Hospital No. 442; Kirov Military Medical Academy
Author for correspondence.
Email: shanina_n@mail.ru
ORCID iD: 0000-0002-0254-7048
SPIN-code: 2938-8820
MD, Cand. Sci. (Med.)
Россия, Saint Petersburg; Saint PetersburgAlexander V. Patrushev
Kirov Military Medical Academy; Almazov National Medical Research Center
Email: alexpat2@yandex.ru
ORCID iD: 0000-0002-6989-9363
SPIN-code: 1367-5580
MD, Dr. Sci. (Med.)
Россия, Saint Petersburg; Saint PetersburgDenis V. Kovlen
Kirov Military Medical Academy; Albrecht Federal Scientific and Educational Center for Medical and Social Expertise and Rehabilitation
Email: denis.kovlen@mail.ru
ORCID iD: 0000-0001-6773-9713
SPIN-code: 6002-2766
MD, Dr. Sci. (Med.), Associate Professor
Россия, Saint Petersburg; Saint PetersburgAlexey V. Samtsov
Kirov Military Medical Academy
Email: avsamtsov@mail.ru
ORCID iD: 0000-0002-9458-0872
SPIN-code: 2287-5062
MD, Dr. Sci. (Med.), Professor
Россия, Saint PetersburgReferences
- Wells PN, Liang HD. Medical ultrasound: imaging of soft tissue strain and elasticity. J R Soc Interface. 2011;8(64):1521–1549. doi: 10.1098/rsif.2011.0054
- Ambroziak M, Pietruski P, Noszczyk B, Paluch L. Ultrasonographic elastography in theevaluation of normal and pathological skin — a review. Postepy Dermatol Alergol. 2019;36(6):667–672. doi: 10.5114/ada.2018.77069
- Nedelec B, Forget NJ, Hurtubise T, Cimino S, de Muszka F, Legault A, et al. Skin characteristics: normative data for elasticity, erythema, melanin, and thickness at 16 different anatomical locations. Skin Res Technol. 2016;22(3):263–275. doi: 10.1111/srt.12256
- Pawlaczyk M, Lelonkiewicz M, Wieczorowski M. Age-dependent biomechanical properties of the skin. Postеpy Dermatol Alergol. 2013;30(5):302–306. doi: 10.5114/pdia.2013.38359
- Pham H, Reece B, Hines M. Loss of skin elasticity is more dependent on Fitzpatrick skin type than chronologic age. Journal of the American Academy of Dermatology. 2015;72(5):AB25. doi: 10.1016/j.jaad.2015.02.110
- Fayzullin A, Ignatieva N, Zakharkina O, Tokarev M, Mudryak D, Khristidis Ya, et al. Modeling of Old Scars: Histopathological, Biochemical and Thermal Analysis of the Scar Tissue Maturation. Biology (Basel). 2021;10(2):136. doi: 10.3390/biology10020136
- Fernandes MG, Silva LP, Marques AP. Advances in Biomechanics and Tissue Regeneration. Academic Press; 2019. Ch. 17: Skin Mechanobiology and Biomechanics: From Homeostasis to Wound Healing. doi: 10.1016/B978-0-12-816390-0.00017-0
- Singer AJ, Arora B, Dagum A, Valentine S, Hollander JE. Development and validation of a novel scar evaluation scale. Plast Reconstr Surg. 2007;120(7):1892–1897. doi: 10.1097/01.prs.0000287275.15511.10
- Draaijers LJ, Tempelman FR, Botman YA, Tuinebreijer WE, Middelkoop E, Kreis RW, et al. The Patient and Observer Scar Assessment Scale: a reliable and feasible tool for scar evaluation. Plast Reconstr Surg. 2004;113(7):1960–1965. doi: 10.1097/01.prs.0000122207.28773.56
- Sullivan T, Smith J, Kermode J, McIver E, Courtemanche DJ. Rating the burn scar. J Burn Care Rehabil. 1990;11(3):256–260. doi: 10.1097/00004630-199005000-00014
- Chernyshov PV. The Evolution of Quality of Life Assessment and Use in Dermatology. Dermatology. 2019;235(3):167–174. doi: 10.1159/000496923
- Курлович М.В. Ультразвуковое исследование высокого разрешения в диагностике доброкачественных образований кожи и подкожной клетчатки. Медицинская визуализация. 2014;6:75–82. [Kurlovich MV. High Resolution Ultrasonography in Benign Lesions of Skin and Subcutaneous Tissue. Medical Visualization. 2014;6:75–82. (In Russ.)]
- Nakajima M, Kiyohara Y, Shimizu M, Kobayashi M. Clinical application of real-time tissue elastography on skin lesions. MEDIX Suppl. 2007;36–39. URL: https://medix.fujifilm.com/jp/index.html
- Максимова Н.А., Пржедецкий Ю.В., Хохлова О.В., Позднякова В.В., Ильченко М.Г., Максимова М.И. Ультразвуковое исследование при планировании операций по поводу меланомы кожи конечностей. Сибирский онкологический журнал. 2019;18(1):95–102. [Maksimova NA, Przhedetsky YuV, Khokhlova OV, Pozdnyakova VV, Ilchenko MG, Maksimova MI. Ultrasound scan in planning surgery for cutaneous melanoma of the extremities. Siberian Journal of Oncology. 2019;18(1):95–102. (In Russ.)] doi: 10.21294/1814-4861-2019-18-1-95-102
- Botar-Jid CM, Cosgarea R, Bolboaca SD, Şenilă SC, Lenghel LM, Rogojan L, et al. Assessment of cutaneous melanoma by use of very-high-frequency ultrasound and real-time elastography. AJR Am J Roentgenol. 2016;206(4):699–704. doi: 10.2214/AJR.15.15182
- Hinz T, Wenzel J, Schmid-Wendtner MН. Real-time tissue elastography: a helpful tool in the diagnosis of cutaneous melanoma? J Am Acad Dermatol. 2011;65(2):424–426. doi: 10.1016/j.jaad.2010.08.009
- Botar C, Bolboaca S, Cosgarea R, Şenilă S, Rogojan L, Lenghel M, et al. Doppler ultrasound and strain elastography in the assessment of cutaneous melanoma: preliminary results. Med Ultrason. 2015;17(4):509–514. doi: 10.11152/mu.2013.2066.174.dus
- Dasgeb B, Morris MA, Mehregan D, Siegel EL. Quantified ultrasound elastography in the assessment of cutaneous carcinoma. Br J Radiol. 2015;88(1054):2015034. doi: 10.1259/bjr.20150344
- Iagnocco A, Kaloudi O, Perella C, Bandinelli F, Riccieri V, Vasile M, et al. Ultrasound elastography assessment of skin involvement in systemic sclerosis: lights and shadows. J Rheumatol. 2010;37(8):1688–16891. doi: 10.3899/jrheum.090974
- Di Geso L, Filippucci E, Girolimetti R, Tardella M, Gutierrez M, De Angelis R, et al. Reliability of ultrasound measurements of dermal thickness at digits in systemic sclerosis: role of elastosonography. Clin Exp Rheumatol. 2011;29(6):926-932.
- Cannaò P, Vinci V, Caviggioli F, Klinger M, Orlandi D, Sardanelli F, et al. Technical feasibility of real-time elastography to assess the peri-oral region in patients affected by systemic sclerosis. J Ultrasound. 2014;17(4):265–269. doi: 10.1007/s40477-014-0119-0
- Lee SY, Cardones AR, Doherty J, Nightingale K, Palmeri M. Preliminary results of the feasibility of using AFRI/SWEI to assess cutaneous sclerotic diseases. Ultrasound Med Biol. 2015;41(11):2806–2819. doi: 10.1016/j.ultrasmedbio.2015.06.007
- Liu KH, Bhatia K, Chu W, He LT, Leung SF, Ahuja AT. Shear wave elastographya — А new quantitative assessment of post-irradiation neck fibrosis. Ultraschall Med. 2015;36(4):348–354. doi: 10.1055/s-0034-1366364
- Cucos M, Crisan M, Lenghel M, Dudea M, Croitoru R, Dudea SM. Conventional ultrasonography and sonoelastography in the assessment of plaque psoriasis under topical corticosteroid treatment — work in progress. Med Ultrason. 2014;16(2):107–113. doi: 10.11152/mu.2013.2066.162.mc1mc2
Supplementary files









