Difficulties in diagnosing pemphigus vulgaris
- Authors: Rakhmatulina M.R.1, Mehdieva E.S.1, Te V.L.2
-
Affiliations:
- State Research Center of Dermatovenereology and Cosmetology
- Russian Medical Academy of Continuous Professional Education
- Issue: Vol 101, No 4 (2025)
- Pages: 65-73
- Section: GUIDELINES FOR PRACTITIONERS
- Submitted: 29.03.2025
- Accepted: 02.07.2025
- Published: 20.08.2025
- URL: https://vestnikdv.ru/jour/article/view/16881
- DOI: https://doi.org/10.25208/vdv16881
- EDN: https://elibrary.ru/rhnbkh
- ID: 16881
Cite item
Full Text
Abstract
Vulgar pemphigus is a rare, potentially fatal autoimmune disease characterized by formation of intraepidermal blisters and extensive erosions on the skin and mucous membranes. Despite significant advances in investigation of the pathogenesis and treatment of pemphigus vulgaris, the diagnosis of this disease remains challenging. The difficulty in early diagnosis of bullous dermatoses, particularly pemphigus vulgaris, is due to the non-specific nature of the initial clinical manifestations. The typical primary lesion of the oral mucosa (erosions, aphtha-like elements) often leads to misinterpretation of the symptoms and delayed diagnosis. The problem is exacerbated by the lack of awareness among primary care physicians (dentists, otolaryngologists, and general practitioners) about this condition. The paper focuses on the difficulties in diagnosing pemphigus vulgaris. A case narrative described a patient whose disease began with nonspecific rash on the oral mucosa which made it difficult to make an accurate diagnosis for a long time. Based on the results of a cytological examination of smears from the surface of new erosions, the oncologist diagnosed “N2NxMx cancer of the lower lip” and performed radiation therapy, which aggravated the disease. The paper discusses possible causes of diagnostic errors.
Keywords
Full Text
Актуальность
Вульгарная пузырчатка — редкое аутоиммунное заболевание, характеризующееся выработкой аутоантител IgG к белкам клеточных мембран кератиноцитов, что приводит к акантолизу и образованию внутриэпидермальных пузырей и эрозий на коже и слизистых оболочках. В Москве в 2019 г. был зарегистрирован 161 случай пузырчатки, в 2020 г. — 194, в 2021 г. — 202 случая, т.е. с каждым годом число случаев заболевания непрерывно растет [1]. Несмотря на возможности диагностических методов исследования, диагностика вульгарной пузырчатки, особенно на ранних стадиях заболевания, остается сложной задачей, что приводит к несвоевременному началу адекватного лечения.
Слизистая оболочка полости рта является наиболее распространенной локализацией в дебюте заболевания. С 1950 по 2001 г. число случаев начала заболевания с высыпаний на слизистой оболочке полости рта возросло с 62 до 85% [2]. На сегодняшний день поражение слизистой оболочки рта диагностируется примерно у 9 из 10 пациентов с вульгарной пузырчаткой [3].
Для подтверждения диагноза, согласно клиническим рекомендациям Российского общества дерматовенерологов и косметологов, пациентам с подозрением на пузырчатку проводят цитологическое исследование с целью выявления акантолитических клеток в мазках-отпечатках со дна свежих эрозий, а также гистологическое исследование с применением методов непрямой и прямой иммунофлюоресценции. Существует корреляция между количественными показателями акантолитических клеток и тяжестью патологического процесса, однако на начальных стадиях заболевания, а также при атипичных формах течения акантолитические клетки при проведении цитологического исследования могут не обнаруживаться, что требует применения дополнительных диагностических методов для верификации диагноза. Акантолиз также может наблюдаться при болезни Хейли–Хейли, наследственном заболевании, вызванном мутацией в гене ATP2C1. Кроме того, акантолитические клетки иногда выявляются при транзиторном акантолитическом дерматозе (болезни Гровера), паранеопластической пузырчатке, ассоциированной с лимфопролиферативными заболеваниями, а также при других буллезных заболеваниях (табл. 1). В редких случаях акантолиз может быть обнаружен вследствие технических погрешностей при взятии или обработке биопсийного материала [4]. Дифференциальная диагностика требует гистологического и иммуногистохимического исследования для точной верификации заболевания.
Таблица 1. Дифференциальная диагностика вульгарной пузырчатки
Table 1. Differential diagnosis of pemphigus vulgaris
Критерий | Вульгарная пузырчатка | Болезнь Хейли–Хейли | Транзиторный акантолитический дерматоз (Гровера) | Паранео-пластическая пузырчатка |
Акантолитические клетки | +++ | + | ++ | +++ |
Дерматоскопия | Белые круги, точки, бело-желтые глобулы, корки, сосуды: линейные, змеевидные | Полиморфные сосуды, в том числе клубочковые, спиральные на розово-белесом фоне, эрозии, корки | Бесструктурные зоны, окруженные белым ореолом, полиморфные сосуды | Полиморфные сосуды, эрозии, корки |
Гистология | Внутриэпидермальный пузырь в результате акантолиза | Выраженный, но неполный акантолиз по типу «полуразрушенной кирпичной стены» | Очаговый акантолиз, дискератоз | Супрабазальный акантолиз с лимфоцитарной инфильтрацией |
Прямая реакция иммунофлюорес-ценции | Отложение IgG в области межклеточной субстанции шиповатого слоя на десмосомах | Слабоаффинные IgG-аутоантитела, иммунные комплексы, система комплемента в межклеточном пространстве | Отложения IgM в зоне базальной мембраны и в стенках сосудов сосочкового слоя дермы | Отложение IgG и С3-компонента комплемента на поверхности кератиноцитов, линейное отложение комплемента вдоль зоны базальной мембраны эпидермиса |
Поражение слизистых | +++ | — | — | ++ |
Субъективные ощущения | Боль, жжение | Зуд, жжение, боль | Интенсивный зуд | Боль, выраженный дискомфорт |
Симптом Никольского | +++ | + (вблизи очага) | — | ++ |
По данным отечественных исследователей, примерно в 1/3 случаев пузырчатки при первичном обращении пациентам устанавливают неверный диагноз, что в числе прочих свидетельствует о недостаточной осведомленности врачей различных специальностей о данном заболевании [5].
Описание случая
Пациентка Н., 70 лет, поступила в круглосуточный стационар ФГБУ «ГНЦДК» Минздрава России с диагнозом: «пузырчатка?».
Из анамнеза известно, что считает себя больной с февраля 2024 г., когда впервые отметила появление обильного слюнотечения с примесью крови. За медицинской помощью не обращалась, самостоятельно не лечилась.
В марте 2024 г. в связи с появлением боли при приеме пищи и глотании, а также носового кровотечения обратилась к врачу-оториноларингологу. Был поставлен диагноз «воспаление слизистой оболочки полости рта» и проведено симптоматическое лечение, которое не привело к клиническому эффекту.
В апреле 2024 г. пациентка отметила появление эрозий на слизистой оболочке рта, в связи чем обратилась к врачу-стоматологу, который установил диагноз «афтозный стоматит». Была назначена наружная терапия с применением раствора прополиса, что также не привело к развитию клинического эффекта.
В июле 2024 г. в связи с сохраняющимися жалобами пациентка обратилась к врачу-дерматовенерологу в кожно-венерологический диспансер по месту жительства, где ей был поставлен диагноз «кандидоз полости рта» и проведена противогрибковая терапия, без клинического эффекта.
В августе 2024 г. пациентка отметила появление высыпаний на красной кайме губ, усиление боли при приеме пищи и глотании, в связи с чем повторно обратилась к врачу-дерматовенерологу, которым был поставлен предварительный диагноз «пузырчатка?» и рекомендовано обратиться к врачу-онкологу для исключения злокачественного процесса.
В сентябре 2024 г. пациентка отметила появление высыпаний на коже лица, груди и туловища. В середине сентября 2024 г. консультирована врачом-онкологом, которым на основании цитологического исследования был поставлен диагноз «рак нижней губы T2NxMx, цитологически плоскоклеточный рак», проведена местная терапия (информация об использовавшихся лекарственных препаратах отсутствует), без эффекта.
В сентябре 2024 г. проведена дистанционная консультация с врачом-дерматовенерологом, который поставил диагноз «вульгарная пузырчатка» и рекомендовал проведение цитологического исследования для обнаружения акантолитических клеток. По результатам лабораторных исследований были обнаружены акантолитические клетки, а также антитела к десмоглеину-1 IgG, (110,28 ед/мл при норме < 20).
В начале октября 2024 г. пациентка повторно консультирована врачом-онкологом, которым был установлен предварительный диагноз «рак нижней губы T2NxMx» и рекомендовано стационарное лечение у врача-дерматовенеролога с последующей терапией у врача-онколога.
В октябре 2024 г. пациентка получала стационарное лечение в ГБУЗ Республики Крым «Клинический кожно-венерологический диспансер» г. Керчи с диагнозом «вульгарная пузырчатка»: проведена терапия преднизолоном в дозе 50 мг/сут перорально, с незначительным эффектом. Пациентка выписана с рекомендациями продолжить терапию преднизолоном в дозе 50 мг/сут перорально с постепенным снижением дозы по 1 таблетке 1 раз / 7 дней. Пациентка проводила назначенный курс терапии, однако при достижении суточной дозы 30 мг снижение дозы прекратила. После выписки пациентка обратилась к врачу-онкологу, было проведено трехкратное цитологическое исследование, установлен диагноз «злокачественное новообразование нижней губы, T2N0M0» и проведен курс лучевой терапии.
В ноябре 2024 г., параллельно получая терапию у врача-онколога, пациентка дополнительно проконсультирована врачом-дерматовенерологом, которым был вновь поставлен диагноз вульгарной пузырчатки и рекомендовано продолжить терапию преднизолоном. Также им была назначена повторная консультация врача-онколога для уточнения установленного ранее диагноза «злокачественное новообразование нижней губы» с проведением гистологии.
В ноябре 2024 г. пациентка обратилась в ГБУЗ Республики Крым «Крымский республиканский онкологический клинический диспансер имени В.М. Ефетова», где установлен диагноз «злокачественное новообразование нижней губы, T2N0M0, 3 стадия, II клиническая группа, плоскоклеточный рак (на основании цитологического исследования)» и рекомендовано продолжить курс лучевой терапии. Пациентке проведено 20 процедур лучевой терапии с ухудшением со стороны патологического процесса.
В связи с сохраняющимися высыпаниями пациентка обратилась к врачу-дерматовенерологу в частную клинику, где был установлен диагноз «вульгарная пузырчатка» и рекомендовано повысить дозу преднизолона до 50 мг/сут перорально, пациентка рекомендаций придерживалась.
В декабре 2024 г. в связи с сохраняющимися жалобами пациентка обратилась в ФГБУ «ГНЦДК» Минздрава России и была госпитализирована в круглосуточный стационар.
Локальный статус при поступлении
Патологический процесс носит распространенный характер, локализуется на слизистой оболочке полости рта, красной кайме губ, на коже волосистой части головы, лица, шеи, туловища, верхних и нижних конечностей. На слизистой оболочке рта наблюдаются эрозии ярко-розового цвета. На красной кайме губ имеются линейные трещины. Нижняя губа отечна, наблюдается густое гнойное отделяемое (рис. 1). Отмечается обильное слюнотечение. На коже волосистой части головы имеются плотно прилегающие серозно-геморрагические корки (рис. 2). На коже лица, преимущественно в периоральной области, с переходом на кожу шеи наблюдаются влажные эрозивные очаги поражения ярко-розового цвета, покрытые многослойными плотными геморрагическими корками (рис. 3). Аналогичные поражения наблюдаются на коже туловища, преимущественно на коже живота и поясничной области, ягодиц и межъягодичной складки, верхних и нижних конечностей, местами по периферии высыпаний имеются обрывки эпителия (рис. 4, 5). Отмечаются симметричные отеки стоп и голеней до уровня коленного сустава.
Рис. 1. Отечная нижняя губа, покрытая густым гнойным отделяемым
Fig. 1. Swollen lower lip covered with thick purulent discharge
Рис. 2. Плотно прилегающие серозно-геморрагические корки на коже волосистой части головы: a — затылочная область; б — теменная область; в — лобно-височная область
Fig. 2. Tightly adhering serous-hemorrhagic crusts on the scalp skin: a — occipital region; б — parietal region; в — frontotemporal area
Рис. 3. Влажные эрозии ярко-розового цвета, покрытые многослойными плотными геморрагическими корками
Fig. 3. Bright pink wet erosions covered with multilayered dense hemorrhagic crusts
Рис. 4. Множественные влажные эрозии ярко-розового цвета, покрытые массивными корками
Fig. 4. Multiple bright pink wet erosions covered with massive crusts
Рис. 5. Обширные влажные эрозии на коже поясничной области, межъягодичной складки
Fig. 5. Extensive wet erosions on the skin of the lumbar and intergluteal areas
Результаты лабораторных исследований
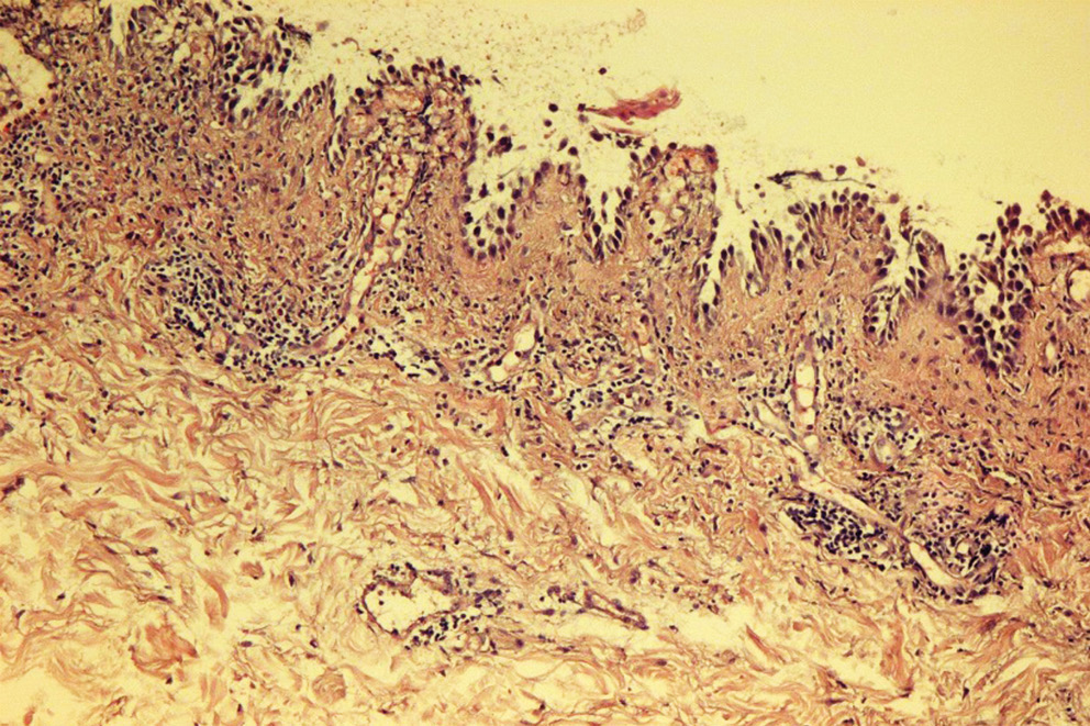
Результаты гистологического исследования. Покрышка пузыря отсутствует, дно представлено рядом базальных клеток, диссоциированных между собой, также на отдельных участках видны свободно лежащие акантолитические клетки, не связанные с эпидермисом, дерма отечна, наблюдается лимфоцитарный инфильтрат с примесью эозинофилов (рис. 6). При проведении исследования прямой реакции иммунофлуоресценции (пРИФ) с антителами к IgG, IgA, IgM в биоптате видимо непораженной кожи наблюдается слабая и умеренная фиксация IgG в межклеточных промежутках всех слоев эпидермиса (в виде «сетки»), значимой экспрессии IgA и IgМ не обнаружено (рис. 7).
Рис. 6. Гистологическое исследование биоптата кожи (окраска гематоксилином и эозином, × 100)
Fig. 6. Histological examination of a skin biopsy (hematoxylin and eosin staining, magnification × 100)
Рис. 7. Исследование реакции иммунофлуоресценции с антителами к IgG, IgA, IgM в биоптате видимо непораженной кожи: слабая и умеренная фиксация IgG в межклеточных промежутках всех слоев эпидермиса (в виде «сетки»)
Fig. 7. Immunofluorescence testing with anti-IgG, IgA, and IgM-antibodies in a biopsy of apparently intact skin: weak and moderate fixation of IgG in the intercellular spaces of all epidermis layers of th (“grid”-like)
Результаты общего анализа крови. При поступлении: лейкоциты — 9,47 тыс/мкл; лимфоциты — 7%; моноциты — 1%; сегментоядерные нейтрофилы — 88%. В процессе лечения отмечалось снижение общего числа лейкоцитов и рост относительного уровня лимфоцитов с уменьшением числа нейтрофилов (лейкоциты — 7,35 тыс./мкл; лимфоциты — 23%; сегментоядерные нейтрофилы — 70%). При выписке: лейкоциты — 6,86 тыс./мкл; лимфоциты — 24%; сегментоядерные нейтрофилы — 68%.
Также в процессе лечения наблюдалось повышение уровня мочевины (до 10,05 ммоль/л) и общего белка (до 68,4 г/л).
Лечение
Согласно международным стандартам по лечению вульгарной пузырчатки препаратами первой линии являются системные глюкокортикостероиды в дозе 1,0–1,5 мг/кг/сут преднизолонового эквивалента [6, 7]. Учитывая возраст пациентки, а также возможные побочные эффекты глюкокортикостероидных препаратов, было принято решение о назначении преднизолона в дозировке 55 мг/сут перорально из расчета 1 мг/ кг массы тела. Также проведена антибактериальная терапия цефтриаксоном в дозе 2 г/сут в/м; спиронолактоном — 25 мг/сут; фуросемидом — 2 мл в/м № 4; наружная терапия: 2% раствор метиленового синего; 1% раствор метиленового синего; раствор бензилдиметил-миристоиламинопропиламмония; водный раствор хлоргексидина; диоксометилтетрагид роперимидин + хлорамфеникол, мазь; влажно-высыхающие повязки с водным раствором хлоргексидина.
Исход и результаты последующего наблюдения
Со стороны кожного патологического процесса на фоне проведенной терапии наблюдалась положительная динамика в виде уменьшения гнойного и серозного отделяемого, уменьшения отека губы, частичной эпителизации трещин, отторжения геморрагических корок, уменьшения окраски эрозий. В связи с эпизодом резкого снижения артериального давления до 60/40 мм рт. ст. и потерей сознания без очевидных причин пациентка была переведена в Городскую клиническую больницу № 29 им. Н.Э. Баумана, даны рекомендации по продолжению терапии преднизолоном в дозе 55 мг/сут c последующим постепенным снижением дозы препарата согласно клиническим рекомендациям (табл. 2) под наблюдением врача-дерматовенеролога [8].
Таблица 2. Снижение дозы преднизолона после достижения терапевтического эффекта
Table 2. Prednisolone dose reduction after achieving a therapeutic effect
Неделя | Пн | Вт | Ср | Чт | Пт | Сб | Вс |
1–4-я | 1 мг/кг массы тела | ||||||
5–13-я* | Постепенное снижение преднизолона до 20 мг/сут (4 таблетки) (первоначальное снижение дозы ГКС возможно на 1/4–1/3 максимальной дозы) | ||||||
14-я | 4,00 | 4,00 | 4,00 | 4,00 | 4,00 | 4,00 | 4,00 |
15-я | 3,75 | 4,00 | 4,00 | 4,00 | 4,00 | 4,00 | 4,00 |
16-я | 3,75 | 4,00 | 4,00 | 3,75 | 4,00 | 4,00 | 4,00 |
17-я | 3,75 | 4,00 | 4,00 | 3,75 | 4,00 | 3,75 | 4,00 |
18-я | 3,75 | 4,00 | 3,75 | 3,75 | 4,00 | 3,75 | 4,00 |
19-я | 3,75 | 4,00 | 3,75 | 3,75 | 4,00 | 3,75 | 3,75 |
20-я | 3,75 | 4,00 | 3,75 | 3,75 | 3,75 | 3,75 | 3,75 |
21-я | 3,75 | 3,75 | 3,75 | 3,75 | 3,75 | 3,75 | 3,75 |
*При необходимости возможно более длительное снижение дозы преднизолона.
*If necessary, the dose of prednisolone may be reduced for a longer period of time.
Обсуждение
Ввиду неспецифического поражения слизистой оболочки полости рта при вульгарной пузырчатке ее дифференциальная диагностика на ранних этапах заболевания вызывает значительные затруднения. Согласно результатам исследования французских ученых, до 70% пациентов обращаются к более чем четырем врачам-специалистам, прежде чем подтверждается диагноз вульгарной пузырчатки [9]. Примерно в 50% случаев пациентов направляют к врачу-дерматовенерологу в течение шести месяцев после появления симптомов, 17% — в течение одного года и 8% — в течение трех лет [10].
В большинстве случаев для лабораторной диагностики заболевания используется цитологическое исследование, которое является быстрым по выполнению методом, не требующим инвазивного вмешательства, однако наиболее информативными методами подтверждения диагноза выступают патологоанатомическое исследование биопсийного материала кожи или слизистой оболочки из очага поражения и иммунофлюоресцентное исследование [7, 11]. В диагностике пузырчатки важную роль играет определение антител к десмоглеинам 1 и 3 методом ELISA/ИФА, что позволяет не только подтвердить диагноз, но и оценить активность заболевания, а также эффективность проводимой терапии. Исследования показывают, что в большей степени уровень антител к десмоглеинам 1 коррелирует с тяжестью клинических проявлений [12]. Однако в некоторых случаях (особенно при хронических формах) корреляция может быть менее выраженной, что требует комплексной оценки с учетом клинической картины. В представленном нами клиническом случае повторное исследование уровня антител к десмоглеину-1 IgG не проводилось, в связи с чем оценить степень корреляции тяжести патологического кожного процесса с уровнем антител не представляется возможным.
При цитологическом исследовании мазков-отпечатков методом Тцанка акантолитические клетки обнаруживаются только с поверхности свежих эрозий, так как дно эпителизирующихся элементов в результате регенерации покрывается новыми слоями эпидермальных клеток. Вместе с тем акантолитические клетки нередко расцениваются врачами-онкологами как «атипичные» клетки, в результате чего пациентам устанавливается диагноз злокачественного новообразования кожи [13–15]. Из-за ошибки в диагностике пациенты могут получать неадекватную терапию, включая агрессивное онкологическое лечение (например, лучевую или химиотерапию), что усугубляет течение заболевания [16–19].
Ошибочная диагностика злокачественного новообразования кожи, в частности плоскоклеточного рака кожи, может возникать из-за схожей клинической картины. Иногда при цитологическом исследовании обнаруживаются акантолитические клетки с атипичными плоскоклеточными изменениями (такими как измененные форма и размеры клеток, гиперхромия и неровность контуров ядра, наличие базофильной цитоплазмы), которые соответствуют критериям малигнизации, что вызывает затруднение в правильной постановке диагноза [20]. Для дифференциальной диагностики в подобных случаях применяются иммуногистохимические маркеры p63, p40, CKMNF116 и CK903, обладающие высокой чувствительностью для плоскоклеточного рака [21]. Однако эти маркеры не являются абсолютно специфичными, так как могут выявляться и при других опухолевых процессах.
Зачастую пациенты с вульгарной пузырчаткой проходят долгий путь от появления первых высыпаний до верификации диагноза и начала соответствующего лечения. Диагностика вульгарной пузырчатки требует комплексного подхода, включающего тщательно собранный анамнез с выявлением провоцирующих факторов, оценку клинической картины заболевания, а также проведение полного диагностического комплекса: цитологического исследования для выявления акантолитических клеток Тцанка, гистологического подтверждения супрабазального акантолиза, прямой и непрямой реакции иммуно-флюоресценции для обнаружения межклеточных отложений IgG, а также серологического определения антител к десмоглеинам 1 и 3. Цитологический метод, направленный на выявление акантолитических клеток в мазках-отпечатках со дна свежих эрозий, имеет ограниченную специфичность в диагностике вульгарной пузырчатки, что может привести к серьезным диагностическим ошибкам.
Таким образом, проведение гистологического исследования и пРИФ обязательны для диагностики вульгарной пузырчатки. Известно, что пациенты с вульгарной пузырчаткой имеют более высокую частоту выявления злокачественных новообразований, чем в общей популяции [22], однако описанный клинический случай является примером ошибки в диагностике, связанным с неверной интерпретацией результатов цитологического исследования.
Заключение
Низкий уровень осведомленности врачей о морфологических особенностях акантолитических клеток остается серьезной проблемой, которая приводит к диагностическим ошибкам, задержке в постановке диагноза и назначению неадекватного лечения, что ухудшает прогноз для пациентов. Для предотвращения подобных случаев необходимы подготовка образовательных программ, направленных на повышение знаний врачей об особенностях буллезных дерматозов, внедрение стандартных методов окраски и междисциплинарное взаимодействие между дерматовенерологами, патоморфологами и врачами смежных специальностей. В процессе ведения пациентов с пузырчаткой важен комплексный подход, который позволит обеспечить своевременную и точную диагностику данного заболевания, улучшая качество оказания медицинской помощи.
About the authors
Margarita R. Rakhmatulina
State Research Center of Dermatovenereology and Cosmetology
Email: rahmatulina@cnikvi.ru
ORCID iD: 0000-0003-3039-7769
SPIN-code: 6222-8684
MD, Dr. Sci. (Med.), Professor
Россия, MoscowEgana S. Mehdieva
State Research Center of Dermatovenereology and Cosmetology
Email: dr.mekhdieva@mail.ru
ORCID iD: 0009-0004-8286-9427
MD, Dermatovenereologist
Россия, MoscowViktoria L. Te
Russian Medical Academy of Continuous Professional Education
Author for correspondence.
Email: vika-pak_123@bk.ru
ORCID iD: 0009-0009-8506-8162
SPIN-code: 2423-2889
Россия, 2/1 bldg 1 Barrikadnaya street, 125993 Moscow
References
- Потекаев Н.Н., Жукова О.В., Доля О.В., Фриго Н.В., Поршина О.В., Косталевская А.Н., и др. Пузырчатка кожи и слизистой оболочки полости рта: клиника, диагностика, лечение: методические рекомендации. М.: Московский центр дерматовенерологии и косметологии; 2023. 47 с. [Potekaev NN, Zhukova OV, Dolya OV, Frigo NV, Porshina OV, Kostalevskaya AN, et al. Pemphigus of the skin and oral mucosa: clinical features, diagnosis, treatment: clinical guidelines. Moscow: Moscow Center for Dermatovenereology and Cosmetology; 2023. 47 p. (In Russ.)]
- Боровский Е.В., Машкиллейсон А.Л. Заболевания слизистой оболочки полости рта и губ: практическое руководство. М.: МЕДпресс; 2001. С. 182–183. [Borovskij EV, Mashkillejsson AL. Diseases of oral mucosa and lips. Practical guide. Moscow: MEDpress; 2001. P. 182–183. (In Russ.)]
- Batistella EA, Sabino da Silva R, Rivero ERC, Silva CAB. Prevalence of oral mucosal lesions in patients with pemphigus vulgaris: A systematic review and meta-analysis. J Oral Pathol Med. 2021;50(8):750–757. doi: 10.1111/jop.13167
- Hietanen J. Clinical and cytological features of oral pemphigus. Acta Odontol Scand. 1982;40(6):403–414. doi: 10.3109/00016358209025114
- Хамаганова И.В., Маляренко Е.Н., Васильева А.Ю., Новосельцев М.В., Денисова Е.В., Моднова А.Г., и др. Ошибки в диагностике вульгарной пузырчатки. Проблемы современной науки и образования. 2016;8:149–151. [Khamaganova IV, Malyarenko EN, Vasilieva AY, Novoseltsev M.V., Denisova E.V., Modnova A.G., et al. Errors in the diagnosis of pemphigus vulgaris. Problems of modern science and education. 2016;8:149–151. (In Russ.)]
- Кубанов А.А., Махнева Н.В., Притуло О.А., и др. Пузырчатка: федеральные клинические рекомендации. М.; 2024. [Kubanov AA, Mahneva NV, Pritulo OA, et al. Pemphigus: Federal clinical guidelines.) Moscow; 2024. (In Russ.)] URL: https://cr.minzdrav.gov.ru/view-cr/369_2
- Ben Lagha N, Poulesquen V, Roujeau JC, Alantar A, Maman L. Pemphigus vulgaris: A case-based update. J Can Dent Assoc. 2005;71(9):667–672.
- Mimouni D, Nousari CH, Cummins DL, Kouba DJ, David M, Anhalt GJ. Differences and similarities among expert opinions on the diagnosis and treatment of pemphigus vulgaris. J Am Acad Dermatol. 2003;49(6):1059–1062. doi: 10.1016/s0190-9622(03)02738-5
- Coscia-Porrazzi L, Maiello FM, Ruocco V, Pisani M. Cytodiagnosis of oral pemphigus vulgaris. Acta Cytol. 1985;29(5):746–749.
- Malik AM, Tupchong S, Huang S, Are A, Hsu S, Motaparthi K. An Updated Review of Pemphigus Diseases. Medicina (Kaunas). 2021;57(10):1080. doi: 10.3390/medicina57101080
- Joly P, Horvath B, Patsatsi Α, Uzun S, Bech R, Beissert S, et al. Updated S2K guidelines on the management of pemphigus vulgaris and foliaceus initiated by the european academy of dermatology and venereology (EADV). J Eur Acad Dermatol Venereol. 2020;34(9):1900–1913. doi: 10.1111/jdv.16752
- Delavarian Z, Layegh P, Pakfetrat A, Zarghi N, Khorashadizadeh M, Ghazi A. Evaluation of desmoglein 1 and 3 autoantibodies in pemphigus vulgaris: correlation with disease severity. J Clin Exp Dent. 2020;12(5):е440–е445. doi: 10.4317/jced.56289
- Гайнулин Ш.М., Гребенюк В.Н., Резникова М.М., Цацаниди М.А. Вульгарная пузырчатка (клиническое наблюдение атипичного случая). Клиническая дерматология и венерология. 2011;9(2):40–44. [Gainullin ShM, Grebenyuk VN, Reznikova MM, Tsatsanidi MA. Pemphigus vulgaris (clinical observation of an atypical case). Klinicheskaya dermatologiya i venerologiya. 2011;9(2):40–44. (In Russ.)]
- Базаев В.Т., Цебоева М.Б., Царуева М.С., Джанаев В.Ф. Вегетирующая пузырчатка, имитирующая рак кожи. Российский журнал кожных и венерических болезней. 2017;20(3):146–150. [Bazaev VT, Tsebueva MB, Tsarueva MS, Dzhanaev VF. Pemphigus imitating skin cancer. Russian Journal of Skin and Venereal Diseases. 2017;20(3):146–150. (In Russ.)] doi: 10.18821/1560-9588-2017-20-3-146-150
- Сердюкова Е.А., Родин А.Ю., Еремина Г.В. Случай ошибки в диагностике акантолитической пузырчатки. Российский журнал кожных и венерических болезней. 2015;18(4):41–44. [Serdyukova EA, Rodin AY, Eremina GV. A case of diagnostic error in acantholytic pemphigus. Russian Journal of Skin and Venereal Disease. 2015;18(4):41–44. (In Russ.)]
- Jang HW, Chun SH, Lee JM, Jeon J, Hashimoto T, Kim IH. Radiotherapy-induced pemphigus vulgaris. J Dermatol. 2014;41(9):851–852. doi: 10.1111/1346-8138.12582
- Orion E, Matz H, Wolf R. Pemphigus vulgaris induced by radiotherapy. J Eur Acad Dermatol Venereol. 2004;18(4):508–509. doi: 10.1111/j.1468-3083.2004.00952.x
- Bar-Sela G, Baum S, Trau H, Kuten A. Pemphigus vulgaris of the larynx and upper gastro-intestinal tract induced by radiotherapy. Acta Oncol. 2008;47(2):324–326. doi: 10.1080/02841860701558831
- Correia MP, Santos D, Jorge M, Coutinho S. Radiotherapy-induced pemphigus. Acta Med Port. 1998;11(6):581–583.
- Takahashi I, Kobayashi TK, Suzuki H, Nakamura S, Tezuka F. Coexistence of Pemphigus vulgaris and herpes simplex virus infection in oral mucosa diagnosed by cytology, immunohistochemistry, and polymerase chain reaction. Diagn Cytopathol. 1998;19(6):446–450. doi: 10.1002/(sici)1097-0339(199812)19:6<446::aid-dc8>3.0.co;2-2
- Bălășescu E, Gheorghe AC, Moroianu A, Turcu G, Brînzea A, Antohe M, et al. Role of immunohistochemistry in the diagnosis and staging of cutaneous squamous-cell carcinomas (Review). Exp Ther Med. 2022;23(6):383. doi: 10.3892/etm.2022.11308
- Warshavsky K, Zeeli T, Mekiten O, Sprecher E, Silverman BG, Barzilai A, et al. Coexistence of malignancies in pemphigus vulgaris. Immunol Res. 2023;71(5):743–748. doi: 10.1007/s12026-023-09388-y
Supplementary files











