Clinical case of cutaneous vasculopathy due to mutation of prothrombin gene F2(20210)GA
- Authors: Kovaleva A.D.1, Sokolova M.V.1, Patrushev A.V.1,2, Belousova I.E.1
-
Affiliations:
- S.M. Kirov Military Medical Academy
- Almazov National Medical Research Center
- Issue: Vol 101, No 6 (2025)
- Pages: 95-102
- Section: GUIDELINES FOR PRACTITIONERS
- Submitted: 11.06.2025
- Accepted: 10.12.2025
- Published: 16.01.2026
- URL: https://vestnikdv.ru/jour/article/view/16914
- DOI: https://doi.org/10.25208/vdv16914
- EDN: https://elibrary.ru/mjyxmn
- ID: 16914
Cite item
Full Text
Abstract
The article describes a case of skin vasculopathy due to systemic coagulopathy. In the setting of complete well-being, a 37-year-old female patient developed extensive areas of skin necrosis, predominantly in the lower extremities, over a period of 3 months. At the initial visit to the dermatovenerologic dispensary, papulonecrotic vasculitis was diagnosed, and systemic therapy with glucocorticosteroids was prescribed, which turned out to be ineffective. A repeated histological examination carried out at the Skin and Venereal Diseases Clinic of the Military Medical Academy allowed to make a final diagnosis — occlusive vasculopathy. When evaluating the coagulogram, the patient was found to have elevated prothrombin level (165 %) and a slight decrease in aPTT (22.3 s). Considering the normal platelet count, absence of concomitant visceral pathology, lack of history of warfarin use, and past infections, the patient’s condition was regarded as a manifestation of systemic coagulopathy. A search for possible causes of hypercoagulation revealed a significant mutation in the prothrombin gene F2(20210)GA. Anticoagulant therapy was initiated after consultation with a hematologist. Taking into account the large area of ulcerative skin defects, the patient was transferred to a surgical inpatient facility for further treatment. Thanks to the joint work of specialists in Dermatology, Hematology, and Surgery, it was possible to achieve healing of skin defects without plastic surgery, as well as to prevent repeated thrombotic events (no relapses during 6 months of follow-up).
Full Text
Актуальность
Окклюзионные васкулопатии представляют собой гетерогенную группу заболеваний, характеризующихся закупоркой сосудов кожи без признаков поражения (воспаления) сосудистой стенки [1]. Патофизиологические механизмы, приводящие к окклюзии просвета сосудов, лежат в основе классификации окклюзионных васкулопатий [2].
Этиологическим фактором выступают различные по происхождению эмболы (холистериновые, оксалатные, микробные, кожные внутрисосудистые метастазы висцеральных злокачественных новообразований, инородные тела), тромбы, образующиеся вследствие нарушений в системе гемостаза (гепаринового некроза, реактивного тромбоцитоза, тромботической тромбоцитопенической пурпуры), системных и сосудистых коагулопатий (варфаринового некроза, антифосфолипидного синдрома, синдрома Снеддона, ливедоидной васкулопатии), состояний, сопровождающихся изменением реологических свойств крови на фоне воздействия низких температур (криоагглютинации и крио-преципитации), а также другие варианты факторов окклюзии — эритроциты, кожные кальцификаты, прием некоторых лекарственных (препаратов гидроксимочевины, левамизола, интерферона) и наркотических (кокаина) средств [3].
Отличительной особенностью случая является окклюзия, ассоциированная с тромбофилией на фоне мутации гена протромбина (F2(20210)GA). Тромбин играет ключевую роль в регуляции каскада свертывания крови, поскольку он действует как прокоагулянтный фермент, стимулируя факторы XIII, XI, VIII и V, активируемый тромбином ингибитор фибринолиза, а также расщепляет фибриноген для высвобождения фибрина. Не менее важно, что тромбин также действует как антикоагулянтный фермент, активируя протеин С. Повышение уровня протромбина в плазме крови увеличивает риск развития тромбоза в 3–4 раза [4]. Наиболее частыми вариантами тромботических осложнений при тромбофилии на фоне мутации F2 у женщин репродуктивного возраста являются тромбоэмболия легочной артерии, тромбоз глубоких вен и привычное невынашивание беременности [5].
Описание случая
В декабре 2023 г. в клинику кожных и венерических болезней Военно-медицинской академии имени С.М. Кирова обратилась пациентка 37 лет с жалобами на высыпания в области голеней и бедер, вызывающие чувство стягивания, выраженную болезненность при ходьбе. Из анамнеза известно, что пациентка считает себя больной с августа 2023 г., когда впервые отметила появление высыпаний на коже ушных раковин. Самостоятельно не лечилась, обратилась за медицинской помощью в районный кожно-венерологический диспансер по месту жительства, назначены топические глюкокортикостероиды, на фоне применения которых высыпания полностью разрешились. В сентябре 2023 г. отметила появление аналогичных высыпаний на коже ушных раковин, голеней и бедер (рис. 1). При повторном обращении за медицинской помощью установлен предварительный диагноз: «папулонекротический васкулит». Проводилась общая и наружная противовоспалительная терапия — без эффекта, в связи с чем направлена в городской кожно-венерологический диспансер для проведения дообследования и лечения. 20.09.2023 выполнена диагностическая биопсия кожи, установлен диагноз «васкулит кожи». Назначена системная терапия дексаметазоном (4 мг/сут перорально) с постепенным снижением дозы (на момент поступления принимала 1,5 мг/сут), а также общая десенсибилизирующая, антигистаминная и антибактериальная терапия. На фоне проводимого лечения положительной динамики не отмечалось.
Результаты физикального, лабораторного и инструментального исследования
Из анамнеза пациентки известно, что до 2023 г. эпизодов подобных высыпаний, а также тромбозов других локализацией не было. Семейный анамнез оценить невозможно ввиду того, что пациентка воспитывалась опекунами, сведений о биологических родителях не имеет. Из акушерского анамнеза: беременность в возрасте 19 лет, выполнен медикаментозный аборт. Далее беременности не планировала. Пероральные контрацептивы не назначались, самостоятельно не принимает. При осмотре: на коже голеней и бедер (преимущественно на задней поверхности правой голени) отмечались единичные язвы округлой формы, размерами от 4,0 до 5,0 см в диаметре, с умеренным количеством фибрина на дне язв, множественные очаги некроза кожи различных форм и размеров, максимально до 17,0 см, за счет слияния очагов, с незначительными признаками воспаления по периферии (рис. 2).
Пациентке были выполнены: общий анализ мочи, анализ крови на маркеры гемоконтактных вирусных инфекций и сифилис, скрининг на онкомаркеры (РЭА, АФП, СА, СА 125, СА 15-3), АСЛО — без патологии. При оценке коагулограммы у больной зафиксирован повышенный уровень протромбина (165%) и незначительное снижение АЧТВ (22,3 с). В клиническом анализе крови обращает на себя внимание ускорение СОЭ до 30 мм/ч, остальные показатели в пределах референсных значений.
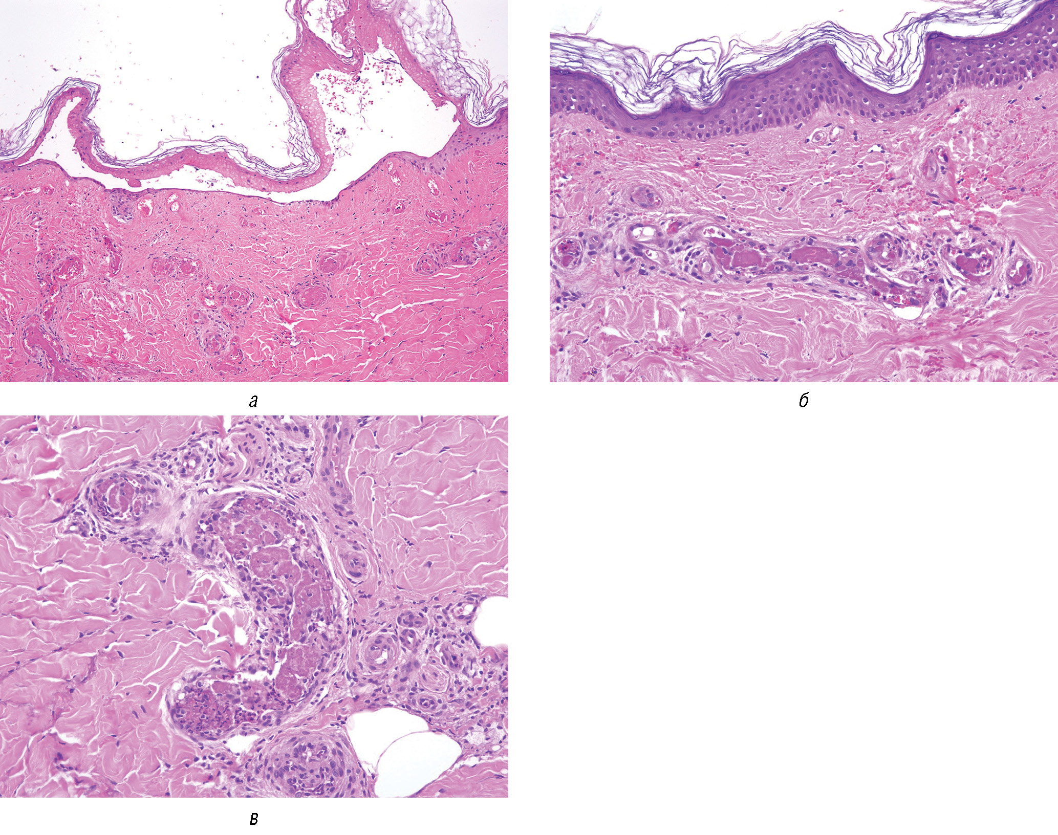
Для уточнения диагноза в клинике кожных и венерических болезней Военно-медицинской академии был выполнен пересмотр биопсийного материала от сентября 2023 г. При гистологическом исследовании: эпидермис истончен, под эпидермисом обнаруживалась субэпидермальная частично реэпителизированная полость. В дерме: сосуды поверхностной и глубокой сети расширены, большинство из них с признаками тромбоза. Тромбы содержат фрагменты ядер лейкоцитов. Стенки сосудов интактны. В отдельных сосудах признаки реканализации. Коллагеновые волокна дермы утолщены, между ними имеются многочисленные экстравазаты эритроцитов (рис. 3).
На основании анамнеза, клинической картины и гистологического исследования был установлен диагноз «окклюзионная васкулопатия сосудов кожи неясной этиологии». Для выявления причин васкулопатии пациентке проведено дообследование: маркеры аутоиммунных заболеваний (антинуклеарные антитела, ANCA анти-МРО, ANCA анти-PR3, антитела к кардиолипину IgM, IgG, антитела к бета-2-гликопретеину IgM, IgG, волчаночный антикоагулянт, ревматоидный фактор) — в пределах референсных значений; коагулогические исследования: антитромбин, протеин С, фактор II — в пределах референсных значений, гомоцистеин — 12,1 ммоль/л (верхняя граница референса — 12,0); генетические исследования: F5-протромбин (фактор V свертывания) — без особенностей; выявлена мутация гена, кодирующего синтез F2-протромбина (фактор II свертывания). Для уточнения наличия очагов хронической инфекции выполнена обзорная ортопантомография, по результатам которой диагностирована частичная вторичная адентия верхней и нижней челюстей, распространенный пародонтит.
Лечение
На основании выявленной патологии консультирована гематологом, рекомендован прием антикоагулянтов на постоянной основе в профилактической дозе (капсулы Дабигатрана этексилата 150 мг 1 раз/сут). В ходе госпитализации проводилось постепенное снижение дозы дексаметазона до полной отмены в течение 15 дней, антигистаминная, общая сосудистая, местная симптоматическая терапия.
Исход и результаты дальнейшего наблюдения
В период с 22.01.2024 по 03.02.2024 проходила дальнейшее лечение в Санкт-Петербургском научно-исследовательском институте скорой помощи имени И.И. Джанелидзе. Проведено лечение: некрэктомия на всей площади с УЗ-кавитацией; туалет ран, асептические повязки, системная антибактериальная терапия, десенсибилизирующая терапия. На фоне лечения достигнут положительный эффект в виде очищения ран, восполнения дефектов грануляциями, краевой эпителизации ран (рис. 4). При дальнейшем наблюдении пациентки кожный процесс полностью разрешился в течение 3 месяцев с частичной реэпителизацией ран и формированием рубцов (рис. 5). На фоне профилактического приема антикоагулянтов рецидивов заболевания в течение 6 месяцев зарегистрировано не было.
Обсуждение
Постановка диагноза кожной окклюзионной васкулопатии представляет непростую задачу для врача-дерматовенерогога. На первом этапе необходимо провести дифференциальную диагностику с васкулитами кожи, при которых могут наблюдаться схожие симптомы (древовидное ливедо, некрозы, язвы, сетчатая пурпура). Отличием в клинической картине является отсутствие ярких воспалительных изменений кожи вокруг высыпаний. При этом решающей находкой будет закупорка сосудов без признаков васкулита в ходе анализа результатов патоморфологического исследования. Необходимо помнить, что ключевым фактором для выполнения информативного гистологического исследования является время от момента появления эффлоресценций до взятия материала, которое не должно превышать 24 ч. В течение этого периода развивается полная окклюзия сосудов, проявляющаяся максимальной ишемией тканей, но отсутствуют признаки вторичного васкулита. Дополнительными важными техническими моментами являются правильная методика взятия материала (глубокая биопсия) и при необходимости выполнение серийных срезов [6].
Следующим этапом идет дифференциальная диагностика внутри спектра окклюзионных васкулопатий, который включает разные по этиопатогенезу заболевания и синдромы, объединенные в группы по типу окклюзии. Здесь, как и на предыдущем этапе, ключевую роль играет гистологическое исследование. В большинстве случаев удается определить причину окклюзии — эмболия (холестерин, оксалаты, опухолевые клетки, инородный материал и др.), тромбоз, микроорганизмы, гиалиноз, отложения кальция. При наличии тромбоза заболевание может попадать в группы тромбоцитарной окклюзии, сосудистой или системной коагулопатии [7].
В случае сосудистой коагулопатии выявляются характерные гистологические изменения, что в совокупности с особой клинической картиной позволяет поставить правильный диагноз. Синдром Снеддона проявляется древовидным ливедо и поражением сосудов головного мозга (хронические инфаркты, выявляемые при проведении МРТ головного мозга), часто развивается на фоне антифосфолипидного синдрома. Биопсия кожи показывает вовлечение мелких артерий и артериол с субэндотелиальной гиперплазией мышечного слоя. При ливедоидной васкулопатии определяются гиалинизированные поверхностные кожные сосуды, периваскулярные лимфоцитарные инфильтраты и экстравазаты эритроцитов. Болезнь Дегоса характеризуется типичными высыпаниями в виде небольших (2–5 мм) папул розово-красного цвета с образованием в центе элементов западения или фарфорово-белого рубца с ободком из телеангиэктазий. При гистологическом исследовании обнаруживается клиновидная область некроза, в основании которой имеется артериола с гиалинизированной стенкой и/или тромбозом просвета [1].
В группу тромбоцитарной окклюзии входят заболевания, при которых основные патофизиологические механизмы связаны с нарушением количества и функции тромбоцитов. Гепариновый некроз обусловлен образованием антител к комплексу гепарина и фактора тромбоцитов 4, что приводит к агрегации и потреблению тромбоцитов. Миелопролиферативные заболевания могут сопровождаться тромбоцитозом и дисфункцией тромбоцитов. При тромботической тромбоцитопенической пурпуре помимо образования тромбоцитарных микротромбов будут диагностироваться другие отклонения (анемия, тромбоцитопения, почечная недостаточность и неврологические симптомы) [1].
С учетом отсутствия у пациентки изменений в общем анализе крови, нормального уровня тромбоцитов, отсутствия патологии со стороны внутренних органов развившееся состояние микрососудистой окклюзии было расценено как проявление системной коагулопатии. При этом в анамнезе не было применения варфарина и перенесенных инфекционных заболеваний, в том числе менингококковой инфекции. Указанные причины приводят к нарушениям в работе ключевой антикоагулянтной системы, состоящей из тромбомодулина, протеина С и протеина S. Еще одним системным механизмом развития окклюзионных васкулопатий является образование антифосфолипидных антител, определение которых дало отрицательный результат.
При оценке коагулограммы у больной обращают внимание повышенный уровень протромбина (165%) и незначительное снижение АЧТВ (22,3 с), что говорит о состоянии гиперкоагуляции. В связи с этим выполнено генетическое исследование, направленное на поиск мутаций в генах F2 (II фактор свертывания или протромбин) и F5 (V фактор свертывания или проакцелерин). Нарушения в работе данных генов обусловливают развитие наследственной тромбофилии и ассоциированных с ней заболеваний. Выявлена мутация гена F2 (G20210A), при которой происходит замена гуанина (G) на аденин (А) в позиции 20210 [8]. Изменение происходит в регуляторном участке гена, поэтому нарушения структуры белка не происходит, но увеличивается экспрессия гена, что приводит к повышению уровня протромбина в плазме крови (в среднем в 1,5–2,0 раза) и возрастанию риска образования тромбов как в венозном, так и в артериальном сосудистых бассейнах [5, 9]. Мутация в гене F2 наследуется по аутосомно-доминантному типу, в связи с этим патологический эффект реализуется даже при наличии одной копии поврежденного гена (генотип G/A). Встречаемость аллеля А в европейской популяции составляет от 2 до 5% [4, 10].
Интересно, что увеличение активности протромбина само по себе не является свидетельством повышенного уровня текущей гемостатической активации, так как уровни фрагмента протромбина 1 + 2 (F1 + 2) у этих пациентов зачастую находятся в переделах нормы [11]. Тем не менее при действии провоцирующих факторов может запускаться процесс тромбообразования, который реализуется через этап генерации тромбина и приводит к образованию аномальных по структуре фибриновых сгустков (с измененной структурой волокон) [12]. Основными факторами риска тромботических осложнений при мутации F2(20210)GA могут являться беременность, прием оральных контрацептивов, повышенный уровень гомоцистеина в крови, гормональная заместительная терапия, длительная иммобилизация и др. [5]. В нашем случае значимым фактором развития васкулопатии могло стать курение (по 10 сигарет в день в течение более 10 лет).
Таким образом, уникальность описанной клинической ситуации заключается в сочетании кожной окклюзионной васкулопатии с мутацией гена протромбина F2(20210)GA. Поиск в отечественной и зарубежной литературе показал отсутствие данных о подобной ассоциации.
Заключение
Ведущее место в диагностике сосудистых болезней кожи занимает выполнение биопсии с гистологическим исследованием, что позволяет провести дифференциальную диагностику между васкулопатиями и васкулитами кожи. При диагностике окклюзионных васкулопатий вследствие системных нарушений процессов коагуляции помимо гистологического исследования требуются проведение развернутой лабораторной и инструментальной диагностики, привлечение специалистов гематологического и ревматологического профилей, а также выполнение генетического тестирования на наличие мутаций F2 G20210A и F5 G1691A.
При назначении терапии необходимо участие врачей-гематологов для выбора антикоагулянта и подбора дозировок сначала в лечебных, а затем и в профилактических целях. Также важно выполнение ряда мероприятий по изменению образа жизни (умеренная бытовая физическая активность, отказ от ношения тесной одежды, компрессионного белья, избегание длительного пребывания в однообразной вынужденной позе), проведение психологической коррекции пациентов, разъяснение важности постоянного приема антикоагулянтов.
В случае возникновения обширных зон некроза требуется участие комбустиологов или пластических хирургов для определения показаний к проведению аутодермопластики.
About the authors
Anastasiia D. Kovaleva
S.M. Kirov Military Medical Academy
Author for correspondence.
Email: dr.nalivaiko@mail.ru
ORCID iD: 0009-0007-2288-8169
SPIN-code: 6157-8394
Resident
Russian Federation, Saint PetersburgMaria V. Sokolova
S.M. Kirov Military Medical Academy
Email: mashkileison@mail.ru
ORCID iD: 0009-0004-0550-8599
Russian Federation, Saint Petersburg
Aleksandr V. Patrushev
S.M. Kirov Military Medical Academy; Almazov National Medical Research Center
Email: alexpat2@yandex.ru
ORCID iD: 0000-0002-6989-9363
SPIN-code: 1367-5580
MD, Dr. Sci. (Med.)
Russian Federation, Saint Petersburg; Saint PetersburgIrena E. Belousova
S.M. Kirov Military Medical Academy
Email: irena.belousova@mail.ru
ORCID iD: 0000-0002-4374-4435
SPIN-code: 6386-1117
MD, Dr. Sci. (Med.), Professor
Russian Federation, Saint PetersburgReferences
- Самцов А.В., Белоусова И.Э., Хайрутдинов В.Р., Патрушев А.В. Сосудистые болезни кожи. М.: ГЭОТАР-Медиа; 2022. С. 115–129. [Samtsov AV, Belousova IE, Khairutdinov VR, Patrushev AV. Vascular diseases of skin. Moscow: GEOTAR-Media; 2022. P. 115–129. (In Russ.)] doi: 10.33029/9704-7059-6-VDS-2022-1-200
- Хайрутдинов В.Р., Белоусова И.Э., Самцов А.В. Васкулиты кожи: классификация, диагностика и дифференциальная диагностика (часть 1). Вестник дерматологии и венерологии. 2020;96(1):18–27. [Khairutdinov VR, Belousova IE, Samtsov AV. Сutaneous vasculitis: classification, diagnosis and differential diagnosis (part 1). Vestnik Dermatologii i Vererologii. 2020;96(1):18–27. (In Russ.)] doi: 10.25208/vdv548-2020-96-1-18-27
- Bolognia JL, Schaffer JV, Cerroni L. Dermatology. Amsterdam: Elsevier Limited; 2018. P. 390–407.
- Spector EB, Grody WW, Matteson CJ, Palomaki GE, Bellissimo DB, Wolff DJ, et al. Technical standards and guidelines: venous thromboembolism (Factor V Leiden and prothrombin 20210G > A testing): a disease-specific supplement to the standards and guidelines for clinical genetics laboratories. Genet Med. 2005;7(6):444–453. doi: 10.1097/01.gim.0000172641.57755.3a
- Николаева М.Г., Ясафова Н.Н., Момот А.П., Зайнулина М.С., Момот К.А., Тараненко И.А. Фенотипические проявления мутации протромбина, генотип F2(20210)GA, у женщин репродуктивного возраста. Флебология. 2019;13(4):285–292. [Nikolaeva MG, Yasafova NN, Momot AP, Zaĭnulina MS, Momot KA, Taranenko IA. Phenotypic manifestations of prothrombin gene mutation, genotype, in women of reproductive age. Journal of Venous Disorders. 2019;13(4):285–293. (In Russ.)] doi: 10.17116/flebo201913041285
- Sunderkötter C, Michl C. Cutaneous alterations in vasculitides: Part 1: Nomenclature, classification and correlation between clinical signs and histological features. Internist (Berl). 2019;60(8):799–804. doi: 10.1007/s00108-019-0641-4
- Holl-Ulrich K, Rose C. Cutaneous vasculitis and vasculopathy: Differential diagnosis in biopsies of the lower extremities. Pathologe. 2020;41(4):355–363. doi: 10.1007/s00292-020-00786-9
- Danckwardt S, Gehring NH, Neu-Yilik G, Hundsdoerfer P, Pforsich M, Frede U, et al. The prothrombin 3’end formation signal reveals a unique architecture that is sensitive to thrombophilic gain-of-function mutations. Blood. 2004;104(2):428–435. doi: 10.1182/blood-2003-08-2894
- Poort SR, Rosendaal FR, Reitsma PH, Bertina RM. A common genetic variation in the 3’-untranslated region of the prothrombin gene is associated with elevated plasma prothrombin levels and an increase in venous thrombosis. Blood. 1996;88(10):3698–3703. doi: 10.1182/blood.v88.10.3698.bloodjournal88103698
- Dziadosz M, Baxi LV. Global prevalence of prothrombin gene mutation G20210A and implications in women’s health: a systematic review. Blood Coagul Fibrinolysis. 2016;27(5):481–489. doi: 10.1097/mbc.0000000000000562
- Kyrle PA, Mannhalter C, Béguin S, Stümpflen A, Hirschl M, Weltermann A, et al. Clinical studies and thrombin generation in patients homozygous or heterozygous for the G20210A mutation in the prothrombin gene. Arterioscler Thromb Vasc Biol. 1998;18(8):1287–1291. doi: 10.1161/01.atv.18.8.1287
- Wolberg AS, Monroe DM, Roberts HR, Hoffman M. Elevated prothrombin results in clots with an altered fiber structure: a possible mechanism of the increased thrombotic risk. Blood. 2003;101(8):3008–3013. doi: 10.1182/blood-2002-08-2527
Supplementary files








