Current trends in the incidence of late forms of syphilis in Novosibirsk
- Authors: Khryanin A.A.1, Sukharev P.A.1
-
Affiliations:
- Novosibirsk State Medical University
- Issue: Vol 96, No 1 (2020)
- Pages: 28-33
- Section: ORIGINAL STUDIES
- Submitted: 10.03.2020
- Published: 30.03.2020
- URL: https://vestnikdv.ru/jour/article/view/552
- DOI: https://doi.org/10.25208/vdv552-2020-96-1-28-33
- ID: 552
Cite item
Full Text
Abstract
The main trends in the incidence of syphilis, including its late forms, are analysed in Novosibirsk in 2013—2017. It was found that during this period there was a trend to a decrease in the incidence of syphilis in Novosibirsk, but there was an increase in cases of detection of late forms of syphilis, in particular late latent syphilis and neurosyphilis, mainly in men at the age of 40 years and older. A unique clinical case demonstrating the complexity of differential diagnosis of neurosyphilis is also presented.
Keywords
Full Text
Введение
В настоящее время в Российской Федерации в результате проведения противоэпидемических мероприятий создалась относительно благоприятная эпидемиологическая ситуация по заболеваемости сифилисом. Уровень заболеваемости к 2017 г. достиг 19,5 случая на 100 тыс. населения, что в 14 раз ниже аналогичного показателя 1997 г. — 277,3 случая на 100 тыс. населения [1—3].
Несмотря на это сифилис остается одним из наиболее опасных социально значимых заболеваний среди инфекций, передаваемых половым путем (ИППП). Его можно считать, в том числе, и «болезнью поведения». Многим пациентам, страдающим сифилисом, присущ ряд индивидуальных черт, определяющих склонность к многочисленным, возможно, случайным половым контактам и к отсутствию контроля над половым влечением [3]. В 90-е годы XX века Россия пережила эпидемию, с последствиями которой мы сталкиваемся до сих пор [2]. В настоящее время справедливо говорить о последствиях той эпидемии, о «скрытой эпидемии» сифилиса, которая продолжается с соблюдением всех эпидемиологических законов уже в других, скрытых и поздних формах заболевания, в связи с этим по-прежнему актуален мониторинг эпидемиологической ситуации.
Цель исследования. Провести анализ заболеваемости сифилисом в Новосибирске в период 2013—2017 гг.
Материалы и методы. Ретроспективный эпидемиологический анализ отчетов о заболеваемости сифилисом в России и Новосибирской области с 2013 по 2017 г. Использованы данные статистического отдела ГБУЗ НСО «Новосибирский областной клинический кожно-венерологический диспансер» (отчетные формы № 9 и 34) о регистрации лиц со впервые выявленной инфекционной патологией (ИППП и заразные кожные болезни). Статистическая обработка данных осуществлялась с помощью программы «Инфомед».
Результаты и обсуждение. По данным официальной статистики в Новосибирске в период с 2013 по 2017 г. сохранялась тенденция к снижению выявления новых случаев сифилиса: показатель заболеваемости в 2013 г. составил 28,2 случая на 100 тыс. населения (451 случай), в 2014 г. — 18,8 (302 случая), в 2015 г. — 24,9 (399 случаев), в 2016 г. — 23,7 (379 случаев), в 2017 г. — 20,2 случая на 100 тыс. населения (324 случая). По Российской Федерации показатель заболеваемости в 2017 г. равнялся 19,5 случая на 100 тыс. населения [1] (рис. 1).
Рис. 1. Заболеваемость сифилисом в Российской Федерации и Новосибирске (1997—2017 гг.), случаев на 100 тыс. населения
Fig. 1. Syphilis morbidity in the Russian Federation and Novosibirsk (1997—2017), cases per 100 ths. persons
Частота выявления новых случаев сифилиса в 2017 г. по сравнению с 2013 г. в Новосибирске уменьшилась на 28%. Наибольший спад пришелся на период с 2013 по 2014 г., когда заболеваемость сифилисом снизилась на 33%. Этот факт можно считать значительным, поскольку снижение заболеваемости с 2013 по 2017 г. по РФ составляло от 8 до 14% в год.
При оценке гендерной и возрастной принадлежности установлено, что сифилис чаще выявляли у мужчин в возрастных группах 30—39 лет и 40 лет и старше (рис. 2). Заболеваемость среди мужчин была выше по сравнению с аналогичным показателем у женщин на 15—30% в разные годы, наибольшая разница отмечена в 2017 г. — мужчин заболело больше на 30% (рис. 3). Тенденция соответствует таковой по Российской Федерации — на протяжении последнего десятилетнего периода регистрируемая заболеваемость всеми формами сифилиса по РФ среди мужчин выше, чем среди женщин [1].
Рис. 2. Особенности выявления новых случаев сифилиса в Новосибирске в зависимости от пола и возраста в 2017 г., случаев
Fig. 2. Specifics of identifying new cases of syphilis in Novosibirsk, depending on gender and age in 2017, cases
Рис. 3. Гендерные особенности выявления новых случаев сифилиса в Новосибирске в 2013—2017 гг., случаев
Fig. 3. Gender specifics for identifying new cases of syphilis in Novosibirsk in 2013—2017, cases
Оценивая структуру заболеваемости за анализируемый период (2013—2017 гг.) в Новосибирске, можно говорить о стойком снижении доли ранних форм сифилиса, на которые в 2017 г. пришлось 44,4% от всех выявленных случаев сифилиса (в 2013 г. — 70,2%). Настораживают более чем двукратное увеличение в 2017 г. числа случаев скрытого неуточненного сифилиса — 47,3% (в 2013 г. — 23,1%) и нарастание доли поздних форм — 8,3% (в 2013 г. — 6,7%) (рис. 4). Таким образом, на фоне сокращения ранних форм сифилиса наблюдается рост его поздних форм [1].
Рис. 4. Структура заболеваемости различными формами сифилиса в Новосибирске в 2013 и 2017 гг., %
Fig. 4. Morbidity structure of various forms of syphilis in Novosibirsk in 2013 and in 2017, %
В структуре поздних форм в течение всего пятилетнего периода преобладал поздний скрытый сифилис (55—76% от всех поздних форм), на втором месте по частоте выявления следует нейросифилис (20—42% от всех поздних форм) (рис. 5).
Рис. 5. Структура выявления поздних форм сифилиса в Новосибирске в 2013—2017 гг., % случаев
Fig. 5. The structure of detecting late forms of syphilis in Novosibirsk in 2013—2017, cases, %
В Российской Федерации за десятилетний период произошел более чем двукратный подъем заболеваемости нейросифилисом (2006 г. — 0,30 случая на 100 тыс. населения; 2016 г. — 0,80 случая на 100 тыс. населения) [1]. Эквивалентный подъем заболеваемости в Новосибирске произошел менее чем за пятилетний период (2013 г. — 0,35 случая на 100 тыс. населения; 2016 г. — 0,75 случая на 100 тыс. населения) (рис. 6).
Рис. 6. Динамика заболеваемости нейросифилисом в Российской Федерации и Новосибирске, случаев на 100 тыс. населения
Fig. 6. The morbidity rates of neurosyphilis in the Russian Federation and Novosibirsk, cases per 100 ths. persons
Прослеживается стойкая тенденция к увеличению числа выявляемых случаев нейросифилиса: в 2017 г. их было на 50% больше по сравнению с 2013 г. (9 и 6 случаев соответственно), а в 2016 г. — на 100% (12 случаев). Нейросифилис в Новосибирске преимущественно выявляли в возрастной группе 40 лет и старше, при этом в гендерной структуре — абсолютное превалирование заболеваемости среди мужчин: в 2016 г. — 10 из 12 заболевших, в 2017 г. — 8 из 9 заболевших, т. е. в 5 и 8 раз больше соответственно (рис. 7). По России показатель соотношения между числом заболевших женщин и мужчин также смещается в сторону последних [1].
Рис. 7. Гендерная структура заболеваемости нейросифилисом в Новосибирске в 2013—2017 гг., случаев
Fig. 7. Morbidity gender structure for neurosyphilis in Novosibirsk in 2013—2017, cases
В связи с особенностями эпидемиологической обстановки приводим уникальный клинический случай (без указания на конкретную медицинскую организацию, обращая внимание на то, что все совпадения случайны; тем не менее считаем целесообразным представить этот случай как клинический пример сложности дифференциальной диагностики нейросифилиса).
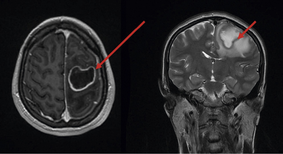
Пациентка была обследована по поводу диагноза «Острое нарушение мозгового кровообращения по недифференцированному типу». По данным магнитно-резонансной томографии (МРТ) головного мозга у пациентки были выявлены признаки объемного образования в левой теменной доле с «масс-эффектом», что, по мнению врачей, соответствовало типичной картине опухоли (рис. 8).
Рис. 8. Результаты магнитно-резонансной томографии пациентки
Fig. 8. A patient's MRI findings
Однако после получения положительных результатов серологических тестов для выявления антител к T. pallidum и спинномозговой (цереброспинальной) жидкости оказалось, что под опухолью головного мозга маскировалась сифилитическая гумма (нейросифилис поздний). После проведенного специфического противосифилитического лечения у пациентки, по данным мультиспиральной компьютерной томографии (МСКТ), отмечалась положительная динамика: уменьшение отека вещества головного мозга и выраженности дислокации срединных структур (рис. 9).
Рис. 9. Результаты МСКТ после противосифилитического лечения (через 6 мес.)
Fig. 9. MSCT findings after antisyphilitic treatment (in 6 months)
Данный клинический случай наглядно демонстрирует, насколько сложна дифференциальная диагностика позднего сифилиса (нейросифилиса), который может успешно маскироваться под другие заболевания.
Таким образом, выявленная тенденция к увеличению заболеваемости поздними формами сифилиса приводит к сложным клиническим ситуациям, в неврологии и нейрохирургии в частности. Отсутствие должной настороженности в рамках данной патологии и невыполнение диагностического минимума приводят к врачебным ошибкам в клинической практике.
Представленные выше данные свидетельствуют о том, что эпидемиологическая ситуация по заболеваемости сифилисом в Новосибирске остается нестабильной: на фоне общей тенденции к снижению числа новых случаев сифилиса, а также уменьшению доли его ранних форм растет количество выявляемых поздних форм, в частности позднего скрытого сифилиса и нейросифилиса, которые регистрируются преимущественно у взрослой части мужского населения города. Это диктует необходимость дальнейшего мониторинга заболеваемости сифилисом и улучшению мер профилактики этой социально значимой проблемы.
ИППП являются управляемыми, как уже показал опыт реализации программ по борьбе с ними в разных странах и предупреждению их распространения среди населения. Для воспитания здорового поколения в Российской Федерации необходима разработка на государственном уровне программ, которые должны быть направлены на формирование у населения ценностного отношения к своему здоровью. Эти программы должны включать в себя разделы, касающиеся развития рационального отношения к своему здоровью и к репродуктивному здоровью как важной составляющей общего благополучия человека и общества [1].
На борьбу с ИППП, и в том числе сифилисом, должна быть направлена содружественная и максимально эффективная деятельность не только узкоспециализированных врачей, но и врачей смежных специальностей, которая должна включать не только лечение уже заболевших, но и раннюю диагностику и в первую очередь профилактику заболевания.
Заключение
Как показало проведенное исследование, в Новосибирске в 2013—2017 гг. наблюдалось снижение общей заболеваемости сифилисом, а также доли его ранних форм. Вместе с тем в этот период возросло число поздних форм, в частности позднего скрытого сифилиса и нейросифилиса, которые регистрировались в основном у мужчин старше 40 лет. Последнее предполагает применение гендерно ориентированных технологий в воспитании подростков и молодежи, постоянного мониторинга и совершенствования мер профилактики ИППП. Половое воспитание, особенно подростков, должно быть основано на формировании мотивации к здоровому образу жизни, стремлению к сохранению и укреплению собственного здоровья, в том числе здоровья своей половой системы, благодаря здоровому образу жизни и социально ответственному поведению.
About the authors
Aleksey A. Khryanin
Novosibirsk State Medical University
Author for correspondence.
Email: khryanin@mail.ru
Dr. med. Sci., Professor, Department of Dermatovenerology and Cosmetology
Россия, 52, Krasny prospect, Novosibirsk, 630091Philipp A. Sukharev
Novosibirsk State Medical University
Email: khryanin@mail.ru
6th year student of the Faculty of Medicine
Россия, 52, Krasny prospect, Novosibirsk, 630091References
- Кубанова А. А., Кубанов А. А., Мелехина Л. Е. Заболеваемость сифилисом в Российской Федерации за период 2006—2016 гг. Вестник дерматологии и венерологии. 2017. № 5. С. 16—25. [Kubanova A. A., Kubanov A. A., Melekhina L. E. Incidence of Syphilis in the Russian Federation Over the Period 2006—2016. Vestnik dermatologii i venerologii. 2017; (5): 16—25. (Russia).]
- Потекаев Н. Н., Фриго Н. В., Алмазова А. А., Лебедева Г. А. Эпидемиология сифилиса в современных условиях. Клин. дерматология и венерология. 2015. № 14 (1). С. 22—34. [Potekaev N. N., Frigo N. V., Almazova A. A., Lebedeva G. A. Epidemiology of syphilis in modern conditions. Klinicheskaya dermatologiya i venerologiya. 2015. № 14 (1). P. 22—34. (Russia).]
- Юцковский А. Д. Сифилитическая инфекция на современном этапе. РМЖ. 2011. Т. 19, № 21. С. 1301—1304. [Yutskovsky A. D. Syphilitic infection at the present stage. RMJ. 2011. Vol. 19, № 21. P. 1301—1304. (Russia).]
Supplementary files













