Indeterminate dendritic cell tumor (IDCT)
- Authors: Okladnikova E.V.1, Merk V.M.1, Krivopalov Y.А.2, Khorzhevskii V.А.1,3, Ruksha T.G.1
-
Affiliations:
- Prof. V.F. Voino-Yasenetsky Krasnoyarsk State Medical University
- Noth-West State Medical University named after I.I. Mechnikov
- Krasnoyarsk Pathological Bureau
- Issue: Vol 99, No 4 (2023)
- Pages: 143-148
- Section: CLINICAL CASE REPORTS
- Submitted: 03.05.2023
- Accepted: 02.09.2023
- Published: 16.10.2023
- URL: https://vestnikdv.ru/jour/article/view/8137
- DOI: https://doi.org/10.25208/vdv8137
- ID: 8137
Cite item
Full Text
Abstract
Indeterminate dendritic cell tumor (IDCT) is rare histiocytic tumor characterized by the proliferation of indeterminate dendritic cells. It is more often diagnosed in middle-aged people, in approximately equal proportions in men and women. The etiology of IDCT is unknown. Differential diagnosis is carried out with other diseases that mimic IDCT and is important for determining treatment tactics. The present paper presents a clinical case of IDCT in a 48-year-old man. The similarity of skin manifestations in IDCT with other cutaneous pathologies requires an immunohistochemical study of the affected areas for CD1a, CD68, S100, Langerin expression evaluation as well as the presence of Birbeck's granules visualization. Routine histological examination does not sufficient for correct IDCT diagnostics.
Keywords
Full Text
Актуальность
Недетерминированная дендритно-клеточная опухоль (Indeterminate dendritic cell tumor — IDCT) развивается из незрелых клеток Лангерганса. Частота встречаемости гистиоцитарных опухолей составляет 0,5–5,4 случая на 1 млн взрослого населения и до 8,9 случая на 1 млн детского населения [1]. Свое начало гистиоцитозы берут из клеток, относящихся к системе мононуклеарных фагоцитов: моноцитов, макрофагов и дендритных клеток. Большое разнообразие фенотипов этих клеток обусловливает разнообразие опухолей, которые могут из них развиться. Одна из гистиоцитарных опухолей — IDCT — впервые была описана в 1980-х гг. и относится к крайне редкой форме гистиоцитоза. На сегодняшний день в мировой практике описано порядка 100 случаев заболевания [2]. IDCT может возникать самостоятельно или сопровождать развитие других онкологических заболеваний, таких как хронический миеломоноцитарный и острый миелоидный лейкоз, фолликулярная лимфома, хронический лимфолейкоз, ангиоиммунобластная Т-клеточная лимфома и другие [2].
Этиология IDCT остается малопонятной. Предполагается связь с нарушением дифференцировки В-клеток, так как наблюдалась связь IDCT с B-клеточными лимфомами и миелоидными новообразованиями [3–5]. Некоторые исследования по экспрессии ZBTB46 позволяют трактовать IDCT как злокачественные новообразования из дендритных клеток [6]. Обсуждается роль мутаций BRAF V600E, однако данные по экспрессии BRAF V600E в тканях IDCT противоречивы [4, 7, 8]. Иммуногистохимическое исследование пролиферативной активности клеток IDCT показало индекс экспрессии маркера пролиферации Ki-67 от 5 до 30% [8].
Клиническая картина IDCT определяется в большинстве случаев (88%) изолированным поражением кожи или лимфатических узлов; описаны единичные случаи с локализацией патологического процесса во внутренних органах — поджелудочной железе, селезенке, легких, щитовидной железе и других [2, 9, 10]. Кожные поражения при IDCT обычно возникают на лице, туловище и конечностях и чаще проявляются в виде множественных сплошных эритематозных или эритематозно-коричневых папул и узловых элементов. Эти поражения обычно мягкой консистенции, имеют тенденцию к слиянию и могут изъязвляться [2, 8, 9]. Течение заболевания варьирует от длительного доброкачественного даже без проведения терапии и спонтанной регрессии до быстрого прогрессирования [2, 9]. Морфологически IDCT характеризуется пролиферацией неопределенных дендритных клеток. Дендритные клетки считаются предшественниками клеток Лангерганса и имеют схожую с ними морфологию и иммунофенотипические черты, например, положительное иммуногистохимическое окрашивание на CD1a, CD68 и S100 [1, 2, 10]. Поэтому дифференциальный диагноз проводят с гистиоцитозом из клеток Лангерганса, при котором, в отличие от IDCT, определяется явный эпидермотропизм с внутриэпидермальными микроабсцессами из клеток Лангерганса, наличие эозинофильной инфильтрации, иммунопозитивность к лангерину (CD207), белку, необходимому для образования гранул Бирбека, и наличие собственно гранул Бирбека [1, 2, 11]. Для дифференциальной диагностики IDCT можно использовать иммуногистохимический анализ транскрипционного фактора ZBTB46, экспрессия которого будет положительной при гистиоцитозе из дендритных клеток, в том числе и при IDCT, но не наблюдается при хроническом миеломоноцитарном лейкозе, ювенильной ксантогранулеме, болезни Розаи–Дорфмана и болезни Эрдгейма–Честера [6]. И все же наиболее типичной является идентификация пролиферирующих клеток в коже с фенотипом CD1a+, S100+, лангерин-. Дифференциальная диагностика IDCT и других заболеваний с похожими клиническими проявлениями важна с точки зрения выбора терапии.
Описание случая
Пациент Д., 48 лет. Направлен дерматологом на патоморфологическое исследование. Беспокоят жалобы на наличие высыпаний в виде узелков диаметром 2–3 мм красноватого, красного и красно-коричневого цвета на коже туловища и конечностей (рис. 1). Появление высыпаний ни с чем не связывает. В течение последних двух лет пациент получал топические глюкокортикостероиды, однако эффекта от проводимой терапии не отмечал. Спустя два года после первого обращения к дерматологу стали развиваться инфильтраты в подкожной клетчатке, появилась слабость, потливость. Пациент был направлен на консультацию к онкологу с предварительным диагнозом: лимфома кожи. Проведена биопсия лимфатического узла в аксиллярной области справа. По данным гистологического исследования выявлены изменения, подозрительные в отношении вторичного поражения лимфатического узла при лангергансоклеточном гистиоцитозе.
Рис. 1. На коже нижних конечностей отмечаются папулезные элементы ярко-красного цвета
Fig. 1. Red papules on lower extremities
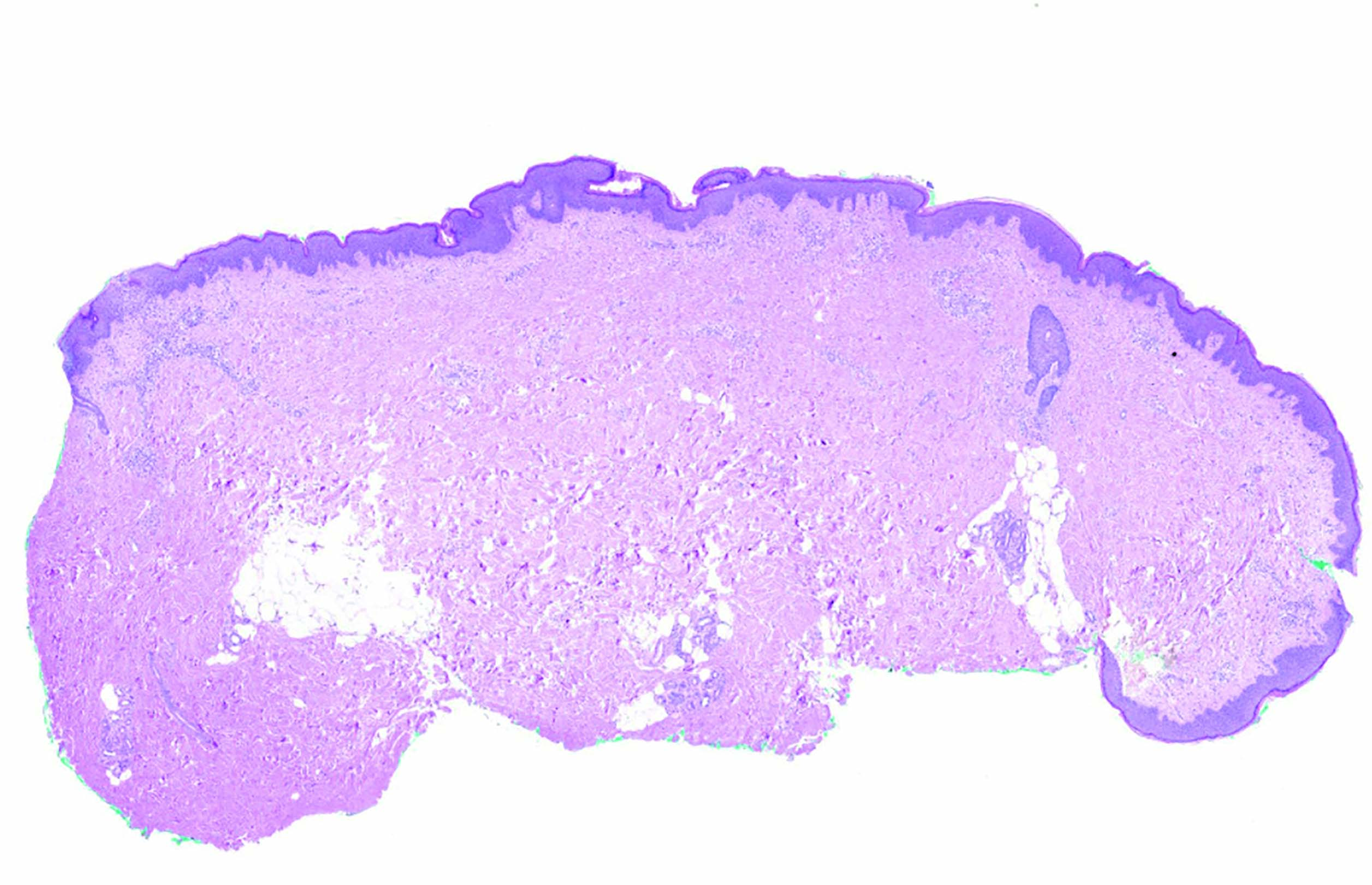
Рис. 2. Неравномерный ортокератоз и акантоз эпидермиса, окраска гематоксилином и эозином (ув. х30)
Fig. 2. Irregular epidermal orthokeratosis and acantosis , staining by hematoxilyn and eosin, x30
Для дифференциальной диагностики гистиоцитоза из клеток Лангерганса с другими гистиоцитарными опухолями было проведено повторное гистологическое и иммуногистохимическое исследование участка пораженной кожи. Гистологическое исследование показало, что в исследованных образцах кожи слабо выражен неравномерный ортокератоз и акантоз эпидермиса (рис. 2). В верхних слоях сетчатого слоя дермы обнаруживаются периваскулярные инфильтраты, образованные клетками среднего размера с овальными ядрами, 1–2 мелкими ядрышками в них и амфофильной цитоплазмой. В некоторых таких клетках можно различить складку ядерной мембраны (дендритные клетки). Среди них рассеяны немногочисленные лимфоциты, гистиоциты и малочисленные эозинофильные гранулоциты (рис. 3, 4).
Рис. 3. В дерме определяются перивазальные инфильтраты, образованные клетками, муфтообразно охватывающими сосуды. Окраска гематоксилином и эозином (ув. х300)
Fig. 3. In the dermis, perivasal infiltrates are determined, formed by cells that cover the vessels in a muff-like manner. Staining by Нematoxilyn and eosin, x300
Рис. 4. Опухолевые клетки среднего размера с овальными ядрами, 1–2 мелкими ядрышками, амфофильной цитоплазмой. В некоторых клетках опухоли можно различить складку ядерной мембраны. Среди них рассеяны немногочисленные лимфоциты, гистиоциты и малочисленные эозинофильные гранулоциты. Окраска гематоксилином и эозином (ув. х600)
Fig. 4. Medium-sized tumor cells with oval nuclei, 1–2 small nucleoli, amphophilic cytoplasm. In some tumor cells, a fold of the nuclear membrane can be distinguished. A few lymphocytes, histiocytes, and eosinophilic granulocytes are scattered among them. Staining by hematoxilyn and eosin, x600
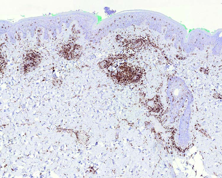
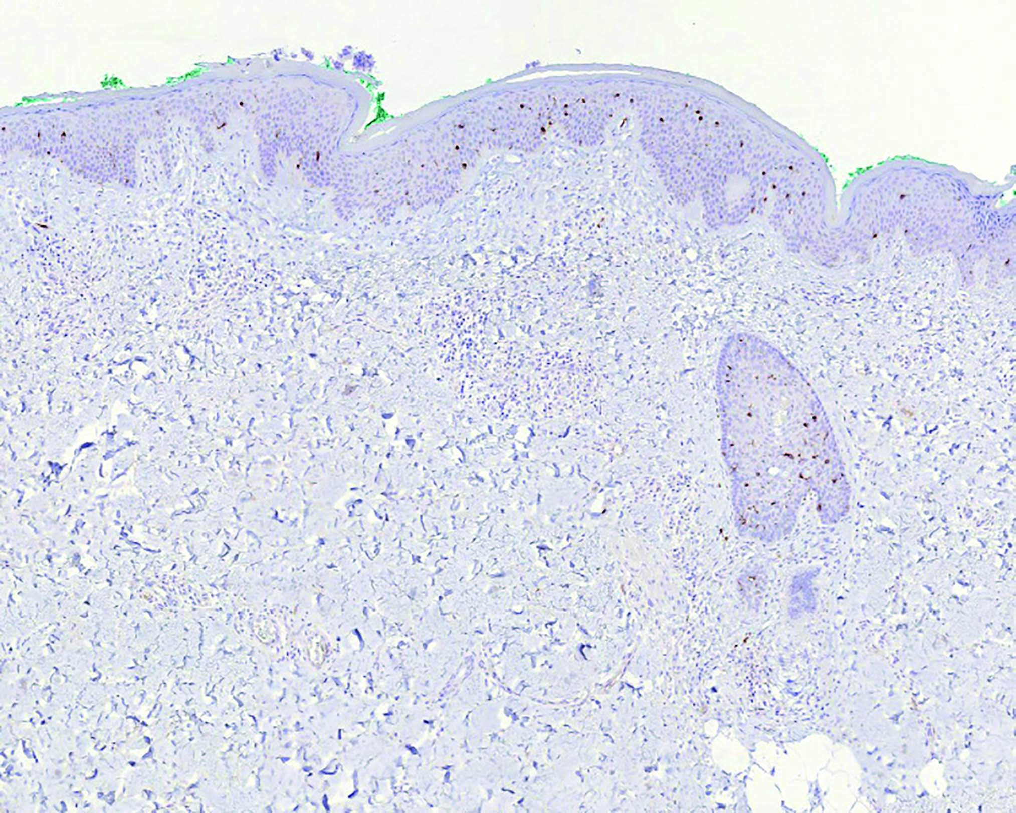
С целью дифференциальной диагностики было проведено иммуногистохимическое исследование, которое показало, что дендритные клетки экспрессируют CD1a, CD4, слабо — белок S100 (рис. 5–7) и не экспрессируют лангерин, CD56, CD68, CD123, CD163, TdT, Cyclin D1, MNDA, ERG (рис. 8). В очаге пролиферации значительно преобладают CD3+ Т-лимфоциты над CD20+ В-лимфоцитами, гистиоциты экспрессируют CD68, CD163, S100, MNDA. В дерме рассеяны немногочисленные тучные клетки (триптаза тучных клеток, CD117).
Рис. 5. Иммуногистохимическое исследование с антителами к CD1а; четко выраженная визуализация CD1а-положительных клеток с типичной локализацией во всех слоях эпидермиса с преимущественной локализацией в шиповатом слое, а также в дерме в окружении сосудов (ув. x100)
Fig. 5. Immunostaining with anti-CD1а antibodies. Immunovisualization of CD1a positive cells through all epidermal layers with more prominent presence in spinous layer as well as in the derma around the vessels, x100
Рис. 6. Иммуногистохимическое исследование с антителами к CD4 (ув. x100)
Fig. 6. Immunostaining with anti-CD4 antibodies, x100
Рис. 7. Иммуногистохимическое исследование с антителами к белку S100: позитивные клетки дермы окрашены в коричневый цвет (ув. х400)
Fig. 7. Immunostaining with protein S100 antibodies: positively stained dermal cells are colored in brown, x400
Маркер пролиферативной активности Ki-67 экспрессирован в ядрах 3–5% клеток пролиферата. Сформировано заключение: гистологические изменения в исследованном участке коже и результаты иммуногистохимического исследования соответствуют недетерминированному дендритно-клеточному гистиоцитозу (ICD-O код 9757/3).
Рис. 8. Отсутствие экспрессии лангерина в дендритных клетках (ув. х100)
Fig. 8. Langerin-negative dendritic cells, x100
С целью уточнения распространенности опухолевого процесса была проведена позитронная эмиссионная томография, которая выявила множественные участки уплотнения в мягких тканях туловища, верхних конечностей, структурно измененные лимфатические узлы аксиллярных и паховых групп с обеих сторон без накопления контрастного вещества; признаков метаболически активной опухолевой ткани выявлено не было.
Больной направлен в региональный онкологический диспансер для проведения дальнейшего лечения.
Обсуждение
Недетерминированная дендритно-клеточная опухоль является редким новообразованием. Ее диагноз устанавливается на основании клинических данных, анамнеза, гистологического исследования и выполнения иммуногистохимического анализа. В гистологической картине отмечается пролиферация гистиоцитов в коже. Иммуногистохимическое исследование с положительной окраской на S100, CD1a позволяет провести дифференциальную диагностику с нелангергансоклеточным гистиоцитозом. Анализ экспрессии лангерина используется для идентификации клеток Лангерганса: негативное окрашивание на данный антиген позволяет отдифференцировать от лангергансоклеточного гистиоцитоза [12]. Помимо малоизученного патогенеза заболевания остаются непонятными подходы к терапии. Положительный регресс опухоли был достигнут при назначении ингибиторов BRAF/MEK у пациентов с положительным мутационным статусом в отношении вышеуказанных генов [13]. Единичные опухоли удаляются хирургическим путем. При наличии сопутствующих онкогематологических заболеваний требуется их терапия.
Заключение
Недетерминированная дендритно-клеточная опухоль (Indeterminate dendritic cell tumor — IDCT) — редкий вид новообразования. При поражении кожи пролиферирующие клетки характеризуются фенотипом CD1a+, S100+, лангерин-, в связи с чем для установления диагноза обязательным является применение иммуногистохимического исследования. Клинические рекомендации в отношении неопределенной дендритно-клеточной опухоли отсутствуют. В качестве терапии применяются хирургическое иссечение опухоли, при обнаружении мутации гена BRAF — соответствующие ингибиторы.
Конфликт интересов: авторы декларируют отсутствие явных и потенциальных конфликтов интересов, связанных с публикацией настоящей статьи.
Источник финансирования: работа выполнена за счет финансирования по месту работы авторов.
Согласие пациента: пациент добровольно подписал информированное согласие на публикацию персональ- ной медицинской информации в обезличенной форме.
Участие авторов: написание статьи — Е.В. Окладникова, В.М. Мерк, Т.Г. Рукша, дизайн исследования — В.А. Хоржевский, анализ материала — Ю.А. Криволапов, В.А. Хоржевский, Т.Г. Рукша.
Conflict of interest: the authors declare the absence of obvious and potential conflicts of interest related to the publication of this article.
Source of funding: the work was carried out at the expense of funding at the place of work of the authors.
Patient consent: the patient voluntarily signed an informed consent to the publication of personal medical information in an impersonal form.
Authors' participation: manuscript writing — Evgenia V. Okladnikova, Vladimir M. Merk, Tatiana G. Ruksha, design — Vladimir A. Khorzhevskii, data analysis — Yuri A. Krivolapov, Vladimir A. Khorzhevskii, Tatiana G. Ruksha.
About the authors
Evgenia V. Okladnikova
Prof. V.F. Voino-Yasenetsky Krasnoyarsk State Medical University
Author for correspondence.
Email: farmasis@yandex.ru
ORCID iD: 0000-0002-1909-222X
SPIN-code: 1220-9302
MD, Cand. Sci. (Med.), Associate Professor
Россия, 1 Partizana Zheleznyaka street, 660022 KrasnoyarskVladimir M. Merk
Prof. V.F. Voino-Yasenetsky Krasnoyarsk State Medical University
Email: merk.vm@bk.ru
SPIN-code: 8550-5248
Graduate Student
Россия, 1 Partizana Zheleznyaka street, 660022 KrasnoyarskYuriy А. Krivopalov
Noth-West State Medical University named after I.I. Mechnikov
Email: krivolapov.yuri@gmail.com
ORCID iD: 0000-0002-9872-0326
SPIN-code: 5471-9335
Scopus Author ID: 6507038921
MD, Dr. Sci. (Med.), Professor
Россия, Saint PetersburgVladimir А. Khorzhevskii
Prof. V.F. Voino-Yasenetsky Krasnoyarsk State Medical University; Krasnoyarsk Pathological Bureau
Email: vladpatholog@yandex.ru
ORCID iD: 0000-0002-9196-7246
Scopus Author ID: 28267763100
MD, Cand. Sci. (Med.)
Россия, 1 Partizana Zheleznyaka street, 660022 Krasnoyarsk; KrasnoyarskTatiana G. Ruksha
Prof. V.F. Voino-Yasenetsky Krasnoyarsk State Medical University
Email: tatyana_ruksha@mail.ru
ORCID iD: 0000-0001-8142-4283
SPIN-code: 5412-2148
Scopus Author ID: 180361
MD, Dr. Sci. (Med.), Professor
Россия, 1 Partizana Zheleznyaka street, 660022 KrasnoyarskReferences
- Kim HM, Yang WI, Lyu CJ, Hahn SM, Yoon SO. Descriptive Analysis of Histiocytic and Dendritic Cell Neoplasms: A Single-Institution Experience. Yonsei Med J. 2020;61(9):774–779. doi: 10.3349/ymj.2020.61.9.774
- Davick JJ, Kim J, Wick MR, Gru AA. Indeterminate Dendritic Cell Tumor: A Report of Two New Cases Lacking the ETV3-NCOA2 Translocation and a Literature Review. Am J Dermatopathol. 2018;40(10):736–748. doi: 10.1097/DAD.0000000000001191
- Rezk SA, Spagnolo DV, Brynes RK, Weiss LM. Indeterminate cell tumor: a rare dendritic neoplasm. Am J Surg Pathol. 2008;32(12):1868–1876. doi: 10.1097/PAS.0b013e31818593d6
- O'Malley DP, Agrawal R, Grimm KE, Hummel J, Glazyrin A, Dim DC, Madhusudhana S, Weiss LM. Evidence of BRAF V600E in indeterminate cell tumor and interdigitating dendritic cell sarcoma. Ann Diagn Pathol. 2015;19(3):113–116. doi: 10.1016/j.anndiagpath.2015.02.008
- Nyckowski T, Vance P, Marks E. A Case of Indeterminate Cutaneous Dendritic Cell Tumors in the Setting of Chronic Myelomonocytic Leukemia. Am J Dermatopathol. 2022;44(6):449–453. doi: 10.1097/DAD.0000000000002195
- Satpathy AT, Brown RA, Gomulia E, Briseño CG, Mumbach MR, Pan Z, еt al. Expression of the transcription factor ZBTB46 distinguishes human histiocytic disorders of classical dendritic cell origin. Mod Pathol. 2018;31(9):1479–1486. doi: 10.1038/s41379-018-0052-4
- Thurner L, Bewarder M, Rosar F, Orth P, Meuter RB, Rixecker T, et al. Indeterminate Dendritic Cell Tumor With Persistent Complete Metabolic Response to BRAF/MEK Inhibition. Hemasphere. 20209;5(1):e511. doi: 10.1097/HS9.0000000000000511
- Huang HJ, Zhong DR, Lu T. [Clinicopathological characteristics of indeterminate dendritic cell tumor of four cases]. Zhonghua Bing Li Xue Za Zhi. 2020;49(9):916–921. doi: 10.3760/cma.j.cn112151-20200601-00430
- Sortino R, Schmid M, El Baz Y, Loosen A, Tarantino I, Steffen T, et al. Indeterminate dendritic cell tumor in the pancreas. J Surg Case Rep. 2020;2020(7):rjaa208. doi: 10.1093/jscr/rjaa208
- Kiyohara T, Nakamaru S, Miyamoto M, Shijimaya T, Nagano N, Makimura K, et al. Indeterminate dendritic cell neoplasm accompanied by eosinophilic pneumonia successfully treated by systemic steroid therapy: Report of the first case with muscular and parotid involvement and review of published work. J Dermatol. 2018;45(12):1444–1447. doi: 10.1111/1346-8138.14673
- Roh J, Kim SW, Park CS. Indeterminate Dendritic Cell Tumor: A Case Report of a Rare Langerhans Cell Lineage Disease. J Pathol Transl Med. 2016;50(1):78–81. doi: 10.4132/jptm.2015.07.03
- Xia DM, Zhou QT, Wang L. Typical leonine facies in a patient with indeterminate dendritic cell tumor. Int J Dermatol. 2023;62(1):128–129. doi: 10.1111/ijd.16106
- Thurner L, Bewarder M, Rosar F, Orth P, Meuter RB, Rixecker T, et al. Indeterminate dendritic cell tumor with persistent complete metabolic response to BRAF/MEK inhibition. Hemasphere. 2020;5(1):e511. doi: 10.1097/HS9.0000000000000511
Supplementary files












