The Reconstructed Human Epidermis in vitro — a Model for Basic and Applied Research of Human Skin
- Authors: Beilin A.K.1,2, Rippa A.L.1, Sharobaro V.I.2, Gurskaya N.G.2,1, Vorotelyak E.A.1
-
Affiliations:
- Koltzov Institute of Development Biology of Russian Academy of Sciences
- Pirogov Medical University
- Issue: Vol 96, No 2 (2020)
- Pages: 24-34
- Section: ORIGINAL STUDIES
- Submitted: 20.03.2020
- Accepted: 12.05.2020
- Published: 02.08.2020
- URL: https://vestnikdv.ru/jour/article/view/1107
- DOI: https://doi.org/10.25208/vdv1107
- ID: 1107
Cite item
Full Text
Abstract
Background. The reconstructed human epidermis (RE) is an in vitro tissue-engineering construct similar to the native epidermis.
Objective. To develop a full-layer RE. Describe its structure: determine the presence of all layers of the epidermal component, including basal, spinous and granular layers and stratum corneum of the epidermis; detect the basement membrane, the border between the epidermal and mesenchymal component.
Materials and methods. Isolation of keratinocytes and fibroblasts from human donor skin. Cultivation of keratinocytes and fibroblasts in vitro under 2D conditions, cell subculturing and 3D modeling of RE, obtaining cryosections, histological staining, immunohistochemical (IHC) study with antibodies to cytokeratins 14 and 10, Ki67 protein, loricrin, laminin 5 and plectin.
Results. A technique was developed for the formation of RE. Histological examination showed that the stratification of keratinocyte layers occurs during the formation of RE. Layers are formed including basal, spinous and granular layers and stratum corneum. The IHC study has shown the proliferative activity of keratinocytes of the basal layer and has detected the presence of marker proteins of keratinocytes at different stages of differentiation. RE basal keratinocytes, like native ones, form hemidesmosomes and synthesize basement membrane proteins.
Conclusions. A full-layer human RE was obtained in vitro. RE meets all the characteristics of the native epidermis and it is suitable for basic and practical research in the field of skin biology, dermatology, and cosmetology.
Full Text
Введение
Биология кожи и ее придатков интенсивно изучается на протяжении многих лет. Исследования в этой области дали обширные и значимые результаты, раскрывающие механизмы многих процессов, имеющих общебиологическое значение. Среди них — регуляция клеточной пролиферации, дифференциации, трансформации, стволовые клетки и их ниши, эпителио-мезенхимные взаимодействия, морфогенез, регенерация, заболевания кожи и многие др. [1—10]. Кожа представляет собой сложный орган, состоящий из эпидермиса, дермы, подкожной жировой клетчатки и придатков кожи, включая волосяной фолликул, сальную и потовую железы.
Эпидермис — наружный слой кожи, который является первым защитным барьером организма. Хорошо известно, что различные типы эпителиев в организме утрачивают мертвые клетки путем слущивания и самообновляются за счет активности стволовых клеток. Эпидермальные стволовые клетки располагаются в базальном слое эпидермиса на базальной мембране и вместе с потомками образуют эпидермальные пролиферативные единицы [11]. На основании имеющихся представлений об организации тканей их можно отнести к структурно-функциональным единицам [4, 12, 13].
Гомеостаз эпидермиса, как известно, поддерживается за счет баланса между пролиферацией базальных клеток и дифференцировкой/стратификацией супрабазальных. В начале дифференцировки базальные кератиноциты прекращают пролиферировать и, оказавшись в супрабазальном клеточном слое, запускают программу дифференцировки, кульминацией которой является корнификация и потеря клеточного ядра. Определение точной последовательности событий коммитирования и дифференцировки как на уровне отдельных клеток, так и в составе тканей до сих пор является важной темой фундаментальных исследований. Базальный слой кератиноцитов контактирует с базальной мембраной и характеризуется высоким пролиферативным потенциалом. Вышележащие слои образованы кератиноцитами на разных стадиях дифференцировки: шиповатый слой, гранулярный и роговой (схема 1). Процесс терминальной дифференцировки начинается с выхода базальных кератиноцитов из клеточного цикла и утраты адгезии к базальной мембране. Формирование шиповатого слоя кератиноцитов сопряжено с подавлением экспрессии генов, экспрессирующихся в базальных кератиноцитах; увеличением экспрессии специфических генов, необходимых для клеточной дифференциации; поддержанием статуса шиповатых кератиноцитов и регуляцией их последовательного перехода в гранулярные кератиноциты. Когда клетки покидают базальный слой и переходят в супрабазальное положение, они начинают экспрессировать такие «ранние маркеры» дифференцировки, как цитокератины 1,10 и инволюкрин. По мере перехода в гранулярный слой кератиноциты синтезируют «поздние маркеры»: белки роговой оболочки лорикрин и стабильный инволюкрин, сшитый трансглутаминазой; филаггрин, связывающий кератиновые филаменты в макрофибриллы и накапливающийся в виде кератогиалиновых гранул. Белки роговой оболочки синтезируются и накапливаются под плазматической мембраной гранулярных клеток. На поздних этапах терминальной дифференцировки происходит разрушение органелл и ядер. Мертвые клетки рогового слоя совместно с липидной оболочкой создают непроницаемый барьер и впоследствии сменяются нижележащими клетками, слущиваясь с поверхности эпидермиса [14].
Схема 1. Строение эпидермиса [14]
Цель исследования: разработать методику получения тканеинженерного реконструированного эпидермиса (РЭ) человека in vitro, охарактеризовать стратифицированные слои кератиноцитов по наличию экспрессии белков-маркеров соответственно структуре нативного эпидермиса человека.
Материалы и методы
Порядок работы с биоматериалом человека утвержден Комиссией по этике ИБР РАН.
Выделение первичных кератиноцитов человека
Первичные клеточные культуры были выделены из биоптатов кожи, полученных после круговой пластики лица с информированного согласия пациентов. Образцы транспортировали в среде DMEM (ПанЭко) с добавление 4 ммоль глутамина (Sigma) и 0,05 мг/мл гентамицина (ПанЭко). Далее все операции производили в стерильных условиях с применением стандартных методов асептики. Для предотвращения контаминации клеточных культур биоптат кожи промывали раствором Хэнкса (ПанЭко) с добавлением 0,15 мг/мл гентамицина. Затем биоптат кожи помещали в 0,1% раствор диспазы (Gibco) в среде ДМЕМ и инкубировали при 4 °С в течение 12—14 ч. Далее с помощью пинцета эпидермис отделяли от дермы. Для выделения базальных кератиноцитов эпидермис погружали в раствор 0,25% трипсина с ЭДТА (Gibco) и инкубировали при 37 °С в течение 15 мин с последующим интенсивным встряхиванием и осаждением на центрифуге при 400 g в течение 5 мин. Осадок ресуспендировали в культуральной среде для первичных кератиноцитов (CnT-07 (Cell’n’Tech)) и высевали на культуральный пластик (Corning), предварительно покрытый коллагеном I типа.
Выделение первичных фибробластов человека
Для выделения фибробластов дерму погружали в 0,2% раствор коллагеназы (Worthington) в среде ДМЕМ, измельчали с помощью глазных ножниц до фрагментов размером менее 1 мм3 и инкубировали при 37 °С в течение 3—4 ч. Полученную взвесь осаждали центрифугированием при 400 g в течение 5 мин. Осадок ресуспендировали в культуральной среде для первичных фибробластов (DMEM с добавлением 10% ЭТС (Capricorn), GlutaMAX-I (Gibco), пирувата натрия (Gibco), пенициллина и стрептомицина (Gibco) в соотношении 1:1 со средой AmnioMAX-II (Gibco)) и высевали на культуральный пластик. Первичные фибробласты человека использовали в качестве фидерного слоя для базальных кератиноцитов.
Культивирование кератиноцитов и фибробластов в 2D условиях
Кератиноциты культивировали на пластике, покрытом коллагеном. Первичные фибробласты культивировали на пластике без покрытия. Культуры клеток содержали в инкубаторе с 5% СО2 и насыщающей влажностью при 37 °С. Культуры пассировали по достижении клетками 70% конфлюэнтности в соотношении 1:3. Смену среды осуществляли через каждые 2 дня.
Создание и культивирование 3D реконструированного эпидермиса человека in vitro
Для культивирования клеток на границе среда-воздух использовали мембранные вставки для мультилуночных планшетов с диаметром пор 0,4 мкм (SPL). Фибробласты высевали на мембрану в среде для первичных фибробластов и культивировали 7 дней в погруженном состоянии. Смену среды осуществляли через каждые 2—3 дня. Кератиноциты высевали поверх фибробластов и культивировали 3 дня в погруженном состоянии в среде CnT-07. Далее заменяли среду на среду для стратификации кератиноцитов (CnT-Airlift (Cell’n’Tech)) и культивировали 3 дня в погруженном состоянии. Далее создавали условия культивирования на границе среда-воздух (схема 2). Культивирование продолжали в течение 2 недель. Смену среды осуществляли через каждые 2—3 дня. Сформировавшиеся эквиваленты фиксировали и замораживали для дальнейших исследований.
Схема 2. Процесс создания 3D РЭ
Получение криосрезов
Для гистологического исследования РЭ фиксировали в 10% забуференном формалине (BioVitrum) в течение суток, после чего промывали PBS (БиолоТ) 3 раза в течение 1 ч и проводили через 15% и 30% растворы сахарозы (Sigma-Aldrich) на PBS в течение 2 суток. Далее РЭ заключали в среду для формирования криоблоков (Tissue-Tek, SAKURA) и охлаждали в гексане при –40 °С. Криоблоки РЭ хранили при –70 °С. Нативную кожу человека после промывки в физрастворе погружали в среду для формирования криоблоков и охлаждали в парах азота, криоблоки хранили при –70 °С. Для гистологического и иммуногистохимического (ИГХ) анализа использовали срезы толщиной 5 мкм, полученные на криостате (Microm HM 525, Thermo Scientific). Полученные срезы высушивали при комнатной температуре в течение суток, срезы нативной кожи человека перед окраской фиксировали в 10% забуференном формалине в течение 10 мин, промывали 3 раза по 5 мин DPBS (ПанЭко).
Гистологическое исследование
Для морфологического анализа срезы окрашивали гематоксилин-эозином (BioVitrum) по стандартному протоколу и заключали в витрогель (BioVitrum).
Иммуногистохимическое исследование
Срезы инкубировали с первичными антителами, разведенными в блокирующем растворе (PBS, 10% ЭТС, 0,3% TRITON X-100 (Sigma)) во влажной камере при +4 °С в течение 12—14 ч. Далее применяли вторые антитела, конъюгированные с пероксидазой хрена ImmPRESS REAGENT KIT (MP-7402 и MP-7401) по стандартному протоколу, ядра клеток докрашивали гематоксилином. Окрашенные срезы заключали в витрогель.
Список использованных в работе первичных антител
Anti-Keratin 10 (Santa Cruz Biotechnology, sc23877); anti-Keratin 14 (Abcam, ab181595); anti-Loricrin (Abcam, ab24722); anti-Ki67 (Abcam, ab16667); anti-Laminin 5 (Abcam, ab14509); anti-Plectin abcam (Abcam, ab32528).
Микроскопия
Съемку гистологических препаратов осуществляли на микроскопе Keyence BZ-9000 с постобработкой фотографий с использованием программного обеспечения Fiji [15].
Результаты
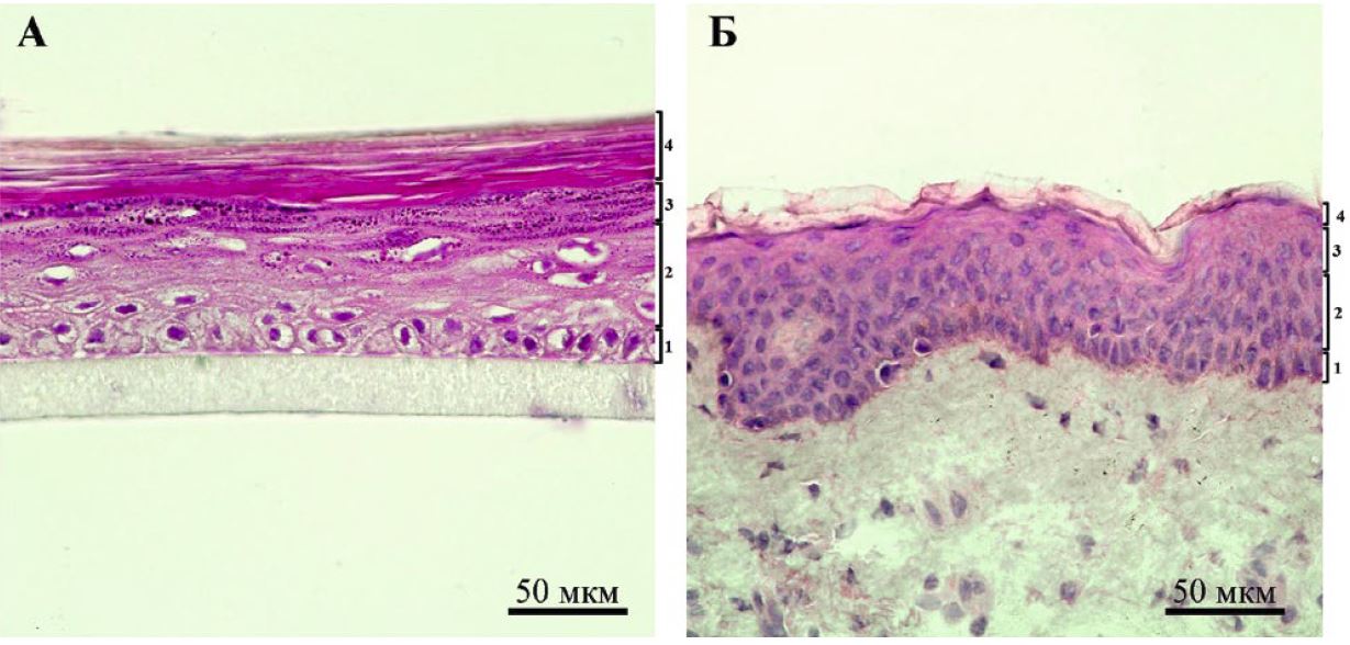
Гистологическое исследование показало формирование многослойной структуры эпидермиса в модели РЭ. Кератиноциты в эквиваленте подвергаются стратификации и дифференциации. На препарате хорошо различим слой базальных кератиноцитов, которые имеют кубическую форму, расположены в основании эпидермиса на базальной мембране. Над базальным слоем расположен слой шиповатых кератиноцитов, далее гранулярный слой и роговой слой (рис. 1). В нашей модели РЭ наблюдается около 8—10 слоев жизнеспособных клеток. В роговом слое насчитывается около 10 слоев терминально дифференцированных кератиноцитов, в «конченом» итоге слущивающихся с его поверхности (рис. 1А).
Рис. 1. Структура эпидермиса: А — РЭ, Б — кожа человека (1 — базальный слой; 2 — шиповатый слой; 3 — гранулярный слой; 4 — роговой слой). Окраска гематоксилином и эозином, ×400
ИГХ-исследование экспрессии маркера пролиферирующих клеток Ki67 позволило выявить пролиферирующие кератиноциты, которые преимущественно детектируются в базальном слое, что соответствует литературным данным относительно эпидермиса (рис. 2) [16]. Пролиферирующие клетки базального слоя проходят серию морфологических и биохимических изменений, которые завершаются формированием мертвых, уплощенных, энуклеированных чешуек рогового слоя. Чешуйки рогового слоя — это терминально дифференцированные кератиноциты, скрепленные вместе липидами. Роговой слой РЭ подобно роговому слою нативной кожи является функциональным барьером.
Рис. 2. Пролиферация базальных клеток в РЭ: А — РЭ, Б — кожа человека. Стрелка указывает на пролиферирующие ядра. ИГХ-исследование, ×400
Базальная мембрана важна в поддержании пролиферации базальных кератиноцитов и сохранении эпидермальных стволовых клеток. Она определяет полярность базальных кератиноцитов. Поляризация выражается в неоднородном распределении мембранных белков базальных кератиноцитов и асимметрии макродоменов плазматической мембраны. В клетке базального кератиноцита выделяют два мембранных домена: апикальный и базолатеральный. Последний граничит с базальной мембраной. Это свойство базальных кератиноцитов называют апико-базальной асимметрией.
Интегриновые рецепторы связывают клетки с базальной мембраной и способствуют сохранению пролиферативного статуса базальных кератиноцитов [17, 18]. Считается, что снижение экспрессии интегринов приводит к откреплению клеток от базальной мембраны и их дифференцировке.
ИГХ-исследование экспрессии плектина в РЭ показало наличие этого белка в зоне прикрепления базальных кератиноцитов к базальной мембране (рис. 3В, В'). Плектин является линкерным белком между кератиновыми филаментами кератиноцитов и интегрином α6β4 в структуре гемидесмосом. Молекулы интегрина α6β4 прочно закрепляют клетки на базальной мембране, связываясь с ее компонентами, преимущественно с ламинином 5 (α3β3γ2) [19]. Базальные кератиноциты РЭ активно синтезируют ламинин 5, на что указывает наличие его экспрессии в эквивалентах (рис. 3А, А'). Таким образом, базальные кератиноциты в РЭ сохраняют пролиферативную активность, успешно синтезируют белки базальной мембраны и формируют гемидесмосомы, контакты, которые обеспечивают их надежное сцепление с белками внеклеточного матрикса. ИГХ-исследование экспрессии ламинина 5 подтвердило наличие правильно сформированной базальной мембраны в РЭ.
Рис. 3. Идентификация зоны базальной мембраны и гемидесмосом в РЭ: Экспрессия ламинина 5 (А, А', Б). Экспрессия плектина (В, В', Г). А, А', В, В' — РЭ; Б, Г — кожа человека. ИГХ-исследование, ×400. Положительные по маркерам зоны окрашены коричневым
Прогрессия дифференцировки кератиноцитов хорошо наблюдается при ИГХ-исследовании экспрессии белков — маркеров дифференцировки кератиноцитов: цитокератинов 14 и 10, лорикрина (рис. 4). Базальные и мало дифференцированные супрабазальные кератиноциты экспрессируют кератин 14 (рис. 4A). Кератиноциты, находящиеся на ранних стадиях дифференцировки и располагающиеся в верхних супрабазальных слоях, экспрессируют маркер ранней дифференцировки кератин 10 (рис. 4Б). Кератиноциты гранулярного слоя характеризуются экспрессией маркера поздней дифференцировки лорикрина. Экспрессирующие лорикрин кератиноциты граничат с терминально дифференцированными кератиноцитами рогового слоя (рис. 4В). Экспрессия маркеров дифференцировки, соответствующая нативному эпидермису, доказывает функциональность РЭ.
Рис. 4. Дифференциация и стратификация эпидермиса в РЭ: Экспрессия цитокератина 14 (А, Г); цитокератина 10 (Б, Д); лорикриина (В, Е). А, Б, В — РЭ; Г, Д, Е — кожа человека. ИГХ-исследование, ×400. Положительные по маркерам зоны окрашены коричневым
Обсуждение
Эквиваленты кожи являются довольно простым тканевым конструктом, но тем не менее разрабатывались они на протяжении многих лет. Также биоинженерная кожа всегда вызывала большой интерес как в качестве модельной системы биологии и патологии кожи, так и для тестирования терапевтических средств и косметологических продуктов. Учитывая существующий дефицит и ряд ограничений применения донорской кожи, эквиваленты кожи крайне востребованы для увеличения эффективности заживления ран при различных поражениях кожи (механические повреждения, термические, химические ожоги, не поддающиеся лечению длительно незаживающие раны) [20, 21]. Многие заменители кожи являются коммерческими продуктами и могут содержать различный вариант биоразлагаемого матрикса, как самостоятельный элемент или в сочетании с клеточным компонентом [22, 23]. Основной целью применения эквивалентов кожи, как правило, является разрешение ранозаживления, его ускорение и предотвращение формирования рубцов. Ранее мы показали, что, например, коллагеновый гель, заселенный клетками кожи, в качестве трансплантата на мышиной модели способствует уменьшению воспаления и эффективному заживлению ран: активной васкуляризации грануляционной ткани, ремоделированию дермы в месте раны и быстрой эпителизации [24]. Кроме того, ряд моделей кожи разработан для развития исследований и тестирования фармакологических, косметологических препаратов, изобретены различные аналоги органов, в том числе так называемые органы-на-чипах [25].
Создание эквивалента кожи основано на самопроизвольной организации клеток кожи: фибробластов и кератиноцитов in vitro, формирующих структуру, подобную коже. В модели РЭ, подобно нативному эпидермису, формируются все слои кератиноцитов, находящихся на разных стадиях дифференцировки. Базальные кератиноциты РЭ пролиферируют, синтезируют белки базальной мембраны и формируют гемидесмосомы — прочные контакты, крепко удерживающие их на базальной мембране и опосредующие поляризованное состояние базальных кератиноцитов. Модель РЭ позволяет анализировать особенности экспрессии и секреции отдельных белков, в совокупности с особенностями процессов пролиферации, стратификации и дифференцировки на уровне эпидермального гомеостаза.
Получение тканеинженерных эпидермальных эквивалентов кожи важно для выявления механизмов патогенеза генодерматозов. Изменения в структуре и паттерне экспрессии структурных белков кожи влекут за собой особенности и нарушения межклеточных взаимодействий, для их визуализации и анализа удобно использовать модели эквивалентов кожи. Эпидермальные эквиваленты из культивируемых клеток больных применяются для оценки воздействия генотерапии как на кератиноциты, так и на фибробласты. Модели эпидермальных эквивалентов использовались для оценки генетической коррекции гена SPIND5 при синдроме Нидертона, приводящего к нарушениям кератинизации [26]; для коррекции гена COL7A1 при дистрофическом буллезном эпидермолизе [27], коррекции KRT10 при эпидермолитическом ихтиозе [28]. Эпидермальные эквиваленты используются для тестирования новых лекарственных препаратов. Например, на эквивалентах кожи из культивируемых клеток больных разными формами генодерматозов был показан терапевтический эффект от применения аминогликозидов, амелиоративный эффект от интрадермальных инъекций рекомбинантных белков, как в случае с COL7A1 [29]. Показан позитивный эффект от воздействия гентамицина, генецитина и других лекарственных препаратов, обеспечивающих трансляцию мРНК с предварительными стоп-кодонами, это частый тип патологических мутаций, приводящий либо к деградации транскрипта, либо к появлению укороченных нефункциональных форм белка. «Проскакивание» предварительных стоп-кодонов в ряде случаев, в зависимости от расположения мутации, приводит к появлению белка и частичному восстановлению нормального физиологического состояния клетки [30—33].
Трехмерная природа эквивалентов кожи позволяет моделировать различные патологические состояния кожи, такие как, например, атопический дерматит [33], псориаз [35] и генодерматозы [36], за счет включения в эквиваленты клеток пациентов, гиперпигментацию [37] за счет включения в эквиваленты меланоцитов [38], клеток Лангерганса [39].
В онкологии модели кожи используются для изучения ранних стадий развития меланом [40]. Очень активно эквиваленты кожи используются в исследованиях трансдермальной доставки лекарств и других фармакологических субстанций. Также эквиваленты кожи могут быть использованы для изучения влияния различных факторов и фармакологических агентов на биогенез и реэпителизацию кожи in vitro [41], регуляцию дифференцировки кератиноцитов, абсорбцию и иммунотоксичность, реакцию кожи на коррозирующие вещества, раздражители и аллергены [42], а также способность кератиноцитов контрактировать (сокращать) матрикс или рану [43], для оценки фототоксичности [44]. Более того, среда при культивировании на границе раздела фаз может быть собрана для анализа выбрасываемых в нее клетками медиаторов и/или метаболитов, что обеспечивает количественный и объективный результат в сравнении с такими субъективными параметрами, как эритемы и отеки in vivo.
В последнее время все большую значимость приобретают исследования роли микробиома в регуляции гомеостаза различных органов и их систем [45]. Кожа также имеет свой микробиом, который участвует в поддержании иммунитета и барьерной функции этого органа. РЭ in vitro может являться инструментом для изучения эпителиального и кожного микробиома. Учитывая, что в фармацевтической и косметологической промышленности растет число применяемых синтетических соединений и составов и ранее испытания на животных были единственным способом оценить потенциал веществ и смесей в их способности наносить вред коже, в настоящее время модели РЭ позволяют производить оценку токсичности in vitro. РЭ плотно контактирует со стенками лунки, формируя эпидермальный барьер, за счет этого предотвращается утечка жидких тестируемых веществ вдоль внутренней стенки. РЭ позволяет определять коррозийный и раздражающий потенциал определенных ингредиентов, что необходимо для их классификации и маркировки [21, 46, 47]. Скрининг веществ-раздражителей кожи проводится по стандартам, утвержденным организацией экономического сотрудничества и развития (ОЭСР) [21, 47]. Таким образом, модель РЭ находит применение в качестве тест-системы в области клеточной биологии, регенеративной медицины, старения и заболеваний кожи, разработки лекарств и косметических средств и др. областях (схема 3).
Схема 3. Сферы применения модели РЭ
Заключение
Разработана модельная система РЭ человека in vitro. В составе РЭ формируется 8—10 слоев жизнеспособных клеток и около 10 слоев уплощенных корнеоцитов рогового слоя. Экспрессия маркеров пролиферации и дифференцировки кератиноцитов РЭ соответствует структуре нативного эпидермиса, таким образом процесс стратификации и дифференцировки в РЭ протекает аналогично таковому в эпидермисе in vivo. Полученные данные обосновывают применение модели РЭ в фундаментальных и прикладных исследованиях в области биологии кожи в норме и при патологии.
Работа выполнена при финансовой поддержке гранта РФФИ № 19-29-04044.
Работа Е.А. Воротеляк и А.Л. Риппа выполнена в рамках раздела Госзадания ИБР РАН 2020 г. № 0108-2019-0004.
Полученные клеточные линии были депонированы в Уникальной научной установке Коллекции клеточных культур Института биологии развития им. Н.К. Кольцова РАН.
About the authors
Arkadii K. Beilin
Koltzov Institute of Development Biology of Russian Academy of Sciences; Pirogov Medical University
Email: arkadii.beilin@gmail.com
ORCID iD: 0000-0001-9868-5623
Ph.D-student of Laboratory of Cell Biologyy; Junior scientific researcher of the Institute of Translational Medicine
Россия, MoscowAlexandra L. Rippa
Koltzov Institute of Development Biology of Russian Academy of Sciences
Email: rippa86@yandex.ru
ORCID iD: 0000-0001-7300-8466
ResearcherId: I-2103-2014
Ph.D (Biol.), scientific researcher of Laboratory of Cell Biology
Россия, MoscowValentin I. Sharobaro
Pirogov Medical University
Email: sharobarovi@mail.ru
Dr. Sci. (Med.), Prof., Professor of the Russian Academy of Sciences, Professor, Department of Plastic&Reconstructive Surgery, Cosmetology and Cell Technologies
Россия, MoscowNadejda G. Gurskaya
Pirogov Medical University; Koltzov Institute of Development Biology of Russian Academy of Sciences
Email: ngurskaya@mail.ru
Ph.D (Biol.), senior scientific researcher of the Institute of Translational Medicine; scientific researcher of Laboratory of Cell Biology
Россия, MoscowEkaterina A. Vorotelyak
Koltzov Institute of Development Biology of Russian Academy of Sciences
Author for correspondence.
Email: vorotelyak@yandex.ru
Dr. Sci. (Biol.), Prof., Corresponding Member of the Russian Academy of Sciences, Head of Laboratory of Cell Biology
Россия, MoscowReferences
- Vorotelyak E.A., Tsitrin E.B., Vasiliev A.V., Terskikh V.V. Cultured human keratinocytes retaining label for a long time. Dokl Biol Sci. 2005; 402:221-223. doi: 10.1007/s10630-005-0094-x.
- Chermnykh E.S., Vorotelyak E.A., Tkachenko S.B., Vasiliev A.V., Terskikh V.V. Proliferation of K19+ human epidermal keratinocytes in vitro. Dokl Biol Sci. 2007; 416: 406—408. doi: 10.1134/s0012496607050250.
- Blanpain C., Fuchs E. Epidermal homeostasis: a balancing act of stem cells in the skin. Nat Rev Mol Cell Biol. 2009; 10 (3): 207—217. doi: 10.1038/nrm2636.
- Воротеляк Е.А., Терских В.В. Стволовые клетки эпителиальных тканей. Биология стволовых клеток и клеточные технологии. 2009; 2: 53—74. ISBN 5-225-03377-6. [Vorotelyak E.A., Terskikh V.V. Stem cells of epithelial tissues. Stem cell biology and cell technology. 2009; 2: 53—74.]
- Chermnykh E.S., Vorotelyak E.A., Gnedeva K.Y. et al. Dermal papilla cells induce keratinocyte tubulogenesis in culture. Histochem Cell Biol. 2010; 133 (5): 567—576. doi: 10.1007/s00418-010-0691-0.
- Terskikh V.V., Vasiliev A.V., Vorotelyak E.A. Label retaining cells and cutaneous stem cells. Stem Cell Rev Rep. 2012; 8 (2): 414—425. doi: 10.1007/s12015-011-9299-6.
- Vorotelyak E., Terskikh V., Vasiliev A.V. Epithelial-to-mesenchymal transition in epidermal keratinocytes. Keratinocytes: Structure, Molecular Mechanisms and Role in Immunity. January 2013; 69—107.
- Takeo M., Lee W., Ito M. Wound healing and skin regeneration. Cold Spring Harb Perspect Med. 2015; 5 (1): a023267. doi: 10.1101/cshperspect.a023267.
- Kalabusheva E.P., Chermnykh E.S., Terskikh V.V., Vorotelyak E.A. Hair Follicle Reconstruction and Stem Cells. Hair and Scalp Disorders. 2017. doi: 10.5772/66707.
- Rognoni E., Watt F.M. Skin Cell Heterogeneity in Development, Wound Healing, and Cancer. Trends Cell Biol. 2018; 28 (9): 709—722. doi: 10.1016/j.tcb.2018.05.002.
- Potten C.S. The epidermal proliferative unit: the possible role of the central basal cell. Cell Tissue Kinet. 1974; 7 (1): 77—88. doi: 10.1111/j.1365-2184.1974.tb00401.x.
- Slack J.M. Stem cells in epithelial tissues. Science. 2000; 287 (5457): 1431—1433. doi: 10.1126/science.287.5457.1431.
- Терских В.В., Васильев А.В., Воротеляк Е.А. Структурно-функциональные единицы эпидермиса. Известия РАН. Сер. Биол. 2003; 6: 645—649. [Terskikh V.V., Vasiliev A.V., Vorotelyak E.A. Structural-Functional Units of Epidermis. Biol. Bull. 2003; 30 (6): 535—539 (Russia).]
- Kulukian A., Fuchs E. Spindle orientation and epidermal morphogenesis. Philos Trans R Soc Lond B Biol Sci. 2013; 368 (1629): 20130016. doi: 10.1098/rstb.2013.0016.
- Schindelin J., Arganda-Carreras I., Frise E. et al. Fiji: an open-source platform for biological-image analysis. Nat Methods. 2012; 9 (7): 676—682. doi: 10.1038/nmeth.2019.
- Ando M., Kawashima T., Kobayashi H., Ohkawar A. Immunohistological Detection of Proliferating Cells in Normal and Psoriatic Epidermis Using Ki-67 Monoclonal Antibody. J Dermatol Sci. 1990; 1 (6): 441—446. doi: 10.1016/0923-1811(90)90014-5.
- Watt F.M. Role of integrins in regulating epidermal adhesion, growth and differentiation. EMBO J. 2002; 21 (15): 3919—26. doi: 10.1093/emboj/cdf399.
- Fuchs E., Raghavan S. Getting under the skin of epidermal morphogenesis. Nat Rev Genet. 2002; 3 (3): 199—209. doi: 10.1038/nrg758.
- Риппа А.Л., Воротеляк Е.А., Васильев А.В., Терских В.В. Роль интегринов в формировании и гомеостазе эпидермиса и придатков кожи. Acta Naturae. 2013; 5 (4 (19)): 24—36. [Rippa A.L., Vorotelyak E.A., Vasiliev A.V., Terskikh V.V.THE ROLE OF INTEGRINS IN THE DEVELOPMENT AND HOMEOSTASIS OF THE EPIDERMIS AND SKIN APPENDAGES. Acta Naturae 2013. Т. 5. № 4. С. 22—33.]
- Vig K., Chaudhari A., Tripathi S., et al. Advances in Skin Regeneration Using Tissue Engineering. Int J Mol Sci. 2017; 18 (4). doi: 10.3390/ijms18040789.
- Pedrosa T. do N., Catarino C.M., Pennacchi P.C. et al. A new reconstructed human epidermis for in vitro skin irritation testing. Toxicol In Vitro. 2017; 42: 31—37. doi: 10.1016/j.tiv.2017.03.010.
- Kallis P.J., Friedman A.J., Lev-Tov H. A Guide to Tissue-Engineered Skin Substitutes. J Drugs Dermatol. 2018; 17 (1): 57—64.
- Rippa A.L., Kalabusheva E.P., Vorotelyak E.A. Regeneration of Dermis: Scarring and Cells Involved. Cells. 2019; 8 (6). doi: 10.3390/cells8060607.
- Chermnykh E., Kalabusheva E., Vorotelyak E. Extracellular Matrix as a Regulator of Epidermal Stem Cell Fate. Int J Mol Sci. 2018; 19 (4). doi: 10.3390/ijms19041003.
- Алпеева Е.В., Сидоренкова А.Ф., Воротеляк Е.А. Экспериментальные клеточные системы: от органов в чашке Петри до «органов-на-чипах». Вестник Московского ун-та. Серия 16. Биология. 2017. [Alpeeva E.V., Sidorenkova A.F., Vorotelyak E.A. OVERVIEW OF CELL MODELS: FROM ORGANS CULTURED IN A PETRI DISH TO “ORGANS-ON-CHIPS”. Vestnik Moskovskogo universiteta. Seriya 16. Biologiya. 2017;72(4):187—198]
- Di W.-L., Larcher F., Semenova E., et al. Ex-vivo gene therapy restores LEKTI activity and corrects the architecture of Netherton syndrome-derived skin grafts. Mol Ther. 2011; 19 (2): 408—416. doi: 10.1038/mt.2010.201.
- Takashima S., Shinkuma S., Fujita Y., et al. Efficient Gene Reframing Therapy for Recessive Dystrophic Epidermolysis Bullosa with CRISPR/Cas9. J Invest Dermatol. 2019; 139 (8): 1711—1721. e4. doi: 10.1016/j.jid.2019.02.015.
- March O.P., Lettner T., Klausegger A., et al. Gene Editing-Mediated Disruption of Epidermolytic Ichthyosis-Associated KRT10 Alleles Restores Filament Stability in Keratinocytes. J Invest Dermatol. 2019; 139 (8): 1699—1710. e6. doi: 10.1016/j.jid.2019.03.1146.
- Woodley D.T., Keene D.R., Atha T., et al. Injection of recombinant human type VII collagen restores collagen function in dystrophic epidermolysis bullosa. Nat Med. 2004; 10 (7): 693—695. doi: 10.1038/nm1063.
- Gómez-Grau M., Garrido E., Cozar M. et al. Evaluation of Aminoglycoside and Non-Aminoglycoside Compounds for Stop-Codon Readthrough Therapy in Four Lysosomal Storage Diseases. PLoS One. 2015; 10 (8). doi: 10.1371/journal.pone.0135873.
- Matalonga L., Arias Á., Tort F. et al. Effect of Readthrough Treatment in Fibroblasts of Patients Affected by Lysosomal Diseases Caused by Premature Termination Codons. Neurotherapeutics. 2015; 12 (4): 874—886. doi: 10.1007/s13311-015-0368-4.
- Woodley D.T., Cogan J., Hou Y. et al. Gentamicin induces functional type VII collagen in recessive dystrophic epidermolysis bullosa patients. J Clin Invest. 2017; 127 (8): 3028—3038. doi: 10.1172/JCI92707.
- Lincoln V., Cogan J., Hou Y. et al. Gentamicin induces LAMB3 nonsense mutation readthrough and restores functional laminin 332 in junctional epidermolysis bullosa. Proc Natl Acad Sci USA. 2018; 115 (28): E6536—E6545. doi: 10.1073/pnas.1803154115.
- Yuki T., Tobiishi M., Kusaka-Kikushima A., Ota Y., Tokura Y. Impaired Tight Junctions in Atopic Dermatitis Skin and in a Skin-Equivalent Model Treated with Interleukin-17. PLoS ONE. 2016; 11 (9): e0161759. doi: 10.1371/journal.pone.0161759.
- Barker C.L., McHale M.T., Gillies A.K. et al. The development and characterization of an in vitro model of psoriasis. J Invest Dermatol. 2004; 123 (5): 892—901. doi: 10.1111/j.0022-202X.2004.23435.x.
- Jung J.P., Lin W.-H., Riddle M.J., Tolar J., Ogle B.M. A 3D in vitro model of the dermoepidermal junction amenable to mechanical testing. J Biomed Mater Res A. 2018; 106 (12): 3231—3238. doi: 10.1002/jbm.a.36519.
- Swope V.B., Supp A.P., Schwemberger S., Babcock G., Boyce S. Increased expression of integrins and decreased apoptosis correlate with increased melanocyte retention in cultured skin substitutes. Pigment Cell Res. 2006; 19 (5): 424—433. doi: 10.1111/j.1600-0749.2006.00325.x.
- Nissan X., Larribere L., Saidani M., et al. Functional melanocytes derived from human pluripotent stem cells engraft into pluristratified epidermis. Proc Natl Acad Sci USA. 2011; 108 (36): 14861—14866. doi: 10.1073/pnas.1019070108.
- Facy V., Flouret V., Régnier M., Schmidt R. Reactivity of Langerhans cells in human reconstructed epidermis to known allergens and UV radiation. Toxicol In Vitro. 2005; 19 (6): 787—795. doi: 10.1016/j.tiv.2005.03.018.
- Meier F., Nesbit M., Hsu M.Y., et al. Human melanoma progression in skin reconstructs : biological significance of bFGF. Am J Pathol. 2000; 156 (1): 193—200. doi: 10.1016/S0002-9440(10)64719-0.
- Kiesewetter L., Littau L., Walles H., Boccaccini A.R., Groeber-Becker F. Reepithelialization in focus: Non-invasive monitoring of epidermal wound healing in vitro. Biosens Bioelectron. 2019; 142:111555. doi: 10.1016/j.bios.2019.111555.
- Netzlaff F., Lehr C.-M., Wertz P.W., Schaefer U.F. The human epidermis models EpiSkin, SkinEthic and EpiDerm: an evaluation of morphology and their suitability for testing phototoxicity, irritancy, corrosivity, and substance transport. Eur J Pharm Biopharm. 2005; 60 (2): 167—178. doi: 10.1016/j.ejpb.2005.03.004.
- Chakrabarty K.H., Heaton M., Dalley A.J., et al. Keratinocyte-driven contraction of reconstructed human skin. Wound Repair Regen. 2001; 9 (2): 95—106. doi: 10.1046/j.1524-475x.2001.00095.x.
- Portes P., Pygmalion M.J., Popovic E., Cottin M., Mariani M. Use of human reconstituted epidermis Episkin for assessment of weak phototoxic potential of chemical compounds. Photodermatol Photoimmunol Photomed. 2002; 18 (2): 96—102. doi: 10.1034/j.1600-0781.2002.180207.x.
- Чаплин А.В., Ребриков Д.В., Болдырева М.Н. Микробиом Человека. Вестник Росс. гос. мед. ун-та. 2017; (2): 5—13. [Chaplin AV, Rebrikov DV, Boldyreva MN. The human microbiome. Bulletin of RSMU. 2017; (2): 5–13. doi: 10.24075/brsmu.2017-02-01]
- Hoffmann J., Heisler E., Karpinski S. et al. Epidermal-skin-test 1,000 (EST-1,000)--a new reconstructed epidermis for in vitro skin corrosivity testing. Toxicol In Vitro. 2005; 19 (7): 925—929. doi: 10.1016/j.tiv.2005.06.010.
- Jung K.-M., Lee S.-H., Jang W.-H. et al. KeraSkin-VM: a novel reconstructed human epidermis model for skin irritation tests. Toxicol In Vitro. 2014; 28 (5): 742—750. doi: 10.1016/j.tiv.2014.02.014.
Supplementary files








