Skin manifestations of a new coronovirus infection COVID-19 caused by SARS-CoV-2
- Authors: Khryanin A.A.1,2, Sturov V.G.3, Nadeev A.P.1, Bocharova V.К.1
-
Affiliations:
- Novosibirsk State Medical University
- Association Obstetricians-Gynecologists and Dermatovenerologists
- V. Zelman Institute of medicine and psychology, Novosibirsk National Research State University
- Issue: Vol 96, No 3 (2020)
- Pages: 53-62
- Section: CLINICAL PRACTICE GUIDELINES
- Submitted: 28.05.2020
- Accepted: 26.06.2020
- Published: 29.09.2020
- URL: https://vestnikdv.ru/jour/article/view/1141
- DOI: https://doi.org/10.25208/vdv1141
- ID: 1141
Cite item
Full Text
Abstract
The review is devoted to the skin manifestations of new coronovirus infection (SARS-CoV-2), information about which is constantly updated. However, this information has not been systematized yet. The purpose of this review is to analyze the dermatological manifestations of a new coronavirus infection. On average, 12.5—20.4% of patients with confirmed COVID-19 have developed skin manifestations. The question of whether the skin symptoms are a secondary consequence of a respiratory infection or a primary infection of the skin itself remains open at the moment. The possible mechanisms of development of skin lesions and the role of diseases of complement system and blood hypercoagulation in the pathogenesis of the disease are discussed in the article. The review also provides descriptive and clinical examples of skin manifestations in COVID-19. Since COVID-19 tends to be asymptomatic within 14 days, skin manifestations can be an indicator of infection, which leads to the timely diagnosis. In addition, doctors' awareness about skin symptoms associated with COVID-19 infection plays a big role in preventing misdiagnosis of the disease. The authors cite their own clinical сase of a patient with COVID-19 and associated skin angiitis.
Full Text
Первые сведения о новой коронавирусной инфекции появились в декабре 2019 г., когда заболевание было диагностировано у населения КНР (г. Ухань, провинция Хубэй). В начале 2020 г. (11.02.2020) ВОЗ определила название новой коронавирусной инфекции — COVID-19 (“Coronavirus disease 2019”), а Международный комитет по таксономии назвал возбудителя инфекции SARS-CoV-2.
На момент написания статьи (23.07.2020) SARS-CoV-2 был диагностирован у более чем 15,5 млн человек в мире. Высокий уровень контагиозности и бессимптомная передача инфекции привели к ее быстрому распространению по всему миру и пандемии [1]. SARS-CoV-2 — это вирус, состоящий из одноцепочечной РНК и относящийся к семейству коронавирусов. Вирус проникает в клетки через рецептор ангиотензинпревращающего фермента 2 (ACE2), находящийся на поверхности клеток [2]. Легкие являются основным органом-мишенью для COVID-19, причем у пациентов наблюдаются симптомы от легких гриппоподобных до фульминантной пневмонии и потенциально смертельного респираторного дистресс-синдрома [3].
За время пандемии был зафиксирован ряд случаев COVID-19, сообщавших о кожных проявлениях инфекции. Целью данной статьи является обзор литературы по различным кожным проявлениям при COVID-19. Ознакомление с ними представляется важным не только для врачей-дерматологов, но и для более широкого круга докторов общей семейной/врачебной практики (ОВП) поликлинического/амбулаторного звена оказания медицинской помощи, ведь именно они чаще контактируют с пациентами, в т.ч. с инфекцией COVID-19.
Дерматологические проявления COVID-19, наряду с общими клиническими признаками, включая лихорадку, сухой кашель, одышку, миалгию и усталость, наблюдаемые в относительно крупномасштабных клинических исследованиях пациентов с СOVID-пневмонией, встречались довольно редко [4—6]. Наиболее известное исследование, посвященное кожным проявлениям COVID-19, опубликовано Recalcati S. и соавторами (2020) из Италии, включает 88 пациентов [7]. В этом исследовании у 20,4% подтвержденных пациентов COVID-19 (18/88) развились кожные проявления. Было установлено, что большинство кожных проявлений представляли собой эритематозную сыпь (77,8%, или 14/18) с редкими случаями крапивницы (16,7%, или 3/18) и образованием везикул (5,6%, или 1/18).
Аналогичное распределение кожных проявлений было отмечено в другом обзоре: в исследовании, проведенном группой ученых из Израиля, Канады и Италии, в котором было проанализировано 72 случая COVID-19 с дерматологическими проявлениями, описанными разными авторами за период пандемии COVID-19 (таблица) [8]. Средний возраст пациентов составил 53,6 года, причем возраст пациентов составлял от 15 дней до 84 лет. С точки зрения диагноза COVID-19 2,8% пациентов были подозреваемыми случаями, а 97,2% — подтвержденными случаями. Генерализованная пятнистая или пятнисто-папулезная экзантема (кореподобная) оказалась наиболее распространенным кожным проявлением у пациентов с COVID-19, зафиксирована у 36,1% (26/72) пациентов. Папуло-везикулезная сыпь (везикулы) была замечена у 34,7% (25/72) пациентов. Крапивница встречалась у 9,7% (7/72) пациентов с подтвержденным диагнозом, а наличие болезненных акральных красно-фиолетовых папул с везикулами или без них наблюдалось у 15,3% (11/72) пациентов в целом. Наконец, у 2,8% (2/72) пациентов были обнаружены поражения в виде сетчатого ливедо, а у 1 пациента (1,4%) — петехии. Из 72 случаев локализация поражения была зарегистрирована у 67 пациентов, причем большинство поражений было обнаружено на туловище, руках и ногах. В целом у 69,4% (50/72) пациентов наблюдались кожные проявления на туловище. Кроме того, у 19,4% (14/72) пациентов наблюдались кожные проявления на кистях и стопах. Сроки развития кожного поражения варьировались у разных пациентов от развития за 3 дня до постановки диагноза COVID-19 до 13 дней после постановки диагноза. В обследованных случаях 12,5% (9/72) пациентов имели кожные проявления при постановке диагноза или появлении симптомов COVID-19, в то время как у 69,4% (50/72) пациентов кожные проявления возникли после появления респираторных симптомов или постановки диагноза COVID-19. Из 49 пациентов, у которых развились поражения после появления респираторных симптомов или диагноза COVID-19, 74,0% (37/50) обнаружили кожную патологию в течение 7 дней, а 6,0% (3/50) сообщили о высыпаниях после 7 дней. Из 50 случаев с сообщенным временем заживления 100% пациентов сообщили о заживлении кожных поражений, причем время заживления достигало 10 дней. Заживало в течение 7 дней 48,0% (24/50) кожных проявлений, 50,0% (25/50) дерматологических проявлений заживало спустя 7 дней, причем время заживления было не определено для одного случая (2,0%).
Таблица. Кожные проявления при подозреваемом и подтвержденном COVID-19, опубликованные в научной литературе
Table. Skin manifestations in suspected and confirmed COVID-19 published in the scientific literature
Автор | Регион | Количество пациентов | Кожные проявления | Ссылка |
Gianotti | Милан, Италия | 5 | Экзантемa (1 случай) Пурпурная пятнисто-папулезно-везикулезная сыпь (1 случай) Папулезно-эритематозная сыпь (1 случай) Диффузная пятнисто-папулезная сыпь, напоминающая болезнь Гровера | [14] |
Recalcati | Ломбардия, Италия | 18 | Эритематозная сыпь (14 случаев), крапивница (3 случая), | [7] |
Present, Case | Милан, Италия | 1 | Пятнисто-папулезная зудящая сыпь, напоминающая болезнь Гровера | [8] |
1 | Диффузная пятнисто-папулезная (кореподобная) сыпь, | [8] | ||
1 | Папулезно-везикулезная, зудящая сыпь | [8] | ||
Mahé | Кальмар, Франция | 1 | Эритематозная сыпь | [9] |
Estébanez | Испания | 1 | Эритематозные зудящие папулы (желтого цвета) | [10] |
Joob | Таиланд | 1 | Петехии | [12] |
Marzano | Италия | 22 | Ветряноподобная папуло-везикулезная экзантема | [13] |
Manalo | Атланта, Джорджия | 2 | Транзиторное незудящее унилатеральное сетчатое ливедо (1 случай) Унилатеральное бессимптомное сетчатое ливедо (1 случай) | [16] |
Zhang | Ухань, Китай | 7 | Акроишемия с цианозом пальцев, образованием пузырей и сухой гангрены | [23] |
Zhang | Ухань, Китай | 2 | Крапивница | [23] |
Потекаев Н.Н. | Москва, Россия | 15 | Папуло-некротический ангиит (4 случая) Геморрагический ангиит (1 случай) Акроангиит (акродерматит) (2 случая) Папуло-везикулезные высыпания (3 случая) Диссеминированная пятнисто-папулезная сыпь (1 случай) Пурпурозная сыпь (токсидермия) (4 случая) | [26] |
Jimenez | Мадрид, Испания | 1 | Эритематозно-пурпурные пятна | [27] |
Hunt | Нью-Йорк, США | 1 | Диффузная кореподобная пятнисто-папулезная незудящая сыпь | [28] |
Fernandez | Мадрид, Испания | 1 | Крапивница | [29] |
Henry | Орлеан, Франция | 1 | Диссеменированная эритематозная сыпь, крапивница | [30] |
Kamali Aghdam | Тегеран, Иран | 1 | Эритематозная сыпь | [31] |
Mazzotta | Италия | 1 | Подозреваемый случай: эритематозные округлые очаги поражения диаметром 5—15 мм, с размытыми границами, фиолетового цвета | [32] |
Alramthan | Катар | 2 | Акральные ишемические поражения, | [33] |
Najarian, 2020 | Нью-Джерси, США | 1 | Кореподобная пятнисто-папулезная сыпь | [34] |
Kolivras, 2020 | Брюссель, Бельгия | 1 | Инфильтрированные бляшки на эритематозном фоне | [35] |
Также сообщалось о возможной связи между COVID-19 и тяжестью поражения кожи у 23 пациентов. Из них у 21 пациента (91,3%) тяжесть кожных поражений была маловероятна или не коррелировала с тяжестью COVID-19. Напротив, в 2 отдельных сообщениях Mahé A. [9] и Estébanez A. [10] COVID-19 и тяжесть поражения кожи были связаны у 2 пациентов (8,7%). Кроме того, в большинстве включенных исследований гистологические результаты не были предоставлены.
Группой ученых также было представлено три клинических случая с фотографиями, которые им удалось наблюдать самостоятельно [8]. Первым из них была 71-летняя женщина. Кожные проявления возникли у нее после клинического выздоровления и проявлялись в виде пятнисто-папулезной зудящей сыпи на туловище, напоминающей болезнь Гровера (рис. 1). Второй клинический случай был представлен 77-летней женщиной, у которой кожные проявления развились в самом начале заболевания — в первый день госпитализации кожные высыпания были представлены пятнисто-папулезной (кореподобной) экзантемой на туловище (рис. 2а), а в течение следующих дней у пациентки возникла пятнисто-геморрагическая сыпь на коже голеней (рис. 2б). Третий клинический случай был представлен женщиной 72 лет. Кожные высыпания возникли у пациентки на 4-й день болезни в виде папуло-везикулезных зудящих высыпаний в области складки под грудью, на туловище и бедрах (рис. 3). У всех пациентов был подтвержденный COVID-19.
Рис. 1. Кожные проявления на спине при COVID-19 в виде пятнисто-папулезной сыпи [8]
Рис. 2. Кожные проявления при COVID-19: а — на поясничной области в виде пятнисто-папулезной сыпи [8]; б — на нижних конечностях в виде пятнисто-геморрагической сыпи [8]
Рис. 3. Кожные проявления на животе при COVID-19 в виде папуло-везикулезных высыпаний [8]
Кожные проявления играют важную роль в диагностике различных инфекционных заболеваний, таких как синдром токсического шока, менингококцемия, риккетсиоз, корь и скарлатина [11]. Поскольку COVID-19 имеет тенденцию к бессимптомному течению на протяжении 14 дней после заражения, кожные проявления могут служить индикатором инфекции, способствуя своевременной диагностике. В обзоре, проведенном группой ученых из Израиля, Канады и Италии, 12,5% (9/72) пациентов имели кожные проявления в начале заболевания [8]. Кроме того, осведомленность врачей о кожных симптомах, связанных с инфекцией COVID-19, имеет решающее значение для предотвращения неправильного диагноза заболевания, такого как неправильный диагноз лихорадки Денге, как об этом сообщают Joob B. и соавторы [12].
В другом исследовании Marzano A.V. и соавторы сообщают о ветряноподобной папуло-везикулезной сыпи как о редком, но специфичном симптоме COVID-19, в отличие от неспецифичной эритематозной сыпи или крапивницы, описанной Recalcati S. и соавторами. Ученые описывают, что для ветряноподобной папуло-везикулезной сыпи типично вовлечение туловища пациента и слабый или отсутствующий зуд. Очаги поражения обычно появляются через 3 дня после появления системных симптомов и исчезают через 8 дней, не оставляя рубцов [13].
Представляем собственное клиническое наблюдение: пациентка П., 78 лет, поступила 21.05.2020 в инфекционное отделение по экстренным показаниям с респираторными симптомами и подозрением на COVID-19 средней степени тяжести. При обследовании выявлены КТ-признаки плевроапикального фиброза, обызвествления внутри грудных лимфоузлов. На момент поступления кожные покровы чистые от экзантемных элементов.
Через неделю (29.05.2020) при осмотре кожных покровов живота, внутренней поверхности бедер, в области голеностопных суставов у пациентки появилась петехиальная сыпь, имеющая распространенный интенсивный характер, без зуда и местной гипертермии (рис. 4—9).
Рис. 4. Кожные проявления на нижних конечностях при COVID-19 в виде петехиальной сыпи (геморрагический васкулит)
Рис. 5. Кожные проявления в области голеностопного сустава (слева) при COVID-19 в виде петехиальной сыпи (геморрагический васкулит)
Рис. 6. Кожные проявления в области голеностопного сустава (справа) при COVID-19 в виде петехиальной сыпи (геморрагический васкулит)
Рис. 7. Кожные проявления на животе при COVID-19 в виде петехиальной сыпи (геморрагический васкулит)
Рис. 8. Кожные проявления на внутренней поверхности бедра при COVID-19 в виде петехиальной сыпи (геморрагический васкулит)
Рис. 9. Кожные проявления на животе при COVID-19 в виде петехиальной сыпи (геморрагический васкулит)
Консультация гематолога: кожные высыпания расцениваются как вероятные проявления при COVID-19.
Консультация дерматолога: геморрагический ангиит кожи, имеющий инфекционно-аллергическую природу, возможно ассицированный с SARS-CoV-2. Рекомендовано системное назначение глюкокортикостероидов (преднизолон в дозировке 1,2 мг на 1 кг массы тела).
Основной диагноз: коронавирусная инфекция, вызванная вирусом COVID-19, вирус идентифицирован (ПЦР-анализ). Двухсторонняя внебольничная полисигментная пневмония средней степени тяжести, дыхательная недостаточность 1—2. Геморрагический ангиит кожи, распространенная форма.
На фоне системной гормональной терапии (преднизолон 90 мг в сутки) у пациентки отмечался быстрый регресс кожного патологического процесса.
Некоторые авторы предлагают выделить 7 групп кожных проявлений при COVID-19: ангииты, папулло-везикулезные высыпания, папулло-сквамозные высыпания и розовый лишай, кореподобные сыпи, токсидермии, крапивница и артифициальные поражения (трофические изменения тканей лица) [26].
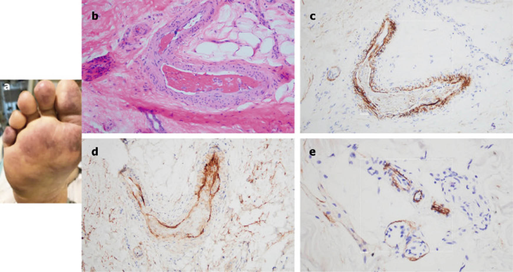
Основные механизмы возникновения кожных нарушений при COVID-19 пока еще недостаточно изучены, но некоторые общепринятые теории уже широко обсуждаются. Считается, что вирусные частицы, присутствующие в кровеносных сосудах кожи у пациентов с инфекцией COVID-19, могут привести к лимфоцитарному васкулиту, аналогичному тому, который наблюдается при тромбофилическом артериите, индуцированном циркулирующими иммунными комплексами и активирующими цитокины [8]. Кератиноциты могут быть вторичной мишенью после активации клеток Лангерганса, индуцируя спектр различных клинических проявлений [14, 15]. Предполагается, что вирус не нацеливается на кератиноциты, а скорее иммунный ответ на инфекцию приводит к активации клеток Лангерганса, что приводит к состоянию вазодилатации и спонгиозу [15]. Другие теории предполагают, что проявления сетчатого ливедо могут быть вызваны микротромбозом, что приводит к уменьшению притока крови к системе кожных микроциркуляторных сосудов [16]. Аналогичным образом низкая степень диссеминированного внутрисосудистого свертывания и связанное с гипоксией накопление дезоксигенированной крови в венозных сплетениях могут дополнительно объяснить такие проявления [16]. Кроме того, Magro C. и соавторы сообщили о воспалительной тромбогенной васкулопатии с отложением C5b-9- и C4d-компонентов комплемента как в сильно вовлеченной, так и в неизмененной коже (рис. 10). Также у двух обследованных пациентов наблюдалась связь гликопротеинов COVID-19 (S или спайк) с C4d- и C5b-9- компонентами комплемента в межальвеолярных перегородках легких и сосудах микроциркуляторного русла кожи (рис. 11). В заключение авторы предполагают, что катастрофическое поражение микроциркуляторного русла при COVID-19 опосредуется активацией альтернативного и лектинового путей комплемента и сопутствующей активацией каскада гемокоагуляции человека с развитием инфекционно-опосредованного ДВС-синдрома. Эти данные являются основой для дальнейшего изучения патофизиологической роли комплемента при инфекции COVID-19 и в дальнейшем могут помочь разработать протокол конкретного вмешательства для лечения COVID-19 [17].
Рис. 10. Клиническая, микроскопическая и иммуногистохимическая картина случая COVID-19 [17]: а — заметные высыпания по типу сетчатого ливедо на стопах; б — биоптат кожи, демонстрирующий артериальный тромбоз в глубоких слоях дермы (окраска гематоксилином и эозин, х 200); в — обширные эндотелиальные и субэндотелиальные отложения С5b-9 в пределах тромбированной артерии (диаминобензидин, х 400); г — аналогичная картина эндотелиального и субэндотелиального отложения C4d отмечается и внутри артерии (диаминобензидин, х 400); д — биоптат неизмененной кожи, показывающий заметные микрососудистые отложения С5b-9 (диаминобензидин, х 400)
Рис. 11. Демонстрация связи спайкового гликопротеина SARS-CoV-2 и C4d в коже [17]. Биоптат кожи был окрашен на C4d, показывающий его выраженную сосудистую локализацию. При использовании программного обеспечения NUANCE C4d светится зеленым цветом (б). Спайковый белок COVID-19 имеет красное окрашивание; желтый цвет указывает на совместную локализацию C4d и вирусного белка в микроциркуляторном русле кожи (а). х 600
Tang N. и соавторы [18] детально исследовали состояние системы гемостаза у 283 пациентов с тяжелыми формами коронавирусной пневмонии. Общая смертность среди обследованных составила 11,5%. У умирающих пациентов обнаружены высокие показатели D-димера и продуктов деградации фибрина (ПДФ), удлинение протромбинового времени (ПВ) и активированного парциального тромбинового времени (АПТВ). Во время пребывания в стационаре 71,4% умерших и 0,6% выживших соответствовали критериям ДВС. Следует обратить внимание на то, что у умерших по сравнению с выздоровевшими чаще возникали осложнения, такие как острый респираторный дистресс-синдром (89,9% против 7,6%, ÷ = 148,105, P < 0,001), острое повреждение сердца (59,6% против 0,8%, ÷ = 93,222, P < 0,001), острое повреждение почек (18,3% против 0, ÷ = 23,257, P < 0,001), шок (11,9% против 0, ÷ = 14,618, P < 0,001) и ДВС (6,4% против 0, ÷ = 7,655, P = 0,006) [19]. Не вызывает сомнений, что при всех перечисленных состояниях наблюдалась гиперкоагуляция, а во многих случаях и тромбоз, приведший к острой сердечной недостаточности и другим осложнениям.
В работе, опубликованной Tang N. и соавторами [20], ретроспективно проанализированы результаты терапии низкомолекулярными гепаринами (НМГ) у 449 пациентов с тяжелым течением COVID-19. Установлено, что летальность в группах пациентов с высоким уровнем D-димера (в 6 раз выше нормы) была ниже среди больных, находящихся на терапии НМГ (32,8% против 52,4%, Р = 0,017), а также пациентов с сепсис-индуцированным ДВС (40,0% против 64,2%, Р = 0,029) по сравнению с теми, кто не получал НМГ. Сделан вывод, что применение антикоагулянтной терапии связано с лучшим прогнозом заболевания у тяжелых пациентов COVID-19 с наличием сепсис-индуцированной коагулопатии и высоким содержанием D-димера.
Основное назначение предлагаемой терапии — не допустить развития тромбоза, полиорганной недостаточности, тромботической микроангиопатии, а также ДВС-синдрома. В случае же развития указанных осложнений необходимо немедленно вводить тканевой активатор плазминогена (t-PA) или его рекомбинантный аналог (APSAC). Доза при этом должна подбираться строго индивидуально, исходя из тяжести патологического процесса.
Исследователи из Японии Kandeel M. и Al-Nazawi M. предполагают, что вирусные субъединицы (компартменты) COVID-19 способны взаимодействовать с фибрином и, изменяя структуру последнего, приводить к развитию микротромбоваскулита в бассейне терминальных/субтерминальных легочных артерий [21]. Все это на фоне интерстициального воспаления и развития тяжелого аутоиммунного альвеолита провоцирует манифестацию быстро прогрессирующего фиброзирующего альвеолита с исходом в легочный фиброз и острую дыхательную недостаточность (ОДН). Вот почему исследователи предполагают, что раннее применение тканевого активатора плазминогена (t-PA) наряду с НМГ позволит предупредить или отсрочить наступление легочного фиброза и позитивно скажется на легочной микроциркуляции и газообмене. В то же время комбинация НМГ и t-PA способна в отдельных случаях привести к развитию геморрагического синдрома, а потому дозы лекарственных препаратов должны быть тщательно подобраны. При этом необходим постоянный лабораторный контроль за гемокоагуляцией и фибринолизом.
Zhou F. и соавторы [22] указывают, что основными показателями для поступления в отделение интенсивной терапии и риска смерти при COVID-19 являются возраст, сопутствующие заболевания, лимфоцитопения, повышенная аланинаминотрансфераза, D-димер, креатинкиназа, высокочувствительный сердечный тропонин I, сывороточный ферритин, IL-6, удлинение ПВ и тяжесть заболевания. При этом коагулопатия потребления диагностирована при увеличении ПВ на 3 с, а АПТВ — на 5 с, уровня D-димера на 1 мкг/мл. Авторы этого исследования также отмечают, что распространенным осложнением, которое могло быть вызвано инфекцией SARS-CoV-2, являлся сепсис.
Согласно данным, приводимым Zhang Y. и соавторами [23], применение НМГ у больных с тяжелым течением COVID-19 и высоким содержанием D-димера (что свидетельствует о наличии ДВС) приводит к более благоприятным результатам терапии.
Хавинсон В.Х. и соавторы сообщили о высокой эффективности использования комбинации НМГ с иммуномодулятором тималином при заболеваниях, сопровождаемых гиперкоагуляционным синдромом. Использование данной комбинации лекарственных средств привело к снижению интенсивности внутрисосудистого свертывания крови и недопущению развития полиорганной недостаточности [24].
Известно, что особенно неблагоприятен прогноз при инфицировании SARS-CoV-2 у больных с эссенциальной гипертонией, диабетом, ишемической болезнью сердца, цереброваскулярными заболеваниями, хронической обструктивной болезнью легких и дисфункцией почек. Hong-Long Ji. и соавторы [25] считают, что это связано с повышенным содержанием плазмина у пациентов с COVID-19. Плазмин и другие протеазы могут расщеплять вновь введенный участок фурина в белке S SARS-CoV-2 внеклеточно, что увеличивает его инфекционность и вирулентность. Гиперфибринолиз, связанный с плазмином, приводит у пациентов с тяжелым течением заболевания к повышенному содержанию D-димера. По мнению авторов исследования, система фибринолиза может оказаться перспективной терапевтической мишенью для лечения пациентов с COVID-19.
Вопрос о том, являются ли кожные симптомы вторичным следствием респираторной инфекции или первичной инфекцией самой кожи, на данный момент остается открытым.
Врачи-дерматовенерологи имеют уникальную возможность изучить кожные проявления COVID-19 во время этой пандемии, поэтому очень важны новые данные и иллюстративные изображения кожных поражений. Согласно общепризнанному положению, мы не можем не согласиться с известным принципом: «чем больше вы видите, тем больше вы знаете; и чем больше вы знаете, тем больше вы видите» [36], который становится теперь более чем актуальным.
About the authors
Aleksey A. Khryanin
Novosibirsk State Medical University; Association Obstetricians-Gynecologists and Dermatovenerologists
Author for correspondence.
Email: khryanin@mail.ru
ORCID iD: 0000-0001-9248-8303
SPIN-code: 4311-2475
Doctor of Medical Sciences, Professor of the Department of Dermatovenereology and Cosmetology of the Novosibirsk State Medical University under the Ministry of Health of Russian Federation, Vice President of the Association of Obstetricians-Gynecologists and Dermatovenereologists
Россия, Krasny pr., 52, Novosibirsk; Lenina str., 55, NovosibirskViktor G. Sturov
V. Zelman Institute of medicine and psychology, Novosibirsk National Research State University
Email: sturov@mail.ru
ORCID iD: 0000-0001-8243-247X
SPIN-code: 9799-2755
MD, Professor of the Institute of Medicine and Psychology Named After V. Zelman, in the Novosibirsk National Research State University under the Ministry of Science and Higher Education of Russian Federation
Россия, Pirogova str., 1, NovosibirskAlexander P. Nadeev
Novosibirsk State Medical University
Email: nadeevngma@mail.ru
ORCID iD: 0000-0003-0400-1011
SPIN-code: 8777-9748
MD, Professor, Head at the Department of Pathological Anatomy in the Novosibirsk State Medical University under the Ministry of Health of Russian Federation
Россия, Krasny pr., 52, NovosibirskValentina К. Bocharova
Novosibirsk State Medical University
Email: valuha-95@yandex.ru
ORCID iD: 0000-0003-4671-7288
6th-year student of the Pediatric Faculty of the Novosibirsk State Medical University under the Ministry of Health of Russian Federation
Россия, Krasny pr., 52, NovosibirskReferences
- Han Y., Yang H. The transmission and diagnosis of 2019 novel coronavirus infection disease (COVID‐19): a Chinese perspective. J. Med. Virol. 2020; 6 (March).
- Guo Y.R., Cao Q.D., Hong Z.S., Tan Y.Y., Chen S.D., Jin H.J., Tan K.S., Wang D.Y., Yan Y. The origin, transmission and clinical therapies on coronavirus disease 2019 (COVID-19) outbreak — an update on the status. Mil. Med. Res. 2020; 13 (March (1)): 11.
- Zhai P., Ding Y., Wu X., Long J., Zhong Y., Li Y. The epidemiology, diagnosis and treatment of COVID-19. Int. J. Antimicrob. Agents. 2020; 28 (March): 105955.
- Lai C.C., Shih T.P., Ko W.C., Tang H.J., Hsueh P.R. Severe acute respiratory syndrome coronavirus 2 (SARS-CoV-2) and corona virus disease-2019 (COVID-19): the epidemic and the challenges. Int. J. Antimicrob. Agents. 2020; 55 (March (3)): 105924.
- Chen N., Zhou M., Dong X., Qu J., Gong F., Han Y. Epidemiological and clinical characteristics of 99 cases of 2019 novel coronavirus pneumonia in Wuhan, China: a descriptive study. Lancet. 2020; 395 (February (10223)): 507—513.
- Huang C., Wang Y., Li X., Ren L., Zhao J., Hu Y. Clinical features of patients infected with 2019 novel coronavirus in Wuhan, China. Lancet. 2020; 395 (February (10223)): 497—506.
- Recalcati S. Cutaneous manifestations in COVID-19: a first perspective. J Eur Acad Dermatol Venereol. 2020 (March 26).
- Sachdeva M., Gianotti R., Shah M., Lucia B., Tosi D., Veraldi S., Ziv M., Leshem E., Dodiuk-Gad R. Cutaneous manifestations of COVID-19: Report of three cases and a review of literature. J Dermatol Sci. 2020 (April 29).
- Mahé A., Birckel E., Krieger S., Merklen C., Bottlaender L. A distinctive skin rash associated with Coronavirus Disease 2019-J. Eur. Acad. Dermatol. Venereol. 2020 (April 15).
- Estébanez A., Pérez-Santiago L., Silva E., Guillen-Climent S., García-Vázquez A., Ramón M. Cutaneous manifestations in COVID-19: a new contribution. J. Eur. Acad. Dermatol. Venereol. 2020 (April 15).
- Tsai J., Nagel M.A., Gilden D. Skin rash in meningitis and meningoencephalitis. Neurology. 2013; 80 (May (19)): 1808—1811.
- Joob B., Wiwanitkit V. COVID-19 can present with a rash and be mistaken for dengue. J. Am. Acad. Dermatol.2020; 82 (May (5)): 177.
- Marzano A.V., Genovese G, Fabbrocini G, Pigatto P, Monfrecola G, Piraccini B, Veraldi S, Rubegni P, Cusini M, Caputo V, Rongioletti F, Berti E, Calzavara-Pinton P. Varicella- like exanthem as a specific COVID-19-associated skin manifestation: multicenter case series of 22 patients. Journal of the American Academy of Dermatology (2020).
- Gianotti R., Zerbi P., Dodiuk-Gad R. Histopathological study of skin dermatoses in patients affected by COVID-19 infection in the Northern part of Italy. J. Cosmet. Dermatol. Sci. Appl. 2020.
- Gianotti R. COVID 19 and the skin — heuristic review. DermoSprint. 2020; (April 06).
- Manalo I.F., Smith M.K., Cheeley J., Jacobs R. A dermatologic manifestation of COVID-19: transient livedo reticularis. J. Am. Acad. Dermatol. 2020; (April 10).
- Magro C., Mulvey J., Berlin D., Nuovo G., Salvatore S., Harp J., Baxter-Stoltzfus A., Laurence J. Complementary associated microvascular injury and thrombosis in the pathogenesis of severe COVID-19 infection: a report of five cases. Transl. Res. 2020.
- Tang N., Li D., Wang X., Sun Z. Abnormal coagulation parameters are associated with poor prognosis in patients with novel coronavirus pneumonia. J. Thromb. Haemost., 2020, pr, 18 (4). Р. 844—847.
- Deng Y., Liu W., Liu K., Fang Y.Y. Clinical characteristics of fatal and recovered cases of coronavirus disease 2019 (COVID-19) in Wuhan, China: a retrospective study. Chin. Med. J. (Engl), 2020, no. 20, supl. 32209890.
- Tang N., Bai H., Chen X., Gong J. et al. Anticoagulant treatment is associated with decreased mortality in severe coronavirus disease 2019 patients with coagulopathy. Thromb Haemost. 2020 (Mar 27).
- Kandeel M, Al-Nazawi M. Virtual Screening and Repurposing of FDA Approved Drugs Against COVID-19 Main Protease Life Sci., 2020, 3. Р. 117—127.
- Zhou F., Ting Yu, Ronghui Du, Guohui F. Clinical course and risk factors for mortality of adult inpatients with COVID-19 in Wuhan, China: a retrospective cohort study. 2020 Elsevier Ltd.
- Zhang Y., Cao W., Xiao M., Li Y.J. Clinical and coagulation characteristics of 7 patients with critical COVID-2019 pneumonia and acro-ischemia. Za Zhi., 2020, 41 (0), E006.
- Хавинсон В.Х., Кузник Б.И., Стуров В.Г., Гладкий П.А. Применение препарата Тималин при заболеваниях органов дыхания и инфекциях. Перспективы использования при COVID-19. РМЖ. 2020; 1 (*): 1—10. [Khavinson V.Kh., Kuznik B.I., Sturov V.G., Gladkii P.A. Thymalin use for respiratory diseases and infections. Application potential in COVID-19. RMJ. 2020; 1 (*): 1—10 (Russia).]
- Hong-Long J., Runzhen Z., Sadis M., Michael A., Elevated Plasmin (ogen) as a Common Risk Factor for COVID-19 Susceptibility. Physiol. Rev., 2020, 100 (3). Рр. 1065—1075.
- Потекаев Н.Н., Жукова О.В., Проценко Д.Н., Кожевникова Г.Н., Демина О.М., Голуб В.П., Рассохина О.И., Хлыстова Е.А. Клиническая характеристика кожных проявлений при новой коронавирусной инфекции COVID-19, вызванной SARS-CoV-2. Клиническая дерматология и венерология. 2020. Т. 21, март. [Potekaev N.N., Zhukova O.V., Protsenko D.N., Kozhevnikova G.N., Demina O.M., Golub V.P., Rassokhina O.I., Khlystova E.A. Clinical characteristics of skin manifestations in a new COVID-19 coronavirus infection caused by SARS-CoV-2. Clinical dermatology and venereology. 2020. Vol. 21, March (Russia).]
- Jimenez-Cauhe J., Ortega-Quijano D., Prieto-Barrios M., Moreno-Arrones Om, Fernandez-Nieto D. Reply to “COVID-19 can present with a rash and be mistaken for Dengue”: petechial rash in a patient with COVID-19 infection. J. Am. Acad. Dermatol. 2020 (April 10).
- Hunt M., Koziatek C. A case of COVID-19 pneumonia in a young male with full body rash as a presenting symptom. Clin Pract Cases Emerg Med. 2020 (March 28).
- Fernandez-Nieto D., Ortega-Quijano D., Segurado-Miravalles G., Pindado-Ortega C., Prieto-Barrios M., Jimenez-Cauhe J. Comment on: cutaneous manifestations in COVID-19: a first perspective. Safety concerns of clinical images and skin biopsies. J. Eur. Acad. Dermatol. Venereol. 2020 (April 15).
- Henry D., Ackerman M., Sancelme E., Finon A., Esteve E. Urticarial eruption in COVID-19 infection. J. Eur. Acad. Dermatol. Venereol. 2020 (April 15).
- Kamali Aghdam M., Jafari N., Eftekhari K. Novel coronavirus in a 15-day-old neonate with clinical signs of sepsis, a case report. Infect. Dis. (Lond). 2020; 52 (June (6)): 427—429.
- Mazzotta F., Troccoli T. 2020. Acute Acro-Ischemia in the Child at the time of COVID-19. Dermatologia Pediatrica, Bari. In press.
- Alramthan A., Aldaraji W. Clin Exp Dermatol. 2020. A case of COVID‐19 presenting in clinical picture resembling chilblains disease. First report from the Middle East. (April 17).
- Najarian D.J. Morbilliform exanthem associated with COVID-19. JAAD Case Rep. 2020.
- Kolivras A., Dehavay F., Delplace D., Feoli F., Meiers I., Milone L. Coronavirus (COVID-19) infection- induced chilblains: a case report with histopathological findings. JAAD Case Rep. 2020 (April 18).
- Kaissi A.A., Marrakchi Z., Nassib N.M., Hofstaetter J., Grill F., Ganger R., Kircher S.G. Craniosynostosis, Scheuermann's disease, and intellectual disability resembling Shprintzen–Goldberg syndrome: a report on a family over 4 generations. Medicine (Baltimore). 2017 Mar; 96 (12): e6199.
Supplementary files















