Терапия пентоксифиллином у пациентов с лепрой 2 типа: узловатая эритема лепрозной в стероидозависимых случаях
- Авторы: Djawad K.1
-
Учреждения:
- Hasanuddin University
- Выпуск: Том 97, № 1 (2021)
- Страницы: 46-53
- Раздел: НАБЛЮДЕНИЕ ИЗ ПРАКТИКИ
- Дата подачи: 18.12.2020
- Дата принятия к публикации: 20.01.2021
- Дата публикации: 24.03.2021
- URL: https://vestnikdv.ru/jour/article/view/1196
- DOI: https://doi.org/10.25208/vdv1196
- ID: 1196
Цитировать
Полный текст
Аннотация
Вступление. Morbus Hansen - это инфекционное заболевание, вызываемое микобактериями внутриклеточной микобактерии Leprae, которая в основном поражает кожу и периферические нервы. Проказа представляет собой эпизод иммунологически опосредованного эпизода острого или подострого воспаления, поражающего кожу; нерв; слизистая оболочка. Реакции 2 типа могут длиться месяцами, и возникает риск развития зависимости от стероидов. Пентоксифиллин (PTX) препятствует выработке TNF in vitro и in vivo; являются альтернативой лечению ЭНЛ.
История болезни. Сообщалось об одном случае у мужчины в возрасте 28 лет с жалобами на повторяющиеся красные шишки, сопровождающиеся лихорадкой и болью.
Обсуждение. При физикальном обследовании обнаружена узловатая эритема; с нарушением чувствительности в левой ноге. Пациент почувствовал улучшение после терапии нейродексом / 24 часа / перорально; рифампицин 600 мг; офлоксацин 400 мг; миноциклин 100 мг, который вводили 3 раза в неделю; и комбинированная терапия для лечения реакции лепры с помощью комбинации метилпреднизолона 16 мг (3-2-0) и пентоксифиллина 400 мг / 8 часов / перорально.
Вывод. На 21 день лечения; покраснение на среднем пальце уменьшилось, левая рука исчезла. Никаких новых красноватых шишек не появилось, покалывание стало меньше.
Ключевые слова
Полный текст
Leprosy or Morbus Hansen is the infectious disease which causes by intracellular Bacilli Mycobacterium Leprae which mainly affects the skin and peripheral nerves. The clinical manifestations of leprosy are classified into five types: tuberculoid (TT); borderline tuberculoid (BT); borderline (BB); borderline lepromatous (BL) dan lepromatous (LL). This classification is made by Ridley-Jopling based on the clinical; histological and immunological differences in disease [1].
The last year of 2015; prevalence is calculated become 0;29 (174;608 cases) per 100.000 population; and the new cases level is counted become 3;2 (210;758 cases) per 100.000 population; it obtained from the data collection by WHO in 138 countries according to patients receiving MDT [2] Most age prevalence is in leprosy at the age of 30–50 years; where there are more men than women [3].
The leprosy reaction is an episode an immunologically mediated episode of acute or subacute inflammation which affecting skin; nerve; mucous membrane. It found 2 types of reaction which occurs for leprosy: reaction of type 1 (T1R) or reversal reaction (RR); which is type 4 hypersensitivity; mostly occur in tuberculoid patients (BT); borderline patient (BB) and borderline lepromatous (BL) it is rarely happens to type lepromatous leprosy (LL); Reactions of Type 2 (T2R) or Erythema Nodosum Leprosum (ENL) is the hypersensitivity reaction type III; it is commonly happening to LL and sometimes to BL patient. According to [4] Several patients with ENL reaction having mild episodes of general malaise; multiple red skin nodules that may recur; may be accompanied by edema of the hands and feet; skin nodules especially in the upper and lower extremities; pain (neuritis) and orchitis. ENL is sometimes found can be found in untreated BL-LL patients or in patients undergoing treatment [5].
Type 2 reaction can often for months and found there is a risk of developing steroid dependence. Moreover; it is given combination therapy of prednisolone 1 mg / kg BW and clofazimine dosage and/or with thalidomide. Clofamizine given together with corticosteroid to every cases with the first dosage 100 mg/8 hours/oral during 12 weeks; the second dosage 100 mg/12 hours/oral and third dosage 100 mg/24 hours/oral. Clofazimine has a less potent effect than steroids taking 4–6 weeks to take full effect. However; it is useful for preventing dependence on steroids. The total duration of clofazimine therapy should not exceed 12 months [6].
ENL is related with the serum necrosis factor-alpha levels (TNFa) highest serum; it shows that cytokine is also play a central role in the manifestation of ENL. Thalidomide (TH) and systemic steroid (S); both are inhibitor production of TNFa; and the two effective medicines nowadays to managing ENL. Nowadays; Pentoxifylline (PTX); which also prevent the TNFa production in vitro and in vivo; which has suggested to ENL treatment. It has implemented the research; for 15 PTX cases which given 800 mg/8 hours/oral to 2 cases or 400 mg/8 hours/oral to 13 cases. Recurrence occurred within 2-3 months in 5 patients; if the PTX usage is suddenly stopped. However; there was no recurrence in patients who went through gradually decreasing the PTX dose. Recurring ENL episodes have also responded well to PTX [7].
Cases report
28 years old man with RM854616 comes with the symptom appear red bumps on the right and left arms; on the neck since the morning; complaints accompanied by fever (Fig. 1a; b). Since 1 year before coming to hospital; red bumps come and go almost all over the body; which is painful; accompanied by fever and joint pain. Previously; red bumps are appears in body then multiplied and expanded to both arms and legs. If the complaint worsens; the entire joint cannot be moved due to pain.
Figure 1. Day 1 at the time of entering the hospitalFigure Information: (a; b) Status localis of the left upper limb region; efflorescence of erythema nodules and hyperpigmented macules.
History of suffering from leprosy since 2016; MDT treatment was complete for 1 year at the health center and BTA negative at the end of treatment; the patient was said to have recovered from leprosy. 6 months later then the patient felt numbness of the skin on the left leg accompanied by several painful red lumps on the trunk; arms and legs. Patient then brings to RSUD Manokwari hospital with therapy of prednisone tablet 5 mg (6-0-2). Every tablet prednisone the dosage is reduced become 4-0-2; complaints came back. During 3 months the patient underwent treatment like this but did not improve; the patient brings to dermatology and venereology polyclinic of Hasanuddin Hospital.
In Hasanuddin Hospital polyclinic on August; implements the BTA examination and biopsy was carried out; it was found that the leprosy germs were presented. Patient then given the ROM treatment 3x/week and prednisone; but 10 days after patient occur fever and pain throughout the joint. Patient then brings to Wahidin Hospital; until now the complaint is the form of red bumps almost all over the body sometimes it still appears.
In the past; the patient did not have a history of hypertension and had no history of diabetes. On physical examination; he found a good general condition; compos mentis awareness; and vital signs: blood pressure 120/80 mmHg; pulse 84 x/minutes; breathing 18 x/minute; temperature 38.8C°; Height 160 cm and weight 65 kg. In the dermatological examination to regio facialis obtained efflorescence is in the form of edema; in the regio generalisata obtained efflorescence in the form of multiple nodules erythema. No peripheral nerve enlargement was found; in the sensibility examination obtained hypoesthesia in the left leg from the tip of the foot to mid-femoral level; there are no motor weaknesses.
In the laboratory examination obtained WBC 10.000; HGB 14; PLT 389.000; PT 11; APTT 23; Sodium 138; Potassium 3;7; Chloride 101. In the slit examination skin smear and obtained the result on right ear +1; left ear +3; and on the lesion +1.
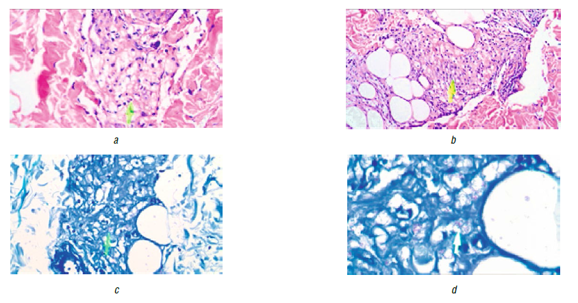
On examination; biopsy support on tube I is shown an atrophic epidermis with a clear zone area. In the upper dermis to the subcutis fat layer found granuloma which commonly follows adnexal skin and nerve fibers consist of the histiocyte cells with foamy cytoplasm and neutrophil inflammatory cells in between (Fig. 2a; b). On the Fite-Faraco staining; the result is positive (Fig. 2c; d). In the tube II shows the epidermis which looks atrophy with clear zone area. In the upper dermis to the lower dermis found granuloma which following skin adnexitis and nerve fibers consist of histiocyte cells with foamy cytoplasm and neutrophil inflammatory cells in between (Fig. 3a). Fite-Faraco staining obtained positive results (Fig. 3b). Morbus Hansen impressions of Lepromatous leprosy type with Erythema Nodosum Leprosum reactions.
Figure 2. Biopsy Picture of Container 1Figure Information: (a) 40 x magnifications; Hematoxylin Eosin. There are granulomas consisting of histiocyte cells with foamy cytoplasm and neutrophilic inflammatory cells; (b) 20x Magnifications; Hematoxylin Eosin. There are histiocytes cells and with cytoplasm foamy; (c) 40x Magnification; Fite-Faraco. There are found bacilli fragmented (+); (d) 100x Magnification; Fite-Faraco. There are found bacilli fragmented (+)
Figure 3. Biopsy Picture of Container 2Figure Information: (a) 40x Magnification; Hematoxylin Eosin. There are granuloma consist of histiocytes; (b) 100x Magnification; Fite-Faraco. There are bacilli (+)
Based on the anamnesis; physical and supporting examination so the last diagnosed of patient with Morbus Hansen type Lepromatous leprosy with Leprosy reaction type II Erythema Nodosum Leprosum. Patient was given 20 drops of Ringers lactate infusion therapy per minute; Rifampicin 600 mg; Ofloxacin 400 mg; Minocycline 100 mg (twice a week); methylprednisolone 8 mg (2-1-0) and paracetamol 500 mg/8 hours/oral if fever.
In the 13 days treatment; it found a raised red lump on the middle finger and left arm accompanied by pain (Fig. 4). The complaint accompanied with pain and redness on scrotum area; there is fever and a tingling feeling. In the dermatologic examination on regio facialis it found efflorescence in the form of edema; regio generalisata found efflorescence in the form of multiple Nodule erythema. In the sensibility examination still found the hypoesthesia is still found in the left leg from the tip of the foot to the mid-femoral level.
Figure 4. Treatment day 13Figure Information: Status localis of region extremities superior dextra et sinistra; Efflorescence of erythema nodules and hyper pigmented macules.
Patient was given Ringer's lactate infusion therapy 20 drops per minute; intravenous neurobion drip (2x a week); rifampicin 600 mg; ofloxacin 400 mg; minocycline 100 mg (3x a week); paracetamol 500 mg/8 hours/oral if fever and treatment for leprosy reaction given Pentoxifylline 400 mg/8 hour/oral (day 1) combination with methylprednisolone 16 mg (3-2-0) day 5.
In the day 15 of treatment; it found redness lump improved on the middle finger and left arm accompanied by pain; no new reddish bumps appeared (Fig. 5). The complaint including pain; and redness on the scrotum area is reduced; tingling feeling is reduced. On the dermatology examination on regio facialis found efflorescence in the form of edema; on regio generalisata found efflorescence in the form of multiple nodules erythema. On the sensibility examination still obtained hypoesthesia in the left leg from the tip of the foot to the mid-femoral level.
Figure 5. Treatment day 15Figure Information: Status localis of region extremities superior dextra et sinistra; Efflorescence of erythema nodules and macula hyper pigmentation.
Patient was given Ringer's lactate infusion therapy 20 drops per minute; intravenous neurobion drip (2x a week); rifampicin 600 mg; ofloxacin 400 mg; minocycline 100 mg (3x a week); paracetamol 500 mg/8 hours/oral if fever and treatment for leprosy reaction given Pentoxifylline 400 mg/8 hour/oral (day 3) combination with methylprednisolone 16 mg (3-2-0) day 7.
In the 16 days of treatment; it found redness lump improved on the middle finger and left arm accompanied by pain; no new reddish bumps appeared (Fig. 6). The complaint including pain; and redness on the scrotum area is reduced; tingling feeling is reduced. On the dermatology examination on regio facialis found efflorescence in the form of edema; on regio generalisata found efflorescence in the form of multiple nodules erythema. On the sensibility examination still obtained hypoesthesia in the left leg from the tip of the foot to the mid-femoral level.
Figure 6. Treatment day 16Figure Information: Status localis of region extremities superior dextra et sinistra; Efflorescence of erythema nodules and macula hyper pigmentation.
Patient was given Ringer's lactate infusion therapy 20 drops per minute; intravenous neurobion drip (2x a week); rifampicin 600 mg; ofloxacin 400 mg; minocycline 100 mg (3x a week); paracetamol 500 mg/8 hours/oral if fever and treatment for leprosy reaction given Pentoxifylline 400 mg/8 hour/oral (day 4) combination with methylprednisolone 16 mg (3-2-0) day 8.
In the 17 days of treatment; it found redness lump improved on the middle finger and left arm accompanied by pain; no new reddish bumps appeared (Fig. 7). The complaint including pain; and redness on the scrotum area is reduced; tingling feeling is reduced. On the dermatology examination on regio facialis found efflorescence in the form of edema; on regio generalisata found efflorescence in the form of macula hyper-pigmentation. On the sensibility examination still obtained hypoesthesia in the left leg from the tip of the foot to the mid-femoral level.
Figure 7. Treatment day 17Figure Information: Status localis of region extremities superior dextra et sinistra; Efflorescence of erythema nodules and macula hyper pigmentation.
Patient was given Ringer's lactate infusion therapy 20 drops per minute; Neurobion drip intravenous (2x a week); rifampicin 600 mg; ofloxacin 400 mg; minocycline 100 mg (3x a week); paracetamol 500 mg/8 hours/oral if fever and treatment for leprosy reaction given Pentoxifylline 400 mg/8 hour/oral (day 5) combination with methylprednisolone 16 mg (3-2-0) day 9.
In the 18 days of treatment; it found redness lump improved on the middle finger and left arm accompanied by pain; no new reddish bumps appeared (Fig. 8). The complaint including pain; and redness on the scrotum area is reduced; tingling feeling is reduced. On the dermatology examination on regio facialis found efflorescence in the form of edema; on regio generalisata found efflorescence in the form of macula hyper-pigmentations. On the sensibility examination still obtained hypoesthesia in the left leg from the tip of the foot to the mid-femoral level.
Figure 8. Treatment day 18Figure Information: Status localis region extremities superior dextra et sinistra; Efflorescence of erythema nodules and macula hyper pigmentation.
Patient was given Ringer's lactate infusion therapy 20 drops per minute; Neurobion drip intravena (2x a week); rifampicin 600 mg; ofloxacin 400 mg; minocycline 100 mg (3x a week); paracetamol 500 mg/8 hours/oral if fever and treatment for leprosy reaction given Pentoxifylline 400 mg/8 hour/oral (day 6) combination with methylprednisolone 16 mg (3-2-0) day 10.
In the 21 days of treatment; it found redness lump improved on the middle finger and left arm accompanied by pain; no new reddish bumps appeared (Fig. 9). The complaint including pain; and redness on the scrotum area is reduced; tingling feeling is reduced. On the dermatology examination on regio facialis found efflorescence in the form of edema; on regio generalisata found efflorescence in the form of petechiae and hyper-pigmented macules. On the sensibility examination still obtained hypoesthesia in the left leg from the tip of the foot to the mid-femoral level.
Figure 9. Treatment day 21Figure Information: (a; b) Status localis region extremities superior dextra et sinistra; Efflorescence of erythema nodules and macula hyper pigmentation.
Patient was given Ringer's lactate infusion therapy 20 drops per minute; intravenous neurobion drip (2x a week); rifampicin 600 mg; ofloxacin 400 mg; minocycline 100 mg (3x a week); paracetamol 500 mg/8 hours/oral if fever and treatment for leprosy reaction given Pentoxifylline 400 mg/8 hour/oral (day 9) combination with methylprednisolone 16 mg (3-2-0) day 13.
The next therapy implements the decreased dose after administration Pentoxifylline 400 mg/12 hours/oral day 5; become Pentoxifylline 400 mg/24 hours/oral and after 5 days the Pentoxifylline was stopped.
Discussion
Diagnose of Morbus Hansen type Lepromatous leprosy with leprosy reaction Erythema nodosum leprosum. In this patient; it is enforced from the history; physical examination and investigation. From anamnesis it obtained the complaints arise redness bumps on the right and left arms and on the neck since the morning. Complaints accompanied by fever. Since 1 year before comes to Hospital; the redness bumps is disappear and cause almost the entire body; pain feelings; with fever and joint pain. Previously; the redness bumps appear in body then multiple and spreading on both leg and both limbs. If the complaint is severe; the entire joint cannot be moved due to pain.
In accordance with literature the leprosy reaction seen on 50% patient and can causes the rapid nerve damage resulting in anesthesia and weakness [8]. It found two types of leprosy reaction which is: type 1 reaction (T1R; reversal reaction) and type 2 reaction (Erythema nodosum leprosum; ENL) [9]. Based on the distribution from the type of leprosy reactions above on patients includes leprosy reaction types of Erythema nodosum leprosum. Type 2 reactions mostly occur during anti-leprosy treatment. Some cases of leprosy reaction appear first time during the beginning of the treatment. The data collected by IAL of 2003 both field and Hospital shows that 21% of all cases with ENL lesions; 17;6% attended within 6 months of starting MDT; 16.6% during a year usage of MDT; and 44;5% more than a year of therapy. A study of Chandigarh also shows the same number; 19;4% (BL) and 20;1% (LL) [10].
In the anamnesis and physical examination found the redness bumps in both limbs that appeared after 6 months of complete MDT treatment. The Complaints accompanied by pain in the area of the lesion; fever and joint pain. Accordance with ENL literature can happen at any time; the commonly appear 1 year after start MDT. Almost 96% people have nodular skin lesion pink color and almost 2/3 has subcutaneous nodules. While one third of patients experience ulceration. It found the pain symptom reported by 98% patient. Most of the patient occurs the skin pain (80;4%); pain nerve (73;9%); joint pain (71;7%) and bone pain (69;2%) [11]. In the dermatology examination found the existence of skin lesion in the form of maculopapular lesion type; papule visual; nodular or plaque before appearing before constitutional symptoms such as fever [12]. ENL lesion many occur in the thighs; legs and face; but rarely in other areas except the scalp; hairy parts; axilla; groin and perineum.
In the laboratorium examination obtained leukocytosis; neutrophilia; and anemia. In accordance with patient literature can occur anemia; neutrophilic leukocytosis and albuminuria [13]. The retrospective research on leprosy patient with ENL in Leprosy Division of Outpatient Unit (URJ) and Inpatient Installation (IRNA) dermatology and venereology of RSUD Dr. Soetomo Surabaya of 2011-2013 obtained most of experience anemia (49;0% men patient and 16;9% women patient); 50;9% experience leukocytosis; 42;55 with thrombocytosis; 53;8% with hypo-albuminemia [14].
In the ENL obtained with normocytic normochrom anemia. Anemia in leprosy is often exists in the BL and LL type which called as chronic disease anemia. In the 2 type of leprosy; it found cytokine which often role on pathogenesis causes chronic disease anemia which is interleukin-1 and tumor necrosis factor-alpha that works its way; 1) inhibits erythropoiesis directly; 2) push erythropoiesis indirectly with inhibit erythropoietin [15]. Suring the ENL reaction; some patient shows the high number of neutrophils in the blood. This fact shows that PMN might have the functional role in this phenomenon. Patient with leprosy reaction with ENL type increase TNF levels both in vivo and in vitro [16]. After peripheral nerve injury; the location of damage is characterized by the activation of immune cells and the proliferation of non-neuronal elements (such as cell of Schwann; mast; neutrophil; macrophage and T-cell); which release the factor (example: TNF; IL-1; IL-6; CCL 2; Histamine; PGE 2; and NGF) which starting and maintains sensory abnormalities after injury. These factors may either induce activity in axons or be transported to cell bodies in the dorsal root ganglia; where they can alter the gene expression of the neurons. Mast cell which located in nerve is the first cells which will be activate and contribute on the neutrophils and macrophages roles [17].
On examination; biopsy on tube I showed an atrophic epidermis with a clear zone area. In the upper dermis to subcutis fat layer found granuloma which generally following adnexal skin and nerve fibers is consist of histiocyte cells with cytoplasm foamy and neutrophils inflammatory cells in between. On the Fite-Faraco staining; the result is positive. In the tube II shows the epidermis which appears atrophy with a clear zone area. In the upper dermis to lower dermis found granuloma which following adnexal skin and fiber nerve which consist of histiocyte cells with cytoplasm foamy and neutrophil inflammatory cells in between Fite-Faraco staining obtained positive bacilli. Morbus Hansen impression of Lepromatous leprosy type with Erythema nodosum leprosy reaction; in accordance with literature on dermis contains granuloma which is the collection of macrophages which consist of bacilli. In the active LL granuloma most of it is covered by macrophages and there are bright colored eosinophilic cytoplasmic cells “foamy cytoplasm”. On the Fite-Faraco staining; cells shows more bacilli which bumps with globules that are dense and fragmented [12].
Implements slit skin smear and found the results on the right ear +1; left ear +3; and on the lesion +1. Positive slit-skin is an important screening procedure for all patients with a suspected diagnosis of leprosy. This examination helps on: 1) leprosy diagnose; 2) leprosy classification in Ridley spectrum and Jopling; 3) monitoring response to treatment in smear positive patients. Bacilli are many found on Lepromatous leprosy (BI 5+ or 6+); is not found on tuberculoid leprosy; and can occur on the leprosy borderline type. The existence of bacilli clots (globi) shows Higher BI; the presence of viable bacilli; can be seen in new; untreated or relapsed lepromatous cases. M. leprae is commonly exist in the biggest number in dermis of multibacillary leprosy patient (1 gram of skin tissue in lepromatous leprosy contains 7000 million leprosy bacilli). Because needed 104 bacilli/gm of cells detected the bacilli with ZN staining [18]; the smear may be negative in paucibacillary-type leprosy lesions in which M. leprae is rare [19].
On patient which get dexamethasone therapy 5 mg/24 hours/intravenous; methylprednisolone 16 mg (3-2-0); neurodex/24 hour/oral; rifampicin 600 mg; ofloxacin 400 mg; minocycline 100 mg which given 3x a week; and for leprosy treatment it given Pentoxifylline 400 mg/8 hour/oral.
In accordance with corticosteroid literature is the first-line therapy in the management of ENL. They are acts with inhibit the first phase and end of inflammation. Corticosteroids decrease chemotaxis of neutrophils and inhibit prostaglandin synthetase enzyme. Giving steroid is also related with suppression of cell-mediated immunity (CMI) especially helper T cells. WHO recommended prednisolone started from 1 mg/kg BW/days to clinical improvement; and then lowered every week by 5–10 mg for 6–8 weeks. Maintenance dosage 20-30 mg might be needed during a week to prevent repeat ENL. The steroid dependence is the important problem to noticed; but reduce the steroid dosage is often related with recurrent reaction [12].
Patient is given ROM regiment to treat multibacillary lesion. In accordance with literature; on 1997; the combination rifampicin (600 mg); ofloxacin (400 mg) and minocycline (100 mg) as ROM therapy accepted for Paucibaciller Leprosy (PB) single lesion (WHO). In the end 1990; a research related the usage of ROM therapy and some of which also include multibacillary leprosy. Ofloxacin and minocycline with strong bactericidal activity on M. leprae. For Leprosy MB can be suggested for refuses patient or it cannot be used for MDT; ROM is safety and effective such as MDT; it does not cause skin pigmentation; and give the clinical improvement; bacteriology; and the same histology; without improving the Lepra reaction level. But; the ROM price is four times more than MDT for the same regiment duration [20].
Pentoxifylline 400 mg/8 hours/oral in this cases used as leprosy reaction treatment; accordance with Pentoxifylline literature is derivate methylxantine which have the antihemorrhagic activity and used in the conditions where there are microcirculation defects as well as where TNF-á roles on the occurrence of the diseases. Giving PTX oral in the ENL sufferers can inhibit cytokine syntheses in monocytes; between TNF-á; IL-1; IL-6; IL-8 and IL-12. [7]. Pentoxifylline has succeeded used in type II reactions with the significant clinical improvement during period of 2 weeks. Pentoxifylline dosage is 400 mg every 8 hours; combined with Prednisone dosage 0;5 mg/kg/day. If clinical improvement occurs; after 30 days; prednisone dosage reduced gradually; and Pentoxifylline is maintained for another two to three months [21].
The other therapy is given Neurodex®/24 hours/oral which consist of Vitamin B1 mononitrate 100 mg; vitamin B6 HCl 200 mg; vitamin B12 200 mcg. In accordance with the literature is called that Vitamin B complex helps to relieve degeneration in the nerve system and Vitamin B1 (tiamin); Vitamin B6 (pyridoxine) in the combination with Vitamin B12 in clinically can be administered [22]. Vitamin B12 especially shows the important role in several biologic accidents to maintain normal nerve function [22-23]. The application B complex or Vitamin B12 has proven to improve the total Schwan cells and fiber nerves of myelin and Axon diameter and thus triggered regeneration of myelin nerve fibers and proliferation of Schwann cells [24].
Conclusion
Morbus Hansen Diagnose types of Lepromatous leprosy with Leprosy reaction Erythema nodosum leprosum. In this patient it is enforced from the anamnesis; physical examination and supporting investigation. From the anamnesis found the complaint is appears the redness bumps on both arms with neck since morning. The complaints accompanied by fever; in the physical examination found erythema nodules; with impaired sensibility in the left leg. The patient experienced improvement after being given neurodex therapy/24 hours/oral; rifampicin 600 mg; ofloxacin 400 mg; minocycline 100 mg which given 3x a week; and combination therapy for leprosy reaction treatment is given the combination of methylprednisolone 1 mg (3-2-0) and Pentoxifylline 400 mg/8 hours/ oral. In the 21 day of treatment; the redness lump improved in the middle finger and left arm was gone. No new reddish bumps appeared and less tingling sensation.
Об авторах
Khairuddin Djawad
Hasanuddin University
Автор, ответственный за переписку.
Email: duddin@ymail.com
ORCID iD: 0000-0002-4569-6385
Doctor, Indonesia Faculty of Medicine
Индонезия, Jl. Perintis Kemerdekaan Km.10; 90245Список литературы
- Rodrigues LC; Lockwood DNj. Leprosy now: epidemiology; progress; challenges; and research gaps. Lancet Infect Dis. 2011;11(6):464–470. doi: 10.1016/S1473-3099(11)70006-8
- World Health Organization; “Global leprosy update; 2015: time for action; accountability and inclusion.; Relev Epidemiol Hebd; 2015;2;91(35):405–420. English; French. doi: 10.1186/1750-9378-2-15.Voir
- Zaenglein AL; Graber EM. Fitzpatrick’s Dermatology in general medicine In: Goldsmith LA; Katz SI; Gilchrest BA; Paller AS; Leffell DJ; editors. 8th ed.; New York: McGraw-Hill; 2012.
- Kamath S; Vaccaro SA; Rea TH; Ochoa MT. Recognizing and managing the immunologic reactions in leprosy. J Am Acad Dermatol 2014;24;71(4):795–803. doi: 10.1016/j.jaad.2014.03.034
- Pulido-Pérez A; Suárez Fernández R. Leprosy reactions and their management. Piel. 2015;30(10). doi: 10.1016/j.piel.2015.04.015
- World Health Organization; Leprosy Reaction and its Management. 2013.
- de Carsalade GY; Achirafi A; Flageul B. Efficacité de la pentoxifylline dans le traitement de l'érythème noueux lépreux: résultats d'une étude ouverte [Pentoxifylline in the treatment of erythema nodosum leprosum: results of an open study]. Acta Leprol. 2003;12(3):117–22 (In French)
- Scollard DM; Adams LB; Gillis TP; et al. The continuing challenges of leprosy. Clin Microbiol Rev. 2006;19(2):338–381.
- doi: 10.1128/CMR.19.2.338-381.2006
- Britton WJ; Lockwood DNJ. Leprosy. The Lancet. 2004;363(9416):1209–1219. doi: 10.1016/S0140-6736(04)15952-7
- Tobinick EL. The value of drug repositioning in the current pharmaceutical market. Drug News Perspect. 2009;22(2):119–125.
- doi: 10.1358/dnp.2009.22.2.1303818
- Negera E; Walker SL; Girma S; et al. Clinico-pathological features of erythema nodosum leprosum: A case-control study at ALERT hospital; Ethiopia. PLoS Negl Trop Dis. 2017;13;11(10):e0006011.
- doi: 10.1371/journal.pntd.0006011
- Sanghi S. IAL Textbook of Leprosy. Med J Armed Forces India. 2010;66(3):284. doi: 10.1016/s0377-1237(10)80066-8
- Di Lernia V. Linear and whorled hypermelanosis. Pediatr Dermatol. 2007;24(3):205–210. doi: 10.1111/j.1525-1470.2007.00387.x
- Pratiwi FD; Agusni I; Staf D; et al. Kelainan Sistemik dan Laboratoris pada Pasien Kusta dengan Reaksi Tipe 2 (Erythema Nodosum Leprosum) (Systemic and Laboratory Abnormalities of Leprosy Patients with Type 2 Reaction (Erythema Nodosum Leprosum). 2013;2.
- Županić-Krmek; Sučić M; Bekić D. Anemia of chronic disease: illness or adaptive mechanism. Acta Clin Croat. 2014;53(3):348–354.
- Murray J; Barbara JA; Dunkley SA; et al. Regulation of neutrophil apoptosis by tumor necrosis factor-alpha: requirement for TNFR55 and TNFR75 for induction of apoptosis in vitro. Blood. 1997;90(7):2772–2783.
- Amulic B; Cazalet C; Hayes GL; et al. Neutrophil function: from mechanisms to disease. Annu Rev Immunol. 2012;30(1):459–489.
- doi: 10.1146/annurev-immunol-020711-074942
- Banerjee PN; Filippi D; Allen Hauser W. The descriptive epidemiology of epilepsy-a review. Epilepsy Res. 2009;85(1):31–45.
- doi: 10.1016/j.eplepsyres.2009.03.003
- Mahajan VK. Slit-skin smear in leprosy: lest we forget it! Indian J Lepr. 2013;85(4):177–183. doi: 10.1029/92JA01839
- Ishii N; Mori S; Nagaoka Y; Suzuki K. Report of the Ninth meeting of the WHO Technical Advisory Group of Leprosy Control. Nihon Hansenbyo Gakkai Zasshi = Japanese Journal of Leprosy: Official Organ of the Japanese Leprosy Association. 2009;78(1);75–88. doi: 10.5025/hansen.78.75
- Nery JA Da Costa; Sales AM; Illarramendi X; et al. Contribution to diagnosis and management of reactional states: A practical approach. An. Bras. Dermatol. [online]. 2006; 81(4):367–375.
- doi: 10.1590/S0365-05962006000400010
- Cayrol C; Girard JP. The IL-1-like cytokine IL-33 is inactivated after maturation by caspase-1. Proc Natl Acad Sci U S A. 2009;106(22):9021–9026. doi: 10.1073/pnas.0812690106
- Hobbenaghi R; Javanbakht J; Hosseini E; et al. Neuropathological and neuroprotective features of vitamin B12 on the dorsal spinal ganglion of rats after the experimental crush of sciatic nerve: an experimental study. Diagn Pathol. 2013;31(8):123. doi: 10.1186/1746-1596-8-123
- Lopatina T; Kalinina N; Karagyaur M; et al. Adipose-derived stem cells stimulate regeneration of peripheral nerves: BDNF secreted by these cells promotes nerve healing and axon growth de novo. PLoS One. 2011;14;6(3):e17899. doi: 10.1371/journal.pone.0017899
Дополнительные файлы













