Pagetoid reticulosis
- Authors: Sergeeva E.Y.1, Khorzhevskii V.A.1, Ruksha T.G.1
-
Affiliations:
- Krasnoyarsk State Medical University
- Issue: Vol 97, No 6 (2021)
- Pages: 81-86
- Section: GUIDELINES FOR PRACTITIONERS
- Submitted: 30.04.2021
- Accepted: 07.07.2021
- Published: 24.12.2021
- URL: https://vestnikdv.ru/jour/article/view/1239
- DOI: https://doi.org/10.25208/vdv1239
- ID: 1239
Cite item
Full Text
Abstract
Pagetoid reticulosis (PR) is a rare type of mycosis fungoides. Clinical symptoms of PR can mimic other skin diseases of papulosquamous, neoplastic, and infectious origin that hampers PR diagnostics. The main histopathologic feature of PR is dense intraepidermal infiltration by medium to large-size lymphocytes through the epidermis leading to pagetoid plaque formation. There are three common immunophenotypes of PR: CD4-positive T-helper phenotype (CD3+, CD4+, CD8–); T-cytotoxic/suppressor (CD3+, CD4–, CD8+); and double negative phenotype (CD3+, CD4–, CD8–). The clinical case of PR with rare immunophenotype (CD2+, CD3+, CD8+ lymphoid infiltrate) is presented. The careful analysis of the symptoms, pathomorphological and immunohistochemical data is necessary for accurate PR diagnostics.
Full Text
Актуальность
Педжетоидный ретикулез (ПР), или болезнь Ворингера — Колоппа является одним из редких видов грибовидного микоза (ГМ) — первичной Т-клеточной кожной неходжкинской лимфомы. Болезнь Ворингера — Колоппа была впервые диагностирована в 1939 г. у мальчика 13 лет в виде псориазиформной бляшки на предплечье, постепенно увеличивающейся в размерах в течение шести лет [1]. Характерным для ПР является наличие единичного образования с типичной патоморфологической, иммуногистохимической картиной.
ПР часто диагностируется в детском или молодом возрасте и характеризуется формированием одного или нескольких пораженных участков кожи в области верхних или нижних конечностей.
До сих пор не полностью понятен патогенез болезни, неясно, является ли болезнь Ворингера — Колоппа истинной лимфомой или доброкачественным лимфопролиферативным процессом, подобным лимфоидному папулезу, который в некоторых случаях может трансформироваться в грибовидный микоз [2, 3].
Описание случая
Пациентка К., 27 лет, поступила с диагнозом: новообразование кожи неопределенного или неизвестного характера.
Дерматологический статус. На правом предплечье изолированная одиночная папула розового цвета с шелушением диаметром 1 см.
При патоморфологическом исследовании гистологического препарата в исследованном участке кожи обнаруживаются очаговый неравномерный акантоз и очаговая атрофия эпидермиса, компактный гиперкератоз, очаговый спонгиоз. В верхних слоях дермы наблюдается лимфоидный пролиферат с выраженным педжетоидным распространением на эпидермис. Во многих местах непрерывные цепочки атипичных клеток лежат вдоль базальной мембраны эпидермиса. Многочисленные атипичные лимфоидные клетки, в скоплениях и по отдельности, располагаются во всех слоях эпидермиса (рис. 1).
Рис. 1. Инфильтрация лимфоцитами с выраженным педжетоидным распространением в эпидермис, формирование интраэпидермальных скоплений опухолевых клеток, распространенные зоны выстраивания клеток опухоли в виде цепочек в базальном слое эпидермиса с формированием просветленной зоны гало. А — увеличение ×15; Б — увеличение ×127. Окраска гематоксилином и эозином / Fig. 1. Lymphoid infiltrate with prominent pagetoid distribution in epidermis, intraepidrmal aggregates formation, lymphoid infiltrate involved the epidermal basal layer in a band-like pattern with characteristic perinuclear halo formation. A — magnification ×15; Б — magnification ×127. Staining with Hematoxylin-Eosin
В дерме инфильтрат имеет неравномерную плотность, в виде малоклеточных разреженных групп проникает до подкожной жировой ткани. В дерме встретилось одиночное компактное лимфо-гистиоцитарное скопление, содержащее гигантские многоядерные клетки. Клетки лимфоидного инфильтрата имеют ядра неправильной округлой формы. В составе пролиферата различимы мелкие лимфоциты и гистиоциты.
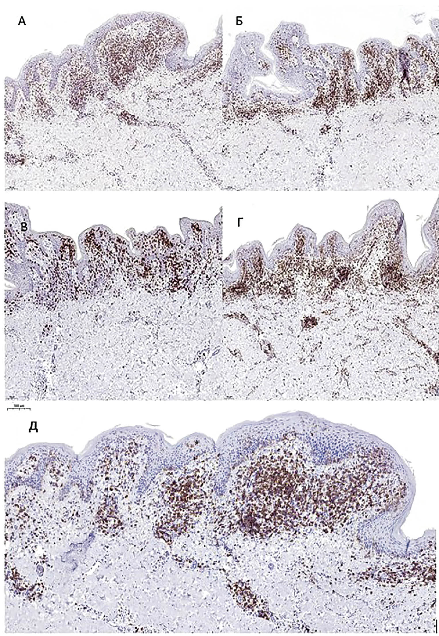
При иммуногистохимическом исследовании в лимфоидном инфильтрате преобладают CD2-, CD3-, CD8- позитивные Т-клетки, CD4-позитивных несколько меньше (рис. 2).
Рис. 2. Иммуногистохимическое исследование с визуализацией антигенов: А, CD2; Б, CD3; В, CD8; Г, CD4; Д, CD5. Увеличение ×100 / Fig. 2. Immunohistochemical assay for antigen visualization: А, CD2; Б, CD3; В, CD8; Г, CD4; Д, CD5. Magnification ×100
Подавляющее большинство лимфоидных клеток с педжетоидным распространением в эпидермисе экспрессируют CD8, не экспрессируют CD45RO, Granzyme B. Лимфоидные клетки инфильтрата гетерогенно экспрессируют CD5, CD7. CD20-экспрессирующих В-клеток в инфильтрате мало. CD30-позитивные клетки в инфильтрате представлены единичными крупными активированными В-клетками. В эпидермисе и в инфильтрате обнаруживаются довольно многочисленные CD1a-позитивные ретикулярные клетки и CD163/CD4 позитивные гистиоциты. Цитокератины 5/6 визуализируют эпидермис, цитокератин (CK)-7 — эпителий потовых желез, MART1 — меланоциты. Антиген пролиферативной активности Ki-67 экспрессирован в ядрах 5–7% (без подсчета) лимфоидных клеток. CD3-/CD8-позитивные лимфоидные клетки обнаружены в эпидермисе края резекции исследованного участка кожи. Прослеживается аберрация иммунофенотипа опухолевых клеток с редукцией экспрессии CD5-интраэпидермальными Т-лимфоцитами.
Заключение патоморфологического исследования: педжетоидный ретикулез (тип Woringer — Kolopp). Больная была направлена на лечение в краевой онкологический диспансер.
Обсуждение
К основным гистопатологическим особенностям ПР относятся: выраженная интраэпидермальная инфильтрация лимфоцитами среднего и большого размеров с распространением инфильтрата на всю глубину эпидермиса и формированием педжетоидной бляшки [9]. В инфильтрате отмечают тенденцию к мономорфности клеток, но могут наблюдаться незначительный полиморфизм и гиперхромазия, а также единичные клетки с церебриформными ядрами, характерные для классической формы грибовидного микоза. Выраженный акантоз и волнистость эпидермиса, в ряде случаев приводящие к веррукозной гиперплазии, тоже являются характерными гистопатологическими признаками ПР [10, 11].
Существуют три различных иммунофенотипа при ПР: (1) CD4-позитивный T-хелперный фенотип (CD3+, CD4+, CD8–); (2) T-цитотоксический/супрессорный фенотип (CD3+, CD4–, CD8+); и (3) двойной негативный фенотип (CD3+, CD4–, CD8–). Преобладающая часть Т-лимфоцитов представлена зрелыми клетками с позитивной экспрессией CD45RO, хотя ряд авторов описывают редкие случаи наивного CD45RA+ фенотипа, более характерного для генерализованной и агрессивной эпидермотропной CD8+ Т-клеточной лимфомы. Экспрессия CD30 вариабельная, но достаточно часто позитивная в большинстве неопластических клеток, локализованных интраэпидермально. Экспрессия TCR-β чаще всего позитивна [12–14].
Дифференциальная диагностика ПР проводится с заболеваниями папулосквамозного, неопластического и инфекционного характера: экземой, псориазиформным дерматитом, бородавчатым туберкулезом кожи, бластомикозом, лейшманиозом, дерматофитиями и др. С развитием псевдоэпителиоматозной гиперплазии также могут быть ассоциированы некоторые злокачественные новообразования кожи, например, CD30+ лимфопролиферативные заболевания, веррукозная форма плоскоклеточного рака кожи. При подозрении на ПР необходимо проводить дифференциальную диагностику и с этими болезнями, с использованием гистологических и иммуногистохимических методов [4–6].
Некоторые другие виды кожных Т-клеточных лимфом тоже могут иметь симптомы, похожие на ПР. Например, картина заболевания при локализации кожных поражений при ПР на бедрах и ягодицах может походить на симптомы грибовидного микоза, при котором, однако, отсутствует выраженная интраэпидермальная инфильтрация, характерная для ПР [7, 8].
Следует отметить, что случаи, ранее рассматриваемые как генерализованные формы ПР, в настоящее время часто диагностируются как другие варианты кожных Т-клеточных лимфом. К таким лимфомам относятся кожная агрессивная эпидермотропная CD8+ Т-клеточная лимфома и первичная кожная гамма-дельта Т-клеточная лимфома. Последняя является редким подтипом кожных Т-клеточных лимфом, характеризующимся быстрым развитием заболевания с широким распространением пораженных участков кожи, на которых формируются множественные изменения: бляшки, опухолевые узлы, язвы с очагами некроза. Главной характерной иммуногистохимической особенностью кожной агрессивной эпидермотропной CD8+ Т-клеточной лимфомы является позитивная экспрессия клетками опухоли CD8, кроме того, в преобладающей части опухолевых клеток отмечается позитивная экспрессия CD3, CD7, CD45RA, βF-1 и негативная реакция в отношении CD45RO, CD30 [3]. Иногда при педжетоидном ретикулезе выявляется значительное количество клеток с позитивной экспрессией CD30, что аналогично ситуации при CD30-экспрессирующих лимфопролиферативных заболеваниях. Редко встречающийся тип D лимфоматоидного папулеза характеризуется выраженным педжетоидным эпидермотропизмом. При этом интраэпидермальные CD8+ лимфоциты, преимущественно среднего размера, что может походить на гистологическую картину при ПР, в то время как при типичном лимфоматоидном папулезе эпидермотропизм значительно менее выражен.
Заключение
В настоящей работе представлено описание случая ПР с нестандартным иммунофенотипом, диагностика которого может быть затруднена вследствие того, что некоторые симптомы ПР совпадают с клиническими проявлениями ряда других болезней. Следовательно, только тщательный анализ клинической картины, патоморфологических, иммуногистохимических и в некоторых случаях молекулярно-генетических данных позволит провести точную дифференциальную диагностику ПР и других заболеваний со сходными проявлениями, что имеет крайне важное значение для прогноза характера течения, исхода заболевания и подходов к терапии.
Участие авторов: все авторы несут ответственность за содержание и целостность всей статьи. Концепция и дизайн исследования — В.А. Хоржевский, Т.Г. Рукша; сбор и обработка материала — Е.Ю. Сергеева, В.А. Хоржевский; написание текста — Е.Ю. Сергеева; редактирование — Т.Г. Рукша, В.А. Хоржевский
Authors' participation: all authors: approval of the final version of the article, responsibility for the integrity of all parts of the article. Contribution: concept and design of the study — Vladimir A. Khorzhevskii, Tatiana G. Ruksha; collection and processing of material — Ekaterina Yu. Sergeeva, Vladimir A. Khorzhevskii; text writing — Ekaterina Yu. Sergeeva; editing — Tatiana G. Ruksha, Vladimir A. Khorzhevskii
About the authors
Ekaterina Yu. Sergeeva
Krasnoyarsk State Medical University
Email: e.ya.sergeeva@mail.ru
ORCID iD: 0000-0002-2089-6022
к.м.н.
Россия, Partizana Zheleznyaka str., 1, 660022, KrasnoyarskVladimir A. Khorzhevskii
Krasnoyarsk State Medical University
Email: vladpatholog@yandex.ru
ORCID iD: 0000-0002-9196-7246
MD, Cand. Sci. (Med.)
Россия, Partizana Zheleznyaka str., 1, 660022, KrasnoyarskTatiana G. Ruksha
Krasnoyarsk State Medical University
Author for correspondence.
Email: tatyana_ruksha@mail.ru
ORCID iD: 0000-0001-8142-4283
MD, Dr. Sci. (Med.), Professor
Россия, Partizana Zheleznyaka str., 1, 660022, KrasnoyarskReferences
- Cerroni L, Hodak E, Kempf W, Pincus LB, Smoller BR, Willemze R. Variants of mycosis fungoides. In: Elder DE, Massi D, Scolyer RA, Willemze R, editors. WHO classification of skin tumours. Lyon; 2018. P. 231–233.
- Torre-Castro J, Carrasco Santos L, Rodríguez-Pinilla SM, Requena L. Pagetoid reticulosis in a 13-year old female. A unique immunohistochemical profile. J Cutan Pathol. 2020;47(5):466–469. doi: 10.1111/cup.13622
- Martínez-Escala ME, González BR, Guitart J. Mycosis fungoides variants. Surg Pathol Clin. 2014;7(2):169–189. doi: 10.1016/j.path.2014.02.003
- Рукша Т.Г., Аксененко М.Б., Гырылова С.Н. Злокачественные новообразования кожи: анализ заболеваемости в красноярском крае, проблемы профилактики и совершенствования раннейдиагностики. Вестник дерматологии и венерологии. 2010;86(4):4–9. [Ruksha TG, Aksenenko MB, Gyrylova SN. Skin cancer: incidence in Krasnoyarsk krai, problems of prevention and early diagnostics. Vestnik dermatologii i venerologii. 2010;86(4):4–9. (In Russ.)] doi: 10.25208/0042-4609-2010-0-04
- Ledet J, Groysman V, Sami N. Woringer-Kolopp (Pagetoid Reticulosis) disease successful response to bexarotene gel. Dermatol Ther. 2016;29(1):28–31. doi: 10.1111/dth.12281
- Wang SC, Mistry N. Woringer-Kolopp disease mimicking psoriasis. CMAJ. 2015;187(17):1310. doi: 10.1503/cmaj.141318
- Jeunon T, Assoni A, Verdolin A. Pseudocarcinomatous Hyperplasia, squamous cell carcinoma, and keratoacanthoma associated to lymphomas of the skin and external mucous membranes: a case report and literature review. Am J Dermatopathol. 2020;42(9):662–672. doi: 10.1097/DAD.0000000000001587
- Kaufmann F, Kettelhack N, Hilty N, Kempf W. Unilesional plantar mycosis fungoides treated with topical photodynamic therapy —case report and review of the literature. J Eur Acad Dermatol Venereol. 2017;31(10):1633–1637. doi: 10.1111/jdv.14160
- Di Meo N, Longone M, Zalaudek I. Dermoscopic clues in Pagetoid reticulosis Woringer-Kolopp type. J Eur Acad Dermatol Venereol. 2018;32(10):e392–e393. doi: 10.1111/jdv.15059
- Manoli SM, Lallas A, Ioannides D, Nikolaidou C, Lazaridou E, Sotiriou E, et al. Dermoscopy of pagetoid reticulosis, with dermoscopic-pathologic correlation. Photodermatol Photoimmunol Photomed. 2019;35(5):372–374. doi: 10.1111/phpp.12472
- Corbeddu M, Ferreli C, Pilloni L, Faa G, Cerroni L, Rongioletti F. Pagetoid reticulosis (Woringer-Kolopp disease) in a 2-year-old girl-case report and review of the literature. JAAD Case Rep. 2018;5(1):104–107. doi: 10.1016/j.jdcr.2018.10.023
- Mourtzinos N, Puri PK, Wang G, Liu ML. CD4/CD8 double negative pagetoid reticulosis: a case report and literature review. J Cutan Pathol. 2010;37(4):491–496. doi: 10.1111/j.1600-0560.2009.01323.x
- Wei S, Huang W, Xu X. Pagetoid reticulosis positive for cytotoxic CD20 and CD30: A case report. Indian J Pathol Microbiol. 2019;62(2):316–318. doi: 10.4103/IJPM.IJPM_717_18
- Haghighi B, Smoller BR, LeBoit PE, Warnke RA, Sander CA, Kohler S. Pagetoid reticulosis (Woringer-Kolopp disease): an immunophenotypic, molecular, and clinicopathologic study. Mod Pathol. 2000;13(5):502–510. doi: 10.1038/modpathol.3880088
Supplementary files






