A clinical case of borderline leprosy
- Authors: Semyonova V.G.1, Levicheva Y.Y.1, Shelepova T.N.1, Nabieva A.R.1, Nikonorov A.A.2, Smolyannikova V.A.2,3, Kubanov A.A.2
-
Affiliations:
- Leprosy Research Institute
- State Research Center of Dermatovenereology and Cosmetology
- I.M. Sechenov First Moscow State Medical University
- Issue: Vol 97, No 6 (2021)
- Pages: 96-103
- Section: CLINICAL CASE REPORTS
- Submitted: 07.12.2021
- Accepted: 21.12.2021
- Published: 24.12.2021
- URL: https://vestnikdv.ru/jour/article/view/1298
- DOI: https://doi.org/10.25208/vdv1298
- ID: 1298
Cite item
Full Text
Abstract
Background. Described a rare case of leprosy, borderline form in the active stage.
Aim. To present a clinical case of the development of leprosy with atypical manifestations in a patient outside a region endemic for leprosy.
Case report. A 67-year-old patient from 2018 to 2020 received treatment for allergic dermatitis, pyoderma, no effect was observed; in 2020 he was examined for sarcoidosis, the diagnosis was not confirmed. In the Leprosy Research Institute, an examination was carried out, including a bacterioscopic examination of skin scarificates, a pathomorphological examination of skin biopsies, and molecular genetic methods.
Results. Based on complaints, anamnesis, examination data and physical examination, the results of clinical and laboratory examination, the diagnosis was made: leprosy, borderline form (ICD-10 A30.3), active stage.
Conclusion. The presented observation indicates that the variety of clinical manifestations of leprosy and the lack of alertness in relation to this disease, about the difficulty in establishing the correct clinical diagnosis in the patient, given the lack of history of data on contact with patients with leprosy.
Full Text
Обоснование
Лепра (болезнь Хансена, устаревшее название — проказа) — системное хроническое гранулематозное заболевание инфекционной природы, вызываемое патогенными для человека Mycobacterium leprae и Mycobacterium lepromatosis, с преимущественным поражением кожи, слизистых оболочек и периферической нервной системы [1, 2]. Лепра остается серьезной проблемой общественного здравоохранения, новые случаи заболевания возникают во всем мире, в том числе в Российской Федерации. По данным ВОЗ, первичная заболеваемость достигает 200 тысяч новых случаев в год, и тенденции к снижению данного показателя не наблюдается. Значимую роль в распространении заболевания играют как миграционные процессы, так и значительные туристические потоки на территории эндемичных по лепре стран [3, 4]. Болезнь имеет несколько подтипов с различными клиническими проявлениями, длительный инкубационный период, серьезные осложнения, приводящие к инвалидизации, что требует своевременного выявления и длительного лечения с применением нескольких фармакологических средств. Современные препараты, применяемые для лечения заболевания, помимо антибактериального могут оказывать и токсическое воздействие на организм пациента, вызывая серьезные побочные эффекты [5], что, соответственно, требует особого внимания и высокой степени доказательности при постановке диагноза. Диагностика лепры является сложной задачей для клинициста. Болезнь зачастую имеет стертую, «маскирующуюся» под другие заболевания клиническую картину [1, 6]. Поэтому во всех случаях длительного течения дерматозов (с наличием эритемы, гипер- или гипопигментных пятен, папул, инфильтратов, бугорков, узлов), не регрессирующих при проведении обычной терапии, врачу-дерматологу следует подумать о лепре. При этом важную роль играют эпидемиологический анамнез, неврологический статус, включая состояние болевой, тактильной, температурной чувствительности в очагах поражения кожи и дистальных отделах конечностей, проведение функциональных проб, бактериоскопическое исследование по методу Циля — Нильсена, гистологическое исследование очагов поражения, а также молекулярно-генетическое исследование материала из очагов поражения методом ПЦР [6–8].
В настоящем сообщении мы приводим клинический случай, демонстрирующий сложности диагностики лепры у пациента, проживающего в благополучном по данному инфекционному заболеванию регионе, но в эпидемиологическом анамнезе — частые поездки в эндемичные по лепре страны.
Описание клинического случая
Пациент Г., 67 лет, житель административного центра Северо-Западного федерального округа. Со слов больного, с 2018 по 2020 г. неоднократно обращался в различные медицинские центры, где получал лечение по поводу аллергического дерматита, пиодермии, эффекта не наблюдалось, кожный процесс прогрессировал. В августе 2020 г. обратился к дерматовенерологу ФГБОУ ВО ПСПбГМУ им. Павлова Минздрава России с жалобами на высыпания на коже лица, туловища, верхних и нижних конечностей. Был поставлен предварительный диагноз «саркоидоз», проведено морфологическое исследование биоптатов с двух участков кожи — паховой складки и затылочной области головы. В обоих биоптатах в эпидермисе отмечался акантоз, ортокератоз с паракератозом, очаговый спонгиоз. Дерма была диффузно инфильтрирована лимфоцитами, гистиоцитами с бурым пигментом в цитоплазме, эозинофилами, большим количеством гигантских многоядерных клеток и эпителиоидных клеток, которые образовывали скопления, а в биоптате с затылочной области наблюдались множественные гранулемы саркоидного типа. В сосудах отмечались умеренный отек стенки и набухание эндотелия. Обращала на себя внимание большая выраженность воспалительного инфильтрата в верхних отделах дермы и связь его с волосяными фолликулами, в последних отмечались дистрофические изменения. В отличие от типичной морфологической картины лепры в данном случае воспалительный инфильтрат проникал в эпидермис. Для исключения грибковой природы процесса была проведена дополнительная окраска по методу Гомори — Грокотта — патологических элементов выявлено не было. При окраске по методу Циля — Нильсена и реактивом Шиффа кислотоустойчивых палочек и мицелия или псевдомицелия грибов также не было выявлено. Однако после дорезки материала при повторном окрашивании срезов по методу Циля — Нильсена в одном фрагменте препарата обнаружены макрофаги, содержащие кислотоустойчивые зернистые включения, подозрительные на микобактерии. Было сделано следующее заключение: «Гранулематозный процесс в коже с поражением верхних отделов дермы и волосяных фолликулов и вторичными изменениями в эпидермисе, возможно, микобактериальной этиологии». Учитывая данные гистологического исследования, направлен на консультацию в ФГБУ «НИИЛ» Минздрава России г. Астрахани, госпитализирован 14.10.2020.
Эпидемиологический анамнез: контакты с больными лепрой отрицает, проживает в неэндемичном по лепре регионе, очень часто путешествует по всему миру, бывает в странах, неблагополучных по лепре (Индонезия, Бразилия, Индия, Шри-Ланка, Эфиопия, Филлипины, Китай и др.).
Объективно: при осмотре общее состояние удовлетворительное. Правильного телосложения, удовлетворительного питания. Подкожно-жировой слой развит равномерно. Сознание не нарушено, во времени и пространстве ориентирован. Контактен. Эмоционально стабилен. Дыхание через нос свободное, выделения из носа отсутствуют. Периферические лимфоузлы увеличены, в паховой области 1,0 х 2,0 см справа,1,5 х 1,5 см слева, плотные, подвижные, безболезненные при пальпации.
Локальный статус: патологический процесс носит распространенный, симметричный характер, локализуется на коже головы, туловища, конечностей, исключая область кожи ладоней и подошв. Высыпания имеют полиморфный характер, представлены эритематозными пятнами, папулами, пустулами, бугорками, эрозиями. На коже лица отмечаются диффузная инфильтрация, множественные папулы ярко-розового цвета, размером от 0,3 до 0,5 см. Кожа в зоне инфильтрации напряжена, «глянцевая», рисунок сглажен. В области надбровных дуг отмечается мелко-пластинчатое шелушение, волосы в области бровей с латеральной стороны разрежены (рис. 1а). Кожа на ушных раковинах отечная, инфильтрированная, с множественными папуло-пустулезными элементами, серозными и геморрагическими корочками (рис. 1б). Кожа волосистой части головы, особенно в области затылка, обильно покрыта папулами ярко-розового цвета, размером от 0,3 до 0,8 см, единичными эрозиями (рис. 1в).
Рис. 1. Локальный статус: а — диффузная инфильтрация кожи лица, множественные папуло-пустулезные высыпания; б — папулезные элементы, серозные и геморрагические корочки на фоне инфильтрации кожи ушных раковин; в — папулы ярко-розового цвета на коже в области затылка с переходом на заднюю поверхность шеи; г — папулы с синюшным оттенком на разгибательных поверхностях верхних конечностей; д — бугорковые элементы полушаровидной формы, синюшного цвета в подмышечной области; е — папулы на коже нижних конечностей; ж — папулы на задней поверхности бедра с атрофией центральной зоны; з — изъязвление папулезного элемента на коже ягодицы / Fig. 1. а — diffuse infiltration of the face and multiple papulopustular rashes; b — papular elements, serous and hemorrhagic crusts accompanied by infiltration of the auricles; с — bright pink papules on the skin of the occiput with a transition to the back of the neck; d — papules with a bluish tinge on the extensor surfaces of the upper extremities; е — tuberous elements of a hemispherical shape with a bluish color in the axillary region; f — skin papules on the lower extremities; g — papules on the back of the thigh with atrophy of the central zone; h — ulceration of the papular element on the skin of the buttocks
Высыпания, расположенные на разгибательных поверхностях верхних конечностей, представлены папулами розового цвета с синюшным оттенком, вытянутой формы, размером 0,5 х 0,9 см, некоторые папулы на поверхности имеют шелушение, серозно-геморрагические корочки (рис. 1г). В правой подмышечной области имеются бугорковые элементы полушаровидной формы, плотноватой консистенции, синюшного цвета (рис. 1д). Элементы имеют склонность к группированию.
В области нижних конечностей высыпания локализуются на задней поверхности бедер, с переходом на кожу ягодиц, процесс носит папулезный характер, папулы размером от 0,5 до 1,5 см с синюшным оттенком, местами сливаясь, образуют бляшки до 5,0 см в диаметре. На некоторых элементах имеются язвенные дефекты размером от 1,0 до 1,5 см, язвы неправильной формы, покрыты серозно-гнойным отделяемым. В центре многих папул имеется атрофия (рис. 1е, ж, з). Рефлекторный дермографизм красный, реакция ослабленная.
Изменения со стороны периферической нервной системы: при проведении функциональных проб выявлено нарушение температурной чувствительности в дистальных отделах нижних конечностей до нижней трети голени. Тактильная и болевая чувствительность сохранена. Мышечная сила не снижена. При пальпации определяется увеличение малоберцовых и большеберцовых нервов в виде плотного «шнура», нервы болезненны, подвижны. Контрактур нет.
Для проведения лабораторных исследований у пациента взяты кровь на биохимический анализ, ИФА, анализ на ВИЧ, МР, HBS-Ag, HCV-Ag, соскобы со слизистой носа, скарификаты кожи, биопсию кожи для проведения бактериоскопического, патоморфологического и молекулярно-генетического исследования.
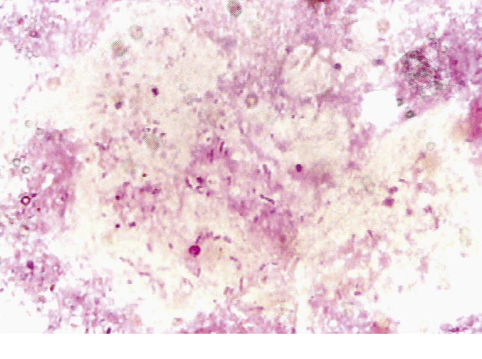
При бактериоскопическом исследовании в скарификатах кожи обнаружены гомогенные кислотоустойчивые палочки (рис. 2), бактериоскопический индекс (БИН) 1+, в соскобе со слизистой поверхности носа кислотоустойчивые палочки не обнаружены.
Рис. 2. Кислотоустойчивые палочки в мазке, окрашенном по методу Циля — Нильсена / Fig. 2. Acid-resistant bacilli in a smear stained according to the Ziehl — Neelsen method
Серологическое исследование методом ИФА на наличие антител классов IgM и IgG к специфическому антигену M. leprae — DIS-BSA показало повышение их уровня: IgM — 0,49 у.е. (норма до 0,15) и IgG — 0,14 у.е. (норма до 0,20); циркулирующие иммунные комплексы — 14,5 у.е. (норма < 10).
Молекулярно-генетическое исследование методом ПЦР с использованием набора GenoTypeLeprae DR показало наличие в исследуемом материале ДНК M. leprae.
В лаборатории патоморфологии ФГБУ «ГНЦДК» Минздрава России было проведено повторное морфологическое исследование биоптатов кожи. Со стороны эпидермиса отмечались неспецифические изменения в виде умеренного гиперкератоза и акантоза. Во всех отделах дермы были расположены гранулемы, состоящие из гистиоцитов, лимфоцитов и пенистых клеток, гигантских многоядерных клеток Тутона и Пирогова — Лангханса, вокруг которых и периваскулярно были выраженные лимфоцитарные инфильтраты, в центре отдельных гранулем отмечались мелкие фокусы некроза (рис. 3а). Стенки сосудов были инфильтрированы лимфоцитами и макрофагами, эндотелий набухший. Нервные волокна утолщены, дистрофичны, инфильтрированы лимфоцитами и макрофагами. Лимфоцитарный инфильтрат вплотную примыкал к эпидермису (рис. 3б). При окраске по методу Циля — Нильсена микобактерии лепры выявлялись в виде глобул, расположенных как в лепроматозных клетках, так и вне их (рис. 3в). Заключение: «Выявленные изменения соответствуют клиническому диагнозу “лепра”». Таким образом, по сравнению с первичной биопсией обращает на себя внимание большая выраженность процесса: воспаление захватывает все слои дермы и распространяется на сосуды и нервные волокна, что клинически проявилось изменениями чувствительности и некротическими изменениями в центре отдельных элементов.
Рис. 3. Морфологическая картина биоптатов кожи: а — диффузная лимфо-гистиоцитарная инфильтрация дермы, на фоне которой видны множественные лепрозные гранулемы (окр. гематоксилин-эозином. Увеличение х100); б — инфильтрация нервного стволика мононуклеарными элементами (окр. гематоксилин-эозином. Увеличение х200); в — микобактерии лепры в лепрозных и гигантских многоядерных клетках (окр. по методу Циля — Нильсена. Увеличение х200) / Fig. 3. Histology of skin biopsies: а — diffuse lympho-histiocytic dermal infiltrate accompanied by multiplyleprosy granulomas (hematoxylin-eosin staining, 100x); b — nerve infiltration with mononuclears (hematoxylin-eosine staining, 200x); c — Mycobacterium leprae in leprosy and giant multinucleated cells (Ziehl — Neelsenstaining, 200x)
Другие лабораторные исследования от 14.10.2020: общий анализ крови, мочи, биохимический анализ крови — в пределах нормы. Результаты исследований на ВИЧ, МР, HBS-Ag, HCV-Ag отрицательные.
На основании клинической картины и результатов лабораторных исследований установлен диагноз: лепра, пограничная форма, активная стадия. Осложнения основного заболевания: хроническая специфическая полинейропатия с чувствительными нарушениями.
Лечение: специфическая терапия проводится с момента установления диагноза в соответствии со Стандартом специализированной медицинской помощи при активной стадии лепры и продолжается по настоящее время. За время лечения получил специфическую химиотерапию в течение 10 месяцев. С целью снижения побочных эффектов противолепрозной терапии в виде нейро- и гепатотоксичности применялись нейропротекторы (тиоктовая кислота, витамины группы В) и гепатопротекторы (гептрал, эссенциале форте). Проводилось курсовое физиотерапевтическое лечение (магнитотерапия, фонофорез с раствором тиоктовой кислоты) на область нижних конечностей.
Клинические проявления на коже лица, разгибательной поверхности рук, в подмышечных областях регрессировали полностью. На коже в паховых областях сохраняются единичные высыпания, участки гиперпигментации.
Обсуждение
Литературные данные свидетельствуют о высокой частоте атипичных клинических проявлений лепры, что делает дифференциальный диагноз этого заболевания весьма сложным [8; 9], и часто оно не диагностируется до появления характерных лепрозных поражений кожи, слизистой носа, рта и т.д. [5]. Представленный клинический случай подтверждает эти данные. Во-первых, его можно рассматривать как атипичное проявление лепры, так как манифест патологических высыпаний на коже располагался нетипично, в так называемых иммунных зонах (подмышечные впадины, паховая область, кожа волосистой части головы), и был представлен в том числе пустулезными высыпаниями, эрозиями, мокнутием, что нехарактерно для начального периода лепры [10]. Во-вторых, пациент в течение длительного времени получал лечение по поводу других дерматозов, включая противоаллергическое и антибактериальное, которое при этом было неэффективным. Через год после начала заболевания дерматологами был предположен диагноз «саркоидоз». На эту мысль наводило прогрессирование процесса и изменение клинической картины в виде появления длительно существующих узелков, бляшек от желтоватого до фиолетового цвета плотно-эластической консистенции, с западением, легкой атрофией и изъязвлениями в центре в сочетании с морфологической картиной гранулематозного воспаления. Но исследования легких и медиастинальных лимфоузлов не подтвердили данный диагноз. Дальнейшее изучение гистологической картины (в том числе окрашивание по методу Циля — Нильсена) позволило выявить микобактериальную природу гранулемы. Подозрение на лепру возникло лишь после получения результатов патогистологического исследования, что свидетельствует о важности бактериологического и гистологического анализов для подтверждения диагноза лепры на самых ранних сроках заболевания [5, 11]. Также необходимо отметить, что морфологический метод с применением дополнительных окрасок по методу Циля — Нильсена не всегда может выявить микобактерии, и в нашем случае потребовались дополнительные срезы и повторные исследования. Такая ситуация может быть связана как с особенностями самого заболевания (например, при туберкулоидном типе лепры в гранулемах редко удается выявить возбудителя), так и с ошибками преаналитического этапа (неправильная фиксация и хранение биоптата), а также с особенностями самой методики окрашивания. Поэтому наиболее надежным методом диагностики лепры при наличии соответствующей морфологической картины является серологическое и особенно молекулярно-генетическое исследование методом ПЦР с выявлением в исследуемом материале ДНК M. leprae.
Таким образом, представленный клинический случай пограничной формы лепры в очередной раз подтвердил необходимость более широкого внедрения патогистологического, серологического и молекулярно-генетического исследования в повседневную работу дерматологов.
Заключение
Представленное наблюдение свидетельствует о многообразии клинических проявлений лепры, сложности в постановке правильного клинического диагноза, особенно при отсутствии в анамнезе данных о контакте с больными лепрой. Безусловно, специалисты специализированных учреждений дерматовенерологического профиля в своей повседневной работе не должны исключать возможность встречи с лепроматозным больным с атипичным течением заболевания, особенно в случаях, когда пациенты обращаются с длительно протекающими дерматозами, не поддающимися терапии, имея в анамнезе поездки в эндемичные районы или тесный контакт с людьми, больными лепрой.
Участие авторов: разработка концепции (формулировка и развитие ключевых целей и задач), утверждение окончательного варианта статьи (принятие ответственности за все аспекты работы), целостность всех частей статьи, ее окончательный вариант — В.Г. Семенова; подготовка и редактирование текста (составление черновика рукописи, его критический пересмотр с внесением ценного замечания интеллектуального содержания), проведение исследования (анализ и интерпретация полученных данных) — Ю.Ю. Левичева; разработка концепции (формулировка и развитие ключевых целей и задач), подготовка и редактирование текста (составление черновика рукописи, его критический пересмотр с внесением ценного замечания интеллектуального содержания) — Т.Н. Шелепова; проведение исследования (сбор данных, анализ и интерпретация полученных данных) — А.Р. Набиева; анализ литературы, редактирование текста, его критический пересмотр с внесением ценного замечания интеллектуального содержания — А.А. Никоноров; проведение гистологического исследования, предоставление морфологических рисунков, редактирование текста — В.А. Смольянникова; разработка концепции, одобрение окончательной версии статьи — А.А. Кубанов.
Authors' participation: conceptualization formulation of research goals and aims. Approval of the final version of the article — taking responsibility for all aspects of the published work and the integrity of all parts of the article — Viktoriya G. Semyonova; writing — original draft preparation. Investigation, analysis and interpretation of the data obtained — Yuliya Y. Levicheva; conceptualization — formulation of research goals and aims. Writing — original draft preparation — Tatyana N. Shelepova; data Curation and Formal analysis — Antonina R. Nabieva; writing — review and editing. Preparation of the published work by those from the original research group, revision — including pre- and post-publication stages — Aleksandr A. Nikonorov; histological study and preparation images, manuscript editing — Vera A. Smolyannikova; conceptualization — formulation of research goals and aims. Supervision, approval of the final version of the article — Aleksey A. Kubanov.
About the authors
Viktoriya G. Semyonova
Leprosy Research Institute
Email: v.g.semenova@mail.ru
ORCID iD: 0000-0001-7708-8707
Россия, N. Ostrovsky str., 3, 414057, Astrakhan
Yuliya Y. Levicheva
Leprosy Research Institute
Email: levicheva@700200.ru
ORCID iD: 0000-0002-1962-4193
Россия, N. Ostrovsky str., 3, 414057, Astrakhan
Tatyana N. Shelepova
Leprosy Research Institute
Email: shelepovatn@yandex.ru
ORCID iD: 0000-0002-8172-2421
Cand. Sci. (Med.), physician
Россия, N. Ostrovsky str., 3, 414057, AstrakhanAntonina R. Nabieva
Leprosy Research Institute
Email: nabiyeva-1981@list.ru
dermatovenerologist , Cand. Sci. (Med.)
Россия, N. Ostrovsky str., 3, 414057, AstrakhanAleksandr A. Nikonorov
State Research Center of Dermatovenereology and Cosmetology
Author for correspondence.
Email: nikonorov_all@mail.ru
ORCID iD: 0000-0001-7214-8176
SPIN-code: 3859-7081
Scopus Author ID: 6701729328
senior research associate, Dr. Sci. (Med.), Professor
Россия, Korolenko str., 3, bldg 6, 107076, MoscowVera A. Smolyannikova
State Research Center of Dermatovenereology and Cosmetology; I.M. Sechenov First Moscow State Medical University
Email: smva@bk.ru
senior research associate, Dr. Sci. (Med.), Professor
Россия, Korolenko str., 3, bldg 6, 107076, Moscow; Trubetskaya str., 8–2, 119991, MoscowAlexey A. Kubanov
State Research Center of Dermatovenereology and Cosmetology
Email: alex@cnikvi.ru
ORCID iD: 0000-0002-7625-0503
SPIN-code: 8771-4990
MD, Dr. Sci. (Med.), Professor, Corresponding Member of the Russian Academy of Sciences
Россия, Korolenko str., 3, bldg 6, 107076, MoscowReferences
- Семенова В.Г., Карамова А.Э., Нефедова М.А., Чеботарев В.В., Земцов М.А., Одинец А.В. и др. Случай погранично-туберкулоидной лепры с атипичными и осложненными проявлениями. Вестник дерматологии и венерологии. 2019;95(4):67–78. [Semenova VG, Karamova AE, Nefyodova MA, Chebotarev VV, Zemtsov MA, Odinets AV, et al. A case of borderline tuberculoid leprosy with atypical and complicated manifestations. Vestnik Dermatologii i Venerologii. 2019;95(4):67–78 (In Russ.)] doi: 10.25208/0042-4609-2019-95-4-67-78
- Белопасов В.В. Типология и патогенез нейропатической боли при лепре. Русский медицинский журнал. Медицинское обозрение. 2018;2(9):41–45. [Belopasov VV. Typology and pathogenesis of neuropathic pain in leprosy. RMJ. Medical Review. 2018;(9):41–45 (In Russ.)]
- Кубанов А.А., Абрамова Т.В., Мураховская Е.К., Ласачко В.А. Современный взгляд на лепру. Лечащий Врач. 2018;(5):48. [Kubanov AA, Abramova TV, Murahovskaja EK, Lasachko VA. Sovremennyj vzgljad na lepru. Lechashhij Vrach. 2018;(5):48 (In Russ.)]
- Global leprosy update, 2018: moving towards a leprosy-free world.WER No 35/36, 2019;94:389–412
- Chimenos-Küstner E, Pascual-Cruz M, Piñol-Dansis C, Viñals-Iglesias H, Rodríguez de Rivera-Campillo ME, López-López J. Lepromatous leprosy: A review and case report. MedOralPatolOralCirBucal 2006;11:E474-9
- Семенова В.Г., Карамова А.Э., Нефедова М.А. Лепра под «маской» туберкулеза кожи — трудности диагностики. Вестник дерматологии и венерологии. 2017;93(6):91–99. [Semyonova VG, Karamova AE, Nefyodova MA. Leprosy in the Guise of Skin Tuberculosis — Complexities of Diagnostics. Vestnik dermatologii i venerologii. 2017;93(6):91–99. (In Russ.)] doi: 10.25208/0042-4609-2017-93-6-91-99
- Maymone MBC, Laughter M, Venkatesh S, Dacso MM, Rao PN, Stryjewska BM, et al. Leprosy: Clinical aspects and diagnostic techniques. J Am Acad Dermatol. 2020;83(1):1—14. doi: 10.1016/j.jaad.2019.12.080.
- Nihal Kundakci, Cengizhan Erdem Leprosy: A great imitator. Clinics in Dermatology, 2019;37(3):200–212. doi: 10.1016/j.clindermatol.2019.01.002
- Neves KVRN, Nobre ML, Machado LMG, Steinmann P, Ignotti E. Misdiagnosis of leprosy in Brazil in the period 2003–2017: spatial pattern and associated factors. Acta Trop. 2021;215:105791. doi: 10.1016/j.actatropica.2020.105791
- Souyoul S, Saussy K, Stryjewska BM, Grieshaber E. Leprosy mimicking basal cell carcinoma in a patient on fingolimod. JAAD Case Rep. 2017;3(1):58–60. doi: 10.1016/j.jdcr.2016.11.005
- Сароянц Л.В., Арнаудова К.Ш., Дуйко В.В., Наумов В.З. Случай семейной лепры. Клиническая дерматология и венерология. 2018;17(5):47–51. [Saroyants LV, Arnaudova KSh, Duiko VV, Naumov VZ. The case of family leprosy. Russian Journal of Clinical Dermatology and Venereology = Klinichaskaya dermatologiya i venerologiya. 2018;17(5):47–51 (In Russ.)] doi: 10.17116/klinderma20181705147
Supplementary files







