Scleroderma-like form of lipoid necrobiosis in a patient with idiopathic thrombocytopenic purpura
- Authors: Perlamutrov Y.N.1, Svishchenko S.I.2, Pugner A.S.2
-
Affiliations:
- Moscow State University of Medicine and Dentistry named after A.I. Evdokimov
- State Research Center of Dermatovenereology and Cosmetology
- Issue: Vol 98, No 2 (2022)
- Pages: 73-80
- Section: CLINICAL CASE REPORTS
- Submitted: 30.12.2021
- Accepted: 10.04.2022
- Published: 25.05.2022
- URL: https://vestnikdv.ru/jour/article/view/1302
- DOI: https://doi.org/10.25208/vdv1302
- ID: 1302
Cite item
Full Text
Abstract
A 33-year-old female patient with idiopathic thrombocytopenic purpura complained of rashes on the skin of the lower extremities, accompanied by moderate itching and a feeling of skin tightness, as well as a histologically verified diagnosis of lipoid necrobiosis. A combined treatment was carried out with the glucocorticosteroid Methylprednisolone at a dose of 32 mg per day in combination with PUVA therapy with 0.3% solution of ammi majus fructuum furocumarines, with a positive effect in the form of a decrease in the color intensity and induction of rashes, under the control of platelet levels. When using the method of PUVA-therapy with 0.3% solution of ammi majus fructuum furocumarines, there was an improvement in the 8th phototherapy procedure, however, due to a decrease in the level of platelets in the blood, the course of phototherapy was suspended.
The method of PUVA therapy with 0.3% solution of ammi majus fructuum furocumarines turned out to be clinically effective in the treatment of lipoid necrobiosis, however, the presence of concomitant pathology in the patient requires an interdisciplinary approach to the choice of treatment tactics.
Full Text
Актуальность
В 1929 г. на дерматологическом конгрессе в Вене австрийский дерматолог М. Oppenheim впервые сообщил о клиническом случае «диабетического атрофического дерматита», описав его как «своеобразное перерождение соединительной ткани у больного с сахарным диабетом» [1]. В 1932 г. E. Urbach представил аналогичный случай у пациента с гипергликемией, назвав заболевание «липоидный диабетический некробиоз» [2]. Липоидный некробиоз (ЛН), или болезнь Оппенгейма — Урбаха, является редким, хроническим, идиопатическим гранулематозным заболеванием, характеризующимся дегенерацией коллагена с риском изъязвления [3]. Процесс локализуется преимущественно на коже нижних конечностей, но могут поражаться кожа лица, волосистой части головы, туловища, паховой области, верхних конечностей. ЛН поражает преимущественно женщин в возрасте 30–40 лет и встречается у 0,3–1,2% пациентов с сахарным диабетом [4], однако в настоящее время нет убедительных данных о связи неконтролируемой гликемии с проявлениями ЛН [5–7].
В 1991 г. В.А. Самсоновым и В.А. Авраменко предложено выделить две клинические формы ЛН — часто встречающуюся (классический вариант; склеродермоподобный вариант; типа кольцевидной гранулемы; пятнисто-папулезно-бляшечный вариант) и редко встречающуюся (ксантоматозный вариант; типа возвышающейся стойкой эритемы; типа системной красной волчанки; типа злокачественного атрофического папулеза (болезнь Дегоса); саркоидоподобный вариант; папуло-некротический вариант) [8].
Для склеродермоподобной формы ЛН характерна стадийность процесса. Начальная стадия представлена розовато-красными полусферическими, гладкими узелками с перламутровым блеском. Во второй стадии формируются буровато-красные бляшки с четкими границами. Заболевание переходит в третью стадию через несколько месяцев или спустя 2–3 года, и для нее типично образование округлых, блестящих бляшек неправильных очертаний с западающим, уплотненным, желтовато-бурым центром, а также отсутствием волосяных фолликулов в очаге поражения [9].
По данным литературы, основным патогенетическим фактором поражения кожи при болезни Оппенгейма — Урбаха является диабетическая микроангиопатия, возникающая вследствие отложения гликозилированного белка, что приводит к склерозированию и облитерации кровеносных сосудов, а также гипоксии с последующим отложением липидов и развитием некробиоза в дерме [10–14]. В некоторых литературных источниках отмечена высокая встречаемость HLA-DR4, -B8 и -CW3 и низкая встречаемость HLA-DR5 и -DR7 [11].
Диагноз ЛП устанавливается на основании клинико-анамнестических данных и заключения гистологического исследования биоптата кожи.
Морфологически принято выделять некробиотический и гранулематозный типы изменений. Для некробиотического типа характерен некробиоз коллагеновых волокон в глубоких отделах дермы, окруженный воспалительным инфильтратом, состоящим из лимфоцитов, гистиоцитов, фибробластов, эпителиоидных, гигантских многоядерных клеток, а также скопления плазматических клеток. В результате микроангиопатии в кровеносных сосудах развивается фиброз и гиалиноз с последующей частичной или полной облитерацией их просвета. При гранулематозном типе некробиоз выражен слабо, однако видны гранулемы, состоящие из эпителиоидных и гигантских клеток, эпидермис обычно интактен. Для атипичного течения ЛН характерны признаки дистрофии коллагеновых волокон с различной степенью выраженности переваскулярной лимфогистоцитарной инфильтрации [8, 12]. Дегенерация эпидермального коллагена приводит к развитию телеангиэктазий.
По данным некоторых зарубежных авторов, в 75% случаев ЛН не сопровождается субъективными ощущениями, но в 25% случаев может отмечаться болезненность, особенно при изъязвлении [13]. S.A. Muller и соавт., наблюдая 171 пациента с липоидным некробиозом, сообщили о том, что вероятность образования язвенных дефектов у больных сахарным диабетом незначительно выше по сравнению с пациентами с нормальным уровнем гликемии [14].
Несмотря на то что ЛН — доброкачественный дерматоз, рядом авторов сообщается о единичных случаях трансформации очагов поражения в плоскоклеточный рак, однако остается неясным, является ли это результатом изменений давно существующих высыпаний или же само изъязвление способствует малигнизации [15–17].
Липоидный некробиоз торпиден к терапии и в настоящее время нет единых установленных схем лечения данной патологии. По данным литературы, применяются окклюзионные аппликации с топическими глюкокортикостероидами, 0,1% мази такролимуса [18], проводится внутриочаговое введение топических глюкокортикостероидных препаратов, фонофорез с топическими глюкокортикостероидами и гепарином, назначают системные глюкортикостероидные препараты [19], гидроксихлорохин [20], циклоспорин [21, 22]. Описаны единичные клинические случаи лечения блокатором ФНО-α [23, 24], ингибитором янус-киназ [25], применяют различные физиотерапевтические процедуры: лазерная терапия [26], системная кислородно-озоновая терапия [27], ПУВА-терапия [28] и другие. В 2020 г. E. Bernia и соавт. описали 4 клинических случая успешного лечения липоидного некробиоза фотодинамической терапией (среднее количество сеансов составило 11,3 процедуры) с положительным эффектом в виде полного регресса высыпаний, сохранялись только участки атрофии на месте ранее существующих очагов [29].
Описание случая
Пациентка 33 лет поступила в отделение клинической дерматологии ФГБУ «ГНЦДК» Минздрава России с жалобами на высыпания на коже нижних конечностей, сопровождающиеся умеренным зудом и чувством стянутости кожи.
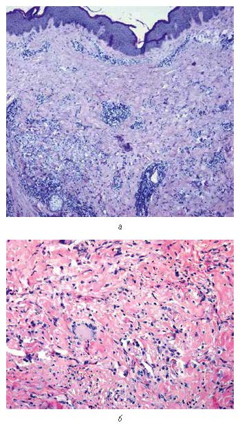
Считает себя больной с 2005 г., когда впервые отметила появление «плотных, зудящих пятен фиолетового цвета», около 2 см в диаметре, на коже передней поверхности правой голени, в связи с чем обратилась в КВД по месту жительства, диагноз поставлен не был, лечение не проводилось. С 2005 по 2013 г. неоднократно обращалась к врачам-дерматовенерологам, онкологам, сосудистым хирургам, выставлялись диагнозы «дерматоз», «кольцевидная гранулема», назначалась наружная терапия, без эффекта. В 2013 г. пациентка отметила ухудшение со стороны кожного патологического процесса в виде появления изъязвлений в центре высыпаний, в связи с чем обратилась к врачу-онкологу, была проведена диагностическая биопсия кожи с последующим гистологическим исследованием, по заключению которого, со слов пациентки, поставлен диагноз «дерматит неуточненный». В связи с сохраняющимися высыпаниями в октябре 2013 г. готовый гистологический материал был пересмотрен в ФГБУ «ГНЦДК» Минздрава России. Описание препарата: «В присланном материале полнослойные биоптаты кожи с участком подкожно-жировой клетчатки. Эпидермис несколько утолщен, слои дифференцированы. Слабый рыхлый кератоз. В сетчатом слое дермы обнаруживаются очаги неполной деструкции коллагена с палисадообразным инфильтратом по периферии из гистиоцитов, лимфоцитов, нейтрофильных лейкоцитов, гигантских многоядерных клеток. Гранулемы сливаются между собой, местами по ходу утолщенных фиброзированных пучков коллагена выявляется диффузный гистиоцитарный инфильтрат. Вокруг сосудов дермы и вокруг потовых желез обнаруживаются густые полиморфноклеточные инфильтраты со значительной примесью плазматических клеток». Заключение: «Выявленные изменения наиболее характерны для гранулематозного варианта липоидного некробиоза» (рис. 1а, б), на основании чего был поставлен диагноз «липоидный некробиоз», назначены топические глюкокортикостероидные препараты без положительного эффекта. С 2013 по 2020 г. неоднократно получала лечение в виде лазеротерапии, наружной терапии, фонофореза с топическими глюкокортикостероидными препаратами, без эффекта со слов пациентки. В связи с неэффективностью амбулаторно проводимой терапии было рекомендовано лечение в условиях отделения клинической дерматологии ФГБУ «ГНЦДК» Минздрава России.
Рис. 1. Склеродермоподобная форма липоидного некробиоза. Гистологическое исследование биоптата кожи. Эпидермис несколько утолщен, слои дифференцированы. Слабый рыхлый кератоз. В сетчатом слое дермы обнаруживаются очаги неполной деструкции коллагена с палисадообразным инфильтратом по периферии из гистиоцитов, лимфоцитов, нейтрофильных лейкоцитов, гигантских многоядерных клеток (б). Гранулемы (а) сливаются между собой, местами по ходу утолщенных фиброзированных пучков коллагена выявляется диффузный гистиоцитарный инфильтрат. Вокруг сосудов дермы и вокруг потовых желез обнаруживаются густые полиморфноклеточные инфильтраты со значительной примесью плазматических клеток. Заключение: выявленные изменения наиболее характерны для гранулематозного варианта липоидного некробиоза (а — окраска гематоксилином и эозином, ×100, б — окраска гематоксилином и эозином, ×200) / Fig. 1. Scleroderm-like form of necrobiosis lipoid. Histological examination of skin biopsy. The epidermis is somewhat thickened, the layers are differentiated. Weak loose keratosis. In the reticular layer of the dermis, foci of incomplete destruction of collagen with a palisade-like infiltrate along the periphery of histiocytes, lymphocytes, neutrophilic leukocytes, and giant multinucleated cells are found (b). Granulomas (a) merge with each other, in places along the course of thickened fibrosed collagen bundles, a diffuse histiocytic infiltrate is revealed. Around the vessels of the dermis and around the sweat glands, dense polymorphic cell infiltrates with a significant admixture of plasma cells are found. Conclusion: the revealed changes are most typical for the granulomatous variant of lipoid necrobiosis (a — staining with hematoxylin and eosin, ×100, b — staining with hematoxylin and eosin, ×200)
Из сопутствующих заболеваний: идиопатическая тромбоцитопеническая пурпура, эндометриальные кисты яичников, хронический гастрит вне обострения, субклинический гипотиреоз.
Результаты физикального, лабораторного и инструментального исследований
Объективно: высыпания локализовались на коже нижних конечностей. На коже средней трети боковой поверхности правого бедра отмечался линейный рубец длиной 10 см, в проекции которого определялся гиперпигментированный очаг поражения с розовато-лиловым оттенком, до 4 см в диаметре, с незначительной индурацией. На коже верхней трети правой голени с переходом на латеральную поверхность отмечались два плотных очага, сливающиеся между собой, округлой формы 9 и 7 см в диаметре, с венчиком до 4 см в диаметре, розовато-лилового цвета с коричневатым оттенком по периферии, центральная часть была представлена очагами атрофии до 3,5 см в диаметре, с западением, в центре которых наблюдались множественные телеангиэктазии. На коже средней трети задней поверхности левой голени отмечался индурированный очаг неправильной формы, до 7 см в диаметре, розово-лилового цвета с коричневатым оттенком, в центре которого отмечалось формирование атрофии и западения. При пальпации кожа в очагах поражения не собиралась в складку (рис. 2а, б, в, г, д).
Рис. 2. Очаги поражения неправильной округлой формы с индурацией, диаметром от 4 до 9 см, периферия которых представлена венчиком розовато-лилового цвета с коричневым оттенком, центральная часть — атрофией, телеангиэктазиями (а, б, в, г, д — до лечения) / Fig. 2. Lesions of irregular rounded shape with induration, with a diameter of 4 to 9 cm, the periphery of which is represented by a corolla of mauve color with a brown tint, the central part — atrophy, telangiectasias (а, б, в, г, д — before treatment)
В клиническом анализе крови: тромбоциты 27 тыс./мкл (норма 150–400 тыс./мкл), остальные показатели в пределах референсных значений; в общем анализе мочи: кристаллы оксалата кальция в большом количестве в поле зрения (в норме отсутствуют), остальные показатели в пределах нормы; в биохимическом анализе крови: все показатели в пределах нормы; коагулограмма: все показатели в пределах нормы; электролитный состав крови (Ca2+, K+, Na+): все показатели в пределах нормы.
Пациентка была консультирована терапевтом, эндокринологом, гинекологом, по результатам обследований противопоказаний к проведению фототерапии не было выявлено. По заключению врача-гематолога «возможно проведение планируемого курса ПУВА-терапии на область поражения. Учитывая тромбоцитопению, лечение проводить под еженедельным контролем количества тромбоцитов на фоне глюкокортикостероидной терапии».
Учитывая низкие показатели уровня тромбоцитов (27 тыс./мкл), было принято решение о начале системной глюкокортикостероидной терапии с дальнейшим присоединением фототерапии, с учетом уровня тромбоцитов крови.
Пациентка получала Метилпреднизолон в дозе 32 мг в сутки, ангиопротективные и гастропротективные препараты, препараты кальция, калия, магния и топические глюкокортикостероидные средства. На 5-й день терапии при контроле общего анализа крови наблюдалось повышение уровня тромбоцитов до 54 тыс./мкл, а на 15-й день уровень тромбоцитов составил 84 тыс./мкл, что позволило присоединить процедуры ПУВА-терапии с наружным нанесением 0,3% раствора амми большой плодов фурокумарины на кожу нижних конечностей с последующим облучением на установке UV 7001K с режимом 4 раза в неделю, с экранированием глаз, проекции щитовидной железы, туловища и половых органов. На фоне проводимой комбинированной терапии наблюдалось выраженное улучшение кожного патологического процесса в виде уменьшения интенсивности окраски и индурации высыпаний, сохранялась атрофия в центральной части очагов, кожа в местах поражений стала собираться в складку (рис. 3а, б, в, г). На 25-й день госпитализации в контрольном анализе крови отмечалось снижение уровня тромбоцитов до 34,1 тыс./мкл, и с учетом достигнутого положительного эффекта терапии, а также нестабильных показателей уровня тромбоцитов крови курс ПУВА-терапии был завершен на 8-й процедуре.
Рис. 3. Уменьшение интенсивности окраски очагов поражения и индурации (а, б, в, г — в процессе лечения) / Fig. 3. Reducing the color intensity of lesions and induration (а, б, в, г — during treatment)
Исход и результаты последующего наблюдения
Пациентка была выписана с рекомендациями продолжить прием Метилпреднизолона в дозе 32 мг в сутки, перорально, в течение недели, с постепенным снижением дозы (по 2 мг (0,5 таблетки) каждые 7 дней) и полной отменой под наблюдением врача-гематолога и дерматовенеролога. Спустя 3 месяца от начала терапии пациентка была осмотрена в ГНЦДК — со стороны кожного процесса сохранялась ранее отмеченная положительная динамика. В настоящее время продолжается наблюдение пациентки в амбулаторных условиях.
Обсуждение и заключение
Липоидный некробиоз является редким дерматозом с длительным, хроническим, рецидивирующим течением и может приводить к развитию выраженной атрофии кожи, в том числе рубцовой. На сегодняшний день остаются актуальными вопросы патогенеза липоидного некробиоза, его связи с сахарным диабетом и заболеванием щитовидной железы, а лечение в ряде случаев требует мультидисциплинарного подхода, что дает возможность оптимизировать процессы диагностики и терапии [3, 4].
Описанный случай склеродермоподобной формы липоидного некробиоза представляет интерес не только с клинической точки зрения в связи с редкостью заболевания, но и ввиду торпидности патологического процесса к проводимой терапии. Наличие у пациентки сопутствующего диагноза тромбоцитопенической пурпуры ограничивает выбор методов системной терапии у данной пациентки, а лечение, в свою очередь, требует постоянного контроля уровня тромбоцитов в крови. Несмотря на достигнутое улучшение на фоне проведенной терапии, пациентка нуждается в совместном наблюдении дерматолога и гематолога для выработки дальнейшей тактики ведения.
About the authors
Yuriy N. Perlamutrov
Moscow State University of Medicine and Dentistry named after A.I. Evdokimov
Email: y.perlamutrov@mail.ru
ORCID iD: 0000-0002-4837-8489
SPIN-code: 2330-2758
MD, Dr. Sci. (Med.), Professor
Россия, Delegatskaya str., 20, bldg 1, 127473, MoscowSvetlana I. Svishchenko
State Research Center of Dermatovenereology and Cosmetology
Email: svischenko@cnikvi.ru
ORCID iD: 0000-0002-8821-7903
SPIN-code: 5240-0869
MD, Cand. (Sci.) Med.
Россия, Korolenko str., 3, bldg 6, 107076, MoscowAnna S. Pugner
State Research Center of Dermatovenereology and Cosmetology
Author for correspondence.
Email: pugner@cnikvi.ru
SPIN-code: 2866-9965
dermatovenereologist
Россия, Korolenko str., 3, bldg 6, 107076, MoscowReferences
- Sibbald C, Reid S, Alavi A. Necrobiosis Lipoidica. Dermatol Clin. 2015 Jul;33(3):343–360. doi: 10.1016/j.det.2015.03.003
- Ianoşi SL, Tutunaru C, Georgescu CV, Ianoşi NG, Georgescu DM, Dănoiu S, et al. Specific features of a rare form of disseminated necrobiosis lipoidica granuloma annulare type: a case report. Rom J Morphol Embryol. 2014;55(4):1455–1461.
- Sibbald C, Reid S, Alavi A. Necrobiosis Lipoidica. Dermatol Clin. 2015;33(3):343–360. doi: 10.1016/j.det.2015.03.003
- Özkur E, Hasçiçek SÖ, Altunay İK. Atypical presentation of necrobiosis lipoidica in a pediatric patient. Pediatr Dermatol. 2019;36(1):e31-e33. doi: 10.1111/pde.13716
- Hammer E, Lilienthal E, Hofer SE, Schulz S, Bollow E, Holl RW; DPV Initiative and the German BMBF Competence Network for Diabetes Mellitus. Risk factors for necrobiosis lipoidica in Type 1 diabetes mellitus. Diabet Med. 2017;34(1):86–92. doi: 10.1111/dme.13138
- Mistry BD, Alavi A, Ali S, Mistry N. A systematic review of the relationship between glycemic control and necrobiosis lipoidica diabeticorum in patients with diabetes mellitus. Int J Dermatol. 2017;56(12):1319–1327. doi: 10.1111/ijd.13610
- Lause M, Kamboj A, Fernandez Faith E. Dermatologic manifestations of endocrine disorders. Transl Pediatr. 2017;6(4):300–312. doi: 10.21037/tp.2017.09.08
- Самсонов В.А., Бутов Ю.С. Липоидный некробиоз. Клиническая дерматовенерология. М.: ГЭОТАР-Медиа. 2009;2:511–522. [Samsonov VA, Butov YuS. Lipoid necrobiosis. Clinical dermatovenereology. Moscow: GEOTAR-Media. 2009;2:511–522 (In Russ.)]
- Бутов Ю.С., Ильина Т.А., Вавилов А.М. Клинико-гистологические признаки липоидного некробиоза. Российский журнал кожных и венерических болезней. 2003;6(4):38–42. [Вutov YuS, Ilina TA, Vavilov AM. Clinico-histological signs of lipoid neсrobiosis. Russian Journal of Skin and Venereal Diseases (Rossiyskii Zhurnal Kozhnykhi Venericheskikh Boleznei). 2003;6(4):38–42 (In Russ.)]
- Boateng B, Hiller D, Albrecht HP, Hornstein OP. Kutane Mikrozirkulation bei prätibialer Nekrobiosis lipoidica. Vergleichende Laser-Doppler-Fluxmetrie und Sauerstoffpartialdruckmessungen bei Patienten und Hautgesunden [Cutaneous microcirculation in pretibial necrobiosis lipoidica. Comparative laser Doppler flowmetry and oxygen partial pressure determinations in patients and healthy probands]. Hautarzt. 1993;44(9):581–586 (In German).
- Sehgal VN, Bhattacharya SN, Verma P. Juvenile, insulin-dependent diabetes mellitus, type 1-related dermatoses. J Eur Acad Dermatol Venereol. 2011;25(6):625–636. doi: 10.1111/j.1468-3083.2010.03912.x
- Ngo B, Wigington G, Hayes K, Huerter C, Hillman B, Adler M, et al. Skin blood flow in necrobiosis lipoidica diabeticorum. Int J Dermatol. 2008;47(4):354–358. doi: 10.1111/j.1365-4632.2008.03549.x
- Reid SD, Ladizinski B, Lee K, Baibergenova A, Alavi A. Update on necrobiosis lipoidica: a review of etiology, diagnosis, and treatment options. J Am Acad Dermatol. 2013;69(5):783–791. doi: 10.1016/j.jaad.2013.05.034
- Muller SA, Winkelmann RK. Necrobiosis lipoidica diabeticorum. A clinical and pathological investigation of 171 cases. Arch Dermatol. 1966;93(3):272–281. doi: 10.1001/archderm.93.3.272
- Quimby SR, Muller SA, Schroeter AL. The cutaneous immunopathology of necrobiosis lipoidica diabeticorum. Arch Dermatol. 1988;124(9):1364–1371.
- Lim C, Tschuchnigg M, Lim J. Squamous cell carcinoma arising in an area of long-standing necrobiosis lipoidica. J Cutan Pathol. 2006;33(8):581–583. doi: 10.1111/j.1600-0560.2006.00487.x
- Santos-Juanes J, Galache C, Curto JR, Carrasco MP, Ribas A, Sánchez del Río J. Squamous cell carcinoma arising in long-standing necrobiosis lipoidica. J Eur Acad Dermatol Venereol. 2004;18(2):199–200. doi: 10.1111/j.1468-3083.2004.00444.x
- Clayton TH, Harrison PV. Successful treatment of chronic ulcerated necrobiosis lipoidica with 0.1% topical tacrolimus ointment. Br J Dermatol. 2005;152(3):581–582. doi: 10.1111/j.1365-2133.2005.06388.x
- Гаджимурадов М.Н., Асадулаева З.Г. Клинические особенности липоидного некробиоза. Клиническая дерматология и венерология. 2016;15(4);32–35. [Gadzhimuradov MN, Asadulaeva ZG. Clinical features of lipoid necrobiosis. Clinical dermatology and venereology. 2016;15(4);32–35 (In Russ.)]
- Nguyen K, Washenik K, Shupack J. Necrobiosis lipoidica diabeticorum treated with chloroquine. J Am Acad Dermatol. 2002;46(2 Suppl Case Reports):S34-6. doi: 10.1067/mjd.2002.104969
- Aslan E, Körber A, Grabbe S, Dissemond J. Erfolgreiche Therapie einer exulzerierten Necrobiosis lipoidica non diabeticorum mit Ciclosporin [Successful therapy of ulcerated necrobiosis lipoidica non diabeticorum with cyclosporine A]. Hautarzt. 2007;58(8):684–688 (In German). doi: 10.1007/s00105-006-1282-9
- Stanway A, Rademaker M, Newman P. Healing of severe ulcerative necrobiosis lipoidica with cyclosporin. Australas J Dermatol. 2004;45(2):119–122. doi: 10.1111/j.1440-0960.2004.00059.x
- Zeichner JA, Stern DW, Lebwohl M. Treatment of necrobiosis lipoidica with the tumor necrosis factor antagonist etanercept. J Am Acad Dermatol. 2006;54(3 Suppl 2):S120-1. doi: 10.1016/j.jaad.2005.11.1042
- Alexis AF, Strober BE. Off-label dermatologic uses of anti-TNF-a therapies. J Cutan Med Surg. 2005;9(6):296–302. doi: 10.1007/s10227-005-0110-7
- Damsky W, Singh K, Galan A, King B. Treatment of necrobiosis lipoidica with combination Janus kinase inhibition and intralesional corticosteroid. JAAD Case Rep. 2020;6(2):133–135. doi: 10.1016/j.jdcr.2019.11.016
- Moreno-Arias GA, Camps-Fresneda A. Necrobiosis lipoidica diabeticorum treated with the pulsed dye laser. J Cosmet Laser Ther. 2001 Sep;3(3):143–146. doi: 10.1080/147641701753414951
- Теплюк Н.П., Кошелева И.В., Плиева Л.Р., Лепехова А.А. Системная кислородно-озоновая терапия липоидного некробиоза. Российский журнал кожных и венерических болезней. 2012;2:35–39. [Teplyuk NP, Kosheleva IV, Plieva LR, Lepekhovа AA. Systemic oxygen-ozone therapy of lipoid necrobiosis. Russian Journal of Skin and Venereal Diseases. 2012;2:35–39 (In Russ.)]
- De Rie MA, Sommer A, Hoekzema R, Neumann HA. Treatment of necrobiosis lipoidica with topical psoralen plus ultraviolet A. Br J Dermatol. 2002;147(4):743–747. doi: 10.1046/j.1365-2133.2002.04856.x
- Bernia E, Llombart B, Bancalari B, Diago A, Serra-Guillén C. Conventional Photodynamic Therapy for Necrobiosis Lipoidica: Successful Treatment in a Series of 4 Cases. Actas Dermosifiliogr (Engl Ed). 2020;111(7):605–608. English, Spanish. doi: 10.1016/j.ad.2019.01.022
Supplementary files







