Squamous cell carcinoma in a patient with lichen planus of the oral mucosa
- Authors: Kubanov A.A1, Svishchenko S.I.1, Dontsova E.V.2, Mikhina V.A.1
-
Affiliations:
- State Research Center of Dermatovenereology and Cosmetology
- Voronezh regional clinical center for specialized types of medical care
- Issue: Vol 98, No 4 (2022)
- Pages: 76-84
- Section: CLINICAL CASE REPORTS
- Submitted: 21.04.2022
- Accepted: 28.07.2022
- Published: 19.09.2022
- URL: https://vestnikdv.ru/jour/article/view/1325
- DOI: https://doi.org/10.25208/vdv1325
- ID: 1325
Cite item
Full Text
Abstract
Lichen planus refers to dermatoses with frequent, often isolated, lesions of the oral mucosa. In the presence of rashes only on the oral mucosa, the diagnosis is difficult. At the same time, erosive-ulcerative forms of the disease present the greatest differential diagnostic difficulties. Cases that do not heal for a long time and are not amenable to treatment should be especially alert to the doctor due to the risk of malignancy.
The article describes a rare clinical case of squamous cell carcinoma of the oral mucosa in a 52-year-old patient with an erosive-ulcerative form of lichen planus of the oral cavity, characterized by a chronic long-term course, torpidity to therapy and simultaneous damage to the genital mucosa. The presented case emphasizes the importance of a thorough clinical examination, with a histological examination of the biopsy in order to monitor changes in the lesions.
Full Text
Актуальность
Красный плоский лишай (КПЛ) — хроническое воспалительное заболевание кожи и слизистых оболочек, типичными элементами которого являются папулы. Заболеваемость КПЛ в Российской Федерации среди лиц в возрасте 18 лет и старше в 2014 г. составила 12,7 случая на 100 000 населения. На сегодняшний день причины возникновения КПЛ не выяснены [1]. Существуют нейрогенная, вирусная и токсико-аллергическая теории возникновения данного заболевания. Наиболее прогрессивным взглядом на механизм возникновения заболевания считается иммунно-аллергическая гипотеза, рассматривающая его как многофакторную патологию, в основе которой имеет место нарушение процессов иммунной регуляции.
Поражения слизистых оболочек полости рта встречаются у 15–25% пациентов с КПЛ [2] и могут быть единственным проявлением в 20–30% случаев. Тем не менее поражения кожи при КПЛ рта наблюдались у 15% пациентов [3–7]. Распространенность КПЛ с поражением слизистой полости рта колеблется от 0,5 до 4% общей численности населения и чаще встречается у женщин. Впервые поражение слизистой оболочки полости рта при КПЛ описал Wilson (1869) [8]. Ф.И. Гринфельд (1924) обратил внимание на нередкое изолированное поражение слизистой оболочки полости рта [8].
К возникновению поражений слизистой полости рта при КПЛ может приводить травматизация слизистой рта, контакт со стоматологическими восстановительными материалами, использование протезов из разнородных металлов, провоцирующих появление гальванических токов, изменяющих работу ряда ферментов слюны [3, 4, 6, 9].
Изменения слизистой оболочки полости рта при КПЛ чаще всего протекают в виде типичной формы. Реже наблюдаются гиперкератотическая, экссудативно-гиперемическая, буллезная, атипичная формы. Тяжелой и трудно поддающейся лечению является эрозивно-язвенная форма, диагностируемая у 23% пациентов, а наличие при этом высыпаний в области уретры, влагалища, вульвы приводят к форме КПЛ, которая была выделена в «вульвовагинит — десневой синдром» (vulvovaginal-gingival syndrome) [7]. В отличие от красного плоского лишая кожи, красный плоский лишай с поражением слизистой оболочки полости рта характеризуется хроническим длительным упорным течением и торпидностью к терапии.
Главным инструментом диагностики красного плоского лишая слизистой оболочки полости рта является биопсия с дальнейшим гистологическим исследованием полученного материала. Морфологическими признаками данного заболевания служат следующие изменения в тканях слизистой оболочки полости рта: акантоз, гиперкератоз, паракератоз, гранулез, размытие границ базального слоя, инфильтрат, состоящий преимущественно из лимфоцитов [10, 11].
Большое значение имеют данные о возможности трансформации КПЛ слизистой оболочки полости рта в плоскоклеточный рак (ПКР) [12, 13]. Приведены результаты многолетних исследований, в которых подтверждается потенциальный риск КПЛ слизистой оболочки полости рта к перерождению [8, 14–19]. Ряд авторов отмечает ключевую роль в развитии плоскоклеточного рака слизистой оболочки полости рта предопухолевых заболеваний, среди которых выделяют и красный плоский лишай [20]. По данным Н.В. Тиуновой и соавт. (2009), по частоте встречаемости предопухолевых заболеваний слизистой оболочки полости рта эрозивно-язвенная и гиперкератотическая формы КПЛ слизистой полости рта составляют 64,5%, причем в 62% случаев указанное заболевание было диагностировано у пациентов в возрасте от 50 до 70 лет [21]. В то же время другие авторы подвергают сомнениям случаи трансформации красного плоского лишая в раковую опухоль [22]. На их взгляд, развитие плоскоклеточного рака при КПЛ происходит только в очень старых атрофически-рубцовых поражениях, но это бывает очень редко. При этом авторы отмечают, что в случаях с КПЛ слизистой полости рта необходимы онкологическая настороженность, регулярный осмотр и контроль изменений очагов поражения [23, 24].
Описание случая
Пациентка Н. 52 лет, жительница г. Воронежа, находилась в отделении клинической дерматологии ФГБУ «ГНЦДК» Минздрава России с 30.09.2021 по 19.10.2021. Диагноз при поступлении: красный плоский лишай, эрозивно-язвенная форма. Новообразование неопределенного или неизвестного характера других и неуточненных локализаций? Сопутствующие заболевания: артериальная гипертензия I степени, ожирение II степени.
Жалобы при поступлении на высыпания в области красной каймы губ, на слизистой оболочке полости рта, сопровождавшиеся болезненностью при приеме пищи, а также на высыпания в области гениталий.
Из анамнеза известно, что пациентка болеет с 2004 г., когда впервые отметила «покраснение» в области гениталий, в связи с чем обратилась в БУЗ ВО «ГКБ № 7» г. Воронежа (по месту жительства), где был установлен диагноз: вульвовагинит. Неоднократно проводилось амбулаторное лечение у гинеколога (указать препараты затрудняется) с временным положительным эффектом. Летом 2009 г. был поставлен диагноз крауроз вульвы, в связи с чем получала курсы лечения (вагинальные свечи) с незначительным эффектом. В начале 2011 г. наряду с поражением области гениталий пациентка отметила появление высыпаний на слизистой оболочке полости рта, по поводу которых в августе 2011 г. госпитализирована в ФГБУ «НМИЦ АГП им. В.И. Кулакова» в отделение гинекологической эндокринологии, где был поставлен диагноз: красный плоский лишай вульвы и ротовой полости, эрозивно-язвенная форма. Выполнено гистологическое исследование биоптата вульвы. Заключение: биоптат вульвы представлен соединительной тканью с интенсивной лимфоидно-гистиоцитарной инфильтрацией, эпителиальный компонент отсутствует. Проведено лечение эстрогенными препаратами (овестин), топическими глюкокортикостероидными средствами (дермовейт) с кратковременным эффектом. В декабре 2015 г., в связи с увеличением количества высыпаний в полости рта, обратилась на кафедру стоматологии ВГМУ им. Н.Н. Бурденко, где был подтвержден диагноз: красный плоский лишай, эрозивно-язвенная форма и назначено лечение: дексаметазон 2 мг в сутки перорально и плаквенил 200 мг в сутки, которое прервала в связи с непереносимостью препаратов (появление крапивницы). С 2016 по сентябрь 2017 г. находилась под наблюдением гинеколога и дерматовенеролога по месту жительства. Со слов пациентки, в мае 2019 г. впервые отметила нарушение глотания (при приеме таблетки кардиомагнила), дискомфорт при глотании твердой и жидкой пищи сохранялся и на момент поступления в стационар ГНЦДК. С 2020 г. отмечала усиление болезненности и дискомфорта в полости рта и гениталий, в связи с чем в мае 2020 г. находилась на стационарном лечении в БУЗ ВО «ВОКБ № 1» с диагнозом: склероатрофический лихен, где проводилось лечение без выраженного эффекта. В июне 2021 г. пациентка была консультирована врачом-онкологом по месту жительства, где на основании данных осмотра был поставлен диагноз: доброкачественное новообразование других неуточненных частей рта (D10.3). Лечение не проводилось. В августе 2021 г. консультирована врачом-ревматологом в Центре ревматологии БУЗ ВО «ВОКБ № 1», где на основании жалоб и физикального обследования был поставлен диагноз: болезнь Бехчета? и проведено следующее дообследование: (dsDNA — отр.; NUC (к нуклеосомам) — отр.; SS-A — отр.; SS-B — отр.; RNP/Sm — отр.; Scl 70 — отр.; Jo 1 — отр.; CENP-B — отр.; антитела к ДНК нативной — 4,3 МЕ/мд; антитела к ДНК денатурированной — 3,77 МЕ/мл; С-реактивный белок 16,5 мг/л; антинуклеарный фактор — < 1:160). В сентябре 2021 г. решением врачебной комиссии БУЗ ВО «ВОКБ № 1» пациентка была направлена на консультацию в ФГБУ «ГНЦДК» Минздрава России с целью верификации диагноза и решения вопроса о дальнейшей тактике ведения, куда и была госпитализирована 30.09.2021.
Результаты физикального, лабораторного и инструментального исследований
Патологический процесс локализовался в области красной каймы губ, слизистой оболочки полости рта и гениталий. В области красной каймы губ наблюдались плотно прилегающие геморрагические корки. На слизистой оболочке полости рта, на верхнем небе слева, отмечалось образование розового цвета с бугристой поверхностью размером около 2 × 3 см, при пальпации мягкой консистенции, безболезненное, при надавливании шпателем кровоточило (рис. 1). На слизистой оболочке щек имелись единичные эрозии розового цвета, некоторые с фибринозным налетом. На слизистой оболочке губ с внутренней стороны отмечался белесоватый налет. При осмотре на гинекологическом кресле отмечена атрофия малых и больших половых губ, полная атрофия клитора (рис. 2). Осмотр в зеркалах был невозможен в связи с сужением влагалища. В области преддверия влагалища имелись единичные эрозии ярко-красного цвета.
Рис. 1. Пациентка Н. 52 лет. Красный плоский лишай, эрозивно-язвенная форма. Плоскоклеточный неороговевающий рак слизистой оболочки твердого неба / Fig. 1. Patient N., 52 years old. Lichen planus, erosive-ulcerative form. Squamous cell nonkeratinizing cancer of the mucous membrane of the hard palate
Рис. 2. Пациентка Н. 52 лет. Красный плоский лишай, эрозивно-язвенная форма / Fig. 2. Patient N., 52 years old. Lichen planus, erosive-ulcerative form
При микроскопическом исследовании слизистой оболочки десен были идентифицированы споры и мицелий Candida albicans.
При цитологическом исследовании мазка-отпечатка со дна эрозий на слизистой оболочке щек акантолитические клетки обнаружены не были.
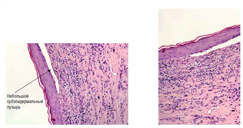
При проведении гистологического исследования биоптата с очага поражения в области влагалища — «эпидермис частично эрозирован, в сохраненной части незначительно утолщен с умеренным гиперкератозом, зернистый слой хорошо выражен. На одном из участков эпидермис отслоен от подлежащей дермы с формированием небольшого субэпидермального пузыря, в этой зоне со стороны дермы отмечается умеренный фиброз, ниже которого расположен довольно выраженный полосовидный лимфоцитарный инфильтрат. В других участках инфильтрат имеет рассеянный диффузный характер, состоит преимущественно из лимфоцитов». Заключение: выявленные изменения с учетом клинических данных необходимо дифференцировать между рубцующим пемфигоидом и эрозивной формой красного плоского лишая, для уточнения диагноза рекомендуется РИФ (рис. 3, 4).
Рис. 3. Гистологическое исследование биоптата с вульвы. Лимфоцитарный инфильтрат, умеренный гиперкератоз / Fig. 3. Histological examination of a biopsy from the vulva. Lymphocytic infiltrate, moderate hyperkeratosis
Рис. 4. Гистологическое исследование биоптата с вульвы. Небольшой субэпидермальный пузырь / Fig. 4. examination of a biopsy from the vulva. Small subepidermal bladder
В результате исследования биоптата кожи, полученного на участке видимо непораженной кожи, методом непрямой иммунофлюоресценции с антителами к IgG, IgA, IgM выявлена выраженная размытая фиксация депозитов IgG во всех слоях эпидермиса по контуру мембран кератиноцитов без формирования «сетки». На границе сосочкового и сетчатого слоев дермы отмечается фиксация единичных цитоидных телец IgM и IgА (соответствует неспецифической воспалительной реакции). Выявленные иммунофлюоресцентные признаки выражены слабо, преобладают признаки неспецифической воспалительной реакции (могут наблюдаться при поверхностных (интерфейс) дерматитах, в том числе при красном плоском лишае). Достоверных признаков буллезных дерматозов не обнаружено (рис. 5).
Рис. 5. Реакция прямой иммунофлюоресценции. Единичные цитоидные тельца IgM и IgA, фиксация депозитов IgG / Fig. 5. Direct immunofluorescence reaction. Single cytoid bodies IgM and IgA, fixed IgG deposits
Была проведена телемедицинская консультация с НИИ ревматологии им. В.А. Насоновой с целью исключения болезни Бехчета. Заключение врача-ревматолога: на основании данных анамнеза и настоящего обследования диагноз болезни Бехчета маловероятен. Дифференциальную диагностику необходимо проводить дерматологам в первую очередь между красным плоским лишаем и рубцующим пемфигоидом.
На основании данных анамнеза, клинической картины и результатов лабораторных исследований был установлен диагноз: красный плоский лишай, эрозивно-язвенная форма. Новообразование неопределенного или неизвестного характера других и неуточненных локализаций? За период дообследования пациентке была проведена антибактериальная, противогрибковая, наружная терапия и рекомендована консультация и дообследование врача-онколога с целью проведения биопсии образования в области верхнего неба с последующим гистологическим исследованием биоптата для исключения злокачественного новообразования.
Результаты онкологического обследования
По месту жительства БУЗ ВО «ВОКБ № 1» 23.11.2021 проведено прижизненное патолого-анатомическое исследование биопсийного (операционного) материала (БУЗ ВО «Воронежское областное патологоанатомическое бюро»).
Заключение: умеренно дифференцированный плоскоклеточный ороговевающий рак.
Пациентка была направлена в «НМИЦ онкологии им. Н.Н. Блохина», где проведено дообследование. Прижизненное патологоанатомическое исследование биопсийного (операционного) материала (НМИЦ онкологии им. Н.Н. Блохина) от 09.12.2021.
Микроскопическое описание: в готовых препаратах фрагменты слизистой оболочки твердого неба с признаками плоскоклеточного неороговевающего рака. Достоверно высказаться о наличии инвазивного компонента по данному материалу затруднительно. Заключение: плоскоклеточный неороговевающий рак слизистой оболочки твердого неба. Ларингоскопия (ФГБУ «НМИЦ онкологии им. Н.Н. Блохина» Минздрава России. Отделение эндоскопическое) от 17.12.2021. Протокол: при осмотре полости рта почти вся левая половина твердого неба занята опухолевым инфильтратом розово-красного цвета с бугристой поверхностью. Заключение: злокачественная опухоль твердого неба. УЗИ мягких тканей, лимфатических узлов (ФГБУ «НМИЦ онкологии им. Н.Н. Блохина» Минздрава России. Отделение лучевой диагностики) от 17.12.2021. Околоушные, подчелюстные, подбородочные, яремные, задние шейные, надключичные лимфатические узлы не увеличены, без явных признаков метастазов (МТС). Магнитно-резонансная томография (ФГБУ «НМИЦ онкологии им. Н.Н. Блохина» Минздрава России) от 20.12.2021. Исследование лицевого скелета придаточных пазух, орбит и основания черепа. Определяется изменение МР-сигнала слизистой левой половины твердого неба на участке (по фронтальной проекции) от 1,7 × 0,9 см, при этом объемного увеличения или изъязвления слизистой достоверно не отмечено. Видимых патологических изменений в веществе головного мозга (полушариях, подкорковых ядрах, структурах ствола мозга и мозжечке), отделах, вошедших в зону исследования, не обнаружено. Деструктивных изменений костей основания черепа не определяется. Исследование мягких тканей шеи и органов шейного отдела от 20.12.2021. Заключение: МР-картина не противоречит поражению слизистой левой половины твердого неба, лимфатические узлы в мягких тканях шеи не имеют признаков метастатического поражения.
Учитывая вышеперечисленное, пациентке был поставлен диагноз: плоскоклеточный неороговевающий рак слизистой оболочки твердого неба слева pT1N0M0 I степени, и пациентка была госпитализирована в НМИЦ онкологии им. Н.Н. Блохина, где 20.01.2022 было проведено оперативное лечение — резекция левой верхней челюсти, шейная лимфэктомия слева, закрытие сосудисто-нервного пучка (СНП) мышечным лоскутом. При выписке было рекомендовано проведение послеоперационной лучевой терапии на область первичной опухоли, разовая очаговая доза (РОД) 2 Гр, суммарная очаговая доза (СОД) 66 Гр, и на область левой половины шеи РОД 2 Гр, СОД 50 Гр, которую пациентка получает в настоящее время в БУЗ ВО «ВОКОД».
Обсуждение
Данный клинический случай представляет интерес с точки зрения возникновения плоскоклеточного рака у пациентки с эрозивно-язвенной формой красного плоского лишая слизистой оболочки полости рта и гениталий, имеющей хроническое длительное течение с отсутствием должного лечения, рекомендованного для терапии КПЛ.
Заболевание у пациентки протекало тяжело, о чем свидетельствуют развитие поражений не только полости рта, но и слизистой оболочки гениталий, формирование атрофических проявлений, а впоследствии и возникновение злокачественного процесса в области слизистой полости рта. В соответствии с современными представлениями для обозначения формы КПЛ с поражением слизистой оболочки полости рта и гениталий предложен термин «вульвовагинит — десневой синдром» [7]. Он характеризуется самым тяжелым и трудно поддающимся лечению течением. У большинства больных эрозии держатся длительно, сохраняясь в течение многих лет.
Пациентка длительное время наблюдалась у гинекологов с диагнозами: вульвовагинит, крауроз вульвы, склероатрофический лихен, что подтверждает тот факт, что проявления КПЛ разнообразны, дифференциальная диагностика является весьма затруднительной и зачастую для постановки окончательного диагноза требуется неоднократное обследование. Появление язвенных поражений, болезненности, рубцевания обусловило дифференциальную диагностику с заболеваниями, сопровождающимися язвенными и рубцующимися дефектами, такими как болезнь Бехчета и рубцующий пемфигоид, с привлечением специалистов по ревматологии и гинекологии, но проведенную без оценки морфологической картины.
Прогрессированию КПЛ слизистой полости рта и развитию плоскоклеточного рака полости рта у пациентки способствовали недооценка стоматологического статуса, отсутствие должного гистологического контроля, в том числе при проведении консультации врача-онколога без морфологического исследования. Все эти перечисленные факты сыграли роль в несвоевременной диагностике злокачественного процесса у пациентки. В соответствии с современными подходами в стоматологической практике красный плоский лишай относят к предопухолевым заболеваниям слизистой оболочки полости рта. Признаками начинающегося озлакачествления КПЛ являются образование уплотнения в основании поражения и внезапное бурное усиление ороговевания [8].
Заключение
Представленный клинический случай свидетельствует о том, что несвоевременная диагностика у пациентки с КПЛ слизистой оболочки полости рта злокачественного процесса привела к тяжелой форме рака, потребовавшего значительного объема оперативного вмешательства с резекцией верхней челюсти и закрытием СНП мышечным лоскутом. Отсутствие настороженности специалистов привело к недооценке клинической картины, к течению заболевания по неблагоприятному прогнозу, что демонстрирует необходимость информированности врачей-дерматовенерологов, стоматологов, гинекологов о клинических проявлениях и течении КПЛ слизистой оболочки полости рта и гениталий, междисциплинарном подходе к диагностике и ведению таких пациентов.
About the authors
Alexey A Kubanov
State Research Center of Dermatovenereology and Cosmetology
Email: alex@cnikvi.ru
ORCID iD: 0000-0002-7625-0503
SPIN-code: 8771-4990
MD, Dr. Sci. (Med.), Professor, Academician of the Russian Academy of Sciences
Россия, 3, bldg 6, Korolenko str., Moscow, 107076Svetlana I. Svishchenko
State Research Center of Dermatovenereology and Cosmetology
Email: svischenko@cnikvi.ru
ORCID iD: 0000-0002-8821-7903
SPIN-code: 5240-0869
MD, Cand. Sci. (Med.)
Россия, 3, bldg 6, Korolenko str., Moscow, 107076Elena V. Dontsova
Voronezh regional clinical center for specialized types of medical care
Author for correspondence.
Email: Ledn89@mail.ru
ORCID iD: 0000-0001-6119-2120
SPIN-code: 5227-3284
MD, Dr. Sci. (Med.), assistant professor
Россия, 19, Kalyaeva str., Voronezh, 394036Victoria A. Mikhina
State Research Center of Dermatovenereology and Cosmetology
Email: docvika1990@mail.ru
ORCID iD: 0000-0002-1709-124X
SPIN-code: 9844-2170
MD, dermatovenerologist
Россия, 3, bldg 6, Korolenko str., Moscow, 107076References
- Федеральные клинические рекомендации. Дерматовенерология 2015: Болезни кожи. Инфекции, передаваемые половым путем. Москва: Деловой экспресс, 2016. 768 с. [Federal'nye klinicheskie rekomendacii. Dermatovenerologija 2015: Bolezni kozhi. Infekcii, peredavaemye polovym putem. Moscow: Delovoj jekspress, 2016. P. 768. (In Russ.)]
- Юсупова Л.А., Ильясова ЭИ. Красный плоский лишай: современные патогенетические аспекты и методы терапии. Практическая медицина. 2013;1–4(73):13–17. [Yusupova LA, Ilyasova EL. Lichen acuminatus: modern aspects of pathogenesis and therapy methods. Prakticheskaya medicina. 2013;1–4(73):13–17. (In Russ.).
- Заболотный А.И. Красный плоский лишай слизистой оболочки полости рта (клиника, диагностика, лечение) /А.И. Заболотный, Е.Н. Силантьева. Казань: 2012, 86 с. [Zabolotnyj AI. Krasnyj ploskij lishaj slizistoj obolochki polosti rta (klinika, diagnostika, lechenie) /AI Zabolotnyj, EN. Silant'eva. Kazan', 2012, p. 86 (In Russ.)]
- Фазылова Ю.В., Мушарапова С.И. Красный плоский лишай: проявления в полости рта. Современные принципы диагностики и лечения. Учебное пособие. Казань: «Конверс», 2014. С. 5–12, 40–45. [Fazylova JuV, Musharapova SI. Krasnyj ploskij lishaj: projavlenija v polosti rta. Sovremennye principy diagnostiki i lechenija. Uchebnoe posobie. Kazan': «Konvers», 2014. Pp. 5–12, 40–45. (In Russ.)]
- Фазылова Ю.В., Фатихова Р.Р., Блашкова С.Л. Современные принципы лечения проявлений красного плоского лишая на слизистой оболочке рта. Молодой ученый. 2018;24(210):289–293. Доступно: https://moluch.ru/archive/210/51445/ [Fazylova YUV, Fatihova RR, Blashkova SL. Sovremennye principy lecheniya proyavlenij krasnogo ploskogo lishaya na slizistoj obolochke rta. Molodoj uchenyj. 2018;24(210):289–293. Available from: https://moluch.ru/archive/210/51445/ (In Russ.)]
- Гилева О.С., Кошкин С.В., Либик Т.В., Городилова Е.А., Халявина И.Н. Пародонтологические аспекты заболеваний слизистой оболочки полости рта: красный плоский лишай. Пародонтология. 2017;22(3):9–14. [Gileva OS, Koshkin SV, Libik TV, Gorodilova EA, Khalyavina IN. Periodontal aspects of oral mucosal diseases: lichen planus. Parodontologiya. 2017;22(3):9–14 (In Russ.)]
- Nico MMS, Fernandes JD, Lourenço SV. Líquen plano oral. Anais Brasileiros de Dermatologia [online]. 2011;86(4):633–643 [Accessed 4.08.2022] Available from: https://www.scielo.br/j/abd/a/c7J9XFzKp4HqKq8Wzd5YgZb/?lang=en. doi: 10.1590/S0365-05962011000400002
- Боровский Е.В., Машкиллейсон А.Л., Заболевания слизистой оболочки полости рта и губ. Москва: Медицина, 1984. 400 c. [Borovskij EV, Mashkillejson AL. Zabolevanija slizistoj obolochki polosti rta i gub. Moscow: Medicina, 1984. P. 400. (In Russ.)].
- Ханова С.А., Сирак С.В., Копылова И.А., Сирак А.Г. Лечение красного плоского лишая слизистой оболочки полости рта (практические рекомендации). Современные проблемы науки и образования. 2013;3:177. Доступно: https://science-education.ru/ru/article/view?id=9589 (дата обращения: 03.03.2022). [Hanova SA, Sirak SV, Kopylova IA, Sirak AG. Lechenie krasnogo ploskogo lishaya slizistoj obolochki polosti rta (prakticheskie rekomendacii). Sovremennye problemy nauki i obrazovaniya. 2013;3:177. Available from: https://science-education.ru/ru/article/view?id=9589 (Accessed: 03.03.2022) (In Russ.)].
- Оскольский Г.И., Загородняя Е.Б., Лушникова Е.Л., Непомнящих Л.М., Загородний А.С., Щеглов А.В. Морфологический анализ красного плоского лишая слизистой оболочки полости рта. Фундаментальные исследования. 2011;11:82–85. [Oskolsky GI, Zagorodnyaya EB, Lushnikova EL, Nepomnyashchikh LM, Zagorodny AS, Shcheglov AV. Morphological analysis of oral lichen planus. Fundamental'nye issledovanija. 2011;11:82–85 (In Russ.)].
- Оскольский Г.И., Загородняя Е.Б. Аспекты морфологической диагностики красного плоского лишая слизистой оболочки полости рта. Дальневосточный журнал инфекционной патологии. 2011;18:110–115. [Oskol'skij GI, Zagorodnjaja EB. Aspekty morfologicheskoj diagnostiki krasnogo ploskogo lishaja slizistoj obolochki polosti rta. Dal'nevostochnyj zhurnal infekcionnoj patologii. 2011;18:110–115. (In Russ.)]
- Кочурова Е.В., Муханов А.А., Кудасова Е.О., Утюж А.С., Юмашев А.В. Особенности стоматологического статуса у пациентов с плоскоклеточным раком органов полости рта. Российский стоматологический журнал. 2017;21(2):117–120. [Kochurova EV, Mukhanov AA, Kudasova EO, Utyuzh AS, Yumashev AV. The specificity of the dental status in patients with squamous cell carcinoma of the oral cavity. Rossijskij stomatologicheskij zhurnal. 2017;21(2):117–120 (In Russ.)]
- Ивина А.А. Современные представления о плоскоклеточном раке слизистой оболочки рта. Архивпатологии. 2020;82(3):55–60. [Ivina AA. Modern perspectives of oral squamous cell carcinoma. Arkh Patol. 2020;82(3):55–60. (In Russ.)]. doi: 10.17116/patol20208203155
- Ma L, Wang H, Yao H, Zhu L, Liu W, Zhou Z. Bmi1 expression in oral lichen planus and the risk of progression to oral squamous cell carcinoma. Ann Diagn Pathol. 2013;17(4):327–330. doi: 10.1016/j.anndiagpath.2013.03.002
- Mares S, Ben Slama L, Gruffaz F, Goudot P, Bertolus C. Caractère potentiellement malin du lichen plan buccal et des lésions lichénoïdes [Potentially malignant character of oral lichen planus and lichenoid lesions]. Rev Stomatol Chir Maxillofac Chir Orale. 2013;114(5):293–298. (In French). doi: 10.1016/j.revsto.2013.05.007
- Otero-Rey EM, Suarez-Alen F, Peñamaria-Mallon M, Lopez-Lopez J, Blanco-Carrion A. Malignant transformation of oral lichen planus by a chronic inflammatory process. Use of topical corticosteroids to prevent this progression? Acta Odontol Scand. 2014;72(8):570–577. doi: 10.3109/00016357.2014.914570
- Al-Nasser L, El-Metwally A. Oral lichen planus in Arab countries: a review. J Oral Pathol Med. 2014;43(10):723–727. doi: 10.1111/jop.12136
- Vučićević Boras V, Savage NW, Brailo V, Škrinjar I, Valter K, Alajbeg I, et al. The significance of oral and systemic factors in Australian and Croatian patients with oral lichen planus. Acta Dermatovenerol Croat. 2014;22(2):97-102.
- Gao Y. [Controversies over the potential malignant nature of oral lichen planus: a pathological view]. Zhonghua Kou Qiang Yi Xue Za Zhi. 2015;50(10):577–580. (In Chinese).
- Cao J, Jin JQ, Deng DJ, Liu HW. [Determination of human papillomavirus in oral leukoplakia,oral lichen planus and oral squamous cell carcinoma]. Beijing Da Xue Xue Bao Yi Xue Ban. 2016;48(1):84–88. (In Chinese).
- Тиунова Н.В., Янова Н.А. Клинико-эпидемиологическая оценка предраковых заболеваний слизистой оболочки полости рта и красной каймы губ в крупном промышленном городе на примере Нижнего Новгорода. Клиническая стоматология. 2009;3(51):32–34. [Tiunova NV, Janova NA. Kliniko-jepidemiologicheskaja ocenka predrakovyh zabolevanij slizistoj obolochki polosti rta i krasnoj kajmy gub v krupnom promyshlennom gorode na primere Nizhnego Novgoroda. Klinicheskaja stomatologija. 2009;3(51):32–34 (In Russ.)].
- Braun KA, Massa L. Oral lichen planus with malignant transformation to invasive squamous cell carcinoma. Cutis. 2015;96(3):E12-4.
- Fitzpatrick SG, Hirsch SA, Gordon SC. The malignant transformation of oral lichen planus and oral lichenoid lesions: a systematic review. J Am Dent Assoc. 2014;145(1):45–56. doi: 10.14219/jada.2013.10
- Agha-Hosseini F, Sheykhbahaei N, SadrZadeh-Afshar MS. Evaluation of Potential Risk Factors that contribute to Malignant Transformation of Oral Lichen Planus: A Literature Review. J Contemp Dent Pract. 2016;17(8):692–701. doi: 10.5005/jp-journals-10024-1914
Supplementary files









