Difficult path to the diagnosis of chromomycosis
- Authors: Melnikova T.V.1, Burtseva N.Y.1, Cheboksarova T.A.1, Sokolovskiy E.V.1
-
Affiliations:
- First Pavlov State Medical University of Saint Petersburg
- Issue: Vol 100, No 1 (2024)
- Pages: 85-92
- Section: CLINICAL CASE REPORTS
- Submitted: 27.06.2023
- Accepted: 30.01.2024
- Published: 18.03.2024
- URL: https://vestnikdv.ru/jour/article/view/13276
- DOI: https://doi.org/10.25208/vdv13276
- ID: 13276
Cite item
Abstract
Chromomycosis is a slowly occurring mycosis of subcutaneous adipose tissue and skin. Most often, cases of the disease are recorded in countries with a tropical and subtropical climate. In the Russian Federation, the disease occurs sporadically. Very rarely (2 cases out of 100) malignant transformation into squamous cell carcinoma occurs. The article presents a clinical case of chromomycosis. A description is given of a patient in whom squamous cell carcinoma was detected at the onset of the disease, which was the reason for treatment by oncologists. Six months later, the patient had a relapse in the area of the postoperative scar and a focus in the area of the right hand. Repeated biopsy with histological examination made it possible to establish the correct diagnosis. Interest in the above clinical case was caused by the detection of chromomycosis in a resident of the city of Saint Petersburg, who was not in endemic areas, was not engaged in agricultural work, and denied the primary injury. Our patient experienced a rapid malignancy of the focus, after surgical treatment, a recurrence of deep mycosis occurred. A good effect was obtained from systemic antimycotic therapy.
Full Text
Introduction
Chromoblastomycosis is a rare chronic, slowly progressive implantation mycosis of the skin and subcutaneous adipose tissue. The disease was first reported in 1911 in Brazil by A. Pedroso and J. Gomes; however, it was not until 1920 that a case series report of chromomycosis caused by Phialophora verrucosa was published [1]. Independently of A. Pedroso and J. Gomes, German physician M. Rudolph reported six cases of the disease in 1914. In 1915, E. Medlar described the adaptive tissue form of pathogen whose morphological basis are sclerotic cells (Medlar bodies). In 1922, F. Terra et al. coined the term “chromoblastomycosis” (chromo- (“colored”) + blasto- (“budding”) + mycosis) [2].
The causative agents of the disease are members of soil saprophytic fungi belonging to the order Chaetothyriales and family Herpotrichiellaceae, genera Fonsecaea, Phialophora, Cladophialophora, Rhinocladiella and Exophiala spp., some of them being opportunistic pathogens for humans. The disease is most frequently caused by Fonsecaea pedrosoi (90%), Phialophora verrucosa, and Cladophialophora carrionii [3, 4].
Chromomycosis is ubiquitous. Most often, cases are reported to occur in countries with a tropical and subtropical climate located within the zone between 30°N and 30°S latitude, especially in Madagascar and South Africa [5, 6]. This disease is rare and sporadic in the Russian Federation [7].
The infection is transmitted via the implantation route through skin injury by contaminated objects. In tropical countries, injuries caused by contacting thorny plants are highly relevant. The disease is not transmitted from animals to humans or from humans to humans. According to a number of authors, the prevalence rate of chromomycosis is the highest among agricultural workers; males are more likely to be affected. The mean age of patients is 30–50 years [8–10]. Incubation period duration has not been assessed yet. The type of the primary rash depends on disease form. Patients with severe forms of the disease typically have polymorphous rash.
There exists no universally accepted classification of chromomycosis. In 1950, A.L. Carrión proposed a clinical classification of chromomycosis categorizing disease forms into nodular, verrucous, tumorous, plaque, and cicatricial ones [11].
Later, a classification of chromomycosis according to its severity was proposed [12]:
- mild form — a single papule or nodule < 5 cm in diameter;
- moderate form — solitary or multiple lesions. Rash can consist of plaques, nodules, or hyperkeratotic papules. Rash can be found in a single skin region or in adjacent skin regions. Lesion diameter is ≤ 15 cm. Rash can be polymorphous;
- severe form — extensive skin areas (> 15 cm in diameter) are affected.
Patients are diagnosed with chromoblastomycosis according to the anamnestic data and the clinical presentation. Direct microscopy of lesion scrapes is used for diagnosis verification. Muriform cells (Medlar cells) 5–12 μm in diameter, which are pathognomonic markers of chromomycosis, are detected microscopically [1, 8]. They can be either solitary or clustered. Solitary cells have round shape, while clustered ones are polyhedral; their shape resembles that of chestnuts (chestnut-like cells). Both types of cells typically have dark pigmentation; their thick walls are intersected by muriform transverse and longitudinal partitions.
The culture technique is employed for species identification of the pathogen and assessing its susceptibility to antifungal drugs [2]. It is worth mentioning that the pathogens have similar macromorphological characteristics. F. pedrosoi forms dark brown, olive green or black colonies with a velvety surface; Phialophora verrucosa forms moss green, brown or black colonies with a velvety surface; C. carrionii forms colonies very similar to those of F. pedrosoi; and R. aquaspersa forms colonies of color ranging from green to black, with a velvety surface. Investigation of micromorphological characteristics significantly improves the accuracy of pathogen detection [3]. Serological methods for diagnosing chromoblastomycosis have been developed but have not been standardized for clinical use. Data that enzyme-linked immunosorbent assay has been developed and is successfully used are available [13].
Ulceration and secondary bacterial infection are the most typical complications of chromoblastomycosis. A number of studies have reported rare cases of infection spread to regional lymph nodes, bone tissue, brain, and lungs [14]. Malignant transformation to squamous cell carcinoma is extremely rare (two cases out of 100). Risk factors for malignant transformation of chromoblastomycosis include male sex; age ≥ 47 years; and long-existing lesions (according to different reports, from 10–15 to 20–30 years) [13, 15].
The disease is poorly amenable to treatment and is likely to recur. Treatment strategy choice is based on susceptibility of a particular pathogen to antifungal drugs, as well as lesion size, severity and location [16, 17].
The key treatment approaches involve antifungal chemotherapy. A number of drugs have been reported to be effective: itraconazole, terbinafine, posaconazole, 5-fluorocytosine, voriconazole, ketoconazole, amphotericin B, and acitretin in combination with imiquimod. Itraconazole and ketoconazole are used most commonly [18–21]. Antifungal therapy is usually long-term and ranges from 6 to 12 months (and even longer) [21]. The question regarding the effect of antifungal chemotherapy on the risk of malignant transformation of chromomycosis is subject to study. It is worth mentioning that data on potential carcinogenicity of voriconazole are available [7].
Physicochemical treatment methods involve cryotherapy, thermotherapy, laser destruction of lesions, and surgery. They supplement antifungal therapy [2, 20].
Case history
A 48-year-old patient K. attended the hospital outpatient department of the Dermatovenereology clinic at the Pavlov First Saint Petersburg State Medical University for consultation in September 2020 complaining of eruptions on the left shin. According to the patient, he noticed a lesion within the posterior surface of the left shin in May 2020 and had no subjective complaints. He did not attend a physician, treated the lesion with ethanol solution; this area was repeatedly injured. Over the period between June and September 2020, the patient used combination medications containing topical glucocorticoids as well as antibacterial and antifungal components with a moderate effect.
Examination revealed bluish red infiltration areas with superficial ulcers under purulent scabs on the posterior surface of the left shin; these areas were moderately tender on palpation. Pyoderma gangrenosum was suspected; skin biopsy followed by histological examination was recommended (Fig. 1).
Fig. 1. Lesion on the left leg; the biopsy site is indicated (September 2020)
Рис. 1. Очаг поражения в области левой голени, указано место биопсии (сентябрь 2020 г.)
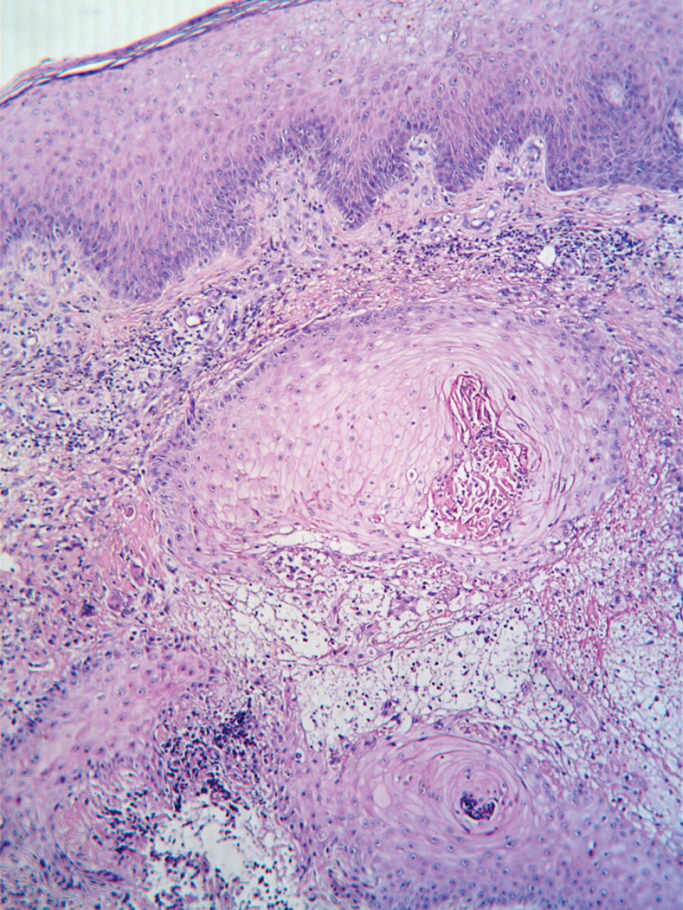
Histological examination revealed moderately differentiated squamous cell carcinoma of the skin (Fig. 2). The patient was recommended to attend an oncologist at the Petrov Research Center of Oncology. The histological specimen was re-examined; the squamous cell carcinoma diagnosis was confirmed.
Fig. 2. Histological specimen collected from the left leg (September 2020). Hematoxylin and eosin stain; 100×. Dyskeratotic epidermal cords are detected in the dermis. The morphological picture corresponds to moderately differentiated squamous cell carcinoma
Рис. 2. Гистологический препарат левой голени (сентябрь 2020 г.). Окраска гематоксилином и эозином; ×100. В дерме определяются дискератотические эпидермальные тяжи. Морфологическая картина соответствует умеренно дифференцированному плоскоклеточному раку
In October 2020, the patient underwent a surgery (lesion excision and free flap reconstruction). Additional examination was conducted. Intravenous contrast-enhanced computed tomography of the brain, chest, abdomen, and pelvis revealed no data on any secondary focal lesions.
In May 2021, the patient attended the outpatient department of the Dermatovenereology clinic at the Pavlov First Saint Petersburg State Medical University again, complaining of moderately painful eruptions on the right hand that had appeared ~ 1 month before that. A bluish red, moderately infiltrated lesion sized 4 × 5 cm, painless on palpation, was detected upon examination on the dorsum of the right hand (Fig. 3). Yellowish dense scabs on the surface (solitary, hemorrhagic) were detected. Complete physical examination revealed solitary papular lesions and a bluish brown plaque on the posterior surface of the left shin, within the area of postoperative cicatrix (Fig. 4).
Fig. 3. A lesion on the dorsum of the right hand; the biopsy site is indicated (May 2021)
Рис. 3. Очаг поражения на тыльной поверхности правой кисти, указано место биопсии (май 2021 г.)
Fig. 4. A lesion on the left shin; the biopsy site is indicated (May 2021)
Рис. 4. Очаг на левой голени, указано место биопсии (май 2021 г.)
A diagnosis of chromomycosis was suspected with allowance for the anamnestic data, clinical manifestations, and the recurrent course. It was recommended that skin biopsy with histological examination of two lesions (the lesions on the dorsum of the right hand and left shin) and inoculation of the skin biopsy specimen are conducted.
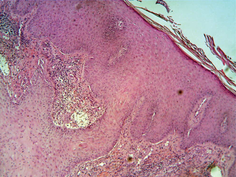
Histological study No. 17097/21 No. 1 (dorsum of the right hand). Hyperkeratosis, marked acanthosis, and pseudoepitheliomatous hyperplasia of the epidermis. Vessels in the upper dermal layer are dilated, diffuse focal infiltrates of lymphocytes, histiocytes, eosinophils, plasmocytes and neutrophils are detected. Ziehl–Neelsen staining detected no acid-tolerant microorganisms (Fig. 5).
Fig. 5. Histological specimen (May 2021). Right hand (hematoxylin and eosin stain; 100×). Hyperkeratosis, marked acanthosis, pseudoepitheliomatous hyperplasia of the epidermis. Vessels in the upper dermal layer are dilated; diffuse and focal infiltrates of lymphocytes, histiocytes, eosinophils, plasmocytes and neutrophils are detected
Рис. 5. Гистологический препарат (май 2021 г.). Правая кисть (окраска гематоксилином и эозином; ×100). Гиперкератоз, выраженный акантоз, псведоэпителиоматозная гиперплазия эпидермиса. В верхней части дермы сосуды расширены, диффузно-очаговые инфильтраты их лимфоцитов, гистиоцитов, эозинофилов, плазмоцитов и нейтрофилов
Histologic study No. 17097/21 No. 2 (shin, June 9, 2021). Focal hyperkeratosis and parakeratosis, acanthosis, vacuolization of some epitheliocytes. Angiomatosis, endothelial proliferation and swelling, as well as fibrosis are detected in the dermis.
Foci of collagen fiber destruction, mixed inflammatory infiltration with abundant plasmocytes, an admixture of multinucleated giant cells (foreign bodies), and eosinophils are identified. The parakeratotic layer contains neutrophil aggregates. Solitary giant cell granulomas consisting of multinucleated giant cells (foreign bodies), some of them having olive brown round-shape and filamentous inclusions, are detected. The pathomorphological features largely correspond to chromomycosis (Figs. 6 and 7).
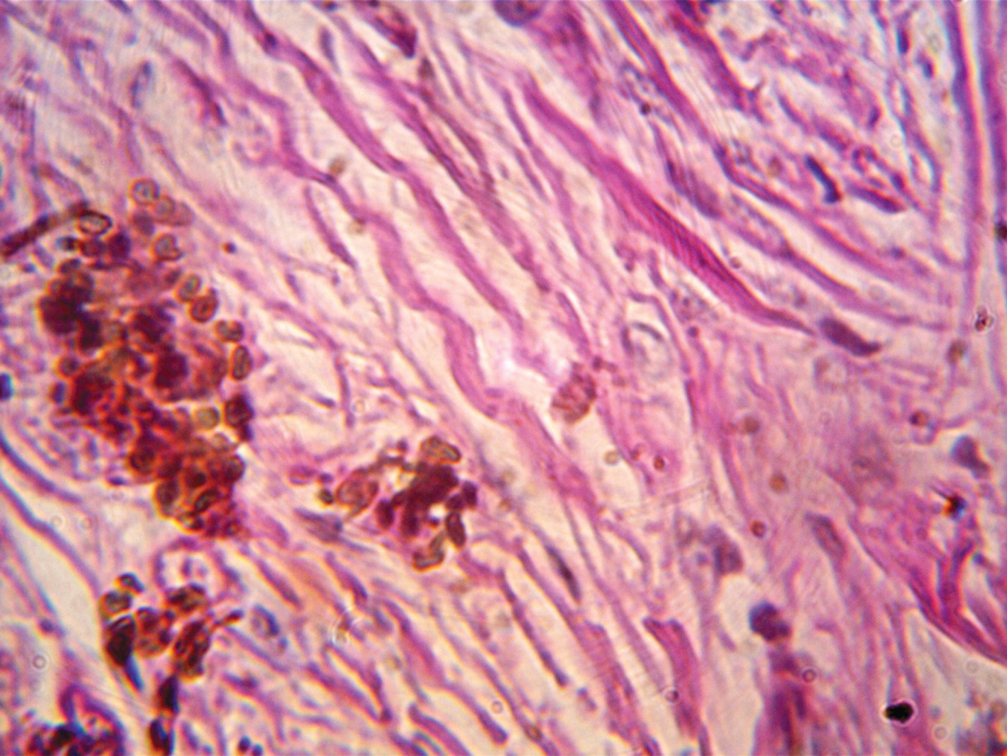
Fig. 6. Histological specimen (May 2021). Skin of the left lower leg (PAS stain; 200×). Olive brown rounded and filamentous inclusions are detected in the dermis. The revealed changes correspond to chromomycosis
Рис. 6. Гистологический препарат (май 2021 г.). Кожа левой голени (окраска ШИК-реакция; ×200). В дерме определяются оливково-коричневые округлые и нитчатые включения. Обнаруженные изменения соответствуют хромомикозу
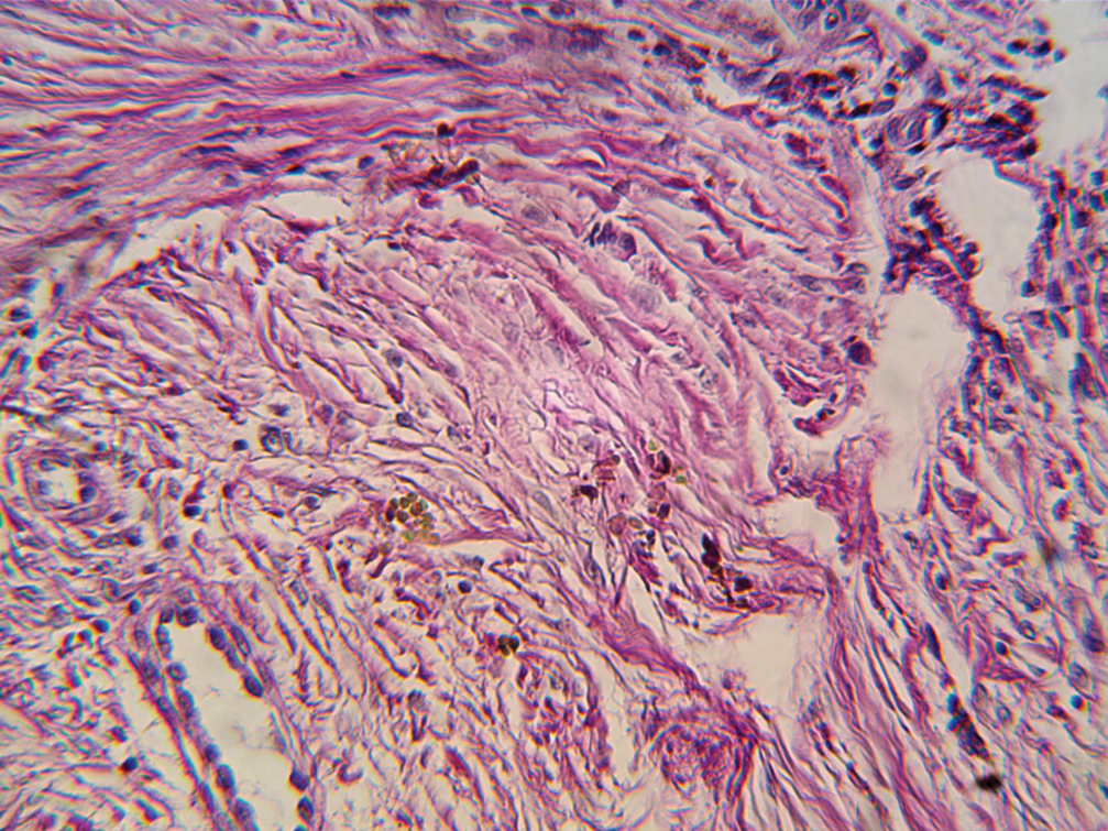
Fig. 7. Histological specimen (May 2021). Skin of the left lower leg (PAS stain; 400×). Olive brown rounded and filamentous inclusions are detected in the dermis. The revealed changes correspond to chromomycosis
Рис. 7. Гистологический препарат (май 2021 г.). Кожа левой голени (окраска ШИК-реакция; ×400). В дерме определяются оливково-коричневые округлые и нитчатые включения. Обнаруженные изменения соответствуют хромомикозу
The culture test detected no causative agents of chromomycosis.
Taking into account the clinical manifestations and histological examination data, the patient was diagnosed with chromomycosis.
The recommendations were as follows: itraconazole 200 mg once daily during 6 months; mandatory monitoring of blood chemistry parameters (total bilirubin, ALT, AST, alkaline phosphatase, and creatinine). Dry heat application on the foci was also recommended. Positive dynamics were observed as soon as during the second month of treatment: lesion size and infiltration decreased, and regression of some lesions was observed. Further on, complete regression of rash was observed by the sixth month of treatment. The patient tolerated therapy well, neither adverse events nor abnormal blood chemistry parameters were detected. The patient is currently followed up by a dermatologist of the outpatient department of the Dermatovenereology Clinic at the Pavlov First Saint Petersburg State Medical University. At the routine examination in May 2023, neither evidence of recurrence nor manifestations of chromomycosis were detected (Figs. 8 and 9).
Fig. 8. Right hand (May 2023). After treatment
Рис. 8. Правая кисть (май 2023 г.). После проведенного лечения
Fig. 9. Left shin (May 2023). After treatment
Рис. 9. Левая голень (май 2023 г.). После проведенного лечения
Discussion
At disease onset, when the first lesion appeared on the left shin, the patient was diagnosed with squamous cell carcinoma of the skin after skin biopsy and histological examination. Epidermal changes resembling pseudoepitheliomatous hyperplasia, which may mimic squamous cell carcinoma of the skin, and real malignant transformation of long-existing lesions, are typical of chromomycosis. Surgery is preferred in the case of malignant transformation and for a solitary lesion. However, our patient had disease relapse within the area where wide excision of the lesion on the left shin was conducted by oncologists and rash on the right hand appeared, being the reason for suspecting chromomycosis and performing repeat skin biopsies, histological examination and culture medium inoculation. The causative agent of chromomycosis was identified in histological specimens prepared for the biomaterial sampled from the right hand. Inoculation did not result in fungal growth, so we failed to identify the causative agent. Long-term systemic antifungal therapy with itraconazole was prescribed with allowance for disease progression; the patient tolerated it well. Control tests to assess blood chemistry parameters showed no abnormalities. The conducted treatment led to a steady positive effect. The patient continues to be followed up.
Conclusions
The interest in this clinical case was due to detection of chromomycosis in a resident of Saint Petersburg, who neither had visited endemic regions nor had been engaged in agricultural work, and had denied the primary injury. Our patient experienced rapid malignant transformation of the focus; recurrent deep mycosis occurred after surgical treatment. A good effect was achieved after systemic antimycotic therapy.
About the authors
Tatyana V. Melnikova
First Pavlov State Medical University of Saint Petersburg
Author for correspondence.
Email: tatmel2007@yandex.ru
ORCID iD: 0000-0001-9983-0327
Россия, Saint Petersburg
Natalya Yu. Burtseva
First Pavlov State Medical University of Saint Petersburg
Email: burtsevaderm@mail.ru
ORCID iD: 0000-0003-1800-1610
Dermatovenereologist
Россия, Saint PetersburgTatyana A. Cheboksarova
First Pavlov State Medical University of Saint Petersburg
Email: sturovatanya@mail.ru
ORCID iD: 0009-0005-1170-3232
6th Year Student
Россия, Saint PetersburgEvgeny V. Sokolovskiy
First Pavlov State Medical University of Saint Petersburg
Email: s40@mail.ru
ORCID iD: 0000-0001-7610-6061
MD, Dr. Sci. (Med.), Professor
Россия, Saint PetersburgReferences
- Torres-Guerrero E, Isa-Isa R, Isa M, Arenas R. Chromoblastomycosis. Clin Dermatol. 2012;30(4):403–408. doi: 10.1016/j.clindermatol.2011.09.011
- Queiroz-Telles F, Esterre P, Perez-Blanco M, Vitale RG, Salgado CG, Bonifaz A. Chromoblastomycosis: an overview of clinical manifestations, diagnosis and treatment. Med Mycol. 2009;47(1):3–15. doi: 10.1080/13693780802538001
- Zhang R, Ran Y, Zhang H, Dai Y, Ran X, Zhang C, et al. A case of chromoblastomycosis caused by fonsecaea pedrosoi and investigation of the pathogenic fungi. Mycopathologia. 2019;184(2):349–352. doi: 10.1007/s11046-019-0319-4
- Romero-Navarrete M, Ruíz LF, Castillo A, Arenas R, Vega-Memije ME, Xicohtencatl-Cortes J, et al. An impressive case of chromoblastomycosis due to Fonsecaea pedrosoi in a patient with a long history of fungal infection. J Mycol Med. 2018;28(4):663–665. doi: 10.1016/j.mycmed.2018.07.008
- Queiroz-Telles F. Chromoblastomycosis: a neglected tropical disease. Rev Inst Med Trop Sao Paulo. 2015;57(Suppl 19):46–50. doi: 10.1590/S0036-46652015000700009
- Azevedo CM, Marques SG, Santos DW, Silva RR, Silva NF, Santos DA, et al. Squamous cell carcinoma derived from chronic chromoblastomycosis in Brazil. Clin Infect Dis. 2015;60(10):1500–1504. doi: 10.1093/cid/civ104
- Корнишева В.Г., Гулордава М.Д., Молдокматова М. Клинический случай осложнения длительно текущего хромомикоза развитием плоскоклеточного рака. Проблемы медицинской микологии. 2016;18(1):12–16. [Kornisheva VG, Gulordava MD, Moldokmatova M. Clinical case of long-term complications of the current chromomycosis by the development of squamous cell cancer. Problemy medicinskoj mikologii. 2016;18(1):12–16. (In Russ.)]
- Krzyściak PM, Pindycka-Piaszczyńska M, Piaszczyński M. Chromoblastomycosis. Postepy Dermatol Alergol. 2014;31(5):310–321. doi: 10.5114/pdia.2014.40949
- Queiróz AJR, Pereira Domingos F, Antônio JR. Chromoblastomycosis: clinical experience and review of literature. Int J Dermatol. 2018;57(11):1351–1355. doi: 10.1111/ijd.14185
- França K, Villa RT, Bastos VR, Almeida AC, Massucatti K, Fukumaru D, et al. Auricular chromoblastomycosis: a case report and review of published literature. Mycopathologia. 2011;172(1):69–72. doi: 10.1007/s11046-011-9396-8
- Carrion AL. Chromoblastomycosis. Ann N Y Acad Sci. 1950;50(10):1255–1282. doi: 10.1111/j.1749-6632.1950.tb39826.x
- Queiroz-Telles F, McGinnis MR, Salkin I, Graybill JR. Subcutaneous mycoses. Infect Dis Clin North Am. 2003;17(1):59–85, viii. doi: 10.1016/s0891-5520(02)00066-1
- Minotto R, Bernardi CD, Mallmann LF, Edelweiss MI, Scroferneker ML. Chromoblastomycosis: a review of 100 cases in the state of Rio Grande do Sul, Brazil. J Am Acad Dermatol. 2001;44(4):585–592. doi: 10.1067/mjd.2001.112220
- Agarwal R, Singh G, Ghosh A, Verma KK, Pandey M, Xess I. Chromoblastomycosis in India: Review of 169 cases. PLoS Negl Trop Dis. 2017;11(8):e0005534. doi: 10.1371/journal.pntd.0005534
- Jamil A, Lee YY, Thevarajah S. Invasive squamous cell carcinoma arising from chromoblastomycosis. Med Mycol. 2012;50(1):99–102. doi: 10.3109/13693786.2011.571295
- Queiróz AJR, Pereira Domingos F, Antônio JR. Chromoblastomycosis: clinical experience and review of literature. Int J Dermatol. 2018;57(11):1351–1355. doi: 10.1111/ijd.14185
- Torres-Guerrero E, Isa-Isa R, Isa M, Arenas R. Chromoblastomycosis. Clin Dermatol. 2012;30(4):403–408. doi: 10.1016/j.clindermatol.2011.09.011
- Молочков В.А., Хлебникова А.Н., Петрова М.С., Бобров М.А. Хромобластомикоз. Архив патологии. 2020;82(6):59–62. [Molochkov VA, Khlebnikova AN, Petrova MS, Bobrov MA. Chromoblastomycosis. Arkhiv Patologii. 2020;82(6):59–62. (In Russ.)] doi: 10.17116/patol20208206159
- De Andrade TS, de Almeida AMZ, Basano SA, Takagi EH, Szeszs MW, Melhem MSC, et al. Chromoblastomycosis in the Amazon region, Brazil, caused by Fonsecaea pedrosoi, Fonsecaea nubica, and Rhinocladiella similis: Clinicopathology, susceptibility, and molecular identification. Med Mycol. 2020;58(2):172–180. doi: 10.1093/mmy/myz034
- Queiróz AJR, Pereira Domingos F, Antônio JR. Chromoblastomycosis: clinical experience and review of literature. Int J Dermatol. 2018;57(11):1351–1355. doi: 10.1111/ijd.14185
- Daboit TC, Massotti Magagnin C, Heidrich D, Czekster Antochevis L, Vigolo S, Collares Meirelles L, et al. In vitro susceptibility of chromoblastomycosis agents to five antifungal drugs and to the combination of terbinafine and amphotericin B. Mycoses. 2014;57(2):116–120. doi: 10.1111/myc.12111
Supplementary files













