A rare form of leishmaniasis, identified in the Russian Federation
- Authors: Artamonova O.G.1, Monchakovskaya E.S.1, Kubanov A.A.1, Rakhmatulina M.R.1, Kuznetsov O.E.1, Synkova D.A.1, Verbenko D.A.1
-
Affiliations:
- Federal State Research Center of Dermatovenereology and Cosmetology
- Issue: Vol 99, No 3 (2023)
- Pages: 79-86
- Section: CLINICAL CASE REPORTS
- Submitted: 22.12.2022
- Accepted: 14.04.2023
- Published: 25.07.2023
- URL: https://vestnikdv.ru/jour/article/view/1408
- DOI: https://doi.org/10.25208/vdv1408
- ID: 1408
Cite item
Full Text
Abstract
Diffuse cutaneous leishmaniasis is a rare form of cutaneous leishmaniasis characterized by an inadequate immune response of the host cells to parasitic invasion (weak T-helper (Th)1 response or Th2 response with the production of interleukin IL-4 and IL-10). The characteristic features of the disease include diffuse nodular eruption, masquerading as leprosy and a frequent association with immunosuppression (HIV co-infection, for example). The Russian Federation is a non-endemic country for leishmaniasis, but this disease can be brought into the country by tourists, immigrants, refugees and military personnel. A clinical case of diffuse cutaneous leishmaniasis and HIV co-infection is presented. The patient was a citizen of Uzbekistan, a country endemic for leishmaniasis. The authors were unable to find domestic scientific publications describing cases of diffuse cutaneous leishmaniasis detected in the Russian Federation. The presented clinical case of diffuse cutaneous leishmaniasis in a patient with HIV is the first in the Russian literature.
Full Text
Актуальность
Лейшманиоз — трансмиссивное заболевание, вызываемое облигатными внутримакрофагальными простейшими паразитами рода Leishmania (L.) [1]. Заболевание передается при укусах инфицированных самок москитов рода Phlebotomus в Старом Свете и рода Lutzomyia — в Новом Свете.
Лейшманиоз эндемичен более чем для 90 стран в мире. Ежегодно регистрируется около 1 миллиона новых случаев заболевания, которые главным образом приходятся на Бразилию, Эфиопию, Индию, Кению, Сомали, Южный Судан и Судан [2, 3]. Смертность от лейшманиоза составляет от 20 000 до 40 000 случаев в год [4].
На территории Российской Федерации регистрируются только завозные случаи лейшманиоза [1]. Однако описаны спорадические вспышки висцерального лейшманиоза в Дагестане и на Крымском полуострове [5, 6]. Из стран постсоветского пространства заболевание распространено в Узбекистане, Туркменистане, Таджикистане [1, 5]. По данным Федеральной службы по надзору в сфере защиты прав потребителей и благополучия человека за период с 2019 по 2021 г. зарегистрировано 11 случаев лейшманиоза, в том числе 3 случая кожного и 8 случаев висцерального лейшманиоза [7].
Клинически выделяют кожный лейшманиоз, диффузный кожный лейшманиоз, кожно-слизистый лейшманиоз и висцеральный лейшманиоз (кала-азар) [4, 8].
Кожный лейшманиоз вызывают более 20 видов Leishmania. В странах Старого Света (Средиземноморский регион, Азия, Ближний Восток, Африка) распространены: L. major (зоонозная форма), L. tropica (антропонозная форма), L. aethiopica и L. infantum (редко выявляемые); в странах Нового Света (Центральная и Южная Америка) встречаются L. mexicana, L. braziliensis и L. guyanensis [2, 9, 10]. Возбудителями диффузного кожного лейшманиоза в странах Старого Света являются L. aethiopica и L. major [11], Нового Света — L. amazonensis и L. mexicana [12].
Диффузный кожный лейшманиоз является крайне редким заболеванием. Так, в эндемичной по лейшманиозу Бразилии ежегодно диагностируется не более 1–2 случаев [13].
Кожные высыпания при диффузном кожном лейшманиозе представлены множественными бугорками, которые не изъявляются и медленно распространяются по всему кожному покрову, за исключением волосистой части головы, подмышечных и паховых складок [14–16]. К характерным особенностям диффузного кожного лейшманиоза относят большую схожесть с лепроматозной формой лепры и частую ассоциацию с иммуносупрессией, в том числе на фоне ВИЧ-инфекции [11, 17–19].
Также у больных диффузным кожным лейшманиозом наблюдаются слабый ответ Т-хелперов (Тh)1 и реакция Тh2 на паразитарную инвазию с выработкой интерлейкина ИЛ-4 и ИЛ-10 [20, 21].
Описание случая
Пациент Р., 1980 г. р., обратился к врачу-дерматовенерологу ГБУЗ КО «КОККВД» (г. Калуга) в августе 2021 г. с жалобами на множественные высыпания на коже лица, шеи, туловища, конечностей, не вызывающие каких-либо неприятных субъективных ощущений. Предварительно установлен диагноз: лепра, лепроматозный тип. Направлен на консультацию в ФГБУ «ГНЦДК» Минздрава России. Дальнейшее обследование пациента для уточнения диагноза проводилось на базе ФГБУ «ГНЦДК» Минздрава России.
Считает себя больным с декабря 2020 г., когда впервые отметил появление высыпаний на коже тыльной поверхности стоп. Процесс медленно прогрессировал, высыпания распространились на область лица, туловища, верхних и нижних конечностей, половые органы.
Из анамнеза известно, что пациент — гражданин Узбекистана, родился и проживал в Кашкадарьинской области. Нелегальный мигрант. Прибыл на территорию Российской Федерации через Республику Беларусь в марте 2021 г. С марта 2021 г. находился на территории г. Обнинска Калужской области, где работал разнорабочим. Контакт с больными лепрой категорически отрицал.
При осмотре кожный патологический процесс носил распространенный характер. Высыпания локализовались на коже ушных раковин, лица, шеи, туловища, половых органов, ягодиц, верхних и нижних конечностей и были представлены множественными бугорками от 0,3 до 2,0 см в диаметре, округлой формы, розовато-телесного, местами буроватого цвета, плотной консистенции (рис. 1). При пальпации высыпаний болезненности не отмечалось. Признак Поспелова отрицательный. При проведении диаскопии цвет высыпаний не изменялся, отделяемого не определялось.
Рис. 1. Диффузный кожный лейшманиоз. Множественные бугорки от 0,3 до 2,0 см в диаметре
В области лица отмечались множественные высыпания, диффузная инфильтрация и выраженная складчатость, за счет чего была сформирована «морда льва» (facies leonina) (рис. 2). В области усов и бороды отмечалось поредение волос. На волосистой части головы, в области бровей рост волос был сохранен.
Рис. 2. Диффузный кожный лейшманиоз, «морда льва» (facies leonina)
Кожные покровы волосистой части головы, область подмышечных складок, локтевых и подколенных ямок, паховых складок были свободны от высыпаний (рис. 3). Ногтевые пластинки кистей и стоп изменены: отмечались дистрофические изменения всех ногтевых пластинок.
Рис. 3. Диффузный кожный лейшманиоз. Область подколенных ямок (а), подмышечных складок (б) — свободны от высыпаний
На коже левого плеча на месте, доступном для укуса насекомого, визуализировался плотный гипертрофический рубец до 5 см в диаметре (рис. 4).
Рис. 4. Гипертрофический рубец на левом плече
Температурная, болевая, тактильная чувствительность сохранены. Со стороны периферической нервной системы: при пальпации утолщения нервных стволов не определялось.
Результаты физикального, лабораторного и инструментального исследований
Проведено лабораторное исследование для выявления сифилиса, гепатитов B и C, ВИЧ-инфекции: антикардиолипиновый тест, определение антител к Treponema pallidum методом РПГА, суммарных антител к вирусу гепатита С методом ИФА, HBs-антигена методом ИФА, антител к ВИЧ-1/ВИЧ-2 и антигену p-24 методом ИФА (производитель тест-систем: АО «Вектор-Бест», Россия). Получен положительный результат на ВИЧ-инфекцию, подтвержденный в Московском городском центре профилактики и борьбы со СПИДом. Результаты остальных исследований отрицательные.
Для гистологического и микроскопического исследований получены образцы пораженной кожи.
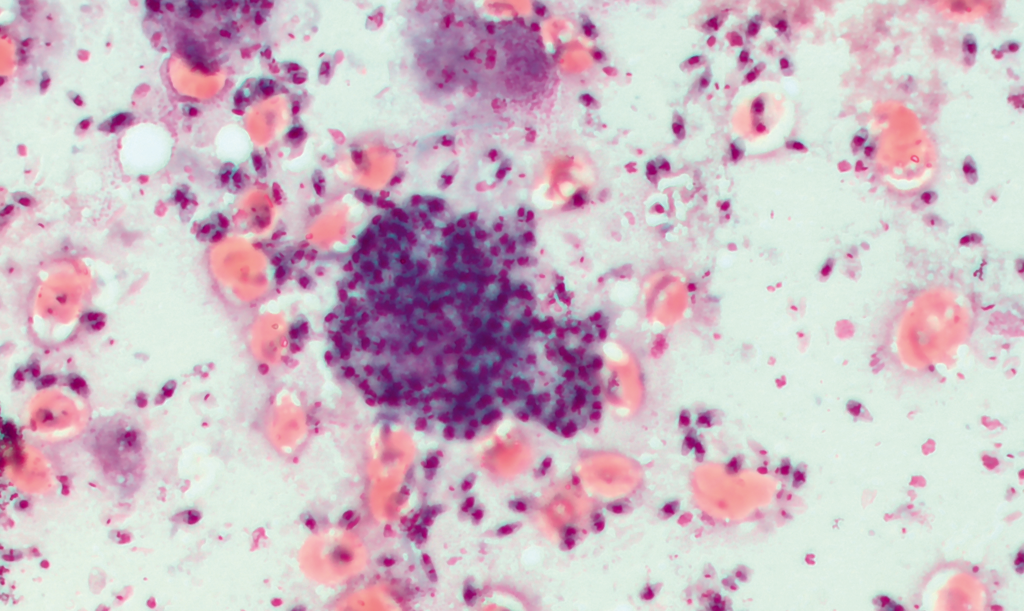
При микроскопическом исследовании (окраска по Романовскому–Гимзе) в мазке выявлено большое количество лейшманий (амастиготы) как внутриклеточно в макрофагах, так и внеклеточно (рис. 5). При окраске по Цилю–Нильсену кислотоустойчивых микобактерий не обнаружено.
Рис. 5. Микроскопическое исследование мазка кожи, окраска по Романовскому–Гимзе (увеличение ×1000 с иммерсией)
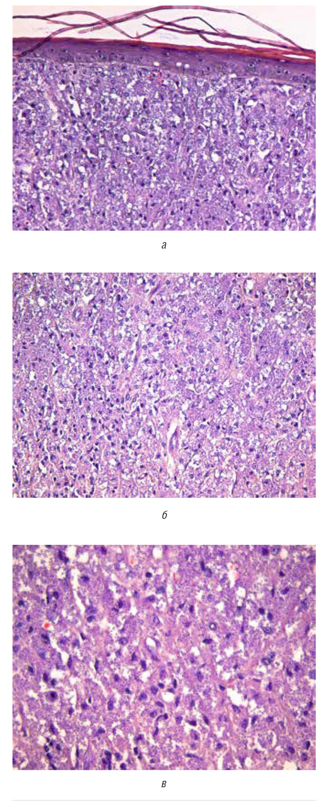
При гистологическом исследовании: дерму субтотально заполняет плотный инфильтрат, представленный крупными гистиоцитами, в цитоплазме которых содержатся множественные паразиты в виде округло-овальных базофильных включений (рис. 6). Также среди инфильтрата присутствует скудное количество лимфоцитов и плазмоцитов. В верхней части дермы инфильтрат располагается диффузно, в нижней трети приобретает нодулярный вид, концентрируясь вокруг волосяных фолликулов и протоков эккринных желез. При окраске по Цилю–Нильсену кислотоустойчивых микобактерий не обнаружено. Заключение: признаков лепры в пределах присланного материала не обнаружено. Выявленные изменения наиболее соответствуют лейшманиозу.
Рис. 6. Гистологическое исследование. Дерму субтотально заполняет плотный инфильтрат, представленный крупными гистиоцитами и макрофагами, в цитоплазме которых содержатся множественные паразиты в виде округло-овальных базофильных включений (а — увеличение ×10, б — увеличение ×20, в — увеличение ×40)
На основании эпидемиологического анамнеза, клинической картины, данных лабораторных, в том числе микроскопического и гистологического методов исследования, установлен диагноз: диффузный кожный лейшманиоз.
Дальнейшее наблюдение и терапия пациента были невозможны в связи с тем, что пациент являлся нелегальным мигрантом с запретом на въезд на территорию Российской Федерации. Был депортирован сотрудниками Федеральной миграционной службы.
Обсуждение
Несмотря на то что Российская Федерация является страной неэндемичной по лейшманиозу, по данным литературы за период с 1991 по 2014 г. в стране было зарегистрировано 89 случаев заболевания: 31 случай антропонозного кожного лейшманиоза, 20 — зоонозного кожного лейшманиоза, 37 — висцерального лейшманиоза и 1 случай кожно-слизистого лейшманиоза; из указанных 89 случаев 83 являлись завозными [6]. По данным за период с 2019 по 2021 г. зарегистрировано 11 случаев лейшманиоза, в том числе 3 случая кожного и 8 случаев висцерального лейшманиоза [7].
Лейшманиоз является третьей по распространенности паразитарной инфекцией после токсоплазмоза и криптоспоридиоза у ВИЧ-инфицированных пациентов [1, 22]. Однако из-за длительного латентного периода лейшманиоз часто упускается из виду в пользу других оппортунистических инфекций, связанных с иммуносупрессией [23].
Описанный авторами клинический случай диффузного кожного лейшманиоза у больного ВИЧ-инфекцией является первым, представленным в отечественной литературе.
Широкая распространенность заболевания в мире, высокий риск завоза инфекции на территорию Российской Федерации туристами, иммигрантами, беженцами, военнослужащими, сложность ранней и дифференциальной диагностики указывают на необходимость тщательного анализа эпидемиологического анамнеза пациентов, пребывавших в странах, эндемичных по лейшманиозу [18, 23].
Учитывая высокую устойчивость диффузного кожного лейшманиоза к существующим лекарственным препаратам, необходимо диагностировать заболевание на ранней стадии, однако низкая настороженность врачей в отношении данной инфекции приводит к диагностическим ошибкам [6, 24]. Без вовремя начатой терапии прогноз у больных диффузным кожным лейшманиозом неблагоприятный [18, 21].
Заключение
Появление на территории Российской Федерации такой редкой формы заболевания является результатом миграции населения, что подтверждает актуальность проблемы лейшманиоза даже для неэндемичных стран и требует формирования диагностической настороженности у врачей.
About the authors
Olga G. Artamonova
Federal State Research Center of Dermatovenereology and Cosmetology
Author for correspondence.
Email: artamonova_olga@list.ru
ORCID iD: 0000-0003-3778-4745
SPIN-code: 3308-3330
Россия, Moscow
Ekaterina S. Monchakovskaya
Federal State Research Center of Dermatovenereology and Cosmetology
Email: monchakovskaya@cnikvi.ru
ORCID iD: 0000-0002-6402-0962
SPIN-code: 9859-1912
Россия, Moscow
Alexey A. Kubanov
Federal State Research Center of Dermatovenereology and Cosmetology
Email: alex@cnikvi.ru
ORCID iD: 0000-0002-7625-0503
SPIN-code: 8771-4990
MD, Dr. Sci. (Med.), Professor, Academician of the Russian Academy of Sciences
Россия, MoscowMargarita R. Rakhmatulina
Federal State Research Center of Dermatovenereology and Cosmetology
Email: rahmatulina@cnikvi.ru
ORCID iD: 0000-0003-3039-7769
SPIN-code: 6222-8684
MD, Dr. Sci. (Med.), Professor
Россия, MoscowOleg E. Kuznetsov
Federal State Research Center of Dermatovenereology and Cosmetology
Email: kuznetsov@cnikvi.ru
ORCID iD: 0000-0002-7571-7108
SPIN-code: 8600-3098
MD, Cand. Sci (Med.)
Россия, MoscowDarya A. Synkova
Federal State Research Center of Dermatovenereology and Cosmetology
Email: dashasin@gmail.com
ORCID iD: 0000-0003-2228-756X
Россия, Moscow
Dmitry A. Verbenko
Federal State Research Center of Dermatovenereology and Cosmetology
Email: verbenko@gmail.com
ORCID iD: 0000-0002-1104-7694
SPIN-code: 8261-6561
Cand. Sci. (Biol.)
Россия, MoscowReferences
- Gradoni L, López-Vélez, R. Mokni M. Manual on case management and surveillance of the leishmaniases in the WHO European Region. World Health Organization. Regional Office for Europe. 2017. (Accessed 28 December, 2022) https://apps.who.int/iris/handle/10665/344118
- de Souza ML, Dos Santos WM, de Sousa ALMD, Ferraz LRM, da Costa LAG, Silva EO, et al. Cutaneous leishmaniasis: new oral therapeutic approaches under development. Int J Dermatol. 2022;61(1):89–98. doi: 10.1111/ijd.15902
- Mokni M. Cutaneous leishmaniasis. Ann Dermatol Venereol. 2019;146(3):232–246. doi: 10.1016/j.annder.2019.02.002
- Alvar J, Vélez ID, Bern C, Herrero M, Desjeux P, Cano J, et al. Leishmaniasis worldwide and global estimates of its incidence. PLoS One. 2012;7(5):e35671. doi: 10.1371/journal.pone.0035671
- Понировский Е. Н., Стрелкова М. В., Завойкин В. Д., Тумольская Н. И., Мазманян М. В., Баранец М. С., и др. Эпидемиологическая ситуация по лейшманиозам в Российской Федерации: первые достоверные случаи местной передачи. Медицинская паразитология и паразитарные болезни. 2015;(3):3–7 [Ponirovskij EN, Strelkova MV, Zavojkin VD, Tumol’skaja NI, Mazmanjan MV, Baranec MS, et al. The epidemiological situation of leishmaniasis in the Russian Federation: the first valid cases of local transmission. Medicinskaja parazitologija i parazitarnye bolezni. 2015;(3):3–7. (In Russ.)]
- Ермак Т. Н., Кравченко А. В., Покровский В. В., Андреев А. В. Кожный и висцеральный лейшманиоз у больных ВИЧ-инфекцией в России. Клиническое наблюдение. Терапевтический архив. 2021;93(11):1363–1367 [Ermak TN, Kravchenko AV, Pokrovskij VV, Andreev AV. Cutaneous and visceral leishmaniasis in patients with HIV infection in Russia. Klinicheskoe nabljudenie. Terapevticheskij arhiv. 2021;93(11):1363–1367. (In Russ.)] doi: 10.26442/00403660.2021.11.201167
- Федеральная служба по надзору в сфере защиты прав потребителей и благополучия человека. Сведения об инфекционных и паразитарных заболеваниях [Federal Service for Surveillance on Consumer Rights Protection and Human Wellbeing. Information about infectious and parasitic diseases (In Russ.)] (Accessed February 21, 2023). https://www.rospotrebnadzor.ru/activities/statistical-materials/statistic_detail.php?ID=4215
- Desjeux P. The increase in risk factors for leishmaniasis worldwide. Trans R Soc Trop Med Hyg. 2001;95(3):239–243. doi: 10.1016/s0035-9203(01)90223-8
- Baghad B, Razanapinaritra R, Maksouri H, El Bouri H, Outlioua A, Fellah H, et al. Possible introduction of Leishmania tropica to urban areas determined by epidemiological and clinical profiles of patients with cutaneous leishmaniasis in Casablanca (Morocco). Parasite Epidemiol Control. 2020;9:e00129. doi: 10.1016/j.parepi.2019.e00129
- Bemani E, Oryan A, Bahrami S. Effectiveness of amiodarone in treatment of cutaneous leishmaniasis caused by Leishmania major. Exp Parasitol. 2019;205:107747. doi: 10.1016/j.exppara.2019.107747
- Develoux M, Diallo S, Dieng Y, Mane I, Huerre M, Pratlong F, et al. Diffuse cutaneous leishmaniasis due to Leishmania major in Senegal. Trans R Soc Trop Med Hyg. 1996;90(4):396–397. doi: 10.1016/s0035-9203(96)90520-9
- Azeredo-Coutinho RB, Conceição-Silva F, Schubach A, Cupolillo E, Quintella LP, Madeira MF, et al. First report of diffuse cutaneous leishmaniasis and Leishmania amazonensis infection in Rio de Janeiro State, Brazil. Trans R Soc Trop Med Hyg. 2007;101(7):735–737. doi: 10.1016/j.trstmh.2007.01.005
- Lainson R. The American leishmaniases: some observations on their ecology and epidemiology. Trans R Soc Trop Med Hyg. 1983;77(5):569–596. doi: 10.1016/0035-9203(83)90185-2
- Bryceson AD. Diffuse cutaneous leishmaniasis in Ethiopia. 3. Immunological studies. IV. Pathogenesis of diffuse cutaneous leishmaniasis. Trans R Soc Trop Med Hyg. 1970;64(3):380–393. doi: 10.1016/0035-9203(70)90174-4
- Volpedo G, Pacheco-Fernandez T, Holcomb EA, Cipriano N, Cox B, Satoskar AR. Mechanisms of immunopathogenesis in cutaneous leishmaniasis and post kala-azar dermal leishmaniasis (PKDL). Front Cell Infect Microbiol. 2021;11:685296. doi: 10.3389/fcimb.2021.685296
- Convit J, Ulrich M, Fernández CT, Tapia FJ, Cáceres-Dittmar G, Castés M, et al. The clinical and immunological spectrum of American cutaneous leishmaniasis. Trans R Soc Trop Med Hyg. 1993;87(4):444–448. doi: 10.1016/0035-9203(93)90030-t
- Niamba P, Goumbri-Lompo O, Traoré A, Barro-Traoré F, Soudré RT. Diffuse cutaneous leishmaniasis in an HIV-positive patient in western Africa. Australas J Dermatol. 2007;48(1):32–34. doi: 10.1111/j.1440-0960.2007.00323.x
- Hashiguchi Y, Gomez EL, Kato H, Martini LR, Velez LN, Uezato H. Diffuse and disseminated cutaneous leishmaniasis: clinical cases experienced in Ecuador and a brief review. Trop Med Health. 2016;44:2. doi: 10.1186/s41182-016-0002-0
- Goto H, Lindoso JA. Current diagnosis and treatment of cutaneous and mucocutaneous leishmaniasis. Expert Rev Anti Infect Ther. 2010;8(4):419–433. doi: 10.1586/eri.10.19
- Corrêa Soares GH, Silva ABSD, Ferreira LSS, Ithamar JS, Medeiros GA, Pereira SRF, et al. Case Report: Coinfection by Leishmania amazonensis and HIV in a Brazilian Diffuse Cutaneous Leishmaniasis Patient. Am J Trop Med Hyg. 2020;103(3):1076–1080. doi: 10.4269/ajtmh.20-0131
- Scorza BM, Carvalho EM, Wilson ME. Cutaneous Manifestations of Human and Murine Leishmaniasis. Int J Mol Sci. 2017;18(6):1296. doi: 10.3390/ijms18061296
- Kassardjian AA, Yim KM, Rabi S, Liang TZ, Kim GH, Ochoa MT, et al. Diffuse cutaneous leishmaniasis and HIV co-infection: A case report and review of the literature. J Cutan Pathol. 2021;48(6):802–806. doi: 10.1111/cup.13993
- Заславский Д. В., Андриенко Е. М., Александрова И. Ю., Матвеева Е. Л., Семенова С. Е., Зуев М. Е., и др. Верификация лейшманиоза кожи. Вестник дерматологии и венерологии. 2014;(5):91–95 [Zaslavskij DV, Andrienko EM, Aleksandrova IJu, Matveyeva EL, Semyonova SE, Zuyev ME, et al. Verification of Cutaneous Leishmaniasis.Vestnik dermatologii i venerologii. 2014;(5):33–47. (In Russ.)]
- Ермакова Л. А., Головченко Н. В., Нагорный С. А., Пшеничная Н. Ю., Аванесова Л. А., Журавлев А. С. Аутохтонный случай кожного лейшманиоза у больного с ВИЧ-инфекцией. ВИЧ-инфекция и иммуносупрессии. 2019;11(1):75–80 [Ermakova LA, Golovchenko NV, Nagornyj SA, Pshenichnaja NJu, Avanesova LA, Zhuravlev AS. Autochthonous Case Of Cutaneous Leishmaniasis In HIV Infected Patient. VICh-infekcija i immunosupressii. 2019;11(1):75-80. (In Russ.)] doi: 10.22328/2077-9828-2019-11-1-75-80
Supplementary files










