Primary multiple malignant skin tumors: melanoma and basal cell carcinoma
- Authors: Gaydina T.A.1,2, Dvornikov A.S.1, Patsap O.I.2, Tairova R.T.1,2, Lange D.A.1
-
Affiliations:
- N.I. Pirogov Russian National Research Medical University
- Federal Center of Brain Research and Neurotechnologies of FMBA of Russia
- Issue: Vol 99, No 2 (2023)
- Pages: 48-62
- Section: GUIDELINES FOR PRACTITIONERS
- Submitted: 16.01.2023
- Accepted: 22.02.2023
- Published: 17.05.2023
- URL: https://vestnikdv.ru/jour/article/view/1415
- DOI: https://doi.org/10.25208/vdv1415
- ID: 1415
Cite item
Full Text
Abstract
The incidence of skin melanoma in the world is growing every year. Despite advances in diagnostics, the identification of the primary focus of melanoma in some cases is still difficult. The natural course sometimes manifests only with the appearance of melanoma metastases, which can mimic other diseases. Patient S., 52 years old, was admitted to the FCBRN of FMBA of Russia with complaints on periodic systemic dizziness, headaches of a pressing nature, episodes of speech impairment over the past three months. According to the brain MRI-scan results, a volumetric formation of the left frontal lobe was revealed. Upon examination, two non-pigmented lesions were found on the skin of the scalp and forehead. Due to the presence of focal neurological symptoms, it was decided to remove the brain tumor using neurophysiological monitoring and the scalp skin lesion, with histological verification. Morphological diagnosis of the removed brain tumor was a metastasis of amelanotic epithelioid melanoma. The skin lesion was basal cell carcinoma. Thus, the patient had primarily multiple malignant tumors: metastatic melanoma and basal cell carcinoma. The primary focus of melanoma could not be identified by available noninvasive research methods. The patient was referred to an oncologist to decide on the tactics of further examination and treatment. To date, the patient has been treated according to the scheme sh0876 1 line 1 course of pembrolizumab 400 mg IV, cycle 42 days.
Full Text
Актуальность
Меланома (МК) является высокозлокачественной опухолью нейроэктодермального происхождения, исходящей из меланоцитов и склонной к раннему метастазированию в лимфатические узлы, легкие, головной мозг (ГМ) [1–3]. По данным 2021 г. в РФ в структуре общей онкологической заболеваемости кожа является ведущей локализацией у лиц обоих полов: без меланомы 11,79%, с меланомой 13,76% [4]. В 2021 г. средний показатель заболеваемости меланомой в РФ у мужчин составил 6,77 на 100 тыс. населения, у женщин — 8,74 на 100 тыс. населения [4]. Динамика показателя смертности от МК не введена в абсолютных числах смертей на 100 тыс. населения в различных возрастных группах у лиц обоих полов в период с 2017 по 2021 г. в РФ представлена на рис. 1.
Рис. 1. Динамика показателя смертности от меланомы кожи в абсолютных числах смертей на 100 тыс. населения в различных возрастных группах у лиц обоих полов в период с 2017 по 2021 г. в РФ
Fig. 1. Dynamics of the mortality rate from skin melanoma in absolute numbers of deaths per 100,000 population in various age groups in both sexes in the period from 2017 to 2021 in the Russian Federation
По данным за 2021 г. в РФ средний возраст пациентов с впервые в жизни установленным диагнозом МК у лиц обоих полов составил 62,2 г. [4]. В 2021 г. в РФ было зарегистрировано следующее распределение заболевших МК по стадиям: стадия I — 36,0%, стадия II — 43,5%, стадия III — 11,0%, стадия IV — 8,5%, стадия не установлена — у 0,9% [5]. Среди впервые заболевших активно заболевание выявлено у 27,8% пациентов [5]. Несмотря на то, что меланома является наименее распространенной злокачественной опухолью кожи, более 80% смертей от всех злокачественных образований кожи приходится на ее долю [6, 7]. Метастазы меланомы в ГМ встречаются с частотой от 15 до 40% от всех локализаций метастазов меланомы и являются причиной более 50% летальных исходов у пациентов [8, 9].
В мире в последние годы наблюдается рост заболеваемости МК среди лиц в возрасте старше 60 лет, особенно среди мужчин в отдельных частях Европы и, по прогнозам, ожидается сохранение этой тенденции в течение следующих десятилетий [10, 11]. Выше представленные данные свидетельствуют о ежегодном увеличении заболеваемости МК, что подтверждает актуальность данной проблемы для мирового здравоохранения [12].
Вес пациентов, живущих пять и более лет после постановки диагноза МК, увеличивается в связи с улучшением выживаемости пациентов благодаря достижениям современной терапии. В связи с этим возрастает количество пациентов, у которых, кроме МК, могут развиться другие злокачественные образования [13]. Учет первично множественных злокачественных опухолей (ПМЗО) в государственной отчетности РФ ведется с 1991 г. [14]. В 2021 г. в РФ впервые выявлено 58 217 ПМЗО (39,9 на 100 тыс. населения), что составляет 10,0% от всех впервые выявленных злокачественных образований [4]. ПМЗО кожи, по данным ряда авторов, встречаются в 4,2–24% случаев от всех ПМЗО [13, 15]. В государственной отчетности все злокачественные немеланомные опухоли кожи, включая базальноклеточный рак (БКР), учитываются в совокупности, что делает невозможным анализ статистических данных по отдельной нозологии. По данным ряда авторов, при ПМЗО кожи сочетание БКР с меланомой встречается в 6,72–40,9% случаев [16, 17]. Представленная неутешительная статистика ПМЗО у пациентов требует пристального внимания не только врачей-дерматовенерологов, но и врачей, работающих в первичном звене здравоохранения, терапевтов, неврологов. В рамках Указа Президента РФ от 21.07.2020 № 474 «О национальных целях развития Российской Федерации на период до 2030 года» реализуется национальный проект «Здравоохранение». Приоритетными задачами проекта являются снижение смертности населения от всех причин до 11,5 случая на 1000 человек населения к 2030 г. и повышение ожидаемой продолжительности жизни до 78 лет. Реализовать поставленную задачу должен помочь в том числе федеральный проект «Борьба с онкологическими заболеваниями». Однако в 2021 г. по сравнению с 2020 г. в РФ отмечен рост показателя общей смертности на 14,4% — до 16,7 случая на 1000 человек населения (в 2020 г. — 14,6 случая на 1000 человек населения), число умерших составило 2441,6 тысячи человек и увеличилось на 303 тысячи человек [18]. Для снижения смертности пациентов необходимо усилить меры по выявлению злокачественных опухолей кожи, в первую очередь МК, на I–II стадиях и своевременной маршрутизации пациентов в онкологические учреждения.
Описание случая
Пациентка С., 52 года, поступила 24.08.2022 в ФГБУ «ФЦМН» ФМБА России с жалобами на периодическое головокружение, головные боли диффузного давящего характера, общую слабость, эпизоды нарушения речи в течение последних трех месяцев. На коже волосистой части головы беспокоит образование, которое периодически кровоточит при травматизации.
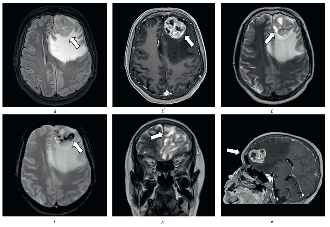
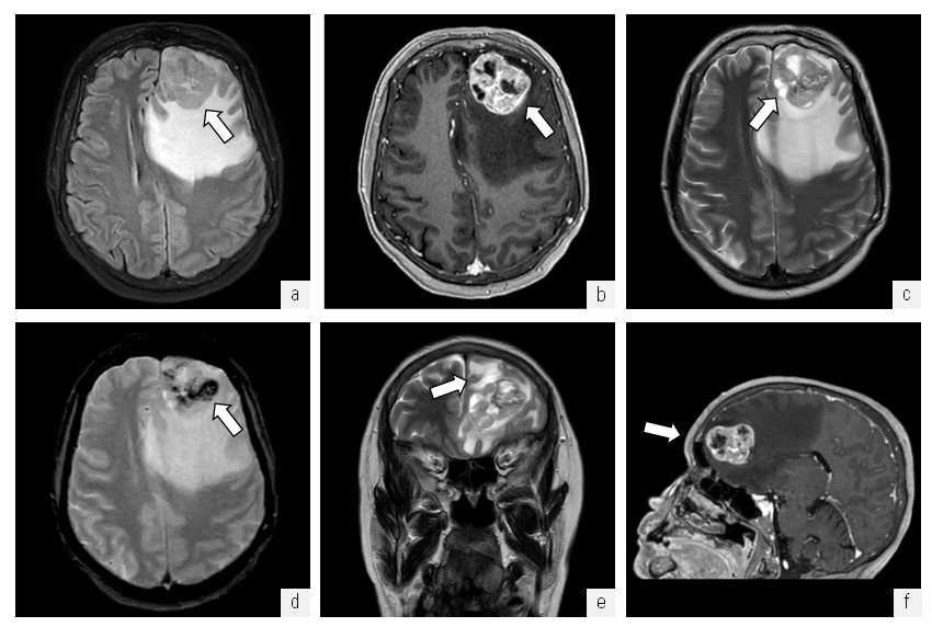
Anamnesis morbi: со слов пациентки, в мае 2019 г. заметила новообразование на коже лба, которое никак не беспокоило. В последние два года при расчесывании стала замечать образование на коже волосистой части головы, которое периодически кровоточило. В начале 2022 г. стала испытывать головную боль диффузного давящего характера, в августе 2022 г. по результатам проведения МРТ ГМ выявлено объемное образование левой лобной доли, интенсивно накапливающее контраст с наличием масс-эффекта на передние рога боковых желудочков, с зоной массивного перифокального отека (рис. 2).
Рис. 2. МРТ головного мозга. Объемное образование левой лобной области: a — МРТ в режиме FLAIR в аксиальной проекции, определяется объемное образование гетерогенно-гиперинтенсивной структуры с неровными контурами (стрелка) и выраженным перифокальным отеком, срединные структуры и боковые желудочки деформированы, смещены; б — МРТ в режиме T1 ISO с контрастным усилением в аксиальной проекции, отмечается активное неоднородное накопление контрастного препарата в структуре опухоли (стрелка); в — МРТ в режиме Т2 в аксиальной проекции, отмечаются жидкостные (некротические?) включения в структуре объемного образования (стрелка); г — МРТ в режиме Т2GRE* в аксиальной проекции, определяются включения отложений продуктов биодеградации гемосидерина в структуре объемного образования (стрелка); д — МРТ в режиме Т2 в корональной проекции, отмечается распространенная зона вазогенного отека вещества головного мозга (стрелка); е — МРТ в режиме T1 ISO с контрастным усилением в сагиттальной проекции (стрелка)
Fig. 2. MRI of the brain. Volumetric formation of the left frontal area; a — MRI in FLAIR mode in axial projection, the volumetric formation of a heterogeneous hyperintensive structure with uneven contours (arrow) and pronounced perifocal edema is determined, the median structures and lateral ventricles are deformed, displaced; б — MRI in T1 ISO mode with contrast enhancement in axial projection, there is an active heterogeneous accumulation of contrast agent in the tumor structure (arrow); в — MRI in T2 mode in axial projection, liquid (necrotic?) inclusions in the structure of volumetric education (arrow); г — MRI in the T2GRE* mode in the axial projection, inclusions of deposits of hemosiderin biodegradation products in the structure of volumetric formation are determined (arrow); д — MRI in the T2 mode in the coronal projection, there is a common area of vasogenic edema of the brain substance (arrow); е — MRI in T1 ISO mode with contrast enhancement in sagittal projection (arrow)
Пациентка проконсультирована нейрохирургом, рекомендовано удаление предположительно доброкачественной опухоли с последующей гистологической верификацией диагноза.
Anamnesis vitae: росла и развивалась нормально. Наличие у родственников кожных заболеваний: у родной тети диагностирована меланома кожи десять лет назад с летальным исходом. Оперирована по поводу нарушения оттока мочи в детстве. Избыточную инсоляцию отрицает. Перенесенные заболевания: ОРВИ, ветряная оспа. Аллергологический анамнез не отягощен. Хронический пиелонефрит вне обострения.
Сопутствующие заболевания: гипертоническая болезнь II ст., контролируемая артериальная гипертензия, риск развития ССО 3. Целевой уровень АД менее 135/85 мм рт. ст. ХБП С2 СКФ (по формуле CKD-EPI): 81 мл/мин/1,73 м2. Хронический пиелонефрит вне обострения. Полип цервикального канала.
Status praesens: состояние удовлетворительное. Кожный покров и видимые слизистые нормальной окраски. Неврологический статус: сознание ясное, ШКГ — 15 баллов. Ориентирована во всех сферах адекватно. Менингеальной симптоматики нет. Зрение снижено вдаль, миопия.
Status localis: на коже волосистой части головы в лобной области образование размером 10 × 18 мм в диаметре, телесного цвета, края валикообразно приподняты, в центре изъязвление. На коже лба слева над бровью образование кожи размером 7,9 × 9 мм в диаметре, телесного цвета, края валикообразно приподняты. Регионарные лимфатические узлы не пальпируются.
Результаты физикального, лабораторного и инструментального исследования
Результаты лабораторных и инструментальных исследований, проведенных пациентке до операции, представлены в табл. 1.
Таблица 1. Результаты лабораторных и инструментальных исследований до операции
Table 1. Results of laboratory and instrumental researches before surgery
Лабораторные и инструментальные исследования | Результаты |
МРТ головного мозга 15.08.2022 | В левой лобной доле определяется дополнительное образование неправильной бугристой формы размерами 4,1 × 3,7 × 2,9 см с наличием масс-эффекта на передние рога боковых желудочков; кистозной геморрагической структурой, зоной массивного перифокального отека; после внутривенного контрастирования отмечается неоднородное накопление парамагнетика |
Рентген ОГК 20.08.2022 | Без очаговых и инфильтративных изменений |
ЭКГ 20.08.2022 | Миграция водителя ритма от синусового узла к предсердиям с ЧСС 77 уд/мин; вертикальное положение ЭОС; диффузные изменения миокарда, более выраженные в нижне-боковой стенке |
УЗИ вен нижних конечностей 20.08.2022 | Без признаков тромбоза; проходимость глубоких и поверхностных вен нижних конечностей сохранена |
Клинический (общий) анализ крови 20.08.2022 | Гемоглобин — 156 г/л; лейкоциты — 9,84*109/л; эритроциты — 5,22*10^12/л; тромбоциты — 338*10^19/л; СОЭ — 12 мм/ч |
Биохимический анализ крови 20.08.2022 | АЛТ — 17,2 Ед/л; АСТ — 12,5 Ед/л; креатинин — 74,0 мкмоль/л; мочевина — 5,0 ммоль/л; общий белок — 82,4 г/л |
Клинический анализ мочи 20.08.2022 | pH — 7; плотность — 1,010; белок — не обнаружен; глюкоза — не обнаружена; лейкоциты: 1–2 в п/зр.; эпителий плоский — 1–2 в п/зр. |
Коагулограмма 20.08.2022 | АЧТВ — 31,7 сек; протромбин по Квику — 97%; МНО — 1,04; фибриноген — 3,95 г/л |
Анализ крови на HIV, HBSAg, RW 20.08.2022 | Отрицательно |
ПЦР SARS-CoV-2 24.08.2022 | Отрицательно |
Консультация офтальмолога 24.08.2022 | Астигматизм сложный миопический OU, миопия высокой степени OD и средней степени OS, амблиопия вследствие анопсии OD |
Диагноз клинический предварительный: образование левой лобной доли ГМ. Множественные образования кожи волосистой части головы и лба.
План лечения: подготовка к микрохирургическому удалению опухоли ГМ.
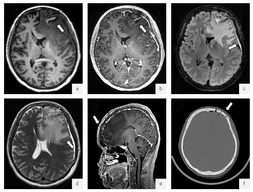
Операция 25.08.2022: микрохирургическое удаление опухоли левой лобной доли с применением нейрофизиологического мониторинга. Удаление образования кожи волосистой части головы в лобной области. Весь удаленный материал отправлен на прижизненное патологоанатомическое исследование. Состояние пациентки после операции стабильное. По контролю МРТ ГМ состояние после костно-пластической трепанации черепа в левой лобной области по поводу оперативного удаления опухоли левой лобной доли с признаками выраженного вазогенного отека в левых лобной и островковой долях с распространением на мозолистое тело и формированием участка гипоперфузии латерально от полости. Дислокация срединных структур вправо до 0,5 см. Вклинение левой поясной извилины под фалькс. Хроническая субдуральная гематома слева. Пневмоцефалия (рис. 3).
Рис. 3. МРТ и КТ головного мозга. Опухоль левой лобной доли, состояние после хирургического удаления опухоли: a — МРТ в режиме IR-FSPGR в аксиальной проекции, отмечается постоперационная полость (стрелка), выполненная ликворным и геморрагическим содержимым; б — МРТ в режиме IR-FSPGR с контрастным усилением в аксиальной проекции, отмечается умеренное, неравномерное накопление контрастного препарата по периферии послеоперационной полости (стрелка); в — МРТ в режиме Т2-FLAIR в аксиальной проекции, субдурально определяется серповидный участок повышенного относительно ликвора МР-сигнала толщиной до 0,7 см; г — МРТ в режиме Т2 в аксиальной проекции, отмечается распространенная зона вазогенного отека вещества головного мозга левого полушария с признаками дислокации срединных структур и боковых желудочков; д — МРТ в режиме IR-FSPGR с контрастным усилением в сагиттальной проекции; е — КТ головного мозга, костный режим, определяется зона оперативного доступа (стрелка), костный лоскут располагается ровно
Fig. 3. MRI and CT of the brain. Tumor of the left frontal lobe, a condition after surgical removal of the tumor: a — MRI in IR-FSPGR mode in axial projection, there is a postoperative cavity (arrow) made with cerebrospinal fluid and hemorrhagic contents; б — MRI in the IR-FSPGR mode with contrast enhancement in the axial projection, there is a moderate, uneven accumulation of contrast agent along the periphery of the postoperative cavity (arrow); в — MRI in T2-FLAIR mode in axial projection, subdurally determined sickle-shaped area of increased relative to the cerebrospinal fluid MR signal thickness up to 0.7 cm; г — MRI in T2 mode in axial projection, there is a common area of vasogenic edema of the brain substance of the left hemisphere with signs of dislocation of median structures and lateral ventricles; д — MRI in IR-FSPGR mode with contrast enhancement in sagittal projection; е — CT of the brain, bone mode, the zone of operative access is determined (arrow) the bone flap is located exactly
Прижизненное патологоанатомическое исследование
Операционный материал в виде удаленных фрагментов образования ГМ и кожи помещался в забуференный нейтральный 10% формалин для фиксации и после стандартной гистологической проводки был залит в парафиновые блоки. Гистологические срезы толщиной 3–4 мкм были изготовлены с использованием ротационных микротомов CUT4260 (Германия), окрашены гематоксилином и эозином. Иммуногистохимическое исследование (ИГХ) антител к панцитокератину (PanCK), CK7, CK20, Ki67, p53, GFAP, S100, HMB45 проводилось с помощью иммуностейнера Ventana UltraBenchmark (Германия), перечень использованных маркеров представлен в табл. 2.
Таблица 2. Иммуногистохимические маркеры, применявшиеся в исследовании
Table 2. Immunohistochemical markers used in the study
Рисунок 5 | Наименование | Клон | Разведение | Фирма-производитель |
а | CK7 | OV-TL 12/30 моноклон. | Ready to use | Roche, Германия |
б | CK20 | CONFIRM anti-Cytokeratin 20 (SP33) моноклон. | Ready to use | Roche, Германия |
в | Ki-67 | CONFIRM anti-Ki-67 (30-9) моноклон. | Ready to use | Roche, Германия |
г | Панцитокератин (PanCK) | anti-Pan Keratin (AE1/AE3/PCK26) моноклон. | Ready to use | Roche, Германия |
д | GFAP | Glial Fibrillary Acidic Protein (GFAP) (EP672Y) моноклон. | Ready to use | Roche, Германия |
е | S100 | CONFIRM anti-S100 (Polyclonal) | Ready to use | Roche, Германия |
ж | HMB45 | CONFIRM anti-Melanosome (HMB45) моноклон. | Ready to use | Roche, Германия |
з | p53 | D0-7 моноклон. | Ready to use | Roche, Германия |
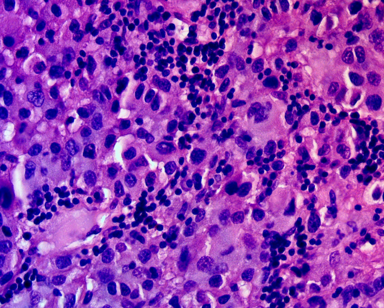
Макроскопическое описание удаленного операционного биоматериала образования ГМ: фрагменты ткани белого цвета, дряблой консистенции, размерами по 25 × 10 мм. Микроскопическое описание: фрагменты ткани ГМ с инвазивным ростом образования, построенного из атипичных полиморфных клеток с эозинофильной цитоплазмой, четкой клеточной стенкой, формирующей солидные поля. Отмечаются участки некрозов, очаговая нейтрофильная и лимфоплазмоцитарная инфильтрации (рис. 4). Материал направлен на ИГХ.
Рис. 4. Гистологический препарат метастаза меланомы с воспалительной инфильтрацией. Окраска гематоксилином и эозином, ×400
Fig. 4. Histological preparation of melanoma metastasis with inflammatory infiltration. Staining with hematoxylin and eosin, ×400
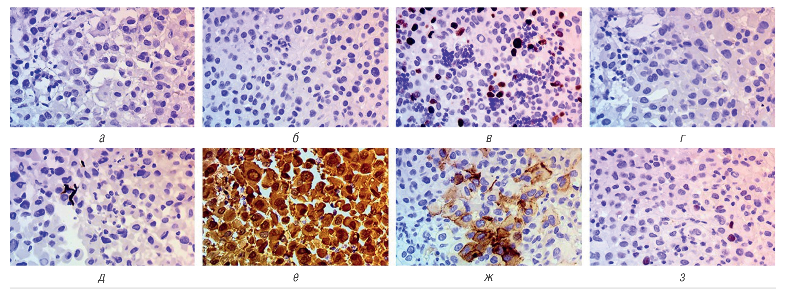
При проведении ИГХ отмечается диффузная цитоплазматическая экспрессия S100, Ki67 — до 15%, очаговая экспрессия HMB45, ядерная экспрессия p53 в единичных клетках, отсутствует экспрессия CK7, CK20, GFAP, PanCK в клетках опухоли (рис. 5).
Рис. 5. ИГХ: a — ИГХ с антителом к СК7: экспрессии не обнаружено, ×400; б — ИГХ с антителом к СК20: экспрессии не обнаружено, ×400; в — ИГХ с антителом к Ki67: индекс мечения составил 15%, ×400; г — ИГХ с антителом к панцитокератину (PanCK): экспрессии не обнаружено, ×400; д — ИГХ с антителом к GFAP: экспрессии не обнаружено, ×400; е — ИГХ с антителом к S100: отмечается диффузная цитоплазматическая экспрессия в клетках опухоли, ×400; ж — ИГХ с антителом к HMB45: отмечается очаговая экспрессия HMB-45 опухолевыми клетками, ×400; з — ИГХ с антителом к р53: слабо выраженная ядерная экспрессия в единичных опухолевых клетках, ×400
Fig. 5. Immunohistochemical study: a — Immunohistochemical study with an antibody to SK7: no expression i was detected, ×400; б — Immunohistochemical study with an antibody to SK20: no expression was detected, ×400; в — Immunohistochemical study with an antibody to Ki67: the tagging index was 15%, ×400; г — Immunohistochemical study with an antibody to Pancytokeratin (PanCK): no expression was detected, ×400; д — Immunohistochemical study with an antibody to GFAP: no expression was detected in tumor cells, ×400; е — Immunohistochemical study with an antibody to S100: diffuse cytoplasmic expression was noted, ×400; ж — Immunohistochemical study with an antibody to HMB45: focal expression of HMB-45 by tumor cells, ×400; з — Immunohistochemical a study with an antibody to p53: weakly expressed nuclear expression in single tumor cells, ×400
Патоморфологическое заключение: гистоморфологическая картина метастаза беспигментной эпителиоидной меланомы в ГМ.
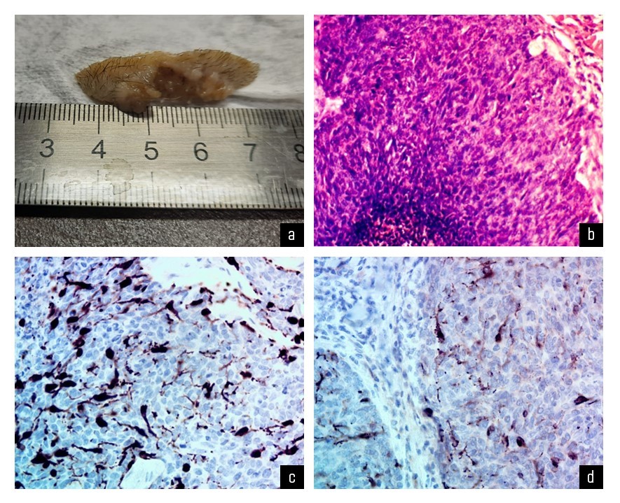
Макроскопическое описание удаленного операционного биоматериала образования кожи: кожный лоскут размерами 37 × 30 мм, серо-розового цвета, с наличием в центре участка изъязвления неправильной формы, размерами 10 × 18 мм, частично покрытого белесоватым струпом. На разрезе в области изъязвления слои кожи нарушены, представлены плотной белесоватой тканью глубиной до 1,5 мм. Микроскопическое описание: фрагменты кожи с субэпителиальным ростом образования, построенного из атипичных базалоидных клеток, формирующих преимущественно солидные поля и нодулярные структуры, с участками «стекания» с реактивно измененного эпидермиса, с поверхностными изъязвлениями, скоплениями на поверхности фибрина и нейтрофильных лейкоцитов. Образование удалено в пределах здоровых тканей, края резекции интактные. Для исключения возможной смешанной опухоли материал направлен на ИГХ (риc. 6).
Рис. 6. a — Макроскопическое изображение удаленного образования кожи; б — Базальноклеточная карцинома, гистологический препарат, окраска гематоксилином и эозином, ×200; в — ИГХ с антителом к S100: отмечается диффузная цитоплазматическая экспрессия в резидуальных активированных меланоцитах, ×400; г — ИГХ с антителом к HMB45: отмечается диффузная экспрессия HMB45 в резидуальных активированных меланоцитах, ×400
Fig. 6. a — Macroscopic image of the removed skin formation; б — Basal cell carcinoma, histological preparation, hematoxylin and eosin staining, ×200; в — Immunohistochemical study with an antibody to S100: diffuse cytoplasmic expression in residual activated melanocytes is noted, ×400; г — Immunohistochemical study with an antibody to HMB45: diffuse expression of HMB45 in residual activated melanocytes is noted, ×400
Гистологическое заключение образования кожи волосистой части головы: базальноклеточная карцинома ICD-О-3 8090/3 сТ1(m).
Заключительный диагноз при выписке из нейрохирургического отделения:
Основное заболевание: С79.3 Метастаз меланомы в левую лобную долю. Шкала Карновского 90 баллов. Базальноклеточная карцинома волосистой части головы.
Сопутствующие заболевания: без изменений (см. выше).
Выписывается в удовлетворительном состоянии под наблюдение специалистов по месту жительства.
Консультация врача-дерматовенеролога, сотрудника кафедры дерматовенерологии имени академика Ю. К. Скрипкина ЛФ 31.08.2022.
С целью выявления первичного очага меланомы пациентке было проведено картирование кожного покрова на программно-аппаратном комплексе FotoFinder body studio (Германия) с последующей оценкой злокачественности дерматоскопических изображений искусственным интеллектом (ИИ). Оценка проводилась по шкале в диапазоне значений от 0,0 до 1,0, где цифры в диапазоне от 0,0 до 0,2 означают неподозрительные образования кожи, от 0,21 до 0,49 — сомнительные, а от 0,5 до 1,0 — подозрительные. Всего на теле пациентки было обнаружено и исследовано 92 образования кожи. ИИ определил образование кожи № 1 на лице слева в области виска как подозрительное со значением 0,8 (рис. 7).
Рис. 7. Макроснимок пациентки при картировании кожи в боковой проекции слева: a — красным квадратом [01] со стрелкой обозначено подозрительное образование кожи № 1 на лице слева в области виска; б — оценка злокачественности образования кожи № 1 ИИ равна 0,8; в — макроснимок подозрительного образования кожи № 1; г — дерматоскопическое изображение подозрительного образования кожи № 1: обнаружены извитые древовидные сосуды, в центре образования изъязвление, границы нечеткие, края приподняты
Fig. 7. A macro photograph of the patient when mapping the skin in the lateral projection on the left: a — a red square [01] with an arrow indicates a suspicious skin formation No. 1 on the left side of the face in the temple area; б — assessment of the malignancy of skin formation No. 1 by artificial intelligence is 0.8; в — macro-image of suspicious skin formation No. 1; г — dermatoscopic image of suspicious skin formation No. 1: convoluted tree-like vessels were found, ulceration in the center of the formation, the borders are fuzzy, the edges are raised
При прицельном дерматоскопическом исследовании образования № 1 обнаружены извитые древовидные сосуды, в центре образования изъязвление, границы нечеткие, края приподняты. Дерматоскопическая картина образования № 1 соответствует БКР кожи. Образование на коже правой руки № 21 ИИ оценил как сомнительное (рис. 8). Пациентка сообщила, что в 2019 г. с данного образования брали материал для цитологического исследования, по результатам которого обнаружили клетки, подозрительные к меланоме. Врач-дерматовенеролог по месту жительства рекомендовал иссечение образования, однако по семейным обстоятельствам пациентка не явилась на процедуру, в дальнейшем образование ее никак не беспокоило, стало регрессировать, пациентка к врачам больше не обращалась. Прицельное дерматоскопическое исследование однозначного ответа не дало: образование представлено бесструктурным пятном светло-коричневого цвета с небольшим разряжением пигмента и регрессом в центре, симметрично по двум осям, границы размыты.
Рис. 8. Макроснимок пациентки при картировании кожи в боковой проекции справа: a — красным квадратом (маркером) [21] со стрелкой обозначено образование кожи правой руки № 21; б — оценка злокачественности образования кожи № 21 искусственным интеллектом равна 0,31 (сомнительное образование); в — макроснимок образования кожи № 21; г — дерматоскопическое изображение образования кожи № 21: бесструктурное пятно светло-коричневого цвета с небольшим разряжением пигмента и регрессом в центре, симметричное по двум осям, с размытостью границ
Fig. 8. A macro photograph of the patient when mapping the skin in the lateral projection on the right: a — a red square (marker) [21] with an arrow indicates the formation of the skin of the right hand No. 21; б — the assessment of the malignancy of skin formation No. 21 by artificial intelligence is 0.31 (questionable education); в — is a macro-image of skin formation No. 21; г — is a dermatoscopic image of skin formation No. 21: a structureless spot of light brown color with a slight discharge of pigment and regression in the center, symmetrical along two axes, with blurred borders
Заключение врача-дерматовенеролога: достоверно определить первичный очаг меланомы на коже методом картирования кожного покрова не удалось. Дерматоскопическая картина подозрительного образования № 1 на коже лица слева над бровью соответствует БКР. Дерматоскопическая картина сомнительного образования № 21 на коже правой руки наиболее вероятно соответствует МК в стадии регресса. Пациентка направлена к онкологу для решения вопроса о тактике дальнейшего обследования и лечения.
Консультация онколога 07.09.2022: назначены лабораторные и инструментальные исследования для определения дальнейшей тактики лечения.
Консультация онколога 09.11.2022.
Результаты лабораторных и инструментальных исследований представлены в табл. 3.
Таблица 3. Результаты лабораторных и инструментальных исследований пациентки после консультации онколога
Table 3. Results of laboratory and instrumental examinations of the patient after consultation with an oncologist
Лабораторные и инструментальные исследования | Результаты |
Заключение ПЭТ-КТ 03.10.2022 | Гипоплотная аметаболичная зона лобной доли слева (состояние после хирургического лечения); образования с гиперфиксацией РФП правой доли щитовидной железы неясного генеза; гепатомегалия, жировая инфильтрация печени; жидкостное образование селезенки (рис. 9) |
Молекулярно-генетическое исследование с парафинового блока № 1381/22-1 препарата опухоли головного мозга 05.10.2022 | Мутация c.1798_1799delGTinsAA(V600K) гена BRAF не обнаружена; мутация c.1798_1799delGTinsAG(V600R) гена BRAF не обнаружена; в экзоне 15 гена BRAF выявлена соматическая мутация p.V600Е (c.1799T>A, rs113488022), зарегистрированная в международной базе данных COSMIC (ID COSM475) как патогенный клинически значимый вариант (методы: ПЦР в реальном времени и прямое секвенирование по Сэнгеру (Insider Full RAS), НОМОТЕК (РУ РЗН 2021/14479); CFХ-96, БиоРад; ABI 3500 Genetic Analyzer, Applied Biosystems); в экзонах 9, 11, 13 и 17 гена KIT соматических мутаций не выявлено (методы: ПЦР (GenAmp PCRSystem 9700, Applied Biosystems), секвенирование (AB 3500 Genetic Analyzer, Applied Biosystems)) |
Определение уровня опухолевого маркера S100 в венозной крови 06.10.2022 | Результат 0,054 нг/мл (референсный интервал 0,005–0,105 нг/мл) |
Ультразвуковое исследование щитовидной железы чрескожное 10.10.2022 | Щитовидная железа: положение типичное, сохранена в размерах; правая доля — множество узловых образований от 6 мм до 16*8 мм (узлы неоднородные с коллоидным компонентом с неравномерной васкуляризацией); рядом подкапсульный изоэхогенный узел 17*8 мм с четкими контурами, неравномерной васкуляризацией; левая доля — множество узловых образований, макс. узел в н/полюсе 26*12 мм с четкими контурами с мелкокистозным компонентом; мелкие гипоэхогенные узлы до 7 мм; все узлы с четкими контурами; в месте перехода правой доли в перешеек узел с мелкокистозным компонентом 12*8 мм; в проекции перешейка узлы до 7–8 мм; регионарные л/узлы без особенностей заключение: многоузловой зоб |
Цитологическое исследование пунктата узлов щитовидной железы (6 препаратов) окраска по Паппенгейму от 11.10.2022 | 1, 3 — коллоидно-клеточный узел с кистозными изменениями (по системе Bethesda, 2017 — II категория); 2 — на фоне слабовыраженной лимфоидной инфильтрации цитограмма пролиферации B-клеток (по системе Bethesda, 2017 — II категория) |
Соскоб на онкоцитологию от 20.10.2022 | Образование № 1 — цитограмма соответствует базальноклеточному раку кожи; образование № 21 — элементы крови и небольшие скопления чешуек плоского эпителия |
Заключение онколога: ПМЗО: 1. Метастаз меланомы кожи без ВПО в ГМ. T0N0M1d, IV стадия. 25.08.2022 микрохирургическое удаление опухоли левой лобной доли с применением нейрофизиологического мониторинга; в процессе иммунотерапии пембролизумаб. 2. Рак кожи волосистой части головы. T1N0M0, I стадия. Состояние после хирургического лечения от 25.08.2022.
К настоящему времени пациентке проведено лечение по схеме sh0876 1 линия 1 курс пембролизумаб 400 мг в/в, цикл 42 дня.
Рис. 9. a — карта МР-перфузии CBV: отмечается обширная зона гипоперфузии в зоне удаленной опухоли и снижение показателей в зоне отека; б — ПЭТ изображение в аксиальной проекции с 18F-ФДГ: данные коррелируют с МР-перфузией; в — на ПЭТ изображении всего тела 18F-ФДГ выявляется очаг повышенной аккумуляции радиофармацевтического препарата в проекции правой доли щитовидной железы
Fig. 9. a — map of CBV MR perfusion shows an extensive hypoperfusion zone in the area of the removed tumor and a decrease in indicators in the area of edema; б — PET image in axial projection with 18F-FDG data correlate with MR perfusion; в — PET image of the entire body of 18F-FDG reveals a focus of increased accumulation of radiopharmaceutical drug in the projection of the right lobe of the thyroid gland
Обсуждение
Наличие у пациентки С. подозрительных образований на коже волосистой части головы и лба в сочетании с объемным образованием ГМ, а также наличие МК в семейном анамнезе стали сигналом для проведения диагностического поиска на предмет выявления меланомы, метастазы которой занимают третье место по частоте поражения ГМ среди солидных опухолей [9, 19]. При МР-динамическом контрастировании различия при количественной оценке тканевой перфузии меланом и глиальных опухолей незначительны [20]. Пациентка была направлена в ФГБУ «ФЦМН» ФМБА России с образованием ГМ, которое изначально расценивалось как доброкачественное, что говорит о недостаточной точности неинвазивных методов диагностики патологии ГМ [8]. Полученные результаты патоморфологического исследования подтвердили предположение о наличии у пациентки метастатической меланомы. При исследовании препаратов удаленного образования ГМ была установлена типичная картина метастаза: клетки эпителиоидного вида, глиальная или нейтральная дифференцировка отсутствует, клетки формируют солидные поля и тяжи, при проведении ИГХ выявлена положительная экспрессия меланоцитарных маркеров S100 и HMB45. Однако наличие первичного очага меланомы на коже волосистой части головы было исключено. При гистологическом исследовании удаленного образования кожи были выявлены типичные участки разрастания и «стекания» из базального слоя эпидермиса атипичных клеток базалоидного типа с формированием преимущественно солидных нодулярных образований в дерме. Для исключения смешанной опухоли — коллизии МК и БКР, было проведено ИГХ с меланоцитарными маркерами и были выявлены активированные меланоциты в толще базальноклеточной карциномы, атипичных меланоцитов обнаружено не было. БКР в основном возникает на участках кожи, подверженных избыточной инсоляции, и представляет собой медленно растущую и редко метастазирующую опухоль [21]. Точную давность возникновения БКР на коже волосистой части головы у пациентки С. установить сложно, образование на коже лба пациентка заметила приблизительно три года назад. Hyunje G. Cho и соавт. предположили, что множественный БКР кожи является клиническим маркером наследственной предрасположенности к раку, в том числе к инвазивной меланоме [22]. Одновременное появление множественных очагов БКР требует дальнейшего изучения на предмет наличия у пациентов дефектов зародышевой линии в генах репарации ДНК, что приводит к повышенной предрасположенности к внутренним злокачественным образованиям. Описания пациентов с несколькими опухолями различной локализации начали появляться в научной литературе еще несколько столетий назад. Клинико-морфологические критерии первичной множественности злокачественных опухолей впервые были предложены Т. Billroth в 1889 г. [23]. Критерии постановки диагноза множественных злокачественных опухолей были сформулированы S. Warren и O. Gates в 1932 г. [24]:
1) злокачественный характер каждой опухоли должен быть подтвержден морфологически;
2) опухоли должны быть расположены раздельно;
3) возможность того, что вторая опухоль является метастазом первой, должна быть исключена.
При картировании кожи у пациентки был обнаружен второй очаг БКР на коже лица слева над бровью, однако достоверно определить первичный очаг меланомы не удалось. Дальнейший диагностический поиск был направлен на обнаружение возможного первичного очага меланомы с помощью позитронно-эмиссионной томографии (ПЭТ-КТ) в режиме «все тело», первичный очаг также не был найден. По данным литературы, пациенты с метастазами меланомы без выявленного первичного очага составляют примерно от 1 до 8% всех случаев меланом и до 12,6% всех случаев метастазов злокачественных опухолей без первичного очага [25, 26]. Механизмы, лежащие в основе развития и прогрессирования меланомы без выявленного первичного очага, до конца не выяснены. В научном сообществе обсуждаются две гипотезы. Первая гипотеза предполагает, что первичный сайт генерирует клональную пролиферацию стационарных и подвижных клеток. Первичный очаг подвергается регрессу или процессу покоя под влиянием иммунного надзора, в то время как подвижные клетки вызывают метастатическую диссеминацию. Вторая гипотеза предполагает, что эктопические меланоциты, расположенные в лимфатических узлах, могут подвергаться злокачественной трансформации, приводящей к метастатической меланоме в отсутствие идентифицируемой первичной опухоли. Имеются данные о том, что пациенты с меланомой без выявленного первичного очага более восприимчивы к терапии по сравнению с подтвержденной меланомой кожи, вероятно, из-за более высокой иммуногенности, что отражается в иммунологически опосредованном регрессе первичного очага [27–29]. На консультации у дерматовенеролога пациентка сообщила, что в 2019 г. с образования № 21 брали материал для цитологического исследования, по результатам которого обнаружили клетки, подозрительные на меланому. Несмотря на то что врач-дерматовенеролог в соответствии с порядком оказания медицинской помощи направил пациентку к онкологу и рекомендовал иссечение образования с обязательным гистологическим исследованием, пациентка не явилась на процедуру, в дальнейшем к врачам не обращалась, при этом ее состояние никто не контролировал, пациентке не был предложен индивидуальный график дальнейшего обследования и повторного консультирования, возможность пролечить пациентку на ранней стадии заболевания была упущена. Повторно пациентка попала в медицинское учреждение уже с развернутой неврологической симптоматикой на фоне метастазов меланомы в ГМ, что значительно ухудшило прогноз продолжительности жизни. Данный клинический случай иллюстрирует значительные пробелы в маршрутизации пациентов с подозрением на меланому. Поскольку результаты современной терапии меланомы без выявленного первичного очага сопоставимы с результатами терапии подтвержденной меланомы, дальнейшие попытки обнаружить первичный очаг были прекращены по согласованию с онкологом [30]. Для выбора тактики лечения пациентке были проведены молекулярно-генетические тесты. При исследовании ДНК в экзоне 15 гена BRAF у пациентки была выявлена соматическая мутация p.V600Е (c.1799T>A, rs113488022). Наличие мутаций BRAF, cKIT и NRAS ассоциировано с повышенным риском метастатического поражения ГМ. В исследовании 2012 г. было отмечено повышение частоты возникновения церебральных метастазов меланомы у пациентов с мутациями BRAF и сKIT (24 и 23% соответственно) по сравнению с подтипом меланомы без мутаций (12%). Мутация BRAF выявляется примерно у 50% пациентов с метастатической меланомой кожи и играет важную роль в пути MAPK (RAS–RAF–МЕК–ERK) [31]. Выявление герминативных мутаций с помощью молекулярно-генетических тестов важно не только для выбора тактики лечения, но и для выявления здоровых носителей в семьях с отягощенным анамнезом по меланоме с целью пристального динамического наблюдения. За последние несколько лет было зарегистрировано большое количество наследственных и соматических генетических изменений при МК. Чаще всего герминативные мутации происходят в гене CDKN2A (22% случаев), реже — в CDK4, TERT, ACD, TERF2IP, POT1, MITF, MC1R и BAP1 [32]. Соматические мутации в основном связаны с митоген-активируемым протеинкиназным каскадом. Они классифицируются в соответствии с наиболее часто мутирующими генами на четыре основных типа: BRAF (серин/треониновая протеинкиназа B-raf), наиболее частые мутации NRAS (гомолог вирусного онкогена нейробластомы RAS), NF1 (нейрофибромин 1) и тройной дикий тип (отсутствие мутации в каждом из этих трех генов) [33]. Мутации в генах BRAF и NRAS рассматриваются как главные прогностические факторы в отношении меланомы [34]. Прогрессирующая BRAF-мутированная меланома имеет более благоприятный прогноз по выживаемости в течение первых 6 месяцев [35]. В настоящее время возможности лечения метастатической меланомы расширились за счет появления таргетных и иммуноонкологических препаратов, подтвердивших свою эффективность при метастазах в ГМ [36].
Однако для успешной реализации национального проекта «Здравоохранение» необходимо усилить раннюю диагностику с использованием алгоритмизированного подхода для активного выявления МК на ранних стадиях при массовых профилактических осмотрах, скринингах, диспансерных осмотрах, углубленных осмотрах на наличие онкологических заболеваний у лиц, находящихся на стационарном лечении по поводу других заболеваний, с последующей контрольной маршрутизацией пациентов в онкологические учреждения [37, 38]. Необходимо проводить общественно-просветительскую работу с широкими слоями населения о возможности снижения влияния потенциально опасных факторов риска для развития МК: использование солнцезащитных средств при нахождении на солнце, соблюдение временного интервала загара. J. Lopes и соавт. выделяют модифицируемые и немодифицируемые факторы риска развития МК (см. табл. 4) и обращают внимание медицинского сообщества на возможность воздействовать на модифицируемые факторы риска с целью снижения их влияния [33].
Таблица 4. Модифицируемые и немодифицируемые факторы риска возникновения меланомы кожи, адаптировано из Lopes J, Rodrigues CMP, Gaspar MM, Reis CP. Melanoma Management: From Epidemiology to Treatment and Latest Advances. Cancers. 2022;14(19):4652
Table 4. Modifiable and unmodified risk factors for skin melanoma adapted from Lopez J, Rodrigues CMP, Gaspar MM, Reis CP. Melanoma Management: From Epidemiology to Treatment and Latest Advances. Cancers. 2022;14(19):4652
Модифицируемые факторы риска возникновения меланомы кожи | Воздействие ультрафиолетового излучения (например, солнечного света или облучения в солярии) |
Наличие в анамнезе тяжелых солнечных ожогов в раннем возрасте | |
Прием лекарственных препаратов (например, псоралена или иммунодепрессивных препаратов) | |
Воздействие химических веществ (например, тяжелых металлов или пестицидов) | |
Немодифицируемые факторы риска возникновения меланомы кожи | Возраст |
Пол | |
Индивидуальные фенотипические особенности (например, светлая кожа, рыжий или светлый цвет волос, высокая плотность веснушек, светлый цвет глаз) | |
Клинические характеристики пациента (например, множественные или атипичные невусы) | |
Наличие рака кожи в личном и семейном анамнезе | |
Наличие заболеваний, нарушающих работу иммунной системы (например, гематологические злокачественные заболевания или ВИЧ) | |
Генетические альтерации | |
Специфические генетические заболевания (например, альбинизм или пигментная ксеродерма) |
Авторы считают, что модифицируемые факторы риска возникновения МК возможно и необходимо профилактировать, что является важной задачей общественного здравоохранения во всем мире [39, 40]. Наиболее значимым модифицируемым фактором риска возникновения МК J. Lopes и соавт. считают ультрафиолетовое излучение, которое, помимо прямого повреждения ДНК, способствует воспалительной реакции, стимулирует ангиогенез, пролиферацию и повышает метастатический потенциал мутировавших клеток. Несмотря на отсутствие на сегодняшний день объективных данных о целесообразности проведения скрининга МК c позиций доказательной медицины, разрабатываются методы первичной, вторичной и третичной профилактики. На основе двадцатилетнего опыта общеевропейская организация дерматологов Euromelanoma разработала первичную профилактику, направленную на поощрение изменений в поведении людей для предотвращения пагубного воздействия известных модифицируемых факторов, в основном УФ-излучения, на кожу. В качестве вторичной профилактики предложено усилить раннюю диагностику предраковых заболеваний кожи и МК на ранней стадии. Третичная профилактика включает улучшение качества жизни пациентов и направлена на выздоровление и улучшение прогноза для пациентов с МК [41]. В 2016 г. в России была создана ассоциация специалистов по проблемам меланомы «Меланома.ПРО» с целью координации деятельности специалистов, занимающихся проблемой меланомы, для повышения эффективности работы по изучению, профилактике, ранней диагностике, лечению меланомы и реабилитации пациентов [42]. На кафедре дерматовенерологии имени академика Ю.К. Скрипкина ЛФ сотрудники проводят ежегодную акцию, приуроченную ко всемирному Дню диагностики меланомы, в рамках которой проводится бесплатное консультирование всех желающих на предмет наличия МК.
Заключение
Для снижения смертности от МК необходимо активно выявлять опухоль на ранних стадиях. Образования кожи, подозрительные на злокачественные, в сочетании с опухолями других локализаций должны настораживать клиницистов на предмет наличия у пациента ПМЗО. В соответствии с клиническими рекомендациями, порядками и стандартами оказания медицинской помощи данную группу пациентов следует своевременно маршрутизировать для проведения скорейшей тщательной диагностики и лечения.
About the authors
Tatiana A. Gaydina
N.I. Pirogov Russian National Research Medical University; Federal Center of Brain Research and Neurotechnologies of FMBA of Russia
Email: doc429@yandex.ru
ORCID iD: 0000-0001-8485-3294
SPIN-code: 5216-2059
MD, Cand. Sci. (Med.), Assistant Professor
Россия, 1 Ostrovityanova street, 117997 Moscow; 1/10 Ostrovityanova street, 117997 MoscowAnton S. Dvornikov
N.I. Pirogov Russian National Research Medical University
Email: dvornikov_as@rsmu.ru
ORCID iD: 0000-0002-0429-3117
SPIN-code: 2023-5783
MD, Dr. Sci. (Med.), Professor
Россия, 1 Ostrovityanova street, 117997 MoscowOlga I. Patsap
Federal Center of Brain Research and Neurotechnologies of FMBA of Russia
Email: cleosnake@yandex.ru
ORCID iD: 0000-0003-4620-3922
SPIN-code: 6460-1758
MD, Cand. Sci. (Med.)
Россия, 1/10 Ostrovityanova street, 117997 MoscowRaisa T. Tairova
N.I. Pirogov Russian National Research Medical University; Federal Center of Brain Research and Neurotechnologies of FMBA of Russia
Email: info@fccps.ru
ORCID iD: 0000-0002-4174-7114
MD, Cand. Sci. (Med.)
Россия, 1 Ostrovityanova street, 117997 Moscow ;1/10 Ostrovityanova street, 117997 MoscowDmitriy A. Lange
N.I. Pirogov Russian National Research Medical University
Author for correspondence.
Email: dlange@mail.ru
ORCID iD: 0000-0003-2083-9359
SPIN-code: 8318-2352
ассистент кафедры дерматовенерологии
Россия, 1 Ostrovityanova street, 117997 MoscowReferences
- Меланома кожи и слизистых оболочек. Клинические рекомендации. Ассоциация онкологов России, Ассоциация специалистов по проблемам меланомы, Российское общество клинической онкологии. М., 2019. [Melanoma kozhi i slizistyh obolochek. Klinicheskie rekomendacii. (Melanoma of the skin and mucous membranes. Clinical recommendations.) Association of oncologists of Russia, Association of specialists in melanoma problems, Russian society of clinical oncology. Moscow; 2019. (In Russ.)] https://oncology-association.ru/wp-content/uploads/2021/06/melanoma-kozhi-i-slizistyh-obolochek.pdf (28 January 2023)
- Naik PP. Cutaneous Malignant Melanoma: A Review of Early Diagnosis and Management. World J Oncol. 2021;12(1):7–19. doi: 10.14740/wjon1349
- Kosary CL, Altekruse SF, Ruhl J, Lee R, Dickie L. Clinical and prognostic factors for melanoma of the skin using SEER registries: collaborative stage data collection system, version 1 and version 2. Cancer. 2014;120(23):3807–3814. doi: 10.1002/cncr.29050
- Каприн А.Д., Старинский В.В., Шахзадова А.О. Злокачественные новообразования в России в 2021 году (заболеваемость и смертность). М.: МНИОИ им. П.А. Герцена — филиал ФГБУ «НМИЦ радиологии» Минздрава России, 2022. 252 c. [Kaprin AD, Starinskij VV, Shakhzadova AO. Zlokachestvennye novoobrazovanija v Rossii v 2021 godu (zabolevaemost' i smertnost'). (Malignant neoplasms in Russia in 2021 (morbidity and mortality).) Moscow: P.A. Herzen MROI — branch of the FSBOI “NMR Radiological Centre” of the Ministry of health of the Russian Federation; 2022. 252 p. (In Russ.)] ISBN 978-5-85502-280-3
- Каприн А.Д., Старинский В.В., Шахзадова А.О. Состояние онкологической помощи населению России в 2021 году. М.: МНИОИ им. П.А. Герцена — филиал ФГБУ «НМИЦ радиологии» Минздрава России, 2022. 239 c. [Kaprin AD, Starinskij VV, Shakhzadova AO. Sostojanie onkologicheskoj pomoshhi naseleniju Rossii v 2021 godu. (State of cancer care to the population of Russia in 2021.) Moscow: P.A. Herzen MROI — branch of the FSBOI “NMR Radiological Centre” of the Ministry of health of the Russian Federation; 2022. 239 p. (In Russ.)] ISBN 978-5-85502-275-9
- Эркенова Ф.Д., Пузин С.Н. Статистика меланомы в России и странах Европы. Медико-социальная экспертиза и реабилитация. 2020;23(1):44–52 [Jerkenova FD, Puzin SN. Statistics of melanoma in Russia and Europe. Mediko-social'naja jekspertiza i reabilitacija. 2020;23(1):44–52. (In Russ.)] doi: 10.17816/MSER34259
- Еремина Е.Н., Караханян А.Р., Вахрунин Д.А., Титов К.С., Зуков Р.А. Молекулярно-генетические маркеры пигментной меланомы кожи (обзор литературы). Сибирское медицинское обозрение. 2020;(3):38–46 [Eremina EN, Каrаkhanjan AR, Vаkhrunin DA, Titov KS, Zukov RA. Molecular genetic markers of pigmented skin melanoma (literature review). Sibirskoe medicinskoe obozrenie. 2020;(3):38–46. (In Russ.)] doi: 10.20333/2500136-2020-3-38-46
- Карахан В.Б., Фу Р.Г., Алешин В.А., Крат В.Б. Возможности современной нейрохирургии в лечении множественных метастазов меланомы в головной мозг. Современная онкология. 2005;7(2):62–66 [Karahan VB, Fu RG, Aleshin VA, Krat VB. The possibilities of modern neurosurgery in the treatment of multiple melanoma metastases in the brain. Sovremennaja onkologija. 2005;7(2):62–66. (In Russ.)]
- Харкевич Г.Ю., Алешин В.А., Насхлеташвили Д.Р., Орлова К.В., Трофимова О.П., Демидов Л.В. Метастазы меланомы в головном мозге: современные возможности лечения. Эффективная фармакотерапия. 2020;16(18):92–106 [Harkevich GJu, Aleshin VA, Nashletashvili DR, Orlova KV, Trofimova OP, Demidov LV. Melanoma metastases in the brain: current treatment options. Jeffektivnaja farmakoterapija. 2020;16(18):92–106. (In Russ.)] doi: 10.33978/2307–3586-2020-16-18-92-106
- Garbe C, Amaral T, Peris K, Hauschild A, Arenberger P, Basset-Seguin N, et al. European consensus-based interdisciplinary guideline for melanoma. Part 1: Diagnostics: Update 2022. Eur J Cancer. 2022;170:236–255. doi: 10.1016/j.ejca.2022.03.008
- Whiteman DC, Green AC, Olsen CM. The Growing Burden of Invasive Melanoma: Projections of Incidence Rates and Numbers of New Cases in Six Susceptible Populations through 2031. J Invest Dermatol. 2016;136(6):1161–1171. doi: 10.1016/j.jid.2016.01.035
- Saginala K, Barsouk A, Aluru JS, Rawla P, Barsouk A. Epidemiology of Melanoma. Med Sci (Basel). 2021;9(4):63. doi: 10.3390/medsci9040063
- Copur MS, Manapuram S. Multiple Primary Tumors Over a Lifetime. Oncology (Williston Park). 2019;33(7):629384.
- Мерабишвили В.М., Попов С.П., Щепин О.Ф., Юрин А.Г. Регистрация и учет больных с первично-множественными злокачественными новообразованиями. Вопросы онкологии. 2000;46(1):40–43 [Merabishvili VM, Popov SP, Shhepin OF, Jurin AG. Registration of patients with multiple primary malignant neoplasms. Voprosy onkologii. 2000;46(1):40–43. (In Russ.)]
- Огнерубов Н.А., Панова А.Ю. Первично-множественный синхронный рак кожи у мужчин. Успехи современного естествознания. 2008;(9):30–34 [Ognerubov NA, Panova AJu. Primary-multiple synchronous skin cancer in men. Uspehi sovremennogo estestvoznanija. 2008;(9):30–34. (In Russ.)]
- Малишевская Н.П., Бакуров Е.В. Первично множественные злокачественные новообразования кожи. Современные проблемы дерматовенерологии, иммунологии и врачебной косметологии. 2010;3(10):39–44 [Malishevskaja NP, Bakurov EV. Primary multiple malignant tumors of the skin. Sovremennye problemy dermatovenerologii, immunologii i vrachebnoj kosmetologii. 2010;3(10):39–44. (In Russ.)]
- Курдина М.И., Виноградова Н.Н., Ланцман Е.Д. Роль длительного наблюдения в выявлении первично-множественных опухолей у больных с радикально излеченной меланомой кожи. Вестник РОНЦ им. Н.Н. Блохина РАМН. 2009;20(1):29–35 [Kurdina MI, Vinogradova NN, Lancman ED. The role of long-term follow-up for detection of primary multiple tumors in patients undergoing curative treatment for cutaneous melanoma. Vestnik RONC im. N.N. Blohina RAMN. 2009;20(1):29–35. (In Russ.)]
- О внесении изменений в государственную программу Российской Федерации «Развитие здравоохранения»: Постановление Правительства Российской Федерации от 29.11.2022 № 2161 [O vnesenii izmenenij v gosudarstvennuju programmu Rossijskoj Federacii «Razvitie zdravoohranenija»: Postanovlenie Pravitel'stva Rossijskoj Federacii ot 29.11.2022 № 2161. (On amendments to the state program of the Russian Federation “Development of healthcare”: Decree of the Government of the Russian Federation No. 2161 of 29.11.2022.) (In Russ.)] http://static.government.ru/media/files/bRrkz5wmAczbrfognm4nwsXQP7m278aA.pdf (28 January 2023)
- Nguyen V, Aboulenain S, Mohammed S, Perez Parra S. A Case of Metastatic CNS Melanoma of Unknown Primary Presenting with Seizures. Case Rep Med. 2022;2022:3099750. doi: 10.1155/2022/3099750
- Нечипай Э.А., Долгушин М.Б., Пронин И.Н., Бекяшев А.Х., Кобякова Е.А., Фадеева Л.М. и др. Возможности МР-динамического контрастирования в дифференциальной диагностике первичных и вторичных опухолей головного мозга. Медицинская визуализация. 2015;(4):18–30 [Nechipaj JeA, Dolgushin MB, Pronin IN, Bekjashev AH, Kobjakova EA, Fadeeva LM, et al. DCE MRI in differential diagnosis of primary and secondary brain tumors. Medicinskaja vizualizacija. 2015;(4):18–30. (In Russ.)]
- McDaniel B, Badri T, Steele RB. Basal Cell Carcinoma. Treasure Island (FL): StatPearls Publishing; 2022.
- Cho HG, Kuo KY, Li S, Bailey I, Aasi S, Chang ALS, et al. Frequent basal cell cancer development is a clinical marker for inherited cancer susceptibility. JCI Insight. 2018;3(15):e122744. doi: 10.1172/jci.insight.122744
- Борисова Т.Н., Бредер В.В., Назаренко А.В., Иванов С.М., Ткачев С.И., Алексеева Т.Р. Первично-множественные злокачественные опухоли легких. Данные литературы и клиническое наблюдение. Онкологический журнал: лучевая диагностика, лучевая терапия. 2018;1(2):90–95 [Borisova TN, Breder VV, Nazarenko AV, Ivanov SM, Tkachev SI, Alekseeva TR. Multiple primary lung cancer. Literature reviews and clinical observations. Onkologicheskij zhurnal: luchevaja diagnostika, luchevaja terapija. 2018;1(2):90–95. (In Russ.)] doi: 10.37174/2587-7593-2018-1-2-90-95
- Warren S, Gates O. Multiple Primary Malignant Tumors. A Survey of the Literature and Statistical Study. Am J Cancer. 1932;16:1358–1414.
- Крыловецкая М.А., Комаров И.Г., Карселадзе Д.А. Диагностика и лечение метастазов меланомы без выявленного первичного очага. Современная онкология. 2018;20(3):30–34 [Krylovetckaja MA, Komarov IG, Karseladze DA. Diagnosis and treatment of metastatic melanoma of unknown primary. Sovremennaja onkologija. 2018;20(3):30–34. (In Russ.)]
- Рзаева В.Ш., Гафтон Г.И., Анисимов В.В., Семилетова Ю.В., Мяснянкин М.Ю., Гафтон И.Г. Метастазы меланомы без клинически определяемой первичной опухоли. Сибирский онкологический журнал. 2017;16(3):79–85 [Rzayeva VSh, Gafton GI, Anisimov VV, Semiletova JuV, Mjasnjankin MJu, Gafton IG. Metastases of melanoma without clinically evident primary tumor. Sibirskij onkologicheskij zhurnal. 2017;16(3):79–85. (In Russ.)] doi: 10.21294/18144861-2017-16-2-79-85
- Boussios S, Rassy E, Samartzis E, Moschetta M, Sheriff M, Pérez-Fidalgo JA, et al. Melanoma of unknown primary: New perspectives for an old story. Crit Rev Oncol Hematol. 2021;158:103208, doi: 10.1016/j.critrevonc.2020.103208
- Scott JF, Gerstenblith MR. Melanoma of Unknown Primary. Noncutaneous Melanoma. 2018;7:99–116. doi: 10.15586/codon.noncutaneousmelanoma.2018.ch7
- Sirvan SS, İhsan Eren H, Kurt Yazar S, Günenç AC, Yeşilada AK, Irmak F, et al. Approach to Patients with Malignant Melanoma of Unknown Primary Origin. Sisli Etfal Hastan Tip Bul. 2019;53(2):125–131. doi: 10.14744/SEMB.2019.52333
- Verver D, Grünhagen DJ, van Akkooi ACJ, Aarts MJB, van den Berkmortel FWPJ, van den Eertwegh AJM, et al. Clinical outcome of patients with metastatic melanoma of unknown primary in the era of novel therapy. Cancer Immunol Immunother. 2021;70(11):3123–3135. doi: 10.1007/s00262-021-02871-1
- Насхлеташвили Д.Р., Горбунова В.А., Бекяшев А.Х., Демидов Л.В., Харкевич Г.Ю., Банов С.М. и др. Вемурафениб в лечении больных меланомой с метастазами в головной мозг. Опухоли головы и шеи. 2016;6(4):30–34 [Nashletashvili DR, Gorbunova VA, Bekjashev AH, Demidov LV, Harkevich GJu, Banov SM, et al. Vemurafenib in treatment of melanoma with brain metastases. Opuholi golovy i shei. 2016;6(4):30– (In Russ.)] doi: 10.17650/2222-1468-2016-6-4-30-34
- Toussi A, Mans N, Welborn J, Kiuru M. Germline mutations predisposing to melanoma. J Cutan Pathol. 2020;47(7):606–616. doi: 10.1111/cup.13689
- Lopes J, Rodrigues CMP, Gaspar MM, Reis CP. Melanoma Management: From Epidemiology to Treatment and Latest Advances. Cancers (Basel). 2022;14(19):4652. doi: 10.3390/cancers14194652
- Heppt MV, Siepmann T, Engel J, Schubert-Fritschle G, Eckel R, Mirlach L, et al. Prognostic significance of BRAF and NRAS mutations in melanoma: a German study from routine care. BMC Cancer. 2017;17(1):536. doi: 10.1186/s12885-017-3529-5
- van Zeijl MCT, de Wreede LC, van den Eertwegh AJM, Wouters MWJM, Jochems A, Schouwenburg MG, et al. Survival outcomes of patients with advanced melanoma from 2013 to 2017: Results of a nationwide population-based registry. Eur J Cancer. 2021;144:242–251. doi: 10.1016/j.ejca.2020.11.028
- Карабина Е.В. Ингибиторы иммунных контрольных точек в лечении меланомы без выявленного первичного очага: описание клинического случая. Эффективная фармакотерапия. 2022;18(21):28–32 [Каrabina ЕV. Immune checkpoint inhibitors in the treatment of melanoma of unknown primary: description of the clinical case. Effektivnaja farmakoterapija. 2022;18(21):28–32. (In Russ.)] doi: 10.33978/2307-3586-2022-18-21-28-32
- Ларина В.Н., Гайдина Т.А., Дворников А.С., Назимкин К.Е. Возможности обследования пациентов с подозрительными на меланому новообразованиями кожи, впервые выявленными в первичном звене здравоохранения. Архивъ внутренней медицины. 2022;12(2):85–92 [Larina VN, Gajdina TA, Dvornikov AS, Nazimkin KE. The principles of examination of patients with detected melanoma suspected skin neoplasm in the primary health care stage. Arhiv vnutrennej mediciny. 2022;12(2):85–92. (In Russ.)] doi: 10.20514/2226-6704-2021-12-2-85-92
- Gaydina TA, Dvornikova EG. Efficacy of smartphone-compatible optical instrument for assessing melanocytic nevi for malignancy. Bulletin of RSMU. 2020;(5):108–112. doi: 10.24075/brsmu.2020.065
- Carr S, Smith C, Wernberg J. Epidemiology and Risk Factors of Melanoma. Surg Clin North Am. 2020;100(1):1–12. doi: 10.1016/j.suc.2019.09.005
- Dzwierzynski WW. Melanoma Risk Factors and Prevention. Clin Plast Surg. 2021;48(4):543–550. doi: 10.1016/j.cps.2021.05.001
- Del Marmol V. Prevention and screening of melanoma in Europe: 20 years of the Euromelanoma campaign. J Eur Acad Dermatol Venereol. 2022;36(Suppl 6):5–11. doi: 10.1111/jdv.18195
- Ассоциация специалистов по проблемам меланомы (Меланома.ПРО) [Associacija specialistov po problemam melanomy (Melanoma.PRO). (The Russian Melanoma Professional Association (Melanoma.PRO).) (In Russ.)] https://melanoma.pro (30 January 2023
Supplementary files



















