Case report of leprosy in the Russian Federation
- Authors: Kubanov A.A.1, Rakhmatulina M.R.1, Levicheva Y.Y.1, Kondrakhina I.N.1, Kuznetsov O.E.1, Smolyannikova V.A.1,2, Grekova E.V.2, Karamova A.E.1
- 
							Affiliations: 
							- State Research Center of Dermatovenereology and Cosmetology
- I.M. Sechenov First Moscow State Medical University (Sechenov University)
 
- Issue: Vol 99, No 5 (2023)
- Pages: 102-110
- Section: CLINICAL CASE REPORTS
- Submitted: 01.09.2023
- Accepted: 17.10.2023
- Published: 12.12.2023
- URL: https://vestnikdv.ru/jour/article/view/14872
- DOI: https://doi.org/10.25208/vdv14872
- ID: 14872
Cite item
Full Text
Abstract
A clinical case of leprosy diagnosis in a citizen of the Republic of Chad (lepra-endemic region), а 24 year old male, student is presented. In 2019 the patient received permission to stay in the Russian Federation for educational purposes, entered one of the federal universities, and studied in Moscow, living in a hostel. During these years, he applied to various clinics, complaining of skin rashes and other symptoms characteristic of leprosy, without the effect of the prescribed treatment. In 2023, after contacting the clinic of skin diseases of the I.M. Sechenov First Moscow State Medical University (Sechenov University), was first sent to the The Federal State Research Center of Dermatovenereology and Cosmetology of the Ministry of Health of Russia with suspicion of leprosy. The results of clinical and laboratory studies including bacterioscopic examination of skin scarifications and pathohistological study of the skin confirmed the diagnosis: A30.5 Leprosy, multibacterial form, lepromatous type, active stage. This case presentation testifies to the lack of alertness regarding leprosy, especially among doctors conducting medical examinations of foreign citizens in order to obtain permission to stay in the Russian Federation, which may cause the spread of dangerous infectious diseases on the territory of the Russian Federation.
Full Text
Актуальность
Лепра (болезнь Хансена) — системное хроническое гранулематозное заболевание инфекционной природы, вызываемое патогенными для человека Mycobacterium leprae и M. lepromatosis, с преимущественным поражением кожи, слизистых оболочек и периферической нервной системы [1]. Лепра является эндемичным заболеванием в более чем 100 странах, ежегодно в мире регистрируются более 200 тыс. новых случаев заболевания, и более 4 млн человек имеют инвалидизирующие осложнения лепры [2, 3]. В эндемичных по лепре странах показатели заболеваемости не снижаются, несмотря на активное глобальное внедрение комбинированной терапии Всемирной организацией здравоохранения (ВОЗ).
На территории Российской Федерации случаи заболевания лепрой редки и носят устойчивый спорадический характер. Эндемичными очагами являются Нижнее Поволжье, Северный Кавказ, Сибирь, Дальний Восток [4, 5]. По состоянию на 1 января 2023 г. в Российской Федерации проживали 134 человека, перенесших лепру, из них в зоне курации ФКУ «Терской лепрозорий» Минздрава России — 23 человека, ГБУЗ Астраханской области «Областной кожно-венерологический диспансер» — 88 человек, Сергиево-Посадского филиала ФГБУ «Государственный научный центр дерматовенерологии и косметологии» Минздрава России — 23 человека.
Значимую роль в распространении заболевания играет миграция населения [1]. Появление новых случаев лепры в Российской Федерации связано прежде всего с увеличением потока мигрантов из эндемичных по лепре стран [6].
Описание случая
В начале июня 2023 г. пациент C., 1999 г.р., обратился за консультацией в ФГАОУ ВО «Первый МГМУ имени И.М. Сеченова» Минздрава России, где для исключения лепры было рекомендовано проведение обследования в ФГБУ «ГНЦДК» Минздрава России.
В ФГБУ «ГНЦДК» Минздрава России С. обратился с жалобами на высыпания на коже лица, туловища и конечностей, снижение чувствительности в конечностях, затрудненное дыхание, носовые кровотечения. Считает себя больным с января 2020 г., когда впервые отметил появление высыпаний на коже лица. Субъективных ощущений в виде болезненности или зуда не отмечал, первоначально к врачу не обращался. Спустя полгода пациент отметил распространение высыпаний, появление пятен на лице, туловище, верхних и нижних конечностях, присоединение частых носовых кровотечений. Самостоятельно обращался за консультацией в различные медицинские организации к врачам-дерматовенерологам, которыми устанавливались диагнозы «красный плоский лишай», «лимфома?», при этом положительная динамика кожного процесса на фоне проводимой терапии отсутствовала, количество патологических элементов на коже увеличивалось.
Эпидемиологический анамнез. Пациент — уроженец Республики Чад (Центральная Африка). Прибыл в Российскую Федерацию в 2019 г. с целью обучения в вузе, на момент въезда на территорию страны наличие клинических проявлений заболевания отрицает. В настоящее время является студентом III курса, проживает в г. Москве в студенческом общежитии с двумя однокурсниками. С 2019 г. за пределы Москвы не выезжал. Контакт с больными лепрой категорически отрицает.
Результаты физикального обследования, лабораторных и инструментальных исследований
Объективно: общее состояние больного удовлетворительное. Периферические лимфатические узлы не увеличены. Носовое дыхание затруднено, одышки нет. Аускультативно дыхание везикулярное, хрипов нет. Тоны сердца приглушены, ритмичные. Частота дыхательных движений — 16 в минуту, пульса — 82 удара в минуту. Живот мягкий, безболезненный во всех отделах. Печень и селезенка не увеличены. Симптом Пастернацкого отрицательный с обеих сторон. Мочеиспускание не нарушено. Стул регулярный.
Локальный статус: кожный патологический процесс носит распространенный, симметричный характер. Высыпания располагаются в области лица, туловища, верхних и нижних конечностей, имеют полиморфный характер, представлены множественными пятнами, бляшками, папулами и бугорками (лепромами). На коже лица в области лба, щек — пятна фиолетового оттенка, на коже крыльев носа и щек — узелковые элементы плотной, эластичной консистенции размером 3–5 мм (рис. 1), в области ушных раковин на фоне глубокой инфильтрации кожи — единичные узелки (рис. 2). Разреженность в области бровей и ресниц не наблюдается. На коже верхних конечностей локализуются множественные эритематозные пятна, некоторые с высветленным центром, сливающиеся между собой, образующие полицикличные фигуры (рис. 3).
Рис. 1. Поражение кожи лица: а — синюшно-фиолетовые пятна в области лба и щек; б — узелковые элементы размером 3–5 мм на коже крыльев носа, лба и щек
Fig. 1. Facial skin lesions: a — violaceous macules in the forehead and cheeks; б — papules 3–5 mm in size on the skin of the wings of the nose, forehead and cheeks
Рис. 2. Инфильтрация мочек ушей, единичные узелки на коже ушных раковин
Fig. 2. Тhe infiltration of the earlobes, single papules on the skin of the auricles
Рис. 3. Множественные эритематозные пятна, некоторые с высветленным центром, сливающиеся между собой на коже плечей
Fig. 3. Multiple erythematous patches, some with a bright center, merging together on the skin of the shoulders
На коже в области локтевого сустава наблюдаются множественные безболезненные бугорки плотной эластичной консистенции (лепромы) размером 1–2 мм, резко ограниченные от окружающей кожи (рис. 4). На коже разгибательной поверхности нижней трети предплечья локализуются бляшки кольцевидной формы с резко очерченным валикообразным краем, состоящим из сгруппированных папул, центральная часть бляшек слегка гипопигментирована и атрофична (рис. 5). Кожа кистей рук инфильтрирована с лихенификацией (рис. 6). Высыпания на коже тела в области живота, грудной клетки, спины, ягодиц и нижних конечностей представлены в виде эритематозно-гиперпигментных пятен фиолетового оттенка, различных размеров и конфигураций, расположенных симметрично билатерально (рис. 7). На коже голеней локализуются множественные безболезненные бугорки плотной эластичной консистенции (лепромы) размером 2–3 мм, резко ограниченные от окружающей кожи (рис. 8).
Рис. 4. Лепромы на коже в области локтевого сустава размером 1–2 мм, резко ограничены от окружающей кожи, плотной эластичной консистенции, безболезненны
Fig. 4. Lepromas on the skin in the area of the elbow joint 1–2 mm in size, well demarcated from the surrounding skin, dense elastic consistency, painless
Рис. 5. Бляшки кольцевидной формы с резко очерченным валикообразным краем, гипопигментированым и атрофичным центром на коже разгибательной поверхности нижних третей предплечий
Fig. 5. Ring-shaped plaques with well demarcated ridge-like edge, hypopigmented and atrophic center on the skin of the extensor surface of the lower third of the forearm
Рис. 6. Инфильтрация и лихенификация кожи кистей
Fig. 6. Infiltration and lichenification of the skin of the hands
Рис. 7. Эритематозные и гиперпигментные пятна с фиолетовым оттенком на коже живота и грудной клетки (а) и спины (б)
Fig. 7. Erythematous and hyperpigmented patches with a purple tint on the skin abdomen, chest (a) and back (б)
Рис. 8. Множественные бугорки (лепромы) размером 2–3 мм на коже голеней
Fig. 8. Multiple tubercles (lepromas) 2–3 mm in size on the skin of the legs
Волосистая часть головы, подмышечные и подколенные ямки, кожа промежности — без патологических изменений. Рефлекторный дермографизм ослаблен.
Изменения со стороны периферической нервной системы: при пальпации периферические (заднеушные, локтевые, малоберцовые) нервные стволы не утолщены, безболезненны. Температурная и болевая чувствительность нарушена в дистальных отделах конечностей по полиневротическому типу «высоких чулок и перчаток» (до нижней трети предплечья на верхних конечностях, до колена на нижних конечностях), тактильная чувствительность сохранена.
Мышечная сила на правой руке снижена по сравнению с левой (тест на сопротивление в состоянии сжатия пальцев рук). Трофических язв, контрактур нет.
Лабораторные исследования: общий анализ крови, общий анализ мочи, биохимический анализ крови — без патологии.
Проведены лабораторные исследования для диагностики сифилиса, гепатитов B и C, ВИЧ-инфекции: антикардиолипиновый тест, определение суммарных антител к вирусу гепатита С, HBs-антигена, антител к ВИЧ-1/ВИЧ-2 и антигену p-24. Получен положительный результат на HBs-антиген, в том числе в подтверждающем тесте. Результаты остальных лабораторных исследований — отрицательные.
При микроскопическом (бактериоскопическом) исследовании скарификатов кожи обнаружены кислотоустойчивые микобактерии в виде палочек — гомогенных и зернистых форм, представленных единичными экземплярами и скоплениями в виде глобул (табл. 1, рис. 9). Количество кислотоустойчивых микобактерий в мазках оценивалось по 6-балльной системе с определением бактериоскопического индекса (БИН). Средний бактериоскопический индекс составил 3,17; морфологический индекс, который имеет значение для дальнейшей оценки результатов лечения пациента, — 2,12 (гомогенные формы — 68%; зернистые формы — 32%).
Таблица 1. Результаты микроскопического исследования скарификатов кожи и соскоба слизистой носа
Table 1. The results of microscopic examination of skin scarifications and scrapings of the nasal mucosa
| Локализация | Результат | 
| Мочки правого и левого уха | Обнаружены кислотоустойчивые микобактерии, БИН = 4 | 
| Область надбровной дуги справа | Обнаружены кислотоустойчивые микобактерии, БИН = 4 | 
| Область крыльев носа слева | Обнаружены кислотоустойчивые микобактерии, БИН = 3 | 
| Область правого предплечья | Обнаружены кислотоустойчивые микобактерии, БИН = 4 | 
| Область правого колена | Обнаружены кислотоустойчивые микобактерии, БИН = 4 | 
| Слизистая оболочка носа (перегородка справа и слева) | Кислотоустойчивые микобактерии не обнаружены | 
Примечание. БИН — бактериоскопический индекс.
Рис. 9. Микроскопическое исследование скарификатов кожи. а, б — одиночно расположенные и скопления бактерий в форме палочек, окрашенных в красный цвет, разные поля зрения. Окраска по методу Циля–Нильсена, ×1000 с иммерсией
Fig. 9. Microscopic examination of skin scarifications. a, б — singly located and clusters of bacteria in the form of rods, painted in red, different fields of view. Ziehl–Nielsen staining, ×1000 with immersion
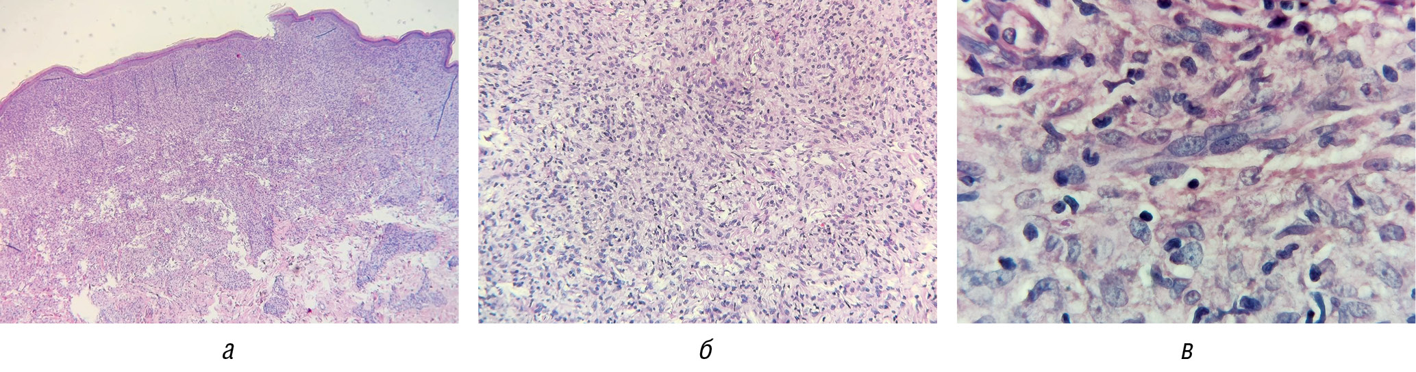
При проведении морфологического исследования отмечалось тотальное замещение сосочкового слоя дермы сливающимися друг с другом гранулемами, состоящими преимущественно из эпителиоидных клеток, макрофагов и лимфоцитов. Инфильтрат не распространялся на эпидермис, который был умеренно атрофичен с незначительным гиперкератозом. В более глубоких отделах дермы располагались четко отграниченные гранулемы, состоящие из гистиоцитов, лимфоцитов и пенистых клеток. Стенки сосудов были утолщены как в результате отека и набухания эндотелия, так и за счет инфильтрации стенок и периваскулярных пространств лимфоцитами и макрофагами. Также отмечались отек, дистрофические изменения и воспалительная инфильтрация нервных волокон. При окраске по Цилю–Нильсену в отдельных клетках были видны скопления положительно окрашенных палочковидных бактерий. Морфологическая картина соответствовала клиническому диагнозу «лепра» (рис. 10).
Рис. 10. Лепра — патоморфологическое исследование кожи: а — окраска гематоксилин-эозином, ×50; б — окраска гематоксилин-эозином, ×200; в — окраска по методу Циля–Нильсена, ×1000
Fig. 10. Leprosy — pathological examination of the skin: a — staining with hematoxylin-eosin, ×50; б — staining with hematoxylin-eosin, ×200; в — staining according to the Ziehl–Nielsen method, ×1000
На основании клинической картины и результатов лабораторных исследований пациенту был установлен диагноз: Лепра. Многобактериальная форма. Лепроматозный тип. Активная стадия. Осложнения основного заболевания: специфическая полинейропатия, медленно прогрессирующее течение. Сопутствующие заболевания: хронический вирусный гепатит В.
Пациент был госпитализирован, назначен курс терапии: рифампицин, дапсон.
У контактных лиц при обследовании клинических и лабораторных (микроскопических) признаков лепры выявлено не было, после проведения профилактического лечения они были переведены на амбулаторное диспансерное наблюдение.
Обсуждение
В 2021 г. число иностранных граждан и лиц без гражданства, поставленных на миграционный учет в Российской Федерации, составило 13 384 940 человек [7], среди них большое количество граждан из эндемичных по лепре стран. Несмотря на то что Российская Федерация является неэндемичной по лепре страной, за период с 2017 по 2022 г. на ее территории было выявлено 14 новых случаев заболевания. Длительный инкубационный период лепры, составляющий от 2 до 4 лет (возможно варьирование от нескольких месяцев до 20 лет и более), создает значительные сложности в выявлении инфицированных лиц и проведении противоэпидемических мероприятий [6, 8]. Отдельные выявленные в последние годы больные, судя по анамнезу и клиническим проявлениям, страдали лепрой от 10 до 20 лет, не получая лечения, т.е. оставаясь эпидемиологически опасными для окружающих.
В соответствии с п. 9 ст. 7 приложения 1 к приказу Минздрава России от 19 ноября 2021 г. № 1079н «Об утверждении Порядка проведения медицинского освидетельствования, включая проведение химико-токсикологических исследований наличия в организме иностранного гражданина или лица без гражданства наркотических средств или психотропных веществ либо новых потенциально опасных психоактивных веществ и их метаболитов, на наличие или отсутствие у иностранного гражданина или лица без гражданства инфекционных заболеваний, представляющих опасность для окружающих, и заболевания, вызываемого вирусом иммунодефицита человека (ВИЧ-инфекции) …» для подтверждения диагноза лепры проводятся осмотр врачом-дерматовенерологом и бактериоскопическое исследование соскоба слизистой оболочки носа (при наличии медицинских показаний). Однако в отличие от многих инфекционных заболеваний лепра имеет длительный инкубационный период и многообразие клинических проявлений, что весьма затрудняет раннюю диагностику. На момент обследования инфицированное лицо может не иметь клинических проявлений, но являться потенциальным источником распространения заболевания при выделении M. leprae.
В Республике Чад распространенность заболевания составляет менее 1 случая на 10 тыс. жителей, что является порогом ликвидации, установленным ВОЗ. Вместе с тем пять районов страны (Адре, Абеше, Абудейя, Куку и Бебеджия), где показатель распространенности превышает 1 случай на 10 тыс. жителей, в 2019 г. были определены как эндемичные. Эпидемиологические исследования, проведенные в Республике Чад, свидетельствуют о персистенции болезни и отсрочке диагностики и лечения больных лепрой [9].
Характерный для лепры длительный инкубационный период, а также данные анамнеза пациента (появление первых высыпаний в 2020 г.) позволяют предположить его инфицирование до прибытия на территорию Российской Федерации. В течение трех лет пациент неоднократно обращался в медицинские организации г. Москвы с симптомами заболевания, однако диагноз лепры установлен не был. Кроме того, пациент как иностранный гражданин должен был ежегодно проходить медицинское освидетельствование на предмет выявления ряда инфекционных заболеваний, в том числе лепры, согласно п. 19 ст. 5 Федерального закона от 25 июля 2002 г. № 115-ФЗ «О правовом положении иностранных граждан в Российской Федерации», так как обычная учебная виза, по которой пациент въехал на территорию России, действительна не более одного года. После истечения данного срока иностранный гражданин обязан повторно пройти медицинское освидетельствование и предоставить его заключение в территориальный орган федерального органа исполнительной власти в сфере внутренних дел. Таким образом, в медицинских организациях, имеющих лицензию на осуществление медицинской деятельности, предусматривающей выполнение работ (услуг) по медицинскому освидетельствованию на наличие инфекционных заболеваний, представляющих опасность для окружающих, своевременная диагностика лепры не была проведена.
Обращает на себя внимание наличие у пациента хронического вирусного гепатита В. Известно, что распространенность вирусов иммунодефицита человека, Т-клеточного лимфотропного вируса человека, вирусов гепатита В и С и обусловленных ими хронических инфекций среди больных мультибациллярной лепрой выше, чем в общей популяции. В связи с этим следует учитывать возможность реактивации вируса гепатита В и прогрессирования заболевания после применения кортикостероидов для лечения лепроматозных реакций [10].
Заключение
Несмотря на относительно невысокую заболеваемость и эндемичность, до настоящего времени лепра остается актуальной проблемой здравоохранения. До сих пор международному сообществу не удалось ликвидировать лепру, хотя изначально данную цель предполагалось достичь к 2000 г., затем — к 2020 г., а теперь — к 2030 г.
Стратегия контроля эпидемиологической ситуации по лепре основана в первую очередь на раннем выявлении и лечении новых больных. Эффективность такого контроля невозможна без внедрения новых, современных, высокочувствительных методов диагностики, таких как молекулярно-биологические тесты, позволяющие своевременно установить правильный диагноз и начать специфическое лечение, тем самым прервав эпидемиологическую цепочку заболевания и снизив риск инфицирования M. leprae лиц, с которыми контактировал больной.
Представленный случай свидетельствует об отсутствии настороженности в отношении лепры, особенно у врачей, проводящих медицинские обследования иностранных граждан, для получения разрешения на пребывание в Российской Федерации, что может явиться причиной распространения на территории страны опасных инфекционных заболеваний.
About the authors
Alexey A. Kubanov
State Research Center of Dermatovenereology and Cosmetology
														Email: alex@cnikvi.ru
				                	ORCID iD: 0000-0002-7625-0503
				                	SPIN-code: 8771-4990
																		                								
MD, Dr. Sci. (Med.), Professor, Academician of the Russian Academy of Sciences
Россия, MoscowMargarita R. Rakhmatulina
State Research Center of Dermatovenereology and Cosmetology
														Email: rahmatulina@cnikvi.ru
				                	ORCID iD: 0000-0003-3039-7769
				                	SPIN-code: 6222-8684
																		                								
MD, Dr. Sci. (Med.), Professor
Россия, MoscowYuliya Y. Levicheva
State Research Center of Dermatovenereology and Cosmetology
														Email: levicheva@700200.ru
				                	ORCID iD: 0000-0002-1962-4193
				                																			                												                	Россия, 							Moscow						
Irina N. Kondrakhina
State Research Center of Dermatovenereology and Cosmetology
														Email: kondrakhina77@gmail.com
				                	ORCID iD: 0000-0003-3662-9954
				                	SPIN-code: 8721-9424
																		                								
MD, Dr. Sci. (Med.)
Россия, MoscowOleg E. Kuznetsov
State Research Center of Dermatovenereology and Cosmetology
														Email: kuznetsov@cnikvi.ru
				                	ORCID iD: 0000-0002-7571-7108
				                	SPIN-code: 8600-3098
																		                								
MD, Cand. Sci. (Med.)
Россия, MoscowVera A. Smolyannikova
State Research Center of Dermatovenereology and Cosmetology; I.M. Sechenov First Moscow State Medical University (Sechenov University)
														Email: smva@bk.ru
				                	ORCID iD: 0000-0002-7759-5378
				                																			                								
MD, Dr. Sci. (Med.), Professor, Senior Research Associate
Россия, Moscow; MoscowEkaterina V. Grekova
I.M. Sechenov First Moscow State Medical University (Sechenov University)
														Email: grekova_kate@mail.ru
				                	ORCID iD: 0000-0002-7968-9829
				                																			                								
MD, Cand. Sci. (Med.)
Россия, MoscowArfenya E. Karamova
State Research Center of Dermatovenereology and Cosmetology
							Author for correspondence.
							Email: karamova@cnikvi.ru
				                	ORCID iD: 0000-0003-3805-8489
				                	SPIN-code: 3604-6491
																		                								
MD, Cand. Sci. (Med.), Assistant Professor
Россия, MoscowReferences
- Кубанов А.А., Абрамова Т.В., Мураховская Е.К., Ласачко В.А. Современный взгляд на лепру. Лечащий врач. 2018;5:48–52. [Kubanov AA, Abramova TV, Murakhovskaya EK, Lasachko VA. Leprosy: аctual view. Lechaschi Vrach. 2018;(5):48–52. (In Russ.)]
- Лепра: Ведение больных с лепрозными реакциями и профилактика инвалидности. Техническое руководство. Нью Дели: Всемирная организация здравоохранения, Региональное бюро для стран Юго-Восточной Азии, 2017. [Leprosy: Management of patients with leprosy reactions and prevention of disability. Technical manual. New Delhi: World Health Organization, Regional Office for South-East Asia; 2017. (In Russ.)]
- Leprosy disabilities: magnitude of the problem. Wkly Epidemiol Rec. 1995;70(38):269–275.
- Дуйко В.В., Наумов В.З., Сароянц Л.В., Астафурова А.П. Заболеваемость лепрой в прикаспийском регионе. Актуальные вопросы современной медицины: материалы III Международной конференции Прикаспийских государств. Астрахань: Астрахан. гос. мед. ун-т, 2018. С. 64–66. [Duiko VV, Naumov VZ, Saroyants LV, Astafurova AP. The incidence of leprosy in the Caspian region. Topical issues of modern medicine: Materials of the III International Conference of the Caspian States. Astrakhan: Astrakhan State Medical University; 2018. Р. 64–66. (In Russ.)]
- Дуйко В.В. Эпидемиология и организация борьбы с лепрой в России в современных условиях. Актуальные вопросы клинической и экспериментальной лепрологии: материалы Международной научно-практической конференции. Астрахань: Изд. дом «Астраханский университет», 2011. С. 6–16. [Duyko VV. Epidemiologiya i organizatsiya borby s leproy v Rossii v sovremennykh usloviyakh. Aktualnyye voprosy klinicheskoy i eksperimentalnoy leprologii. Materials of the International Scientific and Practical Conference. Astrakhan: Izdatelskiy dom “Astrakhanskiy universitet”; 2011. Р. 6–16. (In Russ.)]
- Сароянц Л.В., Арнаудова К.Ш., Дуйко В.В., Наумов В.З. Случай семейной лепры. Клиническая дерматология и венерология. 2018;17(5):47–52. [Saroyants LV, Arnaudova KSh, Duiko VV, Naumov VZ. The case of family leprosy. Russian Journal of Clinical Dermatology and Venereology = Klinichaskaya dermatologiya i venerologiya. 2018;17(5):47–51. (In Russ.)] doi: 10.17116/klinderma20181705147
- Сводка основных показателей деятельности по миграционной ситуации в Российской Федерации за январь–декабрь 2022 г. [Summary of key performance indicators on the migration situation in the Russian Federation for January-December 2022]. URL: https://мвд.рф/dejatelnost/statistics/migracionnaya/item/35074904/
- Boggild AK, Keystone JS, Kain KC. Leprosy: a primer for Canadian physicians. CMAJ. 2004;170(1):71–78.
- Kabo AK, Kaman K, Doungous DM, Ouedraogo L, Abakar M, Godreuil S, et al. Epidémiologie de la lèpre au Tchad de 2015 à 2019 [Epidemiology of leprosy in Chad from 2015 to 2019]. Pan Afr Med J. 2022;41:120. [Article in French]. doi: 10.11604/pamj.2022.41.120.32283
- Fróes LAR Jr, Toma TS, Poderoso RE, Trindade MÂB. Viral co-infections in leprosy: a scoping review. Int J Dermatol. 2023;62(4):547–557. doi: 10.1111/ijd.16613
Supplementary files
 
				
			 
					 
						
 
  
  
  
  
  Email this article
			Email this article 













 СМИ зарегистрировано Федеральной службой по надзору в сфере связи, информационных технологий и массовых коммуникаций (Роскомнадзор).
 СМИ зарегистрировано Федеральной службой по надзору в сфере связи, информационных технологий и массовых коммуникаций (Роскомнадзор).