Grover’s disease — current understanding of transient and persistent acantholytic dermatosis
- Authors: Chepushtanova K.O.1, Patrushev A.V.1, Gorbunov Y.G.1, Belousova I.E.1
-
Affiliations:
- S.M. Kirov Military Medical Academy
- Issue: Vol 100, No 3 (2024)
- Pages: 17-25
- Section: REVIEWS
- Submitted: 01.10.2023
- Accepted: 22.05.2024
- Published: 11.07.2024
- URL: https://vestnikdv.ru/jour/article/view/16048
- DOI: https://doi.org/10.25208/vdv16048
- ID: 16048
Cite item
Full Text
Abstract
Grover’s disease is a papulo-vesicular pruritic dermatosis characterized by a transient, persistent, or asymptomatic course. We have analyzed the publications found in the PubMed and RSCI scientific literature databases between 1970 and 2022. The clinical manifestations of Grover’s disease, possible localization, etiological factors, and the histological and dermatoscopic picture of the disease are described. According to the literature, the putative associations with disease onset are highly variable and include insolation, pregnancy, hemodialysis, chemotherapy, sweating, a number of dermatoses, and a history of malignancy and organ transplantation. Seasonality of the process has also been described. To date, nine histologic patterns of the disease have been described, the most common being acantholytic dyskeratosis.
Full Text
Введение
Дерматоз впервые был описан R.W. Grover в 1970 г. у 6 пациентов c высыпаниями преимущественно в области туловища и спины, сопровождающимися сильным зудом и склонными к саморазрешению в течение нескольких недель, гистологическая картина которых была схожа с болезнью Дарье и доброкачественной пузырчаткой Хейли–Хейли. Данное состояние получило название «транзиторный акантолитический дерматоз» [1].
В 1976 г. после изучения 54 новых случаев болезни Гровера М. Chalet и соавт. более детально охарактеризовали клинические данные: в большинстве случаев высыпания представляли собой папулы и папуловезикулы, наблюдались у мужчин старше 40 лет, преимущественно локализовались в области ключиц, грудной клетки, спины [2]. По наблюдениям, поражение кожи головы встречалось редко, слизистые оболочки, ладони и подошвы были интактны. Также авторы более подробно описали гистологические особенности заболевания и предложили четыре возможных паттерна: Дарье-подобный, пемфигус-подобный, Хейли–Хейли-подобный и спонгиотический .
В дальнейшем клиническая картина дерматоза становится более понятной и характеризуется появлением у пациентов мономорфных высыпаний в виде округлых зудящих папул и везикул с локализацией в области груди, спины, верхних конечностей, бедер (рис. 1–3). Количество элементов может варьировать от единичных до нескольких десятков. Высыпания не имеют тенденции к периферическому росту и слиянию и могут быть экскориированы вследствие сильного зуда. Размер обычно составляет 1–3 мм, но может достигать 1 см в диаметре. По данным литературы, дерматоз наблюдается в основном у мужчин старше 40 лет с I и II фенотипами кожи [3, 4].
Рис. 1. Диссеминированные папуло-везикулезные высыпания в области живота
Fig. 1. Disseminated papulo-vesicular rashes in the abdominal area
Рис. 2. Диссеминированные папуло-везикулезные высыпания в области груди
Fig. 2. Disseminated papulo-vesicular rashes in the chest area
Рис. 3. Диссеминированные папуло-везикулезные высыпания в области спины
Fig. 3. Disseminated papulo-vesicular rashes in the back area
В 1976 г. R.S. Simon описала пациента с высыпаниями, характерными для болезни Гровера, но существующими на протяжении более трех лет, а также выявила гистологические признаки, которые не были описаны ранее, а именно наличие акантолитических клеток в участках спонгиоза и значительной примеси эозинофильных гранулоцитов в дермальных инфильтратах [5]. Впервые прозвучало название «персистирующий акантолитический дерматоз».
Позднее в 1977 г. было зарегистрировано 54 случая дерматоза в США и 24 в Австралии, многие из них отличались хроническим течением. В 2004 г. C.J. Quirk и P.J. Heenan описали две другие клинические формы дерматоза — персистирующую и хроническую бессимптомную. При персистирующей форме зуд может быть менее интенсивным, но высыпания сохраняются на протяжении длительного времени, демонстрируя незначительный ответ на терапию. Хроническая бессимптомная форма характеризуется наличием постоянных высыпаний, напоминающих фолликулит, не сопровождающихся субъективными ощущениями, преимущественно в области туловища, чаще у мужчин. При гистологическом исследовании выявлялся акантолиз, но без вовлечения фолликулов. Ряд случаев с данной формой дерматоза был зарегистрирован у онкологических больных [3, 6].
В 2017 г. M. Gantz и соавт. было опубликовано исследование, где проводился обширный обзор пациентов с болезнью Гровера с атипичными особенностями течения заболевания [7]. Поражение области туловища наблюдалось в большинстве случаев. Кроме того, отмечалось вовлечение в патологический процесс верхних и нижних конечностей, лица, шеи, подмышечных впадин, паховой и ягодичной областей. В редких случаях поражалась кожа кистей, стоп, ушных раковин, слизистых оболочек. Высыпания в основном были представлены папулезными и везикулезными элементами, реже — пустулезными, буллезными. Преобладающим субъективным симптомом в большинстве случаев являлся зуд, однако у ряда пациентов он отсутствовал.
Этиологические факторы и ассоциация с другими заболеваниями
Ассоциация с потенциальными триггерными факторами была зарегистрирована в 85% случаев болезни Гровера. Наиболее частыми триггерами являлись злокачественные заболевания и трансплантация органов в анамнезе. В исследовании M.D. Davis и соавт., в котором принимали участие 72 пациента с диагнозом «болезнь Гровера», по меньшей мере у 26 пациентов отмечалась связь со злокачественными заболеваниями, в том числе с лейкемией, саркомой Капоши, солидными злокачественными опухолями. J.M. Parsons, проанализировав множество источников, также описал связь появления болезни Гровера у онкологических пациентов с такими диагнозами, как острый миелоидный лейкоз, аденокарцинома желудка, лейомиосаркома мочевого пузыря и др. [4, 8].
Также в результате клинических исследований выявлена ассоциация дерматоза с другими кожными процессами (псориазом, экземой, чесоткой, актиническим кератозом, аллергическим дерматитом и др.). Была описана связь заболевания с такими факторами, как инсоляция, беременность, гемодиализ, химиотерапия, а также установлена причинно-следственная связь между обострением болезни Гровера, жаркой погодой и потливостью у лежачих пациентов [7].
По данным литературы известно, что заболеваемость болезнью Гровера зависит от сезона. В работе R.W. Grover и R. Rosenbaum обострение отмечалось зимой с повторным пиком в августе. Однако только R.W. Grover и R. Rosenbaum, C.J. Quirk и P.J. Heenan отметили повышенную заболеваемость в зимний период. J.M. Parsons в своем обзоре 1996 г. не отметил сезонных обострений, но указал на рецидивы болезни Гровера летом и зимой в течение 7–10 лет наблюдения за пациентами [4, 6, 9].
В исследовании N. Scheinfield и J. Mones 2006 г., в котором участвовало 385 пациентов с установленным диагнозом «болезнь Гровера», отмечалось, что заболевание встречалось в 4 раза чаще в зимние месяцы, чем в летние [10]. Доля общего числа биопсий была самой высокой зимой. Средний возраст начала заболевания составил 64 года.
В недавних обзорах литературы описаны случаи дебюта болезни Гровера на фоне протекающей инфекции SARS-CoV-2 или после нее [11–13].
У 13,8% пациентов (из 2761, находящихся в исследовании), по данным P. Giavedoni, наблюдались мономорфные папуло-везикулезные высыпания [14]. При гистологическом исследовании отмечались интраэпидермальные везикулы с наличием дискератотических кератиноцитов, характерные для болезни Гровера. Высыпания обычно начинались через несколько дней после первых клинических признаков COVID-19, продолжались около недели и разрешались без осложнений.
Патогенез и иммунология
Болезнь Гровера рассматривается как приобретенный, не связанный с иммунными механизмами акантолитический дерматоз. Однако некоторые авторы оставляют вопрос об аутоиммунном характере заболевания открытым. Часть иммунологических исследований биоптатов кожи пациентов с болезнью Гровера продемонстрировала отложения IgG и C3-комплемента как в зоне дермоэпидермального сочленения, подобно буллезному пемфигоиду, так и в средних отделах эпидермиса, что делает гистологическую картину схожей с пузырчаткой. Кроме того, другие образцы биоптатов кожи показали отложения IgM в зоне базальной мембраны и в стенках сосудов сосочкового слоя дермы, а также отложения IgA, C3-комплемента и фибрина в капиллярах. IgG и IgM также обнаруживались в цитоидных тельцах. При непрямой реакции иммунофлюоресценции отмечались циркулирующие антитела к антигенным структурам супрабазальных и базальных кератиноцитов. Таким образом, подтверждением аутоиммунного характера дерматоза являются не только схожесть патоморфологических признаков с пемфигоидом и пузырчаткой, но и положительный ответ на биологическую терапию препаратом ритуксимаб в ряде случаев [15].
Гистологическая картина
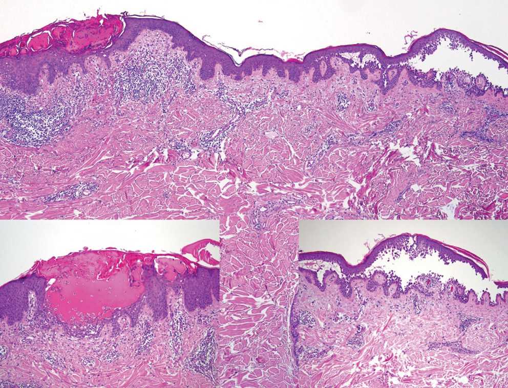
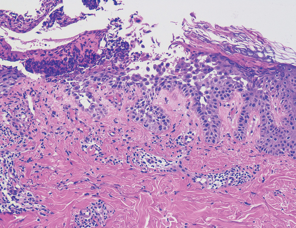
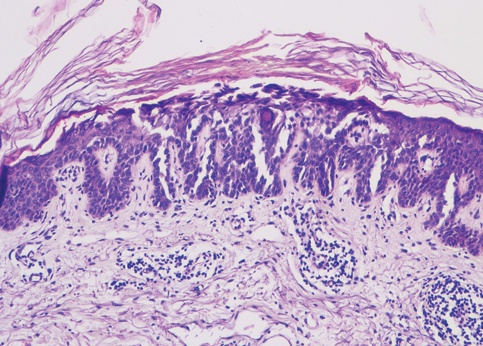
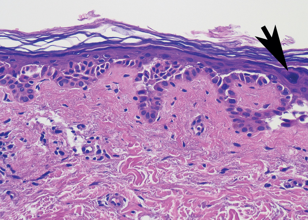
При гистологическом исследовании болезни Гровера наиболее часто встречающимся морфологическим вариантом является Дарье-подобный, который характеризуется наличием акантолиза с явлениями дискератоза в виде образования так называемых «круг- лых телец» и «зерен» в эпидермисе (рис. 4). Другие гистологические варианты заболевания включают спонгиотический, пемфигус-подобный (обычно гистологическая картина при данном варианте имеет сходства с вульгарной/листовидной пузырчаткой) и Хейли–Хейли-подобный [2] (рис. 5, 6). Спонгиотический вариант характеризуется наличием спонгиотической внутриэпидермальной полости, пемфигус-подобный — акантолизом на разных уровнях эпидермиса, Хейли–Хейли-подобный — гиперплазией эпидермиса с явлениями акантолиза в виде «рушащейся кирпичной стены». Разные гистологические варианты заболевания могут сочетаться у одного пациента (рис. 7).
Рис. 4. Дарье-подобный гистологический вариант болезни Гровера: акантолитический дискератоз с дискератотичными клетками в верхних отделах эпидермиса
Fig. 4. Darye-like histological variant of Grover’s disease: acantholytic dyskeratosis with dyskeratotic cells in the upper epidermis
Рис. 5. Пемфигус-подобный вариант болезни Гровера: супрабазальный акантолиз с образованием щелей в эпидермисе. Видна крупная дикератотичная клетка (стрелка)
Fig. 5. Pemphigus-like variant of Grover’s disease: suprabasal acantholysis with the formation of cracks in the epidermis. A large diceratotic cell is visible (arrow)
Рис. 6. Хейли–Хейли-подобный вариант болезни Гровера: в эпидермисе акантоз, явления акантолиза по типу «рушащейся кирпичной стены»
Fig. 6. Hayley–Hayley is a similar variant of Grover’s disease: acanthosis in the epidermis, acantholysis phenomena of the «crumbling brick wall» type
Рис. 7. Сочетание двух гистологических подтипов у одного пациента. На биопсию были взяты две рядом расположенные серопапулы, в одной из них наблюдался спонгиотический подтип с образованием внутриэпидермальной полости (вставка), во второй — пемфигус-подобный с образованием супрабазальной акантолитической полости (вставка)
Fig. 7. Combination of two histological subtypes in one patient. Two seropapules located side by side were taken for biopsy, in one of them a spongiotic subtype was observed with the formation of an intraepidermal cavity (insert), in the second — a pemphigus-like one with the formation of a suprabasal acantholytic cavity (insert)
Нередко подтверждение диагноза требует нескольких образцов биопсии или выполнения серийных срезов, так как в биоптатах могут выявляться неспецифические изменения, которые более соответствуют таким процессам, как токсикодермия, укусы насекомых, фолликулит.
В работе M.-T. Fernandes и соавт. (2010 г.) исследовано 120 случаев болезни Гровера по клиническим и гистопатологическим критериям [3]. Изученные параметры включали возраст, пол, локализацию взятия биопсии, а также месяц года, когда она была получена.
Размеры биоптатов варьировались от 3 до 5 мм в диаметре. В итоге было исследовано не менее 10 срезов каждого биоптата и в общей сложности выделено девять патоморфологических моделей, включая четыре классические, описанные ранее, и пять вновь идентифицированных (паракератотическая, лентигинозная, везикулярная, лихеноидная, дисматуративная).
Паракератотический вариант характеризуется наличием участков паракератоза в эпидермисе, лишенном зернистого слоя, с единичными дискератотическими клетками в верхних слоях эпидермиса и тенденцией к вакуолизации кератиноцитов.
При лентигинозном варианте имеется характерное удлинение эпидермальных тяжей с их гиперпигментацией, напоминающее гистологическую картину солнечного лентиго или болезни Даулинга–Дегоса (Dowling–Degos disease).
Везикулярный вариант характеризуется наличием внутриэпидермальных везикул с явлениями спонгиоза или акантолиза.
Лихеноидный гистологический вариант может быть представлен участками вакуольной дегенерации базальных кератиноцитов, небольшими лимфоцитарными лихеноидными инфильтратами в зоне дермоэпидермального сочленения, единичными дискератотическими клетками и едва различимым акантолизом.
Наконец дисматуративный вариант характеризуется нарушением созревания кератиноцитов с ядерным плеоморфизмом и легкой гиперхромазией. Особенность этого варианта в том, что, несмотря на клинический диагноз «болезнь Гровера», гистологическая картина более соответствовала таким состояниям, как актинический кератоз, болезнь Боуэна.
В результате проведенных исследований выявлено, что заболевание встречалось значительно чаще у мужчин, чем у женщин, сезонность процесса не прослеживалась, но при этом количество взятых биопсий значительно увеличивалось в период с июля по сентябрь [3]. Наиболее частой локализацией взятия биопсий было туловище (83,5%), затем конечности (12,6%) и шея (3,9%).
При исследовании гистологической картины на первом месте по частоте встречаемости зафиксирован Дарье-подобный вариант, на втором — пемфигус-подобный. Другие паттерны встречались значительно реже.
Однако, по мнению некоторых авторов, на начальной стадии заболевания незначительные гистологические изменения могут не иметь ничего схожего ни с одним из паттернов. В своем исследовании P.M. Melwani [16] делает акцент на ранних гистологических признаках болезни Гровера, а именно удлинении эпидермальных тяжей с очаговым акантолизом. Таким образом, их обнаружение может дать ключ к своевременной диагностике болезни Гровера при наличии соответствующих клинических проявлений.
Дерматоскопия
В 2016 г. E. Errichetti и соавт. была проведена работа, целью которой стала оценка дерматоскопических особенностей у пациентов с болезнью Гровера и сравнение их с патоморфологическими изменениями у этих же пациентов [17]. В исследовании участвовали 7 пациентов с гистологически подтвержденным диагнозом «болезнь Гровера». У троих наблюдалась картина Дарье-подобного варианта заболевания, остальные соответствовали спонгиотическому подтипу.
В первом случае (Дарье-подобный гистологический подтип) при дерматоскопии определялись такие характерные признаки, как бесструктурные зоны коричневого цвета овальной, полигональной или звездообразной формы, окруженные белым ореолом. Гистологическими эквивалентами указанных изменений, по данным авторов, являются компактный гиперкератоз и выраженный акантоз. Во втором случае (спонгиотический гистологический подтип) дерматоскопическая картина включала белые чешуйки, расположенные на красновато-желтом фоне. Описанные признаки были ассоциированы с наличием очагового гиперкератоза, поверхностного воспалительного инфильтрата, а также возможной экстравазацией эритроцитов и отложением гемосидерина. Различий по морфологии и распределению сосудов между исследованными подтипами не выявлено (в обоих случаях определялись точечные или линейные сосуды, имеющие как равномерное, так и периферическое распределение).
В другой работе L. De Abreu и соавт. изучили спектр дерматоскопических и патоморфологических характеристик поражений при болезни Гровера на ранней и поздней стадиях, что позволило сделать вывод об эволюционном развитии элементов кожной сыпи и, соответственно, существовании двух дерматоскопических паттернов [18]. На начальной стадии изменения неспецифические и характеризуются розовато-белым фоном с полиморфными сосудами, которые могут быть линейными, клубочковыми или шпилечными. На поздних стациях определяются специфические признаки в виде желтой кератотической пробки в центре элемента (описывается как бесструктурная область от желтоватого до коричневого цвета звездообразной формы), а также радиальных линейных или шпилечных сосудов и радиальных белых линий.
Таким образом, дерматоскопическая картина при болезни Гровера может существенно различаться в зависимости от гистологического подтипа и давности высыпаний, что необходимо учитывать при проведении обследования. При этом болезнь Дарье и Дарье-подобный вариант болезни Гровера могут иметь схожую дерматоскопическую картину, поэтому данный способ не подходит для дифференциальной диагностики указанных дерматозов. В то же время дерматоскопия может оказаться полезной при проведении дифференциальной диагностики болезни Гровера с такими заболеваниями, как инфекционный фолликулит, хронический лихеноидный питириаз, красный отрубевидный волосяной лишай и розовый лишай. Учитывая незначительное количество публикаций в отечественной литературе, посвященных дерматоскопическим признакам при болезни Гровера, приводим собственное наблюдение (мужчина, 35 лет, HEINE DELTA 20 Plus, × 10, режим кросс-поляризации) (рис. 8, 9).
Рис. 8. Элемент на коже груди в виде папулы диаметром 5 мм. Определяется бесструктурная зона коричневого цвета в центре (синяя стрелка), окруженная белым ореолом (красная стрелка)
Fig. 8. An element on the breast skin in the form of a papule with a diameter of 5 mm. A structureless brown zone is defined in the center (blue arrow), surrounded by a white halo (red arrow)
Рис. 9. Элемент на коже груди в виде папулы диаметром 7 мм. Определяются незначительное количество диффузно расположенных белых чешуек на красно-желтом фоне, а также точечные и линейные сосуды, имеющие ретикулярное распределение
Fig. 9. An element on the breast skin in the form of a papule with a diameter of 7 mm. A small number of diffusely arranged white scales on a red-yellow background, as well as point and linear vessels with a reticular distribution, are determined
Лечение
Согласно данным современной литературы, лечение болезни Гровера до конца не разработано [19]. Препараты первой линии терапии включают топические глюкокортикостероиды, ингибиторы кальциневрина, антигистаминные препараты. В тяжелых случаях сообщалось о применении системных глюкокортикостероидов [19–21]. Положительный эффект от лечения других дискератозов системными ретиноидами привел к назначению данных препаратов при болезни Гровера [22]. Зафиксированы случаи успешного применения изотретиноина с развитием длительной ремиссии, также наблюдался положительный терапевтический эффект на фоне приема препарата метотрексат [19].
При неэффективности наружной терапии кальципотриолом, топическими глюкокортикостероидами, препаратами мочевины предлагаются альтернативные варианты — хирургические методы лечения. Дермабразия и лазерная абляция CO2 ранее применялись при других акантолитических дерматозах (пузырчатке Хейли–Хейли) и дискератотических состояниях (болезни Дарье) с положительным терапевтическим эффектом [23].
Также в литературе зарегистрирован случай лечения персистирующей формы болезни Гровера с помощью трихлоруксусного пилинга [23]. Поскольку патоморфологические изменения при болезни Гровера, как правило, формируются в эпидермисе на разных уровнях без вовлечения дермы, D.J. Kouba и соавт. предложено полностью разрушить пораженные участки эпидермиса с последующей эпителизацией. Период ремиссии у этого пациента составил более 8 месяцев [23].
В наблюдении F. Barei представлен клинический случай полного разрешения высыпаний у пациента с хроническим риносинуситом и болезнью Гровера на терапии дупилумабом [24]. В связи с неэффективностью пятилетней терапии местными кортикостероидами и ацитретином пациенту назначен препарат дупилумаб в стандартных дозировках. После 14 недель терапии дупилумабом наблюдался полный регресс высыпаний и зуда, через 44 недели кожные покровы оставались также свободны от высыпаний.
P. Renz продемонстрировал клиническое наблюдение 74-летнего пациента с сахарным диабетом и хронической обструктивной болезнью легких, который поступил с папуловезикулярными высыпаниями в области шеи, верхней части туловища, верхних конечностей, сопровождающихся выраженным зудом [24, 25]. По результатам гистологического исследования установлен диагноз «болезнь Гровера». Стандартное лечение, которое включало топические глюкокортикостероиды, преднизолон, ацитретин, антигистаминные препараты, фотодинамическую терапию, продемонстрировало отсутствие клинического ответа. Учитывая рецидивирующее течение заболевания и выраженность зуда, в качестве лечения выбрана электронно-лучевая радиотерапия. Пациенту проведена радиотерапия общей дозой 20 Гр в 12 фракциях электронами с энергией 6 МэВ, направленными на определенную глубину, при которой доставляется 90% максимальной дозы болюсом 0,5 см. Через 1 месяц пациент отметил значительное снижение зуда, через 5 и 12 месяцев — его полное отсутствие. Наблюдалось также разрешение высыпаний без применения сопутствующей терапии. Однако через 18 месяцев в связи с рецидивом пациенту был проведен повторный курс радиотерапии с полной ремиссией в течение 9 месяцев.
Обсуждение
В данном обзоре литературы рассмотрены клинические, дерматоскопические, гистологические особенности, а также методы лечения болезни Гровера в соответствии с данными, полученными из опубликованных исследований и собственных наблюдений. Нами проведен анализ более 100 оригинальных статей, из которых около 80 клинических случаев и несколько обзоров литературы. Были проанализированы клинические и гистологические особенности, методы лечения более 50 пациентов, находившихся под нашим наблюдением.
Полученные данные подтверждают, что заболевание чаще встречается у мужчин старше 40 лет. Высыпания в основном представлены отечными папулами и везикулами с преимущественной локализацией в области туловища, без вовлечения в процесс ладоней и подошв. Распространенным субъективным признаком является зуд, встречающийся примерно в 30% случаев.
Этиология болезни Гровера остается неясной. В результате анализа данных литературы и собственных наблюдений наиболее частая связь наблюдалась со следующими триггерными факторами: ультрафиолетовое или ионизирующее излучение, тепловое воздействие, физические нагрузки, повышенная потливость.
Ретроспективное исследование N. Scheinfeld и соавт. в Академии дерматовенерологии Аккермана (Нью-Йорк) выявило связь болезни Гровера с такими кожными заболеваниями, как экзема, атопический дерматит, аллергический контактный дерматит, также отмечена сезонность процесса с пиком заболеваемости зимой, когда кожа наиболее склонна к ксерозу [10]. Но, согласно нашим наблюдениям, несмотря на схожие климатические условия, наиболее частым провоцирующим фактором было обильное потоотделение и тепловое воздействие вне зависимости от времени года, о чем сообщалось пациентами почти в половине случаев. Непосредственно ультрафиолетовое облучение как триггер в данных анамнеза фиксировалось реже.
Сопутствующие злокачественные новообразования были зарегистрированы у трети пациентов. В большинстве случаев дебют болезни Гровера либо совпадал с выявлением злокачественного процесса, либо следовал за ним. Более чем в 90% случаев высыпания, ассоциированные со злокачественными заболеваниями, полностью разрешались на наружной терапии или без нее. Болезнь Гровера также была описана у пациентов, подвергшихся высокодозной химиотерапии, трансплантации органов, а также у пациентов с хронической почечной недостаточностью и находящихся на гемодиализе. Мы не обнаружили достоверной корреляции между злокачественными новообразованиями и тяжестью течения и рецидивированием болезни Гровера. Пациентов, находящихся на химиотерапевтическом лечении или после трансплантации органов, под нашим наблюдением не было.
В классическом варианте болезни Гровера течение обычно доброкачественное и склонное к саморазрешению в течение нескольких месяцев, однако нередки случаи персистирования или рецидива. Некоторые авторы выделяют три варианта течения: транзиторный эруптивный, хронический бессимптомный и персистирующий [6]. Согласно данному обзору, первая форма составляет половину всех зарегистрированных случаев. Бессимптомная форма встречается редко и может не требовать никакого лечения. При персистирующей зудящей форме лечение необходимо, поскольку заболевание может значительно снижать качество жизни.
У пациентов, находящихся под нашим наблюдением, чаще наблюдался хронический бессимптомный и персистирующий варианты, по данным гистологического исследования чаще выявлялся Дарье-подобный паттерн.
В заключение следует отметить, что при продолжительном течении болезни Гровера и наличии субъективной симптоматики необходимо рассматривать возможность терапии. В настоящее время уровень доказательности лечения болезни Гровера остается невысоким, соответственно, в первую очередь целесообразно устранить или минимизировать все возможные провоцирующие факторы. Судя по имеющимся литературным данным и по нашим собственным наблюдениям, препаратами первой линии являются топические глюкокортикостероиды [19–21, 26]. В качестве второй линии терапии можно предлагать пациентам системные ретиноиды и/или системные глюкокортикостероиды [4, 22]. По нашему опыту наиболее эффективно сочетание низких доз (0,3 мг/кг/сут) системных глюкокортикостероидов с низкими дозами (0,1–0,3 мг/кг/сут) системных ретиноидов. Необходимы дополнительные исследования для поиска новых методов лечения этого заболевания.
Заключение
Болезнь Гровера — папуло-везикулезный дерматоз, характеризующийся транзиторным, персистирующим или бессимптомным течением и несколькими клинико-морфологическими формами.
На сегодняшний день, несмотря на множественные предположения, этиология и патогенез заболевания остаются неясными. Ассоциации с такими триггерными факторами, как тепло, повышенное потоотделение, инсоляция, злокачественные заболевания в анамнезе, сочетание с другими дерматозами, указывают на мультифакториальную природу заболевания.
Уточнение этиологии заболевания в возможных дальнейших исследованиях поможет улучшить подходы к терапии, которая на данный момент является симптоматической и имеет незначительную эффективность.
About the authors
Kseniya O. Chepushtanova
S.M. Kirov Military Medical Academy
Author for correspondence.
Email: kseniyachepushtanova@mail.ru
ORCID iD: 0000-0001-6883-0762
SPIN-code: 5037-7208
Россия, Saint Petersburg
Aleksandr V. Patrushev
S.M. Kirov Military Medical Academy
Email: alexpat2@yandex.ru
ORCID iD: 0000-0002-6989-9363
SPIN-code: 1367-5580
MD, Dr. Sci. (Med.)
Россия, Saint PetersburgYuri G. Gorbunov
S.M. Kirov Military Medical Academy
Email: urikgor@rambler.ru
ORCID iD: 0000-0002-1375-056X
SPIN-code: 3393-3256
MD, Cand. Sci. (Med.)
Россия, Saint PetersburgIrena E. Belousova
S.M. Kirov Military Medical Academy
Email: irena.belousova@mail.ru
ORCID iD: 0000-0002-9458-0872
SPIN-code: 2287-5062
MD, Dr. Sci. (Med.), Professor
Россия, Saint PetersburgReferences
- Grover RW. Transient acantholytic dermatosis. Arch Dermatol. 1970;101(4):426–434.
- Chalet M, Grover R, Ackerman AB. Transient acantholytic dermatosis: a reevaluation. Arch Dermatol. 1977;113(4):431–435.
- Fernández-Figueras MT, Puig L, Cannata P, Cuatrecases M, Quer A, Ferrándiz C, et al. Grover disease: a reappraisal of histopathological diagnostic criteria in 120 cases. Am J Dermatopathol. 2010;32(6):541–549. doi: 10.1097/DAD.0b013e3181c80cf9
- Parsons JM. Transient acantholytic dermatosis (Grover’s disease): a global perspective. J Am Acad Dermatol. 1996;35(5 Pt 1):653–666. doi: 10.1016/s0190-9622(96)90715-x
- Simon RS, Bloom D, Ackerman AB. Persistent acantholytic dermatosis: a variant of transient acantholytic dermatosis (Grover disease). Arch Dermatol. 1976;112(10):1429–1431. doi: 10.1001/archderm.112.10.1429
- Quirk CJ, Heenan PJ. Grover’s disease: 34 years on. Australas J Dermatol. 2004;45(2):83–86. doi: 10.1111/j.1440-0960.2004.054_1.x
- Gantz M, Butler D, Goldberg M, Ryu J, McCalmont T, Shinkai K. Atypical features and systemic associations in extensive cases of Grover disease: A systematic review. J Am Acad Dermatol. 2017;77(5):952–957.e1. doi: 10.1016/j.jaad.2017.06.041
- Davis MD, Dinneen AM, Landa N, Gibson LE. Grover’s disease: clinicopathologic review of 72 cases. Mayo Clin Proc. 1999;74(3):229–234. doi: 10.4065/74.3.229
- Grover RW, Rosenbaum R. The association of transient acantholytic dermatosis with other skin diseases. J Am Acad Dermatol. 1984;11(2 Pt 1): 253–256. doi: 10.1016/s0190-9622(84)70160-5
- Scheinfeld N, Mones J. Seasonal variation of transient acantholytic dyskeratosis (Grover’s disease). J Am Acad Dermatol. 2006;55(2):263–268. doi: 10.1016/j.jaad.2006.01.029
- Fernández-Figueras MT. Dermatopathology of COVID-19 infection and vaccination. Pathologie (Heidelb). 2022;43(Suppl 1):114–118. doi: 10.1007/s00292-022-01126-9
- Rongioletti F, Ferreli C, Sena P, Caputo V, Atzori L. Clinicopathologic correlations of COVID-19-related cutaneous manifestations with special emphasis on histopathologic patterns. Clin Dermatol. 2021;39(1):149–162. doi: 10.1016/j.clindermatol.2020.12.004
- Llamas-Velasco M, Chicharro P, Rodríguez-Jiménez P, Martos-Cabrera L, De Argila D, Fernández-Figueras M, et al. Comment on “Clinical and histological characterization of vesicular COVID-19 rashes: a prospective study in a tertiary care hospital”. Pseudoherpetic Grover disease seems to occur in patients with COVID-19 infection. Clin Exp Dermatol. 2020;45(7):896–898. doi: 10.1111/ced.14305
- Giavedoni P, Podlipnik S, Pericàs JM, Fuertes de Vega I, García-Herrera A, Alós L, et al. Skin Manifestations in COVID-19: Prevalence and Relationship with Disease Severity. J Clin Med. 2020;9(10):3261. doi: 10.3390/jcm9103261
- Phillips C, Kalantari-Dehaghi M, Marchenko S, Chernyavsky AI, Galitovskiy V, Gindi V, et al. Is Grover’s disease an autoimmune dermatosis? Exp Dermatol. 2013;22(12):781–784. doi: 10.1111/exd.12266
- Melwani PM, Parsons AC, Sangueza OP. Early histopathologic changes in grover disease. Am J Dermatopathol. 2010;32(6):565–567. doi: 10.1097/DAD.0b013e3181cb3fbe
- Errichetti E, De Francesco V, Pegolo E, Stinco G. Dermoscopy of Grover’s disease: Variability according to histological subtype. J Dermatol. 2016;43(8):937–939. doi: 10.1111/1346-8138.13298
- De Abreu L, Cordeiro NG, Buçard AM, Quintella DC, Argenziano G. Dermoscopy of Grover disease. J Am Acad Dermatol. 2017;76(2S1):S60–S63. doi: 10.1016/j.jaad.2016.07.031
- Wang Q, Luo N, Lei M, Chen X, Li C, Hao P. Bullous Grover’s Disease in a Chinese Tibetan Adolescent: A Case Report. Clin Cosmet Investig Dermatol. 2022;15:1371–1376. doi: 10.2147/CCID.S373228
- Lee EH, Lee SE, Kim YC, Kim SC. Grover’s disease associated with pregnancy. J Dermatol. 2010;37(4):381–383. doi: 10.1111/j.1346-8138.2010.00821.x
- Карачева Ю.В., Смыкова А.Н., Волошин В.В. Болезнь Гровера. Российский журнал кожных и венерических болезней. 2016;19(4):231–233. [Karacheva UV, Smykova AN, Voloshin VV. Grover’s disease. Rossiiskii zhurnal kozhnykh i venericheskikh boleznei. 2016;19(4):231–233. (In Russ.)] doi: 10.18821/1560-9588-2016-19-4-231-233
- Helfman RJ. Grover’s disease treated with isotretinoin. Report of four cases. J Am Acad Dermatol. 1985;12(6):981–984. doi: 10.1016/s0190-9622(85)70124-7
- Kouba DJ, Dasgeb B, Deng AC, Gaspari AA. Effective treatment of persistent Grover’s disease with trichloroacetic acid peeling. Dermatol Surg. 2006;32(8):1083–1088. doi: 10.1111/j.1524-4725.2006.32233.x
- Barei F, Torretta S, Morini N, Ferrucci S. A case of Grover disease treated with Dupilumab: Just serendipity or a future perspective? Dermatol Ther. 2022;35(5):e15429. doi: 10.1111/dth.15429
- Renz P, Hasan S, English JC, Wegner RE, Jedrych J, Ho J, et al. Grover’s Disease Treated with Total Skin Electron Beam Radiotherapy. J Drugs Dermatol. 2019;18(4):392–393.
- Sousou JM, Fritsche JM, Fernandez BR, Tummala MR, Scott R. Management and Treatment of Grover’s Disease: A Case Report and Review of Literature. Cureus. 2022;14(4):e24082. doi: 10.7759/cureus.24082
Supplementary files













