Lymphomatoid papulosis. Case in pediatric dermatological clinical practice
- Authors: Zaslavsky D.V.1, Gorlanov I.A.1, Belousova I.E.2, Bolshakova E.S.1, Artykova A.A.1, Nekrasova A.S.1, Lyamina E.A.1, Kozlova D.V.1
-
Affiliations:
- Saint-Petersburg State Pediatric Medical University
- S.M. Kirov Military Medical Academy
- Issue: Vol 100, No 2 (2024)
- Pages: 87-95
- Section: CLINICAL CASE REPORTS
- Submitted: 19.01.2024
- Accepted: 09.04.2024
- Published: 20.05.2024
- URL: https://vestnikdv.ru/jour/article/view/16752
- DOI: https://doi.org/10.25208/vdv16752
- ID: 16752
Cite item
Full Text
Abstract
A clinical case of lymphomatoid papulosis in a 10-year-old boy is described, clinically characterized by the presence of ulcerating nodes that resolve with the atrophy formation. The patient’s differential diagnostic workup included cutaneous anaplastic large cell lymphoma, cutaneous tuberculosis, polyarteritis nodosa, erythema nodosum, deep lupus erythematosus, and alpha-1 antitrypsin deficiency. Based on the history, clinical picture, as well as laboratory and instrumental studies, the patient was diagnosed with lymphomatoid papulosis. During the examination, no concomitant neoplastic diseases were identified in the patient. All elements resolved with the outcome being hyperpigmented spots and atrophy. To date, the relapse-free period of the disease in the patient is 10 months.
Full Text
Актуальность
Лимфоматоидный папулез (ЛиП) — это лимфопролиферативное заболевание кожи, которое характеризуется хроническим рецидивирующим доброкачественным течением с благоприятным прогнозом для пациентов, а также появлением высыпаний в виде множественных папул или узлов, склонных к самопроизвольному разрешению [1].
В структуре заболеваемости первичными лимфомами кожи на долю CD30+ лимфопролиферативных заболеваний, к которым относятся ЛиП и CD30+ анапластическая крупноклеточная лимфома кожи, приходится 25%, данные нозологии — вторые по частоте встречаемости в группе после грибовидного микоза [2]. Общемировая заболеваемость ЛиП на сегодняшний день составляет 1,2–1,9 случая на 1 млн человек в год и занимает 12% всех кожных лимфом [3, 4]. Несмотря на то что взрослые в возрасте от 35 лет являются основной возрастной группой больных ЛиП, в педиатрической дерматологической практике заболевание встречается сравнительно чаще большинства лимфопролиферативных заболеваний [5]. Пациенты с ЛиП имеют повышенный риск развития других лимфопролиферативных заболеваний, таких как грибовидный микоз, анапластическая крупноклеточная лимфома, лимфома Ходжкина. При этом ЛиП может предшествовать указанным заболеваниям, развиваться параллельно с ними или после них в 15–20% случаев [1].
Клиническая картина пациентов с ЛиП характеризуется вариативностью проявлений. Наиболее часто в области туловища и проксимальных отделов конечностей у больных определяются множественные папулы или узлы красного цвета с синюшным оттенком, быстро увеличивающиеся в размерах до 2 см, существующие на коже до нескольких месяцев и затем разрешающиеся с образованием очагов рубцовой атрофии или поствоспалительной гипер- или депигментации. Появление высыпаний обычно не сопровождается субъективными проявлениями. Реже у пациентов могут определяться крупные узлы (до 4 см), склонные к быстрой некротизации и изъязвлению, что характерно для ЛиП типа Е [1].
Первичные Т-клеточные лимфомы кожи чрезвычайно редко развиваются у детей, что обусловливает актуальность представленного клинического случая [6].
Описание случая
В октябре 2022 г. в кожно-венерологическое отделение ФГБОУ ВО СПБГПМУ поступил пациент Ч. 10 лет с жалобами на язвенные образования на коже в области нижних конечностей. Из анамнеза известно, что мальчик заболел осенью 2021 г., когда впервые отметил появление высыпаний в виде «красноватых пятен», которые с течением времени разрешались. Весной 2022 г. высыпания полностью разрешились, летом появились вновь. Со слов матери, у ребенка отмечались периодические боли в животе. В августе 2022 г. мальчик переболел новой коронавирусной инфекцией. Осенью в области правого бедра у пациента появилось растущее в диаметре уплотнение, кожа над ним была гиперемирована. При обращении к дерматологу по месту жительства высыпания пациента были расценены как инфекция кожи и подкожно-жировой клетчатки, поэтому ему была назначена системная и топическая антибиотикотерапия (амоксициллин, обработка очагов поражения фукорцином, фуцидином и ихтиоловой мазью). На фоне проводимой терапии не было получено клинического эффекта, поэтому в последующем мальчик был госпитализирован в Санкт-Петербургский государственный педиатрический медицинский университет.
Результаты физикального, лабораторного и инструментального исследования
На момент осмотра состояние мальчика расценивалось как удовлетворительное, поражение кожи носило распространенный характер: на коже голеней, предплечий, тыльной поверхности правой стопы, левого плеча, передней брюшной стенки определялись узелки и узлы красного цвета с синюшным оттенком (рис. 1), в области правого бедра определялась язва диаметром 5 см, дно которой было покрыто геморрагическими корками (рис. 2). В области предплечья при пальпации элемента отмечалась местная гипертермия. Правая стопа была отечна и увеличена в объеме. При поступлении у ребенка было зарегистрировано 12 элементов, через 10 дней их количество увеличилось до 43.
Рис. 1. В области левого плеча у пациента определялся узел красного цвета с синюшным оттенком, 3 см в диаметре, плотный при пальпации
Fig. 1. On the left shoulder there was a red-bluish node. It was 3 cm in diameter and dense on palpation
Рис. 2. В области верхней трети правого бедра пациента определялись язвы диаметром 1,5 и 5 см, образовавшиеся на месте плотных узлов
Fig. 2. In the upper third of the right hip two ulcers (1,5 and 5 cm) were visualized, which formed from dense nodes
Из сопутствующих заболеваний у пациента отмечалось ожирение 3-й степени (ИМТ = 29,97).
По клинико-лабораторным данным были выявлены нарушения в коагулограмме (АПТВ — 39,2 с; Д-димер — 841 нг/мл; МНО — 1,24). В посеве отделяемого дна язвы в области правого бедра патогенной флоры не обнаружено.
Для уточнения диагноза пациенту проведена диагностическая биопсия кожи. Материал для исследования был взят в области предплечья из свежего узла размером 3 × 3 см без признаков изъязвления. По заключению гистологического исследования в материале не было выявлено признаков опухолевого поражения.
На основании первичных клинико-лабораторных данных пациенту был поставлен «рабочий» диагноз «васкулит сосудов кожи» и назначена системная терапия глюкокортикостероидами (преднизолон в суточной дозе 1 мг/кг с последующим снижением дозировки и постепенной отменой препарата).
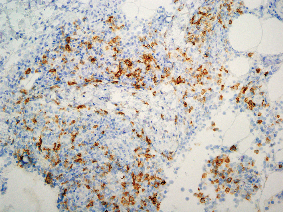
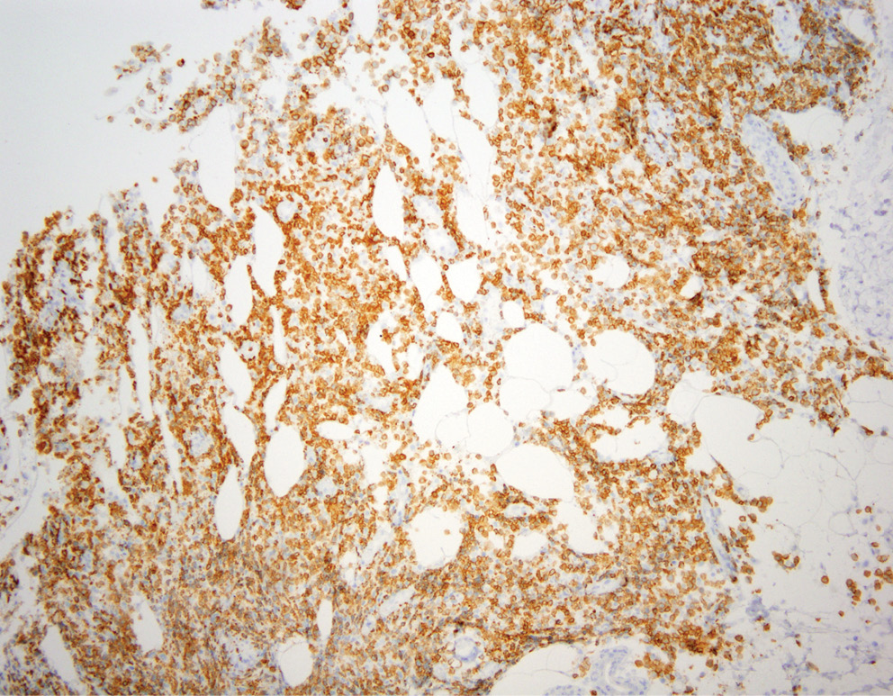
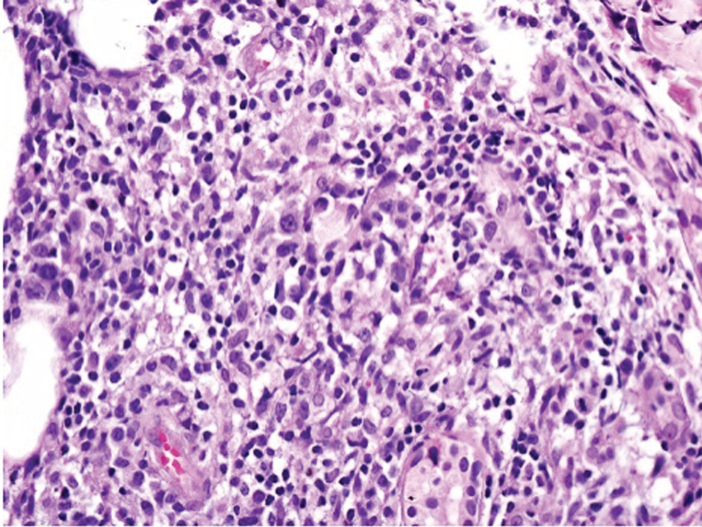
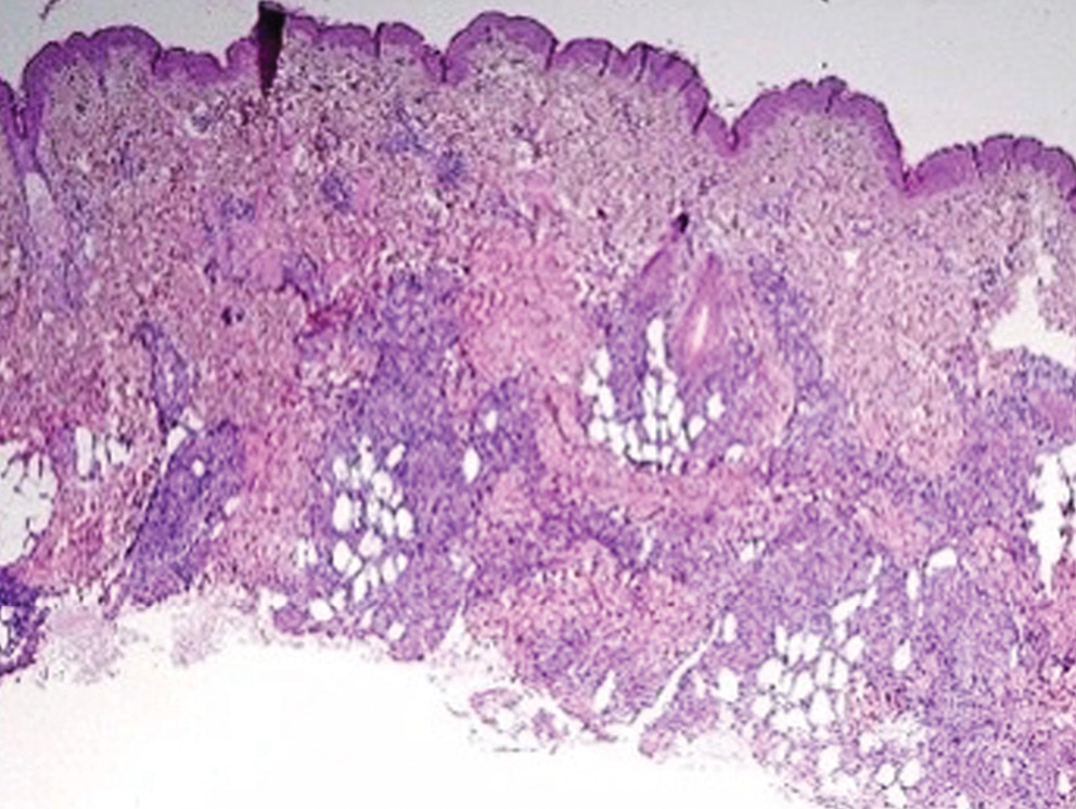
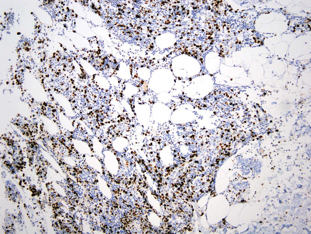
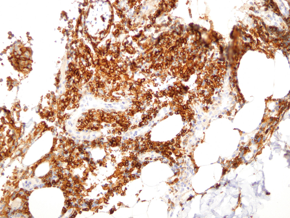
Учитывая отсутствие в биоптате признаков васкулита, гистологический материал пациента был направлен на пересмотр в НИИ онкологии им. Н.Н. Петрова, где было выполнено иммуногистохимическое исследование с антителами ALK, DSF3, CD3, CD4, CD8, CD20, CD30, CD56, Ki-67. По результатам исследования в дерме определялись плотные крупноочаговые инфильтраты, расположенные преимущественно в средних и глубоких отделах дермы и проникающие в дольки подкожной жировой клетчатки (рис. 3). Инфильтраты состояли из крупных лимфоидных клеток с иммунобласто- и центробластоподобной морфологией (рис. 4) и малых лимфоцитов. Крупные лимфоидные клетки экспрессировали CD3+, CD4+ и CD30+, были негативны к ALK (рис. 5–7). Ki-67 (индекс пролиферативной активности) был положителен преимущественно в крупных лимфоидных клетках и составлял примерно 30% всех клеток инфильтрата (рис. 8). Гистологические изменения и иммунофенотип опухолевых клеток соответствовали ЛиП типу С.
Рис. 3. Микрофотография, ×40, гематоксилин-эозин. В дерме определяются плотные крупноочаговые инфильтраты, расположенные преимущественно в средних и глубоких отделах дермы и проникающие в дольки подкожной жировой клетчатки
Fig. 3. Microphotography, ×40, hematoxylin-eosin. Dense large-focal infiltrates are determined in the dermis, located mainly in the middle and deep parts of the dermis and penetrating into the lobules of subcutaneous fatty tissue
Рис. 4. Микрофотография, ×100, гематоксилин-эозин. Дермальные инфильтраты, представленные крупными лимфоидными клетками с иммунобласто- и центробластоподобной морфологией и малыми лимфоцитами
Fig. 4. Microphotography, ×100, hematoxylin-eosin. Dermal infiltrates consisted of large lymphoid cells with immunoblast- and centroblast-like morphology and small lymphocytes
Рис. 5. Микрофотография, ×40, иммуногистохимическое исследование с применением антител к CD3. Определяется выраженная положительная экспрессия CD3 крупными лимфоидными клетками инфильтрата
Fig. 5. Microphotography, ×40, immunohistochemical assay with anti-CD3 antibodies. The pronounced expression of CD3 by large lymphoid cells is determined
Рис. 6. Микрофотография, ×40, иммуногистохимическое исследование с использованием антител к CD4. Определяется выраженная положительная экспрессия CD4 крупными лимфоидыми клетками инфильтрата
Fig. 6. Microphotography, ×40, immunohistochemical assay with anti-CD4 antibodies. There is determined the pronounced expression of CD4 by large ymphoid cells
Рис. 7. Микрофотография, ×40, иммуногистохимическое исследование с применением анти-CD30 антител. В инфильтрате определяются крупные лимфоидные клетки, экспрессирующие CD30
Fig. 7. Microphotograph, ×40, immunohistochemical assay with anti-CD30 antibodies. In the infiltrate large lymphoid cells with positive CD30 expression
Рис. 8. Микрофотография, ×40, иммуногистохимическое исследование на определение экспрессии Ki-67. Экспрессия маркера Ki-67 определялась преимущественно в крупных лимфоидных клетках, которые составили примерно 30% всех клеток инфильтрата
Fig. 8. Microphotograph, ×40, immunohistochemical assay to determination of Ki-67 expression. Expression of Ki-67 was positive predominantly on lare lymphoid cells which accounted for approximately 30% of infiltrate
Пациент был проконсультирован детским онкологом с целью выявления сопутствующих онкологических заболеваний. По результатам проведенного обследования (МРТ головного мозга с контрастированием, МСКТ органов грудной клетки и брюшной полости с внутривенным болюсным контрастированием) не было выявлено признаков внекожного неопластического процесса и других сопутствующих патологий.
Дифференциальный диагноз
При первичном осмотре у пациента в качестве дифференциального диагноза рассматривались лимфопролиферативные заболевания кожи, туберкулез кожи, узелковый полиартериит, узловатая эритема, глубокая красная волчанка и дефицит альфа-1-антитрипсина [7]. На основании результатов совокупной оценки данных анамнеза и клинической картины (спонтанное появление узелков и узлов с тенденцией к изъязвлению и самостоятельному разрешению), физикального осмотра (отсутствие системных проявлений), лабораторных (отрицательный диаскин-тест, отсутствие антинуклеарных антител, LE-клеток) и инструментальных (гистологическое и иммуногистохимическое исследование кожи) исследований дифференциально-диагностический поиск проводился с целью подтверждения или исключения диагноза лимфопролиферативного заболевания, а именно ЛиП.
Лечение
Перед установлением окончательного диагноза пациент получал терапию системными глюкокортикостероидами (преднизолон в суточной дозе 1 мг/кг в течение месяца с дальнейшим снижением дозы и отменой препарата), а также местными антисептическими препаратами с положительным эффектом.
Исход и результаты последующего наблюдения
За период наблюдения у пациента отмечались отсутствие появления свежих элементов, полное разрешение существующих, а также формирование атрофических рубцов на местах крупных язв (рис. 9, 10). На данный момент безрецидивный период у пациента составляет 10 месяцев. В случае повторного возникновения элементов планируется проведение курса узковолновой UVB-фототерапии (311 нм), в случае ее неэффективности — системная терапия метотрексатом.
Рис. 9. В процессе регресса клинических проявлений заболевания у пациента отмечалось заживление наиболее крупной язвы с формированием атрофии
Fig. 9. During the disease regression perion the healing of the largest ulcer with following atrophy formation
Рис. 10. Сформировавшаяся атрофия кожи на месте разрешившегося очага поражения через 6 месяцев от начала заболевания
Fig. 10. Skin atrophy at the site of the resolved lesion in 6 months after the onset of the disease
Обсуждение
ЛиП — CD30+ лимфопролиферативное заболевание кожи, редко встречающееся в детской популяции [8].
Примечательно, что в представленных обзорах и описаниях серий случаев, посвященных лимфопролиферативным заболеваниям у детей, данные о структуре заболеваемости разнятся [9, 10]. Авторы не приходят к единому мнению о том, какое заболевание чаще регистрируется у детей: грибовидный микоз или ЛиП, что связано с малой выборкой больных детского возраста [9, 10].
По данным систематического обзора W. Kempf и соавт., посвященного сравнению характеристик лимфопролиферативных заболеваний у детей и взрослых, отмечается, что ЛиП и грибовидный микоз являются двумя наиболее распространенными заболеваниями у детей в нозологической группе. Также примечательно, что среди больных ЛиП имеет место преобладание мальчиков с соотношением 1,5:1,0. Несмотря на то что многие авторы на сегодняшний день не выделяют клинических отличий в течении ЛиП у детей, W. Kempf и соавт. на основании данных литературы и собственных наблюдений отметили более «яркую» манифестацию заболевания в сравнении с последующими «обострениями», появление высыпаний в одних и тех же локализациях (наиболее часто это туловище и бедра), наличие зуда у пациентов, а также сочетание с атопией у трети больных [6, 11]. В обзоре, посвященном особенностям ЛиП у детей, I. Wieser и соавт. указали, что подавляющее большинство участников выборки — европеоидной расы, при этом также наблюдается преобладание мальчиков среди больных детского возраста с соотношением 1,4:1,0. Авторы обзора считают, что клинические проявления ЛиП у детей сравнимы с таковыми во взрослой популяции, гистологически — чаще всего регистрировался тип А, на долю которого приходилось 79,1%, менее распространен был тип С (11,9%), другие гистологические варианты были единичными [12]. Среди отличительных гистологических проявлений ЛиП у детей авторы ряда обзоров выделяют повышенную экспрессию CD8, из-за чего могут возникать трудности в дифференциальной диагностике ЛиП с острым лихеноидным оспенноподобным питириазом [6, 12]. J. Miquele и соавт. отмечают гистологические сходства между ЛиП и хроническим лихеноидным питириазом, однако предметом дискуссии на сегодняшний день остается возможность экспрессии CD30 при питириазе [11]. Присутствие эозинофилов в инфильтрате при наличии зуда у пациентов может приводить к трудностям в верификации диагноза из-за схожести с реакцией на укусы насекомых [6].
В настоящее время существует несколько клинико-морфологических вариантов ЛиП, из них наиболее часто встречается тип А (до 80% случаев), который характеризуется наличием очагового «клинообразного» лимфоидного инфильтрата в дерме, представленного крупными CD30+ клетками с примесью многочисленных малых лимфоцитов, а также гистиоцитов, нейтрофилов и эозинофилов. Тип В (менее 5% случаев) характеризуется наличием эпидермотропного инфильтрата в дерме, представленного малыми CD30+ или CD30– лимфоцитами с церебриформными ядрами. Дермальный инфильтрат при типе С (до 10% случаев) представлен сливными полями крупных лимфоидных клеток CD30+ с небольшими примесями воспалительного инфильтрата. Для типа D (менее 5% случаев) характерно наличие выраженного эпидермотропного инфильтрата из атипичных малых и средних CD8+ и CD30+ лимфоцитов. В 2013 г. L.J. Karai и соавт. был описан ЛиП с реаранжировкой локуса DUSP22–IRF4 на хромосоме 6p25.3 у 11 пациентов пожилого возраста, высыпания которых были локализованными («регионарный» ЛиП), а гистологическая картина характеризовалась наличием в дерме нодулярного инфильтрата с педжетоидным эпидермотропизмом, представленного атипичными клетками крупного и среднего размера с выраженной экспрессией CD30, в периаднексальной и эпидермальной частях инфильтрата — клеток малого и среднего размера с церебриформным ядрами и слабой экспрессией CD30 [13, 14]. В 2013 г. W. Kempf и соавт. (2013) был описан новый клинико-морфологический вариант ЛиП — тип Е (от esсhara — струп), который клинически характеризовался наличием крупных язвенно-некротических очагов до 4 см в диаметре, гистологически — наличием в дерме ангиоцентрического/ангиодеструктивного инфильтрата из атипичных CD30+ лимфоидных клеток [15]. Течение ЛиП типа Е также завершалось спонтанной регрессией элементов с формированием атрофии, а прогноз для пациентов расценивался как благоприятный [15].
В демонстрируемом нами случае клиническая картина у пациента в большей степени соответствовала ЛиП типа Е, так как высыпания были представлены множественными узлами красного цвета с синюшным оттенком, которые очень быстро некротизировались и изъязвлялись, а затем самостоятельно разрешились. Однако при проведении гистологического исследования признаков ангиоцентрического ангиодеструктивного инфильтрата в дерме обнаружено не было, в целом гистологическая картина соответствовала типу С. Возможно, это связано с тем, что биопсия была взята из свежего узла и в нем еще не успели развиться признаки поражения сосудов.
Одной из особенностей ЛиП является одномоментное существование на коже элементов, которые представлены разными гистологическими типами, способными изменяться с течением заболевания. Однако стоит отметить, что определение гистологического типа не имеет прогностической ценности в вопросах клинического исхода заболевания или формирования терапевтического алгоритма для больного [1].
Диагностика ЛиП у детей сложна, что обусловлено малой частотой встречаемости заболевания в педиатрической практике. Зачастую первичный диагноз у детей с ЛиП — это укусы насекомых. Дифференциальный диагноз ЛиП должен включать острый лихеноидный и оспенноподобный питириаз, анапластическую крупноклеточную лимфому кожи, поражение кожи при болезни Ходжкина, грибовидный микоз, фолликулит, гистиоцитоз из клеток Лангерганса, доброкачественную лимфоцитарную гиперплазию [16].
В курации пациентов с ЛиП применим индивидуальный подход. В случаях, характеризующихся появлением на коже единичных элементов небольшого размера, допускается тактика «наблюдай и жди». При наличии у пациента более выраженных клинических проявлений заболевания возможно назначение 5–30 мг метотрексата (1 раз/нед подкожно или перорально) [17]. Топические глюкокортикостероиды и фототерапия также эффективны у пациентов с ЛиП, однако в детской популяции следует отказаться от проведения P/T-UVA-терапии и отдать предпочтение UVB-терапии в связи с высоким риском формирования эпителиальных или меланоцитарных злокачественных новообразований в долгосрочной перспективе [4, 17].
Заключение
ЛиП — лимфопролиферативное заболевание из группы первичных кожных лимфом, редко встречается у пациентов детского возраста. Несмотря на то что ЛиП характеризуется доброкачественным течением и благоприятным прогнозом для пациента, дети с данным заболеванием подлежат пожизненному наблюдению у дерматовенеролога и онколога. Это связано с высокой вероятностью (в 10–15%) развития параллельно протекающих или последующих неопластических процессов, среди которых на первом месте в детском возрасте стоит грибовидный микоз, реже могут развиться первичная кожная или нодальная СD30+ анапластическая лимфома, лимфогранулематоз.
На сегодняшний день не разработано четких алгоритмов по лечению ЛиП у детей, а методы, применяемые у взрослых, имеют ограничения для использования в детской популяции, что диктует необходимость формирования индивидуальной терапевтической тактики для ребенка с ЛиП.
About the authors
Denis V. Zaslavsky
Saint-Petersburg State Pediatric Medical University
Author for correspondence.
Email: venerology@gmail.com
ORCID iD: 0000-0001-5936-6232
SPIN-code: 5832-9510
Dr. Sci. (Med.), Professor
Россия, Saint PetersburgIgor A. Gorlanov
Saint-Petersburg State Pediatric Medical University
Email: Gorlanov53@mail.ru
ORCID iD: 0000-0001-9985-6965
SPIN-code: 1195-6225
Dr. Sci. (Med.), Professor
Россия, Saint PetersburgIrena E. Belousova
S.M. Kirov Military Medical Academy
Email: irena.belousova@mail.ru
ORCID iD: 0000-0002-4374-4435
SPIN-code: 6386-1117
Dr. Sci. (Med.), Professor
Россия, Saint PetersburgElena S. Bolshakova
Saint-Petersburg State Pediatric Medical University
Email: bolena2007@rambler.ru
ORCID iD: 0000-0001-6765-981X
SPIN-code: 3575-9521
Россия, Saint Petersburg
Anna A. Artykova
Saint-Petersburg State Pediatric Medical University
Email: anna.artykova95@mail.ru
ORCID iD: 0000-0003-2845-1797
SPIN-code: 3981-0739
Россия, Saint Petersburg
Albina S. Nekrasova
Saint-Petersburg State Pediatric Medical University
Email: binush@yandex.ru
ORCID iD: 0009-0003-6323-1770
SPIN-code: 2010-1410
Россия, Saint Petersburg
Ekaterina A. Lyamina
Saint-Petersburg State Pediatric Medical University
Email: katerina_lyamina00@mail.ru
ORCID iD: 0009-0005-1932-3373
Россия, Saint Petersburg
Daria V. Kozlova
Saint-Petersburg State Pediatric Medical University
Email: Dashauchenaya@yandex.ru
ORCID iD: 0000-0002-6942-2880
SPIN-code: 3783-8565
Россия, Saint Petersburg
References
- Белоусова И.Э., Казаков Д.В., Самцов А.В. Лимфопролиферативные заболевания кожи. М.: ГЭОТАР-Медиа; 2022. 272 с. [Belousova IE, Kаzakov DV, Samtsov AV. Lymphoproliferative diseases of skin. Moscow: GEOTAR-Media; 2022. 272 p. (In Russ.)]
- Заславский Д.В., Сыдиков А.А., Дроздова Л.Н., Минеева О.К., Чупров И.Н., Волькенштейн П., и др. Раннее начало грибовидного микоза. Случай из практики. Вестник дерматологии и венерологии. 2015;1:99–103. [Zaslavsky DV, Sidikov AA, Drozdova LN, Mineeva OK, Chuprov IN, Wolkenstein P, et al. Early onset of mycosis fungoides. Case from practice. Vestnik Dermatologii i Venerologii. 2015;1:99–103. (In Russ.)].
- Nowicka D, Mertowska P, Mertowski S, Hymos A, Forma A, Michalski A, et al. Etiopathogenesis, Diagnosis, and Treatment Strategies for Lymphomatoid Papulosis with Particular Emphasis on the Role of the Immune System. Cells. 2022;11(22):3697. doi: 10.3390/cells11223697
- Toumi A, Fazal S, Litaiem N. Lymphomatoid Papulosis. 2022. Jun. 19. In: StatPearls. Treasure Island (FL): StatPearls Publishing; 2022.
- Gomes N, Nogueira A, Silva R, Azevedo F. Multiple painless papulonodules in a 3-year-old girl: type A lymphomatoid papulosis. An Bras Dermatol. 2022;97(5):689–690. doi: 10.1016/j.abd.2020.11.020
- Kempf W, Kazakov DV, Belousova IE, Mitteldorf C, Kerl K. Paediatric cutaneous lymphomas: a review and comparison with adult counterparts. J Eur Acad Dermatol Venereol. 2015;29(9):1696–1709. doi: 10.1111/jdv.13044
- Олисова О.Ю., Карамова А.Э., Знаменская Л.Ф., Чикин В.В., Горланов И.А., Сыдиков А.А., и др. Федеральные клинические рекомендации по ведению больных васкулитами, ограниченными кожей. М.; 2015. 21 с. [Olisova OYu, Karamova AE, Znamenskaya LF, Chikin VV, Gorlanov IA, Sydikov AA, et al. Federal clinical guidelines for the management of patients with vasculitis limited to the skin. Moscow; 2015. 21 р. (In Russ.)]
- Сидоренко О.А., Анисимова Л.А., Старостенко В.В. Клинический случай лимфоматоидного папулеза у ребенка. Дерматовенерология. Косметология. 2015;2(2):64–68. [Sidorenko OA, Anisimova LA, Starostenko VV. Clinical case of a child with lymphomatoid papulosis. Dermatovenerologiya. Kosmetologiya. 2015;2(2):64–68. (In Russ.)]
- Fink-Puches R, Chott A, Ardigó M, Simonitsch I, Ferrara G, Kerl H, et al. The spectrum of cutaneous lymphomas in patients less than 20 years of age. Pediatr Dermatol. 2004;21(5):525–533. doi: 10.1111/j.0736-8046.2004.21500.x
- Boccara O, Blanche S, de Prost Y, Brousse N, Bodemer C, Fraitag S. Cutaneous hematologic disorders in children. Pediatr Blood Cancer. 2012;58(2):226–232. doi: 10.1002/pbc.23103
- Miquel J, Fraitag S, Hamel-Teillac D, Molina T, Brousse N, de Prost Y, et al. Lymphomatoid papulosis in children: a series of 25 cases. Br J Dermatol. 2014;171(5):1138–1146. doi: 10.1111/bjd.13061
- Wieser I, Wohlmuth C, Nunez CA, Duvic M. Lymphomatoid Papulosis in Children and Adolescents: A Systematic Review. Am J Clin Dermatol. 2016;17(4):319–327. doi: 10.1007/s40257-016-0192-6
- Karai LJ, Kadin ME, Hsi ED, Sluzevich JC, Ketterling RP, Knudson RA, et al. Chromosomal Rearrangements of 6p25.3 Define a New Subtype of Lymphomatoid Papulosis. Am J Surg Pathol. 2013;37(8):1173–1181. doi: 10.1097/PAS.0b013e318282d01e
- Elder DE, Massi D, Scolyer RA, Willemze R (eds). WHO classification of skin tumours. 4th ed. Lyon: IARC; 2018.
- Kempf W, Kazakov DV, Schärer L, Rütten A, Mentzel T, Paredes BE, et al. Angioinvasive lymphomatoid papulosis: a new variant simulating aggressive lymphomas. Am J Surg Pathol. 2013;37(1):1–13. doi: 10.1097/PAS.0b013e3182648596
- Чупров И.Н., Сыдиков А.А., Заславский Д.В., Насыров Р.А. Дерматоонкопатология. М.: ГЭОТАР-Медиа; 2021. 528 с. [Chuprov IN, Sydikov AA, Zaslavsky DV, Nasyrov RA. Dermatooncopathology. Moscow: GEOTAR-Media; 2021. 528 p. (In Russ.)]
- Bruijn MS, Horváth B, van Voorst Vader PC, Willemze R, Vermeer MH. Recommendations for treatment of lymphomatoid papulosis with methotrexate: a report from the Dutch Cutaneous Lymphoma Group. Br J Dermatol. 2015;173(5):1319–1322. doi: 10.1111/bjd.13920
Supplementary files














