Skin lesion of external auditory canal in a patient with seborrheic dermatitis
- Authors: Dvornikov A.S.1, Kriukov A.I.1,2, Gaydina T.A.1,3,4, Shadrin G.B.2, Munzalevskaya Y.D.2, Patsap O.I.4
-
Affiliations:
- Pirogov Russian National Research Medical University (Pirogov Medical University)
- Scientific Research Clinical Institute of Otolaryngology named after L.I. Sverzhevsky
- Scientific Research Clinical Institute of Otolaryngology named after L.I. Sverzhevsky,
- Federal Center of Brain Research and Neurotechnologies of Federal Medical Biological Agency
- Issue: Vol 100, No 5 (2024)
- Pages: 79-88
- Section: CLINICAL CASE REPORTS
- Submitted: 05.03.2024
- Accepted: 02.08.2024
- Published: 23.11.2024
- URL: https://vestnikdv.ru/jour/article/view/16772
- DOI: https://doi.org/10.25208/vdv16772
- ID: 16772
Cite item
Full Text
Abstract
Patient K. turned to a dermatologist with complaints of periodic itching in the scalp skin, face, auricles, external auditory canals with discomfort and discharge from them. Clinical diagnosis: seborrheic dermatitis. At the otolaryngologist consultation, the patient was diagnosed with bilateral external otitis media with the formation of hyperkeratotic casts in both external auditory canals. Seborrheic dermatitis was treated in two stages. At the first stage, itraconazole 200 mg was prescribed orally 1 time per day for the first week of treatment, then 200 mg orally 1 time per day for the first two days of each month for 3 months and externally on the scalp ketoconazole shampoo 2% 2 times a week for 4 weeks, then 1 time in 2 weeks. At the second stage, isotretinoin was administered orally at a dosage of 10 mg per day in an intermittent mode. A positive clinical result was obtained against the background of the therapy. The patient continues to remain under supervision.
Full Text
Актуальность
Себорейный дерматит (СД) является хроническим рецидивирующим заболеванием кожи, проявляющимся воспалением и десквамацией кожи в областях скопления сальных желез. Распространенность СД в мире составляет около 5%, распространенность перхоти без признаков воспаления приближается к 50% [1].
Развитие хронического наружного отита (НО) на фоне СД обусловлено поздней диагностикой проявлений заболевания на коже наружного слухового прохода (НСП) вследствие ограниченной визуализации на приеме врача-дерматовенеролога, недостаточной эффективностью наружной терапии, а также трудностью нанесения топических средств в данной области. Диагноз НО охватывает широкий спектр состояний — от тех, которые вызывают незначительные воспаление и дискомфорт, до жизнеугрожающих, и является одним из наиболее распространенных диагнозов в оториноларингологической практике [2]. Эпидемиология НО недостаточно изучена в связи с несовершенством дефиниции термина и различными обозначениями одного и того же патологического процесса [2]. Воспалительные заболевания наружного уха встречаются во всех странах и регионах земного шара, но наиболее часто наблюдаются в жарких и влажных климатических регионах. В среднем каждый десятый человек на протяжении жизни минимум один раз переносит НО, а до 5% населения страдают хронической формой [3].
В последние десятилетия врачи-оториноларингологи отмечают рост количества пациентов с НО на фоне дерматологических заболеваний, которые осложняют течение НО или являются его непосредственной причиной. При выявлении пациентов с хроническим НО необходима консультация врача-дерматовенеролога, поскольку диагностирование первичного основного кожного заболевания достигает 82% [4]. Необходимы поиск новых средств и методов лечения, оптимизация применения известных препаратов, разработка современных схем терапии НО на фоне дерматологических заболеваний [5].
Описание случая
Результаты физикального, лабораторного и инструментального исследования
Консультация врача-дерматовенеролога. 01.02.2023: пациентка К., 32 года, обратилась на прием к врачу-дерматовенерологу с жалобами на высыпания на коже волосистой части головы, умеренный зуд. Периодически беспокоят выделения из НСП, ощущение дискомфорта и зуд в области НСП.
Анамнез болезни: со слов пациентки, более 5 лет она отмечает выраженное шелушение кожи волосистой части головы и НСП. Периодически проводит симптоматическое лечение отита топическими средствами у врача-оториноларинголога (капли в уши лидокаин + неомицин + полимиксин по 4–5 капель 4 раза/сут, курс лечения — 7 дней; капли в уши хлорамфеникол + беклометазона дипропионат + клотримазол + лидокаин по 4–5 капель 4 раза/сут, курс лечения — 7 дней; беклометазон при зуде наносить тонким слоем на всю пораженную поверхность кожи ушной раковины и окружающие ткани 2 раза/день — утром и на ночь, курс — 3 недели) без существенной положительной динамики. Последний год отмечает снижение слуха. Из анамнеза известно, что 2 года назад проходила стационарное лечение с диагнозом: «Фурункул наружного слухового прохода слева». При микробиологическом исследовании отделяемого фурункула обнаружена Enterococcus faecalis 10*5 КОЕ. В последующем при обследовании у врачей-оториноларингологов периодически выделялась различная патогенная микробиота с кожи НСП.
Анамнез жизни. Росла и развивалась в соответствии с возрастом. Кожных заболеваний у родственников не выявлено. Операции, травмы отрицает. Избыточную инсоляцию отрицает. Перенесенные заболевания: ОРВИ, ветряная оспа. Аллергологический анамнез не отягощен. Сопутствующие заболевания, сахарный диабет отрицает. В течение нескольких лет самостоятельно принимает на постоянной основе аминофенилмасляную кислоту (фенибут) 250 мг на ночь для улучшения сна. На учете в психоневрологическом диспансере не состоит.
Состояние в настоящее время. Состояние удовлетворительное. Кожный покров и видимые слизистые нормальной окраски. У больной наблюдаются изменение цвета эмали зубов, выраженный отек слизистой оболочки десен. Заключение стоматолога: рекомендована гигиеническая чистка зубов.
Местный статус. Патологический процесс на коже волосистой части головы носит распространенный характер, на завитках ушных раковин, заушных складках представлен желтоватыми чешуйками, которые сливаются и образуют обширные корки, расположенные на внешне неизмененной коже (рис. 1). При дерматоскопическом исследовании кожи волосистой части головы визуализируются желтоватые чешуйки, скопления чешуек на незначительно эритематозном фоне. Кожа лица сухая, симметричное шелушение в области носогубных складок, крыльев носа, щек, подбородка. При дерматоскопическом исследовании кожи лица визуализируются мелкие желтоватые чешуйки, фолликулярные пробки, оранжево-желтоватые пятна. Кожа ушных раковин и НСП в пределах видимости повышенной сухости, с расширенными порами. При осмотре ротовой полости слизистая оболочка бледно-розового цвета, достаточно увлажнена, без изъязвлений. Значительные темно-коричневые отложения на эмали передних зубов (см. рис. 1).
Рис. 1. Внешний вид пациентки: а — макроскопический снимок волосистой части головы. Патологический процесс на коже представлен желтоватыми чешуйками, которые сливаются и образуют обширные корки; б — макроскопический снимок лица пациентки. Красной линией обведена область, в которой сделан дерматоскопический снимок; в — дерматоскопический снимок при помощи оптического устройства Handyscope (DermLite) с 20-кратным увеличением (FotoFinder, Германия), сопряженного со смартфоном под управлением мобильного приложения Handyscope pro
Fig. 1. Patient’s appearance: a — a macroscopic image of the patient’s scalp. The pathological process on the scalp is represented by yellowish scales that merge and form extensive crusts; б — a macroscopic image of the patient’s face. The red line encircles the area where the dermatoscopic image was taken; в — a dermatoscopic image using an optical device Handyscope (DermLite) with 20× magnification (FotoFinder, Germany) paired with the Handyscope pro mobile application
Диагноз клинический: «L21.9 Себорейный дерматит».
Назначен первый этап терапии (см. подраздел «Лечение»).
Консультация врача-оториноларинголога. AD (правое ухо) — пальпация сосцевидного отростка, козелка безболезненна. Кожа заушной области покрыта желтоватыми чешуйками. Форма ушной раковины без особенностей. Отоскопия: НСП широкий, обтурирован гиперкератотическими массами, которые плотно сращены с подлежащей кожей и формируют гиперкератотический слепок. Кожа ладьи ушной раковины повышенной сухости, с расширенными порами, кожа хрящевой части НСП гиперемирована, истончена. Барабанная перепонка сероватая, с опознавательными пунктами, без отделяемого (рис. 2).
Рис. 2. Правое ухо: а — макроскопический снимок правой ушной раковины; б — отоэндоскопический снимок с помощью аппарата «ПЭС-2» (Otopront, Германия) и жесткого оптического световода (Karl Storz, Германия): длина — 15 см, диаметр — 4 мм, угол зрения — 0°. В наружном слуховом проходе выявлены гиперкератотические массы; в — состояние кожи наружного слухового прохода после механического удаления гиперкератотического слепка
Fig. 2. The right ear: а — macroscopic image of the right auricle; б — otoendoscopic image using the device PES-2 (Otopront, Germany) and a rigid optical fiber (Karl Storz, Germany): length — 15 cm, diameter — 4 mm, angle of view — 0°. Hyperkeratotic masses were detected in the external auditory canal; в — the condition of the skin of the external auditory canal after mechanical removal of the hyperkeratotic cast
AS (левое ухо) — пальпация сосцевидного отростка, козелка безболезненна. Кожа заушной области покрыта желтоватыми чешуйками, которые образуют корки. Форма ушной раковины без особенностей. Отоскопия: НСП широкий, обтурирован гиперкератотическими массами, которые плотно сращены с подлежащей кожей и формируют гиперкератотический слепок. Кожа ладьи ушной раковины повышенной сухости, с расширенными порами, кожа хрящевой части НСП гиперемирована, истончена. Барабанная перепонка без особенностей, серого цвета (рис. 3).
Рис. 3. Левое ухо: а — макроскопический снимок левой ушной раковины; б — отоэндоскопический снимок с помощью аппарата «ПЭС-2» (Otopront, Германия) и жесткого оптического световода (Karl Storz, Германия): длина — 15 см, диаметр — 4 мм, угол зрения — 0°. В наружном слуховом проходе выявлены гиперкератотические массы; в — состояние кожи наружного слухового прохода после механического удаления гиперкератотического слепка
Fig. 3. The left ear: а — macroscopic image of the left auricle; б — otoendoscopic image using the device PES-2 (Otopront, Germany) and a rigid optical fiber (Karl Storz, Germany): length — 15 cm, diameter — 4 mm, angle of view — 0°. Hyperkeratotic masses were detected in the external auditory canal; в — the condition of the skin of the external auditory canal after mechanical removal of the hyperkeratotic cast
Диагноз клинический: «H60.8 Хронический двусторонний наружный отит, экзематозная форма».
Механическим путем из НСП обоих ушей удалены гиперкератотические слепки и направлены на гистологическое исследование (рис. 4).
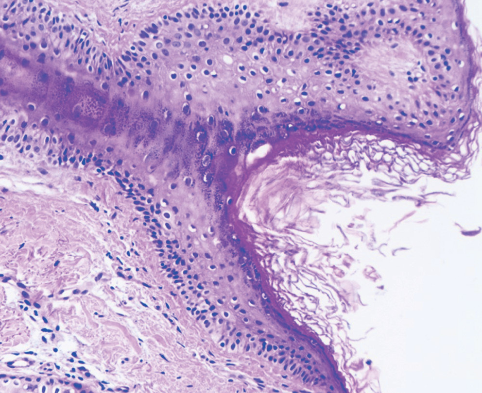
Рис. 4. Гиперкератотический слепок и гистологические изображения слепка из правого наружного слухового прохода: а — в результате патологического процесса на коже наружного слухового прохода формируется гиперкератотический слепок, плотно сращенный с подлежащей кожей. Гистологические изображения гиперкератотического слепка из правого наружного слухового прохода: б — окраска гематоксилином и эозином, увеличение ×400; в — споры дрожжеподобных грибков. Окраска гематоксилином и эозином, увеличение ×1000; г — слоистые кератиновые массы. Окраска гематоксилином и эозином, увеличение ×400
Fig. 4. Hyperkeratotic cast and histological images: а — a result of a pathological process, a hyperkeratotic cast is formed in the external auditory canal, tightly fused with the underlying skin. Histological image of a hyperkeratotic cast from the right external auditory canal: б — staining with hematoxylin and eosin, magnification ×400; в — spores of yeast-like fungi. Hematoxylin and eosin staining, ×1000 magnification; г — layered keratin masses. Staining with hematoxylin and eosin, ×400 magnification
Заключительный диагноз: «H62.2 — наружный отит при микозах».
Результаты лабораторных и инструментальных методов исследования представлены в табл. 1.
Таблица 1. Результаты лабораторных и инструментальных методов исследования пациента
Table 1. The results of laboratory and instrumental methods of examination of the patient
Лабораторные и инструментальные исследования | Результаты |
Общий анализ мочи | Без патологии |
Общий (клинический) анализ крови | Без патологии |
Биохимический анализ крови | АЛТ — 12,6 Е/л; АСТ — 18 Е/л; белок общий — 82 г/л; билирубин общий — 4,4 мкмоль/л; билирубин прямой — 2,3 мкмоль/л; глюкоза — 4,44 ммоль/л; креатинин — 66,9 мкмоль/л; магний — 1,1 ммоль/л; кальций — 2,34 ммоль/л; натрий — 145,53 ммоль/л; калий — 4,42 ммоль/л; железо — 16,8 ммоль/л; фосфор — 1,41 ммоль/л; витамин В12 — 414 пг/мл |
Бактериологическое исследование на патогенные грибы из очагов поражения на коже волосистой части головы | Роста нет, при микроскопии элементы гриба не обнаружены |
Бактериологическое исследование отделяемого из ушей 23.01.2021 04.10.2022 10.07.2023 09.09.2023 | Enterococcus faecalis 10*5 КОЕ Corynebacterium afermentas 10*3 KOE Микробиота не выявлена Klebsiella pneumoniae 10*5 КОЕ, Staph. epidermidis 10*2 KOE |
Дифференциальный диагноз
Диагноз СД у пациентки не вызывал затруднений, был подтвержден анамнестическими (характерные высыпания, желтоватые корки на коже более 5 лет, зуд и ощущение дискомфорта кожи волосистой части головы и НСП) и физикальными (обширные корки на внешне неизмененной коже волосистой части головы) данными, дерматоскопическим исследованием (визуализировались мелкие желтоватые чешуйки, фолликулярные пробки, оранжево-желтоватые пятна), а также гистологическим исследованием (выявлены неравномерная атрофия, акантоз, рекативная гиперплазия базального слоя многослойного плоского эпителия, субэпителиально в дерме отмечается слабая периваскулярная лимфоцитарная инфильтрация). Дифференциальный диагноз проводился с псориазом (отсутствуют характерная клиническая симптоматика и гистологическая картина) и демодекозом (соскоб на демодекс отрицательный).
Лечение
Терапия пациентке проводилась в два этапа.
Первым этапом пациентке был назначен курс противогрибковой терапии:
1) перорально: итраконазол 200 мг 1 раз/сут в течение 1-й недели лечения, затем — 200 мг 1 раз/сут в течение первых двух дней каждого месяца лечения в течение 3 месяцев;
2) наружно: на пораженную кожу головы кетоконазол шампунь 2% 2 раза/нед в течение 4 недель, затем — 1 раз/2 нед;
3) наружно: на пораженную кожу НСП с целью улучшения эпителизации после удаления гиперкератотических слепков гель с альгинатом натрия, дезо-ксирибонуклеатом натрия (деринатом) и лидокаином. Небольшое количество геля размером с горошину наносить на кожу НСП 2 раза/сут на протяжении 14 дней.
Вторым этапом терапии пациентке были назначены системные ретиноиды. Внутрь изотретиноин по 10 мг в интермиттирующем режиме через день в течение 12 недель.
Повторная консультация врача-дерматовенеролога после первого этапа терапии.
14.04.2023 на приеме пациентка продолжает жаловаться на периодический умеренный зуд кожи волосистой части головы, ощущение дискомфорта и зуд в области НСП.
Местный статус. Без значительных изменений. Для верификации диагноза проведена панч-биопсия кожи волосистой части головы (рис. 5).
Рис. 5. Снимки волосистой части головы: а — макроснимок кожи волосистой части головы. Черной линией обозначена область взятия панч-биопсии; б —дерматоскопический снимок с помощью оптического устройства Handyscope (DermLite) с 20-кратным увеличением (FotoFinder; Германия), сопряженного со смартфоном под управлением мобильного приложения Handyscope pro. На коже волосистой части головы визуализируются желтоватые чешуйки, скопления чешуек на незначительно эритематозном фоне; в — гистологическое исследование кожи волосистой части головы. Выявлены неравномерная атрофия, акантоз, рекативная гиперплазия базального слоя многослойного плоского эпителия, субэпителиально в дерме отмечается слабая периваскулярная лимфоцитарная инфильтрация, что соответствует себорейному дерматиту. Окраска гематоксилином и эозином, ×200
Fig. 5. A scalp images: а — a macro photograph of the scalp. The black line indicates the area of the punch biopsy; б — a dermatoscopic image using a Handyscope optical device (DermLite) with 20× magnification (FotoFinder; Germany) paired with the Handyscope pro mobile application. Yellowish scales and clusters of scales on a slightly erythematous background are visualized on the scalp skin; в — histological examination of the scalp skin. Uneven atrophy, acanthosis, and reactive basal hyperplasia of the multilayer squamous epithelium were revealed, subepithelial weak perivascular lymphocytic infiltration is noted in the dermis, which corresponds to seborrheic dermatitis. Staining with hematoxylin and eosin, ×200
Диагноз: «21.9 Себорейный дерматит».
В связи с незначительным эффектом отменен итраконазол. Назначен второй этап терапии.
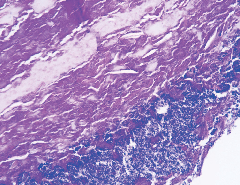
Повторная консультация врача-отоларинголога после первого этапа терапии. 14.04.2023: состояние кожи НСП без динамики. Из обоих НСП удалены гиперкератотические слепки, плотно сращенные с подлежащей кожей. Извлеченный материал отправлен на гистологическое исследование (рис. 6).
Рис. 6. Гистологическое изображение гиперкератотического слепка из левого наружного слухового прохода после первого этапа лечения. Слоистые кератиновые массы и небольшое количество нейтрофильных лейкоцитов. Споры грибов отсутствуют. Окраска гематоксилином и эозином, ×200
Fig. 6. Histological image of a hyperkeratotic cast from the left external auditory canal after the first stage of treatment. Layered keratin masses and a small number of neutrophilic leukocytes. There are no fungal spores. Staining with hematoxylin and eosin, ×200
Рекомендовано динамическое наблюдение и посещение врача-оториноларинголога 1 раз/мес для удаления гиперкератотических слепков.
Повторная консультация врача-дерматовенеролога после второго этапа терапии. 16.06.2023: пациентка отмечает значительное улучшение состояния кожи волосистой части головы. Для контроля состояния кожи и оценки эффективности лечения проведена повторная панч-биопсия (рис. 7).
Рис. 7. Гистологическое изображение кожи волосистой части головы после второго этапа терапии. Выявлены неравномерная атрофия, акантоз, реактивная гиперплазия базального слоя многослойного плоского эпителия; субэпителиально в дерме воспалительной инфильтрации не отмечается. Окраска гематоксилином и эозином, ×200
Fig. 7. Scalp skin after the second stage of therapy. Histological examination of the scalp skin revealed uneven atrophy, acanthosis, reactive basal hyperplasia of the multilayer squamous epithelium; subepithelial inflammatory infiltration was not observed in the dermis. Staining with hematoxylin and eosin, ×200
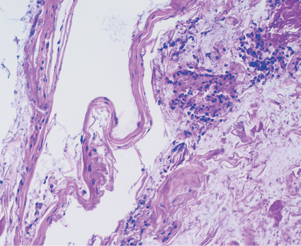
Повторная консультация врача-оториноларинголога после второго этапа терапии. Состояние кожи обоих НСП значительно улучшилось. Извлеченные гиперкератотические слепки стали более тонкие, легче отделялись от кожи. Из обоих НСП удалены гиперкератотические слепки. Удаленный материал отправлен на гистологическое исследование (рис. 8).
Рис. 8. Гистологическое изображение гиперкератотического слепка из левого наружного слухового прохода после второго этапа терапии. Слоистые некротизированные кератиновые массы и поверхностные скопления смешанной (кокко-бациллярной) бактериальной флоры. Окраска гематоксилином и эозином, ×200
Fig. 8. Hyperkeratotic cast from the left external auditory canal after the second stage of therapy. Layered necrotic keratin masses and surface accumulations of mixed (cocco-bacillary) bacterial flora. Staining with hematoxylin and eosin, ×200
Исход и результаты последующего наблюдения. При осмотре клиническая картина значительно улучшилась. Учитывая положительную динамику клинической картины СД и патоморфологическое улучшение при системной терапии изотретиноином, было принято решение продолжить терапию под динамическим наблюдением врача-дерматовенеролога и врача-оториноларинголога.
Обсуждение
В представленном клиническом случае описана пациентка с тяжелым течением СД, плохо поддающегося стандартной терапии. Несмотря на то, что общий соматический статус пациентки без особенностей, она испытывает сильный психологический дискомфорт от проявлений СД.
В настоящий момент в научном сообществе нет единого мнения об этиологии СД. Основными звеньями патогенеза считаются изменения качественного и количественного состава кожного сала, нарушение эпидермального барьера кожи и дефектный иммунный ответ на колонизацию кожи Malassezia spp. [6]. Детальное изучение состава и функционирования микробиоты кожи человека выявило нарушения при СД, однако до сих пор не ясно, является ли СД результатом изменения микробиома или сам провоцирует дисбактериоз [7]. В исследовании, проведенном Р. Suchonwanit и соавт. (2019), доказано, что среднее содержание липидов на поверхности кожи пациентов с СД выше, чем у здоровых испытуемых, и коррелирует с тяжестью СД [8]. Авторы предположили, что возможные изменения в липидном составе возникают из-за аномального процесса ороговения в пораженной коже. Было доказано, что повышенная секреция кожного сала нарушает регуляцию шелушения и липидной организации в роговом слое эпидермиса [8]. J. Nowowiejska и соавт. (2023) проанализировали данные научной литературы об изменении липидов кожи и нарушении их метаболизма при СД и пришли к выводу о необходимости дополнительных исследований [9].
Клинические проявления СД на коже НСП обусловлены особенностями строения данной области. Отличительной особенностью кожи хрящевого отдела НСП является слой хорошо развитой подкожной жировой клетчатки, содержащей апокринные церуминозные железы, которые продуцируют жировосковую смесь, выполняющую защитную функцию [10]. В норме НСП представляет собой самоочищающуюся структуру. Сера образует липидную пленку, защищающую кожу НСП, понижающую уровень рН и содержащую лизоцим, тем самым создавая не-благоприятную среду для болезнетворных микроорганизмов [11].
Проявления СД на коже НСП мало изучены, однако известны тяжелые осложнения хронического НО: приобретенный стеноз НСП, атрезия его просвета, кондуктивная тугоухость [12]. В зарубежной литературе для обозначения состояния, когда НСП обтурирован гиперкератотическими массами, которые плотно сращены с подлежащей кожей, используют термин «обтурирующий кератоз» [13, 14]. Общепринятого термина для удаленных гиперкератотических масс в литературе нет, мы использовали для их обозначения термин «гиперкератотический слепок».
У пациентки К. происходило формирование гиперкератотического слепка в просвете НСП на фоне СД. Данная патология значительно снижает слух пациента по кондуктивному типу. Механическое удаление гиперкератотического слепка является, по сути, ятрогенной травмой, провоцирующей образование нового гиперкератотического слепка и тем самым формирующей порочный круг. Поиск терапии остается открытым. Учитывая труднодоступность обработки кожи НСП наружными средствами, предпочтителен поиск системной терапии.
В зарубежной и отечественной литературе описано успешное применение при СД системной терапии изотретиноином [15–17]. Под действием ретиноидов улучшается состояние рогового слоя эпидермиса, снижается трансэпидермальная потеря воды, отшелушивается верхняя часть рогового слоя эпидермиса, что останавливает развитие гиперкератоза [18]. В научной литературе описана успешная терапия СД пероральными ретиноидами (изотретиноином) в низких дозировках в пределах 0,1–0,3 мг/кг/день в интермиттирующем режиме [16, 19, 20].
Согласно Российским клиническим рекомендациям, при резистентности СД к наружной терапии и большой площади поражения возможно системное применение противогрибковых препаратов [21]. Пациентке была проведена системная терапия итраконазолом с положительным клиническим результатом, однако полной ремиссии после проведенного лечения не наступило. Учитывая тяжесть СД, выраженный гиперкератоз кожи НСП, вторым этапом терапии пациентке была проведена системная терапия низкими дозами изотретиноина по 10 мг в интермиттирующем режиме через день в течение 12 недель.
В Российской Федерации назначение и применение зарегистрированных препаратов не по инструкции без подтвержденных клинических исследований может быть допустимо, когда других возможных методов лечения не существует и предполагается, что применение лекарственного препарата позволит избежать наступления неблагоприятного исхода, а потенциальная польза применения данного лекарственного препарата превосходит возможные риски. По решению врачебной комиссии пациентке был назначен изотретиноин «off label», применение которого не предусмотрено в Федеральных клинических рекомендациях по СД от 2022 г. [21, 22]. Доказано, что изотретиноин снижает секрецию сальных желез и стимулирует базальный апоптоз себоцитов.
В 2016–2017 гг. опубликованы научные статьи об эффективности использования изотретиноина при СД [16]. М. Rademaker и соавт. (2017) применяли изотретиноин в интермиттирующем режиме для лечения СД и описали выраженное положительное влияние на течение заболевания: уменьшение размера сальных желез на 51%, снижение выработки кожного сала на 64%, выраженное снижение воспаления [23]. Эффективность изотретиноина при СД объясняется себосупрессивным действием и модуляцией врожденного иммунитета за счет подавления сигнальных путей TLR-2 и NF-B со снижением продукции цитокинов, что приводит к уменьшению воспаления. При СД TLR-2 активируется липофильными грибами рода Malassezia у взрослых и Candida spp. у младенцев, присутствующими в нормальной микробиоте кожи, что объясняет возможность местного лечения СД с помощью противогрибковых средств. При обширных очагах поражения кожи и резистентных к местному лечению высыпаниях возможно системное лечение СД изотретиноином, который можно рассматривать как препарат второй линии терапии, однако в настоящий момент нет общепризнанных данных о дозировке препарата, схеме терапии и продолжительности лечения [24]. Использование низких дозировок сравнимо по эффективности с лечением в стандартной дозе, при этом существенно снижаются риски развития побочных эффектов [19]. После окончания лечения у пациентки наблюдалось значительное клиническое улучшение, которое подтвердилось гистологическим исследованием кожи волосистой части головы: отсутствие воспалительной инфильтрации в дерме (рис. 7). Улучшилось состояние кожи НСП: гиперкератотические слепки стали более тонкие, легче отделялись от кожи. В настоящий момент пациентка продолжает находиться под динамическим наблюдением врача-дерматовенеролога и врача-оториноларинголога на фоне продолжающейся терапии изотретиноином.
Заключение
Поражение кожи НСП на фоне СД может приводить к развитию НО с формированием гиперкератотического слепка и кондуктивной тугоухости. Необходимо консультирование пациентов с хроническим НО у врача-дерматовенеролога для своевременного выявления кожной патологии. Вопрос терапии пациентов требует дальнейшего изучения.
About the authors
Anton S. Dvornikov
Pirogov Russian National Research Medical University (Pirogov Medical University)
Email: doc429@yandex.ru
ORCID iD: 0000-0002-0429-3117
SPIN-code: 2023-5783
MD, Dr. Sci. (Med.), Professor
Россия, MoscowAndrey I. Kriukov
Pirogov Russian National Research Medical University (Pirogov Medical University); Scientific Research Clinical Institute of Otolaryngology named after L.I. Sverzhevsky
Email: krukov_ai@rsmu.ru
ORCID iD: 0000-0002-0149-0676
SPIN-code: 9393-8753
MD, Dr. Sci. (Med.), Professor, Corresponding Member of the Russian Academy of Sciences
Россия, Moscow; MoscowTatiana A. Gaydina
Pirogov Russian National Research Medical University (Pirogov Medical University); Scientific Research Clinical Institute of Otolaryngology named after L.I. Sverzhevsky,; Federal Center of Brain Research and Neurotechnologies of Federal Medical Biological Agency
Author for correspondence.
Email: doc429@yandex.ru
ORCID iD: 0000-0001-8485-3294
SPIN-code: 5216-2059
MD, Cand. Sci. (Med.), Assistant Professor
Россия, Moscow; Moscow; MoscowGeorgy B. Shadrin
Scientific Research Clinical Institute of Otolaryngology named after L.I. Sverzhevsky
Email: doc429@yandex.ru
ORCID iD: 0000-0002-3559-5302
SPIN-code: 7317-7344
MD, Cand. Sci. (Med.)
Россия, MoscowYuliya D. Munzalevskaya
Scientific Research Clinical Institute of Otolaryngology named after L.I. Sverzhevsky
Email: mynza_90@mail.ru
ORCID iD: 0009-0001-5112-3671
MD, PhD, Student
Россия, MoscowOlga I. Patsap
Federal Center of Brain Research and Neurotechnologies of Federal Medical Biological Agency
Email: olga@patsap.ru
ORCID iD: 0000-0003-4620-3922
SPIN-code: 6460-1758
MD, Cand. Sci. (Med.)
Россия, MoscowReferences
- Tucker D, Masood S. Seborrheic Dermatitis. In: StatPearls [Internet]. Treasure Island (FL): StatPearls Publishing; 2023. URL: https://www.ncbi.nlm.nih.gov/books/NBK551707 (accessed: 26.02.2024)
- Носуля Е.В., Кунельская В.Я., Ким И.А., Лучшева Ю.В. Наружный отит: клиническая диагностика и лечебная тактика. Вестник оториноларингологии. 2021;86(3):36–40. [Nosulya EV, Kunelskaya VYa, Kim IA, Luchsheva YuV. External otitis: clinical diagnostics and treatment tactics. Vestnik Oto-Rino-Laringologii. 2021;86(3):36–40. (In Russ.)] doi: 10.17116/otorino20218603136
- Клинические рекомендации. Наружные отиты. 2021; 35 с. [Klinicheskie rekomendatsii. Naruzhnye otity. 2021; 35 p. (In Russ.)]. URL: https://cr.minzdrav.gov.ru/schema/663_1 (accessed: 26.02.2024).
- Dhooge I, D’hoop M, Loose D, Acke F. Acquired atresia of the external auditory canal: long-term clinical and audiometric results after surgery. Otol Neurotol. 2014;35(7):1196–2000. doi: 10.1097/MAO.0000000000000317
- Кунельская В.Я., Ивойлов А.Ю., Милешина Н.А., Шадрин Г.Б., Мачулин А.И., Лучшева Ю.В. Лечение хронического экзематозного наружного отита. Вестник оториноларингологии. 2022;87(6):67–71. [Kunelskaya VYa, Ivoilov AYu, Mileshina NA, Shadrin GB, Machulin AI, Luchsheva YuV. Treatment of chronic eczematous otitis externa. Vestnik Oto-Rino-Laringologii. 2022;87(6):67–71. (In Russ.)] doi: 10.17116/otorino20228706167
- Dall’Oglio F, Nasca MR, Gerbino C, Micali G. An Overview of the Diagnosis and Management of Seborrheic Dermatitis. Clin Cosmet Investig Dermatol. 2022;15:1537–1548. doi: 10.2147/CCID.S284671
- Ferček I, Lugović-Mihić L, Tambić-Andrašević A, Ćesić D, Grginić AG, Bešlić I, et al. Features of the Skin Microbiota in Common Inflammatory Skin Diseases. Life (Basel). 2021;11(9):962. doi: 10.3390/life11090962
- Suchonwanit P, Triyangkulsri K, Ploydaeng M, Leerunyakul K. Assessing Biophysical and Physiological Profiles of Scalp Seborrheic Dermatitis in the Thai Population. Biomed Res Int. 2019;2019:5128376. doi: 10.1155/2019/5128376
- Nowowiejska J, Baran A, Flisiak I. Lipid Alterations and Metabolism Disturbances in Selected Inflammatory Skin Diseases. Int J Mol Sci. 2023;24(8):7053. doi: 10.3390/ijms24087053
- Свистушкин В.М., Никифорова Г.Н., Шевчик Е.А., Золотова А.В. Современные аспекты лечения воспалительных заболеваний наружного уха. Вестник оториноларингологии. 2021;86(3):90–96. [Svistushkin VM, Nikiforova GN, Shevchik EA, Zolotova AV. Modern aspects of inflammatory external ear diseases treatment. Vestnik Oto-Rino-Laringologii. 2021;86(3):90–96. (In Russ.)] doi: 10.17116/otorino20218603190
- Bilal N, Kirişçi Ö, Özkaya E. Demodex Species Infestation in Patients with Ear Itching and Its Relationship to Itch Severity. Türkiye Parazitol Derg. 2017;41(2):87–91. doi: 10.5152/tpd.2017.5070
- Guo L, Yang Y, Liu J, Su Y, Cai Z. Treatment of external auditory canal stenosis and atresia after transcanal endoscopic ear surgery. Am J Otolaryngol. 2023;45(2):104175. doi: 10.1016/j.amjoto.2023.104175
- Harounian JA, Patel VA, Isildak H. Contemporary management of keratosis obturans: a systematic review. J Laryngol Otol. 2021;135(9):759–764. doi: 10.1017/S0022215121001912
- Dalton SR, Ferringer T, Mowad CM. Obstruction of the external auditory canal by a keratin cast: Keratosis obturans or cholesteatoma? J Am Acad Dermatol. 2011;65(3):e88–e89. doi: 10.1016/j.jaad.2011.02.041
- Yanfei Z, Xiaoying N, Dingwei Z, Wei W, Jianwen R. Efficacy and safety of oral isotretinoin in the treatment of moderate to severe seborrheic dermatitis: a retrospective study. Int J Dermatol. 2023;62(6):759–763. doi: 10.1111/ijd.16582
- de Souza Leão Kamamoto C, Sanudo A, Hassun KM, Bagatin E. Low-dose oral isotretinoin for moderate to severe seborrhea and seborrheic dermatitis: a randomized comparative trial. Int J Dermatol. 2017;56(1):80–85. doi: 10.1111/ijd.13408
- Leroy AK, Cortez de Almeida RF, Obadia DL, Frattini S, Melo DF. Scalp Seborrheic Dermatitis: What We Know So Far. Skin Appendage Disord. 2023;9(3):160–164. doi: 10.1159/000529854
- Петрова С.Ю., Альбанова В.И., Ноздрин К.В., Гузев К.С. Основные эффекты воздействия ретинола пальмитата на структуры кожи и принципы его применения в дерматологической практике. Вестник дерматологии и венерологии. 2023;99(1):6–17. [Petrova SY, Albanova VI, Nozdrin KV, Guzev KS. Main effects of retinol palmitate on skin structures and the technology of its use in dermatological practice. Vestnik dermatologii i venerologii. 2023;99(1):6–17. (In Russ.)] doi: 10.25208/vdv1375
- Маркелова Е.М. Эффективность применения низких доз системного изотретиноина в лечении себорейного дерматита. Эффективная фармакотерапия. 2022;18(31):34–38. [Markelova EM. The effectiveness of the use of low doses of systemic isotretinoin in the treatment of Seborrheic Dermatitis. Effektivnaya farmakoterapiya. 2022;18(31):34–38. (In Russ.)] doi: 10.33978/2307-3586-2022-18-31-34-38
- Gualtieri B, Panduri S, Chiricozzi A, Romanelli M. Improvement of severe facial seborrheic dermatitis following low-dose isotretinoin therapy. G Ital Dermatol Venereol. 2020;155(5):685–686. doi: 10.23736/S0392-0488.18.06029-7
- Клинические рекомендации. Себорейный дерматит. 2022; 29 с. [Klinicheskie rekomendatsii. Seboreynyy dermatit. 2022; 29 p. (In Russ.)]. URL: https://cr.minzdrav.gov.ru/schema/215_2 (accessed: 26.02.2024).
- Барышникова И.Н., Кетова Г.Г., Зарипова Г.Р., Шамурова Ю.Ю., Кузин А.И., Шамина О.М. Нормативно-правовые аспекты назначения лекарственных препаратов не по инструкции (off-label) в Российской Федерации. Клиническая фармакология и терапия. 2023;32(2):73–79. [Baryshnikova IN, Ketova GG, Zaripova GR, Shamurova YuYu, Kuzin AI, Shamina OM. Normativno-pravovye aspekty naznacheniya lekarstvennykh preparatov ne po instruktsii (off-label) v Rossiyskoy Federatsii. Klinicheskaya farmakologiya i terapiya. 2023;32(2):73–79. (In Russ.)] doi: 10.32756/0869-5490-2023-2-73-79
- Rademaker M. Low-Dose Isotretinoin for Seborrhoeic Dermatitis. J Cutan Med Surg. 2017;21(2):170–171. doi: 10.1177/1203475416676806
- Bagatin E, Costa CS, Rocha MADD, Picosse FR, Kamamoto CSL, Pirmez R, et al. Consensus on the use of oral isotretinoin in dermatology — Brazilian Society of Dermatology. Ann Bras Dermatol. 2020;95(Suppl 1):19–38. doi: 10.1016/j.abd.2020.09.001
Supplementary files












