Paraneoplastic pembigus: clinical and diagnostic features
- Authors: Karamova A.E.1, Znamenskaya L.F.1, Nefedova M.A.1, Mekhdieva E.S.1, Girko E.V.1
-
Affiliations:
- State Research Center of Dermatovenereology and Cosmetology
- Issue: Vol 100, No 4 (2024)
- Pages: 85-93
- Section: CLINICAL CASE REPORTS
- Submitted: 08.05.2024
- Accepted: 15.07.2024
- Published: 26.08.2024
- URL: https://vestnikdv.ru/jour/article/view/16784
- DOI: https://doi.org/10.25208/vdv16784
- ID: 16784
Cite item
Full Text
Abstract
Paraneoplastic pemphigus is an autoimmune dermatosis following against the background of neoplasia. It can occur before cancer is diagnosed, during or shortly after treatment, and even during remission of the underlying disease. Typically, paraneoplastic pemphigus only refers to the deposition of IgG. The article is devoted to paraneoplastic IgA/IgG pemphigus, which is one of the rare forms of paraneoplastic pemphigus in which deposition of IgA together with IgG is observed. We have described a clinical case of a patient who developed various rashes during the period of remission of chronic lymphocytic leukemia. Diagnosis of paraneoplastic IgA/IgG pemphigus based on clinical and anamnestic data, the results of a diagnostic skin biopsy, immunofluorescence test, consultation with a hematologist and lab tests. Difficulties in diagnosing paraneoplastic pemphigus are due to the polymorphism of rashes and the variety of clinical and laboratory parameters, which may depend on concomitant oncological pathology. A diagnostic search requires an assessment of the clinical picture of the disease, a carefully collected anamnesis, and a complete diagnostic algorithm for patients with bullous dermatoses.
Keywords
Full Text
Актуальность
Паранеопластическая пузырчатка — это аутоиммунное пузырное заболевание, протекающее на фоне неоплазии внутренних органов, характеризующееся тяжелым поражением кожи, слизистых оболочек и развитием жизнеугрожающего состояния вследствие появления в организме больного аутоантител против белков различных семейств (плакоглобина, периплакина, энвоплакина, десмоплакина и др.), десмоглеинов 1,3 [1, 2]. Дерматоз может возникать до диагностирования онкологического заболевания, в течение или вскоре после лечения и даже в период ремиссии фонового заболевания [2, 3]. Впервые термин «паранеопластическая пузырчатка» предложен в 1990 г. G.J. Anhalt и соавт., хотя задолго до этого отечественными дерматологами были предприняты попытки установить взаимосвязь между злокачественными новообразованиями и их кожными проявлениями [4].
80% всех случаев паранеопластических пузырчаток связано с гематологической патологией, к которой относятся неходжкинские лимфомы, хронический лимфоцитарный лейкоз и болезнь Кастлемана [5]. Реже она сочетается с тимомой, макроглобулинемей Вальденстрема и лимфомой Ходжкина [6–8]. Также паранео- пластическая пузырчатка может быть ассоциирована с карциномами эпителиального происхождения, саркомами мезенхимального происхождения и злокачественной меланомой [9–11]. После удаления опухоли возможны быстрый регресс высыпаний и полное выздоровление [3].
Пациентов с паранеопластической пузырчаткой беспокоят болезненные пузыри и эрозии слизистых оболочек рта, гениталий, красной каймы губ, конъюнктивы глаз, полиморфизм высыпаний (пузыри с тонкой и плотной покрышками, папулы, эритема по типу «мишени» и др.) на коже туловища, верхних и нижних конечностей, ладоней и подошв [2]. Постановка диагноза вызывает трудности ввиду многообразия клинической картины и требует подробного сбора анамнеза, а также использования дополнительных методов диагностики [1]. При проведении реакции иммунофлуоресценции (РИФ) в коже больных паранеопластической пузырчаткой определяется отложение IgG и С3-компонента комплемента в эпидермальных межклеточных пространствах и часто гранулярное/линейное отложение комплемента вдоль зоны базальной мембраны эпидермиса [12, 13]. Отложение IgA совместно с IgG обнаруживается крайне редко [13, 14]. Приводим описание уникального клинического случая с отложением IgA и IgG при паранеопластической пузырчатке.
Описание клинического случая
Пациентка И.,69 лет, поступила в круглосуточный стационар ФГБУ «ГНЦДК» Минздрава России с диагнозами «вульгарная пузырчатка? буллезный пемфигоид?».
Из анамнеза известно, что считает себя больной с ноября 2017 г., когда впервые отметила появление выраженного зуда в области туловища и конечностей. В связи с этим обратилась в КВД по месту жительства, где поставлен диагноз «дерматоз неясной этиологии», проведено лечение преднизолоном 30 мг/сут перорально с постепенным снижением и полной отменой препарата через 2 месяца терапии. Эффекта от проведенного лечения не наблюдалось, сохранялся зуд той же интенсивности.
В январе 2018 г. проведено двукратное микроскопическое исследование соскоба кожи на наличие чесоточных клещей. Несмотря на отсутствие чесоточного клеща по результатам анализов, пациентке проведено противочесоточное лечение, после которого пациентка отметила усиление зуда, по поводу чего повторно проведена терапия системными глюкокортикоидами без эффекта.
Через 4 месяца от начала заболевания, в феврале 2018 г., пациентка отметила появление отека и покраснения лица, множественных пузырей диаметром до 5 см в области голеней. Поставлен диагноз «синдром Лайелла», в связи с чем получала лечение в отделении интенсивной терапии антибактериальными и наружными средствами с положительным эффектом в виде полного регресса высыпаний и уменьшения зуда. Далее периодически отмечала появление пузырей после предшествующего зуда.
В апреле 2018 г. в связи с очередным обострением поставлен диагноз «герпетическая инфекция», проведена терапия ацикловиром перорально без эффекта.
В мае 2018 г. отметила появление множественных пузырей в области половых губ, в связи с этим получала лечение по поводу пиодермии антибактериальными препаратами с положительным эффектом в виде регресса большинства высыпаний.
В декабре 2018 г. отметила появление белого налета, трещин, боли в области кончика языка, возникновение множественных пузырей на коже туловища, верхних и нижних конечностей, которым предшествовал интенсивный зуд. В связи с отсутствием эффекта от проведенной ранее терапии и прогрессированием патологического процесса госпитализирована в стационар ФГБУ «ГНЦДК» Минздрава России.
Из анамнеза известно, что в 2011 г. пациентке диагностирован хронический лимфоцитарный лейкоз, стадия В, получала терапию в гематологическом учреждении, с 2017 г. — состояние ремиссии.
Результаты физикального, лабораторного и инструментального исследований
При поступлении высыпания локализовались на коже заушной области, туловища, верхних и нижних конечностей, в аногенитальной области, паховых и субмаммарных складках, а также на слизистой оболочке полости рта в виде полиморфных высыпаний. Как на видимо здоровой коже, так и на отечном гиперемированном основании отмечались везикуло-буллезная сыпь, пузыри с плотной или вялой покрышкой, с серозным или серозно-гнойным содержимым. На коже заушной области, субмаммарных складок (рис. 1, а), нижней трети живота (рис. 1, б), спины (рис. 1, в) и паховых складок (рис. 1, г) определялись мокнущие эрозии ярко-красного цвета с гнойным отделяемым.
Рис. 1. Мокнущие эрозии ярко-красного цвета с гнойным отделяемым (до лечения): а — в субмаммарных складках; б — в нижней трети живота; в — на спине; г — в паховых складках
Fig. 1. Bright red weeping erosions with purulent discharge (before treatment): а — in the submammary folds; б — in the lower third of the abdomen; в — on the back; г — in the inguinal folds
Конъюнктивы глаз гиперемированы, имеется гнойное отделяемое. Красная кайма губ покрыта геморрагическими корками, в уголках рта — трещины. На слизистой оболочке рта — множественные эрозии и фибронозный налет на фоне гиперсаливации (рис. 2).
Рис. 2. Поражение слизистой оболочки полости рта в виде множественных эрозий и фибринозного налета на фоне гиперсаливации (до лечения)
Fig. 2. Oral mucosa lesion in the form of multiple erosions and fibrinous plaque on the background of hypersalivation
На ладонной поверхности левой кисти наблюдалась эритема в виде «мишени», правой кисти — эрозивно-язвенные дефекты, окруженные гнойным валиком (рис. 3), на коже левого бедра — множественные язвенные дефекты неправильных очертаний с густым гнойным отделяемым.
Рис. 3. Эрозивно-язвенные дефекты, окруженные гнойным валиком, на ладонной поверхности правой кисти (до лечения).
Fig. 3. Erosive and ulcerative defects surrounded by a purulent ridge on the palmar surface of the right hand.
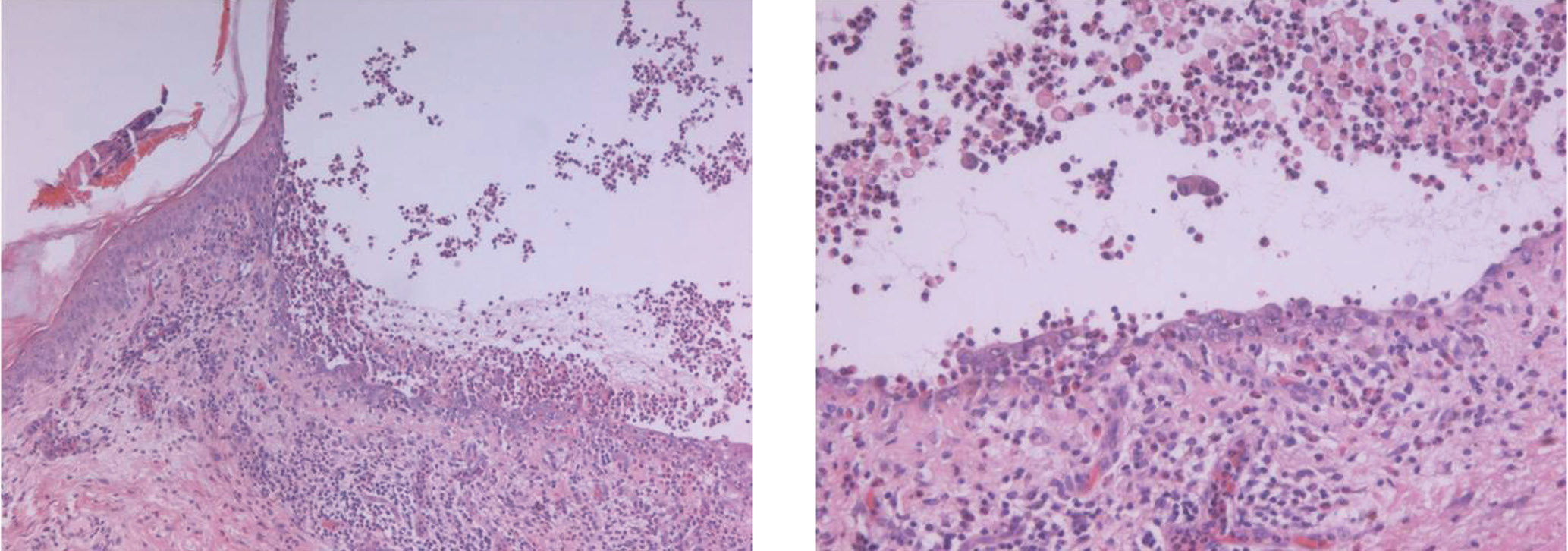
При цитологическом исследовании со дна эрозий обнаружены акантолитические клетки. При гистологическом исследовании определялся крупный супрабазальный пузырь с признаками эпителизации в дне пузыря, в просвете пузыря — разрозненные акантолитические клетки и их пласты, нити фибрина, эозинофильные и нейтрофильные гранулоциты (рис. 4).
Рис. 4. Гистологическое исследование биоптата кожи (окраска гематоксилином и эозином, × 100): а — супрабазальный пузырь: б — разрозненные акантолитические клетки и их пласты, нити фибрина, эозинофильные и нейтрофильные гранулоциты в просвете пузыря
Fig. 4. Histological examination (hematoxylin and eosin staining, × 100): а — suprabasal bladder; б — scattered acantholytic cells and their layers, fibrin threads, eosinophilic and neutrophilic granulocytes in the lumen of the bladder
При проведении исследования РИФ с антителами к IgG, IgA, IgM в биоптате видимо непораженной кожи наблюдалась отчетливая фиксация IgA, в чуть меньшей степени — IgG в межклеточных промежутках всех слоев эпидермиса (в виде «сетки») (рис. 5, а), фиксация IgM в виде неярко выраженной прерывистой линии вдоль дермо-эпидермальной границы (рис. 5, б). С учетом «пестрой» иммунофлуоресцентной картины (с наличием отложений всех исследованных антител — IgG, IgA, IgM, а также с различными паттернами локализации этих антител — в межклеточных промежутках и в области базальной мембраны) рекомендовалось исключить паранеопластический характер процесса.
При ультразвуковом исследовании подчелюстных, глубоких шейных, подмышечных, паховых, бедренных лимфатических узлов отмечались изменения по типу лимфопролиферации.
Рис. 5. Исследование реакции иммунофлуоресценции с антителами к IgG, IgA, IgM в биоптате видимо непораженной кожи: а — отчетливая фиксация IgA, в чуть меньшей степени — IgG в межклеточных промежутках всех слоев эпидермиса (в виде «сетки»); б — фиксация IgM в виде неярко выраженной прерывистой линии вдоль дермо-эпидермальной границы
Fig. 5. Immunofluorescence test with antibodies to IgG, IgA, IgM: а — clear fixation of IgA, to a slightly lesser extent — IgG in the intercellular spaces of all layers of the epidermis (in the form of a “mesh”); б — fixation of IgM in the form of a faintly defined broken line along the dermal-epidermal border
Неоднократно проводился контроль общего анализа крови: при поступлении лейкоциты — 14,36 тыс./мкл; лимфоциты — 63%; сегментоядерные нейтрофилы — 25%; СОЭ — 30 мм/ч. В процессе лечения отмечался рост общего числа лейкоцитов и относительного уровня лимфоцитов с уменьшением числа нейтрофилов (лейкоциты — 36,12 тыс./мкл; лимфоциты — 81%; сегментоядерные нейтрофилы — 13%; СОЭ — 8 мм/ч). При выписке: лейкоциты — 41,52 тыс./мкл; лимфоциты — 93%; сегментоядерные нейтрофилы — 4%; СОЭ — 5 мм/ч).
Рис. 6. Уменьшение гнойного отделяемого, прекращение появления новых пузырей, эпителизация большей части эрозий (после лечения): а — на коже субмаммарных складок; б — спины; в — ладонной поверхности левой кисти (сохранялась эритема в виде «мишени»); г — аногенитальной области
Fig. 6. Reduction of purulent discharge, cessation of the appearance of new bladders, epithelization of most erosions (after treatment): а — on the skin of submammary folds; б — back; в — palmar surface of the left hand (with saving erythema in the form of a “target”); г — anogenital area
Проведена консультация врача-гематолога, по заключению которого пациентка нуждалась в дообследовании. Учитывая нарастание лейкоцитоза и лимфоцитоза, нельзя было исключить рецидив хронического лимфолейкоза.
Дифференциальный диагноз
Диагностический поиск проводился между вульгарной пузырчаткой, буллезным пемфигоидом и паранео-пластической пузырчаткой. Наличие множественных болезненных эрозий на слизистой оболочке полости рта и гениталий, вялых пузырей на коже, акантолитических клеток, супрабазального пузыря и обнаружение IgG в виде «сетки» в биоптате видимо непораженной кожи свидетельствовали в пользу вульгарной пузырчатки. Жалобы на интенсивный зуд с последующим появлением пузырей с плотной покрышкой, эрозивно-язвенных дефектов с гнойным отделяемым говорили в пользу буллезного пемфигоида. На основании клинико-анамнестических данных, результатов диагностической биопсии кожи, результатов РИФ в препаратах непораженной кожи, консультации врача-гематолога, а также клинико-лабораторных исследований поставлен диагноз «паранеопластическая IgA/IgG-пузырчатка».
Лечение
За период госпитализации проведено лечение преднизолоном в дозе 60 мг/сут из расчета 1 мг/кг массы тела, цефтриаксоном в дозе 2 г/сут внутривенно капельно, наружно водным раствором метиленового синего.
Исход и результаты последующего наблюдения
Пациентка выписана с положительным эффектом в виде уменьшения гнойного отделяемого, прекращения появления новых пузырей, эпителизации большей части эрозий на коже заушной области, паховых и субмаммарных складок (рис. 6, а), спины (рис. 6, б), верхних и нижних конечностей, в том числе кистей (на ладонной поверхности левой кисти сохранялась эритема в виде «мишени») (рис. 6, в), аногенитальной области (рис. 6, г), а также на слизистой оболочке полости рта.
Обсуждение
Описанные клинические случаи паранеопластической IgA/IgG-пузырчатки немногочисленны: в доступной литературе удалось обнаружить всего четыре статьи. В 1994 г. представлены данные о мужчине 63 лет, страдающем раком легкого, у которого на коже туловища и нижних конечностей наблюдались небольшие бляшки с шелушением, эрозии и корки, слизистая оболочка рта не была поражена. В биоптате обнаружены субкорнеальные акантолитические клетки с многочисленными полиморфноядерными лейкоцитами. При РИФ в коже больного были выявлены антитела IgG и IgA исключительно в верхних частях эпидермиса [15].
В 2007 г. описан случай паранеопластической IgA/ IgG-пузырчатки у пациента 79 лет с хроническим лимфоцитарным лейкозом. У больного отмечались поражение слизистых оболочек рта, красной каймы губ в виде болезненных эрозий, конъюнктивит, на коже туловища и конечностей — везикуло-пустулезная сыпь на фоне эритемы. При гистологическом исследовании обнаружены внутриэпидермальный акантолиз с нейтрофильной инфильтрацией, тельца Сиватта. По результатам РИФ в коже выявлены отложения IgA на поверхности кератиноцитов, а также отложения IgG в зоне базальной мембраны [16].
В 2014 г. представлены данные о 69-летнем пациенте с паранеопластической IgA/IgG-пузырчаткой, ассоциированной с ангиоиммунобластной Т-клеточной лимфомой, у которого наблюдались быстро распространяющиеся и сливающиеся между собой пузыри и эрозии по всему кожному покрову, а также эрозии на слизистой оболочке рта. По результатам гистологического исследования выявлены субэпидермальные пузыри и инфильтрация дермы атипичными лимфоцитами. При проведении РИФ в коже больного отмечались относительно слабые отложения IgG и IgA на поверхности кератиноцитов, а также линейные отложения IgA вдоль зоны базальной мембраны [17].
В 2016 г. описан случай 63-летнего больного с паранеопластической IgA/IgG-пузырчаткой после проведенного химиотерапевтического лечения по поводу неходжкинской В-клеточной лимфомы. У пациента определялись болезненные эрозии на слизистой оболочке глаз, рта, красной каймы губ и в перианальной области, множественные очаги эритемы на коже туловища и конечностей, проводилась дифференциальная диагностика с синдромом Стивенса–Джонсона. При гистологическом исследовании биоптата кожи туловища (при отсутствии пузырного элемента) отмечался некроз кератиноцитов. По результатам РИФ в коже больного выявлены отложения IgG, С3-компонента комплемента и IgA на поверхности кератиноцитов, а также С3-компонента комплемента в зоне базальной мембраны [18].
Анализ клинических случаев подтверждает трудности диагностики паранеопластических пузырчаток вследствие полиморфизма высыпаний и разнообразия клинико-лабораторных показателей, которые, возможно, зависят от сопутствующей онкологической патологии. В ряде случаев паранеопластическую пузырчатку следует дифференцировать с многоформной экссудативной эритемой, синдромом Лайелла, IgA-пузырчаткой и линеарным IgA-дерматозом. Многоформная экссудативная эритема и синдром Лайелла, в отличие от паранеопластической пузырчатки, возникают остро, с резким подъемом температуры, при гистологическом исследовании обнаруживают субэпидермальный пузырь и отсутствие иммуноглобулинов — при РИФ [19]. IgA-пузырчатка сопровождается внутриэпидермальными пузырями, при РИФ отмечается отложение только IgA при отсутствии IgG, характерного для паранеопластической пузырчатки [20]. При линеарном IgA-дерматозе по результатам гистологического исследования выявляют субэпидермальный пузырь, при РИФ — отчетливую фиксацию IgA также при отсутствии фиксации IgG [21].
Одновременное отложение IgG, IgA, IgM в межклеточных промежутках и вдоль базальной мембраны — признак паранеопластического процесса, при этом формирование IgM происходит раньше, чем IgG. [22, 23] При необходимости дополнительной диагностики паранеопластической пузырчатки возможно проведение иммуноблоттинга с целью определения десмоплакина 1 (250 кДа), десмоплакина 2 (215 кДа), периплакина (190 кДа), энвоплакина (201 кДа) [24]. В представленном клиническом случае диагноз поставлен без проведения иммуноблоттинга.
Паранеопластическая пузырчатка возникает на фоне неоплазии, может развиваться как во время терапии основного заболевания, так и во время ремиссии [19, 25]. У пациентки, представленной в данном клиническом случае, признаки паранеопластической пузырчатки проявились в период ремиссии хронического лимфоцитарного лейкоза.
В 2021 г. в Российской Федерации рабочая группа Комитета РОДВК предложила классификацию пузырчатки, включающую паранеопластическую пузырчатку, при которой подразумевается отложение только IgG [26]. С учетом описанных клинических случаев можно предложить изменение классификации с указанием двух вариантов паранеопластической пузырчатки: 1) с отложением IgG; 2) с отложением IgG и IgА.
Заключение
Паранеопластическая IgA/IgG-пузырчатка является редким и трудно диагностируемым заболеванием, по клиническим и морфологическим признакам может напоминать такие заболевания, как вульгарная пузырчатка, буллезный пемфигоид, многоформная экссудативная эритема, синдром Стивенса–Джонсона, синдром Лайелла и др. Для диагностического поиска необходимы оценка клинической картины заболевания, тщательно собранный анамнез, проведение полного алгоритма лабораторной диагностики пациентов с буллезными дерматозами, включающей цитологический, гистологический, иммунофлюоресцентный и другие методы исследования.
Дополнительная информация
Анализ на определение антител к плакинам, десмоглеинам, десмоколинам, С3-компоненту комплемента не проводился.
Disclaimers
Antibody tests to the plakins, desmogleins, desmocolins, the C3-component of complement haven’t been taken.
About the authors
Arfenya E. Karamova
State Research Center of Dermatovenereology and Cosmetology
Author for correspondence.
Email: karamova@cnikvi.ru
ORCID iD: 0000-0003-3805-8489
SPIN-code: 3604-6491
MD, Cand. Sci. (Med.), Assistant Professor
Россия, 3 bldg 6, Korolenko street,107076 MoscowLyudmila F. Znamenskaya
State Research Center of Dermatovenereology and Cosmetology
Email: znaml@cnikvi.ru
ORCID iD: 0000-0002-2553-0484
SPIN-code: 9552-7850
MD, Dr. Sci. (Med.)
Россия, 3 bldg 6, Korolenko street,107076 MoscowMaria A. Nefedova
State Research Center of Dermatovenereology and Cosmetology
Email: nefedova.maria.arb@gmail.com
ORCID iD: 0000-0003-1141-9352
SPIN-code: 1307-1189
Junior Researcher, Dermatology Department
Россия, 3 bldg 6, Korolenko street,107076 MoscowEgana S. Mekhdieva
State Research Center of Dermatovenereology and Cosmetology
Email: dr.mekhdieva@mail.ru
ORCID iD: 0009-0004-8286-9427
MD, Dermatovenereologist
Россия, 3 bldg 6, Korolenko street,107076 MoscowEkaterina V. Girko
State Research Center of Dermatovenereology and Cosmetology
Email: katrin_45_34@mail.ru
ORCID iD: 0000-0001-7723-8701
SPIN-code: 9506-0978
Россия, 3 bldg 6, Korolenko street,107076 Moscow
References
- Anhalt GJ, Kim SC, Stanley JR, Korman NJ, Jabs DA, Kory M, et al. Paraneoplastic pemphigus. An autoimmune mucocutaneous disease associated with neoplasia. N Engl J Med. 1990;323(25):1729–1735. doi: 10.1056/NEJM199012203232503
- Kappius RH, Ufkes NA, Thiers BH. Paraneoplastic Pemphigus. 2023 May 8. In: StatPearls [Internet]. Treasure Island (FL): StatPearls Publishing; 2024 Jan.
- Пузырчатка: федеральные клинические рекомендации. М.; 2020. Pemphigus: Federal clinical guidelines. Moscow; 2020. (In Russ.)] URL: https://cnikvi.ru/docs/klinicheskie-rekomendacii/КР_ (аccessed: 28.06.2024).
- Потекаев Н.С., Кечкер В.И., Николаева Л.П. Злокачественные новообразования и везикуло-буллезные дерматозы: Труды 1 ММИ. Т. 31. Гистохимические и биохимические исследования в дерматологии. М.; 1964. С. 227–232. [Potekaev NS, Kechker VI, Nikolaeva LP. Malignant tumors and vesiculo-bullous dermatoses. Proceedings of 1 MMI. Vol. 31. Histochemical and biochemical studies in dermatology. Moscow; 1964. P. 227–232. (In Russ.)]
- Anhalt GJ. Paraneoplastic pemphigus: the role of tumours and drugs. Br J Dermatol. 2001;144(6):1102–1104. doi: 10.1046/j.1365-2133.2001.04272.x
- Hartz RS, Daroca PJ. Clinical-pathologic conference: cutaneous paraneoplastic pemphigus associated with benign encapsulated thymoma. J Thorac Cardiovasc Surg. 2003;125(2):400–446. doi: 10.1067/mtc.2003.60
- Parera GK, Deverex S, Creamer D. PNP with Waldenstrom’s macroglobulinemia. Clin Exp Dermatol. 2005;30(1):27–29. doi: 10.1111/j.1365-2230.2004.01599.x
- Dega H, Laporte JL, Joly P, Gabarre J, André C, Delpech A, et al. Paraneoplastic pemphigus associated with Hodgkin’s disease. Br J Dermatol. 1998;138(1):196–198. doi: 10.1046/j.1365-2133.1998.02056.x
- Wong KC, Ho KK. Pemphigus with pemphigoid-like presentation, associated with squamous cell carcinoma of the tongue. Australas J Dermatol. 2000;41(3):178–180. doi: 10.1046/j.1440-0960.2000.00434.x
- Lee IJ, Kim SC, Kim HS, et al. Paraneoplastic pemphigus associated with follicular dendritic cell sarcoma arising from Castleman’s tumor. J Am Acad Dermatol. 1999;40(2 Pt 2):294–297. doi: 10.1016/s0190-9622(99)70468-8
- Schaeppi H, Bauer JW, Hametner R, Metze D, Ortiz-Urda S, Salmhofer W, et al. Localized variant of paraneoplastic pemphigus: acantholysis associated with malignant melanoma. Br J Dermatol. 2001;144(6):1249–1254. doi: 10.1046/j.1365-2133.2001.04243.x
- Mimouni D, Anhalt GJ, Lazarova Z, Aho S, Kazerounian S, Kouba DJ, et al. Paraneoplastic pemphigus in children and adolescents. Br J Dermatol. 2002;147(4):725–732. doi: 10.1046/j.1365-2133.2002.04992.x
- Махнева Н.В., Белецкая Л.В. Паранеопластическая пузырчатка: клиническое и иммунопатологическое исследования. Альманах клинической медицины. 2006;9:67–71. [Mahneva NV, Beleckaya LV. Paraneoplastic pemphigus: clinical and immunopathological studies. Almanac of clinical medicine. 2006;9:67–71. (In Russ.)]
- Anhalt GJ. Making sense of antigens and antibodies in pemphigus. J Am Acad Dermatol. 1999;40(5 Pt 1):763–766. doi: 10.1016/s0190-9622(99)70161-1
- Chorzelski TP, Hashimoto T, Nishikawa T, Ebihara T, Dmochowski M, Ismail M, et al. Unusual acantholytic bullous dermatosis associated with neoplasia and IgG and IgA antibodies against bovine desmocollins I and II. J Am Acad Dermatol. 1994;31(2 Pt 2):351–355. doi: 10.1016/s0190-9622(94)70171-7
- Taintor AR, Leiferman KM, Hashimoto T, Ishii N, Zone JJ, Hull CM. A novel case of IgA paraneoplastic pemphigus associated with chronic lymphocytic leukemia. J Am Acad Dermatol. 2007;56(5 Suppl):S73–76. doi: 10.1016/j.jaad.2006.11.023
- Yashiro M, Nakano T, Taniguchi T, Katsuoka K, Tadera N, Miyazaki K, et al. IgA paraneoplastic pemphigus in angioimmunoblastic T-cell lymphoma with antibodies to desmocollin 1, type VII collagen and laminin 332. Acta Derm Venereol. 2014;94(2):235–236. doi: 10.2340/00015555-1660
- Otsuka Y, Ueno T, Yamase A, Ito M, Osada S, Kawana S, et al. Case of paraneoplastic pemphigus with immunoglobulin (Ig)G and IgA antibodies to various antigens. J Dermatol. 2016;43(8):944–946. doi: 10.1111/1346-8138.13341
- Самцов А.В., Белоусова И.Э. Буллезные дерматозы: монография. СПб.: Коста; 2012. С. 46–55. [Samcov AV, Belousova IJe. Bullosusdermatosis. St. Petersburg: Kosta; 2012; Р. 46–55].
- Cамцов А.В., Белоусова И.Э. Cовременные подходы к диагностике и лечению IgA-пузырчатки. Вестник дерматологии и венерологии. 2011;87(3):89–93. [Camtsov AV, Belousova IE. Current approaches to diagnostics and treatment of IgA pemphigus. Vestnik dermatologii i venerologii. 2011;87(3):89–93. (In Russ.)] doi: 10.25208/vdv1024
- Знаменская Л.Ф., Чикин В.В., Нефедова М.А. Линеарный IgA-зависимый буллезный дерматоз. Вестник дерматологии и венерологии. 2018;94(6):42–51. [Znamenskaya LF, Chikin VV, Nefedova MA. Linear IgA bullous dermatosis. Vestnik dermatologii i venerologii. 2018;94(6):42–51. (In Russ.)] doi: 10.25208/0042-4609-2018-94-6-42-51
- Camisa C, Helm TN. Paraneoplastic pemphigus is a distinct neoplasia-induced autoimmune disease. Arch Dermatol. 1993;129(7):883–886.
- Maruta CW, Miyamoto D, Aoki V, Carvalho RGR, Cunha BM, Santi CG. Paraneoplastic pemphigus: a clinical, laboratorial, and therapeutic overview. An Bras Dermatol. 2019;94(4):388–398. doi: 10.1590/abd1806-4841.20199165
- Лепехова А.А., Теплюк Н.П., Болотова И.М. Современные методы диагностики паранеопластической пузырчатки. Вестник дерматологии и венерологии. 2019;95(5):7–16. [Lepekhova AA, Teplyuk NP, Bolotova IM. Modern diagnostic methods of paraneoplastic pemphigus. Vestnik dermatologii i venerologii. 2019;95(5):7–16. (In Russ.)] doi: 10.25208/0042-4609-2019-95-5-7-16
- Дифференциальная диагностика кожных болезней: руководство для врачей / под ред. Б.А. Беренбейнa, А.А. Студницинa. 2-е изд., перераб. и доп. М.: Медицина; 1989. С. 672. [Differencial’naya diagnostika kozhnyh boleznej: rukovodstvo dlya vrachej. Pod red. Berenbejna BA, Studnicina AA. 2-e izd., pererab. i dop. Moscow: Medicina; 1989. S. 672. (In Russ.)]
- Самцов А.В., Соколовский Е.В., Теплюк Н.П., Белоусова И.Э., Кохан М.М., Матушевская Е.В. К вопросу о классификации пузырчатки. Вестник дерматологии и венерологии. 2021;97(2):9–15. [Samtsov AV, Sokolovskiy EV, Teplyuk NP, Belousova IE, Kokhan MM, Matushevskaya EV. Revisiting the question of pemphigus classification. Vestnik dermatologii i venerologii. 2021;97(2):9–15. (In Russ.)] doi: 10.25208/vdv1216
Supplementary files










