Manifestation of basal cell carcinoma in a 10-year-old child
- Authors: Zueva J.E.1, Konusova J.A.1, Pankin E.V.1, Belogurova M.B.1
-
Affiliations:
- St. Petersburg Clinical Scientific and Practical Center for Specialized Types of Medical Care (Oncology) named after N.P. Napalkov
- Issue: Vol 101, No 3 (2025)
- Pages: 75-80
- Section: CLINICAL CASE REPORTS
- Submitted: 20.10.2024
- Accepted: 07.05.2025
- Published: 04.08.2025
- URL: https://vestnikdv.ru/jour/article/view/16841
- DOI: https://doi.org/10.25208/vdv16841
- EDN: https://elibrary.ru/jdnnii
- ID: 16841
Cite item
Full Text
Abstract
Basal cell carcinoma is one of the most common types of skin cancer among adults, but in children it is extremely rare and is usually associated with genetic syndromes (for example, Gorlin–Goltz syndrome or xeroderma pigmentosum) or with the consequences of radiation therapy performed in children. We present a clinical case of a 10-year-old child diagnosed with basal cell carcinoma. The child’s parents consented to the publication of the data. A 10-year-old patient, accompanied by his mother, came to the outpatient department of the St. Petersburg Clinical Scientific and Practical Center for Specialized Types of Medical Care (Oncology) named after N.P. Napalkov (KNPC SVMP) with complaints about a formation that was detected 4 months ago and was increasing in size. From the family history it is known that the boy’s mother was diagnosed with Hodgkin’s lymphoma at the age of 13, for which chemoradiotherapy was performed. At the age of 30, she was diagnosed with multiple basal cell carcinomas in the area of radiation.
Full Text
Актуальность
Базальноклеточная карцинома (БКК) составляет до 80% всех случаев немеланомного рака кожи у взрослого населения, с пиком заболеваемости на седьмом десятилетии жизни [1]. Однако эта опухоль встречается крайне редко у детей до 15 лет. По данным 20-летнего опыта исследовательской группы во главе с Ma de la Luz Orozco-Covarrubias, опухоли кожи в структуре онкопатологии у детей в 1994 г. занимали 0,14%, из которых БКК составила 13%. В указанном исследовании все пациенты имели генодерматозы (пигментная ксеродерма, синдром Горлина–Гольца), кроме одного, у которого БКК развилась в зоне облучения [2]. В ретроспективном анализе, проведенном Alİ Varan и соавт. с 1972 по 2003 г., были выявлены случаи злокачественной опухоли кожи у 21 ребенка, средний возраст — 9 лет. Из них всего 9,5% (2 пациента) занимала БКК: один пациент — с пигментной ксеродермой, второй — после краниоспинального облучения по поводу медуллобластомы [3].
Возникновение БКК у детей чаще всего связано с наличием генетических синдромов (например, Горлина–Гольца, пигментной ксеродермы, витилиго, альбинизма). Также в развитии БКК могут играть роль высокие дозы лучевой терапии (у детей латентный период между радиотерапией и БКК составляет в среднем 10 лет [4]), ионизирующая радиация, отравление мышьяком или полиароматическими углеводами [5, 6].
Учитывая редкость этой патологии в детском возрасте, необходимо проявлять пристальное внимание к пациентам с генодерматозами и наследственной отягощенностью. Следует проводить осмотр всего кожного покрова, предпочтительно при естественном или близком к нему по спектральным характеристикам искусственном освещении. При дифференциальной диагностике злокачественных новообразований кожи важное место занимает метод эпилюминесцентной микроскопии (дерматоскопия).
Дерматоскоп — оптическая система с увеличением от 10 до 50 раз, оборудованная подсветкой, позволяющая изучить все слои эпидермиса и дермы и определить in vivo самые мелкие структуры, неразличимые невооруженным глазом [7]. Дерматоскопия предпочтительна в детской практике как неинвазивный, точный и дешевый метод диагностики новообразований кожи. В случае подозрения на злокачественный процесс в коже у детей применяется эксцизионная биопсия с последующими морфологическим и иммуногистохимическим исследованиями.
Описание клинического случая
В амбулаторно-поликлиническое отделение КНПЦ СВМП им. Н.П. Напалкова обратился пациент 10 лет в сопровождении матери с жалобами на образование, которое появилось 4 месяца назад на неизмененной коже и увеличивалось в размерах.
Из семейного анамнеза известно, что у матери мальчика в 13 лет была диагностирована лимфома Ходжкина, по поводу которой проводилась химиолучевая терапия (медицинские документы не предоставлены, данных по дозам лучевой терапии нет). В возрасте 30 лет в зоне облучения у нее были диагностированы множественные БКК. Другие хронические заболевания отрицает. Остальные члены семьи здоровы.
Наличие БКК у родственника первой линии родства может указывать на наследственный характер заболевания. Других факторов риска (солнечных ожогов, пребывания в зонах повышенной радиации, контакта с химическими отравляющими веществами) при анализе анамнеза жизни ребенка не выявлено.
Результаты физикального, лабораторного и инструментального исследования.
Ребенок относится ко второму фототипу по классификации Фитцпатрика: голубые глаза, светло-русые волосы, светлая кожа.
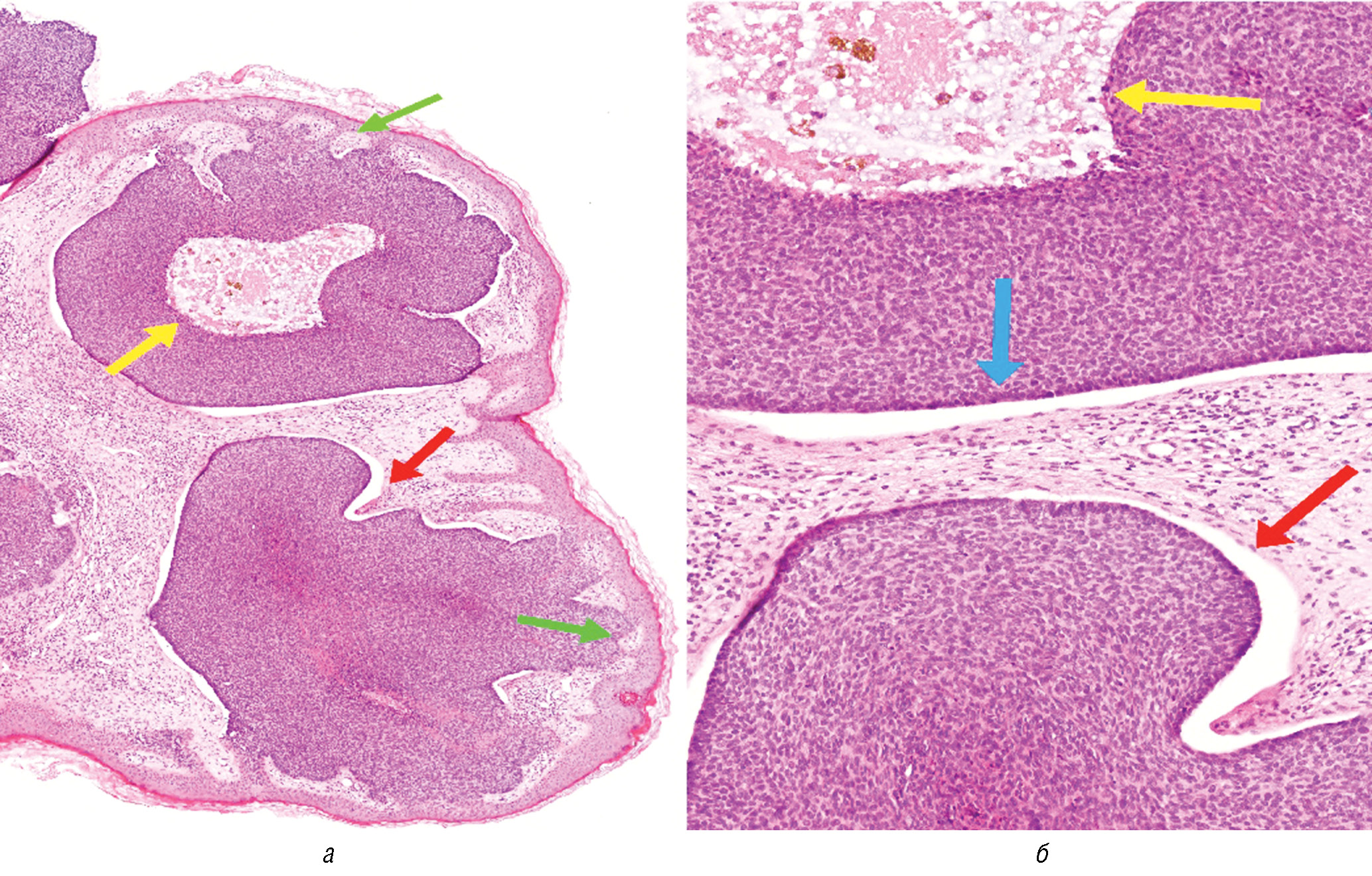
При осмотре на коже грудной клетки обнаружен узел розового цвета с неровной, гладкой поверхностью, четкими краями, размерами 0,5×0,5×0,2 см (рис. 1). Дерматоскопический вид опухоли представлен извилистыми «древовидными» сосудами на гомогенном розовом фоне. Это вызвало подозрение на БКК. Под местной анестезией проведена эксцизионная биопсия образования с отступом 0,5 см от края опухоли. Гистологическое исследование (рис. 2) показало многоузловое образование гнездного строения, исходящее из эпидермиса, с палисадообразным расположением элементов на периферии. Края резекции — вне опухоли. При иммуногистохимическом исследовании выявлены экспрессия PanCK, CK34bE12 в клетках образования, а также отрицательная реакция на анти-CD34 и S-100 в строме опухоли. На основании проведенной диагностики выявлен нодулярный тип БКК.
Рис. 1. Макроскопическая картина базальноклеточной карциномы кожи груди у мальчика 10 лет
Fig. 1. Macroscopic picture of basal cell carcinoma of the chest skin in a 10-year-old boy
Рис. 2. Базальноклеточный рак кожи. Зеленая стрелка — связь опухоли с эпидермисом; красная стрелка — щелевидная ретракция стромы; синяя стрелка — палисадообразное расположение базалоидных клеток; желтая стрелка — фокус некроза. Окраска гематоксилином и эозином: а — × 40; б — × 100
Fig. 2. Basal cell carcinoma. Green arrow — connection of the tumor with the epidermis; red arrow — slit-like retraction of the stroma; blue arrow — palisade arrangement of basaloid cells; yellow arrow — focus of necrosis. H&E: а — × 40; б — × 100
Пациент обследован в полном объеме: клинический анализ крови, биохимический анализ крови, рентгенография черепа, УЗИ ОМТ, ОБП, периферических л/у, области мошонки, МСКТ ОГК, ЭКГ. Отклонений от значений нормы и аномалий развития не выявлено.
Гистологический материал был направлен на секвенирование нового поколения (NGS), однако из-за ограниченного количества опухолевого материала не удалось выделить ДНК для проведения NGS.
Учитывая отягощенный семейный анамнез по БКК, пациент консультирован генетиком. Клинических данных за синдром Горлина–Гольца и пигментную ксеродерму не получено. От проведения молекулярно-генетического исследования для поиска мутации гена PTCH1 родители ребенка отказались.
Исход и результаты последующего наблюдения.
Пациент остается под наблюдением детского онколога в течение 11 месяцев, сохраняется ремиссия.
Обсуждение
Известно, что лучевая терапия (при этом данных по дозам облучения, которые могут привести к развитию злокачественных новообразований, в настоящее время нет), БКК у родственников первой линии родства, генодерматозы, иммуносупрессия выступают факторами риска развития БКК у детей [2–4, 6, 7]. Мы не знаем о наследственной предрасположенности в данном случае, так как БКК у матера была спровоцирована лучевой терапией, вместе с тем невозможно исключить полностью и спонтанное возникновение опухолей.
Генодерматозы (пигментная ксеродерма, синдром Горлина–Гольца и др.) характеризуются нарушением фоточувствительности кожи из-за различных дефектов репарации ДНК [6].
Синдром Горлина–Гольца, или синдром невоидной БКК, — аутосомно-доминантное заболевание, которое характеризуется ранней манифестацией БКК, что связано с нарушением в гене PTCH1, который, в свою очередь, является частью рецепторного белка Sonic Hedgehog, регулирующего рост и развитие клеток. Мутация в гене PTCH1 может привести к нарушению функции фоточувствительных клеток, а именно увеличение экспрессии генов-мишеней в них может изменить чувствительность к свету и способность к адекватной реакции на световые стимулы [6].
Синдром невоидной БКК можно диагностировать только на основании клинических критериев, но в некоторых случаях, особенно у детей, для его подтверждения может потребоваться генетическое исследование [8, 9].
Клинически диагноз ставится при наличии двух больших критериев или одного большого и двух малых.
К большим критериям относятся следующие:
1) пять или более БКК в течение жизни или БКК в возрасте до 20 лет;
2) гистологически подтвержденная одонтогенная кератоциста;
3) ладонные и/или подошвенные ямки (3 и более);
4) пластинчатая кальцификация или явная кальцификация серпа мозга в возрасте до 20 лет;
5) раздвоенные, сросшиеся или расширенные ребра;
6) родственник первой степени родства с синдромом невоидной БКК;
7) мутация PTCH1.
Малые критерии включают:
1) медуллобластому;
2) макроцефалию с окружностью затылочно-лобной области > 97-го процентиля;
3) врожденные пороки развития, в том числе лимфомезентериальные или плевральные кисты, расщелину губы или нёба;
4) скелетные аномалии;
5) фиброма сердца или яичников [8, 9].
Другим генодерматозом, сопровождающимся появлением БКК в раннем возрасте, является пигментная ксеродерма — редкое аутосомно-рецессивное заболевание. Диагноз устанавливается на основании анализа семейного анамнеза и обнаружения двухаллельных генетических мутаций в специфических генах (XPA, XPB, XPC, XPD, XPF, XPG или POLH). Характеризуется выраженной светочувствительностью, фотобоязнью, преждевременным старением кожи и высоким риском развития БКК, плоскоклеточного рака кожи и меланомы. Возраст манифестации БКК у таких пациентов обычно составляет 8 лет [10].
У нашего пациента в настоящее время отсутствуют как большие, так и малые критерии для постановки диагноза синдрома Горлина–Гольца и клинические проявления пигментной ксеродермы. Наблюдение продолжается.
БКК у детей представлена бляшкой розового цвета или полихромной. Размер варьируется от нескольких миллиметров до десятков сантиметров [11]. В случае нашего пациента от пятна до формирования пальпируемого образования прошло 4 месяца. Также могут отмечаться спонтанные кровотечения [11].
ББК представляет собой медленно прогрессирующее злокачественное образование у взрослых пациентов [12] и агрессивную опухоль у детей.
Диагностика БКК у детей осуществляется клинически на основании обнаружения прогрессивно растущего образования типичного вида и характерных дерматоскопических признаков, включающих «древовидные» и/или полиморфные сосуды, яркие гомогенные зоны белого, красного цвета, множественные серо-голубые глобулы, крупные серо-голубые овоидные гнезда, структуры «спицевого колеса», листовидные зоны [13–15]. При выявлении подобного подозрительного новообразования необходимо провести биопсию с последующей гистологической верификацией патологического процесса.
Лечение БКК зависит от ее локализации и размера. Предпочтительный метод лечения — хирургическое иссечение опухоли. Однако в некоторых случаях (таких как множественное поражение, невозможность радикального удаления, тяжелое состояние пациента) могут применяться фотодинамическая терапия, иммуномодулирующая терапия (имиквимод), рентгенотерапия [16]. В детском возрасте основным методом лечения остается хирургическое удаление опухоли.
У нашего пациента проведение эксцизионной биопсии дало хороший клинический и косметический результат.
Заключение
БКК у детей — редкое заболевание. В литературе существует ограниченное количество исследований и описаний клинических случаев по этой теме. Исходя из этого, можно сделать следующие выводы: требуется проведение детального клинического и диагностического анализа каждого случая БКК у пациентов детского возраста. Обязателен сбор дополнительной информации о семейном анамнезе, экспозиции факторов риска.
В связи с ограниченным количеством данных в литературе и опыта ведения пациентов детского возраста необходимо проведение дальнейших исследований. Это позволит разработать более эффективные стратегии диагностики и лечения БКК у детей.
About the authors
Julia E. Zueva
St. Petersburg Clinical Scientific and Practical Center for Specialized Types of Medical Care (Oncology) named after N.P. Napalkov
Author for correspondence.
Email: yulichka.ch@mail.ru
ORCID iD: 0000-0002-2117-3467
pediatric oncologist
Россия, St. PetersburgJulia A. Konusova
St. Petersburg Clinical Scientific and Practical Center for Specialized Types of Medical Care (Oncology) named after N.P. Napalkov
Email: change85@mail.ru
ORCID iD: 0009-0005-1336-6700
pediatric oncologist
Россия, St. PetersburgEugene V. Pankin
St. Petersburg Clinical Scientific and Practical Center for Specialized Types of Medical Care (Oncology) named after N.P. Napalkov
Email: pankin-evgeniy98@yandex.ru
ORCID iD: 0009-0001-4007-7577
pathologist
Россия, St. PetersburgMargarita B. Belogurova
St. Petersburg Clinical Scientific and Practical Center for Specialized Types of Medical Care (Oncology) named after N.P. Napalkov
Email: deton.hospital31@inbox.ru
ORCID iD: 0000-0002-7471-7181
SPIN-code: 2627-4152
MD, Dr. Sci. (Med.), Professor
Россия, St. PetersburgReferences
- Toro JR, Hamouda RS, Bale S. Basal Cell Carcinoma. Encyclopedia of Cancer. 4th ed. Springer; 2017. P. 433–437. doi: 10.1007/978-3-662-46875-3_529
- de la Luz Orozco-Covarrubias M, Tamayo-Sanchez L, Duran-McKinster C, Ridaura C, Ruiz-Maldonado R. Malignant cutaneous tumors in children. Twenty years of experience at a large pediatric hospital. J Am Acad Dermatol. 1994;30(2 Pt 1):243–249.
- Varan A, Gököz A, Akyüz C, Kutluk T, YalçIn B, Köksal Y, et al. Primary malignant skin tumors in children: etiology, treatment and prognosis. Pediatr Int. 2005;47(6):653–657. doi: 10.1111/j.1442-200x.2005.02145.x
- Waldman RA, Grant-Kels JM. Malignant skin tumors: Kids are not just little people. Clin Dermatol. 2017;35(6):517–529. doi: 10.1016/j.clindermatol.2017.08.003
- Kuvat SV, Gücin Z, Keklik B, Özyalvaçlı G, Başaran K. Basal Cell Carcinoma in a Child. J Skin Cancer. 2011;2011:752901. doi: 10.1155/2011/752901
- Tilli CMLJ, Van Steensel MAM, Krekels GAM, Neumann HAM, Ramaekers FCS. Molecular aetiology and pathogenesis of basal cell carcinoma. Br J Dermatol. 2005;152(6):1108–1124. doi: 10.1111/j.1365-2133.2005.06587.x
- Гельфонд М.Л. Дифференциальная диагностика опухолей кожи в практике дерматологов и косметологов. Практическая онкология. 2012;13(2):69–79. [Gelfond ML. Differential diagnostics of skin tumors in the practice of dermatologists and cosmetologists. Practical oncology. 2012;13(2):69–79. (In Russ.)]
- Verkouteren BJA, Cosgun B, Reinders MGHC, Kessler PAWK, Vermeulen RJ, Klaassens M, et al. A guideline for the clinical management of basal cell naevus syndrome (Gorlin–Goltz syndrome). Br J Dermatol. 2022;186(2):215–226. doi: 10.1111/bjd.20700
- Schierbeck J, Vestergaard T, Bygum A. Skin Cancer Associated Genodermatoses: A Literature Review. Acta Derm Venereol. 2019;99(4):360–369. doi: 10.2340/00015555-3123
- Lehmann J, Schubert S, Emmert S. Xeroderma pigmentosum: diagnostic procedures, interdisciplinary patient care, and novel therapeutic approaches. J Dtsch Dermatol Ges. 2014;12(10):867–872. doi: 10.1111/ddg.12419
- Cohen PR. Red Dot Basal Cell Carcinoma: Report of Cases and Review of this Unique Presentation of Basal Cell Carcinoma. Cureus. 2017;9(3):e1110. doi: 10.7759/cureus.1110
- Гамаюнов С.В., Шумская И.С. Базальноклеточный рак кожи — обзор современного состояния проблемы. Практическая онкология. 2012;13(2):92–106. [Gamayunov SV, Shumskaya IS. Basal cell skin cancer — a review of the current state of the problem. Practical oncology. 2012;13(2):92–106. (In Russ.)]
- Stolz W. Dermatoscopy. Braun-Falco´s Dermatology. Springer; 2021. P. 1–8. doi: 10.1007/978-3-662-58713-3_5-1
- Scalvenzi M, Lembo S, Francia MG, Balato A. Dermoscopic patterns of superficial basal cell carcinoma. Int J Dermatol. 2008;47(10):1015–1018. doi: 10.1111/j.1365-4632.2008.03731.x
- Altamura D, Menzies SW, Argenziano G, Zalaudek I, Soyer HP, Sera F, et al. Dermatoscopy of basal cell carcinoma: Morphologic variability of global and local features and accuracy of diagnosis. J Am Acad Dermatol. 2010;62(1):67–75. doi: 10.1016/j.jaad.2009.05.035
- Wennberg AM. Basal cell carcinoma — new aspects of diagnosis and treatment. Acta Derm Venereol Suppl (Stocrh). 2000;209:5–25.
Supplementary files






