Desmoplastic melanoma of the skin: current aspects of morphological and immunohistochemical diagnosis
- Authors: Makhachev D.R.1, Bulanov D.V.1, Shikhsaidova M.U.1, Magomedova M.N.1, Saipova K.A.1, Ibragimova D.I.2
-
Affiliations:
- Pirogov Russian National Research Medical University (Pirogov University)
- Dagestan State Medical University
- Issue: Vol 101, No 3 (2025)
- Pages: 60-67
- Section: GUIDELINES FOR PRACTITIONERS
- Submitted: 01.02.2025
- Accepted: 25.06.2025
- Published: 04.08.2025
- URL: https://vestnikdv.ru/jour/article/view/16863
- DOI: https://doi.org/10.25208/vdv16863
- EDN: https://elibrary.ru/kfoerx
- ID: 16863
Cite item
Full Text
Abstract
To study the clinical, morphological, and immunohistochemical characteristics of desmoplastic melanoma and the use of modern diagnostic technologies to refine the classification criteria for this rare subtype of malignant neoplasms. The study included 5 patients (4 men and 1 woman, median age 62.5 years) diagnosed with malignant neoplasms of the skin on the back (3 cases) and the buccal area of the face (2 cases). Morphological and immunohistochemical studies were performed using markers S100 and Melan-A to confirm the diagnosis. Modern technologies were applied to improve diagnostic accuracy. Morphological analysis revealed the characteristic dense collagenized stroma and low cellular density of desmoplastic melanoma tumors. Immunohistochemical analysis confirmed the melanocytic origin of the tumors. The use of modern diagnostic methods allows us to determine diagnostic and classification criteria for desmoplastic melanoma. A comprehensive approach, including morphological and immunohistochemical methods with markers S100 and Melan-A, enhances diagnostic accuracy and refines the classification criteria for this disease.
Full Text
Актуальность
Десмопластическая меланома (ДМ) представляет собой редкий подтип кожной меланомы, характеризующийся преобладанием плотной коллагенизированной стромы и сложностями в диагностике. Заболевание, как правило, выявляется у пациентов старшего возраста и поражает открытые участки кожи, подверженные длительному воздействию ультрафиолетового излучения [1–3].
Основными гистологическими чертами ДМ выступают низкая плотность клеток и слабая экспрессия ключевых меланоцитарных маркеров. Это создает дополнительные сложности при ее морфологическом исследовании и требует внедрения новейших методов визуализации и иммуногистохимического анализа [4, 5]. Данная работа сосредоточена на изучении морфологических особенностей и иммуногистохимического профиля ДМ, что позволяет определить подходы к ее диагностике и классификации.
Описание клинических случаев
Клинический случай 1
Мужчина 58 лет обратился с жалобами на появление уплотнения на коже спины, которое увеличивалось в течение одного года и сопровождалось периодическим зудом. Со слов пациента, образование появилось около полутора лет назад и постепенно увеличивалось в размере. В анамнезе отмечено хроническое ультрафиолетовое облучение (работа на открытом воздухе), значимых кожных заболеваний не выявлено. В семейном анамнезе случаев злокачественных новообразований кожи не зарегистрировано.
Дерматологический статус. На коже спины в поясничной области выявлен плотный узел диаметром 1,8 см с неровными границами, участками гиперкератоза и неравномерной пигментацией. Поверхность частично покрыта корками, отмечаются мелкие телеангиэктазии. Кожа вокруг новообразования без признаков воспаления.
Инструментальные методы исследования. При дерматоскопии выявлены атипичная сосудистая сеть, отсутствие четких границ, а также фиброзные участки белого цвета (рис. 1). Гистологическое исследование показало плотную коллагенизированную структуру, низкую клеточную плотность и наличие гиперхромных атипичных клеток, организованных в дискретные гнезда (рис. 2). Иммуногистохимическое исследование выявило высокую экспрессию S100 и SOX-10, а также слабую экспрессию Melan-A, что подтверждало меланоцитарное происхождение опухоли.
Рис. 1. Десмопластическая меланома: опухоль телесного и розового цвета с поверхностным истончением и эрозией эпидермиса, наличием участков серо-синего цвета
Fig. 1. Desmoplastic melanoma: a flesh-colored or pink tumor with superficial epidermal thinning and erosion, featuring areas of gray-blue pigmentation
Рис. 2. Дерматоскопическое исследование десмопластической меланомы: рубцовые участки и полиморфные сосуды
Fig. 2. Dermatoscopic examination of desmoplastic melanoma: scarred areas and polymorphic vessels
КТ органов грудной клетки: без патологических изменений.
Лечение. Онколог рекомендовал пациенту проведение широкого хирургического иссечения опухоли с отступом 1 см от краев новообразования. В после-операционный период назначено местное лечение с целью профилактики рубцевания: силиконовые гелевые пластыри (наносить 1 раз/день на послеоперационный рубец в течение 3 месяцев) и мазь на основе декспантенола (2 раза/день до полного заживления).
В связи с повышенным риском фотоповреждений рекомендовано использование солнцезащитного крема SPF 50+ (наносить на кожу перед выходом на улицу). Пациенту назначено динамическое наблюдение с проведением дерматоскопии каждые 3–6 месяцев, а также контрольное УЗИ регионарных лимфоузлов каждые 6 месяцев в течение 2 лет.
Исход и последующее наблюдение. Выполнено хирургическое иссечение с широкими границами. Контрольное наблюдение в течение 18 месяцев не выявило признаков рецидива или метастазирования.
Клинический случай 2
Мужчина 67 лет обратился с жалобами на появление плотного узла на щеке, который увеличивался в течение 9 месяцев и сопровождался эпизодической болезненностью. Со слов пациента, образование впервые было замечено около года назад, но он не обращался за медицинской помощью до момента его быстрого увеличения. В анамнезе отмечено длительное пребывание на солнце, гипертоническая болезнь.
Дерматологический статус. На коже левой щечной области отмечается плотный узел диаметром 2,2 см с нечеткими границами, участками изъязвления и поверхностного шелушения. Кожа вокруг слегка гиперемирована, при пальпации безболезненная.
Инструментальные методы исследования. При дерматоскопии выявлены бело-розовая структура, отсутствие сетчатого рисунка и наличие линейных сосудов. Гистологическое исследование показало выраженную десмоплазию, а также наличие нейротропной инвазии. Иммуногистохимия подтвердила высокую экспрессию S100 и SOX-10, при этом Melan-A выявлялся лишь фокально.
МРТ головы и шеи: без данных за метастазы.
Дифференциальный диагноз. В данном клиническом случае необходимо было провести дифференциальную диагностику с опухолями периферической нервной системы, учитывая наличие нейротропной инвазии. Основными заболеваниями, требующими исключения, были злокачественная шваннома и периневральная фиброзная опухоль. Гистологические особенности, такие как плотная коллагенизированная строма и низкая клеточная плотность, могли вызывать диагностические затруднения. Однако иммуногистохимический профиль опухоли (выраженная экспрессия S100 и SOX-10 при слабой или отсутствующей экспрессии маркеров периферической нервной ткани, таких как EMA и CD34) позволил подтвердить диагноз ДМ.
Лечение. Пациенту выполнена хирургическая операция с расширенной резекцией опухоли (границы 1,5 см от видимого края новообразования) с пластикой кожного дефекта местными тканями. Послеоперационное ведение включало наложение стерильной повязки с повидон-йодом с ежедневной сменой в течение 7 дней.
С целью противовоспалительной терапии назначен нимесулид 100 мг 2 раза/день курсом 5 дней. Для стимуляции заживления и предотвращения гипертрофического рубцевания рекомендовано применение силиконового геля (Дерматикс) 1 раз/день в течение 2 месяцев.
В качестве системного лечения назначена адъювантная иммунотерапия ингибиторами контрольных точек (пембролизумаб 200 мг внутривенно 1 раз / 3 нед в течение 6 месяцев).
Исход и последующее наблюдение. Через 9 месяцев после хирургического иссечения диагностирован локальный рецидив. Выполнена повторная операция с расширенной резекцией, после чего назначена адъювантная иммунотерапия ингибиторами контрольных точек. В течение 6 месяцев после повторного лечения признаков рецидива выявлено не было.
Клинический случай 3
Женщина 72 лет обратилась с жалобами на наличие плотного образования на спине, сопровождающегося эпизодическим зудом. Со слов пациентки, образование появилось около 2 лет назад, однако она не придавала ему значения, поскольку оно не причиняло дискомфорта. В анамнезе отмечена артериальная гипертензия и ишемическая болезнь сердца.
Дерматологический статус. На коже верхней части спины определяется узел диаметром 1,5 см с поверхностным фиброзом и гипопигментацией. Элементы воспаления в окружающих тканях отсутствуют.
Инструментальные методы исследования. Дерматоскопически выявлены участки белесоватой десмоплазии и неравномерное распределение пигмента. Гистологическое исследование подтвердило выраженную фиброзную стромальную реакцию, низкую митотическую активность опухолевых клеток и лимфоцитарную инфильтрацию. Иммуногистохимическое исследование выявило высокую экспрессию S100 и SOX-10 при слабой экспрессии Melan-A.
КТ органов брюшной полости: без данных за метастазы.
Лечение. Пациентке проведено широкое иссечение опухоли с краевым контролем резекции и последующей пластикой кожного дефекта местными тканями. Послеоперационная рана обрабатывалась раствором фурацилина 2 раза/день, наложение стерильной повязки проводилось ежедневно в течение 10 дней.
Для уменьшения воспалительной реакции в области раны рекомендовано нанесение мази с гидрокортизоном 1% 2 раза/день в течение 7 дней. В качестве средства для улучшения регенерации назначен крем с декспантенолом 2 раза/день в течение 1 месяца.
Контрольное наблюдение включало УЗИ регионарных лимфатических узлов каждые 6 месяцев в течение первых 2 лет и дерматоскопию 1 раз в 3 месяца.
Исход и последующее наблюдение. После проведенного хирургического лечения и адекватного послеоперационного ухода процесс заживления раны протекал без осложнений, признаков воспаления или образования грубого рубца не отмечалось.
Контрольное наблюдение в течение 12 месяцев показало стабильное состояние пациентки без признаков местного рецидива или отдаленного метастазирования. На фоне регулярного применения солнцезащитных средств и дерматологического мониторинга кожных покровов клинических признаков рецидива не выявлено.
Клинический случай 4
Мужчина 60 лет обратился с жалобами на появление плотного узла на коже спины, сопровождающегося покраснением и незначительной болезненностью. Со слов пациента, образование появилось около года назад и медленно увеличивалось в размерах. В анамнезе отмечена профессиональная деятельность на открытом воздухе с длительным воздействием ультрафиолета.
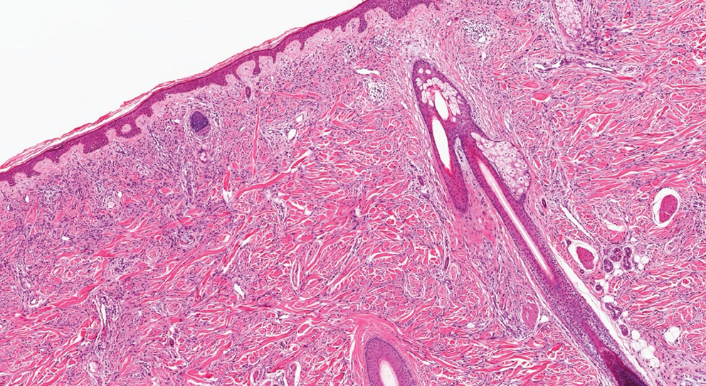
Дерматологический статус. На коже спины в подлопаточной области определяется узел диаметром 2 см с гиперпигментацией, фиброзной плотностью и линейными сосудами (рис. 3). Кожа вокруг без признаков воспаления, локальной гиперемии нет.
Рис. 3. Десмопластическая меланома (микроскопическое исследование, × 100, окрашивание гематоксилином и эозином). Разнонаправленные пучки базофильных опухолевых клеток в толще сосочков ретикулярной дермы
Fig. 3. Desmoplastic melanoma (microscopic examination, ×100, H&E staining). Multidirectional bundles of basophilic tumor cells within the papillary layer of the reticular dermis
Инструментальные методы исследования. При дерматоскопии выявлены атипичная сосудистая сеть, отсутствие четких границ и участки белесоватой стромы. Гистологический анализ подтвердил плотную коллагенизированную структуру опухоли с нейротропной инвазией. Иммуногистохимическое исследование выявило выраженную экспрессию S100 и SOX-10.
КТ органов грудной клетки: без патологических изменений.
Дифференциальный диагноз. Учитывая наличие нейротропной инвазии, дифференциальную диагностику проводили с опухолями периферической нервной системы, включая злокачественную шванному и нейрофибросаркому. Гистологически эти опухоли могут напоминать ДМ, так как также характеризуются низкой клеточной плотностью и инфильтративным ростом вдоль нервных волокон. Однако в отличие от шванном клетки ДМ не демонстрировали типичной палисадной структуры и не окрашивались на маркеры нервной ткани (CD34, EMA). Иммуногистохимический профиль с выраженной экспрессией S100 и SOX-10 позволил дифференцировать меланому от опухолей нервного происхождения.
Лечение. Пациенту выполнено широкое иссечение опухоли с границами 1 см и формированием кожного лоскута для закрытия дефекта. Послеоперационный уход включал обработку швов раствором мирамистина 0,01% 2 раза/день, смену повязок с левомеколем 1 раз/день в течение 10 дней.
Для предотвращения воспаления и улучшения заживления пациенту назначен диклофенак 50 мг 2 раза/день на 5 дней и витамин Е 400 мг/сут в течение 3 месяцев. Для профилактики гипертрофического рубцевания рекомендовано применение силиконовых пластырей (Мепиформ) 12 ч/сут в течение 3 месяцев.
Контрольное наблюдение включало осмотр онколога каждые 6 месяцев и проведение дерматоскопии каждые 3 месяца.
Исход и последующее наблюдение. В течение 18 месяцев динамического наблюдения не выявлено признаков местного рецидива или отдаленного метастазирования. Пациент продолжил рекомендованный режим дерматологического мониторинга, включая регулярную дерматоскопию и онкологический контроль.
Клинический случай 5
Мужчина 55 лет обратился с жалобами на появление образования на щеке, которое увеличивалось в течение 6 месяцев. Со слов пациента, впервые он заметил его полгода назад, но обратился за медицинской помощью только после его значительного роста. В анамнезе отмечены хронические актинические повреждения кожи, случаев онкологической патологии в семье не выявлено.
Дерматологический статус. На коже правой щечной области отмечается новообразование диаметром 1,7 см с нечеткими границами и неравномерной пигментацией. Кожа вокруг без признаков воспаления, при пальпации образование плотное, неболезненное.
Инструментальные методы исследования. Дерматоскопически выявлены нечеткие границы опухоли и участки выраженной десмоплазии. Гистологическое исследование показало плотную фиброзную структуру опухоли и лимфоцитарную инфильтрацию. Иммуногистохимическое исследование подтвердило сильную экспрессию S100, при этом экспрессия Melan-A была слабой.
КТ органов грудной клетки: без признаков метастазирования.
Лечение. Пациенту выполнено хирургическое иссечение опухоли с широкими границами. После-операционная рана обрабатывалась раствором хлоргексидина 2 раза/день, повязки менялись ежедневно в течение 7 дней.
С целью уменьшения воспаления и профилактики гипертрофического рубцевания пациенту назначен крем с гидрокортизоном 1% 1 раз/день на 10 дней, затем силиконовый гель (Кело-Кот) 1 раз/день в течение 2 месяцев.
Для защиты кожи от ультрафиолетового облучения рекомендовано использование солнцезащитного крема с SPF 50+ ежедневно. В качестве дополнительной терапии назначен витамин С 500 мг/сут в течение 3 месяцев.
Контрольное наблюдение включало дерматоскопию каждые 6 месяцев и контрольное ПЭТ-КТ через 1 год после операции.
Исход и последующее наблюдение. На фоне регулярного использования солнцезащитных средств и динамического дерматологического мониторинга рецидив заболевания не развился.
Контрольное наблюдение в течение 12 месяцев, включавшее дерматоскопию и плановое ПЭТ-КТ, не выявило признаков рецидива или метастазирования.
Обсуждение
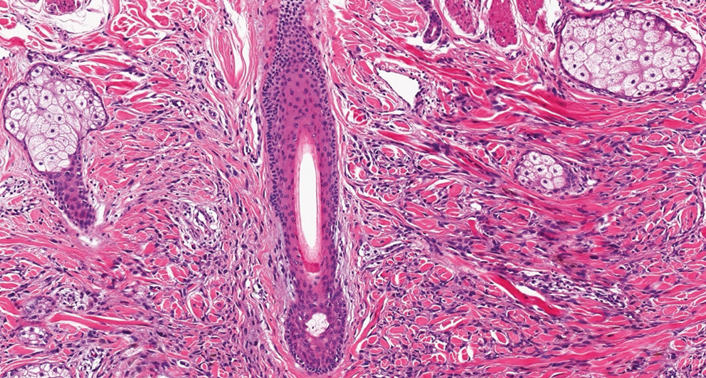
Гистологический анализ показал, что ДМ характеризуется плотной коллагенизированной структурой, низкой клеточной плотностью и гиперхромными атипичными элементами, расположенными в виде дискретных гнезд или линейных структур [6] (рис. 4).
Рис. 4. Десмопластическая меланома (микроскопическое исследование, × 200, окрашивание гематоксилином и эозином). Выраженная распространенная инвазия придатков кожи
Fig. 4. Desmoplastic melanoma (microscopic examination, ×200, H&E staining). Expressed widespread invasion of the skin appendages
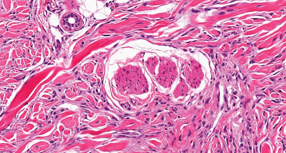
У 40% исследованных пациентов была обнаружена нейротропная инвазия, что усложняло дифференциальную диагностику с опухолями периферической нервной системы [7, 8] (рис. 5). Дополнительные гистологические изменения включали лимфоцитарную инфильтрацию и участки с выраженной десмоплазией, что затрудняло диагностику при окрашивании стандартными гистологическими методами [9, 10].
Рис. 5. Десмопластическая меланома (микроскопическое исследование, × 400, окрашивание гематоксилином и эозином). Периневральная инвазия
Fig. 5. Desmoplastic melanoma (microscopic examination, × 400, H&E staining). Perineural invasion
Современные исследования показывают, что использование мультиплексных иммуногистохимических методов позволяет не только улучшить визуализацию морфологических элементов, но и выявить взаимосвязь между опухолевыми клетками и микросредой, включая стромальные элементы и сосудистую сеть [11–13]. Например, исследования на 3D-реконструкции стромальной ткани показывают ее роль в формировании резистентности к терапии и опухолевого микрометастазирования [14, 15].
Иммуногистохимическое исследование подтвердило меланоцитарное происхождение опухоли. S100 продемонстрировал высокую экспрессию во всех образцах, что делает его ключевым маркером диагностики ДМ [16, 17] (рис. 6).
Рис. 6. Десмопластическая меланома (иммуногистохимическое исследование, × 200, реакция с антителами S100 и Melan A). Отмечается диффузное позитивное окрашивание опухолевых клеток в реакции антител с белком S100. В реакции с Melan A отмечено позитивное окрашивание только в компоненте меланомы in situ, клетки десмопластической меланомы негативны
Fig. 6. Desmoplastic melanoma (immunohistochemical examination, × 200, test with anti-S100 and Melan A antibodies). Diffuse positive staining of tumor cells in anti-S100 test is observed. Melan A test only showed positive staining in the in situ melanoma component, while the desmoplastic melanoma cells were negative.
Напротив, Melan-A проявил лишь слабую или фокальную экспрессию, что характерно для десмопластической формы меланомы. Дополнительный маркер SOX-10 продемонстрировал высокую специфичность и чувствительность, особенно в нейротропных формах ДМ (рис. 7).
Рис. 7. SOX 10. Диффузное ядерное окрашивание, × 400
Fig. 7. SOX 10. Diffuse nuclear staining, × 400
ДМ, обладая уникальными гистологическими особенностями, требует мультидисциплинарного подхода к диагностике. Низкая плотность клеток, выраженная десмоплазия и нейротропная инвазия затрудняют точную идентификацию, особенно при использовании только традиционных методов исследования [18, 19].
Иммуногистохимические маркеры, такие как S100, SOX-10 и Melan-A, остаются «золотым стандартом» диагностики — совмещение этих маркеров с цифровыми технологиями позволит улучшить воспроизводимость данных и повысить точность диагностики [20, 21].
Заключение
ДМ представляет собой редкий подтип кожной меланомы, характеризующийся плотной коллагенизированной стромой и низкой экспрессией классических меланоцитарных маркеров, что затрудняет ее диагностику. Комплексный подход, включающий дерматоскопию, гистологический анализ и иммуногистохимическое исследование, играет ключевую роль в дифференциальной диагностике. Иммуногистохимический профиль ДМ включает высокую экспрессию S100 и слабую или фокальную экспрессию Melan-A, что отличает ее от других подтипов меланомы и некоторых фиброзных новообразований. Дополнительные сложности возникают при наличии нейротропной инвазии, требующей детального морфологического анализа. Представленные клинические случаи подчеркивают необходимость тщательного подхода к диагностике ДМ и важность ее своевременного выявления. Дальнейшие исследования необходимы для уточнения прогностических факторов и совершенствования методов диагностики ДМ.
About the authors
Dalgat R. Makhachev
Pirogov Russian National Research Medical University (Pirogov University)
Author for correspondence.
Email: Dalgat2002@mail.ru
ORCID iD: 0009-0007-0930-5272
SPIN-code: 4064-6451
Россия, Moscow
Dmitry V. Bulanov
Pirogov Russian National Research Medical University (Pirogov University)
Email: dbulanov81@gmail.com
ORCID iD: 0009-0005-3772-6643
SPIN-code: 2641-6658
MD, Cand. Sci. (Med.), Assistant Professor
Россия, MoscowMaryam U. Shikhsaidova
Pirogov Russian National Research Medical University (Pirogov University)
Email: mary6545566@mail.ru
ORCID iD: 0009-0002-1471-7005
Россия, Moscow
Madina N. Magomedova
Pirogov Russian National Research Medical University (Pirogov University)
Email: madimagm6@gmail.com
ORCID iD: 0009-0005-1439-4201
Россия, Moscow
Kheda A. Saipova
Pirogov Russian National Research Medical University (Pirogov University)
Email: saipovak@list.ru
ORCID iD: 0009-0009-0435-1039
Россия, Moscow
Dinara I. Ibragimova
Dagestan State Medical University
Email: dinaaarush@gmail.com
ORCID iD: 0009-0007-9672-8133
Россия, Makhachkala
References
- Gosman LM, ăpoi DA, Costache M. Cutaneous melanoma: a review of multifactorial pathogenesis, immunohistochemistry, and emerging biomarkers for early detection and management. Int J Mol Sci. 2023;24(21):15881. doi: 10.3390/ijms242115881
- Gieniusz E, Skrzydlewska E, Łuczaj W. Current insights into the role of UV radiation-induced oxidative stress in melanoma pathogenesis. Int J Mol Sci. 2024;25(21):11651. doi: 10.3390/ijms252111651
- Plaza JA, Bonneau P, Prieto VG, Sangueza M, Mackinnon A, Suster D, et al. Desmoplastic melanoma: an updated immunohistochemical analysis of 40 cases with a proposal for an additional panel of stains for diagnosis. J Cutan Pathol. 2016;43(4):313–323. doi: 10.1111/cup.12654
- Tinca AC, Marinescu MA, Bratu O, Gheorghe M, Mischianu DL, Sajin M. Actualities in the morphology and immunohistochemistry of cutaneous and ocular melanoma: what lies ahead? A single-centre study. Biomedicines. 2022;10(10):2500. doi: 10.3390/biomedicines10102500
- ăpoi DA, Gheorghișan-Gălăeanu AA, Dumitru AV, Luca AC, Costache M, Furtunescu AR, et al. Primary undifferentiated/dedifferentiated cutaneous melanomas — a review on histological, immunohistochemical, and molecular features with emphasis on prognosis. Int J Mol Sci. 2023;24(12):9985. doi: 10.3390/ijms24129985
- Machado I, Llombart B, Cruz J, Traves V, Requena C, Nagore E, et al. Desmoplastic melanoma may mimic a cutaneous peripheral nerve sheath tumor: report of 3 challenging cases. J Cutan Pathol. 2017;44(7):632–638. doi: 10.1111/cup.12949
- Marques PC, Diniz LM, Spelta K, Nogueira PSE. Desmoplastic melanoma: a rare variant with challenging diagnosis. An Bras Dermatol. 2019;94(1):82–85. doi: 10.1590/abd1806-4841.20197481
- Frydenlund N, Mahalingam M. Desmoplastic melanoma, neurotropism, and neurotrophin receptors — what we know and what we do not. Adv Anat Pathol. 2015;22(4):227–241. doi: 10.1097/PAP.0000000000000076
- Manfredini M, Pellacani G, Losi L, Maccaferri M, Tomasi A, Ponti G. Desmoplastic melanoma: a challenge for the oncologist. Future Oncol. 2017;13(4):337–345. doi: 10.2217/fon-2016-0334
- McCarthy SW, Scolyer RA, Palmer AA. Desmoplastic melanoma: a diagnostic trap for the unwary. Pathology. 2004;36(5):445–451. doi: 10.1080/00313020412331285336
- Ugolini F, Pasqualini E, Simi S, Baroni G, Massi D. Bright-field multiplex immunohistochemistry assay for tumor microenvironment evaluation in melanoma tissues. Cancers (Basel). 2022;14(15):3682. doi: 10.3390/cancers14153682
- Papadas A, Deb G, Cicala A, Officer A, Hope C, Pagenkopf A, et al. Stromal remodeling regulates dendritic cell abundance and activity in the tumor microenvironment. Cell Rep. 2022;40(7):111257. doi: 10.1016/j.celrep.2022.111257
- Tzoras E, Zerdes I, Tsiknakis N, Manikis GC, Mezheyeuski A, Bergh J, et al. Dissecting tumor-immune microenvironment in breast cancer at a spatial and multiplex resolution. Cancers (Basel). 2022;14(8):1999. doi: 10.3390/cancers14081999
- Murphy KJ, Chambers CR, Herrmann D, Timpson P, Pereira BA. Dynamic stromal alterations influence tumor-stroma crosstalk to promote pancreatic cancer and treatment resistance. Cancers (Basel). 2021;13(14):3481. doi: 10.3390/cancers13143481
- Ahmed A, Klotz R, Köhler S, Giese N, Hackert T, Springfeld C, et al. Immune features of the peritumoral stroma in pancreatic ductal adenocarcinoma. Front Immunol. 2022;13:947407. doi: 10.3389/fimmu.2022.947407
- Saliba E, Bhawan J. Aberrant expression of immunohistochemical markers in malignant melanoma: a review. Dermatopathology (Basel). 2021;8(3):359–370. doi: 10.3390/dermatopathology8030040
- Weissinger SE, Keil P, Silvers DN, Klaus BM, Möller P, Horst BA, et al. A diagnostic algorithm to distinguish desmoplastic from spindle cell melanoma. Mod Pathol. 2014;27(4):524–534. doi: 10.1038/modpathol.2013.162
- Hughes TM, Williams GJ, Gyorki DE, Kelly JW, Stretch JR, Varey AHR, et al. Desmoplastic melanoma: a review of its pathology and clinical behaviour, and of management recommendations in published guidelines. J Eur Acad Dermatol Venereol. 2021;35(6):1290–1298. doi: 10.1111/jdv.17154
- Rawson RV, Vergara IA, Stretch JR, Saw RPM, Thompson JF, Lo SN, et al. Representativeness of initial skin biopsies showing pure desmoplastic melanoma: implications for management. Pathology. 2023;55(2):214–222. doi: 10.1016/j.pathol.2022.12.346
- Jin X, Zhou YF, Ma D, Zhao S, Lin CJ, Xiao Y, et al. Molecular classification of hormone receptor-positive HER2-negative breast cancer. Nat Genet. 2023;55(10):1696-1708. doi: 10.1038/s41588-023-01507-7
- Jain PV, Molina M, Moh M, Bishop E, Rader JS, Jorns JM. Immunohistochemistry in the differential diagnosis of triple negative breast carcinoma and high-grade serous carcinoma: old and new markers. Appl Immunohistochem Mol Morphol. 2024;32(10):456–461. doi: 10.1097/PAI.0000000000001232
Supplementary files











