Dermoscopy in the diagnosis of cutaneous B-cell lymphomas
- Authors: Karamova A.E.1, Aulova K.M.1, Nefedova M.A.1, Sheklakova M.N.1, Gorenkova L.G.2, Kovrigina A.M.2,3
-
Affiliations:
- State Research Center of Dermatovenereology and Cosmetology
- National Medical Research Center for Hematology
- I.M. Sechenov First Moscow State Medical University (Sechenov University)
- Issue: Vol 101, No 5 (2025)
- Pages: 78-92
- Section: GUIDELINES FOR PRACTITIONERS
- Submitted: 04.08.2025
- Accepted: 29.10.2025
- Published: 13.12.2025
- URL: https://vestnikdv.ru/jour/article/view/16931
- DOI: https://doi.org/10.25208/vdv16931
- EDN: https://elibrary.ru/hbsxqt
- ID: 16931
Cite item
Full Text
Abstract
The diagnosis of cutaneous B-cell lymphomas is a challenging clinical task due to nonspecific nature of the skin manifestations in this disease. Since 2015, dermatoscopy has been used as an additional research method for the diagnosis of cutaneous B-cell lymphomas. Dermatoscopy is an inexpensive, non-invasive, and painless diagnostic method that allows to quickly obtain additional information about the disease. Currently known dermatoscopic signs, taking into account clinical and history data, may suggest a diagnosis of cutaneous B-cell lymphoma. The article clearly demonstrates the possibilities of dermatoscopy in the diagnosis of cutaneous B-cell lymphomas. However, dermatoscopy cannot replace the pathomorphological and immunohistochemical study of a skin biopsy which is the “golden standard” required for the diagnosis of cutaneous B-cell lymphoma. In some cases, a molecular genetic screening is performed to determine B-cell clonality in primary marginal zone cutaneous lymphomas with a pronounced T-cell component.
Full Text
Актуальность
Первичные лимфомы кожи представляют собой гетерогенную группу неходжкинских лимфом, развитие которых обусловлено неопластической клональной пролиферацией лимфоидных клеток в коже без признаков внекожного поражения на момент установления диагноза [1–3]. Кожа находится на третьем месте в списке органов, наиболее часто вовлекаемых в лимфопролиферативный процесс при экстранодальных неходжкинских лимфомах [3].
Первичные лимфомы кожи подразделяют на две основные группы — Т-клеточные лимфомы кожи (Т-КЛК) и В-клеточные лимфомы кожи (В-КЛК) [1, 2, 4]. Отдельно выделяют третью группу первичных лимфом кожи, которая включает в себя небольшое количество злокачественных новообразований, развивающихся из NK/Т-клеток или плазмоцитоидных дендритных клеток [2]. Т-КЛК являются более распространенными и составляют ~75–80% общего количества первичных лимфом кожи, В-КЛК встречаются реже — в 20–25% случаев [1]. Согласно классификации ВОЗ гематолимфоидных опухолей 2024 г. (5-е издание), среди В-КЛК выделяют первичную В-КЛК из клеток фолликулярного центра (11% общего числа лимфом кожи), первичную В-КЛК из клеток маргинальной зоны (7% общего числа лимфом кожи), первичную диффузную В-крупноклеточную лимфому кожи, тип нижних конечностей (4% общего числа лимфом кожи), внутрисосудистую В-крупноклеточную лимфому кожи (< 1% общего числа лимфом кожи) и EBV+ мукокутанную язву [1, 5, 6].
Первичная В-КЛК из клеток фолликулярного центра и первичная В-КЛК из клеток маргинальной зоны считаются индолентными лимфомами, в то время как первичная диффузная крупноклеточная В-КЛК, тип нижних конечностей и внутрисосудистая крупноклеточная В-КЛК имеют агрессивное течение либо промежуточные характеристики, последняя часто сопровождается внекожным распространением процесса [4, 7]. До конца 1970-х годов обсуждалась обоснованность деления В-КЛК на первичные и вторичные, и только в 1980-х годах было признано существование группы первичных кожных лимфом [8]. Первичные В-КЛК отличаются по своему течению, прогнозу и подходам к терапии от вторично поражающих кожу лимфом, несмотря на сходство их клинических проявлений, а также гистологических и иммуногистохимических изменений, наблюдающихся в коже [1, 4, 9]. В связи с этим всем пациентам с впервые установленным диагнозом лимфомы кожи рекомендуется скрининговое обследование для исключения системного лимфопролиферативного процесса — нодальной или экстранодальной лимфомы с вовлечением кожи [9].
Склонность В-КЛК к имитации других заболеваний кожи определяет сложность своевременного установления диагноза [10]. В-КЛК часто ошибочно расцениваются врачами как воспалительные дерматозы, инфекционные заболевания и кожные новообразования другого происхождения [7].
В 2015 г. M. Mascolo и соавт. при проведении дерматоскопии кожных высыпаний у 10 больных В-КЛК обнаружили схожие между собой специфические дерматоскопические признаки, позволившие предположить, что данный метод исследования может быть эффективным для раннего распознавания В-КЛК [2]. Таким образом, начиная с 2015 г. дерматоскопию стали рассматривать в качестве одного из способов повышения точности диагностики В-КЛК. В настоящее время описаны как характерные, так и более редкие дерматоскопические паттерны для В-КЛК из клеток фолликулярного центра, В-КЛК из клеток маргинальной зоны, диффузной крупноклеточной В-КЛК, тип нижних конечностей, внутрисосудистой крупноклеточной В-КЛК, а также для кожных высыпаний при В-клеточном остром лимфобластном лейкозе и В-клеточной лимфобластной лимфоме. Дерматоскопия является ценным неинвазивным диагностическим методом и может повысить качество клинического распознавания различных подтипов В-КЛК.
В качестве иллюстрации возможностей дерматоскопии представляем собственные наблюдения двух больных В-КЛК.
Первый клинический случай
Пациентка А. 41 года обратилась к врачу-дерматовенерологу в КДЦ ФГБУ «ГНЦДК» Минздрава России с жалобами на высыпания на коже лица.
Появление первых элементов отметила два года назад, в связи с чем обратилась к врачу-дерматовенерологу в КВД по месту жительства. Был установлен диагноз «розацеа», в течение двух лет проводилась наружная терапия (крем метронидазол 1%, крем ивермектин 1%, ихтиоловая мазь) без эффекта, также однократно был проведен курс гипосенсибилизирующей терапии без эффекта.
Наличие субъективных ощущений, в том числе зуда и боли, эпизоды субфебрилитета/лихорадки, потерю массы тела пациентка отрицала. Однако сообщила, что отмечает утреннюю слабость и ночную потливость. Из сопутствующих заболеваний обращало на себя внимание наличие хронического гепатита В (терапию в связи с этим заболеванием ранее не получала).
Status localis: патологический кожный процесс носил локализованный симметричный характер. На коже лба, щек, носа и подбородка наблюдалась разлитая эритема с нечеткими контурами, интенсивность окраски которой варьировала от розового до бледно-розового цвета. На коже щек на фоне разлитой эритемы визуализировались множественные телеангиэктазии и отечные, плотные при пальпации узелки ярко-розового цвета полушаровидной и уплощенной формы (рис. 1). Остальной кожный покров был свободен от высыпаний. Патологических изменений при пальпации лимфатических узлов не было выявлено.
Рис. 1. Клинические проявления у пациентки А.: узелки ярко-розового цвета полушаровидной и уплощенной формы, разлитая бледно-розовая эритема
Fig. 1. Clinical manifestations in patient A.: bright pink nodules of a hemispherical and flattened shape, and diffuse pale pink erythema
При проведении дерматоскопии узелков на коже щек наблюдались оранжево-розовые (лососевого цвета) округлые области/глобулы, структуры (круги, линии и области) белого цвета, также отмечались древовидные сосуды, местами с размытыми контурами, и единичные желтые фолликулярные пробки, окруженные белыми кругами (рис. 2).
Рис. 2. Дерматоскопическая картина очагов у пациентки А. (а–в) и схематичное изображение дерматоскопической картины (г): оранжево-розовые (лососевого цвета) округлые области/глобулы (черные стрелки), структуры (круги, линии и области) белого цвета (зеленые стрелки), древовидные сосуды (синие стрелки), единичные желтые фолликулярные пробки, окруженные белыми кругами (белые стрелки)
Fig. 2. Dermatoscopic presentation of the lesions in patient A. (a–в) and schematic representation of the dermatoscopic picture (г): orange-pink (salmon-colored) rounded areas/globules (black arrows), white structures (circles, lines, and areas) (green arrows), tree-like vessels (blue arrows), and single yellow follicular plugs surrounded by white circles (white arrows)
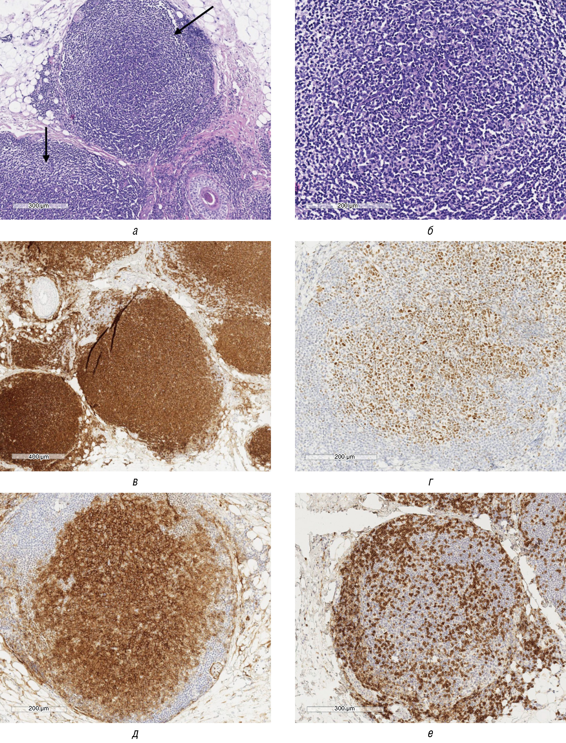
С целью проведения дифференциальной диагностики между В-КЛК, саркоидозом, розацеа и кожными метастазами карциномы пациентке была выполнена диагностическая биопсия кожи из наиболее инфильтрированного элемента на коже левой щеки с последующим патоморфологическим исследованием, по результатам которого был выявлен плотный узловатый лимфоидный инфильтрат из небольших и крупных клеток, сопровождающийся атрофией эпидермиса, фрагментацией коллагеновых волокон дермы и полнокровием сосудов поверхностного сплетения, что в наибольшей степени соответствовало картине лимфопролиферативного процесса, вероятно, B-клеточного характера (рис. 3).
Рис. 3 Патоморфологическое и иммуногистохимическое исследование биоптата кожи пациентки А.: а — гистологический препарат, × 200, окраска гематоксилином и эозином, в дерме — крупные фолликулоподобные структуры (черные стрелки); б — гистологический препарат, × 400, окраска гематоксилином и эозином, клеточный состав фолликулоподобной структуры — смесь центроцитоподобных клеток и крупных клеток с морфологией центробластов; в — иммуноферментный метод, × 400, клетки фолликулоподобных структур экспрессируют CD20; г — иммуноферментный метод, × 400, клетки фолликулоподобных структур экспрессируют CD23; д — иммуноферментный метод, × 400, клетки фолликулоподобных структур экспрессируют BCL-2
Fig. 3. Pathomorphological and immunohistochemical study of the skin biopsy of patient A.: a — histological specimen, × 200, hematoxylin and eosin-stained, large follicle-like structures in the dermis (black arrows); б — histological specimen, × 400, hematoxylin and eosin-stained, the cellular composition of the follicle-like structure is a mixture of centrocyte-like cells and large cells with the morphology of centroblasts; в — enzyme-linked immunoassay, × 400, follicle-like cells express CD20; г — enzyme-linked immunoassay, × 400, follicle-like cells express CD23; д — enzyme-linked immunoassay, × 400, follicle-like cells express BCL-2
Пациентка была направлена на консультацию в ФГБУ «НМИЦ гематологии» Минздрава России, где было проведено патоморфологическое и иммуногистохимическое исследование биоптата кожи, по заключению которого инфильтрат дермы, отделенный от эпидермиса прослойкой фиброзной ткани, содержал фолликулоподобные структуры из клеток среднего размера с центроцитоподобной морфологией и из небольшого количества крупных клеток с морфологией центробластов (см. рис. 3, а, б). При иммуногистохимическом исследовании была обнаружена экспрессия клетками фолликулоподобных структур CD20 (интенсивная мембранная реакция), BCL-2 (цитоплазматическая реакция), CD10 (мембранная реакция), HGAL (цитоплазматическая реакция), часть клеток экспрессировала CD23 (мембранная реакция). Мелкие CD3+ Т-клетки обрамляли фолликулоподобные структуры. Индекс пролиферативной активности Ki-67 в клетках фолликулоподобного лимфоидного инфильтрата составлял до 15–20% (см. рис. 3, в–д). Морфологическая картина и данные иммуногистохимического исследования соответствовали субстрату первичной кожной фолликулярной лимфомы. Для исключения нодальной фолликулярной лимфомы с вовлечением кожи, в том числе с учетом выявления экспрессии BCL-2 при ИГХ-исследовании, пациентка была дообследована: выполнено иммунохимическое исследование белков сыворотки крови и мочи, цитологическое исследование мазка костного мозга, гистологическое исследование трепанобиоптата костного мозга и ПЭТ-КТ, при проведении которого выявлено уплотнение кожи лица с низкой метаболической активностью. По результатам обследования системность заболевания была исключена.
Пациентке установлен диагноз «первичная кожная фолликулярная лимфома» и назначен ритуксимаб в дозе 375 мг/м2 в режиме 1 раз/нед. Учитывая наличие хронического вирусного гепатита В, перед началом лечения пациентка была направлена к врачу-инфекционисту, по согласованию с которым на фоне противовирусной терапии был проведен курс ритуксимаба с положительным эффектом в виде достижения частичной ремиссии (рис. 4). По заключению повторного ПЭТ-КТ, проведенного через месяц после окончания курса терапии, метаболически активной ткани, характерной для ФДГ-позитивного онкоспецифического процесса, не выявлено, и пациентке рекомендовано динамическое наблюдение.
Рис. 4. Клинические проявления у пациентки А. до (а) и после (б) проведения терапии ритуксимабом
Fig. 4. Clinical manifestations in patient A. before (a) and after (б) rituximab therapy
Спустя несколько месяцев пациентка отметила рост одного из узелковых элементов на коже правой щеки, в связи с чем была направлена в ФГБУ «Российский научный центр рентгенорадиологии» Минздрава России, проведена локальная 3D-конформная лучевая терапия на опухолевые очаги на правой щеке (20 Гр) и левой щеке (4 Гр) с положительным эффектом в виде значительного регресса инфильтрации (рис. 5).
Рис. 5. Клинические проявления у пациентки А. до (а) и после (б) проведения лучевой терапии
Fig. 5. Clinical manifestations in patient A. before (а) and after (б) radiation therapy
Второй клинический случай
Пациентка П. 43 лет обратилась в КДЦ ФГБУ «ГНЦДК» Минздрава России с жалобами на высыпания на коже лица.
Появление первых элементов отметила четыре года назад. Ранее в медицинские учреждения с данными жалобами не обращалась, самостоятельно не лечилась.
Наличие субъективных ощущений, в том числе зуда и боли, слабости, ночной потливости, эпизодов субфебрилитета/лихорадки, а также потерю массы тела пациентка отрицала.
Status localis: патологический кожный процесс носил локализованный характер. На коже височной области с левой стороны, а также на коже в области правой брови наблюдались два очага застойно-розового цвета 0,5 × 1,0 и 1,5 × 3,0 см в диаметре с выраженной инфильтрацией и бугристой поверхностью (рис. 6). Остальной кожный покров был свободен от высыпаний. Патологических изменений при пальпации лимфатических узлов не было выявлено.
Рис. 6. Клинические проявления у пациентки П.
Fig. 6. Clinical manifestations in patient P.
При проведении дерматоскопии очагов наблюдались оранжево-розовые (лососевого цвета) округлые области/глобулы, структуры (круги, линии и области) белого цвета, а также линейно-изогнутый и змеевидный сосуды с размытыми контурами, единичные желтые фолликулярные пробки, окруженные белыми кругами (рис. 7).
Рис. 7. Дерматоскопическая картина очагов у пациентки П. (а) и схематичное изображение дерматоскопической картины (б): оранжево-розовые (лососевого цвета) округлые области/глобулы (черные стрелки), структуры (круги, линии и области) белого цвета (зеленые стрелки), линейно-изогнутый сосуд с размытыми контурами (синие стрелки), змеевидный сосуд с размытыми контурами (желтые стрелки), единичные желтые фолликулярные пробки, окруженные белыми кругами (белые стрелки)
Fig. 7. Dermatoscopic presentation of the lesions in patient P. (a) and schematic representation of the dermatoscopic presentation (б): orange-pink (salmon-colored) rounded areas/globules (black arrows), white structures (circles, lines, and areas) (green arrows), a linear-curved vessel with blurred contours (blue arrows), a serpentine vessel with blurred contours (yellow arrows), and single yellow follicular plugs surrounded by white circles (white arrows)
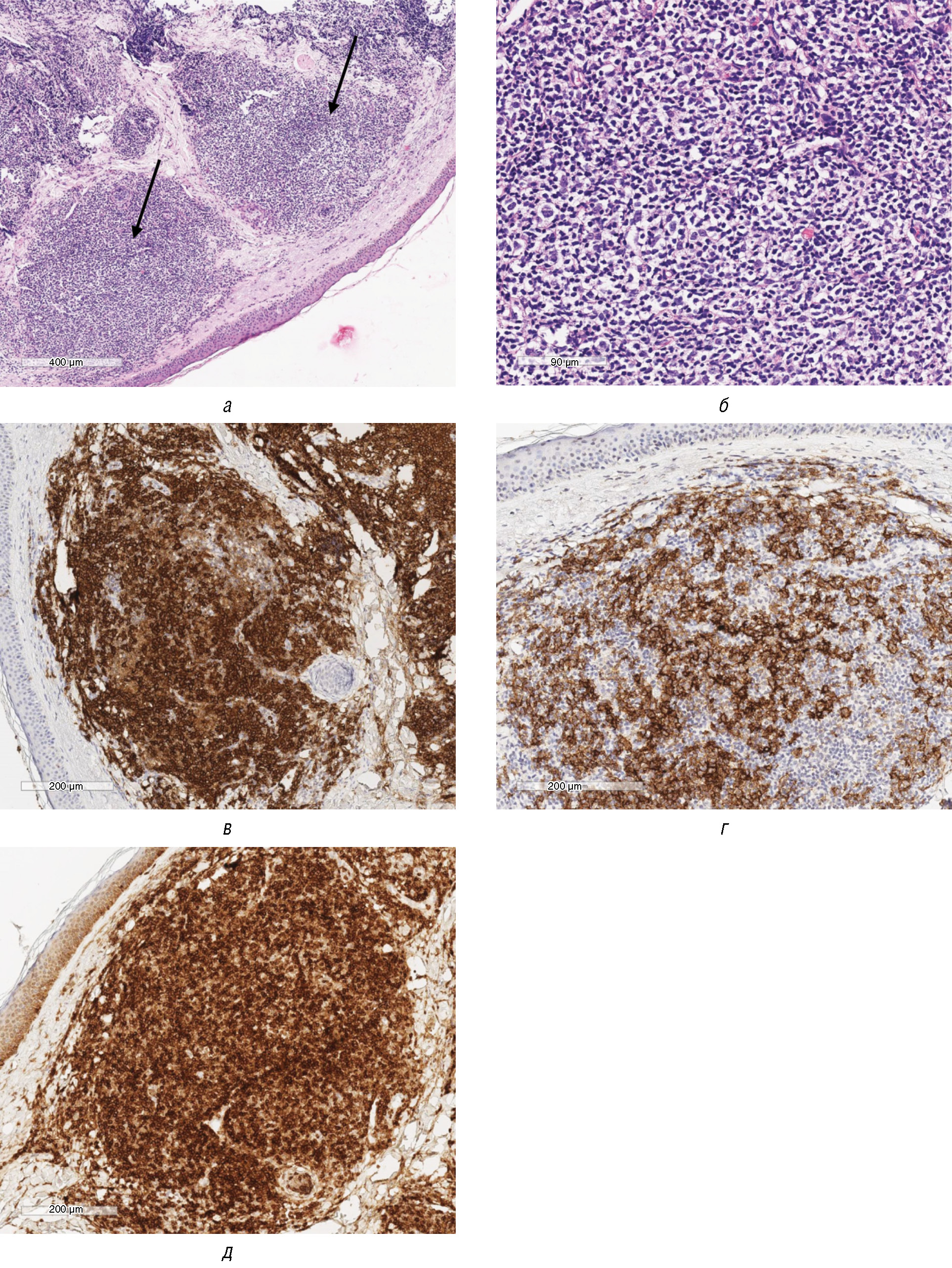
С целью проведения дифференциальной диагностики между В-КЛК, гемангиомой и саркоидозом пациентке было выполнено иссечение очага на коже в области правой брови с последующим патоморфологическим исследованием, по результатам которого в дерме были выявлены крупные узловые лимфоцитарные инфильтраты с формированием лимфоидных фолликулов, сопровождающиеся перифокальным фиброзом, солнечным эластозом и уплощением эпидермиса.
Пациентка была направлена в ФГБУ «НМИЦ гематологии» Минздрава России, где проведено патоморфологическое и иммуногистохимическое исследование. При гистологическом исследовании во всех отделах дермы с инфильтрацией гиподермы определялся лимфоидный инфильтрат в виде четко очерченных фолликулоподобных структур из среднего размера клеток с центроцитоподобной морфологией и разрозненно расположенных крупных лимфоидных клеток с морфологией центробластов (рис. 8, а, б).
Рис. 8. Патоморфологическое и иммуногистохимическое исследование биоптата кожи пациентки П.: а — гистологический препарат, × 100, окраска гематоксилином и эозином, в дерме с вовлечением гиподермы — крупные, четко очерченные фолликулоподобные структуры (черные стрелки); б — гистологический препарат, × 400, окраска гематоксилином и эозином, крупная фолликулоподобная структура; в — иммуноферментный метод, × 200, клетки фолликулоподобных структур экспрессируют CD20; г — иммуноферментный метод, × 200, клетки фолликулоподобных структур экспрессируют BCL-6; д — иммуноферментный метод, × 400, клетки фолликулоподобных структур экспрессируют CD10; е — иммуноферментный метод, × 400, мелкие Т-клетки (CD3+) окружают фолликулоподобные структуры, располагаются по периферии
Fig. 8. Pathomorphological and immunohistochemical study of the skin biopsy of patient P.: a — histological specimen, × 100, hematoxylin and eosin-stained, in the dermis with hypodermic involvement — large, clearly defined follicle-like structures (black arrows); б — histological specimen, × 400, hematoxylin and eosin-stained, large follicle-like structure; в — enzyme immunoassay, × 200, follicle-like cells express CD20; г — enzyme-linked immunoassay, × 200, follicle-like cells express BCL-6; д — enzyme-linked immunoassay, × 400, follicle-like cells express CD10; е — enzyme-linked immunoassay, × 400, small T cells (CD3+) surround follicle-like structures, located on the periphery
При иммуногистохимическом исследовании клетки фолликулоподобного инфильтрата экспрессировали CD20, CD10, BCL-6, отмечалась коэкспрессия CD23 при отсутствии экспрессии BCL-2 (позитивны были мелкие Т-клетки, при сопоставлении иммуногистоархитектоники с антителами к CD3) (рис. 8, в–е). Индекс пролиферативной активности Ki-67 составлял 15–20%.
Пациентке был установлен диагноз «первичная кожная фолликулярная лимфома» и рекомендована консультация врача-гематолога в ФГБУ «НМИЦ гематологии» Минздрава России с целью проведения обследования для исключения системного лимфопролиферативного заболевания и определения дальнейшей тактики терапии.
Обсуждение
В большинстве случаев наличие кожных проявлений у больных первичными и вторичными В-КЛК приводит к тому, что их диагностика становится зоной ответственности врача-дерматовенеролога. Свое-временная верификация диагноза и маршрутизация пациентов способствуют раннему началу корректной терапии и улучшению прогноза, что особенно важно в случае вторичного поражения кожи при системном лимфопролиферативном процессе. За последние 15 лет отмечается увеличение числа случаев почти всех групп лимфом кожи [11]. Также обращает на себя внимание тенденция к снижению доли Т-КЛК (с 75,2 до 71,4%) с увеличением доли В-КЛК [11].
Первичная В-КЛК из клеток фолликулярного центра — наиболее распространенная первичная В-КЛК, составляющая более 50% от общего количества [4, 12]. Средний возраст пациентов варьирует от 50 до 60 лет, среди больных преобладают лица мужского пола [6, 12, 13]. Первичная В-КЛК из клеток фолликулярного центра проявляется эритематозными папулами, бляшками и узлами без субъективных ощущений, обычно располагающимися на коже головы, шеи и туловища; элементы чаще солитарные или сгруппированые, однако возможно и распространенное поражение кожного покрова [4, 12]. Выделяют следующие клинические варианты первичной В-КЛК из клеток фолликулярного центра: лимфома Крости, акне- и розацеаподобные формы [4, 12]. Типичные высыпания при лимфоме Крости представлены изъязвляющимся узлом (бляшкой) на коже спины, окруженным более мелкими папулами, бляшками и пятнами, иногда формирующими кольцевидные структуры [12]. При акне- и розацеаподобных формах наблюдаются милиарные, иногда сгруппированные папулы на коже головы и шеи [12, 14]. Также описаны случаи В-КЛК, имитирующей гранулематозный и фиматозный подтипы розацеа [4, 15]. В местах спонтанного регресса элементов может наблюдаться вторичная анетодермия [4].
Ранняя диагностика В-клеточной лимфомы кожи может быть затруднительной [10]. Согласно результатам анализа 172 историй болезни пациентов с установленным диагнозом первичной В-КЛК, проведенного S. Geller и соавт., врач клинически заподозрил наличие у пациента лимфопролиферативного заболевания до проведения патоморфологического исследования биоптата кожи лишь в 28 случаях (16,3%) [7]. Злокачественный характер процесса до выполнения биопсии кожи подозревался в 54,7% случаев (наиболее часто предполагалась базальноклеточная карцинома) [7]. Также среди предположительных диагнозов часто указывали кисту (21,5%), гранулематозные процессы — саркоидоз и кольцевидную гранулему (15,7%), а также инфекционное заболевание кожи (4,7%) [7]. Низкая вероятность распознавания лимфомы кожи на этапе клинического осмотра не зависела от подтипа первичной В-КЛК и области поражения [7].
Начиная с 2015 г. для диагностики В-КЛК предложено применение дерматоскопии. Так, M. Mascolo и соавт. проанализировали дерматоскопическую картину у 10 пациентов с первичными В-КЛК [2]. Обнаруженные авторами специфические паттерны позволили им предположить, что дерматоскопия может стать вспомогательным методом в первичной диагностике В-КЛК [2]. Несмотря на редкость данной патологии, различными коллективами авторов описаны дерматоскопические признаки кожных очагов В-КЛК (табл. 1). Отдельными авторами также предлагается объяснение характерных для В-КЛК дерматоскопических особенностей патоморфологическими процессами (табл. 2). Большинство имеющихся в настоящее время публикаций по данной теме представляют описания клинических случаев или небольших серий клинических случаев [2, 16–20, 21–28, 30–32, 34]. Имеется также несколько крупных исследований, посвященных анализу дерматоскопических изображений [7, 29, 33, 36].
Таблица 1. Дерматоскопические признаки у больных В-КЛК
Table 1. Dermatoscopic signs in patients with cutaneous B-cell lymphomas
Авторы, год публикации | Количество пациентов (возраст) | Нозология (количество пациентов) | Дерматоскопические признаки | |
Авторы, год публикации | Количество пациентов (возраст) | Нозология (количество пациентов) | Дерматоскопические признаки | |
M. Mascolo et al., 2015 [2] | 10 (от 20 до 73 лет) | Первичная В-КЛК из клеток маргинальной зоны (6) | Белые круги, белые области, чешуйки, фон лососевого цвета, области лососевого цвета, древовидные сосуды, полиморфный сосудистый рисунок, изъязвление | |
Первичная В-КЛК из клеток фолликулярного центра (2) | Белые круги, белые области, чешуйки, фон лососевого цвета, области лососевого цвета, древовидные сосуды | |||
Первичная диффузная крупноклеточная В-КЛК (2) | Белые круги, белые области, чешуйки, фон лососевого цвета, области лососевого цвета, древовидные сосуды, полиморфный сосудистый рисунок, изъязвление | |||
K. Moustaide et al., 2016 [21] | 1 (70 лет) | Первичная В-КЛК из клеток фолликулярного центра (1) | Тонкие, короткие линейные сосуды, изогнутые сосуды со строением по типу «сперматозоидов», пурпурные пятна на эритематозном фоне | |
V. Piccolo et al., 2016 [22] | 2 (74 года, 77 лет) | Первичная В-КЛК из клеток маргинальной зоны (2) | Белые области, белые круги, фон лососевого цвета, тонкие, едва различимые древовидные сосуды | |
M. Mascolo et al., 2017 [23] | 1 (67 лет) | Первичная В-КЛК из клеток фолликулярного центра (1) | Красно-розовая гомогенная область, полиморфный сосудистый рисунок, древовидный сосуд в периферической части | |
S. Geller et al., 2018 [7] | 51 (—) | Первичная В-КЛК из клеток маргинальной зоны (—) | Фон/области лососевого цвета, змеевидные сосуды, древовидные сосуды, точечные сосуды, полиморфные сосуды, чешуйки, изъязвление | |
Первичная В-КЛК из клеток фолликулярного центра (—) | Фон/области лососевого цвета, змеевидные сосуды, древовидные сосуды, чешуйки | |||
Индолентная первичная В-КЛК (—) | Фон/области лососевого цвета, змеевидные сосуды | |||
Первичная диффузная крупноклеточная В-КЛК (—) | Фон/области лососевого цвета, змеевидные сосуды, древовидные сосуды, чешуйки | |||
G.K. Ghahramani et al., 2018 [24] | 2 (—) | Первичная В-КЛК из клеток маргинальной зоны (1) | — | Бледно-красный фон, бесструктурные области |
Первичная В-КЛК из клеток фолликулярного центра (1) | Структуры по типу «сперматозоидов», сосуды по типу «псевдоподий», желтовато-оранжевые пятнистые области и кристаллические структуры | |||
E. Rodríguez-Lomba et al., 2019 [25] | 1 (76 лет) | Первичная В-КЛК из клеток маргинальной зоны (1) | Беловатые структуры в центральной части, змеевидные (линейно-нерегулярные) сосуды с нечеткими контурами преимущественно в периферической части, лососево-розовый гомогенный фон | |
T. Kiyohara et al., 2019 [26] | 2 (2 месяца, 9 месяцев) | В-клеточный острый лимфобластный лейкоз (1) | Древовидные сосуды, линейно-нерегулярные сосуды | |
В-клеточная лимфобластная лимфома (1) | Древовидные сосуды, линейно-нерегулярные сосуды | |||
G. Biondo et al., 2019 [27] | 1 (61 год) | Первичная В-КЛК из клеток маргинальной зоны (1) | Белые круги, белые области, лососево-розовый фон | |
P.M. Hoesly et al., 2019 [28] | 1 (71 год) | Первичная В-КЛК из клеток фолликулярного центра (1) | Древовидные сосуды, белые линии, белые круги, шелушение с перифолликулярным компонентом, фон лососевого цвета, волосы в виде «свиного хвостика» | |
C. Navarrete-Dechent et al., 2019 [29] | 8 (—) | Первичная В-КЛК из клеток маргинальной зоны (5) | Фолликулярные пробки, оранжевый фон | |
Первичная В-КЛК из клеток фолликулярного центра (2) | Фолликулярные пробки, окруженные блестящими белыми линиями, тонкие линейные сосуды с нечеткими контурами в периферической части, оранжевый фон, розовая периферическая часть | |||
Первичная В-КЛК, неуточненная (1) | — | |||
M. Llamas-Velasco et al., 2020, [18] | 1 (73 года) | Внутрисосудистая крупноклеточная В-клеточная лимфома (1) | Желтоватые/лососевого цвета области, точечные и змеевидные сосуды с нечеткими контурами, располагающиеся нерегулярно | |
C. Miyabe et al., 2020 [19] | 1 (67 лет) | Внутрисосудистая крупноклеточная В-клеточная лимфома (1) | Телеангиэктазии | |
S. Yanagihara et al., 2020 [20] | 1 (78 лет) | Внутрисосудистая крупноклеточная В-клеточная лимфома (1) | Телеангиэктазии, розовые структуры, темно-синие структуры | |
A. Janowska et al., 2021 [31] | 1 (36 лет) | Первичная В-КЛК из клеток фолликулярного центра (1) | Круги коричневого цвета, отдельные древовидные сосуды, бесструктурная область телесного цвета | |
C. Conforti et al., 2022 [32] | 1 (63 года) | В-КЛК из клеток фолликулярного центра (1) | Эритематозный фон, области лососевого цвета, древовидные сосуды, желтые пробки, окруженные четко очерченными белыми кругами | |
B. Behera et al., 2022 [16] | 1 (62 года) | Первичная диффузная крупноклеточная В-КЛК, тип нижних конечностей (1) | Однородные области лососевого цвета, белые блестящие бесструктурные области, древовидные сосуды, змеевидные сосуды, пигментная сеть, структуры по типу «перца» коричневого цвета, структуры по типу «розетки» | |
E. Errichetti et al., 2022 [33] | 95 (—) | Первичная В-КЛК из клеток маргинальной зоны (44) | Точечные сосуды, древовидные сосуды, изогнутые сосуды, белые бесструктурные области, оранжевые бесструктурные области, оранжевые глобулы, белые линии | |
Первичная В-КЛК из клеток фолликулярного центра (37) | Точечные сосуды, линейные сосуды, древовидные сосуды, изогнутые сосуды, белые бесструктурные области, оранжевые бесструктурные области, оранжевые глобулы, белые линии | |||
Первичная диффузная крупноклеточная В-КЛК (14) | Точечные сосуды, древовидные сосуды, изогнутые сосуды, белые бесструктурные области, оранжевые бесструктурные области, пурпурные бесструктурные области, белые линии | |||
A. Laghi et al., 2022 [34] | 1 (72 года) | Вторичная В-КЛК из клеток фолликулярного центра (1) | Блестящая белая псевдосеть, чешуйки, желтые круги и полиморфные сосуды, окруженные телеангиэктатическими сосудами, располагающимися на эритематозном фоне | |
S. Koizumi et al., 2023 [17] | 1 (73 года) | Внутрисосудистая крупноклеточная В-клеточная лимфома (1) | Телеангиэктазии, бледный эритематозный фон | |
Таблица 2. Корреляция дерматоскопических признаков и патоморфологических изменений
Table 2. Correlation of dermatoscopic features and pathomorphological changes
Дерматоскопический признак | Патоморфологические изменения |
Активная васкуляризация | Неопластический ангиогенез [7] |
Сосуды по типу «псевдоподий» | Расширенные кровеносные сосуды, окружающие фолликулоподобные струтуры из лимфоцитов [24] |
Размытость/нечеткость контуров сосудов | Расположение сосудов в глубоких слоях дермы и рассеивание света коллагеновыми волокнами [35] |
Фон/области лососево-розового или желтовато-оранжевого цвета | Усиленный кровоток, плотный лимфоцитарный инфильтрат, располагающийся вокруг или внутри сосудов [7, 27, 29, 36] |
Телеангиэктазии | Реканализация сосудов после их окклюзии неопластическими лимфоцитами и тромбами [19] |
Темно-синие структуры | Скопления злокачественных клеток в кровеносных и/или лимфатических сосудах [20] |
Розовые структуры | Сосуды, содержащие крупные атипичные клетки, и некроз дермы [20] |
Волосы колечком / в виде «свиного хвостика» | Деформация волосяного стержня периаднексальным инфильтратом [28] |
Белые круги и линии, кристаллические структуры | Реактивный фиброз дермы или участки редуцированной зоны гренца, обусловленные наличием очагового или узлового поверхностно расположенного инфильтрата в сосочковом слое дермы [24, 27, 28] |
Желтые точки, окруженные кругами белого цвета | Кератиновые фолликулярные пробки, перифолликулярный лимфоцитарный инфильтрат, смещающий вверх эпидермис [29, 32] |
В 2018 г. S. Geller и соавт. провели ретроспективный анализ дерматоскопических изображений 58 очагов поражения кожи у 51 пациента с первичными В-КЛК с оценкой таких характеристик, как цвет, морфология сосудов, наличие чешуек и изъязвлений [7]. На всех изученных снимках отмечалось отсутствие пигмента в очагах пораженной кожи, большинство элементов имело фон либо области лососево-розового, или желтовато-оранжевого цвета (79,3%) [7]. Также в большинстве очагов имелись выраженные кровеносные сосуды (77,6%) [7]. Стоит отметить, что наиболее часто визуализировались змеевидные сосуды (67,2%), гораздо реже — древовидные (6,9%), точечные (1,7%) и полиморфные (1,7%) [7]. Сочетание лососевого цвета и змеевидных сосудов наблюдалось в 55% всех высыпаний, однако в 5 очагах (8,6%) не было ни одного из этих двух признаков [3]. Наличие чешуек и изъязвлений на поверхности очагов встречалось относительно редко — 10,3 и 6,9% соответственно [7].
В 2019 г. C. Navarrete-Dechent и соавт. были опубликованы результаты многоцентрового ретроспективного исследования, посвященного дифференциальной диагностике первичных лимфом кожи и псевдолимфом с другими заболеваниями, имеющими сходную клиническую картину [29]. Основными ограничениями данного исследования были малая выборка пациентов и объединение больных Т-КЛК, В-КЛК и псевдолимфомами в одну группу (n = 14) при сравнении с группой контроля (n = 35). В сравнении с контрольной группой в группе лимфом кожи / псевдолимфом чаще наблюдались оранжевый цвет (71,4 против 14,2%; p < 0,001) и фолликулярные пробки (85 против 2,8%; p < 0,001), а также сочетание этих двух признаков (64,3 против 0%; p < 0,001) [29]. Также в группе лимфом кожи / псевдолимфом часто визуализировались сосуды (85,7%), наиболее часто — линейные (78,5%) и древовидные (42,8%), однако значимых различий с сосудистым паттерном в контрольной группе выявлено не было [29].
Согласно данным анализа литературы, проведенного M. Sławińska и соавт. в 2021 г., при первичной В-КЛК из клеток фолликулярного центра наиболее часто встречаются фон лососевого цвета (65,0%), тонкие короткие/линейно-нерегулярные/змеевидные сосуды (45,0%), шелушение (25,0%) и древовидные сосуды (15,0%); для первичной В-КЛК из клеток маргинальной зоны наиболее характерны фон лососевого цвета (76,2%), тонкие короткие/линейно-нерегулярные/змеевидные сосуды (52,4%), белые круги/области (19,0%) и шелушение (16,7%); для первичной диффузной крупноклеточной В-КЛК свойственны фон лососевого цвета (80,0%), белые области/круги (40,0%), чешуйки (40,0%) и древовидные сосуды (40,0%) [36].
В 2022 г. E. Errichetti и соавт. опубликовали результаты ретроспективного исследования, в котором были проанализированы дерматоскопические изображения 95 первичных В-КЛК (44 первичных В-КЛК из клеток маргинальной зоныиз клеток фолликулярного центра и 14 первичных диффузных крупноклеточных В-КЛК) [33]. Среди обнаруженных в очагах В-КЛК дерматоскопических признаков были древовидные сосуды, изогнутые сосуды, точечные сосуды с нечеткими контурами, линейные сосуды, белые бесструктурные области, оранжевые бесструктурные области, пурпурные бесструктурные области, оранжевые глобулы, белые линии [33]. Также авторами был проведен многомерный анализ дерматоскопических признаков в смешанной группе первичных Т- и В-клеточных ЛК (n = 121) в сравнении с группой контроля, включавшей в себя злокачественные и доброкачественные новообразования кожи, псевдолимфомы и воспалительные дерматозы (n = 140), в результате которого в качестве надежных диагностических предикторов первичных лимфом кожи были определены белые и оранжевые бесструктурные области, оранжевые глобулы и белые линии [33]. При этом единственным дифференциально-диагностическим предиктором, выявленным при анализе дерматоскопических признаков в группах В-КЛК и Т-КЛК, были точечные сосуды с нечеткими контурами, которые чаще встречались в группе больных Т-КЛК [33].
Отдельный интерес представляет использование дерматоскопии в качестве вспомогательного метода при выборе места биопсии кожи при подозрении на В-КЛК. В 2020 г. S. Yanagihara и соавт. опубликовали случай успешной диагностики внутрисосудистой крупноклеточной В-КЛК с выбором области биопсии кожи под контролем дерматоскопии [20]. В том же году C. Miyabe и соавт. описали больного с системными проявлениями (повышением температуры тела, анемией и гемофагоцитарным синдромом), у которого не было кожных проявлений, видимых невооруженным глазом [30]. Тем не менее дерматоскопическое исследование визуально неизмененного кожного покрова позволило выявить несколько очагов телеангиэктатически расширенных сосудов [30]. Патоморфологическое и иммуногистохимическое исследования биоптата кожи, который был получен в одном из этих участков, позволили подтвердить диагноз внутрисосудистой крупноклеточной В-КЛК [30].
У одной из наших пациенток мы наблюдали такие дерматоскопические признаки, как оранжево-розовые (лососевого цвета) округлые области/глобулы, структуры (круги, линии и области) белого цвета, древовидные сосуды, местами с размытыми контурами, и единичные желтые фолликулярные пробки, окруженные белыми кругами. У другой пациентки были обнаружены оранжево-розовые (лососевого цвета) округлые области/глобулы, структуры (круги, линии и области) белого цвета, а также линейно-изогнутый и змеевидный сосуды с размытыми контурами, единичные желтые фолликулярные пробки, окруженные белыми кругами. Все эти признаки ранее были описаны в литературе в качестве характерных для В-КЛК и с учетом остальных клинико-анамнестических данных позволили заподозрить данный диагноз, послужив основанием для выполнения биопсии кожи.
Расположение очагов В-КЛК на коже головы и шеи — эстетически значимых областях — могут затруднить выполнение биопсии. В таких ситуациях проведение дерматоскопии может стать дополнительным критерием для определения необходимости данной операции. Тем не менее дерматоскопия не является альтернативой биопсии кожи. Для установления диагноза В-КЛК необходимо выполнение патоморфологического, иммуногистохимического и нередко молекулярно-генетического исследования биоптата кожи. У наших пациенток диагноз был подтвержден патоморфологическим и иммуногистохимическим исследованиями, молекулярно-генетическое исследование для определения В-клеточной клональности не выполнялось в связи с четкими морфологическими (характер роста и клеточный состав фолликулоподобных структур) и иммуногистохимическими критериями, характеризующими В-клеточную лимфому кожи — первичную кожную фолликулярную лимфому.
В настоящее время неизвестны гистологические, иммуногистохимические и генетические признаки, позволяющие при изучении кожного биоптата достоверно отличить первичную В-КЛК от вторично поражающей кожу системной лимфомы. Тем не менее существуют маркеры, которые могут указывать на наличие или отсутствие системности процесса с высокой долей вероятности. Так, при вторичном поражении кожи у больных системной фолликулярной лимфомой экспрессия BCL-2 наблюдается в 90% случаев [12, 38]. В то же время при первичной В-КЛК из фолликулярного центра экспрессия BCL-2 обнаруживается в 10–27% случаев и может быть ассоциирована с повышенным риском рецидивов [12, 37, 38]. По данным Х. Zhou и соавт., при первичной кожной фолликулярной лимфоме в сравнении со вторичным поражением кожи при системной фолликулярной лимфоме чаще определяется индекс пролиферативной активности Ki-67 более 30% (в 75% случаев), отсутствие реаранжировки гена BCL2 (в 83% случаев) и отсутствие мутаций в генах, участвующих в модификации хроматина [38].
Только у одной из представленных пациенток при проведении иммуногистохимического исследования биоптата кожи определялась экспрессия BCL-2. У обеих пациенток индекс пролиферативной активности Ki-67 составлял менее 30%. У пациентки с выявленной экспрессией BCL-2 был подтвержден первичный характер поражения кожи и проведено лечение ритуксимабом, однако, несмотря на достигнутый положительный эффект, отмечен рост опухолевого узла через несколько месяцев после завершения курса.
Таким образом, экспрессия BCL-2 встречается у больных первичными В-КЛК, но может указывать на более высокую вероятность системности процесса и склонности к рецидивам. Вне зависимости от наличия и уровня экспрессии BCL-2 и Ki-67 всем пациентам с впервые установленным диагнозом лимфомы кожи необходимо проведение скринингового обследования для исключения нодальной или экстранодальной лимфомы с вовлечением кожи.
Заключение
Дерматоскопия является недорогим, неинвазивным и безболезненным методом диагностики и позволяет с помощью визуализации структур, как правило невидимых невооруженным глазом, быстро получить дополнительную информацию о заболевании, в связи с чем широко используется в диагностике дерматозов и кожных новообразований. Представленные нами клинические случаи демонстрируют возможности дерматоскопического исследования в раннем распознавании В-КЛК и необходимость междисциплинарного взаимодействия. Описанные дерматоскопические признаки могут указывать на диагноз В-КЛК, но не являются специфическими. Таким образом, дерматоскопия может стать вспомогательным диагностическим методом, который будет эффективным в сочетании с патоморфологическим и иммуногистохимическим исследованиями при диагностике лимфом кожи.
About the authors
Arfenya E. Karamova
State Research Center of Dermatovenereology and Cosmetology
Email: karamova@cnikvi.ru
ORCID iD: 0000-0003-3805-8489
SPIN-code: 3604-6491
MD, Cand. Sci. (Med.), Assistant Professor
Россия, MoscowKseniya M. Aulova
State Research Center of Dermatovenereology and Cosmetology
Author for correspondence.
Email: aulovaksenia@mail.ru
ORCID iD: 0000-0002-2924-3036
SPIN-code: 8310-7019
Россия, Moscow
Maria A. Nefedova
State Research Center of Dermatovenereology and Cosmetology
Email: nefedova.maria.arb@gmail.com
ORCID iD: 0000-0003-1141-9352
SPIN-code: 1307-1189
Россия, Moscow
Marina N. Sheklakova
State Research Center of Dermatovenereology and Cosmetology
Email: shushanic-m@yandex.ru
ORCID iD: 0009-0005-1010-5855
SPIN-code: 6177-4543
MD, Cand. Sci. (Med.)
Россия, MoscowLiliya G. Gorenkova
National Medical Research Center for Hematology
Email: l.aitova@mail.ru
ORCID iD: 0000-0002-3967-9183
SPIN-code: 1775-9550
MD, Cand. Sci. (Med.)
Россия, MoscowAlla M. Kovrigina
National Medical Research Center for Hematology; I.M. Sechenov First Moscow State Medical University (Sechenov University)
Email: kovrigina.alla@gmail.com
ORCID iD: 0000-0002-1082-8659
SPIN-code: 3702-8208
Dr. Sci. (Biol.), Professor
Россия, Moscow; MoscowReferences
- Willemze R, Cerroni L, Kempf W, Berti E, Facchetti F, Swerdlow SH, et al. The 2018 update of the WHO-EORTC classification for primary cutaneous lymphomas. Blood. 2019;133(16):1703–1714. doi: 10.1182/blood-2018-11-881268
- Mascolo M, Piccolo V, Argenziano G, Costa C, Lo Presti M, De Rosa G, et al. Dermoscopy Pattern, Histopathology and Immunophenotype of Primary Cutaneous B-Cell Lymphoma Presenting as a Solitary Skin Nodule. Dermatology. 2015;232(2):203–207. doi: 10.1159/000442251
- Куклин И.А., Кохан М.М., Демидов С.М. Первичные лимфомы кожи. Лечащий врач. 2018;4:27–29. [Kuklin IA, Kohan MM, Demidov SM. Primary skin lymphomas. Attending Physician. 2018;4:27–29. (In Russ.)]
- Ciolfi C, Tartaglia J, Sernicola A, Alaibac M. Clinician’s perspective on the diagnosis of primary cutaneous B-cell lymphoma. Dermatol Reports. 2023;16(Suppl 2):9723. doi: 10.4081/dr.2023.9723
- Willemze R, Jaffe ES, Burg G, Cerroni L, Berti E, Swerdlow SH, et al. WHO–EORTC classification for cutaneous lymphomas. Blood. 2005;105(10):3768–85. doi: 10.1182/blood-2004-09-3502
- WHO Classification of Tumours Editorial Board. Haematolymphoid Tumours. 5th Ed. Vol. 11. Lyon: IARC Press; 2024. 958 p.
- Geller S, Marghoob AA, Scope A, Braun RP, Myskowski PL. Dermoscopy and the diagnosis of primary cutaneous B-cell lymphoma. J Eur Acad Dermatol Venereol. 2018;32(1):53–56. doi: 10.1111/jdv.14549
- Елькин В.Д., Митрюковский Л.С., Лысов А.Ю. Практическая дерматоонкология: иллюстрированное справочное руководство по опухолям кожи, опухолеподобным заболеваниям и связанным с ними синдромам. М.: Практическая медицина, 2014. С. 212–219. [El’kin VD, Mitrjukovskij LS, Lysov AJ. Practical dermato-oncology: illustrated reference guide to skin tumors, tumor-like diseases and changes with them syndromes. Moscow: Prakticheskaja medicina; 2014. P. 212–219. (In Russ.)]
- Goyal A, LeBlanc RE, Carter JB. Cutaneous B-Cell Lymphoma. Hematol Oncol Clin North Am. 2019;33(1):149–161. doi: 10.1016/j.hoc.2018.08.006
- Bombonato C, Pampena R, Lallas A, Giovanni P, Longo C. Dermoscopy of Lymphomas and Pseudolymphomas. Dermatol Clin. 2018;36(4):377–388. doi: 10.1016/j.det.2018.05.005
- Dobos G, Miladi M, Michel L, Ram-Wolff C, Battistella M, Bagot M, et al. Recent advances on cutaneous lymphoma epidemiology. Presse Med. 2022;51(1):104108. doi: 10.1016/j.lpm.2022.104108
- Белоусова И.Э., Казаков Д.В., Самцов А.В. Лимфопролиферативные заболевания кожи. Клиника и диагностика. М.: ГЭОТАР-Медиа; 2022. С. 157–235. [Belousova IЕ, Kazakov DV, Samcov AV. Limfoproliferativnye zabolevananija kozhi. Klinika i diagnostika. Moscow: GEOTAR-Media; 2022. S. 157–235. (In Russ.)] doi: 10.33029/9704-6541-7-LYM-2022-1-272
- Suárez AL, Pulitzer M, Horwitz S, Moskowitz A, Querfeld C, Myskowski PL. Primary cutaneous B-cell lymphomas: part I. Clinical features, diagnosis, and classification. J Am Acad Dermatol. 2013;69(3):329.e1–13. doi: 10.1016/j.jaad.2013.06.012
- Massone C, Fink-Puches R, Laimer M, Rütten A, Vale E, Cerroni L. Miliary and agminated-type primary cutaneous follicle center lymphoma: report of 18 cases. J Am Acad Dermatol. 2011;65(4):749–755. doi: 10.1016/j.jaad.2010.07.035
- Barzilai A, Feuerman H, Quaglino P, David M, Feinmesser M, Halpern M, et al. Cutaneous B-cell neoplasms mimicking granulomatous rosacea or rhinophyma. Arch Dermatol. 2012l;148(7):824–831. doi: 10.1001/archdermatol.2011.3575
- Behera B, Palit A, Nayak AK, Panigrahi A, Mishra P, Sethy M. Clinico-Dermoscopic-Pathological Features of a Rare Case of Locally Invasive Multifocal Primary Cutaneous Diffuse Large B Cell Lymphoma-Leg Type Over the Face and Scalp. Indian J Dermatol. 2022;67(3):283–286. doi: 10.4103/ijd.IJD_783_20
- Koizumi S, Togawa Y, Saeki Y, Shimizu R, Nakano M. A case of cutaneous variant of intravascular large B-cell lymphoma in which dermoscopy revealed telangiectasias associated with erythematous induration. Dermatol Reports. 2023;16(1):9731. doi: 10.4081/dr.2023.9731
- Llamas-Velasco M, Held L, Gold R, Paredes B. Dermoscopy of primary cutaneous intravascular large B-cell lymphoma. Clin Exp Dermatol. 2020;45(2):269–272. doi: 10.1111/ced.14073
- Röglin J, Böer A. Skin manifestations of intravascular lymphoma mimic inflammatory diseases of the skin. Br J Dermatol. 2007;157(1):16–25. doi: 10.1111/j.1365-2133.2007.07954.x
- Yanagihara S, Oiso N, Ohyama Y, Masaie H, Matsumura I, Kawada A. Usefulness of dermoscopy-aided skin biopsy for clinically recognizable intravascular large B-cell lymphoma: prediction of histopathological localization of occlusive vessels based on dermoscopic findings. Eur J Dermatol. 2020. doi: 10.1684/ejd.2020.3721
- Moustaide K, Gallouj S, Niema A, Mernissi FZ. Are there any dermoscopic signs of primary cutaneous follicular center B-cell lymphoma. Int J Cancer Stud Res. 2016;5(1):93–95. doi: 10.19070/2167-9118-1600016
- Piccolo V, Mascolo M, Russo T, Staibano S, Argenziano G. Dermoscopy of primary cutaneous B-cell lymphoma (PCBCL). J Am Acad Dermatol. 2016;75(4):e137–e139. doi: 10.1016/j.jaad.2016.02.1217
- Mascolo M, Pagliuca F, Costa C, Scalvenzi M. Deceitful clustered papules on the scalp of a middle-aged woman. Dermatol Pract Concept. 2017;7(1):67–69. doi: 10.5826/dpc.0701a14
- Ghahramani GK, Goetz KE, Liu V. Dermoscopic characterization of cutaneous lymphomas: a pilot survey. Int J Dermatol. 2018;57(3):339–343. doi: 10.1111/ijd.13860
- Rodríguez-Lomba E, Lozano-Masdemont B, Avilés-Izquierdo JA. Slow-Growing Salmon-Pink Nodule on the Buttock. Actas Dermosifiliogr (Engl Ed). 2019;110(9):763–764. doi: 10.1016/j.ad.2018.03.024
- Kiyohara T, Makimura K, Nakamaru S, Miyamoto M, Shijimaya T, Nagano N, et al. B-cell lymphoblastic leukemia/lymphoma in infants: Report of two cases on the face. J Dermatol. 2019;46(7):e255-e256. doi: 10.1111/1346-8138.14799
- Biondo G, Sola S, Pastorino C, Massone C. Salmon-Colored and White Areas on Dermoscopy as Supportive Findings in the Diagnosis of Primary Cutaneous Marginal Zone Lymphoma. Dermatol Pract Concept. 2019;9(1):63–66. doi: 10.5826/dpc.0901a14
- Hoesly PM, Sluzevich JC, Cappel MA. Dermoscopy of Primary Cutaneous B-cell Lymphoma. Indian Dermatol Online J. 2019;10(2):208–209. doi: 10.4103/idoj.IDOJ_39_18
- Navarrete-Dechent C, Del Puerto C, Abarzúa-Araya, Molgó M, Geller S, Andreani S, et al. Dermoscopy of primary cutaneous B- and T-cell lymphomas and pseudolymphomas presenting as solitary nodules and tumors: a case-control study with histopathologic correlation. Int J Dermatol. 2019;58(11):1270–1276. doi: 10.1111/ijd.14590
- Miyabe C, Nomura J, Ikeda T, Takahashi K, Kawakami T. Skin biopsies using dermoscopy for earlier diagnosis of intravascular large B-cell lymphoma. J Dermatol. 2020;47(7):e276–e278. doi: 10.1111/1346-8138.15350
- Janowska A, Fidanzi C, Granieri G, Iannone M, Bonadio AG. An unusual presentation of primary cutaneous follicle center lymphoma. Exp Oncol. 2021;43(4):376–378. doi: 10.32471/exp-oncology.2312-8852.vol-43-no-4.17026
- Conforti C, Giuffrida R, Dri A, Zalaudek I, Di Meo N. Yellow Plugs: An Additional Dermoscopic Criterion in the Diagnosis of Primary Cutaneous B-Cell Lymphoma. Dermatol Pract Concept. 2022;12(1):e2022006. doi: 10.5826/dpc.1201a06
- Errichetti E, Geller S, Zalaudek I, Longo C, Kyrgidis A, Akay BN, et al. Dermatoscopy of nodular/plaque-type primary cutaneous T- and B-cell lymphomas: A retrospective comparative study with pseudolymphomas and tumoral/inflammatory mimickers by the International Dermoscopy Society. J Am Acad Dermatol. 2022;86(4):774–781. doi: 10.1016/j.jaad.2021.10.020
- Laghi A, Lee C, Witkowski A, Hsu M, Pellacani G, Ludzik J. The role of dermatoscopy and reflectance confocal microscopy in the assessment of relapsing secondary cutaneous follicular B-cell lymphoma. JAAD Case Rep. 2022;24:91–93. doi: 10.1016/j.jdcr.2022.03.035
- Zalaudek I, Kreusch J, Giacomel J, Ferrara G, Catricalà C, Argenziano G. How to diagnose nonpigmented skin tumors: a review of vascular structures seen with dermoscopy: part I. Melanocytic skin tumors. J Am Acad Dermatol. 2010;63(3):361–374. doi: 10.1016/j.jaad.2009.11.698
- Sławińska M, Sokołowska-Wojdyło M, Olszewska B, Nowicki RJ, Sobjanek M, Zalaudek I. Dermoscopic and trichoscopic features of primary cutaneous lymphomas — systematic review. J Eur Acad Dermatol Venereol. 2021;35(7):1470–1484. doi: 10.1111/jdv.17219
- Pileri A, Grandi V, Agostinelli C, Santucci M, Lastrucci I, Guglielmo A, et al. BCL-2 expression in primary cutaneous follicle center lymphoma is associated with a higher risk of cutaneous relapses: A study of 126 cases. J Eur Acad Dermatol Venereol. 2022;36(10):e811–e813. doi: 10.1111/jdv.18287
- Zhou XA, Yang J, Ringbloom KG, Martinez-Escala ME, Stevenson KE, Wenzel AT, et al. Genomic landscape of cutaneous follicular lymphomas reveals 2 subgroups with clinically predictive molecular features. Blood Adv. 2021;5(3):649–661. doi: 10.1182/bloodadvances.2020002469
Supplementary files












