Darier–White’s follicular dyskeratosis. Experience of successful therapy
- Authors: Drozhdina M.B.1, Bobro V.A.1, Derpalyuk E.N.2
-
Affiliations:
- Kirov State Medical Academy
- Nizhny Novgorod Branch of the State Scientific Center of Dermatovenerology and Cosmetology
- Issue: Vol 100, No 2 (2024)
- Pages: 72-79
- Section: CLINICAL CASE REPORTS
- Submitted: 28.06.2023
- Accepted: 05.02.2024
- Published: 20.05.2024
- URL: https://vestnikdv.ru/jour/article/view/9840
- DOI: https://doi.org/10.25208/vdv9840
- ID: 9840
Cite item
Full Text
Abstract
Darier–White’s follicular dyskeratosis is an autosomal dominant hereditary dermatosis, which is based on pathological keratinization due to impaired adhesion between keratinocytes, manifested mainly in the form of hyperkeratotic follicular papules on seborrheic areas of the skin. Therapy of rare genodermatosis still presents difficulties in the tactics of choosing a treatment method for each individual patient. Currently, there are no regulated methods of treating this disease. Isotretinoin is a well-studied drug, the profile points of application of which are moderate and severe forms of acne, rosacea, but recently indications for the use of isotretinoin have been increasing. In this article presents a clinical case of Darier–White’s follicular dyskeratosis and demonstrates the successful experience of therapy of rare genodermatosis with isotretinoin.
Full Text
Актуальность
Фолликулярный дискератоз, или болезнь Дарье–Уайта (БДУ), — редкий генодерматоз, наследуемый по аутосомно-доминантному типу с вариабельной экспрессивностью, но с полной пенетрантностью у взрослых пациентов. Клинически проявляется в виде гиперкератотических папул, в основе которых лежит нарушение кератинизации по типу дискератоза кератиноцитов с очаговым супрабазальным акантолизом в виде супрабазальных лакун, в области которых образуются так называемые круглые тельца, обычно единичные, реже — в виде скоплений по типу гомогенных базофильных дискератотических масс, окруженных зоной гало. Кроме того, характерны роговые пробки, которые располагаются как в зоне волосяных фолликулов, так и в области ладонно-подошвенных локализаций.
В основе заболевания лежит мутация в гене ATP2A2, который кодирует кальциевый насос в эндоплазматическом ретикулуме (SERCA2) [1]. Нарушение функции SERCA2 приводит к аберрантному процессингу соединительных белков и последующему ухудшению сцепления между кератиноцитами. Считается, что это нарушение вызывает акантолиз или потерю связи между кератиноцитами [2].
Как правило, клинические проявления фолликулярного дискератоза в виде гиперкератотических жирных папул и бляшек локализуются в области волосяных фолликулов, в результате чего заболевание обычно наблюдается в области волосистой части головы, лица, половых органов и в перианальной локализации. Бляшки дебютируют с верхней 1/3 туловища, шеи, лица, с течением времени приобретают папилломатозный вид и могут проявляться болезненными трещинами, присоединением вторичной инфекции, сопровождаются резким, неприятным запахом, особенно усиливающимся под воздействием ультрафиолета, трения и в результате гипергидроза. В последующем клинические проявления распространяются на интертригинозные области. В ряде случаев удается наблюдать проявления болезни в области ладоней и подошв, слизистых оболочек, а также на ногтевых пластинах в виде продольной эритро- и лейконихии, онихорексиса.
Определенный интерес представляет дифференциальная диагностика БДУ. Помимо себорейного дерматита и экземы, следует тщательно дифференцировать данный дерматоз с другими генодерматозами: доброкачественной семейной пузырчаткой Гужеро–Хейли–Хейли, болезнью Гровера, бородавчатым акрокератозом Хопфа, вульгарной пузырчаткой, бородавчатой дискератомой (табл. 1).
Таблица 1. Дифференциальная диагностика близкородственных генодерматозов (по V. Shwetha и соавт. [3])
Table 1. Differential diagnosis of closely related genodermatoses according (to V. Shwetha et al. [3])
Признак | БДУ | ДСП | БГ | БАХ | ВП | БД |
Начало | Подростковый возраст | Второе и третье десятилетие жизни | Поражения обычно присутствуют при рождении, могут появиться позже в младенчестве в виде папул или в период полового созревания в виде ихтиозиформных высыпаний | Средний возраст | Пятое–шестое десятилетие жизни | Средний возраст |
Пол | Мужчины и женщины болеют одинаково часто | Мужчины и женщины болеют одинаково часто | Мужчины : женщины 3 : 1 | Мужчины и женщины болеют одинаково часто | Мужчины и женщины болеют одинаково часто | Мужчины и женщины болеют одинаково часто |
Этиология | Мутация в ATP2AT | Мутации в ATP2C1 | Мутация в ATP2A2 | УФО, чрезмерное тепло, ионизирующее излучение, побочные реакции на лекарства, лучевая терапия, химиотерапия | Аутоантитела к десмоглеину 1 и десмоглеину 3 | Актиническое облучение, вирусная инфекция |
Наследование | Аутосомно-доминантный, спорадический | Аутосомно-доминантный | Аутосомно-доминантный | Приобретенный | Аутоиммунное состояние | Приобретенный |
Кожные поражения | Сальные гиперкератотические папулы в себорейных участках; ладонно- подошвенная локализация | Везикулы и пузыри — эрозивные поражения кожи в крупных складках, подверженных трению, таких как сгибательные поверхности подмышечных впадин и паха. Симптом «мозговых извилин» | Множественные папулы с плоской вершиной, симметрично расположенные на тыльной стороне кистей, стоп, запястий и/или лодыжек, ладонно-подошвенный кератоз. Лоб, скальп и складки кожи не поражаются | Полиморфные, состоящие из эритематозных, красно-коричневых папул, везикул и экзематозных бляшек диаметром 1–3 мм | Везикулы и пузыри, которые вскрываются, оставляя болезненные эрозии. Положительный симптом Никольского, часто симптомы интоксикации | Гиперкератотический, пупковидный, плотный узел, который обычно появляется на открытых участках кожи головы и шеи, подвергающихся воздействию солнца |
Поражения слизистой оболочки полости рта | Частое поражение слизистой твердого и мягкого неба | Поражения слизистой оболочки редки, скопления везикул быстро вскрываются, формируя эрозии | Слизистые оболочки в процессе участвуют редко | Слизистая оболочка обычно не повреждена | Процесс, как правило, дебютирует со слизистой оболочки, сопровождается выраженной болезненностью и неприятным запахом, появлением кровянистых корок на красной кайме губ | Очаги ороговения на слизистой неба, альвеолярного отростка и десны |
Гистопатология | Гиперкератоз, акантолиз, надбазальные лакуны, круглые зерна, кератинизация усилена | Акантолиз, эффект «ветхой кирпичной стены», доброкачественные дискератотические клетки, похожие на стволовые | Гиперкератоз, увеличение толщины зернистого слоя, акантоз, папилломатоз, очерченные эпидермальные возвышения, напоминающие церковные шпили. Гребни сосочкового слоя дермы слегка удлинены и выходят на один уровень. Паракератоза и вакуолизации нет. Незначительный гиперкератоз | Сочетание как спонгиоза, так и акантолиза, гиперкератоза, паракератоза, сопровождающееся образованием струпьев и зерен Дарье, появлением «кирпичной стенки» | Внутриэпителиальные везикулы или пузыри, надбазальное расщепление, акантолиз, клетки Тцанка, надгробный рисунок базальных клеток | Широко расширенное чашевидное или кистозное поражение, содержащее ороговевший детрит и часто связанное с волосяным фолликулом, содержащее тельца и зерна Дарье, выраженный акантолиз прилегающего более глубокого эпителия, супрабазальные ворсинки, лимфоцитарная и гистиоцитарная инфильтрация дермы |
Примечание. ДСП — доброкачественная семейная пузырчатка Гужеро–Хейли–Хейли; БГ — болезнь Гровера; БАХ — бородавчатый акрокератоз Хопфа; ВП — вульгарная пузырчатка; БД — бородавчатая дискератома.
Note. ДСП — benign familial pemphigus Gougereau–Haley–Haley; БГ — Grover’s disease; БАХ — warty acrokeratosis Hopf; ВП — vulgar pemphigus; БД — warty dyskeratoma.
Описание клинического случая
Больная С., 1981 г.р. Обратилась с жалобами на множественные высыпания в области лица, преимущественно на лбу и в нижней трети, усиливающиеся под воздействием ультрафиолетового облучения, сопровождающиеся неприятным запахом и незначительным зудом.
Заболела в подростковом возрасте, дебют заболевания — в области подбородка, появились болезненные, желтоватые корки с трещинами. Заболевание постепенно прогрессировало и распространилось на все участки лица, периодически отмечает высыпания на волосистой части головы и в перианальной области. При обращении к дерматологу был поставлен диагноз: доброкачественная семейная пузырчатка Гужеро–Хейли–Хейли. Получала курсы системных глюкокортикоcтероидов, антибиотиков, топических стероидов с незначительным и непродолжительным эффектом (уточнить названия препаратов затрудняется, амбулаторная карта утеряна). Данное обращение с целью получения адекватной терапии.
Из анамнеза: аналогичным заболеванием страдает несколько родственников (дедушка, дядя, мать, сын).
Работа не связана с воздействием профессиональных вредностей. Гемотрансфузии, травмы, операции, перенесенные тяжелые инфекционные процессы, привычные интоксикации отрицает. Сопутствующих хронических заболеваний нет. Лекарственные препараты и биологически активные добавки на постоянной основе не принимает. Аллергологический анамнез без особенностей. Масса тела пациентки — 58 кг, стабильная.
Локальный статус: патологический процесс хронический, в стадии обострения, симметричный, преимущественно расположен в межбровной области, на лбу, в периорбитальной зоне, нижней трети лица. Высыпания представлены множественными, сливающимися эритематозно-папулезными элементами, образующими бляшки, покрытые желтоватыми жирными чешуйками. В очагах выраженная инфильтрация, множественные трещины, зияющие фолликулы, единичные телеангиэктазии, застойная эритема (рис. 1–3). Пораженные участки кожи источают резкий, неприятный запах. Кожные покровы туловища, конечностей свободны от высыпаний. В перианальной области отмечаются единичные фолликулярные папулы, очаги гиперемии (рис. 4). Дермографизм красный. Ногтевые пластины на кистях изменены: имеются продольная эритронихия, лейконихия, частичное разрушение ногтевых пластин 1-, 2-, 3-го пальцев обеих кистей с дистального края (онихорексис).
Рис. 1. Эритематозно-папулезные бляшки, покрытые желтоватыми корками
Fig. 1. Erythematous-papular plaques covered with yellowish crusts
Рис. 2. Жирные корки на эритематозно-папулезном фоне, зияющие устья фолликулов
Fig. 2. Seborrheic crusts on an erythematous-papular background, open mouths of follicles
Рис. 3. Желтоватые корки и множественные трещины на фоне эритематозно-папулезной бляшки на подбородке
Fig. 3. Yellowish crusts and multiple cracks on the background of erythematous-papular plaque on the chin
Рис. 4. Единичные фолликулярные папулы в перианальной области
Fig. 4. Single follicular papules in the perianal region
Подчелюстные лимфоузлы увеличены до 1,2 см в диаметре, эластичные, умеренно-болезненные, не спаяны с кожей, подкожно-жировой клетчаткой, между собой, кожа над ними не изменена.
Результаты физикального, лабораторного и инструментального исследования
Оценка основных показателей жизнедеятельности и лабораторных данных не выявила клинически значимых изменений.
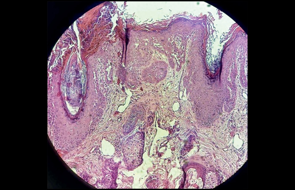
Патоморфологическое исследование биоптата кожи (рис. 5): роговой слой утолщен, фолликулярный гиперкератоз, корки в роговом слое. Участки эрозирования, покрытые детритом. Эпидермис неравномерной толщины, неравномерная гиперплазия зернистого слоя (инфандибулярный тип) и выраженный неравномерный акантоз. Папилломатоз. Надбазальный акантолиз с наличием единичных акантолитических клеток и образованием узких лакун. Встречаются признаки дискератоза в виде единичных круглых тел и кератиновых зерен. Граница с дермой выражена. В дерме сосуды расширены, небольшие скопления лимфоцитов и гистиоцитов, коллагеновые волокна уплотнены очагово, архитектоника нарушена. Заключение: гистологические признаки характерны для фолликулярного дискератоза (болезни Дарье–Уайта).
Рис. 5. Патоморфологическое исследование кожного биоптата. Фолликулярный гиперкератоз, корки в роговом слое. Участки эрозирования, покрытые детритом. Эпидермис неравномерной толщины, неравномерная гиперплазия зернистого слоя (инфандибулярный тип) и выраженный неравномерный акантоз. Папилломатоз. Окраска гематоксилином и эозином, ×10
Fig. 5. Pathomorphological examination of a skin biopsy. Follicular hyperkeratosis, cortex in the stratum corneum. Areas of erosion covered with detritus. The epidermis is of uneven thickness, uneven hyperplasia of the granular layer (infundibular type) and pronounced uneven acanthosis. Papillomatosis. Staining with hematoxylin and eosin, ×10
Дифференциальный диагноз
Основываясь на данных анамнеза, клинической картины, патоморфологического исследования пациентке был поставлен диагноз: L44.8. Другие уточненные папуло-сквамозные изменения. Фолликулярный дискератоз Дарье–Уайта.
Лечение
Пациентка получила следующую терапию: изотретиноин Lidose (Акнекутан) 24 мг/сут 5 месяцев, с последующим снижением дозы до 16 мг/сут на 2 месяца, далее по 16 мг 2 раза/нед в качестве поддерживающей терапии 4 месяца и топическая терапия на основе адапалена 1 раз/сут и такролимуса 0,1% 1 раз/сут постоянно. Данная дозировка изотретиноина и продолжительность терапии были выбраны неслучайно. По данным консенсуса Бразильского общества дерматовенерологов по применению изотретиноина (E. Bagatin и соавт., 2020) рекомендован изотретиноин для лечения БДУ в суточных дозах 0,2–0,7 мг/кг массы тела. Продолжительность курса терапии выбирается индивидуально [4]. С учетом выбранного для терапии изотретиноина формулы Lidose в соответствии с инструкцией по применению препарата мы снизили дозировку на 20% и получили среднерекомендованную при БДУ. Запатентованная формула Lidose обеспечивает ряд существенных преимуществ по сравнению с обычной формой системного изотретиноина. За счет дополнительных липофильных компонентов, введенных в состав препарата (Гелюцир, Спан), он отлично усваивается в пищеварительном тракте, за счет чего биодоступность изотретиноина увеличивается на 20%, что позволяет снизить и суточную, и курсовую дозировку препарата, а также обезопасить пациентов от потенциальных нежелательных реакций во время лечения. При этом достигается полное сохранение терапевтической эффективности препарата [5].
Исход лечения
Мы надеемся, что назначенная нашей больной поддерживающая терапия препаратом изотретиноина Lidose с последующим переходом на местное применение 0,1% крема на основе адапалена и 0,1% мази на основе такролимуса в течение нескольких месяцев позволит пролонгировать достигнутый эффект и осуществить профилактику рецидивов. Рекомендации поддерживающей терапии данными препаратами связаны с тем, что адапален является метаболитом ретиноида, обладает комедонолитическим и противовоспалительным действием, нормализует процессы кератинизации и эпидермальной дифференцировки, оказывает противовоспалительный эффект путем ингибирования миграции лейкоцитов в очаге воспаления и метаболизма арахидоновой кислоты. Такролимус вызывает ингибирование высвобождения медиаторов воспаления из тучных клеток, базофилов и эозинофилов, тем самым подавляя каскад воспалительных реакций, что предотвращает рецидив заболевания.
Результат терапии представлен на рис. 6.
Рис. 6. Результат терапии
Fig. 6. The result of therapy
Обсуждение
Данный клинический случай представляет несомненный интерес в плане дифференциальной диагностики. Первоначально поставленный неверный диагноз доброкачественной семейной пузырчатки не укладывается в критерии диагностики ни по местам локализации, ни по особенностям клиники (в данном случае преимущественное поражение себорейных участков), ни по срокам дебюта заболевания. Поражение ногтевых пластин в данном случае также является важным дополнительным диагностическим критерием. Руководствуясь критериями дифференциальной диагностики близкородственных генодерматозов, представленных в табл. 1, практикующий врач может осуществить правильный диагностический путь и определиться с диагнозом. Стоит отметить, что во многих ситуациях, когда клинических и анамнестических дифференциально-диагностических данных бывает недостаточно для принятия решения об окончательном диагнозе, все сомнения можно устранить, проведя пациенту патоморфологическое исследование кожного биоптата, что мы и сделали в данном случае.
В настоящее время отсутствуют клинические рекомендации по лечению пациентов с фолликулярным дискератозом Дарье–Уайта. Многочисленные публикации с предлагаемыми методиками подчеркивают, что вопрос лечения данного заболевания остается открытым. Лечение легких симптомов фолликулярного дискератоза включает защиту от воздействия ультрафиолета, тщательный выбор одежды для предотвращения избыточного потоотделения, применение увлажняющих средств. Предлагаются методики терапии топическими глюкокортикостероидами или топическими препаратами витамина D3, главным образом с целью уменьшить воспаление без изменения течения заболевания [5]. Несколько топических ретиноидов, таких как тазаротен и адапален, также применялись для лечения фолликулярного дискератоза Дарье–Уайта. Нормализуя клеточный обмен и клеточную адгезию, эти препараты на некоторое время улучшают течение БДУ, но незначительно, при отмене препаратов дискератоз рецидивирует [6, 7]. В качестве топической терапии используются также пимекролимус и такролимус [8, 9].
В литературе имеются сообщения об эффективности применения диклофенака натрия в форме 3% геля для лечения БДУ [10–12]. Следует отметить, что в редких случаях БДУ лечили иммуносупрессантом циклоспорином А [6]. Для эффективного удаления рефрактерно-пролиферативных поражений при БДУ иногда использовались хирургические подходы, такие как дермабразия, электродиссекция и различные абляционные лазерные методики [5, 13, 14].
В настоящее время в клинической практике тяжелые симптомы БДУ предлагается лечить пероральными ретиноидами: ацитретином или изотретиноином [5, 15–17]. Несмотря на отсутствие данного показания в инструкции по применению препаратов изотретиноина, эффективность данной терапии показана во всех публикациях, однако после прекращения лечения всегда возникают рецидивы, а побочные эффекты в виде хейлита и ксероза встречаются достаточно часто. Следовательно, необходимо выверять дозировку препаратов изотретиноина, рассматривать возможность поддерживающей терапии данной группой лекарственных средств или применять интермиттирующие методики. Положительный результат терапии БДУ с использованием изотретиноина Lidose был продемонстрирован в нашем случае. Изотретиноин на протяжении нескольких десятилетий показывает высокую эффективность в лечении многих тяжелых дерматозов, сопровождающихся избыточной кератинизацией и себогенезом, активацией комменсальной микрофлоры и воспалением за счет TLR-2 и TLR-4 в кератиноцитах, себоцитах и моноцитах [18–23]. При этом побочные эффекты изотретиноина хорошо изучены, прогнозируемы и доступны к мониторингу в процессе терапии [24].
Заключение
Таким образом, в настоящее время терапия фолликулярного дискератоза остается сложной задачей, требующей тщательного выбора методики лечения и индивидуального подхода в каждом конкретном случае. Накапливающийся практический опыт позволит разработать клинические рекомендации для ведения пациентов с данным диагнозом. Представленное клиническое наблюдение демонстрирует важность применения клинического мышления в рамках дифференциально-диагностических критериев и патоморфологического исследования при принятии решения об окончательном диагнозе и выборе терапии заболевания, клинические рекомендации по которому в настоящее время еще не разработаны.
About the authors
Marianna B. Drozhdina
Kirov State Medical Academy
Author for correspondence.
Email: drozhdina@yandex.ru
ORCID iD: 0000-0002-7689-8350
SPIN-code: 6938-4768
MD, Cand. Sci. (Med.), Associate Professor
Россия, KirovVarvara A. Bobro
Kirov State Medical Academy
Email: bobro.va@inbox.ru
ORCID iD: 0000-0003-2306-1423
SPIN-code: 2534-4480
Postgraduate Student
Россия, KirovElena N. Derpalyuk
Nizhny Novgorod Branch of the State Scientific Center of Dermatovenerology and Cosmetology
Email: lena_derpaluk@mail.ru
ORCID iD: 0009-0004-2516-1529
SPIN-code: 9655-9614
MD, Cand. Sci. (Med.)
Россия, Nizhny NovgorodReferences
- Schmieder SJ, Rosario-Collazo JA. Keratosis Follicularis. 2022 Jan 14. In: StatPearls [Internet]. Treasure Island (FL): StatPearls Publishing; 2023.
- Savignac M, Simon M, Edir A, Guibbal L, Hovnanian A. SERCA2 dysfunction in Darier disease causes endoplasmic reticulum stress and impaired cell-to-cell adhesion strength: rescue by Miglustat. J Invest Dermatol. 2014;134(7):1961–1970. doi: 10.1038/jid.2014.8
- Shwetha V, Sujatha S, Yashoda Devi B, et al. Spectrum of features in Darier’s disease: A case report with emphasis on differential diagnosis. J Oral Biol Craniofac Res. 2019;9(2):215–220. doi: 10.1016/j.jobcr.2018.05.001
- Bagatin E, Costa CS, Rocha MADD, Picosse FR, Kamamoto CSL, Pirmez R, et al. Consensus on the use of oral isotretinoin in dermatology — Brazilian Society of Dermatology An Bras Dermatol. 2020;95(Suppl 1):19–38. doi: 10.1016/j.abd.2020.09.001
- Дрождина М.Б., Колеватых Е.П., Трубникова М.А., Кряжева П.А. Возрастные корреляции вульгарных акне. Сравнительное исследование микробиома и экспосома акне у студентов Кировского ГМУ. Анализ результатов терапии применительно к показателям качества жизни. Вестник дерматологии и венерологии. 2020;96(4):32–42. [Drozhdina MB, Kolevatykh EP, Trubnikova MA, Kryazheva PA. Age correlations of acne vulgaris. Comparative study of microbiome and acne exposom at students of Kirov state medical university. Analysis of the results of therapy applicable to indicators of quality of life Vestnik Dermatologii i Venerologii. 2020;96(4):32–42. (In Russ.)] doi: 10.25208/vdv1143-2020-96-4-32-42
- Hanna N, Lam M, Fleming P, Lynde CW. Therapeutic Options for the Treatment of Darier’s Disease: A Comprehensive Review of the Literature. J Cutan Med Surg. 2022;26(3):280–290. doi: 10.1177/12034754211058405
- Miyazaki A, Taki T, Takeichi T, Kono M, Yagi H, Yagi H. Darier disease successfully treated with a topical agent containing vitamin A (retinyl palmitate), vitamin E, and urea. J Dermatol. 2022;49(8):779–782. doi: 10.1111/1346-8138.16395
- Pérez-Carmona L, Fleta-Asín B, Moreno-García-Del-Real C, Jaén-Olasolo P. Successful treatment of Darier’s disease with topical pimecrolimus. Eur J Dermatol. 2011;21(2):301–302. doi: 10.1684/ejd.2011.1309
- Rubegni P, Poggiali S, Sbano P, Risulo M, Fimiani M. A case of Darier’s disease successfully treated with topical tacrolimus. J Eur Acad Dermatol Venerol. 2006;20(1):84–87. doi: 10.1111/j.1468-3083.2005.01352.x
- Palacios-Álvarez I, Andrés-Ramos I, Silva MY, Simal G. Treatment of Darier’s disease with diclofenac sodium 3% gel. Dermatol Ther. 2017;30(3):e12478. doi: 10.1111/dth.12478
- Millán-Parrilla F, Rodrigo-Nicolás B, Molés-Poveda P, Armengot-Carbó M, Quecedo-Estébanez E, Gimeno-Carpio E. Improvement of Darier disease with diclofenac sodium 3% gel. J Am Acad Dermatol. 2014;70(4):e89–e90. doi: 10.1016/j.jaad.2013.11.033
- Santos-Alarcon S, Sanchis-Sanchez C, Mateu-Puchades A. Diclofenac sodium 3% gel for Darier’s disease treatment. Dermatol Online J. 2016;22(4):13030/qt1mz2m9ks
- Ji WB, Joung S-Y, Min B-W, Um JW. Surgical excision for non-familial hypertrophic Dariers disease. ANZ J Surg. 2018;88(1–2):E77–E78. doi: 10.1111/ans.13255
- Toombs EL, Peck GL. Electrosurgical treatment of etretinate-resistant Darier’s disease. J Dermatol Surg Oncol. 1989;15(12):1277–1280. doi: 10.1111/j.1524-4725.1989.tb03147.x
- Haber RN, Dib NG. Management of Darier disease: a review of the literature and update. Indian J Dermatol Venereol Leprol. 2021;87(1):14–21. doi: 10.25259/IJDVL_963_19
- Bhat RM, Ullal KR, Pinto AC, Sukumar D. Darier-White disease in siblings responding to isotretinoin. Indian Dermatol Online J. 2010;1(1):18–20. doi: 10.4103/2229-5178.73252
- Eimer L, Lagodin C, Bonavia P, Stringa M, Rébora I, Anaya J. Darier–White disease treated with oral isotretinoin. Arch Argent Pediatr. 2011;109(4):e63–e66. doi: 10.5546/aap.2011.e63
- Дрождина М.Б. Фульминантные акне. Современное решение проблемы. Вестник дерматологии и венерологии. 2019;95(4):79–86. [Drozhdina MB. Fulminant acne. Modern solution to the problem. Vestnik Dermatologii i Venerologii. 2019;95(4):79–86. (In Russ.)] doi: 10.25208/0042-4609-2019-95-4-79-86
- Дрождина М.Б. Болезнь Морбигана. Современный обзор литературы. Описание редкого клинического случая. Медицинский вестник Северного Кавказа. 2020;15(1):15–21. [Drozhdina MB. Morbihan disease. A modern review of the literature. Description of a rare clinical case. Medical news of North Caucasus. 2020;15(1):129–133. (In Russ.)] doi: 10.14300/mnnc.2020.15033
- Дрождина М.Б., Бобро В.А. Подрывающий фолликулит Гоффмана — состояние проблемы, подходы к терапии, демонстрация клинических случаев. Вестник дерматологии и венерологии. 2020;97(2):35–43. [Drozhdina MB, Bobro VA. Goffman’s undermining folliculitis — state of the problem, approach to therapy, demonstration of clinical cases. Vestnik Dermatologii i Venerologii. 2020;97(2):35–43. (In Russ.)] doi: 10.25208/vdv1139
- Дрождина М.Б. Применение Акнекутана для лечения фульминантных акне. Консилиум. Дерматовенерология. 2019;2(171):25. [Drozdina MB. The usage of Aknekutan for the treatment of fulminant acne. Consultation. Dermatovenerology. 2019;2(171):25. (In Russ.)]
- Сергеева И.Г., Криницына Ю.М. Тактика ведения пациентов с тяжелым розацеа. Вестник дерматологии и венерологии. 2016;5:72–78. [Sergeeva IG, Krinitsyna YuM. Tactics of management of patients with severe rosacea. Vestnik Dermatologii i Venereologii. 2016;5:72–78. (In Russ.)]
- Дрождина М.Б., Бобро В.А. Ринофима: тактика ведения пациента. Краткий обзор литературы и описание клинического случая. Вестник дерматологии и венерологии. 2022;98(1):64–071. [Drozhdina MB, Bobro VA. Rhinophyma: patient management. A brief review of the literature and a description of the clinical case. Vestnik Dermatologii i Venerologii. 2022;98(1):64–71. (In Russ.)] doi: 10.25208/vdv12
- Tan J, Knezevic S. Improving bioavailability with a novel isotretinoin formulation (isotretinoin-Lidose). Skin Therapy Lett. 2013;18(6):1–3.
Supplementary files










