Valproic acid induced Stevens–Johnson syndrome
- Authors: Somov D.V.1, Chernyaeva A.Y.1, Mazus V.A.2, Nurieva L.T.2, Bobrov M.A.3, Anichkov D.A.1
-
Affiliations:
- Pirogov Russian National Research Medical University
- N.I. Pirogov City Clinical Hospital No. 1
- Moscow Scientific and Practical Center of Dermatology and Venerology and Cosmetology of the Department of Health
- Issue: Vol 100, No 3 (2024)
- Pages: 74-79
- Section: CLINICAL CASE REPORTS
- Submitted: 22.05.2023
- Accepted: 21.05.2024
- Published: 11.07.2024
- URL: https://vestnikdv.ru/jour/article/view/10515
- DOI: https://doi.org/10.25208/vdv10515
- ID: 10515
Cite item
Full Text
Abstract
A 27-year-old transgender female at the stage of gender transition with bipolar disorder for which she received valproic acid developed multiple petechial rashes on the chest, upper and lower extremities, local erythematous lesions with forming blisters, large-platelet peeling on the face, neck, chest and inguinal area, erosion on the oral mucosa. She was diagnosed with drug eruption, Stevens–Johnson syndrome. The diagnosis was verified on the basis of complaints, medical history, clinical picture, laboratory findings. Treatment included valproic acid withdrawal, dexamethasone, infusion therapy, vancomycin, cyclosporine A. Against the background of the therapy, skin condition was improved: there was the epithelization of ulcerative defects and the absence of new elements.
Full Text
Актуальность
Синдром Стивенса–Джонсона (сСД) — тяжелая лекарственно-индуцированная кожная реакция, характеризующаяся обширными поражениями кожи и слизистых оболочек, обусловленная приемом лекарственных препаратов [1]. В зависимости от площади поражения кожи выделяют следующие формы эпидермолитических лекарственных реакций: сСД — менее 10% поверхности тела, токсический эпидермальный некролиз (ТЭН, синдром Лайелла) — более 30% поверхности тела и промежуточная форма (поражение 10–30% кожи) (табл. 1) [1].
Таблица 1. Формы эпидермальных лекарственных реакций
Table 1. Forms of epidermal drug reactions
Форма | Площадь поражения тела, % |
Синдром Стивенса–Джонсона | Менее 10 |
Токсический эпидермальный некролиз (синдром Лайелла) | 30 |
Промежуточная форма | 10–30 |
Клиническая картина характеризуется появлением множественных полиморфных высыпаний в виде багрово-красных пятен с синюшным оттенком, папул, пузырьков, мишеневидных очагов [1]. Описано более 100 лекарственных препаратов разных групп, вызывающих развитие эпидермолитических лекарственных реакций: противосудорожные, уратснижающие, сульфаниламиды, антибиотики, нестероидные противовоспалительные, антиретровирусные [1]. С целью оценки прогноза эпидермолитических лекарственных реакций разработана шкала тяжести болезни SCORTEN, включающая семь независимых признаков, которая с 95%-й вероятностью позволяет определить исход болезни и риск летального исхода в течение первых 5 суток с момента госпитализации (табл. 2, 3) [2].
Таблица 2. Шкала тяжести болезни (SCORTEN)
Table 2. Disease severity according to SCORTEN scale
Признак | Параметр | Индивидуальный балл | Сумма баллов SCORTEN |
Возраст, лет | > 40 | 1 | 0–1 |
Наличие злокачественных новообразований | Да | 1 | 2 |
Частота сердечных сокращений | > | 1 | 3 |
Первоначальная площадь отслоения эпидермиса | > | 1 | 4 |
Уровень мочевины в крови | > | 1 | > 5 |
Уровень глюкозы в крови | > | 1 | — |
Уровень стандартного бикарбоната крови | < | 1 | — |
Таблица 3. Частота летального исхода, ассоциированного с тяжестью болезни по шкале SCORTEN
Table 3. The frequency of death associated with the severity of the disease severity according to the SCORTEN scale
Количество факторов риска | Риск летального исхода, % |
0–1 | 3,2 |
2 | 12,1 |
3 | 35,3 |
4 | 58,3 |
> 5 | > 90 |
Вальпроевая кислота — противоэпилептическое средство широкого спектра действия [3]. Общие побочные эффекты вальпроатов включают тошноту, рвоту, анорексию, седативный эффект, изменение поведения, атаксию, тремор, повышение активности печеночных трансаминаз [3]. В систематическом обзоре 2019 г. описан 21 случай развития сСД на фоне приема вальпроевой кислоты [4]. В большинстве зарегистрированных случаев сСД связан с приемом вальпроата натрия в сочетании с другими препаратами [4–6]. В данной статье представлен клинический случай развития сСД на фоне приема вальпроевой кислоты в виде монотерапии.
Описание случая
Пациентка М. 27 лет в стадии трансгендерного (трансфеминного) перехода: выполнена смена имени и пола в паспорте, орхиэктомия, проводилась феминизирующая гормональная терапия препаратами дидрогестерона и эстрадиола. На фоне психоэмоционального стресса стала отмечать суицидальные мысли, в связи с чем консультирована психотерапевтом, госпитализирована с целью уточнения диагноза и подбора лекарственной терапии. Диагностировано биполярное аффективное расстройство, инициирована терапия препаратами вальпроевой кислоты.
Результаты лабораторного, физикального и гистологического исследований
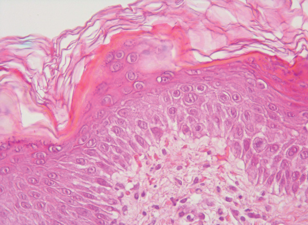
На 2-й неделе стационарного лечения отмечено появление множественных петехиальных высыпаний на коже туловища, верхних и нижних конечностей, локализованных эритем с формирующимися пузырями, покрышки пузырей при незначительном механическом воздействии сравнительно легко повреждаются, наблюдается отслоение верхних слоев эпидермиса (положительный симптом Никольского), крупнопластинчатое шелушение на коже лица, шеи, груди и паховой области, эрозии на слизистой в полости рта и красной каймы губ (рис. 1). В лабораторных анализах обращает на себя внимание выраженный лейкоцитоз (55,2 × 109/л) со сдвигом до метамиелоцитов (п/я нейтрофилы — 28%, метамиелоциты — 1%, миелоциты — 14%), гипокоагуляция (МНО: 2,86; тромбоциты: 43 × 109/л), прокальцитонин — 0,43 нг/мл. Выполнена биопсия кожи. При гистологическом исследовании в эпидермисе выявлены паракератоз, скопления клеточного детрита в роговом слое, акантоз, спонгиоз, вакуолизация цитоплазмы отдельных клеток базального слоя; в дерме — экстравазаты эритроцитов, отек, периваскулярные лимфогистиоцитарные инфильтраты (рис. 2, 3).
Рис. 1. Кожные проявления до начала терапии. Множественные петехиальные высыпания на коже верхних и нижних конечностей, отслоение верхних слоев эпидермиса, крупнопластинчатое шелушение
Fig. 1. Skin signs before starting therapy. Multiple petechial rashes on the skin of the upper and lower extremities, detachment of the upper layers of the epidermis, large-plate peeling
Рис. 2. Гематоксилин-эозин, × 200. В эпидермисе — паракератоз, скопления клеточного детрита в роговом слое, акантоз, спонгиоз. В дерме — экстравазаты эритроцитов, отек, периваскулярные лимфогистиоцитарные инфильтраты
Fig. 2. Hematoxylin-eosin, × 200. In the epidermis — parakeratosis, accumulation of cellular debris in the stratum corneum, acanthosis, spongiosis. In the dermis — extravasations of erythrocytes, edema, perivascular lymphohistiocytic infiltrates
Рис. 3. Тот же препарат, другой участок, × 400. Вакуолизация цитоплазмы отдельных клеток базального слоя
Fig. 3. The same preparation, another field, × 400. Vacuolization of cytoplasm of individual cells of the basal layer
По совокупности результатов клинико-лабораторного обследования верифицирован диагноз — лекарственно-индуцированная кожная реакция: сСД, риск летального исхода по SCORTEN = 1 балл.
Проводимое лечение: отмена препарата вальпроевой кислоты, применение глюкокортикоидов (дексаметазон 24 мг 7 дней внутривенно) и инфузионная терапия. На 2-е сутки терапии глюкокортикоидами сохранялась негативная динамика в виде появления новых элементов, что было расценено как недостаточность эффекта глюкокортикоидов, принято решение о применении циклоспорина А 150 мг 2 раза/сут 10 дней внутривенно. На фоне проводимой терапии отмечается улучшение состояния кожного покрова: отсутствие новых элементов, эпителизация эрозий (рис. 4), снижение уровня лейкоцитов (10 × 109/л), нормализация уровня тромбоцитов (190 × 109/л) и МНО.
Рис. 4. Динамика кожных проявлений на фоне терапии
Fig. 4. Dynamics of skin signs during therapy
Обсуждение
Синдром Стивенса–Джонсона — редкое и опасное для жизни заболевание, индуцированное приемом лекарственных препаратов, которое характеризуется поражением кожи и слизистых оболочек [1]. Механизм возникновения нежелательных реакций до сих пор остается неизвестным, но есть предположения, что высокореактивные промежуточные метаболиты способны вызывать реакцию гиперчувствительности IV типа [7]. Манифестация симптомов сСД происходит между 4 днями и 4 неделями от начала приема препарата [8]. Поражению кожи в большинстве случаев предшествует продромальная стадия симптомов, таких как лихорадка, недомогание, боль в горле и кашель [8]. Клиническая картина характеризуется появлением множественных полиморфных высыпаний в виде багрово-красных пятен с синюшным оттенком, папул, пузырьков, мишеневидных очагов [1]. В течение нескольких часов на этих местах формируются пузыри размером до ладони взрослого и больше [1]. Покрышки пузырей при незначительном механическом воздействии сравнительно легко повреждаются, наблюдается отслоение верхних слоев эпидермиса (положительный симптом Никольского), образуя обширные ярко-красные эрозированные мокнущие поверхности, окаймленные обрывками покрышек пузырей. Иногда на коже ладоней и стоп появляются округлые темно-красные пятна с геморрагическим компонентом [1]. Наиболее тяжелое поражение наблюдается на слизистых оболочках полости рта, носа и коже красной каймы губ, где появляются пузыри, которые быстро вскрываются, обнажая обширные, резко болезненные эрозии, покрытые сероватым фибринозным налетом [1].
Оценка риска летального исхода является важным этапом в лечении cСД/ТЭН. Шкала тяжести заболевания (SCORTEN) является наиболее широко используемым инструментом для определения прогноза у пациентов с cСД/ТЭН (см. табл. 2). Эффективность данного инструмента была проверена в ряде исследований [9, 10].
Первый этап терапии сСД — выявление и устранение этиологического фактора развития данного состояния. При невозможности точно определить лекарственный препарат, ответственный за развитие сСД, необходима отмена всей проводимой терапии. На данный момент нет убедительной доказательной базы по лечению сСД и ТЭН. Медикаментозная терапия включает применение системных иммуносупрессивных и иммуномодулирующих препаратов, таких как глюкокортикоиды, циклоспорин А, внутривенные иммуноглобулины, плазмаферез и ингибиторы ФНО-α.
Препараты вальпроевой кислоты — широко используемые противоэпилептические препараты первого поколения, назначаются преимущественно при эпилепсии и психических расстройствах. Вальпроаты обладают хорошей эффективностью и благоприятным профилем безопасности и могут назначаться как в качестве монотерапии, так и в составе политерапевтических схем [3]. Развитие сСД на фоне приема вальпроатов — нечастое явление, в опубликованном систематическом анализе описан 21 случай [4].
Представленный клинический случай демонстрирует развитие синдрома сСД у пациента, получающего препараты вальпроевой кислоты в монотерапии, исход которого — полное выздоровление за счет оптимальной тактики ведения и своевременного применения циклоспорина А. Таким образом, своевременная диагностика и рациональная комплексная медикаментозная терапия способствовали разрешению высыпаний, значительному улучшению общего состояния и быстрой реабилитации пациента без развития осложнений.
Заключение
Синдром Стивенса–Джонсона — тяжелая лекарственно-индуцированная кожная реакция с высокой вероятностью летального исхода. Представленный клинический случай демонстрирует, что своевременные диагностика и терапия позволяют предотвратить тяжелое течение заболевания и привести к быстрому регрессу клинических проявлений.
About the authors
Dmitry V. Somov
Pirogov Russian National Research Medical University
Author for correspondence.
Email: somovmd@yandex.ru
ORCID iD: 0000-0002-8874-3663
SPIN-code: 5096-6710
Assistant Lecturer
Россия, MoscowAlina Yu. Chernyaeva
Pirogov Russian National Research Medical University
Email: alinaache23@gmail.com
ORCID iD: 0000-0002-7142-2484
Россия, Moscow
Veronika A. Mazus
N.I. Pirogov City Clinical Hospital No. 1
Email: veroni2001@list.ru
ORCID iD: 0000-0002-3754-5333
Россия, Moscow
Lyaman T. Nurieva
N.I. Pirogov City Clinical Hospital No. 1
Email: lemi_enigma@mail.ru
ORCID iD: 0000-0002-6312-0291
Россия, Moscow
Maxim A. Bobrov
Moscow Scientific and Practical Center of Dermatology and Venerology and Cosmetology of the Department of Health
Email: m.a.bobrov@yandex.ru
ORCID iD: 0000-0001-7374-0374
SPIN-code: 3058-6092
Россия, Moscow
Dmitry A. Anichkov
Pirogov Russian National Research Medical University
Email: d.anichkov@gmail.com
ORCID iD: 0000-0001-5610-4819
SPIN-code: 2891-6763
MD, Cand. Sci. (Med.), Assistant Professor
Россия, MoscowReferences
- Кубанов А.А., Горланов И.А., Самцов А.В., Хайрутдинов В.Р. Синдром Стивенса–Джонсона. Клинические рекомендации Российского общества дерматовенерологов и косметологов. М.; 2020. [Kubanov AA, Gorlanov IA, Samcov AV, Khairutdinov VR. Stevens-Johnson syndrome. Clinical guidelines of Russian society of dermatovenereologists and cosmetologists. Moscow; 2020. (In Russ.)]
- Дюбкова Т.П., Жерносек В.Ф. Интенсивная терапия синдрома Стивенса–Джонсона — токсического эпидермального некролиза у детей. Экстренная медицина. 2013;3(7):92–108. [Dyubkova TP, Zhernosek VF. Intensive care of Stevens–Jonson syndrome — toxic epidermal necrolysis in children. Emergency medicine. 2013;3(7):92–108. (In Russ.)]
- McNamara JO. Pharmacotherapy of the epilepsies. Brunton LL, Lazo JS, Parker KL, Goodman & Gilman’s the pharmacological basis of therapeutics. 11th ed. N.Y.: McGraw Hill; 2006. P. 521–548.
- Rashid M, Kashyap A, Undela K. Valproic acid and Stevens-Johnson syndrome: a systematic review of descriptive studies. Int J Dermatol. 2019;58(9):1014–1022. doi: 10.1111/ijd.14411
- Kumar PN, Kumar SK. Stevens–Johnson syndrome induced by sodium valproate. Indian J Psychiatry. 2004;46(3):269–270.
- Baba M, Karakas M, Aksungur VL, Homan S, Yücel A, Acar MA, et al. The anticonvulsant hypersensitivity syndrome. J Eur Acad Dermatol Venereol. 2003;17:399–401. doi: 10.1046/j.1468-3083.2003.00750.x
- Charlton AA, Harris W, Fan K, Mouton E, Jackson S, Cooper A. Toxic epidermal necrolysis and Stephen-Johnson syndrome: a comprehensive review. Adv Wound Care (New Rochelle). 2020;9(7):426–439. doi: 10.1089/wound.2019.0977
- Hu CH, Chang NJ, Liu EW, Chuang SS, Chung WH, Yang JY. SCORTEN and impaired renal function related to mortality of toxic epidermal necrolysis syndrome patients in the Asian population. J Eur Acad Dermatol Venereol. 2013;27(5):628–633. doi: 10.1111/j.1468-3083.2012.04502.x
- Torres-Navarro I, Briz-Redon A, Botella-Estrada R. Accuracy of SCORTEN to predict the prognosis of Stevens-Johnson syn-drome/Toxic Epidermal Necrolysis: A systematic review and meta-analysis. J Eur Acad Dermatol Venereol. 2020;34(9):2066–2077. doi: 10.1111/jdv.16137
- Imahara SD, Holmes JH, Heimbach DM, Engrav LE, Honari S, Klein MB, et al. SCORTEN Overestimates Mortality in the Setting of a Standardized Treatment Protocol. J Burn Care Res. 2006;27(3):270–275. doi: 10.1097/01.BCR.0000216532.71360.9B
Supplementary files








