Pyoderma gangrenosum mimicking granulomatosis with polyangiitis: case report and riview of the literature
- Authors: Olisova O.Y.1, Teplyuk N.P.1, Grabovskaya O.V.1, Kusraeva D.T.1, Kayumova L.N.1, Bobkova A.E.1, Varshavsky V.A.1, Komleva L.F.2, Petrenko E.V.2, Bobrova K.Y.2
-
Affiliations:
- I.M. Sechenov First Moscow State Medical University (Sechenov University)
- Kaluga Region Clinical Dermatovenereologic Dispensary
- Issue: Vol 99, No 2 (2023)
- Pages: 70-79
- Section: CLINICAL CASE REPORTS
- Submitted: 15.10.2022
- Accepted: 21.02.2023
- Published: 17.05.2023
- URL: https://vestnikdv.ru/jour/article/view/1386
- DOI: https://doi.org/10.25208/vdv1386
- ID: 1386
Cite item
Full Text
Abstract
Pyoderma gangrenosum is an autoinflammatory neutrophilic dermatosis. Diagnosis of the disease remains a difficult task to date, due to the lack of a standard of examination and differential diagnostic signs. The primary elements in the development of PG may be papules, pustules or bullae the dissection of which subsequently leads to the formation of ulcers with irregular, violaceous, undermined borders. In rare cases, the diagnosis of the disease can also be complicated by the rapid development of internal organs damage symptoms, which must be regarded as extracutaneous manifestations of PG. Extracutaneous lesions can occur before, during or after the appearance of skin rashes, and the detection of sterile neutrophil infiltrates in the defeat of internal organs confirm the concept of PG as a multisystemic disease. The presented case of a rare course of PG with multiple skin lesions and extracutaneous manifestations, simulating systemic vasculitis, emphasizes the importance of a detailed examination of patients in order to make a correct diagnosis and prescribe timely adequate treatment.
Full Text
Актуальность
Гангренозная пиодермия (ГП) — аутовоспалительный нейтрофильный дерматоз, характеризующийся спектром клинических проявлений с вариабельным течением и повышенной экспрессией цитокинов и хемокинов в очагах поражения [1]. Ежегодная заболеваемость во всем мире оценивается в 3–10 случаев на миллион населения, включая все половые и возрастные группы с пиком заболеваемости в возрасте от 20 до 60 лет [2]. Развитие ГП может быть связано с предшествующей травмой (феномен патергии), приемом лекарственных препаратов или наличием коморбидных заболеваний, среди которых чаще встречаются воспалительные заболевания кишечника (неспецифический язвенный колит, болезнь Крона), артриты, лимфопролиферативные заболевания (лейкемия, лимфома, миелодиспластический синдром), эндокринные нарушения и солидные опухоли [3]. По классификации клинических форм ГП выделяют язвенную (классическая форма), буллезную, пустулезную, вегетирующую (поверхностная гранулематозная форма), постоперационную, перистомальную [4]. Особый интерес представляет внекожная форма ГП, при которой стерильные нейтрофильные инфильтраты обнаруживаются в других органах как на фоне кожных проявлений, так и при их отсутствии [5]. Несмотря на разработанные диагностические критерии, каждый из которых имеет свои недостатки, общепринятый стандарт диагностики ГП все еще отсутствует [6]. Кроме того, пиодермоподобные язвы описаны и при других заболеваниях, связанных с системными проявлениями, таких как гранулематоз с полиангиитом (ГПА), узелковый периартериит, антифосфодипидный синдром (АФС), что значительно усложняет диагностику данного заболевания [7].
ГПА, ранее известный как гранулематоз Вегенера, — аутоиммунное гранулематозное воспаление стенок сосудов с преимущественным поражением верхних дыхательных путей, легких и почек [8]. В соответствии с номенклатурой Chapel-Hill от 2012 г. ГПА в настоящее время относится к системным васкулитам, ассоциированным с продукцией антител к цитоплазме нейтрофилов (АНЦА), поражающим сосуды мелкого и среднего калибра (капилляры, венулы, артериолы, артерии и вены) [9]. ГПА является редким заболеванием с частотой встречаемости от 7 до 12 новых случаев на миллион населения в год, в равной степени поражает мужчин и женщин, средний возраст заболеваемости от 45 до 60 лет [10]. Кожные поражения наблюдаются примерно у 50% пациентов с ГПА, чаще всего встречается пальпируемая пурпура, однако высыпания могут носить полиморфный характер, в виде папул, везикул, волдырей, язвенно-некротических поражений в области нижних конечностей, реже на лице и волосистой части головы [11]. Изредка могут развиваться изъязвления и гангрена пальцев или полового члена, также сообщалось о нескольких случаях проявления ГПА в виде язвенных поражений, напоминающих гангренозную пиодермию [12].
Представлен случай редкого течения ГП с множественными поражениями кожи и внекожными проявлениями, имитирующими системный васкулит.
Описание случая
Под наблюдением находился пациент Л., 69 лет, пенсионер. Считает себя больным с августа 2021 г. Начало заболевания связывает со специфической профилактикой новой коронавирусной инфекции СOVID-19. Через 10 дней после вакцинации (вакцина Гам-КОВИД-Вак) отметил появление пустулезных высыпаний на слизистой оболочке полости рта. Обратился к стоматологу, были назначены системные антибиотики перорально, без эффекта. В течение последующих двух недель — ухудшение состояния в виде лихорадки, общей слабости, болей в области груди и при глотании, эпизода диареи с примесью крови, высыпаний на коже туловища, лица и волосистой части головы, сопровождающихся зудом; состояние расценено как ОРВИ. Проводилась антибиотикотерапия, на фоне чего отметил прогрессирование системных проявлений в виде слабости, одышки. Наблюдалось прогрессирование кожного процесса: изъязвление пустулезных элементов, появление и изъязвление новых пустул как на видимо неизмененной коже, так и в местах инъекций (феномен патергии). На слизистой оболочке полости рта также возникли пустулы, впоследствии изъязвившиеся. Пациент был госпитализирован в пульмонологическое отделение по месту жительства с диагнозом «внегоспитальная двусторонняя полисегментарная интерстициальная пневмония средней степени тяжести, системный васкулит?, нейтрофильный дерматоз?». На фоне проведенной терапии (системные антибиотики (меропенем 1 г в/в 3 р/д), системные глюкокортикостероиды (преднизолон 120 мг — 1 р/д 7 дней), антигистаминные препараты (дезал 5 мг 1 р/д)) отмечалась положительная динамика — купирование системных проявлений, незначительное улучшение со стороны кожного процесса в виде отсутствия новых высыпаний. В дальнейшем наблюдался дерматологами с целью верификации диагноза и лечения.
Принимая во внимание особенности клинической картины с тяжелым некротическим поражением кожи и слизистых оболочек полости рта, проводился диагностический поиск с предположительными диагнозами: системный васкулит на фоне инфекции или онкопатологии, лимфопролиферативное заболевание, нейтрофильный дерматоз (синдром Свита, гангренозная пиодермия). По результатам проведенного обследования данных за инфекции и онкопатологию не выявлено. По данным лабораторных методов обследования отмечалась нормохромная анемия, лейкоцитурия. Антинейтрофильные цитоплазматические антитела к миелопероксидазе и протеиназе-3, антинуклеарные антитела (АНА), ревматоидный фактор (РФ) не выявлены. Неоднократно проводилась диагностическая биопсия кожи из нескольких участков с экспертной оценкой, выявлялись изменения, соответствующие нейтрофильному дерматозу (обильная нейтрофильная инфильтрация дермы и гиподермы без признаков лейкоцитокластического васкулита), данных о наличии онкогематологического заболевания и признаков васкулита выявлено не было. Назначены системные глюкокортикостероиды (дексаметазон 120 мг внутривенно № 3, далее внутрь по 16 мг 10 дней), препараты сульфоновой группы (дапсон 50 мг 1 р/д) и продолжен прием антигистаминных препаратов (дезал 5 мг 1 р/д). Наружно: антисептические и комбинированные глюкокортикостероидные мази. В процессе проводимой терапии появления новых элементов не отмечалось.
В связи с тяжестью заболевания и торпидным течением пациент был госпитализирован в клинику кожных и венерических болезней им. В.А. Рахманова.
Аллергоанамнез и наследственность не отягощены. Вредные привычки — отрицает.
Сопутствующие заболевания: доброкачественная гиперплазия предстательной железы, киста правого семенного пузырька, атрофический гастрит, хронический бронхит, ИБС: атеросклероз аорты, аортального и митрального клапанов.
Рис. 1. Пациент Л., 69 лет. Гангренозная пиодермия. Множественные язвы с валикообразно приподнятыми краями фиолетовой окраски в области спины (а), груди и живота (б)
Fig. 1. Patient L., 69 years old. Pyoderma gangrenosum. Multiple ulcers with undermined erythematous violaceous border in the back (a), chest and abdomen (б)
Локальный статус при поступлении: кожный процесс распространенный, симметричный, островоспалительного характера. Высыпания локализуются на коже туловища (рис. 1), верхних и нижних конечностей (рис. 2), волосистой части головы, а также на слизистой оболочке полости рта. Высыпания представлены множественными (№ 100) язвами размером от 2 до 20 см в диаметре, с четкими контурами, округлых и неправильных очертаний, с валикообразно приподнятыми краями фиолетовой окраски.
Рис. 2. Тот же пациент. Множественные язвы в области правого бедра (а) размером до 20 см в диаметре с четкими контурами, округлых очертаний, с валикообразно приподнятыми краями фиолетовой окраски. Обширная язва, покрытая геморрагическими корками, местами вязким гнойным экссудатом (б). Вокруг очагов — зона фиолетово-розовой эритемы
Fig. 2. The same patient. Multiple ulcers of the right thigh up to 20 cm in diameter, with undermined erythematous-violaceous borders (а). Large ulcer with purulent base, hemorrhagic crusts on the surface and undermined violaceous border (б)
Дно язв покрыто геморрагическими корками, местами вязким гнойным экссудатом. Вокруг очагов — зона фиолетово-розовой эритемы. В ротовой полости в области перехода твердого неба в мягкое слева визуализируется свищевой ход диаметром 1 см без гнойного отделяемого, при пальпации определяется незначительный инфильтрат, а на левой щеке в области первого моляра — язвенный дефект слизистой оболочки диаметром 1 см (рис. 3). Субъективно беспокоит интенсивная болезненность, особенно по периферии язвенных дефектов.
Рис. 3. Тот же пациент. Свищевой ход диаметром 1 см без гнойного отделяемого в области перехода твердого неба в мягкое (а), язвенный дефект слизистой оболочки левой щеки в области первого моляра верхней челюсти диаметром 1 см (б)
Fig. 3. The same patient. А fistulous tract with a diameter of 1 cm without purulent discharge in the area of transition of the hard palate into the soft palate (а), an ulcer of the mucous membrane of the left cheek in the area of the first painter of the upper jaw with a diameter of 1 cm (б)
Учитывая анамнестические данные и клиническую картину, проводилась дифференциальная диагностика между гранулематозом с полиангиитом и гангренозной пиодермией.
При лабораторном обследовании: в клиническом анализе крови выявлено снижение гематокрита 27% (от 40%), гемоглобина 89,5 г/л (110–160 г/л), эритроцитов 3,35*1012 (3,9*1012), лимфоцитопения 17% (19–37%), лейкоцитоз 14,89*109 (4–9*109), без нейтрофильного сдвига, СОЭ 54 мм/ч (1–10 мм); в биохимическом анализе крови снижение белка 60 г/л (64–85 г/л), железа 4,2 (8,95–30 мкмоль/л), трансферрина 1,6 г/л (2–3,6 г/л), КФК 10 Ед/л (24–195 Ед/л), процент насыщения железом 10,4% (30%); повышение мочевины 9,4 (2,5–8,3 ммоль/л), С-реактивного белка 62,48 (11 мг/л); в протеинограмме: повышение á1 13,7% (2–5,5%); á2 15,5% (6–11,7%); в коагулограмме выявлено повышение фибриногена 6,76 г/л (2–4 г/л); Д-димера 6,7 (до 0,55 мкг/мл); антитела к сахаромицетам IgG и IgA — отрицательно; уровень фекального кальпротектина — не повышен (<50 мкг/г); в анализе мочи: глюкоза — положительно, кетоновые тела — обнаружены, кристаллы оксалата кальция — много, лейкоцитоз: 6–7 в поле зрения, бактерии — не обнаружены. Антитела, антиген ВИЧ-1, -2, HBsAg, HCVAb, КСР на сифилис — отрицательно. Иммунологические исследования, в том числе АНА, РФ, АНЦА к миелопероксидазе и протеиназе-3 — отрицательно.
При исследовании цитокинового статуса: фактор некроза опухоли альфа <1, интерлейкин-1b (IL-1b) = 6,80; интерлейкины-6, -8 — не повышены.
Микроскопия мазка с окраской по Граму, посев раневого отделяемого и тканей на микрофлору c определением чувствительности к антимикробным препаратам — флоры не выявлено. Посев отделяемого из носа и свища в области твердого неба не выявил бактерий, кислотоустойчивых бацилл или грибков.
По результатам гистопатологического исследования биоптата кожи из края язвенного дефекта: обильная нейтрофильная инфильтрация дермы. Подкожная жировая клетчатка густо инфильтрирована лимфоцитами, гистиоцитами и многочисленными междольковыми полиморфно-ядерными лейкоцитами (рис. 4).
Fig. 4. Histopathological examination of the skin biopsy from the edge of the ulcer, demonstrating the dense neutrophilic infiltrate in the dermis. Hematoxylin and eosin staining, ×400
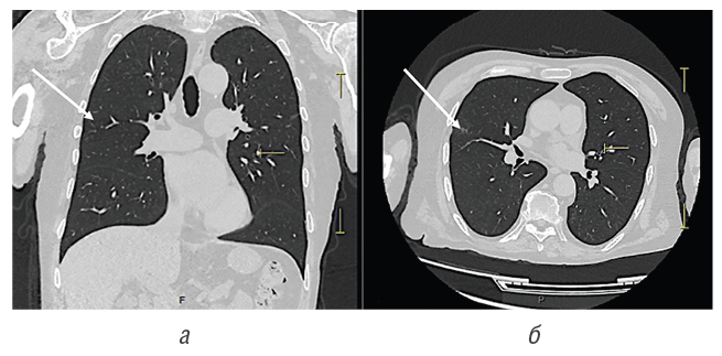
Инструментальные исследования: компьютерная томография (КТ) органов грудной клетки (рис. 5), в верхних долях обоих легких участки фиброза, в том числе типа «матового стекла», очень низкой интенсивности, объемные образования и участки патологической плотности в паренхиме легких и средостении не выявлены. Мультиспиральная компьютерная томография (МСКТ) лицевого скелета (рис. 6) — перфорация перегородки носа, неравномерное утолщение слизистой оболочки нижних отделов верхнечелюстных пазух.
Fig. 5. CT scan of the chest. Coronal view (a) and axial view (б) showing areas of fibrosis in the upper lobes of both lungs
Fig. 6. МCT sinus protocol. Perforation in the area of the cartilaginous part of the nasal septum for about 14 mm
Пациент был консультирован ревматологом, для исключения системного гранулематозного васкулита (гранулематоз с полиангиитом) рекомендовано выполнить глубокую биопсию слизистой полости носа и обсудить назначение колхицина 1 мг/сут.
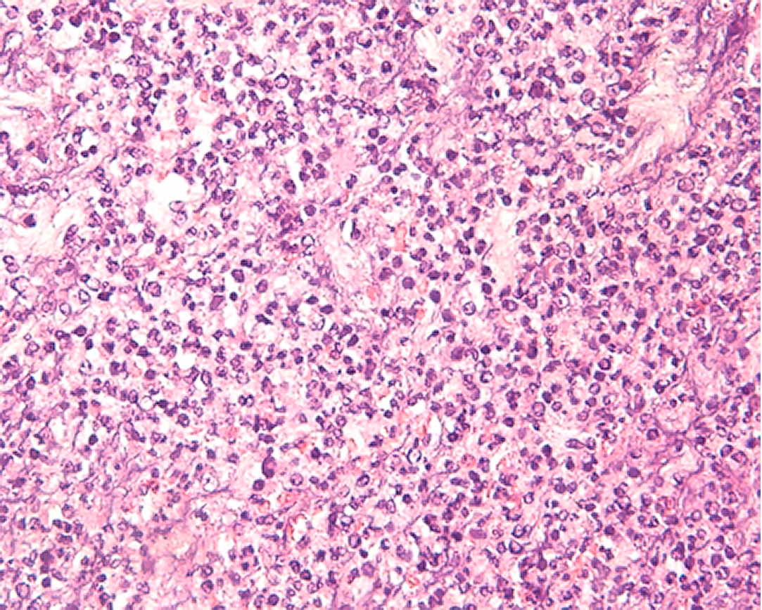
Гистопатологическое исследование слизистой оболочки полости носа с окрашиванием гематоксилин-эозином показало острое воспаление с большим количеством нейтрофилов и небольшим количеством нормальных лимфоцитов в подслизистой ткани, но без признаков злокачественного новообразования, васкулита, гранулематозного воспаления или микоза (рис. 7).
Рис. 7. Гистопатологическое исследование биоптата слизистой полости носа. Острое воспаление с большим количеством нейтрофилов и небольшим количеством нормальных лимфоцитов в подслизистой ткани, без признаков злокачественного новообразования, васкулита, гранулемы или микоза. Окраска гематоксилином и эозином, ×200
Fig. 7. Histopathological examination of the biopsy of the nasal mucosa. Acute inflammation with a large number of neutrophils and a small number of normal lymphocytes in the submucosal tissue, without evidence of malignancy, vasculitis, granuloma, or mycosis. Hematoxylin and eosin staining, ×200
На основании анамнестических данных, клинического течения заболевания, методов лабораторной и инструментальной диагностики и данных гистологического исследования был поставлен диагноз «гангренозная пиодермия».
Проведено лечение: системные глюкокортикостероиды (метипред 48 мг (12 т) в сут), корригирующие препараты (аспаркам 1 т 3 р/д, омез 20 мг 2 р/д, кальций-Д3 Никомед), сосудистая терапия (трентал 400 мг в/в капельно № 12), антигистаминные препараты (хлоропирамин 25 мг), нестероидные противовоспалительные средства (найз 100 мг 2 р/д, кетонал 2,0 мл в/м 1 р/д № 12), препараты трехвалентного железа (мальтофер по 20 капель 3 р/д), антикоагулянты (ривароксабан 20 мг), учитывая состояние гиперкоагуляции. Наружно: антисептическая обработка язвенных дефектов, противомикробная комбинированная мазь (офломелид 2 р/сут), топические глюкокортикостероиды на зону эритемы по периферии язвенных дефектов 2 раза в день. На фоне проводимой терапии в течение месяца достигнута положительная динамика в виде очищения и частичного рубцевания язвенных дефектов. Субъективные симптомы купированы. Появления новых высыпаний не отмечалось. Больной продолжил вышеуказанное лечение под контролем анализов крови с постепенным снижением дозы преднизолона. На 50-е сутки лечения доза метилпреднизолона составляла 24 мг в сутки, на 88-е сутки — 16 мг. Отмечалась выраженная положительная динамика в виде рубцевания 95% поверхности язв (рис. 8), уменьшения диаметра свищевого хода в области перехода твердого неба в мягкое до 0,5 см в диаметре, при пальпации инфильтрат не определяется, купированы все внекожные проявления. Болезненности в области высыпаний нет. Назначенную терапию пациент переносил хорошо. Динамическое наблюдение за пациентом продолжается.
Рис. 8. Тот же пациент. Состояние спустя 2,5 месяца от начала лечения. Отмечается полное рубцевание язвенных дефектов в области спины (а), волосистой части головы (б), в области правого бедра сохраняется язвенный дефект размером 4 см в диаметре (в)
Fig. 8. The same patient. 2.5 months after starting treatment. Complete scarring of ulcers of the back (a), scalp (б), 4 cm ulcer persists on the right thigh (в)
Обсуждение
Представленный случай уникален из-за двух факторов: во-первых, у пациента наблюдалось одномоментно около 100 язвенных дефектов, расположенных по всему кожному покрову, включая лицо и волосистую часть головы, — редкие локализации для ГП. Кроме того, отмечалось поражение легких, почек, желудочно-кишечного тракта, слизистой оболочки полости рта и носа. Рефрактерные случаи ГП с быстрым вовлечением внутренних органов или их первичным поражением затрудняют диагностику данного заболевания и приводят к необходимости дифференциальной диагностики с системными васкулитами, в частности с гранулематозом с полиангиитом (ГПА), как в описанном случае (табл. 1).
Таблица 1. Дифференциально-диагностические признаки гангренозной пиодермии и гранулематоза с полиангиитом
Table 1. Differential diagnostic features of pyoderma gangrenosum and granulomatosis with polyangiitis
Проявления | Гангренозная пиодермия | Гранулематоз с полиангиитом |
Кожные проявления | Болезненная папула или пустула. Вскрытие элемента приводит к образованию язвы с валикообразно приподнятыми краями багрово-синюшной окраски и зоной эритемы вокруг, чаще в области нижних конечностей. Пузыри, растущие по своей окружности. После их вскрытия возникают эрозии, быстро трансформирующиеся в поверхностные язвы, с характерными валикообразно приподнятыми краями багрово-синюшной окраски | Наиболее часто пальпируемая пурпура. Полиморфные высыпания, состоящие из папул, узелков, везикул и волдырей, а также язвенно-некротических поражений на фоне ретикулярного ливедо на любых участках кожного покрова, включая лицо и волосистую часть головы |
Внекожные проявления | Лихорадка, недомогание. Крайне редко: Некротические изъязвления и свищи в области век. Легочный интерстициальный фиброз, кавитации, узелки и плевральный выпот. Наличие узелков или абсцесов в селезенке, печени и почках. Стерильный остеомиелит, остеолизис, нейтрофильный миозит, фасциит, полиартрит. Редко псевдоопухоль (гранулема) гипофиза, аортит | Лихорадка, недомогание. Часто наблюдаются полости в легких, легочные инфильтраты, альвеолярные кровоизлияния, синусит / геморрагическая ринорея. Язвы в области ротовой и носовой полостей, иногда сопровождающиеся разрушением костной или хрящевой ткани. Латентный или быстропрогрессирующий нефрит, острая почечная недостаточность, макрогематурия. Головная боль, судороги, нарушения мозгового кровообращения, поражения спинного мозга, параличи черепных нервов, сенсорная или моторная периферическая невропатия, множественный мононеврит, нейросенсорная тугоухость, массовые поражения головного мозга. Воспалительный артрит, эрозивный или деформирующий, артралгия, миалгия |
Методы лабораторной диагностики | Повышение СОЭ, СРБ, лейкоцитоз. Отрицательные результаты посева крови и тканей. Необходимо обследование на ВЗК, РА, лимфопролиферативные заболевания, злокачественные новообразования и другие коморбидные состояния | Повышенные СОЭ и СРБ. Положительные АНЦА, обычно п-АНЦА. Нормоцитарная нормохромная анемия как признак хронического заболевания. Гематурия/протеинурия при поражении почек |
Гистология | Обильная нейтрофильная инфильтрация дермы и гиподермы. Край язвы с периваскулярным лимфоцитарным инфильтратом и фибриноидным некрозом стенок сосудов, свидетельствующим о вторичном васкулите | Часто встречается лейкоцитокластический васкулит с фибриноидным некрозом и периваскулярным нейтрофильным инфильтратом. Отложения IgG в субэпидермальных стенках кровеносных сосудов или дермо-эпидермальном соединении. Отложения С3 в стенках кровеносных сосудов. Отрицательный ИГХ на иммунные комплексы |
Согласно критериям Американской ассоциации ревматологов (АРА; 1990), диагноз ГПА выставляется на основании наличия не менее 2 из следующих 4 критериев: 1) воспаление слизистой оболочки носа и полости рта: язвы в полости рта, гнойные или кровянистые выделения из носа; 2) рентгенограмма легких с наличием узелков, фиксированного легочного инфильтрата или полостей; 3) мочевой осадок с гематурией или эритроцитарными цилиндрами и 4) гистологически — гранулематозное воспаление в стенке артерии или периваскулярном пространстве. Чувствительность и специфичность критериев АРА составляют 88,2 и 92,0% [13]. У пациента, находившегося под наблюдением, из вышеперечисленных критериев было выявлено только поражение слизистой оболочки полости носа и рта. Изменения других органов и систем не соответствовали поражениям при ГПА; АНЦА также были отрицательными. В ретроспективном анализе Daoud и соавт. (1994) в 244 случаях ГПА некротические изъязвления, напоминающие ГП, не были редкостью (8 из 30 пациентов). Лейкоцитокластический васкулит был наиболее распространенной кожной патологией, а ц-АНЦА были положительными у 81% пациентов с кожным ГПА [14].
Таким образом, диагноз ГП представлялся наиболее вероятным.
Среди системных проявлений ГП наиболее частым является поражение легких, которое может проявляться в виде кавитационных или некавитационных поражений, связанных с некрозом. Также могут возникать интерстициальные инфильтраты, лимфаденопатия средостения, сужение трахеи [15]. Начало заболевания у представленного пациента, проявившееся в виде пневмонии, ретроспективно можно расценивать как поражение легочной ткани. Вовлечение слизистой оболочки носовой полости при ГП встречается достаточно редко и проявляется в виде абсцессов и синусита, а перфорация перегородки носа, как у представленного пациента, по мнению некоторых авторов, возникает вследствие компрессионной ишемии и некроза септального хряща [16]. О поражении почек при ГП сообщалось редко. Оно может проявляться пиурией, гематурией, асептической лейкоцитурией, олигурией и протеинурией в результате различных видов почечной недостаточности [17]. Наличие лейкоцитурии и отсутствие инфекции у пациента можно рассматривать как еще одно висцеральное поражение при ГП. Изменения, выявленные в результате лабораторной диагностики, в виде лейкоцитоза, повышения С-реактивного белка, высокой скорости оседания эритроцитов, анемии, низкого уровня сывороточного железа, могут также возникать при ГП [18].
ГП является быстро развивающимся заболеванием, в связи с чем лечение целесообразно начинать быстродействующими иммуносупрессантами. Из-за относительной редкости рандомизированных контролируемых исследований эффективности лечения ГП наибольшее количество доказательств представлено в поддержку пероральных глюкокортикостероидов и/или циклоспорина [19]. Важно также отметить, что для стабилизации ГП (предотвратить прогрессирование и быстро остановить воспаление) необходимо назначать высокие дозы препаратов: системные глюкокортикостероиды (например, метилпреднизолон или преднизолон) по 0,5–1 мг/кг/день, циклоспорин 5 мг/кг/день. Для получения более быстрого ответа допустимо назначение пульс-терапии сверхвысокими дозами системных глюкокортикостероидов, 1 г метилпреднизолона в сутки в виде четырех часовых внутривенных инфузий на протяжении пяти дней, ежедневно, с последующим назначением 40–60 мг преднизолона в день перорально с постепенным, медленным снижением дозировки [20]. Низкие дозы глюкокортикостероидов неэффективны при лечении ГП, что подтверждается отсутствием динамики при назначении всего 120 мг дексаметазона внутривенно с последующим пероральным приемом 16 мг у представленного пациента в начале заболевания.
Многочисленные исследования предполагают побочные эффекты вакцинаций со стороны кожного покрова и слизистых оболочек. Сообщается, что ГП является одним из редких побочных эффектов вакцины против новой коронавирусной инфекции [22]. Клинические испытания показали, что путь JAK-STAT играет важную роль в воспалительном ответе на антиген COVID-19 [23]. С другой стороны, недавние отчеты и исследование, основанное на конкретных случаях, показали, что активация пути JAK-STAT играет ключевую роль в патофизиологии ГП [24]. В представленном случае были проведены многочисленные исследования с целью исключения аутоиммунных заболеваний (васкулиты, криоглобулинемия, антифосфолипидный синдром, системная красная волчанка), злокачественных новообразований и инфекций (глубокие микозы, туберкулез, вульгарная эктима, сифилис, лейшманиоз), которые могли привести к развитию подобных язвенно-некротических поражений кожи. Кроме того, не выявлено ни одного ассоциированного заболевания, наличие которого могло спровоцировать ГП, и развитие язвенных дефектов началось вскоре после введения вакцины. В связи с этим мы допускаем, что вирусный антиген новой коронавирусной инфекции COVID-19 мог послужить иммунологическим триггером ГП в представленном случае.
Заключение
Представленное наблюдение свидетельствует о многообразии клинических проявлений ГП, сложности проведения дифференциального и постановки правильного клинического диагноза. Безусловно, дерматологи, как и врачи других специальностей, в своей повседневной практике не должны исключать возможность наблюдения пациентов с атипичным течением ГП, особенно в случаях, когда дебют заболевания начинается с системных проявлений и поражения внутренних органов. Дальнейшее исследование и лучшее понимание этиопатогенетических механизмов ГП необходимы для оптимизации методов диагностики и лечения этого жизнеугрожающего заболевания.
About the authors
Olga Yu. Olisova
I.M. Sechenov First Moscow State Medical University (Sechenov University)
Email: olisova_olga@mail.ru
ORCID iD: 0000-0003-2482-1754
SPIN-code: 2500-7989
MD, Dr. Sci. (Med.), Professor, Corresponding Member of the Russian Academy of Sciences
Россия, 4/1 Bolshaya Pirogovskaya street, 119991 MoscowNatalia P. Teplyuk
I.M. Sechenov First Moscow State Medical University (Sechenov University)
Email: Teplyukn@gmail.com
ORCID iD: 0000-0002-5800-4800
SPIN-code: 8013-3256
Россия, 4/1 Bolshaya Pirogovskaya street, 119991 Moscow
Olga V. Grabovskaya
I.M. Sechenov First Moscow State Medical University (Sechenov University)
Email: olgadoctor2013@yandex.ru
ORCID iD: 0000-0002-5259-7481
SPIN-code: 1843-1090
MD, Cand. Sci. (Med.), Professor
Россия, 4/1 Bolshaya Pirogovskaya street, 119991 MoscowDiana T. Kusraeva
I.M. Sechenov First Moscow State Medical University (Sechenov University)
Email: kysra1992@mail.ru
ORCID iD: 0000-0002-5633-7986
SPIN-code: 1478-3503
Postgraduate Student
Россия, 4/1 Bolshaya Pirogovskaya street, 119991 MoscowLyailya N. Kayumova
I.M. Sechenov First Moscow State Medical University (Sechenov University)
Email: avestohka2005@inbox.ru
ORCID iD: 0000-0003-0301-737X
SPIN-code: 4391-9553
MD, Cand. Sci. (Med.)
Россия, 4/1 Bolshaya Pirogovskaya street, 119991 MoscowAnna E. Bobkova
I.M. Sechenov First Moscow State Medical University (Sechenov University)
Email: anya_bobkova98@mail.ru
ORCID iD: 0000-0003-3611-0917
Clinical Resident
Россия, 4/1 Bolshaya Pirogovskaya street, 119991 MoscowVladimir A. Varshavsky
I.M. Sechenov First Moscow State Medical University (Sechenov University)
Email: vavarsh@gmail.com
ORCID iD: 0000-0002-5855-3092
MD, Dr. Sci. (Med.), Professor
Россия, 4/1 Bolshaya Pirogovskaya street, 119991 MoscowLyudmila F. Komleva
Kaluga Region Clinical Dermatovenereologic Dispensary
Email: komlevalf@okvd-kaluga.ru
ORCID iD: 0000-0002-7855-8480
Dermatovenereologist
Россия, 33, Pervomayskaya st., KalugaEkaterina V. Petrenko
Kaluga Region Clinical Dermatovenereologic Dispensary
Email: Petrenko.ev@gmail.com
ORCID iD: 0000-0001-5296-5734
MD, Cand. Sci. (Med.), Dermatovenereologist
Россия, 33, Pervomayskaya st., KalugaKsenia Yu. Bobrova
Kaluga Region Clinical Dermatovenereologic Dispensary
Author for correspondence.
Email: Bobrovaku@okvd-kaluga.ru
ORCID iD: 0000-0003-3645-0487
Dermatovenereologist
Россия, 33, Pervomayskaya st., KalugaReferences
- Chokoeva AA, Cardoso JC, Wollina U, Tchernev G. Pyoderma gangrenosum — a novel approach? Wien Med Wochenschr. 2017;167(3-4):58–65. doi: 10.1007/s10354-016-0472-z
- Alavi A, French LE, Davis MD, Brassard A, Kirsner RS. Pyoderma Gangrenosum: An Update on Pathophysiology, Diagnosis and Treatment. Am J Clin Dermatol 2017;18(3):355–372. doi: 10.1007/s40257-017-0251-7
- Теплюк Н.П., Грабовская О.В., Кусраева Д.Т., Варшавский В.А. Гангренозная пиодермия: опыт обследования и лечения. Российский журнал кожных и венерических болезней. 2022;25(1):61–72 [Tepljuk NP, Grabovskaja OV, Kusraeva DT, Varshavskij VA. Pyoderma gangrenosum: examination and treatment experience. Rossijskij zhurnal kozhnyh i venericheskih boleznej. 2022;25(1):61–72. (In Russ.)]. doi: 10.17816/dv105685
- Ahronowitz I, Harp J, Shinkai K. Etiology and management of pyoderma gangrenosum: a comprehensive review. Am J Clin Dermatol. 2012;13(3):191–211. doi: 10.2165/11595240-000000000-00000
- Marzano AV, Ishak RS, Lazzari R, Polloni I, Vettoretti S, Crosti C. Vulvar pyoderma gangrenosum with renal involvement. Eur J Dermatolog. 2012;22(4):537–539. doi: 10.1684/ejd.2012.1776
- Ahn C, Negus D, Huang W. Pyoderma gangrenosum: a review of pathogenesis and treatment. Expert Rev Clin Immunol. 2018;14(3):225–233. doi: 10.1080/1744666X.2018.1438269
- Marzano AV, Raimondo MG, Berti E, Meroni PL, Ingegnoli F. Cutaneous Manifestations of ANCA-Associated Small Vessels Vasculitis. Clinic Rev Allerg Immunol. 2017;53(3):428–438. doi: 10.1007/s12016-017-8616-5
- Comarmond C, Cacoub P. Granulomatosis with polyangiitis (Wegener): clinical aspects and treatment. Autoimmun Rev. 2014;13(11):1121–1125. doi: 10.1016/j.autrev.2014.08.017
- Самцов А.В., Хайрутдинов В.Р., Соколовский Е.В., Кохан М.М., Белоусова И.Э., Олисова О.Ю., и др. К вопросу о классификации васкулитов кожи. Вестник дерматологии и венерологии. 2021;97(4):48–59 [Samcov AV, Hajrutdinov VR, Sokolovskij EV, Kohan MM, Belousova IJe, Olisova OJu, et al. Revisiting the question of cutaneous vasculitis classification. Vestnik dermatologii i venerologii. 2021;97(4):48–59. (In Russ.)]. doi: 10.25208/vdv1258
- Mohammad AJ, Jacobsson LTH, Westman KWA, Sturfelt G, Segelmark M. Incidence and survival rates in Wegener’s granulomatosis, microscopic polyangiitis, Churg-Strauss syndrome and polyarteritis nodosa. Rheumatology (Oxford). 2009;48(12):1560–1565. doi: 10.1093/rheumatology/kep304
- Marzano AV, Vezzoli P, Berti E. Skin involvement in cutaneous and systemic vasculitis. Autoimmun Rev. 2013;12(4):467–476. doi: 10.1016/j.autrev.2012.08.005
- Tashtoush B, Memarpour R, Johnston Y, Ramirez J. Large pyoderma gangrenosum-like ulcers: a rare presentation of granulomatosis with polyangiitis. Case Rep Rheumatol. 2014;2014:850364. doi: 10.1155/2014/850364
- Leavitt RY, Fauci AS, Bloch DA, Michel BA, Hunder GG, Arend WP, et al. The American College of Rheumatology 1990 criteria for the classification of Wegener’s granulomatosis. Arthritis Rheum. 1990;33(8):1101–1107. doi: 10.1002/art.1780330807
- Daoud MS, Gibson LE, DeRemee RA, Specks U, el-Azhary RA, Su WP. Cutaneous Wegener’s granulomatosis: clinical, histopathologic, and immunopathologic features of thirty patients. J Am Acad Dermatol. 1994;31(4):605–612. doi: 10.1016/S0190-9622(94)70224-1
- Gade M, Studstrup F, Andersen AK, Hilberg O, Fogh C, Bendstrup E. Pulmonary manifestations of pyoderma gangrenosum: 2 cases and a review of the literature. Respir Med. 2015;109(4):443–450. doi: 10.1016/j.rmed.2014.12.016
- Tomioka T, Soma K, Sato Y, Miura K, Endo A. Pyoderma gangrenosum on the nose. Auris Nasus Larynx. 2018;45(5):1130–1134. doi: 10.1016/j.anl.2018.04.004
- Carvalho LR, Zanuncio VV, Gontijo B. Pyoderma gangrenosum with renal and splenic impairment — case report. An Bras Dermatol. 2013;88(6 Suppl 1):150–153. doi: 10.1590/abd1806-4841.20132448
- Ruocco E, Sangiuliano S, Gravina AG, Miranda A, Nicoletti G. Pyoderma gangrenosum: an updated review. J Eur Acad Dermatol Venereol. 2009;23(9):1008–1017. doi: 10.1111/j.1468-3083.2009.03199.x
- Soto Vilches F, Vera-Kellet C. Pyoderma gangrenosum: Classic and emerging therapies. Med Clin (Bars). 2017;149(6):256–260. doi: 10.1016/j.medcle.2017.08.007
- Goodarzi H, Sivamani RK, Garcia MS, Wehrli LN, Craven H, Ono Y, et al. Effective Strategies for the Management of Pyoderma Gangrenosum. Adv Wound Care (New Rochelle). 2012;1(5):194–199. doi: 10.1089/wound.2011.0339
- Clark AL, Williams B. Recurrence of Pyoderma Gangrenosum Potentially Triggered by COVID-19 Vaccination. Cureus. 2022;14(2):e22625. doi: 10.7759/cureus.22625
- Choudhary S, Sharma K, Silakari O. The interplay between inflammatory pathways and COVID-19: A critical review on pathogenesis and therapeutic options. Microb Pathog. 2021;150:104673. doi: 10.1016/j.micpath.2020.104673
- Schwartz RA, Pradhan S, Murrell DF, Jafferany M, Olisova OY, Lomonosov KM, et al. COVID‐19 and immunosuppressive therapy in dermatology. Dermatol Ther. 2020;33(6):e14140. doi: 10.1111/dth.14140
- Kochar B, Herfarth N, Mamie C, Navarini AA, Scharl M, Herfarth HH. Tofacitinib for the Treatment of Pyoderma Gangrenosum. Clin Gastroenterol Hepatol. 2019;17(5):991–993. doi: 10.1016/j.cgh.2018.10.047
Supplementary files












