Effectiveness of rituximab in the treatment of patients with pemphigus vulgarus
- Authors: Karamova A.E.1, Znamenskaya L.F.1, Gorodnichev P.V.2, Krasnova K.I.2, Plotnikova E.U.2, Nefedova M.A.1, Girko E.V.1
-
Affiliations:
- State Research Center of Dermatovenereology and Cosmetology
- State Research Center of Dermatovenereology and Cosmetology, Nizhny Novgorod Branch
- Issue: Vol 100, No 5 (2024)
- Pages: 68-78
- Section: CLINICAL CASE REPORTS
- Submitted: 28.06.2024
- Accepted: 21.09.2024
- Published: 23.11.2024
- URL: https://vestnikdv.ru/jour/article/view/16803
- DOI: https://doi.org/10.25208/vdv16803
- ID: 16803
Cite item
Full Text
Abstract
Pemphigus vulgaris (PV) is an autoimmune disease that affects the mucous membranes and/or skin, characterized by the formation of bubbles of various sizes with a thin flaccid cap and serous contents. Lack of timely treatment can lead to death. Due to the fact that in the Russian Federation the main method of treatment for CAP is the prescription of systemic glucocorticosteroid drugs, which cause a large number of side effects, studies confirming the effectiveness and safety of the use of rituximab in combination with systemic glucocorticosteroid (GCS) are of particular interest. Rituximab is a genetically engineered monoclonal antibody to the CD20 antigen. The mechanism of action is due to the binding of the antibody to the CD20 antigen on B-lymphocytes and the initiation of immunological reactions that mediate the lysis of B-cells, that leads to the elimination of circulating desmoglein-specific IgG(+) B-lymphocytes and contributes to the high effectiveness of rituximab in the treatment of pemphigus. In the treatment PV including rituximab and systemic corticosteroids there is a chance of possible faster reduction of corticosteroids in the daily dose, followed by their complete withdrawal after 3–6 months, that reduces the risk of serious complications developing.
Keywords
Full Text
Актуальность
Вульгарная пузырчатка (ВП) — это аутоиммунное заболевание, поражающее слизистые оболочки и/или кожу, которое характеризуется образованием пузырей различных размеров с тонкой, вялой покрышкой и серозным содержимым [1–3]. ВП составляет около 10% всех кожных болезней, обычно возникает у лиц от 30 до 60 лет, преимущественно у женщин [4–6]. Образование внутриэпидермальных пузырей происходит вследствие акантолиза (разрушения связи между клетками эпидермиса) с формированием IgG-аутоантител к десмоглеину 1 и десмоглеину 3 — участкам десмосом, обеспечивающих межклеточные контакты [7]. Известно, что существует генетическая предрасположенность, определяемая аллелями генов главного комплекса гистосовместимости (HLA), причем в разных популяциях обнаруживаются различные аллели генов, кодирующих HLA [8–10].
Поражение слизистой оболочки полости рта обычно выступает первым проявлением ВП (в 50–70% случаев) и наблюдается у 90% пациентов в течение заболевания [3]. Тонкие покрышки пузырей быстро вскрываются, на их месте формируются длительно незаживающие болезненные эрозии, которые затрудняют прием пищи, жидкости, глотание слюны, значительно снижая качество жизни и вызывая ухудшение общего состояния [11, 12]. При ВП могут быть поражены и другие слизистые оболочки: конъюнктива, слизистые оболочки носа, глотки, гортани, пищевода, влагалища, уретры и ануса [13].
Эрозии при ВП обычно ярко-красного цвета с влажной поверхностью, имеющие тенденцию к периферическому росту, возможна генерализация кожного процесса с формированием обширных очагов поражения, причиняющих мучительную боль пациентам [3].
Диагностика ВП основывается на результатах клинико-анамнестического, цитологического, гистологического и флюоресцентного исследований [13, 14].
ВП — хроническое рецидивирующее заболевание. Отсутствие своевременного лечения может привести к летальному исходу. Терапия высокими дозами системных глюкокортикостероидных препаратов способствовала снижению уровня смертности больных, но их долгосрочное использование связано с развитием таких тяжелых осложнений, как поражение желудочно-кишечного тракта (эзофагит, гастрит, язвенная болезнь желудка и двенадцатиперстной кишки), сердечно-сосудистой системы, метаболические нарушения (синдром Иценко–Кушинга, сахарный диабет, остеопороз, гипопротеинемия и др.), а также иммуносупрессивное состояние, ДВС-синдром и септицемия [15–17].
В связи с тем, что в Российской Федерации основным методом терапии ВП является назначение системных глюкокортикостероидов (ГКС), вызывающих большое число побочных эффектов, особый интерес вызывают исследования, подтверждающие эффективность и безопасность применения ритуксимаба в комбинации с системными ГКС [18–20].
Ритуксимаб — генно-инженерное моноклональное антитело к антигену CD20. Механизм его действия обусловлен связыванием антитела с антигеном CD20 на В-лимфоцитах и инициацией иммунологических реакций, опосредующих лизис В-клеток, что приводит к элиминации циркулирующих десмоглеин-специфичных IgG(+) В-лимфоцитов и способствует высокой эффективности ритуксимаба в лечении пузырчатки [21].
При терапии пациентов с ВП ритуксимабом и системными ГКС возможно более быстрое снижение суточной дозы ГКС с их последующей полной отменой через 3–6 месяцев, что уменьшает риск развития серьезных осложнений [18–20, 22].
Приводим описание двух клинических случаев с торпидным течением ВП.
Первый клинический случай
Пациентка 65 лет, поступила в НГФ ФГБУ «ГНЦДК» Минздрава России в январе 2022 г. с жалобами на болезненные, быстро распространяющиеся высыпания на слизистой оболочке полости рта и коже туловища.
Из анамнеза известно, что считает себя больной с февраля 2021 г., когда впервые отметила боль при глотании, болезненные эрозии в полости рта и на языке. При обращении к отоларингологу назначено лечение: полоскание полости рта 2% раствором хлоргексидина и 1% раствором клотримазола (раствор Кандид), флуконазол — без эффекта.
Консультирована челюстно-лицевым хирургом, проведена биопсия слизистой оболочки полости рта с последующим гистологическим исследованием, данных за C-r не обнаружено, поставлен диагноз «Глоссит», назначены различные полоскания с антисептиками — без эффекта.
Консультирована парадонтологом, поставлен диагноз: «Пузырчатка?», лечение не проводилось. В апреле 2021 г. обратилась в КДЦ НГФ ФГБУ «ГНЦДК» Минздрава России, где поставлен диагноз: «Красный плоский лишай». Проведено лечение: бетаметазона натрия фосфат 2 мг + бетаметазонадипропионат 5 мг в/м № 1; гидроксихлорохина сульфат (плаквенил) 400 мг/ сут, на фоне которого отметила незначительное улучшение. За 3 месяца заболевания пациентка похудела на 22 кг.
В апреле–мае 2021 г. проводилось лечение в стационаре НГФ ФГБУ «ГНЦДК» Минздрава России с диагнозом «Пузырчатка» (выявлен повышенный уровень антител IgG к десмоглеину 3 (Anti-Desmoglein 3 ELISA), в мазке-отпечатке обнаружены акантолитические клетки). Назначены системные ГКС в дозе 60 мг/сут (1мг/кг массы тела) в перерасчете на преднизолон. Выписана с эпителизацией большей части эрозий в полости рта с рекомендацией снижения суточной дозы преднизолона.
В течение следующих 8 месяцев к дерматологу не обращалась, самостоятельно снижала дозу системных ГКС по 1/4 таблетки 1 раз/2 нед. К ноябрю 2021 г. пациентка снизила дозу до 15 мг преднизолона в сутки, на фоне чего отметила увеличение количества эрозий на слизистой оболочке полости рта, а также появление пузырей и эрозий, быстро сливающихся между собой в крупные очаги, в области кожи живота, спины и бедер.
В связи с ухудшением состояния госпитализирована в НГФ ФГБУ «ГНЦДК» Минздрава России.
Результаты физикального, лабораторного и инструментального исследования
При поступлении высыпания локализовались на слизистой оболочке полости рта и коже живота, спины и бедер. На слизистой оболочке полости рта — множественные эрозии ярко-красного цвета (рис. 1, а). На коже живота (рис. 2, а), спины (рис. 3, a) и бедер определялись мокнущие эрозии ярко-красного цвета, сливающиеся между собой в крупные очаги, а также пятна гиперпигментации.
Рис. 1. Клинические проявления на слизистой оболочке полости рта (описание в тексте): а — до терапии ритуксимабом; б — после 2 введений ритуксимаба; в — после 4 введений ритуксимаба
Fig. 1. Clinic on the oral mucosa (description in the text): a — before rituximab therapy; б — after 2 injections of rituximab; в — after 4 injections of rituximab
Рис. 2. Клинические проявления на коже живота (описание в тексте): а — до терапии ритуксимабом; б — после 2 введений ритуксимаба; в — после 4 введений ритуксимаба
Fig. 2. Clinic on the skin of the abdomen (description in the text): a — before rituximab therapy; б — after 2 injections of rituximab; в — after 4 injections of rituximab
Рис. 3. Клинические проявления на коже спины (описание в тексте): а — до терапии ритуксимабом; б — после 2 введений ритуксимаба; в — после 4 введений ритуксимаба
Fig. 3. Clinic on the skin of the back (description in the text): a — before rituximab therapy; б — after 2 injections of rituximab; в — after 4 injections of rituximab
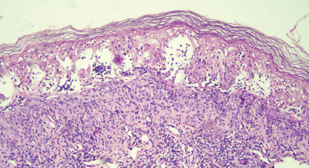
При цитологическом исследовании со дна эрозий обнаружены акантолитические клетки в большом количестве, расположенные группами и разрозненно. Проведено патологоанатомическое исследование пораженной кожи: «фрагмент многослойного плоского эпителия с дермой. Роговой слой утолщен, рыхлый, сетчатый, корки. Эпидермис относительно равномерной толщины, состоит из 3–5 рядов клеток. В эпидермисе — на всей протяженности в средних и глубоких отделах шиповатого слоя надбазально расположены крупные щели и полости с наличием множества акантолитических клеток, с примесью сегментоядерных клеток. Граница с дермой определяется с трудом из-за отека дермы и прилегающего к эпидермису снизу диффузного полосовидного лимфогистиоцитарного инфильтрата с примесью сегментоядерных клеток. Заключение: подобная гистологическая картина характерна для акантолитической пузырчатки» (рис. 4).
Рис. 4. Гистологическое исследование биоптата кожи, окраска гематоксилином и эозином, × 100 (описание в тексте)
Fig. 4. Histological examination, hematoxylin and eosin staining, × 100 (description in the text)
У пациентки при поступлении в ходе исследования также выявлены антитела IgG к десмоглеину 1 и 3 (Anti-Desmoglein 1 ELISA, Anti-Desmoglein 3 ELISA), что характерно для поражения кожи и слизистых оболочек [23].
Лечение1. За период госпитализации с 13.01.2022 по 25.02.2022 получала лечение: системные ГКС в дозе 100 мг/сут в перерасчете на преднизолон в течение 3 недель без существенной положительной динамики. Принято решение о добавлении к терапии метотрексата в дозе 10 мг/нед в течение 3 недель. В связи с отсутствием положительной динамики со стороны кожного процесса и нарастанием изменений в лабораторных показателях (повышение уровня АЛТ до 152 Ед/л, мочевины — до 10,03 ммоль/л, снижение уровня гемоглобина — до 9,8 г/дл и эритроцитов — до 3,14 млн/ мкл в анализе крови, повышение глюкозы — до 31,44 ммоль/л в анализе мочи), жалобами пациентки на выраженную слабость в конечностях и головокружение доза преднизолона снижена до 90 мг, метотрексат отменен и запланирована терапия генно-инженерным препаратом ритуксимаб.
Со 02.03.2022 по 14.03.2022 г. находилась на лечении в стационаре НГФ ФГБУ «ГНЦДК» Минздрава России, где доза преднизолона снижена до 30 мг/ сут и по решению врачебной комиссии от 04.03.2022. начата терапия препаратом ритуксимаб. После первых 2 инфузий ритуксимаба в дозе 500 мг с интервалом в 1 неделю наблюдалась положительная динамика в виде частичной эпителизации эрозий (см. рис. 1, б, рис. 2, б, рис. 3, б) и улучшения лабораторных показателей.
Всего было выполнено 4 инфузии в дозе 500 мг ритуксимаба еженедельно — 4, 11, 18 и 25 марта 2022 г., с премедикацией согласно инструкции к препарату за 30 мин перед введением ритуксимаба.
Исход и результаты последующего наблюдения. К 25.03.2022 большая часть эрозий эпителизировалась (см. рис. 1, в), на их месте определялись очаги гиперпигментации, в оставшихся очагах на коже живота (см. рис. 2, в) и поясничной области (см. рис. 3, в) сохранялось несколько небольших эрозий красного цвета. Доза преднизолона снижена до 20 мг/сут.
После проведения 4 инфузий ритуксимабом акантолитические клетки не определялись, уровень антител IgG к десмоглеину 1 снизился в 5 раз, антитела IgG к десмоглеину 3 не определялись.
Полная эпителизация эрозий отмечена через 1 месяц (рис. 5), продолжалось снижение преднизолона по 1/4 таблетки 1 раз/2 нед. Системные ГКС были отменены полностью при сохранении полной ремиссии заболевания вплоть до настоящего времени.
Рис. 5. Полная эпителизация эрозий после 6 месяцев от начала терапии ритуксимабом (описание в тексте): а — на слизистой оболочке полости рта; б — на коже живота; в — на коже спины
Fig. 5. Epithelization of erosions has been completed after 6 months from the start of rituximab therapy (description in the text): a — on the mucous membrane of the oral mucosa; б — on the skin of the abdomen; в — on the skin of the back
Второй клинический случай
Женщина 49 лет, поступила с жалобами на высыпания на слизистой оболочке полости рта, волосистой части головы, заушных областей, ушных раковин, шеи, туловища, подмышечной области, субмаммарной области, сопровождающиеся чувством жжения и боли.
Из анамнеза известно, что считает себя больной с августа 2021 г., когда впервые отметила появление эрозий в полости рта. При обращении к врачу-стоматологу назначено наружное лечение — без эффекта.
Направлена в КВД по месту жительства, где в сентябре 2021 г. выполнено цитологическое исследование с очагов поражения в полости рта, обнаружены акантолитические клетки, поставлен диагноз «Пузырчатка», назначена терапия преднизолоном в дозе 60 мг/сут из расчета 1 мг/кг массы тела, на фоне чего наступила частичная эпителизация эрозий.
В ноябре 2021 г. в связи с распространением высыпаний на кожу волосистой части головы, туловища направлена на стационарное лечение в ГБУЗ КВД МЗ Краснодарского края, где вновь проведено исследование на акантолитические клетки (обнаружены). Назначено лечение: преднизолон — 60 мг/сут, затем доза увеличена до 75 мг/сут перорально с преднизолоном 60 мг в/в, далее — 30 мг в/в. Пациентка выписана с рекомендациями продолжить прием преднизолона в дозе 75 мг/сут.
При повторной госпитализации в марте 2022 г. проводилось лечение плазмаферезом (1 процедура), преднизолоном — 75 мг/сут перорально с дексаметазоном 10 мг в/в, затем — 6 мг в/м с незначительным положительным эффектом.
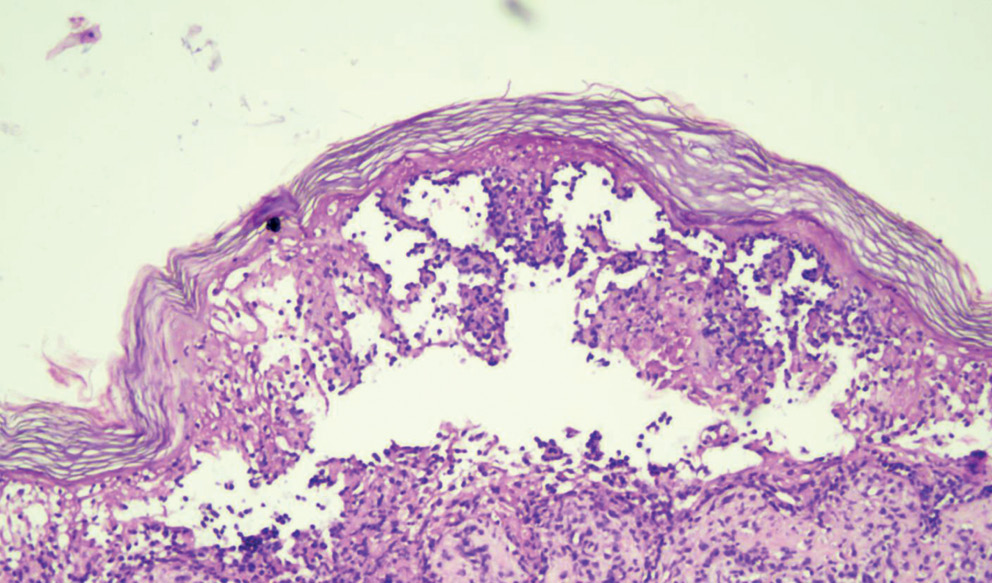
В связи с отсутствием эффекта от проводимой терапии направлена на лечение в стационар ФГБУ «ГНЦДК» Минздрава России, в котором находилась с 06.04.2022 по 17.05.2022. Проводилось гистологическое исследование, по результату которого: «эпидермис неравномерной толщины с умеренно выраженным гиперкератозом, в крае биоптата имеется крупный супрабазальный пузырь, в просвете пузыря — акантолитические клетки, вне зоны пузыря в эпидермисе отмечается умеренный спонгиоз, местами с образованием супрабазальных щелей, инфильтрированных лейкоцитами и эозинофилами. Дерма отечна, в сосочковом слое — скудные периваскулярные лимфоцитарные инфильтраты с примесью эозинофилов. Заключение: выявленные изменения соответствуют клиническому диагнозу вульгарной пузырчатки» (рис. 6). При проведении РИФ с использованием видимо непораженной кожи наблюдалась отчетливая фиксация IgG в межклеточных промежутках всех слоев эпидермиса в виде «сетки», по заключению: выявленная иммунофлуоресцентная картина соответствовала клиническому диагнозу вульгарной пузырчатки (рис. 7). Проведено лечение преднизолоном в дозе 75 мг/сут перорально. На фоне проводимого лечения процесс продолжал прогрессивно ухудшаться. Учитывая тяжелое течение кожного патологического процесса, неэффективность проводимой терапии, пациентка направлена в НГФ ФГБУ «ГНЦДК» Минздрава России для проведения терапии ритуксимабом.
Рис. 6. Гистологическое исследование биоптата кожи, окраска гематоксилином и эозином, × 100 (описание в тексте)
Fig. 6. Histological examination, hematoxylin and eosin staining, × 100 (description in the text)
Рис. 7. Исследование РИФ с антителами к IgG в биоптате видимо непораженной кожи (описание в тексте): а — увеличение 1:200; б — увеличение 1:600
Fig. 7. Immunofluorescence test with antibodies to IgG (description in the text): a — magnification 1:200; б — magnification 1:600
Результаты физикального, лабораторного и инструментального исследования
На момент поступления в стационар НГФ ФГБУ «ГНЦДК» Минздрава России кожный патологический процесс представлен множественными эрозивными дефектами ярко-розового цвета, размером от 3 до 20 см в диаметре, частично покрытыми массивными серозно-геморрагическими корками, тушированными раствором метиленового синего (рис. 8, а). На слизистой оболочке полости рта и десен отмечались эрозии ярко-розового цвета, округлой формы, частично покрытые фибринозным налетом. На коже шеи, груди, субмаммарной, подмышечной областей — влажные эрозии ярко-розового цвета, частично покрытые геморрагическими корками (рис. 9, а).
Fig. 8. Clinic on the skin on the back of the body (description in the text): a — before rituximab therapy; б — after 2 injections of rituximab; в — after 4 injections of rituximab
Рис. 9. Клинические проявления на коже передней поверхности туловища (описание в тексте): а — до терапии ритуксимабом; б — после 2 введений ритуксимаба, в — после 4 введений ритуксимаба
Fig. 9. Clinic on the skin on the front surface of the body (description in the text): a — before rituximab therapy; б — after 2 injections of rituximab; в — after 4 injections of rituximab
В исследовании мазков-отпечатков со дна свежих эрозий обнаружены акантолитические клетки в большом количестве.
Лечение. Врачебной комиссией от 19.05.2022 принято решение, что, учитывая тяжесть и распространенность кожного процесса, неэффективность ранее проведенного лечения, пациентке рекомендовано провести лечение с применением препарата ритуксимаб off-label в дозе 500 мг в/в капельно с премедикацией согласно инструкции к препарату за 30 мин перед введением ритуксимаба. После первых 2 инфузий ритуксимабом в дозе 500 мг отмечалась частичная эпителизация эрозий на коже шеи, груди, субмаммарной области (рис. 9, б) и спины (рис. 8, б). Всего проведено 4 инфузии с интервалом в неделю. Одновременно продолжалась терапия преднизолоном 75 мг/сут перорально со снижением дозы на 25 мг после первой инфузии и на 20 мг — после второй, затем со снижением дозы на 1/2 таблетки (5 мг) каждые 2 недели до полной отмены.
Исход и результаты последующего наблюдения. На фоне проводимой терапии удалось достичь полной эпителизации эрозий, стойкой ремиссии кожного процесса, полной отмены системных ГКС (рис. 8, в, 9, в).
Обострение наступило через 3 месяца (в конце августа 2023 г.), когда пациентка отметила появление свежих пузырей на коже волосистой части головы, груди и спины, сопровождающихся интенсивным зудом. Возобновлен прием преднизолона в дозе 15 мг/сут перорально. На фоне проводимой терапии появлялись свежие пузыри, увеличивалась площадь эрозий. В ноябре 2023 г. проведен курс повторной терапии ритуксимабом в дозе 1000 мг в/в капельно однократно в соответствии с инструкцией к препарату с продолжением приема 15 мг преднизолона per os. На фоне проводимой терапии наступила стабилизация патологического процесса: эпителизация эрозий, прекращение появления свежих пузырей. С ноября 2023 г. продолжено снижение ГКС, достигнута полная эпителизация эрозий, ГКС отменены полностью, в настоящее время сохраняется ремиссия.
Обсуждение
Важным моментом является своевременная и правильная диагностика ВП, что в ряде случаев определяет как выраженность ответа на терапию, так и в целом прогноз заболевания. Во втором представленном нами случае пациентке по месту жительства не было проведено гистологическое исследование, а диагноз основывался лишь на клинической картине и обнаружении акантолитических клеток в мазках-отпечатках. В то же время анализ на акантолитические клетки может давать ложноположительные результаты, что затрудняет своевременную постановку правильного диагноза и приводит к неадекватному назначению высоких доз системных ГКС, что наиболее вероятно в случаях локализации проявлений заболевания только на слизистых оболочках. В данной ситуации уместным будет произвести оценку уровня антител IgG к десмоглеинам 1 и 3 методом ИФА/ELISA в сыворотке крови, что было продемонстрировано нами в первом представленном случае. Также уровни антител IgG к десмоглеинам 1 и 3, оцениваемые в процессе лечения, могут служить показателем эффективности проводимой терапии [23].
Также хотелось бы отметить важность назначения адекватных доз системных ГКС при обострении пузырчатки при ее тяжелом течении — 60–80 мг/день, как это указано в клинических рекомендациях, поскольку назначение более низких доз может привести к развитию стероидной резистентности в последующем.
Первый опыт лечения пациентов с ВП ритуксимабом в литературе описан в 2004 г. Ритуксимаб вводили внутривенно в дозе 375 мг/м2 в течение 4–6 ч 1 раз/нед по 4 инфузии на курс в комбинации с ГКС. Под наблюдением находилось 3 пациента, полной ремиссии удалось достичь у 2 больных, неполной — у 1 пациента. Снижение титров циркулирующих антиэпидермальных аутоантител соответствовало снижению активности заболевания, тогда как циркулирующие В-клетки не определялись в течение 6–10 месяцев [24].
Европейское общество дерматологов и венерологов в 2020 г. включило ритуксимаб в клинические рекомендации по ведению пациентов с ВП в качестве терапии первой линии. Пациентам с ВП с пораженной площадью поверхности тела < 5%, ограниченными поражениями полости рта, не ухудшающими прием пищи и не требующими анальгетиков, PDAI (Pemphigus Disease Area Index) ≤ 15,23, рекомендовано лечение ритуксимабом (2 инфузии по 1 г с интервалом в 2 недели) отдельно или в сочетании с ГКС (преднизолон 0,5 мг/ кг/ сут), с постепенным снижением дозы до полной отмены через 3–4 месяца. Пациентам с множественными поражениями слизистых оболочек, тяжелыми поражениями полости рта или дисфагией с потерей веса, сильной болью и/или поражением кожи > 5% BSA, при PDAI > 15 и ≤ 45 (умеренной степени тяжести пузырчатки) или PDAI > 45,23 (тяжелой степени тяжести пузырчатки), рекомендовано лечение ритуксимабом (2 инфузии по 1 г с интервалом в 2 недели) в сочетании с ГКС (преднизолон 1 мг/кг/сут) с постепенным снижением дозы до полной отмены через 6 месяцев [25].
Эффективность и безопасность применения ритуксимаба отражены в клиническом исследовании 2022 г., в которое было включено 20 больных с рефрактерной ВП и листовидной пузырчаткой в возрасте от 24 до 72 лет. Пациентам были проведены 2 инфузии ритуксимаба по 1000 мг с интервалом в 2 недели. Из них 11 больных (55%) достигли полной ремиссии и 4 (20%) — частичной, при этом у всех пациентов доза преднизолона была снижена в соответствии с заранее установленным графиком с 15–30 до 10 мг/сут в сыворотке крови к 112-му дню (т.е. на 16-й неделе) и на протяжении всего исследования до 168-го дня (т.е. 24 недели). Частота ремиссий превысила заданный порог (5%). Кроме того, с течением времени наблюдалось значительное улучшение клинической картины и снижение уровня антител к десмоглеину в сыворотке [26].
В отечественной литературе встречается одно из первых описаний эффективного применения ритуксимаба в 2022 г. в лечении пациента 16 лет с ВП (индекс PDAI — 56). Больному в качестве терапии первой линии назначены 2 инфузии ритуксимаба 1000 мг внутривенно капельно с интервалом в 2 недели и метилпреднизолон в дозе 32 мг/сут с постепенным снижением дозы до полной отмены через 8 месяцев. На фоне проводимой терапии через 1,5 месяца достигнут полный регресс высыпаний. Через 3 и 6 месяцев от начала терапии содержание антител в сыворотке крови (исследование методом непрямой иммунофлуоресценции) к десмоглеину 1 соответственно составило 0,1 и 0,09 Ед/мл, к десмоглеину 3 — соответственно 171 и 0,05 Ед/мл. После завершения курса терапии и отмены системного ГКС сохранялась полная ремиссия заболевания [27].
Описан случай эффективного лечения ритуксимабом молодых женщин с ВП, которые получали лечение в дерматовенерологическом отделении ГБУЗ МО МОНИКИ им. М.Ф. Владимирского (МОНИКИ) в период с декабря 2020 по май 2021 г. Пациенткам выполнены 2 инфузии ритуксимаба в дозе 1000 мг в 1-й и 14-й дни лечения.
У одной пациентки на коже туловища и конечностей определялись множественные пузыри с дряблой покрышкой с серозно-геморрагическим содержимым в области спины, склонные к слиянию и образующие обширные участки отслойки эпидермиса по типу «мокрой простыни». На 3-й неделе от момента первой инфузии ритуксимаба у больной наблюдалась положительная динамика со стороны патологического процесса в виде эпителизации эрозий. Вплоть до конца апреля 2021 г. терапия ГКС продолжалась в дозе 85 мг/сут, после чего было инициировано постепенное снижение дозы преднизолона. Далее пациентка наблюдалась амбулаторно, при этом состояние ее кожи продолжало медленно улучшаться.
У другой пациентки высыпания были представлены в виде множественных поверхностных эрозий размерами от 0,5 до 8 см с серозно-гнойными, плотно сидящими корками на поверхности. Несмотря на соблюденный стандартный алгоритм премедикации, у нее наблюдалось развитие инфузионной реакции в виде эритемы кожи и тахикардии. К моменту выполнения второй инфузии ритуксимаба (через 2 недели) состояние кожи значительно улучшилось: свежие высыпания отсутствовали, отмечались медленная эпителизация и уменьшение эрозий в размерах. Спустя 1 месяц от начала лечения зафиксирована полная эпителизация эрозий. Больная выписана для продолжения лечения на амбулаторном этапе, доза метилпреднизолона при выписке снижена до 44 мг/сут с рекомендацией по ее дальнейшему постепенному снижению [28].
Описанные клинические случаи демонстрирует эффективность и безопасность ритуксимаба в качестве терапии первой линии ВП в комбинации с системным ГКС при возможности быстрого снижения дозы последних и их последующей полной отмены.
Заключение
ВП — это тяжелое аутоиммунное заболевание, которое без своевременного, адекватного лечения может привести к летальному исходу. В Российской Федерации основным методом терапии ВП является назначение системных ГКС, длительное применение которых в высоких дозах приводит к тяжелым побочным эффектам.
Лечение пациентов с ВП генно-инженерным биологическим препаратом ритуксимабом совместно с применением системных ГКС позволяет добиться быстрой и у части больных полной отмены системных ГКС в течение 3–8 месяцев, а также уменьшает риск возникновения побочных явлений от длительной терапии системными ГКС. Эта комбинация может быть рассмотрена в качестве нового терапевтического варианта лечения пациентов с ВП как в качестве первой линии терапии, так и при безуспешности лечения системными ГКС, а также при наличии сопутствующих заболеваний и/или развития побочных эффектов, не позволяющих назначить адекватные дозы ГКС.
1 РИФ не проводилась в первом клиническом случае.
About the authors
Arfenya E. Karamova
State Research Center of Dermatovenereology and Cosmetology
Author for correspondence.
Email: karamova@cnikvi.ru
ORCID iD: 0000-0003-3805-8489
SPIN-code: 3604-6491
MD, Cand. Sci. (Med.), Assistant Professor
Россия, MoscowLyudmila F. Znamenskaya
State Research Center of Dermatovenereology and Cosmetology
Email: znaml@cnikvi.ru
ORCID iD: 0000-0002-2553-0484
SPIN-code: 9552-7850
MD, Dr. Sci. (Med.)
Россия, MoscowPavel V. Gorodnichev
State Research Center of Dermatovenereology and Cosmetology, Nizhny Novgorod Branch
Email: gorpav@icloud.com
ORCID iD: 0000-0001-5989-7156
SPIN-code: 6103-0456
Head of the Clinic
Россия, Nizhny NovgorodKristina I. Krasnova
State Research Center of Dermatovenereology and Cosmetology, Nizhny Novgorod Branch
Email: krasnova_ki@mail.ru
ORCID iD: 0009-0000-1452-0224
Doctor of the Department of Clinical Dermatology
Россия, Nizhny NovgorodEvgenia U. Plotnikova
State Research Center of Dermatovenereology and Cosmetology, Nizhny Novgorod Branch
Email: evgenyaplotnykova@yandex.ru
ORCID iD: 0009-0006-2141-7448
Doctor of the Department of Clinical Dermatology
Россия, Nizhny NovgorodMaria A. Nefedova
State Research Center of Dermatovenereology and Cosmetology
Email: nefedova.maria.arb@gmail.com
ORCID iD: 0000-0003-1141-9352
SPIN-code: 1307-1189
Junior Researcher, Dermatology Department
Россия, MoscowEkaterina V. Girko
State Research Center of Dermatovenereology and Cosmetology
Email: katrin_45_34@mail.ru
ORCID iD: 0000-0001-7723-8701
SPIN-code: 9506-0978
Clinical Resident
Россия, MoscowReferences
- Kridin K, Sagi SZ, Bergman R. Mortality and Cause of Death in Patients with Pemphigus. Acta Derm Venereol. 2017;97(5):607–611. doi: 10.2340/00015555-2611
- Hsu DY, Brieva J, Sinha AA, Langan SM, Silverberg JI. Comorbidities and inpatient mortality for pemphigus in the U.S.A. Br J Dermatol. 2016;174(6):1290–1298. doi: 10.1111/bjd.14463
- Burns T, Breathnachet S, Cox N, Griffiths CEM. (eds). Rook’s textbook of dermatology. John Wiley & Sons; 2008. 4192 p.
- Каламкарян А.А., Мордовцев В.Н., Трофимова Л.Я. Клиническая дерматология. Редкие атипичные дерматозы. Ереван: Аястан; 1989. С. 417–425. [Kalamkaryan AA, Mordovtsev VN, Trofimova LYa.Clinicaldermatology. Rare atypical dermatoses. Yerevan: Ayastan; 1989. P. 417–425. (In Russ.)]
- Кубанова А.А., Акимов В.Г. Дифференциальная диагностика и лечение кожных болезней. М.: МИА; 2009. С. 129–132. [Kubanova AA, Akimov VG. Differential diagnosis and treatment of skin diseases. Moscow: MIA; 2009. P. 129–132. (In Russ.)]
- Kridin K, Zelber-Sagi S, Khamaisi M, Cohen AD, Bergman R. Remarkable differences in the epidemiology of pemphigus among two ethnic populations in the same geographic region. J Am Acad Dermatol. 2016:75(5):925–930. doi: 10.1016/j.jaad.2016.06.055
- Mahoney MG, Wang Z, Rothenberger K, Koch PJ, Amagai M, Stanley JR. Explanations for the clinical and microscopic localization of lesions in pemphigus foliaceus and vulgaris. J Clin Invest. 1999;103(4):461–468. doi: 10.1172/JCI5252
- Gil JM, Weber R, Rosales CB, Rodrigues H, Sennes LU, Kalil J, et al. Study of the association between human leukocyte antigens (HLA) and pemphigus vulgaris in Brazilian patients. Int J Dermatol. 2017;56(5):557–562. doi: 10.1111/ijd.13577
- Tunca M, Musabak U, Sagkan RI, Koc E, Akar A, et al. Association of human leukocyte antigen class II alleles with pemphigus vulgaris in a Turkish population. J Dermatol. 2010;37(3):246–250. doi: 10.1111/j.1346-8138.2009.00743.x
- Yamamoto T, Ikeda K, Sasaoka S, Yamasaki O, Fujimoto W, Aoyama Y, et al. Human leukocyte antigen genotypes and antibody profiles associated with familial pemphigus in Japanese. J Dermatol. 2011;38(7):711–716. doi: 10.1111/j.1346-8138.2010.01057.x
- Mignogna MD, Fortuna G, Leuci S. Oral pemphigus. Minerva Stomatol. 2009;58(10):501–518.
- Ohki M, Kikuchi S. Nasal, oral, and pharyngolaryngeal manifestations of pemphigus vulgaris: Endoscopic ororhinolaryngologic examination. Ear Nose Throat J. 2017;96(3):120–127. doi: 10.1177/014556131709600311
- Bolognia JL, Jorizzo JL, Schaffer JV. Dermatology. 3rd ed. Vol. 1. Philadelphia: Elsevier; 2012. P. 469–471.
- Ding X, Aoki V, Mascaro JM Jr, Lopez-Swiderski A, Diaz LA, Fairley JA. Mucosal and mucocutaneous (generalized) pemphigus vulgaris show distinct autoantibody profiles. J Invest Dermatol. 1997;109(4):592–596. doi: 10.1111/1523-1747.ep12337524
- Beissert S, Mimouni D, Kanwar AJ, Solomons N, Kalia V, Anhalt GJ. Treating pemphigus vulgaris with prednisone and mycophenolate mofetil: a multicenter, randomized, placebo-controlled trial. J Invest Dermatol. 2010;130(8):2041–2048. doi: 10.1038/jid.2010.91
- Leventhal JS, Sanchez MR. Is it time to re-evaluate the treatment of pemphigus? J Drugs Dermatol. 2012;11(10):1200–1206.
- Mimouni D, Bar H, Gdalevich M, Katzenelson V, David M. Pemphigus, analysis of 155 patients. J Eur Acad Dermatol Venereol. 2010; 24(8):947–952. doi: 10.1111/j.1468-3083.2010.03584.x
- Chen DM, Odueyungbo A, Csinady E, Gearhart L, Lehane P, Cheu M, et al. Rituximab is an effective treatment in patients with pemphigus vulgaris and demonstrates a steroid-sparing effect. Br J Dermatol. 2020;182(5):1111–1119. doi: 10.1111/bjd.18482
- Joly P, Maho-Vaillant M, Prost-Squarcioni C, Hebert V, Houivet E, Calbo S, et al. First-line rituximab combined with short-term prednisone versus prednisone alone for the treatment of pemphigus (Ritux 3): a prospective, multicentre, parallel-group, open-label randomised trial. Lancet. 2017;389(10083):2031–2040. doi: 10.1016/S0140-6736(17)30070-3
- Werth VP, Joly P, Mimouni D, Maverakis E, Caux F, Lehane P, et al. Rituximab versus Mycophenolate Mofetil in Patients with Pemphigus Vulgaris. N Engl J Med. 2021;384(24):2295–2305. doi: 10.1056/NEJMoa2028564
- Colliou N, Picard D, Caillot F, Calbo S, Le Corre S, Lim A, et al. Long-term remissions of severe pemphigus after rituximab therapy are associated with prolonged failure of desmoglein B cell response. Sci Transl Med. 2013;5(175):175ra30. doi: 10.1126/scitranslmed.3005166
- Joly P, Horvath B, Patsatsi Α, Uzun S, Bech R, Beissert S, et al. Updated S2K guidelines on the management of pemphigus vulgaris and foliaceus initiated by the european academy of dermatology and venereology (EADV). J Eur Acad Dermatol Venereol. 2020;34(9):1900–1913. doi: 10.1111/jdv.16752
- Schmidt E, Dähnrich C, Rosemann A, Probst C, Komorowski L, Saschenbrecker S, et al. Novel ELISA systems for antibodies to desmoglein 1 and 3: correlation of disease activity with serum autoantibody levels in individual pemphigus patients. Exp Dermatol. 2010;19(5):458–463. doi: 10.1111/j.1600-0625.2010.01069.x
- Dupuy A, Viguier M, Bédane C, Cordoliani F, Blaise S, Aucouturier F, et al. Treatment of refractory pemphigus vulgaris with rituximab (anti-CD20 monoclonal antibody). Arch Dermatol. 2004; 140(1):91–96. doi: 10.1001/archderm.140.1.91
- Joly P, Horvath B, Patsatsi Α, Uzun S, Bech R, Beissert S, et al. Updated S2K guidelines on the management of pemphigus vulgaris and foliaceus initiated by the european academy of dermatology and venereology (EADV). J Eur Acad Dermatol Venereol. 2020;34(9):1900–1913. doi: 10.1111/jdv.16752
- Yamagami J, Kurihara Y, Funakoshi T, Saito Y, Tanaka R, Takahashi H, et al. Rituximab therapy for intractable pemphigus: A multicenter, open-label, single-arm, prospective study of 20 Japanese patients. J Dermatol. 2023;50(2):175–182. doi: 10.1111/1346-8138.16597
- Мурашкин Н.Н., Опрятин ЛА., Василенко А.А., Амбарчян З.Т., Епишев Р.В., Материкин А.И., и др. Ритуксимаб в лечении ребенка с вульгарной пузырчаткой: клиническое наблюдение. Bопросы современной педиатрии. 2022;21(5):407–413. [Murashkin NN, Opryatin LA, Vasilenko AA, Ambarchyan ZT, Epishev RV, Materikin AI et al. Rituximab in the treatment of a child with pemphigus vulgaris: clinical observation. Issues of modern pediatrics. 2022;21(5):407–413. (In Russ.)] doi: https://doi.org/10.15690/vsp.v2115.2456
- Карзанов О.В., Черняева Е.В., Куприянова А.Г., Молочкова Ю.В., Зенкевич Е.В., Молочков А.В. В-клеточная деплеция в лечении истинной пузырчатки: описание двух клинических наблюдений и обзор литературы. Альманах клинической медицины. 2022;50(7):439–446. [Karzanov OV, Chernyaeva EV, Kupriyanova AG, Molochkova YuV, Zenkevich EV, Molochkov AV. B-cell depletion in the treatment of true pemphigus: description of two clinical — observations and literature review. Almanac of Clinical Medicine. 2022;50(7):439–446. (In Russ.)] doi: 10.18786/2072-0505-2022-50-050
Supplementary files













