Miescher granulomatous cheilitis as a monosymptomatic variant of Melkersson–Rosenthal syndrome
- Authors: Kharchilava M.G.1, Gorbunov Y.G.1, Belousova I.E.1
-
Affiliations:
- Military Medical Academy named after S.M. Kirov
- Issue: Vol 101, No 5 (2025)
- Pages: 93-99
- Section: GUIDELINES FOR PRACTITIONERS
- Submitted: 12.05.2025
- Accepted: 28.10.2025
- Published: 13.12.2025
- URL: https://vestnikdv.ru/jour/article/view/16904
- DOI: https://doi.org/10.25208/vdv16904
- EDN: https://elibrary.ru/eynoae
- ID: 16904
Cite item
Full Text
Abstract
Granulomatous cheilitis is a chronic swelling of one or both lips that is caused by granulomatous inflammation. This is a rare inflammatory disease that belongs to the monosymptomatic form of Melkersson–Rosenthal syndrome. To date, the etiology of this disease remains unknown, and its treatment is challenging. The article discusses a case report of a monosymptomatic variant of recurrent orofacial edema, describes the features of the observed case and efficacy of intradermal application of glucocorticosteroids and fractional photothermolysis, and provides data on the differential diagnosis of the disease. This case highlights the importance of thorough examination in the diagnosis process as the clinical presentation can be similar to many other granulomatous conditions.
Full Text
Актуальность
Гранулематозный хейлит — редкое заболевание, которое было впервые описано Мишером в 1945 г. Оно характеризуется хроническим отеком одной или обеих губ, в основе которого лежит гранулематозное воспаление, и рассматривается как моносимптомная форма или неполный вариант синдрома Мелькерссона–Розенталя (СМР) [1].
В 1985 г. Визенфельд и соавт. ввели термин «орофациальный гранулематоз» с целью объединить ранее описанный гранулематозный хейлит и СМР. В качестве основного клинического признака орофациального гранулематоза описывался безболезненный отек одной или обеих губ, гистологически характеризующийся наличием в дерме эпителиоидно-клеточных гранулем без казеозного некроза. Отек также может распространяться на десны, придавая им зернистый вид. В наиболее тяжелых случаях наблюдается болезненная лимфаденопатия [2].
Ввиду редкости данной патологии, неясной нозологической принадлежности и отсутствия протоколов лечения приводим наше собственное наблюдение и анализ литературы.
Описание случая
Под наблюдением находилась пациентка Н. 26 лет, которая обратилась в клинику кожных и венерических болезней Военно-медицинской академии им. С.М. Кирова с жалобами на высыпания в области кожи нижней губы и подбородка, без субъективных ощущений. Впервые элементы кожной сыпи появились около двух лет назад. Появление высыпаний ни с чем не связывает. В течение двух лет пациентка периодически получала терапию в виде топических глюкокортикостероидов высокой потентности и ингибиторов кальциневрина без четкой положительной динамики. Из сопутствующих заболеваний обращают на себя внимание дисбактериоз кишечника, дискинезия желчевыводящих путей, хронический эрозивный антральный гастрит, фаза обострения, Hp–.
Результаты физикального, лабораторного и инструментального исследований
На момент обращения пациентки состояние удовлетворительное, сознание ясное, положение активное, ориентирована в месте и времени. Температура тела — 36,7 °С; АД — 118/73 мм рт. ст. Видимые слизистые оболочки обычной окраски, не изменены. Для исключения сопутствующей патологии пациентке выполнены фиброэзофагогастродуоденоскопия и колоноскопия. Заключение ФГДС: «Недостаточность кардии. Поверхностный гастрит». Заключение по диагностической колоноскопии: «Во всех отделах толстой кишки и терминальном отделе подвздошной кишки патологических изменений не выявлено». Дерматологический статус: процесс поражения кожи носил ограниченный характер. В области нижней губы и подбородка визуализировалась инфильтрированная бляшка плотной консистенции, ярко-розового цвета, размером 8 × 4 см. Нижняя губа отечная, плотноэластической консистенции (рис. 1).
Рис. 1. Клиническая картина до начала терапии была представлена инфильтрированной бляшкой плотной консистенции, ярко-розового цвета, размером 8 × 4 см, нижняя губа отечная, плотноэластической консистенции
Fig. 1. At baseline, the patient had an infiltrated plaque with a dense consistency, bright pink color and a size of 8 × 4 cm. The lower lip was swollen and had a dense-elastic consistency
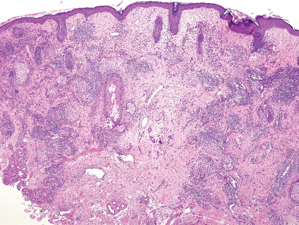
С целью уточнения диагноза проведена диагностическая биопсия кожи. При гистологическом исследовании в дерме на фоне отека были обнаружены многочисленные мелкие эпителиоидно-клеточные гранулемы саркоидного типа, без признаков казеозного некроза. К некоторым гранулемам прилегали очаговые лимфоцитарные инфильтраты (рис. 2, 3). При окраске PAS и по Циль–Нильсену микрорганизмов не выявлено.
Рис. 2. Гранулематозный инфильтрат в дерме на фоне отека
Fig.2. Granulomatous infiltrate in the dermis with edema
Рис. 3. Дермальные инфильтраты из многочисленных мелких гранулем саркоидного типа без признаков казеозного некроза. К некоторым гранулемам прилегают очаговые лимфоцитарные инфильтраты
Fig. 3. Dermal infiltrates consisting of numerous small sarcoid-type granulomas without signs of caseous necrosis. Some granulomas are adjacent to focal lymphocytic infiltrates
На основании анамнеза, клинической картины и морфологического исследования был установлен окончательный диагноз: «гранулематозный хейлит Мишера».
Дифференциальный диагноз
Дифференциальный диагноз СМР включает широкий спектр гетерогенных состояний, в основном представленных другими гранулематозными заболеваниями, такими как реакция на инородное тело, саркоидоз, амилоидоз, гранулематозная розацеа, лепра, кожные проявления болезни Крона [3, 4].
Дифференциально-диагностические признаки представлены в табл. 1.
Таблица 1. Дифференциальная диагностика гранулематозного хейлита
Table 1. Differential diagnosis of granulomatous cheilitis
Заболевание | Гистологическая картина | Клинические проявления на коже |
Саркоидоз кожи | Эпителиоидно-клеточная гранулема из мононуклеарных фагоцитов, окруженная небольшим количеством лимфоцитов, многоядерные гигантские клетки | Папулы или бляшки красно-коричневого или желтовато-коричневого оттенка, чаще всего на лице и шее, положительный симптом «яблочного желе» |
Лепра | Эпителиоидные гранулемы, окруженные лимфоцитарными инфильтратами, иногда обнаруживаются гигантские клетки Лангханса | Узелки или эритематозные бляшки, обычно наблюдается нарушение кожной чувствительности |
Локализованный AL амилоидоз кожи | Диффузное отложение амилоида в дерме, в стенках сосудов, в эпидермисе — дегенерация базальных кератиноцитов с цитоплазматической вакуолизацией | Узелки и бугристые бляшки желтоватого или розового цвета различной величины на разных участках кожи |
Гранулематозная розацеа | Гранулемы в верхней и средней части дермы, отсутствие казеозного некроза | Невоспалительные желтовато-коричневатые или красноватые папулы одинакового размера преимущественно в области щек и периорифициальной области |
Лечение
Пациентке была назначена терапия в виде внутриочагового введения суспензии бетаметазона дипропионата 1 мл в разведении с 0,9% раствором NaCl в соотношении 1:1. Препарат вводился непосредственно в очаг поражения, внутрикожно в дозе 0,2 мл/см2 (рис. 4). Процедура проводилась 4 раза с кратностью 1 раз / 2 нед (рис. 5). После этого были поведены две процедуры фракционного лазерного фототермолиза с интервалом в 2 недели.
Рис. 4. После проведения первой процедуры обкалывания суспензии бетаметазона дипропионата отмечалось уменьшение плотности отека
Fig. 4. After the first injection of betamethasone dipropionate suspension there was a decrease in edema volume
Рис. 5. После четырех процедур обкалывания суспензии бетаметазона дипропионата отмечалось снижение интенсивности окраски элементов, уменьшение плотности отека
Fig. 5. After four injections of betamethasone dipropionate suspension, there was the coloration of the elements decreased and the edema volume reduced
Для проведения фракционного фототермолиза использовали эрбиевый лазер Fotona Fidelis XS с длиной волны 2940 нм, мощностью 2,59 Дж/см, режим SP. За 30 мин до процедуры наносился анестезирующий крем (Лидокаин + Прилокаин), после манипуляции кожу обрабатывали 0,9% раствором хлоргексидина биглюконата и применяли крем, улучшающий регенерацию тканей (Бепантен).
Исход и результаты последующего наблюдения
Через месяц после выполнения двух процедур фракционного фототермолиза отмечалось практически полное разрешение очага (рис. 6).
Рис. 6. Через месяц после выполнения двух процедур фракционного фототермолиза отмечалось практически полное разрешение очага
Fig. 6. One month after 2 fractional photothermolysis procedures, the lesion was almost completely resolved
Обсуждение
СМР — редкое заболевание, клинически характеризующееся триадой симптомов: рецидивирующим орофациальным отеком, невропатией лицевого нерва и складчатым языком. Синдром был впервые описан в 1928 г. шведским неврологом Эрнстом Густавом Мелькерссоном у 35-летней женщины с орофациальным отеком и невропатией лицевого нерва, в 1931 г. немецкий невролог Генрих Розенталь описал еще один характерный симптом — складчатый язык. Заболевание встречается с частотой 0,08% в общей популяции. Симптомы чаще всего проявляются в возрасте от 25 до 40 лет, женщины болеют чаще мужчин (соотношение 2:1) [5].
К предполагаемым этиологическим факторам относятся: генетическая предрасположенность, иммунологические факторы (изменение врожденного иммунитета слизистой оболочки губ в ответ на различные антигены), аллергическая реакция на стоматологические материалы, микробные факторы (микобактерии туберкулеза и паратуберкулеза, Borrelia burgdorferi, Saccharomyces cerevisiae и Candida albicans), повышенная чувствительность к ультрафиолетовому излучению, болезнь Крона. Такое воспалительное заболевание кишечника, как болезнь Крона, может проявляться следующими признаками: отек губ с трещинами на губах, мукозит, гингивит, глоссит и поражение слизистой оболочки полости рта по типу «булыжной мостовой». Иногда эти симптомы могут наблюдаться при СМР и затруднять постановку диагноза [5–7].
Введенный в 1985 г. термин «орофациальный гранулематоз» объединил гранулематозный хейлит и СМР. В опубликованной литературе гранулематозный хейлит и орофациальный гранулематоз часто описываются как одно и то же заболевание. Этиология гранулематозного хейлита неизвестна. В настоящее время рассматривают несколько теорий развития заболевания, которые включают в себя генетическую, иммунологическую, аллергическую и инфекционную [1, 5, 7]. Гранулематозный хейлит — это хроническое воспалительное заболевание, характеризующееся иммунным ответом, опосредованным Т-хелперами 1 типа. Основной причиной является локальное изменение врожденного иммунитета слизистой оболочки и кожи губ в ответ на воздействие различных антигенов.
Гистологической особенностью гранулематозного хейлита выступает наличие эпителиоидно-клеточных гранулем без казеозного некроза [8].
СМР — заболевание, характеризующееся триадой клинических симптомов: рецидивирующим орофациальным отеком, невропатией лицевого нерва и складчатым языком. В случае когда присутствуют два клинических признака и более, используется термин «олигосимптомный СМР», если у пациента проявляется только один из перечисленных признаков — «моносимптомный СМР». Для подтверждения диагноза СМР при моносимптомном течении в виде орофациального отека необходимо проведение гистологического исследования кожи пораженной области. Триада симптомов наблюдается у 8–25% пациентов. Паралич лица, который может быть как одно-, так и двусторонним, встречается в 30–90% случаев. Наиболее распространенный признак — стойкий орофациальный отек, поражающий главным образом губы (гранулематозный хейлит, хейлит Мишера). В редких случаях отек может вызывать затруднение речи или приводить к повышенному слюноотделению [3, 9].
Помимо этих трех основных симптомов, пациенты с СМР также сообщали о головной боли, головокружениях, ксеростомии и некоторых неврологических проявлениях, таких как шум в ушах, внезапная глухота, дисфагия, гипогевзия (ослабление вкусовых ощущений), пониженное или чрезмерное потоотделение лица, слезотечение и нарушения зрения, дивертикулит и увеит. Также при СМР могут поражаться черепно-мозговые нервы, включая тройничный, обонятельный, слуховой, языкоглоточный и подъязычный [4].
Терапия СМР на сегодняшний день остается сложной задачей из-за недостаточно изученного этиопатогенеза. В современной литературе описаны различные терапевтические методы, как консервативные, так и хирургические, однако рандомизированных исследований не проводилось.
В качестве консервативной терапии используются топические и системные глюкокортикостероидные гормоны, топические ингибиторы кальциневрина, антибиотики широкого спектра действия, антималярийные препараты и витаминотерапия. В случаях торпидного течения заболевания и плохого ответа на терапию проводится хейлопластика [10].
В то же время в качестве одного из методов коррекции при данной патологии может быть использован фракционный фототермолиз.
Фракционный фототермолиз — физический метод воздействия на ткани эрбиевым лазером путем их локального нагрева световой энергией на отдельных участках. Благодаря специальным насадкам лазерный луч делится на пучок микролучей (около 80 на 1 см2) диаметром 0,1–0,2 мм, каждый из которых вызывает ограниченное разрушение клеток и волокон (так называемые микротермические лечебные зоны). Соотношение объема поврежденной и интактной кожи составляет примерно 20 на 80%. Локальное воздействие энергии лазера при фракционном фототермолизе в значительной степени снижает риск развития нежелательных явлений, повышает безопасность процедуры и обладает высоким терапевтическим эффектом.
После проведения фракционного фототермолиза формируется столбчатая денатурация эпидермиса и дермы, дермо-эпидермальные сочленения разрушаются и формируется субэпидермальная щель внутри микротермической лечебной зоны, роговой слой при этом не повреждается. Термически разрушенная ткань замещается кератиноцитами, которые мигрируют из здоровых тканей в первые 24 ч. Нагревание тканей вызывает активацию белков теплового шока.
Белки теплового шока активируются во всех типах клеток при действии высокой температуры. Они предотвращают накопление в клетках поврежденных белков, принимают участие в межклеточных взаимодействиях при иммунных реакциях, обладают противовоспалительным эффектом. Лазерное облучение кожи усиливает вокруг микротермической лечебной зоны экспрессию белка Hsp 70 в клетках эпидермиса и дермы (в периваскулярных и периаднексальных областях). Таким образом, белки теплового шока могут играть значимую роль не только в процессе репарации тканей, но и в регуляции иммунного воспаления [11, 12].
Таким образом, применение фракционного фототермолиза при СМР может оказывать двойное терапевтическое действие: механическое — за счет разрушения патологических гранулем и стимуляции ремоделирования дермы через активацию фибробластов и неоколлагенеза; противовоспалительное — через индукцию HSP70 и других регуляторных молекул, что способствует подавлению хронического гранулематозного воспаления и уменьшению отека, особенно в периоральной области.
Заключение
Несмотря на многочисленные исследования, нозологическая принадлежность орофациального гранулематоза, гранулематозного хейлита Мишера и СМР остается неясной. Существуют предположения о возможной взаимосвязи гранулематозного хейлита с саркоидозом и болезнью Крона на основе общих гистологических признаков. Подходы к ведению таких пациентов связаны с исключением влияния триггерных факторов и применением различных лекарственных средств, как системных, так и топических. В литературе описано несколько вариантов терапии, однако нужно отметить, что их эффективность носит индивидуальный характер и ни один из вариантов не демонстрирует полный клинический ответ. Из литературных источников, а также по опыту нашего клинического случая высокую эффективность показывает комбинированная терапия с внутриочаговым введением глюкокортикостероидов в виде 3–5 процедур с интервалом в 2 недели в сочетании с использованием фракционного фототермолиза эрбиевым лазером.
About the authors
Maya G. Kharchilava
Military Medical Academy named after S.M. Kirov
Author for correspondence.
Email: Kharchilava1991@mail.ru
ORCID iD: 0000-0002-6588-1115
SPIN-code: 3964-7308
MD, Can. Sci. (Med.)
Россия, Saint PetersburgYuri G. Gorbunov
Military Medical Academy named after S.M. Kirov
Email: urikgor@rambler.ru
ORCID iD: 0000-0002-1375-056X
SPIN-code: 3393-3256
MD, Can. Sci. (Med.), Assistant Professor
Россия, Saint PetersburgIrena E. Belousova
Military Medical Academy named after S.M. Kirov
Email: irena.belousova@mail.ru
ORCID iD: 0000-0002-4374-4435
SPIN-code: 6386-1117
MD, Dr. Sci. (Med.), Professor
Россия, Saint PetersburgReferences
- Banks T, Gada S. A comprehensive review of current treatments for granulomatous cheilitis. Br J Dermatol. 2012;166(5):934–937. doi: 10.1111/j.1365-2133.2011.10794.x
- Jakubowicz O, Żaba R, Czarnecka-Operacz M, Silny W. Difficulties connected with diagnosis of Melkersson–Rosenthal syndrome — case report. Advances in Dermatology and Allergology. 2009;26(3):165–170.
- Dhawan SR, Saini AG, Singhi PD. Management strategies of Melkersson–Rosenthal syndrome: a review. Int J Gen Med. 2020;13:61–65. doi: 10.2147/IJGM.S186315
- Shapiro M, Peters S, Spinelli HM. Melkersson–Rosenthal syndrome in the periocular area: a review of the literature and case report. Ann Plast Surg. 2003;50(6):644–648. doi: 10.1097/01.SAP.0000069068.03742.48
- Wehl G, Rauchenzauner M. A systematic review of the literature of the three related disease entities cheilitis granulomatosa, orofacial granulomatosis and Melkersson–Rosenthal syndrome. Curr Pediatr Rev. 2018;14(3):196–203. doi: 10.2174/1573396314666180515113941
- Antoszczyk G, Obtułowicz A, Czarnobilska E, Wojas-Pelc A. Melkersson–Rosenthal syndrome — diagnostic and therapeutic problems. Przegl Lek. 2008;65(9):390–392.
- Cancian M, Giovannini S, Angelini A, Fedrigo M, Bendo R, Senter R, et al. Melkersson–Rosenthal syndrome: a case report of a rare disease with overlapping features. Allergy Asthma Clin Immunol. 2019;15:1. doi: 10.1186/s13223-018-0316-z
- Fantacci C, Mariotti P, MiceliSopo S, Ferrara P, Rendeli C, Chiaretti A. Intravenous immunoglobulins in Melkersson–Rosenthal syndrome: a clinical and neuroimaging study. Pediatr Allergy Immunol. 2018;29(8):881–883. doi: 10.1111/pai.12970
- Dhawan SR, Saini AG, Singhi PD. Management Strategies of Melkersson–Rosenthal Syndrome: A Review. Int J Gen Med. 2020;13:61–65. doi: 10.2147/IJGM.S186315
- Bacci C, Valente M. Successful treatment of cheilitis granulomatosa with intralesional injection of triamcinolone. J Eur Acad Dermatol Venereol. 2010;24(3):363–364. doi: 10.1111/jdv.2010.24.issue-3
- Bogdan Allemann I, Kaufman J. Fractional photothermolysis — an update. Lazers Med Sci. 2010;25(1):137–144. doi: 10.1007/s10103-009-0734-8
- Manstein D, Herron GS, Sink RK, Tanner H, Anderson RR. Fractional photothermolysis: a new concept for cutaneous remodeling using microscopic patterns of thermal injury. Lasers Surg Med. 2004;34(5):426–438. doi: 10.1002/lsm.20048
Supplementary files










